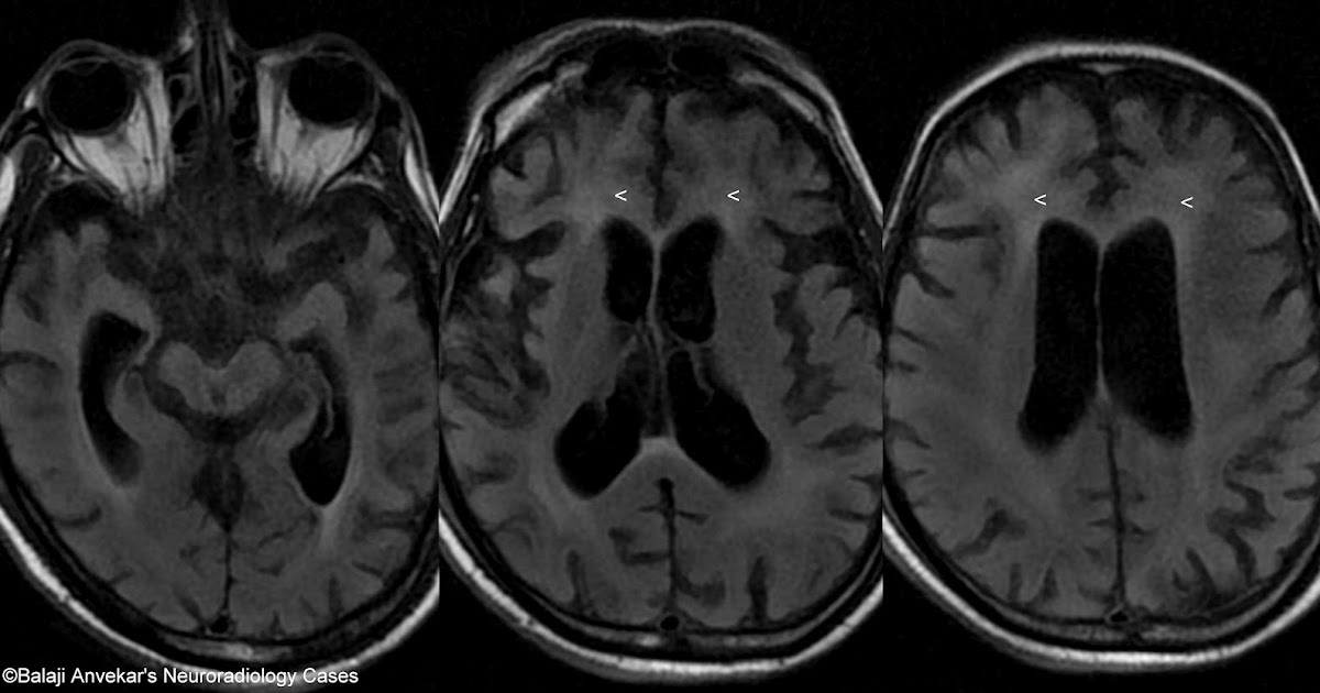
Hiv Brain Atrophy Radiology . Mass lesions, meningoencephalitis, demyelination, atrophy, and vascular lesions are the commonly encountered imaging findings. Magnetic resonance imaging (mri) can improve the outlook for people with hiv through early diagnosis and prompt treatment. Hiv/aids affects the cns by one of four mechanisms: Magnetic resonance imaging (mri) can improve the outlook for people with hiv through early diagnosis and prompt treatment. Direct consequence of the hiv virus. We present a pictorial review of a range of central nervous system (cns) conditions in patients with human immunodeficiency virus (hiv). Mild cerebral atrophy and diffuse symmetrical periventricular and deep white matter t2/flair abnormality extending into the left pons, in the setting of hiv.
