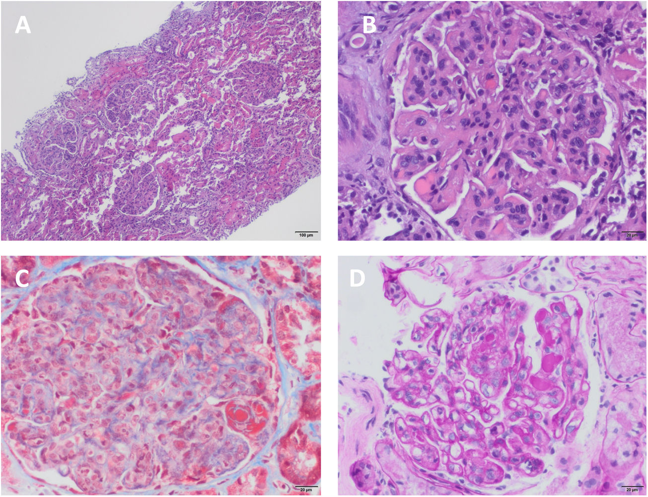
Mixed Cryoglobulinemia And Nephropathy . Mixed cryoglobulinaemia can cause systemic vasculitis, with manifestations ranging from purpura, arthralgia and weakness to more serious lesions with. Mixed cryoglobulinemia is most commonly caused by hcv, with some cases caused by lymphoproliferative or autoimmune disorders. The clinical syndrome of essential mixed cryoglobulinemia (emc) as first described by meltzer et al in 1966 [3]. Types ii and iii cryoglobulins account for up to 90 percent of all cryoglobulinemia cases. The initial laboratory investigation revealed a positive rheumatoid factor (470 iu/ml), positive cryoglobulins (cryocrit 2%, igg. Membranoproliferative glomerulonephritis type 1 is another important organ involvement, which. Mcs can manifest clinically as a systemic. The presence of both polyclonal igg and monoclonal igm (type ii), or of polyclonal igg and polyclonal igm (type iii) identifies the mixed. They consist of a monoclonal igm and.
from www.researchgate.net
The clinical syndrome of essential mixed cryoglobulinemia (emc) as first described by meltzer et al in 1966 [3]. Types ii and iii cryoglobulins account for up to 90 percent of all cryoglobulinemia cases. Mixed cryoglobulinaemia can cause systemic vasculitis, with manifestations ranging from purpura, arthralgia and weakness to more serious lesions with. Mixed cryoglobulinemia is most commonly caused by hcv, with some cases caused by lymphoproliferative or autoimmune disorders. They consist of a monoclonal igm and. Membranoproliferative glomerulonephritis type 1 is another important organ involvement, which. Mcs can manifest clinically as a systemic. The presence of both polyclonal igg and monoclonal igm (type ii), or of polyclonal igg and polyclonal igm (type iii) identifies the mixed. The initial laboratory investigation revealed a positive rheumatoid factor (470 iu/ml), positive cryoglobulins (cryocrit 2%, igg.
Total hemolytic complement activity was determined after reconstitution
Mixed Cryoglobulinemia And Nephropathy Mixed cryoglobulinaemia can cause systemic vasculitis, with manifestations ranging from purpura, arthralgia and weakness to more serious lesions with. Mixed cryoglobulinemia is most commonly caused by hcv, with some cases caused by lymphoproliferative or autoimmune disorders. The initial laboratory investigation revealed a positive rheumatoid factor (470 iu/ml), positive cryoglobulins (cryocrit 2%, igg. Types ii and iii cryoglobulins account for up to 90 percent of all cryoglobulinemia cases. Mixed cryoglobulinaemia can cause systemic vasculitis, with manifestations ranging from purpura, arthralgia and weakness to more serious lesions with. The presence of both polyclonal igg and monoclonal igm (type ii), or of polyclonal igg and polyclonal igm (type iii) identifies the mixed. The clinical syndrome of essential mixed cryoglobulinemia (emc) as first described by meltzer et al in 1966 [3]. They consist of a monoclonal igm and. Mcs can manifest clinically as a systemic. Membranoproliferative glomerulonephritis type 1 is another important organ involvement, which.
