Dental Gum Graft Complications . Here's what you can expect during and. To repair the damage and prevent further dental problems, a gum tissue graft may be needed. What is it, possible complications, and solutions. Complications are rare, and insurance may or may not. What are the risks or complications of gum graft surgery? It is crucial to address the causes of gum recession to prevent further damage. During gum grafting surgery, a periodontist will commonly take connective tissue from the roof. Complications following gum graft surgery are uncommon, but they can. A poorly executed procedure can lead to several complications, including: The recovery period is typically a few weeks and usually involves eating soft or cold foods to avoid damaging the graft. But see your doctor right away if you notice any oozing or unexpected bleeding around the graft site. Gum recession can lead to increased sensitivity, risk of tooth decay, and aesthetic concerns. Complications of a gum graft are rare.
from beforeandafter.netlify.app
Complications following gum graft surgery are uncommon, but they can. The recovery period is typically a few weeks and usually involves eating soft or cold foods to avoid damaging the graft. Complications of a gum graft are rare. Complications are rare, and insurance may or may not. During gum grafting surgery, a periodontist will commonly take connective tissue from the roof. A poorly executed procedure can lead to several complications, including: What is it, possible complications, and solutions. To repair the damage and prevent further dental problems, a gum tissue graft may be needed. It is crucial to address the causes of gum recession to prevent further damage. Gum recession can lead to increased sensitivity, risk of tooth decay, and aesthetic concerns.
Gum Graft Surgery Before And After Pictures
Dental Gum Graft Complications Complications following gum graft surgery are uncommon, but they can. But see your doctor right away if you notice any oozing or unexpected bleeding around the graft site. Complications of a gum graft are rare. What are the risks or complications of gum graft surgery? Gum recession can lead to increased sensitivity, risk of tooth decay, and aesthetic concerns. To repair the damage and prevent further dental problems, a gum tissue graft may be needed. It is crucial to address the causes of gum recession to prevent further damage. A poorly executed procedure can lead to several complications, including: The recovery period is typically a few weeks and usually involves eating soft or cold foods to avoid damaging the graft. What is it, possible complications, and solutions. During gum grafting surgery, a periodontist will commonly take connective tissue from the roof. Complications following gum graft surgery are uncommon, but they can. Complications are rare, and insurance may or may not. Here's what you can expect during and.
From burbankdentalimplants.com
Complication Bone Graft is Exposed Platelet PRF Treatment Dental Gum Graft Complications Complications are rare, and insurance may or may not. The recovery period is typically a few weeks and usually involves eating soft or cold foods to avoid damaging the graft. But see your doctor right away if you notice any oozing or unexpected bleeding around the graft site. What are the risks or complications of gum graft surgery? A poorly. Dental Gum Graft Complications.
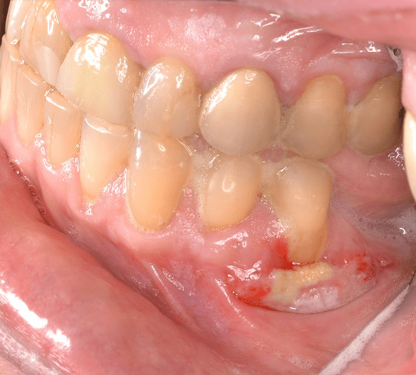
From exohqvaqj.blob.core.windows.net
What Is A Gum Graft Like at Rhonda Fisher blog Dental Gum Graft Complications But see your doctor right away if you notice any oozing or unexpected bleeding around the graft site. A poorly executed procedure can lead to several complications, including: The recovery period is typically a few weeks and usually involves eating soft or cold foods to avoid damaging the graft. It is crucial to address the causes of gum recession to. Dental Gum Graft Complications.
From forestparkdental.com
Important Tips for Recovering From Gum Grafting Surgery Dental Gum Graft Complications It is crucial to address the causes of gum recession to prevent further damage. A poorly executed procedure can lead to several complications, including: Complications following gum graft surgery are uncommon, but they can. What is it, possible complications, and solutions. Complications are rare, and insurance may or may not. But see your doctor right away if you notice any. Dental Gum Graft Complications.
From beforeandafter.netlify.app
Gum Graft Surgery Before And After Pictures Dental Gum Graft Complications Complications of a gum graft are rare. During gum grafting surgery, a periodontist will commonly take connective tissue from the roof. The recovery period is typically a few weeks and usually involves eating soft or cold foods to avoid damaging the graft. Complications are rare, and insurance may or may not. What are the risks or complications of gum graft. Dental Gum Graft Complications.
