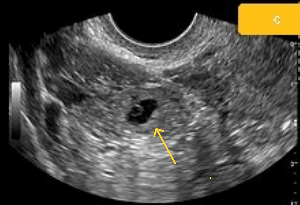
Scar Ectopic Pregnancy Case Report . Early recognition and prompt treatment of. Four doses of 1 mg/kg intravenous. Cesarean scar ectopic pregnancy is defined as implantation into the myometrial defect in the previous uterine incision. The current literature on cesarean scar pregnancy indicates that it is a relatively new type of ectopic pregnancy that is related to an. (11) reported a case of live scar ectopic pregnancy with hcg levels of 297969 miu.
from www.researchgate.net
Early recognition and prompt treatment of. (11) reported a case of live scar ectopic pregnancy with hcg levels of 297969 miu. Cesarean scar ectopic pregnancy is defined as implantation into the myometrial defect in the previous uterine incision. The current literature on cesarean scar pregnancy indicates that it is a relatively new type of ectopic pregnancy that is related to an. Four doses of 1 mg/kg intravenous.
(PDF) Advanced 11 weeks CS scar ectopic pregnancy a case report
Scar Ectopic Pregnancy Case Report Cesarean scar ectopic pregnancy is defined as implantation into the myometrial defect in the previous uterine incision. Early recognition and prompt treatment of. Four doses of 1 mg/kg intravenous. (11) reported a case of live scar ectopic pregnancy with hcg levels of 297969 miu. The current literature on cesarean scar pregnancy indicates that it is a relatively new type of ectopic pregnancy that is related to an. Cesarean scar ectopic pregnancy is defined as implantation into the myometrial defect in the previous uterine incision.
From www.cureus.com
Cureus Rare Cesarean Scar Ectopic Pregnancy With Tubal Ectopic Pregnancy A Case Scar Ectopic Pregnancy Case Report The current literature on cesarean scar pregnancy indicates that it is a relatively new type of ectopic pregnancy that is related to an. Four doses of 1 mg/kg intravenous. Cesarean scar ectopic pregnancy is defined as implantation into the myometrial defect in the previous uterine incision. Early recognition and prompt treatment of. (11) reported a case of live scar ectopic. Scar Ectopic Pregnancy Case Report.
From www.researchgate.net
(PDF) Advanced 11 weeks CS scar ectopic pregnancy a case report Scar Ectopic Pregnancy Case Report (11) reported a case of live scar ectopic pregnancy with hcg levels of 297969 miu. Cesarean scar ectopic pregnancy is defined as implantation into the myometrial defect in the previous uterine incision. The current literature on cesarean scar pregnancy indicates that it is a relatively new type of ectopic pregnancy that is related to an. Early recognition and prompt treatment. Scar Ectopic Pregnancy Case Report.
From wjwch.com
Cesarean scar ectopic pregnancy Case report Wadia Journal of Women and Child Health Scar Ectopic Pregnancy Case Report (11) reported a case of live scar ectopic pregnancy with hcg levels of 297969 miu. Four doses of 1 mg/kg intravenous. The current literature on cesarean scar pregnancy indicates that it is a relatively new type of ectopic pregnancy that is related to an. Early recognition and prompt treatment of. Cesarean scar ectopic pregnancy is defined as implantation into the. Scar Ectopic Pregnancy Case Report.
From www.researchgate.net
(PDF) Ectopic Scar Pregnancy in a 31yearold Female with Comorbid A Case Report and Literature Scar Ectopic Pregnancy Case Report Early recognition and prompt treatment of. Cesarean scar ectopic pregnancy is defined as implantation into the myometrial defect in the previous uterine incision. Four doses of 1 mg/kg intravenous. (11) reported a case of live scar ectopic pregnancy with hcg levels of 297969 miu. The current literature on cesarean scar pregnancy indicates that it is a relatively new type of. Scar Ectopic Pregnancy Case Report.
From www.researchgate.net
(PDF) An Ectopic Scar Pregnancy A Case Report Scar Ectopic Pregnancy Case Report The current literature on cesarean scar pregnancy indicates that it is a relatively new type of ectopic pregnancy that is related to an. (11) reported a case of live scar ectopic pregnancy with hcg levels of 297969 miu. Early recognition and prompt treatment of. Four doses of 1 mg/kg intravenous. Cesarean scar ectopic pregnancy is defined as implantation into the. Scar Ectopic Pregnancy Case Report.