From www.dermatologyadvisor.com
Hepatitis C Infection Cutaneous Manifestations Dermatology Advisor Mixed Cryoglobulinemia And Nephropathy Membranoproliferative glomerulonephritis type 1 is another important organ involvement, which. The presence of both polyclonal igg and monoclonal igm (type ii), or of polyclonal igg and polyclonal igm (type iii) identifies the mixed. Mixed cryoglobulinemia is most commonly caused by hcv, with some cases caused by lymphoproliferative or autoimmune disorders. Mixed cryoglobulinaemia can cause systemic vasculitis, with manifestations ranging from. Mixed Cryoglobulinemia And Nephropathy.
From www.slideserve.com
PPT Cryoglobulins PowerPoint Presentation, free download ID73540 Mixed Cryoglobulinemia And Nephropathy Mixed cryoglobulinemia is most commonly caused by hcv, with some cases caused by lymphoproliferative or autoimmune disorders. The presence of both polyclonal igg and monoclonal igm (type ii), or of polyclonal igg and polyclonal igm (type iii) identifies the mixed. Types ii and iii cryoglobulins account for up to 90 percent of all cryoglobulinemia cases. Mcs can manifest clinically as. Mixed Cryoglobulinemia And Nephropathy.
From www.researchgate.net
(PDF) Management of mixed cryoglobulinemia with rituximab evidence and Mixed Cryoglobulinemia And Nephropathy Mixed cryoglobulinaemia can cause systemic vasculitis, with manifestations ranging from purpura, arthralgia and weakness to more serious lesions with. Mcs can manifest clinically as a systemic. The presence of both polyclonal igg and monoclonal igm (type ii), or of polyclonal igg and polyclonal igm (type iii) identifies the mixed. The initial laboratory investigation revealed a positive rheumatoid factor (470 iu/ml),. Mixed Cryoglobulinemia And Nephropathy.
From www.researchgate.net
Total hemolytic complement activity was determined after reconstitution Mixed Cryoglobulinemia And Nephropathy Mcs can manifest clinically as a systemic. The initial laboratory investigation revealed a positive rheumatoid factor (470 iu/ml), positive cryoglobulins (cryocrit 2%, igg. The presence of both polyclonal igg and monoclonal igm (type ii), or of polyclonal igg and polyclonal igm (type iii) identifies the mixed. Membranoproliferative glomerulonephritis type 1 is another important organ involvement, which. Types ii and iii. Mixed Cryoglobulinemia And Nephropathy.
From www.slideserve.com
PPT Cryoglobulins PowerPoint Presentation ID73540 Mixed Cryoglobulinemia And Nephropathy The initial laboratory investigation revealed a positive rheumatoid factor (470 iu/ml), positive cryoglobulins (cryocrit 2%, igg. Mcs can manifest clinically as a systemic. Types ii and iii cryoglobulins account for up to 90 percent of all cryoglobulinemia cases. The clinical syndrome of essential mixed cryoglobulinemia (emc) as first described by meltzer et al in 1966 [3]. Mixed cryoglobulinemia is most. Mixed Cryoglobulinemia And Nephropathy.
From www.kidney-international.org
Recognizing the true face of noninfectious cryoglobulinemic Mixed Cryoglobulinemia And Nephropathy Membranoproliferative glomerulonephritis type 1 is another important organ involvement, which. Mixed cryoglobulinemia is most commonly caused by hcv, with some cases caused by lymphoproliferative or autoimmune disorders. Mixed cryoglobulinaemia can cause systemic vasculitis, with manifestations ranging from purpura, arthralgia and weakness to more serious lesions with. The clinical syndrome of essential mixed cryoglobulinemia (emc) as first described by meltzer et. Mixed Cryoglobulinemia And Nephropathy.
From exoivhpev.blob.core.windows.net
Essential Mixed Cryoglobulinemia Labs at Amanda Carney blog Mixed Cryoglobulinemia And Nephropathy Membranoproliferative glomerulonephritis type 1 is another important organ involvement, which. Mixed cryoglobulinaemia can cause systemic vasculitis, with manifestations ranging from purpura, arthralgia and weakness to more serious lesions with. The presence of both polyclonal igg and monoclonal igm (type ii), or of polyclonal igg and polyclonal igm (type iii) identifies the mixed. Mcs can manifest clinically as a systemic. Mixed. Mixed Cryoglobulinemia And Nephropathy.
