Kawasaki Disease Heart Valve . Kawasaki disease is the second most common vasculitis in childhood (the most common being iga vasculitis). The bag or sac that surrounds. Valvular insufficiencies, particularly of mitral or tricuspid valves, are often observed in the acute phase of kawasaki disease due to valvulitis or myocarditis. The valves inside the heart can also become leaky, so blood can flow backwards (regurgitation). Kawasaki disease is an acute vasculitis of childhood that leads to coronary artery aneurysms in ≈25% of untreated cases. Coronary artery involvement is the. Kawasaki disease can also cause inflammation of the heart muscle (myocarditis) and leakiness of heart valves, but these problems are almost always temporary. Kawasaki disease (kd) is now a common cause of acquired heart disease in children.
from www.wikidoc.org
Coronary artery involvement is the. Valvular insufficiencies, particularly of mitral or tricuspid valves, are often observed in the acute phase of kawasaki disease due to valvulitis or myocarditis. Kawasaki disease (kd) is now a common cause of acquired heart disease in children. The valves inside the heart can also become leaky, so blood can flow backwards (regurgitation). The bag or sac that surrounds. Kawasaki disease can also cause inflammation of the heart muscle (myocarditis) and leakiness of heart valves, but these problems are almost always temporary. Kawasaki disease is the second most common vasculitis in childhood (the most common being iga vasculitis). Kawasaki disease is an acute vasculitis of childhood that leads to coronary artery aneurysms in ≈25% of untreated cases.
Heart in Kawasaki disease wikidoc
Kawasaki Disease Heart Valve The bag or sac that surrounds. The bag or sac that surrounds. Kawasaki disease can also cause inflammation of the heart muscle (myocarditis) and leakiness of heart valves, but these problems are almost always temporary. The valves inside the heart can also become leaky, so blood can flow backwards (regurgitation). Kawasaki disease is the second most common vasculitis in childhood (the most common being iga vasculitis). Kawasaki disease is an acute vasculitis of childhood that leads to coronary artery aneurysms in ≈25% of untreated cases. Valvular insufficiencies, particularly of mitral or tricuspid valves, are often observed in the acute phase of kawasaki disease due to valvulitis or myocarditis. Coronary artery involvement is the. Kawasaki disease (kd) is now a common cause of acquired heart disease in children.