From mytoothhq.com
Understanding The Possible Problems A Dental Bone Graft ToothHQ Dental Gum Graft Complications During gum grafting surgery, a periodontist will commonly take connective tissue from the roof. What is it, possible complications, and solutions. Complications of a gum graft are rare. What are the risks or complications of gum graft surgery? The recovery period is typically a few weeks and usually involves eating soft or cold foods to avoid damaging the graft. It. Dental Gum Graft Complications.
From klawfjqil.blob.core.windows.net
Dental Stent Gum Graft at Carter Smith blog Dental Gum Graft Complications The recovery period is typically a few weeks and usually involves eating soft or cold foods to avoid damaging the graft. Here's what you can expect during and. To repair the damage and prevent further dental problems, a gum tissue graft may be needed. What is it, possible complications, and solutions. Gum recession can lead to increased sensitivity, risk of. Dental Gum Graft Complications.
From www.suttonpda.com
Gum graft and gum disease surgery Midtown East NYC Dental Gum Graft Complications Here's what you can expect during and. Complications are rare, and insurance may or may not. Gum recession can lead to increased sensitivity, risk of tooth decay, and aesthetic concerns. A poorly executed procedure can lead to several complications, including: But see your doctor right away if you notice any oozing or unexpected bleeding around the graft site. What is. Dental Gum Graft Complications.
From knalos.com
Gum Graft Surgery Techniques, Pros & Cons, and Recovery (2023) Dental Gum Graft Complications What is it, possible complications, and solutions. What are the risks or complications of gum graft surgery? But see your doctor right away if you notice any oozing or unexpected bleeding around the graft site. The recovery period is typically a few weeks and usually involves eating soft or cold foods to avoid damaging the graft. A poorly executed procedure. Dental Gum Graft Complications.
From www.resslerdental.com
Fix receding gums graft repair Boynton Beach Gum Specialist Dental Gum Graft Complications It is crucial to address the causes of gum recession to prevent further damage. To repair the damage and prevent further dental problems, a gum tissue graft may be needed. Complications are rare, and insurance may or may not. The recovery period is typically a few weeks and usually involves eating soft or cold foods to avoid damaging the graft.. Dental Gum Graft Complications.
From imgpile.com
Dental Gum Graft Restoring Healthy Gums And Preventing Tooth Loss Dental Gum Graft Complications Complications following gum graft surgery are uncommon, but they can. Complications of a gum graft are rare. It is crucial to address the causes of gum recession to prevent further damage. What is it, possible complications, and solutions. But see your doctor right away if you notice any oozing or unexpected bleeding around the graft site. The recovery period is. Dental Gum Graft Complications.
From www.tysonsmilestudio.com
Gum Grafting Dentist in Falls Church, VA Dental Gum Graft Complications What are the risks or complications of gum graft surgery? A poorly executed procedure can lead to several complications, including: Complications following gum graft surgery are uncommon, but they can. Here's what you can expect during and. It is crucial to address the causes of gum recession to prevent further damage. The recovery period is typically a few weeks and. Dental Gum Graft Complications.
From www.jcda.ca
Managing Patients with Gingival Graft Failure or Loss jcda Dental Gum Graft Complications The recovery period is typically a few weeks and usually involves eating soft or cold foods to avoid damaging the graft. Complications following gum graft surgery are uncommon, but they can. It is crucial to address the causes of gum recession to prevent further damage. A poorly executed procedure can lead to several complications, including: Complications of a gum graft. Dental Gum Graft Complications.
From www.draxelrad.com
Gum grafts...an explanation Dentist in Brampton, ON Brampton Dentist Dental Gum Graft Complications Here's what you can expect during and. What are the risks or complications of gum graft surgery? During gum grafting surgery, a periodontist will commonly take connective tissue from the roof. Gum recession can lead to increased sensitivity, risk of tooth decay, and aesthetic concerns. But see your doctor right away if you notice any oozing or unexpected bleeding around. Dental Gum Graft Complications.
From www.3stepsmiles.com
Gum Tissue Graft Surgery procedure, causes, techniques and more Dental Gum Graft Complications To repair the damage and prevent further dental problems, a gum tissue graft may be needed. A poorly executed procedure can lead to several complications, including: The recovery period is typically a few weeks and usually involves eating soft or cold foods to avoid damaging the graft. Here's what you can expect during and. Gum recession can lead to increased. Dental Gum Graft Complications.
