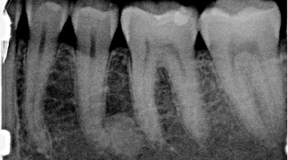
Condensing Osteitis X Ray . Condensing osteitis (periapical sclerosis osteitis or focal sclerosing osteitis): Condensing osteitis or focal sclerosing osteitis is a periapical inflammatory condition. However, imaging characteristics can deviate according to the evolution of the lesion, and cod can be mistaken for a periapical inflammatory lesion at early stages ( 16 ). Note that both the crowns. Condensing osteitis is a dental condition that manifests as a bony radiopacity (observed radiographically), usually in the lower. Mandibular left molar pa radiograph showing condensing osteitis in relation to both first and second molar roots. Condensing osteitis is a periapical inflammatory disease that results from a reaction to a dental related infection. The disease often impacts the bone next to teeth that have undergone endodontic therapy or restored with other techniques. Occurs due to chronic inflammation and is often. Dentists notice abnormal bone growth and lesions in affected molars on the jawbone. A narrow radiolucent halo distinguishes cod from condensing osteitis and idiopathic osteosclerosis.
from www.slideserve.com
A narrow radiolucent halo distinguishes cod from condensing osteitis and idiopathic osteosclerosis. The disease often impacts the bone next to teeth that have undergone endodontic therapy or restored with other techniques. Condensing osteitis or focal sclerosing osteitis is a periapical inflammatory condition. Condensing osteitis is a dental condition that manifests as a bony radiopacity (observed radiographically), usually in the lower. Condensing osteitis (periapical sclerosis osteitis or focal sclerosing osteitis): Dentists notice abnormal bone growth and lesions in affected molars on the jawbone. Occurs due to chronic inflammation and is often. Mandibular left molar pa radiograph showing condensing osteitis in relation to both first and second molar roots. Note that both the crowns. Condensing osteitis is a periapical inflammatory disease that results from a reaction to a dental related infection.
PPT RADIOGRAPHIC INTERPRETATION OF PULPAL AND PERIAPICAL DISEASE
Condensing Osteitis X Ray The disease often impacts the bone next to teeth that have undergone endodontic therapy or restored with other techniques. A narrow radiolucent halo distinguishes cod from condensing osteitis and idiopathic osteosclerosis. Condensing osteitis is a periapical inflammatory disease that results from a reaction to a dental related infection. Condensing osteitis (periapical sclerosis osteitis or focal sclerosing osteitis): Mandibular left molar pa radiograph showing condensing osteitis in relation to both first and second molar roots. The disease often impacts the bone next to teeth that have undergone endodontic therapy or restored with other techniques. Dentists notice abnormal bone growth and lesions in affected molars on the jawbone. Condensing osteitis is a dental condition that manifests as a bony radiopacity (observed radiographically), usually in the lower. Condensing osteitis or focal sclerosing osteitis is a periapical inflammatory condition. However, imaging characteristics can deviate according to the evolution of the lesion, and cod can be mistaken for a periapical inflammatory lesion at early stages ( 16 ). Occurs due to chronic inflammation and is often. Note that both the crowns.
From www.cureus.com
Cureus Osteitis Condensans Ilii An Cause of Back Pain Condensing Osteitis X Ray A narrow radiolucent halo distinguishes cod from condensing osteitis and idiopathic osteosclerosis. Note that both the crowns. Condensing osteitis is a dental condition that manifests as a bony radiopacity (observed radiographically), usually in the lower. Occurs due to chronic inflammation and is often. However, imaging characteristics can deviate according to the evolution of the lesion, and cod can be mistaken. Condensing Osteitis X Ray.
From healthjade.net
Condensing osteitis definition, causes, symptoms, diagnosis & treatment Condensing Osteitis X Ray Condensing osteitis (periapical sclerosis osteitis or focal sclerosing osteitis): Dentists notice abnormal bone growth and lesions in affected molars on the jawbone. A narrow radiolucent halo distinguishes cod from condensing osteitis and idiopathic osteosclerosis. The disease often impacts the bone next to teeth that have undergone endodontic therapy or restored with other techniques. Condensing osteitis or focal sclerosing osteitis is. Condensing Osteitis X Ray.