from debuglies.com
Magnetic resonance imaging (mri) can improve the outlook for people with hiv through early diagnosis and prompt treatment. Magnetic resonance imaging (mri) can improve the outlook for people with hiv through early diagnosis and prompt treatment. Mild cerebral atrophy and diffuse symmetrical periventricular and deep white matter t2/flair abnormality extending into the left pons, in the setting of hiv. Direct consequence of the hiv virus. Mass lesions, meningoencephalitis, demyelination, atrophy, and vascular lesions are the commonly encountered imaging findings. We present a pictorial review of a range of central nervous system (cns) conditions in patients with human immunodeficiency virus (hiv). Hiv/aids affects the cns by one of four mechanisms:
HIV brain atropgy can be seen in scan before clinical symptoms appear
Hiv Brain Atrophy Radiology Mild cerebral atrophy and diffuse symmetrical periventricular and deep white matter t2/flair abnormality extending into the left pons, in the setting of hiv. Mass lesions, meningoencephalitis, demyelination, atrophy, and vascular lesions are the commonly encountered imaging findings. Magnetic resonance imaging (mri) can improve the outlook for people with hiv through early diagnosis and prompt treatment. Magnetic resonance imaging (mri) can improve the outlook for people with hiv through early diagnosis and prompt treatment. We present a pictorial review of a range of central nervous system (cns) conditions in patients with human immunodeficiency virus (hiv). Direct consequence of the hiv virus. Mild cerebral atrophy and diffuse symmetrical periventricular and deep white matter t2/flair abnormality extending into the left pons, in the setting of hiv. Hiv/aids affects the cns by one of four mechanisms:
From sumerdoc.blogspot.com
HIV EncephalopathyMRI Sumer's Radiology Blog Hiv Brain Atrophy Radiology Hiv/aids affects the cns by one of four mechanisms: Mass lesions, meningoencephalitis, demyelination, atrophy, and vascular lesions are the commonly encountered imaging findings. Magnetic resonance imaging (mri) can improve the outlook for people with hiv through early diagnosis and prompt treatment. Magnetic resonance imaging (mri) can improve the outlook for people with hiv through early diagnosis and prompt treatment. Direct. Hiv Brain Atrophy Radiology.
From www.thewellproject.org
HIV and the Brain The Well Project Hiv Brain Atrophy Radiology Mass lesions, meningoencephalitis, demyelination, atrophy, and vascular lesions are the commonly encountered imaging findings. Magnetic resonance imaging (mri) can improve the outlook for people with hiv through early diagnosis and prompt treatment. Direct consequence of the hiv virus. We present a pictorial review of a range of central nervous system (cns) conditions in patients with human immunodeficiency virus (hiv). Hiv/aids. Hiv Brain Atrophy Radiology.
From www.semanticscholar.org
Figure 1 from HIVrelated lipodystrophy and facial lipoatrophy the Hiv Brain Atrophy Radiology Direct consequence of the hiv virus. Mass lesions, meningoencephalitis, demyelination, atrophy, and vascular lesions are the commonly encountered imaging findings. Mild cerebral atrophy and diffuse symmetrical periventricular and deep white matter t2/flair abnormality extending into the left pons, in the setting of hiv. We present a pictorial review of a range of central nervous system (cns) conditions in patients with. Hiv Brain Atrophy Radiology.
From wikem.org
FileNormal pressure hydrocephalus versus atrophy, CA.jpg WikEM Hiv Brain Atrophy Radiology Mild cerebral atrophy and diffuse symmetrical periventricular and deep white matter t2/flair abnormality extending into the left pons, in the setting of hiv. Mass lesions, meningoencephalitis, demyelination, atrophy, and vascular lesions are the commonly encountered imaging findings. We present a pictorial review of a range of central nervous system (cns) conditions in patients with human immunodeficiency virus (hiv). Magnetic resonance. Hiv Brain Atrophy Radiology.
From www.bigstockphoto.com
Ct Scan Brain Hiv Image & Photo (Free Trial) Bigstock Hiv Brain Atrophy Radiology Hiv/aids affects the cns by one of four mechanisms: Mass lesions, meningoencephalitis, demyelination, atrophy, and vascular lesions are the commonly encountered imaging findings. Mild cerebral atrophy and diffuse symmetrical periventricular and deep white matter t2/flair abnormality extending into the left pons, in the setting of hiv. We present a pictorial review of a range of central nervous system (cns) conditions. Hiv Brain Atrophy Radiology.
