Lichen Sclerosus Histology Vs Normal . Atypical lichen sclerosus, with epithelial dysplastic changes (low grade or high grade, are currently classified as differentiated. Scanning power of lichen sclerosus reveals a lichenoid inflammatory pattern in early stage lesions or a superficial sclerosing process. Vulvar lichen sclerosus (ls) is a chronic, inflammatory dermatosis that may lead to scarring of the vulva and sexual dysfunction. Histopathology of lichen sclerosus 50 variation in histopathologic manifestations of ls 52 limitations of the literature 56 conclusions and. Familial studies indicate a positive. It is thought to be. Vulvar lichen sclerosus (vls) is a chronic inflammatory disorder, which affects women of all ages. Lichen sclerosus is a chronic inflammatory skin disease. Although the etiology of ls is still unclear, evidence suggests that ls is an autoimmune disorder with a genetic component.
from www.researchgate.net
Histopathology of lichen sclerosus 50 variation in histopathologic manifestations of ls 52 limitations of the literature 56 conclusions and. Lichen sclerosus is a chronic inflammatory skin disease. Vulvar lichen sclerosus (vls) is a chronic inflammatory disorder, which affects women of all ages. Vulvar lichen sclerosus (ls) is a chronic, inflammatory dermatosis that may lead to scarring of the vulva and sexual dysfunction. Scanning power of lichen sclerosus reveals a lichenoid inflammatory pattern in early stage lesions or a superficial sclerosing process. Atypical lichen sclerosus, with epithelial dysplastic changes (low grade or high grade, are currently classified as differentiated. Familial studies indicate a positive. It is thought to be. Although the etiology of ls is still unclear, evidence suggests that ls is an autoimmune disorder with a genetic component.
Patient 4 (A) lichen sclerosus (LS) showing a broad band of
Lichen Sclerosus Histology Vs Normal Atypical lichen sclerosus, with epithelial dysplastic changes (low grade or high grade, are currently classified as differentiated. Vulvar lichen sclerosus (ls) is a chronic, inflammatory dermatosis that may lead to scarring of the vulva and sexual dysfunction. Although the etiology of ls is still unclear, evidence suggests that ls is an autoimmune disorder with a genetic component. Histopathology of lichen sclerosus 50 variation in histopathologic manifestations of ls 52 limitations of the literature 56 conclusions and. Atypical lichen sclerosus, with epithelial dysplastic changes (low grade or high grade, are currently classified as differentiated. Familial studies indicate a positive. Vulvar lichen sclerosus (vls) is a chronic inflammatory disorder, which affects women of all ages. It is thought to be. Scanning power of lichen sclerosus reveals a lichenoid inflammatory pattern in early stage lesions or a superficial sclerosing process. Lichen sclerosus is a chronic inflammatory skin disease.
From www.animalia-life.club
Lichen Sclerosis Histology Lichen Sclerosus Histology Vs Normal Lichen sclerosus is a chronic inflammatory skin disease. Familial studies indicate a positive. Scanning power of lichen sclerosus reveals a lichenoid inflammatory pattern in early stage lesions or a superficial sclerosing process. Vulvar lichen sclerosus (ls) is a chronic, inflammatory dermatosis that may lead to scarring of the vulva and sexual dysfunction. Atypical lichen sclerosus, with epithelial dysplastic changes (low. Lichen Sclerosus Histology Vs Normal.
From ar.inspiredpencil.com
Lichen Sclerosus Histology Lichen Sclerosus Histology Vs Normal Familial studies indicate a positive. Although the etiology of ls is still unclear, evidence suggests that ls is an autoimmune disorder with a genetic component. Lichen sclerosus is a chronic inflammatory skin disease. Histopathology of lichen sclerosus 50 variation in histopathologic manifestations of ls 52 limitations of the literature 56 conclusions and. Vulvar lichen sclerosus (vls) is a chronic inflammatory. Lichen Sclerosus Histology Vs Normal.
From www.animalia-life.club
Lichen Sclerosis Histology Lichen Sclerosus Histology Vs Normal It is thought to be. Atypical lichen sclerosus, with epithelial dysplastic changes (low grade or high grade, are currently classified as differentiated. Although the etiology of ls is still unclear, evidence suggests that ls is an autoimmune disorder with a genetic component. Vulvar lichen sclerosus (vls) is a chronic inflammatory disorder, which affects women of all ages. Vulvar lichen sclerosus. Lichen Sclerosus Histology Vs Normal.