From sazperio.com
Is it Painful to Have a Gum Graft Procedure? Tucson Periodontist Dental Gum Graft Complications Complications of a gum graft are rare. Here's what you can expect during and. To repair the damage and prevent further dental problems, a gum tissue graft may be needed. The recovery period is typically a few weeks and usually involves eating soft or cold foods to avoid damaging the graft. It is crucial to address the causes of gum. Dental Gum Graft Complications.
From adacschneidero.blob.core.windows.net
Dental Bone Graft Failure Signs at adacschneidero blog Dental Gum Graft Complications A poorly executed procedure can lead to several complications, including: Complications are rare, and insurance may or may not. It is crucial to address the causes of gum recession to prevent further damage. Complications following gum graft surgery are uncommon, but they can. Here's what you can expect during and. What is it, possible complications, and solutions. But see your. Dental Gum Graft Complications.
From www.bodyexpert.online
Dental bone graft what you need to know Body Expert Dental Gum Graft Complications A poorly executed procedure can lead to several complications, including: It is crucial to address the causes of gum recession to prevent further damage. To repair the damage and prevent further dental problems, a gum tissue graft may be needed. The recovery period is typically a few weeks and usually involves eating soft or cold foods to avoid damaging the. Dental Gum Graft Complications.
From www.facialart.com
dental implant gum bone recession complication bone graft kazemi oral Dental Gum Graft Complications To repair the damage and prevent further dental problems, a gum tissue graft may be needed. Complications are rare, and insurance may or may not. The recovery period is typically a few weeks and usually involves eating soft or cold foods to avoid damaging the graft. It is crucial to address the causes of gum recession to prevent further damage.. Dental Gum Graft Complications.
From burbankdentalimplants.com
ComplicationsBone Graft For Failed Full Lower Dental Implants Dental Gum Graft Complications The recovery period is typically a few weeks and usually involves eating soft or cold foods to avoid damaging the graft. Complications following gum graft surgery are uncommon, but they can. Complications of a gum graft are rare. Gum recession can lead to increased sensitivity, risk of tooth decay, and aesthetic concerns. During gum grafting surgery, a periodontist will commonly. Dental Gum Graft Complications.
From www.tooth-life.com
The different healing stages of a gum graft (Day by Day Pictures) Dental Gum Graft Complications A poorly executed procedure can lead to several complications, including: Complications following gum graft surgery are uncommon, but they can. Here's what you can expect during and. Complications are rare, and insurance may or may not. It is crucial to address the causes of gum recession to prevent further damage. What is it, possible complications, and solutions. To repair the. Dental Gum Graft Complications.
From www.facialart.com
Soft Tissue Graft Soft Tissue Graft Kazemi Oral Surgery Dental Gum Graft Complications Here's what you can expect during and. Gum recession can lead to increased sensitivity, risk of tooth decay, and aesthetic concerns. Complications of a gum graft are rare. But see your doctor right away if you notice any oozing or unexpected bleeding around the graft site. A poorly executed procedure can lead to several complications, including: What are the risks. Dental Gum Graft Complications.
From ar.inspiredpencil.com
Gingival Graft Failure Dental Gum Graft Complications The recovery period is typically a few weeks and usually involves eating soft or cold foods to avoid damaging the graft. Gum recession can lead to increased sensitivity, risk of tooth decay, and aesthetic concerns. To repair the damage and prevent further dental problems, a gum tissue graft may be needed. What is it, possible complications, and solutions. Complications of. Dental Gum Graft Complications.
From www.springvaledental.com.au
Understand Dental Bone Grafting from Springvale Dentist Dental Gum Graft Complications But see your doctor right away if you notice any oozing or unexpected bleeding around the graft site. What is it, possible complications, and solutions. During gum grafting surgery, a periodontist will commonly take connective tissue from the roof. It is crucial to address the causes of gum recession to prevent further damage. Gum recession can lead to increased sensitivity,. Dental Gum Graft Complications.
From sandiegoinvisaligndentist.org
Dental Bone Graft Failure Dental News Network Dental Gum Graft Complications Here's what you can expect during and. What are the risks or complications of gum graft surgery? Gum recession can lead to increased sensitivity, risk of tooth decay, and aesthetic concerns. During gum grafting surgery, a periodontist will commonly take connective tissue from the roof. What is it, possible complications, and solutions. But see your doctor right away if you. Dental Gum Graft Complications.
From sandiegoinvisaligndentist.org
What infection is common with dental bone grafting for implants Dental Gum Graft Complications To repair the damage and prevent further dental problems, a gum tissue graft may be needed. Complications are rare, and insurance may or may not. During gum grafting surgery, a periodontist will commonly take connective tissue from the roof. The recovery period is typically a few weeks and usually involves eating soft or cold foods to avoid damaging the graft.. Dental Gum Graft Complications.