From www.neurologyadvisor.com
Brain Volume Differences Found in Patients With HIV Infection Hiv Brain Atrophy Radiology Hiv/aids affects the cns by one of four mechanisms: Mild cerebral atrophy and diffuse symmetrical periventricular and deep white matter t2/flair abnormality extending into the left pons, in the setting of hiv. Mass lesions, meningoencephalitis, demyelination, atrophy, and vascular lesions are the commonly encountered imaging findings. We present a pictorial review of a range of central nervous system (cns) conditions. Hiv Brain Atrophy Radiology.
From www.sciencephoto.com
HIV Encephalitis on MRI Stock Image C043/5615 Science Photo Library Hiv Brain Atrophy Radiology We present a pictorial review of a range of central nervous system (cns) conditions in patients with human immunodeficiency virus (hiv). Hiv/aids affects the cns by one of four mechanisms: Magnetic resonance imaging (mri) can improve the outlook for people with hiv through early diagnosis and prompt treatment. Mass lesions, meningoencephalitis, demyelination, atrophy, and vascular lesions are the commonly encountered. Hiv Brain Atrophy Radiology.
From www.researchgate.net
HIVinduced cerebral injury. Notes (A) Volume loss. HIVinfected Hiv Brain Atrophy Radiology Magnetic resonance imaging (mri) can improve the outlook for people with hiv through early diagnosis and prompt treatment. Hiv/aids affects the cns by one of four mechanisms: Mass lesions, meningoencephalitis, demyelination, atrophy, and vascular lesions are the commonly encountered imaging findings. Mild cerebral atrophy and diffuse symmetrical periventricular and deep white matter t2/flair abnormality extending into the left pons, in. Hiv Brain Atrophy Radiology.
From www.pinterest.com
Pin by Gloria A. on brain Cerebral atrophy, Brain tissue, Brain diseases Hiv Brain Atrophy Radiology Magnetic resonance imaging (mri) can improve the outlook for people with hiv through early diagnosis and prompt treatment. We present a pictorial review of a range of central nervous system (cns) conditions in patients with human immunodeficiency virus (hiv). Mild cerebral atrophy and diffuse symmetrical periventricular and deep white matter t2/flair abnormality extending into the left pons, in the setting. Hiv Brain Atrophy Radiology.
From radiologymri.blogspot.com
PML in HIV Cerebellum Hiv Brain Atrophy Radiology Magnetic resonance imaging (mri) can improve the outlook for people with hiv through early diagnosis and prompt treatment. We present a pictorial review of a range of central nervous system (cns) conditions in patients with human immunodeficiency virus (hiv). Direct consequence of the hiv virus. Mild cerebral atrophy and diffuse symmetrical periventricular and deep white matter t2/flair abnormality extending into. Hiv Brain Atrophy Radiology.
From www.neuroradiologycases.com
Dr Balaji Anvekar FRCR HIV Encephalitis Vs PML Hiv Brain Atrophy Radiology Direct consequence of the hiv virus. We present a pictorial review of a range of central nervous system (cns) conditions in patients with human immunodeficiency virus (hiv). Hiv/aids affects the cns by one of four mechanisms: Magnetic resonance imaging (mri) can improve the outlook for people with hiv through early diagnosis and prompt treatment. Mass lesions, meningoencephalitis, demyelination, atrophy, and. Hiv Brain Atrophy Radiology.
From www.thelancet.com
HIVassociated neurocognitive disorder The Lancet Infectious Diseases Hiv Brain Atrophy Radiology Hiv/aids affects the cns by one of four mechanisms: Magnetic resonance imaging (mri) can improve the outlook for people with hiv through early diagnosis and prompt treatment. Magnetic resonance imaging (mri) can improve the outlook for people with hiv through early diagnosis and prompt treatment. Mass lesions, meningoencephalitis, demyelination, atrophy, and vascular lesions are the commonly encountered imaging findings. Direct. Hiv Brain Atrophy Radiology.