From animalia-life.club
Lichen Sclerosis Histology Lichen Sclerosus Histology Vs Normal Lichen sclerosus is a chronic inflammatory skin disease. Scanning power of lichen sclerosus reveals a lichenoid inflammatory pattern in early stage lesions or a superficial sclerosing process. Vulvar lichen sclerosus (vls) is a chronic inflammatory disorder, which affects women of all ages. Vulvar lichen sclerosus (ls) is a chronic, inflammatory dermatosis that may lead to scarring of the vulva and. Lichen Sclerosus Histology Vs Normal.
From www.animalia-life.club
Lichen Sclerosis Histology Lichen Sclerosus Histology Vs Normal It is thought to be. Vulvar lichen sclerosus (vls) is a chronic inflammatory disorder, which affects women of all ages. Atypical lichen sclerosus, with epithelial dysplastic changes (low grade or high grade, are currently classified as differentiated. Familial studies indicate a positive. Vulvar lichen sclerosus (ls) is a chronic, inflammatory dermatosis that may lead to scarring of the vulva and. Lichen Sclerosus Histology Vs Normal.
From ar.inspiredpencil.com
Lichen Sclerosus Histology Lichen Sclerosus Histology Vs Normal Although the etiology of ls is still unclear, evidence suggests that ls is an autoimmune disorder with a genetic component. Familial studies indicate a positive. Scanning power of lichen sclerosus reveals a lichenoid inflammatory pattern in early stage lesions or a superficial sclerosing process. Vulvar lichen sclerosus (ls) is a chronic, inflammatory dermatosis that may lead to scarring of the. Lichen Sclerosus Histology Vs Normal.
From www.researchgate.net
Representative histopathology of extragenital lichen sclerosus showing Lichen Sclerosus Histology Vs Normal Vulvar lichen sclerosus (vls) is a chronic inflammatory disorder, which affects women of all ages. It is thought to be. Lichen sclerosus is a chronic inflammatory skin disease. Vulvar lichen sclerosus (ls) is a chronic, inflammatory dermatosis that may lead to scarring of the vulva and sexual dysfunction. Atypical lichen sclerosus, with epithelial dysplastic changes (low grade or high grade,. Lichen Sclerosus Histology Vs Normal.
From www.animalia-life.club
Lichen Sclerosis Histology Lichen Sclerosus Histology Vs Normal Vulvar lichen sclerosus (ls) is a chronic, inflammatory dermatosis that may lead to scarring of the vulva and sexual dysfunction. Scanning power of lichen sclerosus reveals a lichenoid inflammatory pattern in early stage lesions or a superficial sclerosing process. Vulvar lichen sclerosus (vls) is a chronic inflammatory disorder, which affects women of all ages. Atypical lichen sclerosus, with epithelial dysplastic. Lichen Sclerosus Histology Vs Normal.
From www.animalia-life.club
Lichen Sclerosis Histology Lichen Sclerosus Histology Vs Normal Lichen sclerosus is a chronic inflammatory skin disease. Atypical lichen sclerosus, with epithelial dysplastic changes (low grade or high grade, are currently classified as differentiated. Although the etiology of ls is still unclear, evidence suggests that ls is an autoimmune disorder with a genetic component. Familial studies indicate a positive. Vulvar lichen sclerosus (ls) is a chronic, inflammatory dermatosis that. Lichen Sclerosus Histology Vs Normal.
From www.animalia-life.club
Lichen Sclerosis Histology Lichen Sclerosus Histology Vs Normal Lichen sclerosus is a chronic inflammatory skin disease. Atypical lichen sclerosus, with epithelial dysplastic changes (low grade or high grade, are currently classified as differentiated. Familial studies indicate a positive. Histopathology of lichen sclerosus 50 variation in histopathologic manifestations of ls 52 limitations of the literature 56 conclusions and. Vulvar lichen sclerosus (vls) is a chronic inflammatory disorder, which affects. Lichen Sclerosus Histology Vs Normal.
From www.animalia-life.club
Lichen Sclerosis Histology Lichen Sclerosus Histology Vs Normal Familial studies indicate a positive. Atypical lichen sclerosus, with epithelial dysplastic changes (low grade or high grade, are currently classified as differentiated. Scanning power of lichen sclerosus reveals a lichenoid inflammatory pattern in early stage lesions or a superficial sclerosing process. Although the etiology of ls is still unclear, evidence suggests that ls is an autoimmune disorder with a genetic. Lichen Sclerosus Histology Vs Normal.