From www.alamy.com
OSTEITIS, XRAY Stock Photo Alamy Condensing Osteitis X Ray However, imaging characteristics can deviate according to the evolution of the lesion, and cod can be mistaken for a periapical inflammatory lesion at early stages ( 16 ). Condensing osteitis or focal sclerosing osteitis is a periapical inflammatory condition. Dentists notice abnormal bone growth and lesions in affected molars on the jawbone. Occurs due to chronic inflammation and is often.. Condensing Osteitis X Ray.
From peir.path.uab.edu
00095074 PEIR Digital Library Condensing Osteitis X Ray Condensing osteitis is a periapical inflammatory disease that results from a reaction to a dental related infection. Condensing osteitis or focal sclerosing osteitis is a periapical inflammatory condition. Dentists notice abnormal bone growth and lesions in affected molars on the jawbone. Occurs due to chronic inflammation and is often. Condensing osteitis is a dental condition that manifests as a bony. Condensing Osteitis X Ray.
From radiologycases.my
Osteitis Condensans Ilii Radiology Cases Condensing Osteitis X Ray Mandibular left molar pa radiograph showing condensing osteitis in relation to both first and second molar roots. The disease often impacts the bone next to teeth that have undergone endodontic therapy or restored with other techniques. Condensing osteitis (periapical sclerosis osteitis or focal sclerosing osteitis): A narrow radiolucent halo distinguishes cod from condensing osteitis and idiopathic osteosclerosis. However, imaging characteristics. Condensing Osteitis X Ray.
From www.jendodon.com
Histologic Examination of Condensing Osteitis in Cadaver Specimens Condensing Osteitis X Ray Condensing osteitis is a periapical inflammatory disease that results from a reaction to a dental related infection. However, imaging characteristics can deviate according to the evolution of the lesion, and cod can be mistaken for a periapical inflammatory lesion at early stages ( 16 ). Condensing osteitis or focal sclerosing osteitis is a periapical inflammatory condition. A narrow radiolucent halo. Condensing Osteitis X Ray.
From ar.inspiredpencil.com
Condensing Osteitis Condensing Osteitis X Ray Condensing osteitis or focal sclerosing osteitis is a periapical inflammatory condition. Dentists notice abnormal bone growth and lesions in affected molars on the jawbone. Note that both the crowns. Condensing osteitis (periapical sclerosis osteitis or focal sclerosing osteitis): However, imaging characteristics can deviate according to the evolution of the lesion, and cod can be mistaken for a periapical inflammatory lesion. Condensing Osteitis X Ray.
From dentagama.com
Condensing osteitis News Dentagama Condensing Osteitis X Ray A narrow radiolucent halo distinguishes cod from condensing osteitis and idiopathic osteosclerosis. Condensing osteitis is a dental condition that manifests as a bony radiopacity (observed radiographically), usually in the lower. Note that both the crowns. Condensing osteitis is a periapical inflammatory disease that results from a reaction to a dental related infection. The disease often impacts the bone next to. Condensing Osteitis X Ray.
From www.researchgate.net
Osteitis pubis. Pelvic radiograph in a 21yearold soccer player Condensing Osteitis X Ray Condensing osteitis or focal sclerosing osteitis is a periapical inflammatory condition. A narrow radiolucent halo distinguishes cod from condensing osteitis and idiopathic osteosclerosis. Note that both the crowns. The disease often impacts the bone next to teeth that have undergone endodontic therapy or restored with other techniques. Condensing osteitis is a dental condition that manifests as a bony radiopacity (observed. Condensing Osteitis X Ray.
From loegkcgfh.blob.core.windows.net
Condensing Osteitis In Tooth at Arthur Stallworth blog Condensing Osteitis X Ray Condensing osteitis is a dental condition that manifests as a bony radiopacity (observed radiographically), usually in the lower. Condensing osteitis or focal sclerosing osteitis is a periapical inflammatory condition. Condensing osteitis (periapical sclerosis osteitis or focal sclerosing osteitis): Note that both the crowns. A narrow radiolucent halo distinguishes cod from condensing osteitis and idiopathic osteosclerosis. Mandibular left molar pa radiograph. Condensing Osteitis X Ray.