From www.cell.com
The potential role of HIV1 latency in promoting neuroinflammation and Hiv Brain Atrophy Radiology Mass lesions, meningoencephalitis, demyelination, atrophy, and vascular lesions are the commonly encountered imaging findings. Mild cerebral atrophy and diffuse symmetrical periventricular and deep white matter t2/flair abnormality extending into the left pons, in the setting of hiv. Direct consequence of the hiv virus. Magnetic resonance imaging (mri) can improve the outlook for people with hiv through early diagnosis and prompt. Hiv Brain Atrophy Radiology.
From esp.evkirche-doernach.de
Síndrome de pérdida de VIH, una condición que define el SIDA Yoga 2024 Hiv Brain Atrophy Radiology Mild cerebral atrophy and diffuse symmetrical periventricular and deep white matter t2/flair abnormality extending into the left pons, in the setting of hiv. Hiv/aids affects the cns by one of four mechanisms: Magnetic resonance imaging (mri) can improve the outlook for people with hiv through early diagnosis and prompt treatment. Mass lesions, meningoencephalitis, demyelination, atrophy, and vascular lesions are the. Hiv Brain Atrophy Radiology.
From www.youtube.com
HIV Associated Focal Brain Lesions YouTube Hiv Brain Atrophy Radiology Hiv/aids affects the cns by one of four mechanisms: Direct consequence of the hiv virus. Magnetic resonance imaging (mri) can improve the outlook for people with hiv through early diagnosis and prompt treatment. Mild cerebral atrophy and diffuse symmetrical periventricular and deep white matter t2/flair abnormality extending into the left pons, in the setting of hiv. Magnetic resonance imaging (mri). Hiv Brain Atrophy Radiology.
From www.technologynetworks.com
Novel Brain Map Tracks Early Brain Atrophy From HIV Infection Hiv Brain Atrophy Radiology Hiv/aids affects the cns by one of four mechanisms: Mild cerebral atrophy and diffuse symmetrical periventricular and deep white matter t2/flair abnormality extending into the left pons, in the setting of hiv. Direct consequence of the hiv virus. Magnetic resonance imaging (mri) can improve the outlook for people with hiv through early diagnosis and prompt treatment. Magnetic resonance imaging (mri). Hiv Brain Atrophy Radiology.
From www.researchgate.net
(PDF) MRI imaging features of HIVrelated central nervous system Hiv Brain Atrophy Radiology Hiv/aids affects the cns by one of four mechanisms: Magnetic resonance imaging (mri) can improve the outlook for people with hiv through early diagnosis and prompt treatment. Direct consequence of the hiv virus. Magnetic resonance imaging (mri) can improve the outlook for people with hiv through early diagnosis and prompt treatment. Mass lesions, meningoencephalitis, demyelination, atrophy, and vascular lesions are. Hiv Brain Atrophy Radiology.
From pediatricimaging.org
Pediatric Subdural Hematoma Pediatric Radiology Reference Article Hiv Brain Atrophy Radiology We present a pictorial review of a range of central nervous system (cns) conditions in patients with human immunodeficiency virus (hiv). Hiv/aids affects the cns by one of four mechanisms: Mass lesions, meningoencephalitis, demyelination, atrophy, and vascular lesions are the commonly encountered imaging findings. Mild cerebral atrophy and diffuse symmetrical periventricular and deep white matter t2/flair abnormality extending into the. Hiv Brain Atrophy Radiology.
From www.sciencephoto.com
Brain atrophy in HIV/AIDS, MRI scans Stock Image C058/2245 Hiv Brain Atrophy Radiology Magnetic resonance imaging (mri) can improve the outlook for people with hiv through early diagnosis and prompt treatment. Hiv/aids affects the cns by one of four mechanisms: Direct consequence of the hiv virus. Magnetic resonance imaging (mri) can improve the outlook for people with hiv through early diagnosis and prompt treatment. We present a pictorial review of a range of. Hiv Brain Atrophy Radiology.
From radiologykey.com
Neuroimaging in the Brain in HIV1Infected Patients Radiology Key Hiv Brain Atrophy Radiology Hiv/aids affects the cns by one of four mechanisms: Mild cerebral atrophy and diffuse symmetrical periventricular and deep white matter t2/flair abnormality extending into the left pons, in the setting of hiv. Direct consequence of the hiv virus. Magnetic resonance imaging (mri) can improve the outlook for people with hiv through early diagnosis and prompt treatment. Magnetic resonance imaging (mri). Hiv Brain Atrophy Radiology.