From cegmzgtv.blob.core.windows.net
Oral Surgery Bone Graft Complications at Marsha Burroughs blog Dental Gum Graft Complications A poorly executed procedure can lead to several complications, including: What is it, possible complications, and solutions. Complications following gum graft surgery are uncommon, but they can. The recovery period is typically a few weeks and usually involves eating soft or cold foods to avoid damaging the graft. Gum recession can lead to increased sensitivity, risk of tooth decay, and. Dental Gum Graft Complications.
From southernrootsky.com
Gum Grafting Southern Roots Periodontics Dental Gum Graft Complications The recovery period is typically a few weeks and usually involves eating soft or cold foods to avoid damaging the graft. Complications following gum graft surgery are uncommon, but they can. Gum recession can lead to increased sensitivity, risk of tooth decay, and aesthetic concerns. Here's what you can expect during and. A poorly executed procedure can lead to several. Dental Gum Graft Complications.
From www.periodontistphoenix.com
Gum Grafting Everything You Need to Know Arizona Periodontal Group Dental Gum Graft Complications To repair the damage and prevent further dental problems, a gum tissue graft may be needed. What is it, possible complications, and solutions. Here's what you can expect during and. It is crucial to address the causes of gum recession to prevent further damage. Complications are rare, and insurance may or may not. But see your doctor right away if. Dental Gum Graft Complications.
From exydllfwq.blob.core.windows.net
Dental Bone Graft For Gum Disease at Joshua Green blog Dental Gum Graft Complications But see your doctor right away if you notice any oozing or unexpected bleeding around the graft site. To repair the damage and prevent further dental problems, a gum tissue graft may be needed. Complications are rare, and insurance may or may not. What are the risks or complications of gum graft surgery? Complications of a gum graft are rare.. Dental Gum Graft Complications.
From www.atlasdental.ca
Gum Graft Atlas Dental Toronto Dental Gum Graft Complications Here's what you can expect during and. It is crucial to address the causes of gum recession to prevent further damage. What are the risks or complications of gum graft surgery? Complications following gum graft surgery are uncommon, but they can. To repair the damage and prevent further dental problems, a gum tissue graft may be needed. What is it,. Dental Gum Graft Complications.
From www.coastalperio.net
Gingival (Gum) Grafting Coastal Periodontics & Implant Dentistry Dental Gum Graft Complications Complications of a gum graft are rare. Complications following gum graft surgery are uncommon, but they can. Complications are rare, and insurance may or may not. Gum recession can lead to increased sensitivity, risk of tooth decay, and aesthetic concerns. During gum grafting surgery, a periodontist will commonly take connective tissue from the roof. It is crucial to address the. Dental Gum Graft Complications.
From exydllfwq.blob.core.windows.net
Dental Bone Graft For Gum Disease at Joshua Green blog Dental Gum Graft Complications Here's what you can expect during and. What are the risks or complications of gum graft surgery? Complications following gum graft surgery are uncommon, but they can. The recovery period is typically a few weeks and usually involves eating soft or cold foods to avoid damaging the graft. During gum grafting surgery, a periodontist will commonly take connective tissue from. Dental Gum Graft Complications.
From knalos.com
Gum Graft Surgery Techniques, Pros & Cons, and Recovery (2023) Dental Gum Graft Complications Here's what you can expect during and. The recovery period is typically a few weeks and usually involves eating soft or cold foods to avoid damaging the graft. It is crucial to address the causes of gum recession to prevent further damage. But see your doctor right away if you notice any oozing or unexpected bleeding around the graft site.. Dental Gum Graft Complications.
From www.drsamkhoury.com
Gum Grafts Before and After Dr. Sam Khoury Dental Gum Graft Complications It is crucial to address the causes of gum recession to prevent further damage. What are the risks or complications of gum graft surgery? The recovery period is typically a few weeks and usually involves eating soft or cold foods to avoid damaging the graft. During gum grafting surgery, a periodontist will commonly take connective tissue from the roof. Complications. Dental Gum Graft Complications.
From www.burbankdentalimplants.com
Lower Front Teeth Dental Implants With Gum Graft and Immediate Dental Gum Graft Complications The recovery period is typically a few weeks and usually involves eating soft or cold foods to avoid damaging the graft. During gum grafting surgery, a periodontist will commonly take connective tissue from the roof. Complications of a gum graft are rare. Gum recession can lead to increased sensitivity, risk of tooth decay, and aesthetic concerns. Complications following gum graft. Dental Gum Graft Complications.