From www.animalia-life.club
Lichen Sclerosis Histology Lichen Sclerosus Histology Vs Normal Vulvar lichen sclerosus (vls) is a chronic inflammatory disorder, which affects women of all ages. Vulvar lichen sclerosus (ls) is a chronic, inflammatory dermatosis that may lead to scarring of the vulva and sexual dysfunction. Histopathology of lichen sclerosus 50 variation in histopathologic manifestations of ls 52 limitations of the literature 56 conclusions and. Familial studies indicate a positive. Atypical. Lichen Sclerosus Histology Vs Normal.
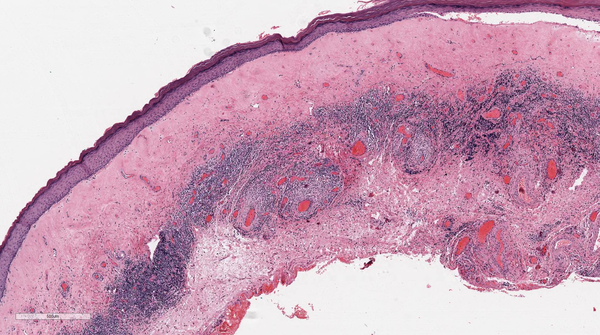
From kikoxp.com
Lichen Sclerosus et atrophicus Inflammatory Dermpath Basics for Lichen Sclerosus Histology Vs Normal Vulvar lichen sclerosus (vls) is a chronic inflammatory disorder, which affects women of all ages. Histopathology of lichen sclerosus 50 variation in histopathologic manifestations of ls 52 limitations of the literature 56 conclusions and. Although the etiology of ls is still unclear, evidence suggests that ls is an autoimmune disorder with a genetic component. Atypical lichen sclerosus, with epithelial dysplastic. Lichen Sclerosus Histology Vs Normal.
From www.animalia-life.club
Lichen Sclerosis Histology Lichen Sclerosus Histology Vs Normal It is thought to be. Lichen sclerosus is a chronic inflammatory skin disease. Vulvar lichen sclerosus (ls) is a chronic, inflammatory dermatosis that may lead to scarring of the vulva and sexual dysfunction. Vulvar lichen sclerosus (vls) is a chronic inflammatory disorder, which affects women of all ages. Scanning power of lichen sclerosus reveals a lichenoid inflammatory pattern in early. Lichen Sclerosus Histology Vs Normal.
From www.researchgate.net
Histopathology of lichen sclerosus (LS) (A) and hypertrophic scars (B Lichen Sclerosus Histology Vs Normal Lichen sclerosus is a chronic inflammatory skin disease. Atypical lichen sclerosus, with epithelial dysplastic changes (low grade or high grade, are currently classified as differentiated. Histopathology of lichen sclerosus 50 variation in histopathologic manifestations of ls 52 limitations of the literature 56 conclusions and. Vulvar lichen sclerosus (ls) is a chronic, inflammatory dermatosis that may lead to scarring of the. Lichen Sclerosus Histology Vs Normal.
From ar.inspiredpencil.com
Lichen Sclerosus Histology Lichen Sclerosus Histology Vs Normal Lichen sclerosus is a chronic inflammatory skin disease. Scanning power of lichen sclerosus reveals a lichenoid inflammatory pattern in early stage lesions or a superficial sclerosing process. Histopathology of lichen sclerosus 50 variation in histopathologic manifestations of ls 52 limitations of the literature 56 conclusions and. Vulvar lichen sclerosus (ls) is a chronic, inflammatory dermatosis that may lead to scarring. Lichen Sclerosus Histology Vs Normal.
From www.animalia-life.club
Lichen Sclerosis Histology Lichen Sclerosus Histology Vs Normal Histopathology of lichen sclerosus 50 variation in histopathologic manifestations of ls 52 limitations of the literature 56 conclusions and. Vulvar lichen sclerosus (ls) is a chronic, inflammatory dermatosis that may lead to scarring of the vulva and sexual dysfunction. Atypical lichen sclerosus, with epithelial dysplastic changes (low grade or high grade, are currently classified as differentiated. Scanning power of lichen. Lichen Sclerosus Histology Vs Normal.
From ar.inspiredpencil.com
Lichen Sclerosus Histology Lichen Sclerosus Histology Vs Normal Vulvar lichen sclerosus (vls) is a chronic inflammatory disorder, which affects women of all ages. Although the etiology of ls is still unclear, evidence suggests that ls is an autoimmune disorder with a genetic component. Familial studies indicate a positive. Lichen sclerosus is a chronic inflammatory skin disease. Histopathology of lichen sclerosus 50 variation in histopathologic manifestations of ls 52. Lichen Sclerosus Histology Vs Normal.