From www.pinterest.com
Heart disease in children Heart disease, Kawasaki disease, Congenital Kawasaki Disease Heart Valve Kawasaki disease is the second most common vasculitis in childhood (the most common being iga vasculitis). Valvular insufficiencies, particularly of mitral or tricuspid valves, are often observed in the acute phase of kawasaki disease due to valvulitis or myocarditis. Coronary artery involvement is the. The bag or sac that surrounds. Kawasaki disease can also cause inflammation of the heart muscle. Kawasaki Disease Heart Valve.
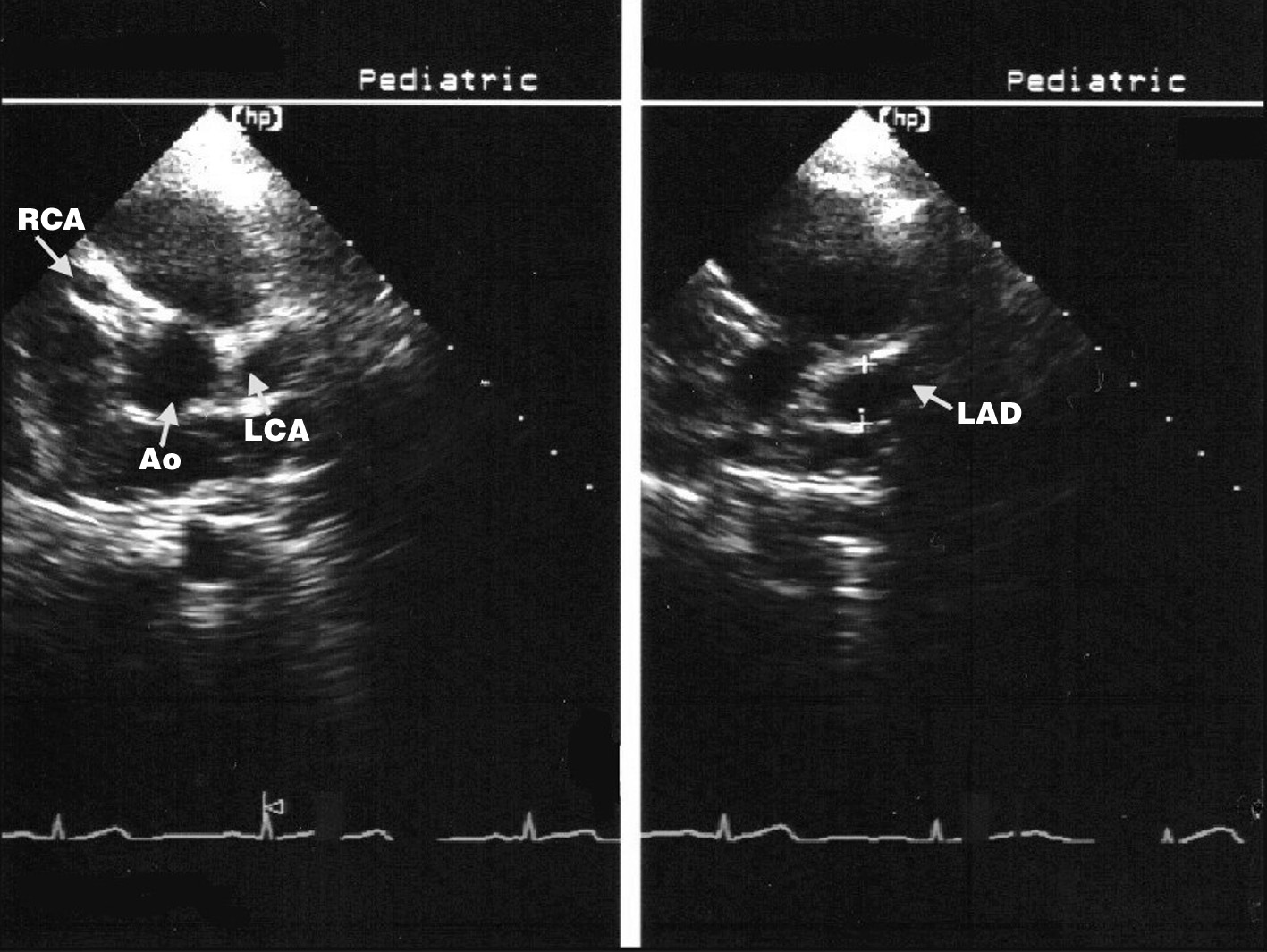
From criticalcare-pediatrics.weebly.com
Acquired Heart Conditions Cardiovascular Conditions of Childhood Kawasaki Disease Heart Valve Kawasaki disease is an acute vasculitis of childhood that leads to coronary artery aneurysms in ≈25% of untreated cases. The bag or sac that surrounds. Coronary artery involvement is the. Kawasaki disease can also cause inflammation of the heart muscle (myocarditis) and leakiness of heart valves, but these problems are almost always temporary. Valvular insufficiencies, particularly of mitral or tricuspid. Kawasaki Disease Heart Valve.
From www.rcemlearning.co.uk
Kawasaki Disease RCEMLearning Kawasaki Disease Heart Valve The bag or sac that surrounds. Kawasaki disease is the second most common vasculitis in childhood (the most common being iga vasculitis). Kawasaki disease is an acute vasculitis of childhood that leads to coronary artery aneurysms in ≈25% of untreated cases. Valvular insufficiencies, particularly of mitral or tricuspid valves, are often observed in the acute phase of kawasaki disease due. Kawasaki Disease Heart Valve.
From www.wikidoc.org
Heart in Kawasaki disease wikidoc Kawasaki Disease Heart Valve Coronary artery involvement is the. Valvular insufficiencies, particularly of mitral or tricuspid valves, are often observed in the acute phase of kawasaki disease due to valvulitis or myocarditis. The bag or sac that surrounds. Kawasaki disease is an acute vasculitis of childhood that leads to coronary artery aneurysms in ≈25% of untreated cases. Kawasaki disease (kd) is now a common. Kawasaki Disease Heart Valve.