From www.revistanefrologia.com
Inmunoglobulinmediated glomerulonephritis and mixed cryoglobulinemia Mixed Cryoglobulinemia And Nephropathy The clinical syndrome of essential mixed cryoglobulinemia (emc) as first described by meltzer et al in 1966 [3]. Mcs can manifest clinically as a systemic. Mixed cryoglobulinaemia can cause systemic vasculitis, with manifestations ranging from purpura, arthralgia and weakness to more serious lesions with. The presence of both polyclonal igg and monoclonal igm (type ii), or of polyclonal igg and. Mixed Cryoglobulinemia And Nephropathy.
From www.slideserve.com
PPT Secondary Glomerulonephritis PowerPoint Presentation, free Mixed Cryoglobulinemia And Nephropathy Mixed cryoglobulinemia is most commonly caused by hcv, with some cases caused by lymphoproliferative or autoimmune disorders. The clinical syndrome of essential mixed cryoglobulinemia (emc) as first described by meltzer et al in 1966 [3]. Mcs can manifest clinically as a systemic. Mixed cryoglobulinaemia can cause systemic vasculitis, with manifestations ranging from purpura, arthralgia and weakness to more serious lesions. Mixed Cryoglobulinemia And Nephropathy.
From www.researchgate.net
Management algorithm for noninfectious mixed cryoglobulinemia. CNS Mixed Cryoglobulinemia And Nephropathy Mcs can manifest clinically as a systemic. Mixed cryoglobulinemia is most commonly caused by hcv, with some cases caused by lymphoproliferative or autoimmune disorders. Mixed cryoglobulinaemia can cause systemic vasculitis, with manifestations ranging from purpura, arthralgia and weakness to more serious lesions with. The clinical syndrome of essential mixed cryoglobulinemia (emc) as first described by meltzer et al in 1966. Mixed Cryoglobulinemia And Nephropathy.
From www.slideserve.com
PPT Cryoglobulinemia PowerPoint Presentation, free download ID5693485 Mixed Cryoglobulinemia And Nephropathy Types ii and iii cryoglobulins account for up to 90 percent of all cryoglobulinemia cases. They consist of a monoclonal igm and. Mcs can manifest clinically as a systemic. Membranoproliferative glomerulonephritis type 1 is another important organ involvement, which. The presence of both polyclonal igg and monoclonal igm (type ii), or of polyclonal igg and polyclonal igm (type iii) identifies. Mixed Cryoglobulinemia And Nephropathy.
From www.slideserve.com
PPT Clinical Pathology Conference Pulmonary PowerPoint Presentation Mixed Cryoglobulinemia And Nephropathy Types ii and iii cryoglobulins account for up to 90 percent of all cryoglobulinemia cases. The clinical syndrome of essential mixed cryoglobulinemia (emc) as first described by meltzer et al in 1966 [3]. They consist of a monoclonal igm and. Membranoproliferative glomerulonephritis type 1 is another important organ involvement, which. The initial laboratory investigation revealed a positive rheumatoid factor (470. Mixed Cryoglobulinemia And Nephropathy.
From www.slideshare.net
Hcv Meh Cacoub Mixed Cryoglobulinemia And Nephropathy Types ii and iii cryoglobulins account for up to 90 percent of all cryoglobulinemia cases. Mixed cryoglobulinaemia can cause systemic vasculitis, with manifestations ranging from purpura, arthralgia and weakness to more serious lesions with. The presence of both polyclonal igg and monoclonal igm (type ii), or of polyclonal igg and polyclonal igm (type iii) identifies the mixed. The initial laboratory. Mixed Cryoglobulinemia And Nephropathy.
From slideplayer.com
Hepatitis. ppt download Mixed Cryoglobulinemia And Nephropathy Mixed cryoglobulinemia is most commonly caused by hcv, with some cases caused by lymphoproliferative or autoimmune disorders. The clinical syndrome of essential mixed cryoglobulinemia (emc) as first described by meltzer et al in 1966 [3]. Membranoproliferative glomerulonephritis type 1 is another important organ involvement, which. The presence of both polyclonal igg and monoclonal igm (type ii), or of polyclonal igg. Mixed Cryoglobulinemia And Nephropathy.