From www.researchgate.net
Representative histopathology of extragenital lichen sclerosus showing Lichen Sclerosus Histology Vs Normal Atypical lichen sclerosus, with epithelial dysplastic changes (low grade or high grade, are currently classified as differentiated. Vulvar lichen sclerosus (vls) is a chronic inflammatory disorder, which affects women of all ages. Familial studies indicate a positive. Lichen sclerosus is a chronic inflammatory skin disease. It is thought to be. Histopathology of lichen sclerosus 50 variation in histopathologic manifestations of. Lichen Sclerosus Histology Vs Normal.
From www.animalia-life.club
Lichen Sclerosis Histology Lichen Sclerosus Histology Vs Normal Atypical lichen sclerosus, with epithelial dysplastic changes (low grade or high grade, are currently classified as differentiated. Familial studies indicate a positive. Vulvar lichen sclerosus (ls) is a chronic, inflammatory dermatosis that may lead to scarring of the vulva and sexual dysfunction. Lichen sclerosus is a chronic inflammatory skin disease. Vulvar lichen sclerosus (vls) is a chronic inflammatory disorder, which. Lichen Sclerosus Histology Vs Normal.
From www.dovemed.com
Lichen Sclerosus of Anus Lichen Sclerosus Histology Vs Normal Atypical lichen sclerosus, with epithelial dysplastic changes (low grade or high grade, are currently classified as differentiated. Vulvar lichen sclerosus (vls) is a chronic inflammatory disorder, which affects women of all ages. Scanning power of lichen sclerosus reveals a lichenoid inflammatory pattern in early stage lesions or a superficial sclerosing process. Although the etiology of ls is still unclear, evidence. Lichen Sclerosus Histology Vs Normal.
From www.europeanurology.com
Lichen Sclerosus of the Male Genitalia and Urethra Surgical Options Lichen Sclerosus Histology Vs Normal Although the etiology of ls is still unclear, evidence suggests that ls is an autoimmune disorder with a genetic component. Vulvar lichen sclerosus (vls) is a chronic inflammatory disorder, which affects women of all ages. Familial studies indicate a positive. Histopathology of lichen sclerosus 50 variation in histopathologic manifestations of ls 52 limitations of the literature 56 conclusions and. Atypical. Lichen Sclerosus Histology Vs Normal.
From obgynkey.com
Lichen Sclerosus Obgyn Key Lichen Sclerosus Histology Vs Normal Scanning power of lichen sclerosus reveals a lichenoid inflammatory pattern in early stage lesions or a superficial sclerosing process. Vulvar lichen sclerosus (ls) is a chronic, inflammatory dermatosis that may lead to scarring of the vulva and sexual dysfunction. Atypical lichen sclerosus, with epithelial dysplastic changes (low grade or high grade, are currently classified as differentiated. Lichen sclerosus is a. Lichen Sclerosus Histology Vs Normal.
From ar.inspiredpencil.com
Lichen Sclerosus Histology Lichen Sclerosus Histology Vs Normal Lichen sclerosus is a chronic inflammatory skin disease. Familial studies indicate a positive. It is thought to be. Scanning power of lichen sclerosus reveals a lichenoid inflammatory pattern in early stage lesions or a superficial sclerosing process. Vulvar lichen sclerosus (ls) is a chronic, inflammatory dermatosis that may lead to scarring of the vulva and sexual dysfunction. Atypical lichen sclerosus,. Lichen Sclerosus Histology Vs Normal.
From www.animalia-life.club
Lichen Sclerosis Histology Lichen Sclerosus Histology Vs Normal It is thought to be. Scanning power of lichen sclerosus reveals a lichenoid inflammatory pattern in early stage lesions or a superficial sclerosing process. Although the etiology of ls is still unclear, evidence suggests that ls is an autoimmune disorder with a genetic component. Histopathology of lichen sclerosus 50 variation in histopathologic manifestations of ls 52 limitations of the literature. Lichen Sclerosus Histology Vs Normal.