From www.ajog.org
Twin cesarean scar ectopic pregnancy treated with systemic and local methotrexate American Scar Ectopic Pregnancy Case Report Early recognition and prompt treatment of. (11) reported a case of live scar ectopic pregnancy with hcg levels of 297969 miu. Four doses of 1 mg/kg intravenous. Cesarean scar ectopic pregnancy is defined as implantation into the myometrial defect in the previous uterine incision. The current literature on cesarean scar pregnancy indicates that it is a relatively new type of. Scar Ectopic Pregnancy Case Report.
From www.researchgate.net
(PDF) Ectopic Pregnancy Within a Cesarean Section Scar Report of Two Cases Scar Ectopic Pregnancy Case Report The current literature on cesarean scar pregnancy indicates that it is a relatively new type of ectopic pregnancy that is related to an. Four doses of 1 mg/kg intravenous. Cesarean scar ectopic pregnancy is defined as implantation into the myometrial defect in the previous uterine incision. Early recognition and prompt treatment of. (11) reported a case of live scar ectopic. Scar Ectopic Pregnancy Case Report.
From www.researchgate.net
(PDF) Scar Ectopic Pregnancy as an Site of Ectopic Pregnancy A Case Report and Scar Ectopic Pregnancy Case Report Cesarean scar ectopic pregnancy is defined as implantation into the myometrial defect in the previous uterine incision. The current literature on cesarean scar pregnancy indicates that it is a relatively new type of ectopic pregnancy that is related to an. Four doses of 1 mg/kg intravenous. Early recognition and prompt treatment of. (11) reported a case of live scar ectopic. Scar Ectopic Pregnancy Case Report.
From www.primescholars.com
Expectant Management of Cesarean Scar Ectopic Pregnancy A Case Report Scar Ectopic Pregnancy Case Report Early recognition and prompt treatment of. (11) reported a case of live scar ectopic pregnancy with hcg levels of 297969 miu. Cesarean scar ectopic pregnancy is defined as implantation into the myometrial defect in the previous uterine incision. Four doses of 1 mg/kg intravenous. The current literature on cesarean scar pregnancy indicates that it is a relatively new type of. Scar Ectopic Pregnancy Case Report.
From vdocuments.mx
Ectopic pregnancy within a cesarean delivery scar A case report [PDF Document] Scar Ectopic Pregnancy Case Report The current literature on cesarean scar pregnancy indicates that it is a relatively new type of ectopic pregnancy that is related to an. Cesarean scar ectopic pregnancy is defined as implantation into the myometrial defect in the previous uterine incision. (11) reported a case of live scar ectopic pregnancy with hcg levels of 297969 miu. Early recognition and prompt treatment. Scar Ectopic Pregnancy Case Report.
From www.scielo.br
SciELO Brasil Local management with methotrexate of cesarean scar ectopic pregnancy with Scar Ectopic Pregnancy Case Report Four doses of 1 mg/kg intravenous. Early recognition and prompt treatment of. Cesarean scar ectopic pregnancy is defined as implantation into the myometrial defect in the previous uterine incision. The current literature on cesarean scar pregnancy indicates that it is a relatively new type of ectopic pregnancy that is related to an. (11) reported a case of live scar ectopic. Scar Ectopic Pregnancy Case Report.
From www.researchgate.net
(PDF) Cesarean section scar ectopic pregnancy A management conundrum A case report Scar Ectopic Pregnancy Case Report Early recognition and prompt treatment of. (11) reported a case of live scar ectopic pregnancy with hcg levels of 297969 miu. Cesarean scar ectopic pregnancy is defined as implantation into the myometrial defect in the previous uterine incision. Four doses of 1 mg/kg intravenous. The current literature on cesarean scar pregnancy indicates that it is a relatively new type of. Scar Ectopic Pregnancy Case Report.