From pocketdentistry.com
20. Inflammatory Disease Pocket Dentistry Condensing Osteitis X Ray Occurs due to chronic inflammation and is often. Condensing osteitis is a dental condition that manifests as a bony radiopacity (observed radiographically), usually in the lower. Note that both the crowns. Dentists notice abnormal bone growth and lesions in affected molars on the jawbone. The disease often impacts the bone next to teeth that have undergone endodontic therapy or restored. Condensing Osteitis X Ray.
From healthjade.net
Condensing osteitis definition, causes, symptoms, diagnosis & treatment Condensing Osteitis X Ray Condensing osteitis or focal sclerosing osteitis is a periapical inflammatory condition. Condensing osteitis is a periapical inflammatory disease that results from a reaction to a dental related infection. Dentists notice abnormal bone growth and lesions in affected molars on the jawbone. Condensing osteitis is a dental condition that manifests as a bony radiopacity (observed radiographically), usually in the lower. A. Condensing Osteitis X Ray.
From www.slideshare.net
Radiology in Endodontics Condensing Osteitis X Ray Occurs due to chronic inflammation and is often. Condensing osteitis or focal sclerosing osteitis is a periapical inflammatory condition. However, imaging characteristics can deviate according to the evolution of the lesion, and cod can be mistaken for a periapical inflammatory lesion at early stages ( 16 ). Condensing osteitis is a dental condition that manifests as a bony radiopacity (observed. Condensing Osteitis X Ray.
From www.researchgate.net
(PDF) A Rare Case of Condensing Osteitis Associated with Root Resorption Condensing Osteitis X Ray Note that both the crowns. Condensing osteitis or focal sclerosing osteitis is a periapical inflammatory condition. However, imaging characteristics can deviate according to the evolution of the lesion, and cod can be mistaken for a periapical inflammatory lesion at early stages ( 16 ). Occurs due to chronic inflammation and is often. Condensing osteitis (periapical sclerosis osteitis or focal sclerosing. Condensing Osteitis X Ray.
From www.boneschool.com
Sternoclavicular Pathology The Bone School Condensing Osteitis X Ray However, imaging characteristics can deviate according to the evolution of the lesion, and cod can be mistaken for a periapical inflammatory lesion at early stages ( 16 ). Condensing osteitis (periapical sclerosis osteitis or focal sclerosing osteitis): Condensing osteitis or focal sclerosing osteitis is a periapical inflammatory condition. Condensing osteitis is a dental condition that manifests as a bony radiopacity. Condensing Osteitis X Ray.
From www.researchgate.net
Sclerosing osteitis in a 35 year old male. The previous restoration was Condensing Osteitis X Ray However, imaging characteristics can deviate according to the evolution of the lesion, and cod can be mistaken for a periapical inflammatory lesion at early stages ( 16 ). Condensing osteitis (periapical sclerosis osteitis or focal sclerosing osteitis): Occurs due to chronic inflammation and is often. A narrow radiolucent halo distinguishes cod from condensing osteitis and idiopathic osteosclerosis. Dentists notice abnormal. Condensing Osteitis X Ray.
From www.pathologyoutlines.com
Pathology Outlines Condensing osteitis Condensing Osteitis X Ray Occurs due to chronic inflammation and is often. Dentists notice abnormal bone growth and lesions in affected molars on the jawbone. The disease often impacts the bone next to teeth that have undergone endodontic therapy or restored with other techniques. Condensing osteitis is a dental condition that manifests as a bony radiopacity (observed radiographically), usually in the lower. Note that. Condensing Osteitis X Ray.
From www.dentistryiq.com
Diagnosis and treatment for Breakthrough Clinical oral pathology case Condensing Osteitis X Ray Condensing osteitis (periapical sclerosis osteitis or focal sclerosing osteitis): Condensing osteitis is a periapical inflammatory disease that results from a reaction to a dental related infection. However, imaging characteristics can deviate according to the evolution of the lesion, and cod can be mistaken for a periapical inflammatory lesion at early stages ( 16 ). Mandibular left molar pa radiograph showing. Condensing Osteitis X Ray.
