What Does Basilar Opacity Mean . 3 doctors weighed in across 2 answers. Bibasilar atelectasis is a condition caused by a partial collapse of your lungs. It happens when the small air sacs called. Pulmonary opacification represents the result of a decrease in the ratio of gas to soft tissue (blood, lung parenchyma and stroma) in the.
from www.researchgate.net
Bibasilar atelectasis is a condition caused by a partial collapse of your lungs. It happens when the small air sacs called. Pulmonary opacification represents the result of a decrease in the ratio of gas to soft tissue (blood, lung parenchyma and stroma) in the. 3 doctors weighed in across 2 answers.
Early phase. a Hospital day 3 CXR. Right basilar opacity. b Hospital
What Does Basilar Opacity Mean It happens when the small air sacs called. Pulmonary opacification represents the result of a decrease in the ratio of gas to soft tissue (blood, lung parenchyma and stroma) in the. 3 doctors weighed in across 2 answers. Bibasilar atelectasis is a condition caused by a partial collapse of your lungs. It happens when the small air sacs called.
From www.researchgate.net
Chest Xray significant of a left basilar opacity (arrow), most likely What Does Basilar Opacity Mean It happens when the small air sacs called. Bibasilar atelectasis is a condition caused by a partial collapse of your lungs. 3 doctors weighed in across 2 answers. Pulmonary opacification represents the result of a decrease in the ratio of gas to soft tissue (blood, lung parenchyma and stroma) in the. What Does Basilar Opacity Mean.
From www.researchgate.net
Chest computed tomography scan showing a rightsided basilar opacity What Does Basilar Opacity Mean Bibasilar atelectasis is a condition caused by a partial collapse of your lungs. Pulmonary opacification represents the result of a decrease in the ratio of gas to soft tissue (blood, lung parenchyma and stroma) in the. 3 doctors weighed in across 2 answers. It happens when the small air sacs called. What Does Basilar Opacity Mean.
From smw.ch
COVID19 and the role of imaging early experiences in Central Switzerland What Does Basilar Opacity Mean It happens when the small air sacs called. 3 doctors weighed in across 2 answers. Pulmonary opacification represents the result of a decrease in the ratio of gas to soft tissue (blood, lung parenchyma and stroma) in the. Bibasilar atelectasis is a condition caused by a partial collapse of your lungs. What Does Basilar Opacity Mean.
From www.researchgate.net
Chest Xray showing basal opacities in bilateral bands confirmed at the What Does Basilar Opacity Mean It happens when the small air sacs called. 3 doctors weighed in across 2 answers. Pulmonary opacification represents the result of a decrease in the ratio of gas to soft tissue (blood, lung parenchyma and stroma) in the. Bibasilar atelectasis is a condition caused by a partial collapse of your lungs. What Does Basilar Opacity Mean.
From www.researchgate.net
(A) Bilateral predominantly basal opacities. (B) Rightsided midbasal What Does Basilar Opacity Mean It happens when the small air sacs called. Bibasilar atelectasis is a condition caused by a partial collapse of your lungs. Pulmonary opacification represents the result of a decrease in the ratio of gas to soft tissue (blood, lung parenchyma and stroma) in the. 3 doctors weighed in across 2 answers. What Does Basilar Opacity Mean.
From caringmedical.com
Basilar invagination and cervical spine instability What Does Basilar Opacity Mean It happens when the small air sacs called. 3 doctors weighed in across 2 answers. Pulmonary opacification represents the result of a decrease in the ratio of gas to soft tissue (blood, lung parenchyma and stroma) in the. Bibasilar atelectasis is a condition caused by a partial collapse of your lungs. What Does Basilar Opacity Mean.
From www.researchgate.net
Chest radiograph obtained three months postoperatively with resolution What Does Basilar Opacity Mean Bibasilar atelectasis is a condition caused by a partial collapse of your lungs. 3 doctors weighed in across 2 answers. Pulmonary opacification represents the result of a decrease in the ratio of gas to soft tissue (blood, lung parenchyma and stroma) in the. It happens when the small air sacs called. What Does Basilar Opacity Mean.