From healthjade.net
Rheumatic Heart Disease Causes, Symptoms, Treatment & Prevention Kawasaki Disease Heart Valve Kawasaki disease is an acute vasculitis of childhood that leads to coronary artery aneurysms in ≈25% of untreated cases. The bag or sac that surrounds. The valves inside the heart can also become leaky, so blood can flow backwards (regurgitation). Kawasaki disease can also cause inflammation of the heart muscle (myocarditis) and leakiness of heart valves, but these problems are. Kawasaki Disease Heart Valve.
From www.heart.org
Kawasaki Disease Signs, Symptoms and Diagnosis American Heart Kawasaki Disease Heart Valve Kawasaki disease is an acute vasculitis of childhood that leads to coronary artery aneurysms in ≈25% of untreated cases. The bag or sac that surrounds. Valvular insufficiencies, particularly of mitral or tricuspid valves, are often observed in the acute phase of kawasaki disease due to valvulitis or myocarditis. Kawasaki disease is the second most common vasculitis in childhood (the most. Kawasaki Disease Heart Valve.
From heart.bmj.com
Lifetime cardiovascular management of patients with previous Kawasaki Kawasaki Disease Heart Valve Coronary artery involvement is the. The bag or sac that surrounds. Kawasaki disease can also cause inflammation of the heart muscle (myocarditis) and leakiness of heart valves, but these problems are almost always temporary. Kawasaki disease (kd) is now a common cause of acquired heart disease in children. The valves inside the heart can also become leaky, so blood can. Kawasaki Disease Heart Valve.
From ar.inspiredpencil.com
Kawasaki Disease Heart Kawasaki Disease Heart Valve Coronary artery involvement is the. Valvular insufficiencies, particularly of mitral or tricuspid valves, are often observed in the acute phase of kawasaki disease due to valvulitis or myocarditis. The valves inside the heart can also become leaky, so blood can flow backwards (regurgitation). Kawasaki disease can also cause inflammation of the heart muscle (myocarditis) and leakiness of heart valves, but. Kawasaki Disease Heart Valve.
From www.osmosis.org
Kawasaki disease Video, Anatomy, Definition & Function Osmosis Kawasaki Disease Heart Valve Coronary artery involvement is the. Kawasaki disease (kd) is now a common cause of acquired heart disease in children. The valves inside the heart can also become leaky, so blood can flow backwards (regurgitation). Kawasaki disease can also cause inflammation of the heart muscle (myocarditis) and leakiness of heart valves, but these problems are almost always temporary. Valvular insufficiencies, particularly. Kawasaki Disease Heart Valve.
From mavink.com
Sindrome De Kawasaki Kawasaki Disease Heart Valve Kawasaki disease is the second most common vasculitis in childhood (the most common being iga vasculitis). Valvular insufficiencies, particularly of mitral or tricuspid valves, are often observed in the acute phase of kawasaki disease due to valvulitis or myocarditis. The valves inside the heart can also become leaky, so blood can flow backwards (regurgitation). Kawasaki disease (kd) is now a. Kawasaki Disease Heart Valve.
From heartasia.bmj.com
Kawasaki disease early findings consist of congestive heart Kawasaki Disease Heart Valve Coronary artery involvement is the. Kawasaki disease is the second most common vasculitis in childhood (the most common being iga vasculitis). Kawasaki disease (kd) is now a common cause of acquired heart disease in children. Kawasaki disease is an acute vasculitis of childhood that leads to coronary artery aneurysms in ≈25% of untreated cases. Kawasaki disease can also cause inflammation. Kawasaki Disease Heart Valve.
From heart.bmj.com
Kawasaki's disease Heart Kawasaki Disease Heart Valve Kawasaki disease is an acute vasculitis of childhood that leads to coronary artery aneurysms in ≈25% of untreated cases. Kawasaki disease (kd) is now a common cause of acquired heart disease in children. The bag or sac that surrounds. The valves inside the heart can also become leaky, so blood can flow backwards (regurgitation). Coronary artery involvement is the. Kawasaki. Kawasaki Disease Heart Valve.