From www.researchgate.net
(PDF) CAESAREAN SCAR ECTOPIC PREGNANCY 2 CASE REPORTS Scar Ectopic Pregnancy Case Report Cesarean scar ectopic pregnancy is defined as implantation into the myometrial defect in the previous uterine incision. (11) reported a case of live scar ectopic pregnancy with hcg levels of 297969 miu. Early recognition and prompt treatment of. Four doses of 1 mg/kg intravenous. The current literature on cesarean scar pregnancy indicates that it is a relatively new type of. Scar Ectopic Pregnancy Case Report.
From www.researchgate.net
(PDF) Case report Cesarean scar ectopic pregnancy Scar Ectopic Pregnancy Case Report The current literature on cesarean scar pregnancy indicates that it is a relatively new type of ectopic pregnancy that is related to an. Early recognition and prompt treatment of. Cesarean scar ectopic pregnancy is defined as implantation into the myometrial defect in the previous uterine incision. (11) reported a case of live scar ectopic pregnancy with hcg levels of 297969. Scar Ectopic Pregnancy Case Report.
From www.cureus.com
Cureus Rare Cesarean Scar Ectopic Pregnancy With Tubal Ectopic Pregnancy A Case Scar Ectopic Pregnancy Case Report The current literature on cesarean scar pregnancy indicates that it is a relatively new type of ectopic pregnancy that is related to an. (11) reported a case of live scar ectopic pregnancy with hcg levels of 297969 miu. Cesarean scar ectopic pregnancy is defined as implantation into the myometrial defect in the previous uterine incision. Early recognition and prompt treatment. Scar Ectopic Pregnancy Case Report.
From europepmc.org
Cesarean scar ectopic pregnancy Case report☆. Abstract Europe PMC Scar Ectopic Pregnancy Case Report (11) reported a case of live scar ectopic pregnancy with hcg levels of 297969 miu. Cesarean scar ectopic pregnancy is defined as implantation into the myometrial defect in the previous uterine incision. Four doses of 1 mg/kg intravenous. The current literature on cesarean scar pregnancy indicates that it is a relatively new type of ectopic pregnancy that is related to. Scar Ectopic Pregnancy Case Report.
From www.researchgate.net
(PDF) Caesarean Scar Ectopic Pregnancy Treated with local Methotrexate A Case Report Scar Ectopic Pregnancy Case Report The current literature on cesarean scar pregnancy indicates that it is a relatively new type of ectopic pregnancy that is related to an. Four doses of 1 mg/kg intravenous. (11) reported a case of live scar ectopic pregnancy with hcg levels of 297969 miu. Early recognition and prompt treatment of. Cesarean scar ectopic pregnancy is defined as implantation into the. Scar Ectopic Pregnancy Case Report.
From www.researchgate.net
(PDF) Cesarean Scar Unusual Site of Ectopic Pregnancy A Case Report Scar Ectopic Pregnancy Case Report The current literature on cesarean scar pregnancy indicates that it is a relatively new type of ectopic pregnancy that is related to an. Four doses of 1 mg/kg intravenous. Cesarean scar ectopic pregnancy is defined as implantation into the myometrial defect in the previous uterine incision. Early recognition and prompt treatment of. (11) reported a case of live scar ectopic. Scar Ectopic Pregnancy Case Report.
From www.scribd.com
Case Report Ruptured Ectopic Pregnancy in Caesarean Section Scar A Case Report PDF Scar Ectopic Pregnancy Case Report Cesarean scar ectopic pregnancy is defined as implantation into the myometrial defect in the previous uterine incision. Early recognition and prompt treatment of. The current literature on cesarean scar pregnancy indicates that it is a relatively new type of ectopic pregnancy that is related to an. (11) reported a case of live scar ectopic pregnancy with hcg levels of 297969. Scar Ectopic Pregnancy Case Report.
From www.my-gch.com
Ectopic pregnancy in caesarean section scar a case report MyGCH Scar Ectopic Pregnancy Case Report Early recognition and prompt treatment of. Four doses of 1 mg/kg intravenous. The current literature on cesarean scar pregnancy indicates that it is a relatively new type of ectopic pregnancy that is related to an. (11) reported a case of live scar ectopic pregnancy with hcg levels of 297969 miu. Cesarean scar ectopic pregnancy is defined as implantation into the. Scar Ectopic Pregnancy Case Report.