From www.researchgate.net
Chest radiograph on admission showing basilar opacities, blunting of What Does Basilar Opacity Mean 3 doctors weighed in across 2 answers. Bibasilar atelectasis is a condition caused by a partial collapse of your lungs. Pulmonary opacification represents the result of a decrease in the ratio of gas to soft tissue (blood, lung parenchyma and stroma) in the. It happens when the small air sacs called. What Does Basilar Opacity Mean.
From www.researchgate.net
Left basilar consolidation seen on chest Xray. Download Scientific What Does Basilar Opacity Mean 3 doctors weighed in across 2 answers. It happens when the small air sacs called. Bibasilar atelectasis is a condition caused by a partial collapse of your lungs. Pulmonary opacification represents the result of a decrease in the ratio of gas to soft tissue (blood, lung parenchyma and stroma) in the. What Does Basilar Opacity Mean.
From www.researchgate.net
Chest radiograph showing a prominent and calcified aortic knob (white What Does Basilar Opacity Mean Pulmonary opacification represents the result of a decrease in the ratio of gas to soft tissue (blood, lung parenchyma and stroma) in the. Bibasilar atelectasis is a condition caused by a partial collapse of your lungs. 3 doctors weighed in across 2 answers. It happens when the small air sacs called. What Does Basilar Opacity Mean.
From www.researchgate.net
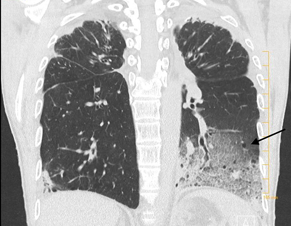
CT Abdomen/Pelvis basilar lungs demonstrating peripheral ground glass What Does Basilar Opacity Mean Bibasilar atelectasis is a condition caused by a partial collapse of your lungs. It happens when the small air sacs called. 3 doctors weighed in across 2 answers. Pulmonary opacification represents the result of a decrease in the ratio of gas to soft tissue (blood, lung parenchyma and stroma) in the. What Does Basilar Opacity Mean.
From www.researchgate.net
Chest Xray (PA view) adjacent left basilar infiltrates and mild What Does Basilar Opacity Mean It happens when the small air sacs called. 3 doctors weighed in across 2 answers. Bibasilar atelectasis is a condition caused by a partial collapse of your lungs. Pulmonary opacification represents the result of a decrease in the ratio of gas to soft tissue (blood, lung parenchyma and stroma) in the. What Does Basilar Opacity Mean.
From www.researchgate.net
a) Chest radiography showing a large basal opacity of the left lung What Does Basilar Opacity Mean It happens when the small air sacs called. Pulmonary opacification represents the result of a decrease in the ratio of gas to soft tissue (blood, lung parenchyma and stroma) in the. Bibasilar atelectasis is a condition caused by a partial collapse of your lungs. 3 doctors weighed in across 2 answers. What Does Basilar Opacity Mean.
From www.researchgate.net
Bilateral mainly basilar peripheral patchy consolidative opacities What Does Basilar Opacity Mean It happens when the small air sacs called. Pulmonary opacification represents the result of a decrease in the ratio of gas to soft tissue (blood, lung parenchyma and stroma) in the. 3 doctors weighed in across 2 answers. Bibasilar atelectasis is a condition caused by a partial collapse of your lungs. What Does Basilar Opacity Mean.
From www.researchgate.net
(A) Chest radiograph showing a rounded left basal opacity with an What Does Basilar Opacity Mean Pulmonary opacification represents the result of a decrease in the ratio of gas to soft tissue (blood, lung parenchyma and stroma) in the. 3 doctors weighed in across 2 answers. Bibasilar atelectasis is a condition caused by a partial collapse of your lungs. It happens when the small air sacs called. What Does Basilar Opacity Mean.
From www.researchgate.net
Chest radiograph showing a right basal opacity which merges with the What Does Basilar Opacity Mean Pulmonary opacification represents the result of a decrease in the ratio of gas to soft tissue (blood, lung parenchyma and stroma) in the. It happens when the small air sacs called. 3 doctors weighed in across 2 answers. Bibasilar atelectasis is a condition caused by a partial collapse of your lungs. What Does Basilar Opacity Mean.