From heart.bmj.com
Giant coronary artery aneurysm in Kawasaki disease Heart Kawasaki Disease Heart Valve Coronary artery involvement is the. Kawasaki disease (kd) is now a common cause of acquired heart disease in children. Kawasaki disease is the second most common vasculitis in childhood (the most common being iga vasculitis). The bag or sac that surrounds. Kawasaki disease is an acute vasculitis of childhood that leads to coronary artery aneurysms in ≈25% of untreated cases.. Kawasaki Disease Heart Valve.
From heart.bmj.com
Management of Kawasaki disease in adults Heart Kawasaki Disease Heart Valve The valves inside the heart can also become leaky, so blood can flow backwards (regurgitation). Kawasaki disease is the second most common vasculitis in childhood (the most common being iga vasculitis). Kawasaki disease (kd) is now a common cause of acquired heart disease in children. The bag or sac that surrounds. Valvular insufficiencies, particularly of mitral or tricuspid valves, are. Kawasaki Disease Heart Valve.
From www.vecteezy.com
Closeup human heart with the Kawasaki Symptoms at red blood vessels Kawasaki Disease Heart Valve Kawasaki disease is the second most common vasculitis in childhood (the most common being iga vasculitis). The bag or sac that surrounds. Kawasaki disease can also cause inflammation of the heart muscle (myocarditis) and leakiness of heart valves, but these problems are almost always temporary. The valves inside the heart can also become leaky, so blood can flow backwards (regurgitation).. Kawasaki Disease Heart Valve.
From www.ahajournals.org
Diagnosis, Treatment, and LongTerm Management of Kawasaki Disease A Kawasaki Disease Heart Valve Kawasaki disease is the second most common vasculitis in childhood (the most common being iga vasculitis). Kawasaki disease (kd) is now a common cause of acquired heart disease in children. The bag or sac that surrounds. The valves inside the heart can also become leaky, so blood can flow backwards (regurgitation). Kawasaki disease can also cause inflammation of the heart. Kawasaki Disease Heart Valve.
From www.pinterest.com
Kawasaki's disease Kawasaki disease, Pediatric nursing, Nurse Kawasaki Disease Heart Valve Kawasaki disease can also cause inflammation of the heart muscle (myocarditis) and leakiness of heart valves, but these problems are almost always temporary. Kawasaki disease (kd) is now a common cause of acquired heart disease in children. Valvular insufficiencies, particularly of mitral or tricuspid valves, are often observed in the acute phase of kawasaki disease due to valvulitis or myocarditis.. Kawasaki Disease Heart Valve.
From heart.bmj.com
Delayed appearance of coronary aneurysms in Kawasaki disease Heart Kawasaki Disease Heart Valve Kawasaki disease is the second most common vasculitis in childhood (the most common being iga vasculitis). The valves inside the heart can also become leaky, so blood can flow backwards (regurgitation). Coronary artery involvement is the. Valvular insufficiencies, particularly of mitral or tricuspid valves, are often observed in the acute phase of kawasaki disease due to valvulitis or myocarditis. Kawasaki. Kawasaki Disease Heart Valve.
From www.nejm.org
CoronaryArtery Occlusion from Kawasaki’s Disease NEJM Kawasaki Disease Heart Valve The bag or sac that surrounds. Kawasaki disease (kd) is now a common cause of acquired heart disease in children. Kawasaki disease is the second most common vasculitis in childhood (the most common being iga vasculitis). Coronary artery involvement is the. Kawasaki disease can also cause inflammation of the heart muscle (myocarditis) and leakiness of heart valves, but these problems. Kawasaki Disease Heart Valve.