From www.researchgate.net
(PDF) Caesarean scar ectopic pregnancy a case report Scar Ectopic Pregnancy Case Report Early recognition and prompt treatment of. Four doses of 1 mg/kg intravenous. Cesarean scar ectopic pregnancy is defined as implantation into the myometrial defect in the previous uterine incision. The current literature on cesarean scar pregnancy indicates that it is a relatively new type of ectopic pregnancy that is related to an. (11) reported a case of live scar ectopic. Scar Ectopic Pregnancy Case Report.
From www.researchgate.net
(PDF) Laparoscopic management of a 13 weeks viable ectopic cesarean section Scar pregnancy a Scar Ectopic Pregnancy Case Report The current literature on cesarean scar pregnancy indicates that it is a relatively new type of ectopic pregnancy that is related to an. (11) reported a case of live scar ectopic pregnancy with hcg levels of 297969 miu. Cesarean scar ectopic pregnancy is defined as implantation into the myometrial defect in the previous uterine incision. Early recognition and prompt treatment. Scar Ectopic Pregnancy Case Report.
From www.mdpi.com
Successful FullTerm Delivery via Selective Ectopic Embryo Reduction by Uterine Scar Ectopic Pregnancy Case Report Cesarean scar ectopic pregnancy is defined as implantation into the myometrial defect in the previous uterine incision. Early recognition and prompt treatment of. The current literature on cesarean scar pregnancy indicates that it is a relatively new type of ectopic pregnancy that is related to an. (11) reported a case of live scar ectopic pregnancy with hcg levels of 297969. Scar Ectopic Pregnancy Case Report.
From www.researchgate.net
(PDF) Cesarean Scar Ectopic Pregnancy in Second Trimester A Case Report Scar Ectopic Pregnancy Case Report The current literature on cesarean scar pregnancy indicates that it is a relatively new type of ectopic pregnancy that is related to an. Cesarean scar ectopic pregnancy is defined as implantation into the myometrial defect in the previous uterine incision. (11) reported a case of live scar ectopic pregnancy with hcg levels of 297969 miu. Four doses of 1 mg/kg. Scar Ectopic Pregnancy Case Report.
From www.researchgate.net
(PDF) A Rare Case Report of Caesarean Scar Ectopic Pregnancy Scar Ectopic Pregnancy Case Report Four doses of 1 mg/kg intravenous. The current literature on cesarean scar pregnancy indicates that it is a relatively new type of ectopic pregnancy that is related to an. (11) reported a case of live scar ectopic pregnancy with hcg levels of 297969 miu. Cesarean scar ectopic pregnancy is defined as implantation into the myometrial defect in the previous uterine. Scar Ectopic Pregnancy Case Report.
From www.researchgate.net
(PDF) Medical Management of Type II Scar Ectopic Pregnancy A Case Report Scar Ectopic Pregnancy Case Report Cesarean scar ectopic pregnancy is defined as implantation into the myometrial defect in the previous uterine incision. The current literature on cesarean scar pregnancy indicates that it is a relatively new type of ectopic pregnancy that is related to an. Early recognition and prompt treatment of. (11) reported a case of live scar ectopic pregnancy with hcg levels of 297969. Scar Ectopic Pregnancy Case Report.
From www.researchgate.net
(PDF) Cesarean scar ectopic pregnancy Case report Scar Ectopic Pregnancy Case Report Cesarean scar ectopic pregnancy is defined as implantation into the myometrial defect in the previous uterine incision. (11) reported a case of live scar ectopic pregnancy with hcg levels of 297969 miu. The current literature on cesarean scar pregnancy indicates that it is a relatively new type of ectopic pregnancy that is related to an. Early recognition and prompt treatment. Scar Ectopic Pregnancy Case Report.
From www.researchgate.net
(PDF) Caesarian scar ectopic pregnancy. A case report Scar Ectopic Pregnancy Case Report The current literature on cesarean scar pregnancy indicates that it is a relatively new type of ectopic pregnancy that is related to an. (11) reported a case of live scar ectopic pregnancy with hcg levels of 297969 miu. Four doses of 1 mg/kg intravenous. Early recognition and prompt treatment of. Cesarean scar ectopic pregnancy is defined as implantation into the. Scar Ectopic Pregnancy Case Report.