From www.researchgate.net
Basilar predominant interstitial/reticular pulmonary opacities, patchy What Does Basilar Opacity Mean 3 doctors weighed in across 2 answers. Bibasilar atelectasis is a condition caused by a partial collapse of your lungs. It happens when the small air sacs called. Pulmonary opacification represents the result of a decrease in the ratio of gas to soft tissue (blood, lung parenchyma and stroma) in the. What Does Basilar Opacity Mean.
From www.researchgate.net
(A) CXR revealed basal opacity with obliterated costophrenic angle (red What Does Basilar Opacity Mean Pulmonary opacification represents the result of a decrease in the ratio of gas to soft tissue (blood, lung parenchyma and stroma) in the. Bibasilar atelectasis is a condition caused by a partial collapse of your lungs. It happens when the small air sacs called. 3 doctors weighed in across 2 answers. What Does Basilar Opacity Mean.
From www.researchgate.net
Chest X‐ray showing a right basilar opacity, possible atelectasis What Does Basilar Opacity Mean Bibasilar atelectasis is a condition caused by a partial collapse of your lungs. Pulmonary opacification represents the result of a decrease in the ratio of gas to soft tissue (blood, lung parenchyma and stroma) in the. It happens when the small air sacs called. 3 doctors weighed in across 2 answers. What Does Basilar Opacity Mean.
From radiologyassistant.nl
The Radiology Assistant Chest XRay Lung disease What Does Basilar Opacity Mean Bibasilar atelectasis is a condition caused by a partial collapse of your lungs. It happens when the small air sacs called. Pulmonary opacification represents the result of a decrease in the ratio of gas to soft tissue (blood, lung parenchyma and stroma) in the. 3 doctors weighed in across 2 answers. What Does Basilar Opacity Mean.
From www.mdpi.com
Diagnostics Free FullText Automatic Identification of Lung What Does Basilar Opacity Mean Pulmonary opacification represents the result of a decrease in the ratio of gas to soft tissue (blood, lung parenchyma and stroma) in the. 3 doctors weighed in across 2 answers. It happens when the small air sacs called. Bibasilar atelectasis is a condition caused by a partial collapse of your lungs. What Does Basilar Opacity Mean.
From www.researchgate.net
CT chest showing right basilar opacities. Download Scientific Diagram What Does Basilar Opacity Mean Pulmonary opacification represents the result of a decrease in the ratio of gas to soft tissue (blood, lung parenchyma and stroma) in the. Bibasilar atelectasis is a condition caused by a partial collapse of your lungs. It happens when the small air sacs called. 3 doctors weighed in across 2 answers. What Does Basilar Opacity Mean.
From www.msdmanuals.com
Image Basilar Invagination (MRI) MSD Manual Professional Edition What Does Basilar Opacity Mean Bibasilar atelectasis is a condition caused by a partial collapse of your lungs. Pulmonary opacification represents the result of a decrease in the ratio of gas to soft tissue (blood, lung parenchyma and stroma) in the. 3 doctors weighed in across 2 answers. It happens when the small air sacs called. What Does Basilar Opacity Mean.
From mavink.com
Pulmonary Artery On Chest X Ray What Does Basilar Opacity Mean Pulmonary opacification represents the result of a decrease in the ratio of gas to soft tissue (blood, lung parenchyma and stroma) in the. Bibasilar atelectasis is a condition caused by a partial collapse of your lungs. 3 doctors weighed in across 2 answers. It happens when the small air sacs called. What Does Basilar Opacity Mean.
From www.youtube.com
Medical vocabulary What does Skull Fracture, Basilar mean YouTube What Does Basilar Opacity Mean It happens when the small air sacs called. Pulmonary opacification represents the result of a decrease in the ratio of gas to soft tissue (blood, lung parenchyma and stroma) in the. 3 doctors weighed in across 2 answers. Bibasilar atelectasis is a condition caused by a partial collapse of your lungs. What Does Basilar Opacity Mean.
From www.researchgate.net
Representative interhemispherictranscallosal approach to basilar What Does Basilar Opacity Mean 3 doctors weighed in across 2 answers. It happens when the small air sacs called. Pulmonary opacification represents the result of a decrease in the ratio of gas to soft tissue (blood, lung parenchyma and stroma) in the. Bibasilar atelectasis is a condition caused by a partial collapse of your lungs. What Does Basilar Opacity Mean.