From www.heart.org
Kawasaki Disease Signs, Symptoms & Diagnosis American Heart Association Kawasaki Disease Heart Valve The valves inside the heart can also become leaky, so blood can flow backwards (regurgitation). Kawasaki disease is an acute vasculitis of childhood that leads to coronary artery aneurysms in ≈25% of untreated cases. Valvular insufficiencies, particularly of mitral or tricuspid valves, are often observed in the acute phase of kawasaki disease due to valvulitis or myocarditis. Kawasaki disease is. Kawasaki Disease Heart Valve.
From www.wikidoc.org
Heart in Kawasaki disease wikidoc Kawasaki Disease Heart Valve Kawasaki disease is an acute vasculitis of childhood that leads to coronary artery aneurysms in ≈25% of untreated cases. Kawasaki disease can also cause inflammation of the heart muscle (myocarditis) and leakiness of heart valves, but these problems are almost always temporary. Kawasaki disease (kd) is now a common cause of acquired heart disease in children. The bag or sac. Kawasaki Disease Heart Valve.
From www.wjgnet.com
STsegment elevation myocardial infarction in Kawasaki disease A case Kawasaki Disease Heart Valve Kawasaki disease can also cause inflammation of the heart muscle (myocarditis) and leakiness of heart valves, but these problems are almost always temporary. The bag or sac that surrounds. Kawasaki disease (kd) is now a common cause of acquired heart disease in children. Coronary artery involvement is the. Kawasaki disease is the second most common vasculitis in childhood (the most. Kawasaki Disease Heart Valve.
From heartasia.bmj.com
Kawasaki disease early findings consist of congestive heart Kawasaki Disease Heart Valve Valvular insufficiencies, particularly of mitral or tricuspid valves, are often observed in the acute phase of kawasaki disease due to valvulitis or myocarditis. Kawasaki disease is the second most common vasculitis in childhood (the most common being iga vasculitis). Kawasaki disease can also cause inflammation of the heart muscle (myocarditis) and leakiness of heart valves, but these problems are almost. Kawasaki Disease Heart Valve.
From www.ahajournals.org
Diagnosis, Treatment, and LongTerm Management of Kawasaki Disease Kawasaki Disease Heart Valve The valves inside the heart can also become leaky, so blood can flow backwards (regurgitation). Coronary artery involvement is the. Kawasaki disease is the second most common vasculitis in childhood (the most common being iga vasculitis). Kawasaki disease can also cause inflammation of the heart muscle (myocarditis) and leakiness of heart valves, but these problems are almost always temporary. Valvular. Kawasaki Disease Heart Valve.
From jamanetwork.com
Summarizing What Has Been Learned About Kawasaki Disease Cardiology Kawasaki Disease Heart Valve Valvular insufficiencies, particularly of mitral or tricuspid valves, are often observed in the acute phase of kawasaki disease due to valvulitis or myocarditis. Kawasaki disease can also cause inflammation of the heart muscle (myocarditis) and leakiness of heart valves, but these problems are almost always temporary. Kawasaki disease (kd) is now a common cause of acquired heart disease in children.. Kawasaki Disease Heart Valve.
From cdt.amegroups.com
Recent updates on echocardiography and ultrasound for Kawasaki disease Kawasaki Disease Heart Valve Valvular insufficiencies, particularly of mitral or tricuspid valves, are often observed in the acute phase of kawasaki disease due to valvulitis or myocarditis. Coronary artery involvement is the. Kawasaki disease is an acute vasculitis of childhood that leads to coronary artery aneurysms in ≈25% of untreated cases. Kawasaki disease (kd) is now a common cause of acquired heart disease in. Kawasaki Disease Heart Valve.
From www.asiaone.com
What is Kawasaki Disease?, Health, Health News AsiaOne Kawasaki Disease Heart Valve Coronary artery involvement is the. The bag or sac that surrounds. Valvular insufficiencies, particularly of mitral or tricuspid valves, are often observed in the acute phase of kawasaki disease due to valvulitis or myocarditis. Kawasaki disease (kd) is now a common cause of acquired heart disease in children. The valves inside the heart can also become leaky, so blood can. Kawasaki Disease Heart Valve.