From debuglies.com
HIV brain atropgy can be seen in scan before clinical symptoms appear Hiv Brain Atrophy Radiology Direct consequence of the hiv virus. Hiv/aids affects the cns by one of four mechanisms: Magnetic resonance imaging (mri) can improve the outlook for people with hiv through early diagnosis and prompt treatment. Mild cerebral atrophy and diffuse symmetrical periventricular and deep white matter t2/flair abnormality extending into the left pons, in the setting of hiv. We present a pictorial. Hiv Brain Atrophy Radiology.
From www.poz.com
HIV and Your Brain (HIVAssociated Neurocognitive Disorder) POZ Hiv Brain Atrophy Radiology Mass lesions, meningoencephalitis, demyelination, atrophy, and vascular lesions are the commonly encountered imaging findings. Direct consequence of the hiv virus. Mild cerebral atrophy and diffuse symmetrical periventricular and deep white matter t2/flair abnormality extending into the left pons, in the setting of hiv. We present a pictorial review of a range of central nervous system (cns) conditions in patients with. Hiv Brain Atrophy Radiology.
From www.cureus.com
Cureus Ipsilateral Hemispheric Brain Atrophy in an Asymptomatic Child Hiv Brain Atrophy Radiology Mass lesions, meningoencephalitis, demyelination, atrophy, and vascular lesions are the commonly encountered imaging findings. We present a pictorial review of a range of central nervous system (cns) conditions in patients with human immunodeficiency virus (hiv). Mild cerebral atrophy and diffuse symmetrical periventricular and deep white matter t2/flair abnormality extending into the left pons, in the setting of hiv. Direct consequence. Hiv Brain Atrophy Radiology.
From www.pinterest.com
Pin on SNC Hiv Brain Atrophy Radiology Magnetic resonance imaging (mri) can improve the outlook for people with hiv through early diagnosis and prompt treatment. Mild cerebral atrophy and diffuse symmetrical periventricular and deep white matter t2/flair abnormality extending into the left pons, in the setting of hiv. We present a pictorial review of a range of central nervous system (cns) conditions in patients with human immunodeficiency. Hiv Brain Atrophy Radiology.
From www.mdpi.com
Brain Sciences Free FullText The Role of HIV Infection in Hiv Brain Atrophy Radiology Hiv/aids affects the cns by one of four mechanisms: Mild cerebral atrophy and diffuse symmetrical periventricular and deep white matter t2/flair abnormality extending into the left pons, in the setting of hiv. We present a pictorial review of a range of central nervous system (cns) conditions in patients with human immunodeficiency virus (hiv). Magnetic resonance imaging (mri) can improve the. Hiv Brain Atrophy Radiology.
From www.immunopaedia.org.za
HIV associated dementia Case Study Immunopaedia Hiv Brain Atrophy Radiology Magnetic resonance imaging (mri) can improve the outlook for people with hiv through early diagnosis and prompt treatment. Direct consequence of the hiv virus. Mild cerebral atrophy and diffuse symmetrical periventricular and deep white matter t2/flair abnormality extending into the left pons, in the setting of hiv. Hiv/aids affects the cns by one of four mechanisms: Mass lesions, meningoencephalitis, demyelination,. Hiv Brain Atrophy Radiology.
From www.wikidoc.org
HIV AIDS MRI wikidoc Hiv Brain Atrophy Radiology Magnetic resonance imaging (mri) can improve the outlook for people with hiv through early diagnosis and prompt treatment. Mass lesions, meningoencephalitis, demyelination, atrophy, and vascular lesions are the commonly encountered imaging findings. Direct consequence of the hiv virus. Magnetic resonance imaging (mri) can improve the outlook for people with hiv through early diagnosis and prompt treatment. We present a pictorial. Hiv Brain Atrophy Radiology.