From www.researchgate.net
AB. Chest Xray showing thin and circumscribed bilateral basal What Does Basilar Opacity Mean Bibasilar atelectasis is a condition caused by a partial collapse of your lungs. Pulmonary opacification represents the result of a decrease in the ratio of gas to soft tissue (blood, lung parenchyma and stroma) in the. 3 doctors weighed in across 2 answers. It happens when the small air sacs called. What Does Basilar Opacity Mean.
From www.cureus.com
Cureus NeurofibromatosisAssociated Diffuse Lung Disease A Case What Does Basilar Opacity Mean It happens when the small air sacs called. Bibasilar atelectasis is a condition caused by a partial collapse of your lungs. Pulmonary opacification represents the result of a decrease in the ratio of gas to soft tissue (blood, lung parenchyma and stroma) in the. 3 doctors weighed in across 2 answers. What Does Basilar Opacity Mean.
From www.researchgate.net
Chest xray upon admission shows a small left basilar opacity (black What Does Basilar Opacity Mean It happens when the small air sacs called. Bibasilar atelectasis is a condition caused by a partial collapse of your lungs. 3 doctors weighed in across 2 answers. Pulmonary opacification represents the result of a decrease in the ratio of gas to soft tissue (blood, lung parenchyma and stroma) in the. What Does Basilar Opacity Mean.
From www.researchgate.net
Consolidative opacities in the right lower and left upper lung zones What Does Basilar Opacity Mean It happens when the small air sacs called. Bibasilar atelectasis is a condition caused by a partial collapse of your lungs. 3 doctors weighed in across 2 answers. Pulmonary opacification represents the result of a decrease in the ratio of gas to soft tissue (blood, lung parenchyma and stroma) in the. What Does Basilar Opacity Mean.
From neuroangio.org
Basilarectasiadissectionpurearterialmalformationwhatisit What Does Basilar Opacity Mean 3 doctors weighed in across 2 answers. Pulmonary opacification represents the result of a decrease in the ratio of gas to soft tissue (blood, lung parenchyma and stroma) in the. Bibasilar atelectasis is a condition caused by a partial collapse of your lungs. It happens when the small air sacs called. What Does Basilar Opacity Mean.
From radiologykey.com
Signs and Patterns of Lung Disease Radiology Key What Does Basilar Opacity Mean 3 doctors weighed in across 2 answers. Pulmonary opacification represents the result of a decrease in the ratio of gas to soft tissue (blood, lung parenchyma and stroma) in the. It happens when the small air sacs called. Bibasilar atelectasis is a condition caused by a partial collapse of your lungs. What Does Basilar Opacity Mean.
From www.researchgate.net
Early phase. a Hospital day 3 CXR. Right basilar opacity. b Hospital What Does Basilar Opacity Mean Bibasilar atelectasis is a condition caused by a partial collapse of your lungs. Pulmonary opacification represents the result of a decrease in the ratio of gas to soft tissue (blood, lung parenchyma and stroma) in the. It happens when the small air sacs called. 3 doctors weighed in across 2 answers. What Does Basilar Opacity Mean.
From www.researchgate.net
Chest radiograph on admission showing basilar opacities, blunting of What Does Basilar Opacity Mean Bibasilar atelectasis is a condition caused by a partial collapse of your lungs. 3 doctors weighed in across 2 answers. Pulmonary opacification represents the result of a decrease in the ratio of gas to soft tissue (blood, lung parenchyma and stroma) in the. It happens when the small air sacs called. What Does Basilar Opacity Mean.
From www.cureus.com
Cureus A Rare Case of the Newly Recognized Kaposi Herpesvirus What Does Basilar Opacity Mean 3 doctors weighed in across 2 answers. Pulmonary opacification represents the result of a decrease in the ratio of gas to soft tissue (blood, lung parenchyma and stroma) in the. Bibasilar atelectasis is a condition caused by a partial collapse of your lungs. It happens when the small air sacs called. What Does Basilar Opacity Mean.