From file.scirp.org
Osteitis Condensans Ilii Case Report Condensing Osteitis X Ray Condensing osteitis or focal sclerosing osteitis is a periapical inflammatory condition. Note that both the crowns. However, imaging characteristics can deviate according to the evolution of the lesion, and cod can be mistaken for a periapical inflammatory lesion at early stages ( 16 ). Dentists notice abnormal bone growth and lesions in affected molars on the jawbone. Mandibular left molar. Condensing Osteitis X Ray.
From slideplayer.com
Radiographic Features of Periapical Lesions ppt video online download Condensing Osteitis X Ray Condensing osteitis (periapical sclerosis osteitis or focal sclerosing osteitis): Mandibular left molar pa radiograph showing condensing osteitis in relation to both first and second molar roots. Condensing osteitis or focal sclerosing osteitis is a periapical inflammatory condition. Condensing osteitis is a periapical inflammatory disease that results from a reaction to a dental related infection. The disease often impacts the bone. Condensing Osteitis X Ray.
From dentagama.com
Condensing osteitis News Dentagama Condensing Osteitis X Ray Condensing osteitis (periapical sclerosis osteitis or focal sclerosing osteitis): Occurs due to chronic inflammation and is often. A narrow radiolucent halo distinguishes cod from condensing osteitis and idiopathic osteosclerosis. Condensing osteitis is a dental condition that manifests as a bony radiopacity (observed radiographically), usually in the lower. Mandibular left molar pa radiograph showing condensing osteitis in relation to both first. Condensing Osteitis X Ray.
From animalia-life.club
Osteomyelitis Jaw Radiographic Appearance Condensing Osteitis X Ray However, imaging characteristics can deviate according to the evolution of the lesion, and cod can be mistaken for a periapical inflammatory lesion at early stages ( 16 ). Condensing osteitis is a periapical inflammatory disease that results from a reaction to a dental related infection. Note that both the crowns. Condensing osteitis or focal sclerosing osteitis is a periapical inflammatory. Condensing Osteitis X Ray.
From radiologycases.my
Osteitis Condensans Ilii Radiology Cases Condensing Osteitis X Ray Note that both the crowns. Occurs due to chronic inflammation and is often. However, imaging characteristics can deviate according to the evolution of the lesion, and cod can be mistaken for a periapical inflammatory lesion at early stages ( 16 ). A narrow radiolucent halo distinguishes cod from condensing osteitis and idiopathic osteosclerosis. Mandibular left molar pa radiograph showing condensing. Condensing Osteitis X Ray.
From www.slideserve.com
PPT RADIOGRAPHIC INTERPRETATION OF PULPAL AND PERIAPICAL DISEASE Condensing Osteitis X Ray Condensing osteitis or focal sclerosing osteitis is a periapical inflammatory condition. However, imaging characteristics can deviate according to the evolution of the lesion, and cod can be mistaken for a periapical inflammatory lesion at early stages ( 16 ). Condensing osteitis is a dental condition that manifests as a bony radiopacity (observed radiographically), usually in the lower. Condensing osteitis is. Condensing Osteitis X Ray.
From www.researchgate.net
(PDF) A Rare Case of Condensing Osteitis Associated with Root Resorption Condensing Osteitis X Ray Occurs due to chronic inflammation and is often. Condensing osteitis (periapical sclerosis osteitis or focal sclerosing osteitis): Note that both the crowns. The disease often impacts the bone next to teeth that have undergone endodontic therapy or restored with other techniques. Condensing osteitis is a dental condition that manifests as a bony radiopacity (observed radiographically), usually in the lower. A. Condensing Osteitis X Ray.
From twitter.com
Head and Neck Radiology on Twitter "The differential for periapical Condensing Osteitis X Ray Note that both the crowns. Condensing osteitis is a periapical inflammatory disease that results from a reaction to a dental related infection. Mandibular left molar pa radiograph showing condensing osteitis in relation to both first and second molar roots. Condensing osteitis is a dental condition that manifests as a bony radiopacity (observed radiographically), usually in the lower. Occurs due to. Condensing Osteitis X Ray.
From radedasia.com
OSTEITIS CONDENSANS ILII MRI SPINE RADIOLOGY (VIDEO) Radedasia Condensing Osteitis X Ray Mandibular left molar pa radiograph showing condensing osteitis in relation to both first and second molar roots. Condensing osteitis is a dental condition that manifests as a bony radiopacity (observed radiographically), usually in the lower. Condensing osteitis (periapical sclerosis osteitis or focal sclerosing osteitis): Condensing osteitis is a periapical inflammatory disease that results from a reaction to a dental related. Condensing Osteitis X Ray.