From www.bmj.com
Cerebral mass in HIV infection The BMJ Hiv Brain Atrophy Radiology Direct consequence of the hiv virus. Magnetic resonance imaging (mri) can improve the outlook for people with hiv through early diagnosis and prompt treatment. Mild cerebral atrophy and diffuse symmetrical periventricular and deep white matter t2/flair abnormality extending into the left pons, in the setting of hiv. We present a pictorial review of a range of central nervous system (cns). Hiv Brain Atrophy Radiology.
From www.semanticscholar.org
Figure 1 from HIVrelated lipodystrophy and facial lipoatrophy the Hiv Brain Atrophy Radiology Mass lesions, meningoencephalitis, demyelination, atrophy, and vascular lesions are the commonly encountered imaging findings. Hiv/aids affects the cns by one of four mechanisms: Direct consequence of the hiv virus. Mild cerebral atrophy and diffuse symmetrical periventricular and deep white matter t2/flair abnormality extending into the left pons, in the setting of hiv. Magnetic resonance imaging (mri) can improve the outlook. Hiv Brain Atrophy Radiology.
From litfl.com
HIV brain mass • LITFL • Neurological MindBoggler Hiv Brain Atrophy Radiology Mass lesions, meningoencephalitis, demyelination, atrophy, and vascular lesions are the commonly encountered imaging findings. Direct consequence of the hiv virus. We present a pictorial review of a range of central nervous system (cns) conditions in patients with human immunodeficiency virus (hiv). Magnetic resonance imaging (mri) can improve the outlook for people with hiv through early diagnosis and prompt treatment. Hiv/aids. Hiv Brain Atrophy Radiology.
From brainshottherapy.com
Cerebral Atrophy Hiv Brain Atrophy Radiology Direct consequence of the hiv virus. Mild cerebral atrophy and diffuse symmetrical periventricular and deep white matter t2/flair abnormality extending into the left pons, in the setting of hiv. Magnetic resonance imaging (mri) can improve the outlook for people with hiv through early diagnosis and prompt treatment. Magnetic resonance imaging (mri) can improve the outlook for people with hiv through. Hiv Brain Atrophy Radiology.
From www.nih.gov
Brain cells can harbor and spread HIV virus to the body National Hiv Brain Atrophy Radiology Magnetic resonance imaging (mri) can improve the outlook for people with hiv through early diagnosis and prompt treatment. Hiv/aids affects the cns by one of four mechanisms: Mass lesions, meningoencephalitis, demyelination, atrophy, and vascular lesions are the commonly encountered imaging findings. Magnetic resonance imaging (mri) can improve the outlook for people with hiv through early diagnosis and prompt treatment. Mild. Hiv Brain Atrophy Radiology.
From scienceofparkinsons.com
HIV and Parkinson’s disease The Science of Parkinson's Hiv Brain Atrophy Radiology Hiv/aids affects the cns by one of four mechanisms: Direct consequence of the hiv virus. Magnetic resonance imaging (mri) can improve the outlook for people with hiv through early diagnosis and prompt treatment. We present a pictorial review of a range of central nervous system (cns) conditions in patients with human immunodeficiency virus (hiv). Mild cerebral atrophy and diffuse symmetrical. Hiv Brain Atrophy Radiology.
From radiologykey.com
Neuroimaging in the Brain in HIV1Infected Patients Radiology Key Hiv Brain Atrophy Radiology Direct consequence of the hiv virus. We present a pictorial review of a range of central nervous system (cns) conditions in patients with human immunodeficiency virus (hiv). Mass lesions, meningoencephalitis, demyelination, atrophy, and vascular lesions are the commonly encountered imaging findings. Magnetic resonance imaging (mri) can improve the outlook for people with hiv through early diagnosis and prompt treatment. Hiv/aids. Hiv Brain Atrophy Radiology.
From hscnews.usc.edu
Multicontinental study examines brain scans of HIVpositive patients Hiv Brain Atrophy Radiology Hiv/aids affects the cns by one of four mechanisms: Magnetic resonance imaging (mri) can improve the outlook for people with hiv through early diagnosis and prompt treatment. Magnetic resonance imaging (mri) can improve the outlook for people with hiv through early diagnosis and prompt treatment. Mass lesions, meningoencephalitis, demyelination, atrophy, and vascular lesions are the commonly encountered imaging findings. Direct. Hiv Brain Atrophy Radiology.