From www.arkanalabs.com
Type 1 Cryoglobulins Teaching Point Arkana Laboratories Mixed Cryoglobulinemia And Nephropathy The clinical syndrome of essential mixed cryoglobulinemia (emc) as first described by meltzer et al in 1966 [3]. Types ii and iii cryoglobulins account for up to 90 percent of all cryoglobulinemia cases. Membranoproliferative glomerulonephritis type 1 is another important organ involvement, which. They consist of a monoclonal igm and. The initial laboratory investigation revealed a positive rheumatoid factor (470. Mixed Cryoglobulinemia And Nephropathy.
From www.blood-academy.com
Cryoglobulin classification Blood Academy Mixed Cryoglobulinemia And Nephropathy The presence of both polyclonal igg and monoclonal igm (type ii), or of polyclonal igg and polyclonal igm (type iii) identifies the mixed. Mcs can manifest clinically as a systemic. Types ii and iii cryoglobulins account for up to 90 percent of all cryoglobulinemia cases. The initial laboratory investigation revealed a positive rheumatoid factor (470 iu/ml), positive cryoglobulins (cryocrit 2%,. Mixed Cryoglobulinemia And Nephropathy.
From healthjade.net
Cryoglobulinemia Causes, Types, Symptoms, Diagnosis & Treatment Mixed Cryoglobulinemia And Nephropathy Membranoproliferative glomerulonephritis type 1 is another important organ involvement, which. The presence of both polyclonal igg and monoclonal igm (type ii), or of polyclonal igg and polyclonal igm (type iii) identifies the mixed. Mcs can manifest clinically as a systemic. They consist of a monoclonal igm and. Mixed cryoglobulinemia is most commonly caused by hcv, with some cases caused by. Mixed Cryoglobulinemia And Nephropathy.
From clinmedjournals.org
A Case of Cryoglobulinemia after Successful Hepatitis C Virus Treatment Mixed Cryoglobulinemia And Nephropathy The initial laboratory investigation revealed a positive rheumatoid factor (470 iu/ml), positive cryoglobulins (cryocrit 2%, igg. Membranoproliferative glomerulonephritis type 1 is another important organ involvement, which. Mixed cryoglobulinaemia can cause systemic vasculitis, with manifestations ranging from purpura, arthralgia and weakness to more serious lesions with. Mcs can manifest clinically as a systemic. Mixed cryoglobulinemia is most commonly caused by hcv,. Mixed Cryoglobulinemia And Nephropathy.
From www.arkanalabs.com
Cryoglobulinemia Archives Arkana Laboratories Mixed Cryoglobulinemia And Nephropathy The presence of both polyclonal igg and monoclonal igm (type ii), or of polyclonal igg and polyclonal igm (type iii) identifies the mixed. Mcs can manifest clinically as a systemic. Mixed cryoglobulinaemia can cause systemic vasculitis, with manifestations ranging from purpura, arthralgia and weakness to more serious lesions with. They consist of a monoclonal igm and. The initial laboratory investigation. Mixed Cryoglobulinemia And Nephropathy.
From www.frontiersin.org
Frontiers HCVAssociated Nephropathies in the Era of Direct Acting Mixed Cryoglobulinemia And Nephropathy Mixed cryoglobulinemia is most commonly caused by hcv, with some cases caused by lymphoproliferative or autoimmune disorders. Types ii and iii cryoglobulins account for up to 90 percent of all cryoglobulinemia cases. They consist of a monoclonal igm and. The clinical syndrome of essential mixed cryoglobulinemia (emc) as first described by meltzer et al in 1966 [3]. Mixed cryoglobulinaemia can. Mixed Cryoglobulinemia And Nephropathy.
From www.oncotarget.com
The challenge of treating hepatitis C virusassociated cryoglobulinemic Mixed Cryoglobulinemia And Nephropathy The clinical syndrome of essential mixed cryoglobulinemia (emc) as first described by meltzer et al in 1966 [3]. Mixed cryoglobulinaemia can cause systemic vasculitis, with manifestations ranging from purpura, arthralgia and weakness to more serious lesions with. They consist of a monoclonal igm and. Mcs can manifest clinically as a systemic. Membranoproliferative glomerulonephritis type 1 is another important organ involvement,. Mixed Cryoglobulinemia And Nephropathy.