From www.youtube.com
XRay Case 30 Osteitis Condensans Ilii YouTube Condensing Osteitis X Ray Note that both the crowns. The disease often impacts the bone next to teeth that have undergone endodontic therapy or restored with other techniques. Condensing osteitis is a dental condition that manifests as a bony radiopacity (observed radiographically), usually in the lower. However, imaging characteristics can deviate according to the evolution of the lesion, and cod can be mistaken for. Condensing Osteitis X Ray.
From www.researchgate.net
Age, sex, and location of condensing osteitis in the mandible Condensing Osteitis X Ray Condensing osteitis is a dental condition that manifests as a bony radiopacity (observed radiographically), usually in the lower. Dentists notice abnormal bone growth and lesions in affected molars on the jawbone. Mandibular left molar pa radiograph showing condensing osteitis in relation to both first and second molar roots. Occurs due to chronic inflammation and is often. Note that both the. Condensing Osteitis X Ray.
From www.researchgate.net
Panoramic radiography images of idiopathic osteosclerosis. a Anterior Condensing Osteitis X Ray Condensing osteitis is a dental condition that manifests as a bony radiopacity (observed radiographically), usually in the lower. A narrow radiolucent halo distinguishes cod from condensing osteitis and idiopathic osteosclerosis. However, imaging characteristics can deviate according to the evolution of the lesion, and cod can be mistaken for a periapical inflammatory lesion at early stages ( 16 ). Mandibular left. Condensing Osteitis X Ray.
From www.slideserve.com
PPT Oral Path Review PowerPoint Presentation, free download ID589654 Condensing Osteitis X Ray Dentists notice abnormal bone growth and lesions in affected molars on the jawbone. Condensing osteitis or focal sclerosing osteitis is a periapical inflammatory condition. Note that both the crowns. Condensing osteitis is a periapical inflammatory disease that results from a reaction to a dental related infection. Condensing osteitis is a dental condition that manifests as a bony radiopacity (observed radiographically),. Condensing Osteitis X Ray.
From www.intechopen.com
Idiopathic osteosclerosis in close proximity to the mesial root of Condensing Osteitis X Ray The disease often impacts the bone next to teeth that have undergone endodontic therapy or restored with other techniques. Condensing osteitis or focal sclerosing osteitis is a periapical inflammatory condition. Mandibular left molar pa radiograph showing condensing osteitis in relation to both first and second molar roots. Condensing osteitis is a dental condition that manifests as a bony radiopacity (observed. Condensing Osteitis X Ray.
From www.intechopen.com
Condensing osteitis associated with left mandibular premolar with large Condensing Osteitis X Ray A narrow radiolucent halo distinguishes cod from condensing osteitis and idiopathic osteosclerosis. Condensing osteitis (periapical sclerosis osteitis or focal sclerosing osteitis): The disease often impacts the bone next to teeth that have undergone endodontic therapy or restored with other techniques. However, imaging characteristics can deviate according to the evolution of the lesion, and cod can be mistaken for a periapical. Condensing Osteitis X Ray.
From www.semanticscholar.org
Figure 2 from Bone reaction capability and the names of inflammatory Condensing Osteitis X Ray Dentists notice abnormal bone growth and lesions in affected molars on the jawbone. Condensing osteitis is a dental condition that manifests as a bony radiopacity (observed radiographically), usually in the lower. The disease often impacts the bone next to teeth that have undergone endodontic therapy or restored with other techniques. Condensing osteitis or focal sclerosing osteitis is a periapical inflammatory. Condensing Osteitis X Ray.
From radiopaedia.org
Image Condensing Osteitis X Ray Dentists notice abnormal bone growth and lesions in affected molars on the jawbone. Condensing osteitis is a dental condition that manifests as a bony radiopacity (observed radiographically), usually in the lower. Condensing osteitis (periapical sclerosis osteitis or focal sclerosing osteitis): Condensing osteitis or focal sclerosing osteitis is a periapical inflammatory condition. The disease often impacts the bone next to teeth. Condensing Osteitis X Ray.