From www.semanticscholar.org
Figure 1 from Scar Ectopic Pregnancy as an Site of Ectopic Pregnancy A Case Report and Scar Ectopic Pregnancy Case Report (11) reported a case of live scar ectopic pregnancy with hcg levels of 297969 miu. The current literature on cesarean scar pregnancy indicates that it is a relatively new type of ectopic pregnancy that is related to an. Cesarean scar ectopic pregnancy is defined as implantation into the myometrial defect in the previous uterine incision. Four doses of 1 mg/kg. Scar Ectopic Pregnancy Case Report.
From www.researchgate.net
(PDF) Caesarean Scar Ectopic Pregnancy Report of Two Cases Scar Ectopic Pregnancy Case Report The current literature on cesarean scar pregnancy indicates that it is a relatively new type of ectopic pregnancy that is related to an. Four doses of 1 mg/kg intravenous. Cesarean scar ectopic pregnancy is defined as implantation into the myometrial defect in the previous uterine incision. Early recognition and prompt treatment of. (11) reported a case of live scar ectopic. Scar Ectopic Pregnancy Case Report.
From www.researchgate.net
(PDF) A CASE REPORT ECTOPIC PREGNANCY DUE TO FAILURE OF EMERGENCY CONTRACEPTIVE Scar Ectopic Pregnancy Case Report Early recognition and prompt treatment of. Cesarean scar ectopic pregnancy is defined as implantation into the myometrial defect in the previous uterine incision. Four doses of 1 mg/kg intravenous. (11) reported a case of live scar ectopic pregnancy with hcg levels of 297969 miu. The current literature on cesarean scar pregnancy indicates that it is a relatively new type of. Scar Ectopic Pregnancy Case Report.
From www.researchgate.net
(PDF) A rare case of ectopic pregnancy in a caesarean section scar a case report Scar Ectopic Pregnancy Case Report Early recognition and prompt treatment of. Four doses of 1 mg/kg intravenous. (11) reported a case of live scar ectopic pregnancy with hcg levels of 297969 miu. The current literature on cesarean scar pregnancy indicates that it is a relatively new type of ectopic pregnancy that is related to an. Cesarean scar ectopic pregnancy is defined as implantation into the. Scar Ectopic Pregnancy Case Report.
From www.studypool.com
SOLUTION First trimester diagnosis of cesarean scar ectopic pregnancy ectopic pregnancy Scar Ectopic Pregnancy Case Report Cesarean scar ectopic pregnancy is defined as implantation into the myometrial defect in the previous uterine incision. Four doses of 1 mg/kg intravenous. Early recognition and prompt treatment of. The current literature on cesarean scar pregnancy indicates that it is a relatively new type of ectopic pregnancy that is related to an. (11) reported a case of live scar ectopic. Scar Ectopic Pregnancy Case Report.
From dokumen.tips
(PDF) Case Report Ectopic Pregnancy in a Cesarean Section Scar … · 2019. 7. 30. · Case Report Scar Ectopic Pregnancy Case Report Four doses of 1 mg/kg intravenous. The current literature on cesarean scar pregnancy indicates that it is a relatively new type of ectopic pregnancy that is related to an. Cesarean scar ectopic pregnancy is defined as implantation into the myometrial defect in the previous uterine incision. (11) reported a case of live scar ectopic pregnancy with hcg levels of 297969. Scar Ectopic Pregnancy Case Report.
From www.semanticscholar.org
Figure 2 from Advanced 11 weeks CS scar ectopic pregnancy a case report Semantic Scholar Scar Ectopic Pregnancy Case Report (11) reported a case of live scar ectopic pregnancy with hcg levels of 297969 miu. Early recognition and prompt treatment of. The current literature on cesarean scar pregnancy indicates that it is a relatively new type of ectopic pregnancy that is related to an. Four doses of 1 mg/kg intravenous. Cesarean scar ectopic pregnancy is defined as implantation into the. Scar Ectopic Pregnancy Case Report.