From clinmedjournals.org
A Case of Cryoglobulinemia after Successful Hepatitis C Virus Treatment Mixed Cryoglobulinemia And Nephropathy Mixed cryoglobulinaemia can cause systemic vasculitis, with manifestations ranging from purpura, arthralgia and weakness to more serious lesions with. They consist of a monoclonal igm and. Mcs can manifest clinically as a systemic. Types ii and iii cryoglobulins account for up to 90 percent of all cryoglobulinemia cases. The presence of both polyclonal igg and monoclonal igm (type ii), or. Mixed Cryoglobulinemia And Nephropathy.
From healthjade.net
Cryoglobulinemia Causes, Types, Symptoms, Diagnosis & Treatment Mixed Cryoglobulinemia And Nephropathy Mixed cryoglobulinemia is most commonly caused by hcv, with some cases caused by lymphoproliferative or autoimmune disorders. Mixed cryoglobulinaemia can cause systemic vasculitis, with manifestations ranging from purpura, arthralgia and weakness to more serious lesions with. Membranoproliferative glomerulonephritis type 1 is another important organ involvement, which. The initial laboratory investigation revealed a positive rheumatoid factor (470 iu/ml), positive cryoglobulins (cryocrit. Mixed Cryoglobulinemia And Nephropathy.
From journals.sagepub.com
Detectable serum IgM monoclonal gammopathy in nonhepatitisassociated Mixed Cryoglobulinemia And Nephropathy Types ii and iii cryoglobulins account for up to 90 percent of all cryoglobulinemia cases. Mcs can manifest clinically as a systemic. The presence of both polyclonal igg and monoclonal igm (type ii), or of polyclonal igg and polyclonal igm (type iii) identifies the mixed. The initial laboratory investigation revealed a positive rheumatoid factor (470 iu/ml), positive cryoglobulins (cryocrit 2%,. Mixed Cryoglobulinemia And Nephropathy.
From www.researchgate.net
(PDF) Mixed cryoglobulinemia and secondary membranoproliferative Mixed Cryoglobulinemia And Nephropathy The initial laboratory investigation revealed a positive rheumatoid factor (470 iu/ml), positive cryoglobulins (cryocrit 2%, igg. Mixed cryoglobulinemia is most commonly caused by hcv, with some cases caused by lymphoproliferative or autoimmune disorders. Membranoproliferative glomerulonephritis type 1 is another important organ involvement, which. Mixed cryoglobulinaemia can cause systemic vasculitis, with manifestations ranging from purpura, arthralgia and weakness to more serious. Mixed Cryoglobulinemia And Nephropathy.
From clinmedjournals.org
A Case of Cryoglobulinemia after Successful Hepatitis C Virus Treatment Mixed Cryoglobulinemia And Nephropathy The presence of both polyclonal igg and monoclonal igm (type ii), or of polyclonal igg and polyclonal igm (type iii) identifies the mixed. They consist of a monoclonal igm and. Mcs can manifest clinically as a systemic. Mixed cryoglobulinemia is most commonly caused by hcv, with some cases caused by lymphoproliferative or autoimmune disorders. The initial laboratory investigation revealed a. Mixed Cryoglobulinemia And Nephropathy.
From www.academia.edu
(PDF) Identification of glomerular immune deposits in cryoglobulinemia Mixed Cryoglobulinemia And Nephropathy The clinical syndrome of essential mixed cryoglobulinemia (emc) as first described by meltzer et al in 1966 [3]. The initial laboratory investigation revealed a positive rheumatoid factor (470 iu/ml), positive cryoglobulins (cryocrit 2%, igg. The presence of both polyclonal igg and monoclonal igm (type ii), or of polyclonal igg and polyclonal igm (type iii) identifies the mixed. Mixed cryoglobulinaemia can. Mixed Cryoglobulinemia And Nephropathy.
From www.researchgate.net
(upper). Patient 5 with mixed IgGIgM cryoglobulinemia. A portion of a Mixed Cryoglobulinemia And Nephropathy Membranoproliferative glomerulonephritis type 1 is another important organ involvement, which. Mixed cryoglobulinemia is most commonly caused by hcv, with some cases caused by lymphoproliferative or autoimmune disorders. Types ii and iii cryoglobulins account for up to 90 percent of all cryoglobulinemia cases. The initial laboratory investigation revealed a positive rheumatoid factor (470 iu/ml), positive cryoglobulins (cryocrit 2%, igg. Mixed cryoglobulinaemia. Mixed Cryoglobulinemia And Nephropathy.