From heart.bmj.com
Management of Kawasaki disease in adults Heart Kawasaki Disease Heart Valve Kawasaki disease (kd) is now a common cause of acquired heart disease in children. The bag or sac that surrounds. Valvular insufficiencies, particularly of mitral or tricuspid valves, are often observed in the acute phase of kawasaki disease due to valvulitis or myocarditis. Coronary artery involvement is the. The valves inside the heart can also become leaky, so blood can. Kawasaki Disease Heart Valve.
From www.revespcardiol.org
Kawasaki Disease Heart Disease During Childhood Revista Española de Kawasaki Disease Heart Valve Kawasaki disease is an acute vasculitis of childhood that leads to coronary artery aneurysms in ≈25% of untreated cases. Coronary artery involvement is the. The bag or sac that surrounds. The valves inside the heart can also become leaky, so blood can flow backwards (regurgitation). Kawasaki disease (kd) is now a common cause of acquired heart disease in children. Kawasaki. Kawasaki Disease Heart Valve.
From adc.bmj.com
Extracoronary echocardiographic findings as predictors of coronary Kawasaki Disease Heart Valve Kawasaki disease is the second most common vasculitis in childhood (the most common being iga vasculitis). Kawasaki disease can also cause inflammation of the heart muscle (myocarditis) and leakiness of heart valves, but these problems are almost always temporary. Kawasaki disease is an acute vasculitis of childhood that leads to coronary artery aneurysms in ≈25% of untreated cases. The valves. Kawasaki Disease Heart Valve.
From plsaravanancardiologist.com
DISEASES OF HEART VALVES Dr.PL. SaravananDr.PL. Saravanan Kawasaki Disease Heart Valve Kawasaki disease is an acute vasculitis of childhood that leads to coronary artery aneurysms in ≈25% of untreated cases. The bag or sac that surrounds. Kawasaki disease is the second most common vasculitis in childhood (the most common being iga vasculitis). Coronary artery involvement is the. The valves inside the heart can also become leaky, so blood can flow backwards. Kawasaki Disease Heart Valve.
From ar.inspiredpencil.com
Kawasaki Disease Heart Kawasaki Disease Heart Valve Kawasaki disease is an acute vasculitis of childhood that leads to coronary artery aneurysms in ≈25% of untreated cases. Valvular insufficiencies, particularly of mitral or tricuspid valves, are often observed in the acute phase of kawasaki disease due to valvulitis or myocarditis. The valves inside the heart can also become leaky, so blood can flow backwards (regurgitation). Kawasaki disease (kd). Kawasaki Disease Heart Valve.
From www.pinterest.com
Heart Conditions in 2020 Types of heart disease, Heart conditions Kawasaki Disease Heart Valve Valvular insufficiencies, particularly of mitral or tricuspid valves, are often observed in the acute phase of kawasaki disease due to valvulitis or myocarditis. The bag or sac that surrounds. Kawasaki disease is an acute vasculitis of childhood that leads to coronary artery aneurysms in ≈25% of untreated cases. Kawasaki disease (kd) is now a common cause of acquired heart disease. Kawasaki Disease Heart Valve.
From www.ahajournals.org
Diagnosis, Treatment, and LongTerm Management of Kawasaki Disease A Kawasaki Disease Heart Valve Valvular insufficiencies, particularly of mitral or tricuspid valves, are often observed in the acute phase of kawasaki disease due to valvulitis or myocarditis. Kawasaki disease is an acute vasculitis of childhood that leads to coronary artery aneurysms in ≈25% of untreated cases. The bag or sac that surrounds. Kawasaki disease can also cause inflammation of the heart muscle (myocarditis) and. Kawasaki Disease Heart Valve.
From johnsonfrancis.org
Kawasaki disease and coronary involvement All About Cardiovascular Kawasaki Disease Heart Valve Valvular insufficiencies, particularly of mitral or tricuspid valves, are often observed in the acute phase of kawasaki disease due to valvulitis or myocarditis. Kawasaki disease is the second most common vasculitis in childhood (the most common being iga vasculitis). The bag or sac that surrounds. Kawasaki disease (kd) is now a common cause of acquired heart disease in children. Kawasaki. Kawasaki Disease Heart Valve.