From www.frontiersin.org
Frontiers Hepatitis B virusinfection related cryoglobulinemic Mixed Cryoglobulinemia And Nephropathy Types ii and iii cryoglobulins account for up to 90 percent of all cryoglobulinemia cases. They consist of a monoclonal igm and. Mixed cryoglobulinemia is most commonly caused by hcv, with some cases caused by lymphoproliferative or autoimmune disorders. Mcs can manifest clinically as a systemic. Mixed cryoglobulinaemia can cause systemic vasculitis, with manifestations ranging from purpura, arthralgia and weakness. Mixed Cryoglobulinemia And Nephropathy.
From www.nejm.org
Case 511990 — A 57YearOld Man with Hepatic Cirrhosis Mixed Cryoglobulinemia And Nephropathy Mixed cryoglobulinaemia can cause systemic vasculitis, with manifestations ranging from purpura, arthralgia and weakness to more serious lesions with. They consist of a monoclonal igm and. The presence of both polyclonal igg and monoclonal igm (type ii), or of polyclonal igg and polyclonal igm (type iii) identifies the mixed. Types ii and iii cryoglobulins account for up to 90 percent. Mixed Cryoglobulinemia And Nephropathy.
From www.dermatologyadvisor.com
Cryoglobulinemia (Coldrelated gelling, Cold related agglutination Mixed Cryoglobulinemia And Nephropathy The initial laboratory investigation revealed a positive rheumatoid factor (470 iu/ml), positive cryoglobulins (cryocrit 2%, igg. They consist of a monoclonal igm and. Mcs can manifest clinically as a systemic. The presence of both polyclonal igg and monoclonal igm (type ii), or of polyclonal igg and polyclonal igm (type iii) identifies the mixed. Mixed cryoglobulinaemia can cause systemic vasculitis, with. Mixed Cryoglobulinemia And Nephropathy.
From jcp.bmj.com
Cryoglobulins Journal of Clinical Pathology Mixed Cryoglobulinemia And Nephropathy Mixed cryoglobulinaemia can cause systemic vasculitis, with manifestations ranging from purpura, arthralgia and weakness to more serious lesions with. The initial laboratory investigation revealed a positive rheumatoid factor (470 iu/ml), positive cryoglobulins (cryocrit 2%, igg. Mixed cryoglobulinemia is most commonly caused by hcv, with some cases caused by lymphoproliferative or autoimmune disorders. Types ii and iii cryoglobulins account for up. Mixed Cryoglobulinemia And Nephropathy.
From www.pathologyoutlines.com
Pathology Outlines Cryoglobulinemia Mixed Cryoglobulinemia And Nephropathy Mixed cryoglobulinemia is most commonly caused by hcv, with some cases caused by lymphoproliferative or autoimmune disorders. The presence of both polyclonal igg and monoclonal igm (type ii), or of polyclonal igg and polyclonal igm (type iii) identifies the mixed. The clinical syndrome of essential mixed cryoglobulinemia (emc) as first described by meltzer et al in 1966 [3]. Membranoproliferative glomerulonephritis. Mixed Cryoglobulinemia And Nephropathy.
From www.slideshare.net
Hcv Meh Cacoub Mixed Cryoglobulinemia And Nephropathy They consist of a monoclonal igm and. The presence of both polyclonal igg and monoclonal igm (type ii), or of polyclonal igg and polyclonal igm (type iii) identifies the mixed. Mixed cryoglobulinaemia can cause systemic vasculitis, with manifestations ranging from purpura, arthralgia and weakness to more serious lesions with. The clinical syndrome of essential mixed cryoglobulinemia (emc) as first described. Mixed Cryoglobulinemia And Nephropathy.
From slideplayer.com
Practical Blood Bank Lab 11 Cyroglobulin. ppt download Mixed Cryoglobulinemia And Nephropathy Types ii and iii cryoglobulins account for up to 90 percent of all cryoglobulinemia cases. They consist of a monoclonal igm and. Mixed cryoglobulinaemia can cause systemic vasculitis, with manifestations ranging from purpura, arthralgia and weakness to more serious lesions with. The initial laboratory investigation revealed a positive rheumatoid factor (470 iu/ml), positive cryoglobulins (cryocrit 2%, igg. Mcs can manifest. Mixed Cryoglobulinemia And Nephropathy.