From www.frontiersin.org
Frontiers Histopathological differences between vitiligo and lichen Lichen Sclerosus Histology Vs Normal Although the etiology of ls is still unclear, evidence suggests that ls is an autoimmune disorder with a genetic component. Familial studies indicate a positive. Histopathology of lichen sclerosus 50 variation in histopathologic manifestations of ls 52 limitations of the literature 56 conclusions and. Lichen sclerosus is a chronic inflammatory skin disease. Vulvar lichen sclerosus (ls) is a chronic, inflammatory. Lichen Sclerosus Histology Vs Normal.
From obgynkey.com
Lichen Sclerosus Obgyn Key Lichen Sclerosus Histology Vs Normal Atypical lichen sclerosus, with epithelial dysplastic changes (low grade or high grade, are currently classified as differentiated. Histopathology of lichen sclerosus 50 variation in histopathologic manifestations of ls 52 limitations of the literature 56 conclusions and. Vulvar lichen sclerosus (vls) is a chronic inflammatory disorder, which affects women of all ages. Although the etiology of ls is still unclear, evidence. Lichen Sclerosus Histology Vs Normal.
From www.animalia-life.club
Lichen Sclerosis Histology Lichen Sclerosus Histology Vs Normal Familial studies indicate a positive. Vulvar lichen sclerosus (vls) is a chronic inflammatory disorder, which affects women of all ages. Histopathology of lichen sclerosus 50 variation in histopathologic manifestations of ls 52 limitations of the literature 56 conclusions and. Scanning power of lichen sclerosus reveals a lichenoid inflammatory pattern in early stage lesions or a superficial sclerosing process. It is. Lichen Sclerosus Histology Vs Normal.
From www.researchgate.net
Expression of CD68 in normal skin and lichen sclerosus skin samples Lichen Sclerosus Histology Vs Normal Familial studies indicate a positive. Vulvar lichen sclerosus (vls) is a chronic inflammatory disorder, which affects women of all ages. It is thought to be. Lichen sclerosus is a chronic inflammatory skin disease. Although the etiology of ls is still unclear, evidence suggests that ls is an autoimmune disorder with a genetic component. Histopathology of lichen sclerosus 50 variation in. Lichen Sclerosus Histology Vs Normal.
From www.researchgate.net
Patient 4 (A) lichen sclerosus (LS) showing a broad band of Lichen Sclerosus Histology Vs Normal It is thought to be. Atypical lichen sclerosus, with epithelial dysplastic changes (low grade or high grade, are currently classified as differentiated. Histopathology of lichen sclerosus 50 variation in histopathologic manifestations of ls 52 limitations of the literature 56 conclusions and. Vulvar lichen sclerosus (vls) is a chronic inflammatory disorder, which affects women of all ages. Lichen sclerosus is a. Lichen Sclerosus Histology Vs Normal.
From www.youtube.com
Lichen Sclerosus And Lichen Simplex Chronicus Pathology YouTube Lichen Sclerosus Histology Vs Normal It is thought to be. Histopathology of lichen sclerosus 50 variation in histopathologic manifestations of ls 52 limitations of the literature 56 conclusions and. Although the etiology of ls is still unclear, evidence suggests that ls is an autoimmune disorder with a genetic component. Vulvar lichen sclerosus (ls) is a chronic, inflammatory dermatosis that may lead to scarring of the. Lichen Sclerosus Histology Vs Normal.
From www.youtube.com
Lichen Sclerosus Vulva, Histopathology YouTube Lichen Sclerosus Histology Vs Normal Familial studies indicate a positive. It is thought to be. Vulvar lichen sclerosus (ls) is a chronic, inflammatory dermatosis that may lead to scarring of the vulva and sexual dysfunction. Histopathology of lichen sclerosus 50 variation in histopathologic manifestations of ls 52 limitations of the literature 56 conclusions and. Lichen sclerosus is a chronic inflammatory skin disease. Scanning power of. Lichen Sclerosus Histology Vs Normal.
From commons.wikimedia.org
FileLichen Sclerosus, Atrophic (3704077045).jpg Wikimedia Commons Lichen Sclerosus Histology Vs Normal Scanning power of lichen sclerosus reveals a lichenoid inflammatory pattern in early stage lesions or a superficial sclerosing process. Histopathology of lichen sclerosus 50 variation in histopathologic manifestations of ls 52 limitations of the literature 56 conclusions and. Lichen sclerosus is a chronic inflammatory skin disease. It is thought to be. Vulvar lichen sclerosus (vls) is a chronic inflammatory disorder,. Lichen Sclerosus Histology Vs Normal.
From www.researchgate.net
Vulvar lichen sclerosus. Histological assessment of Masson's Lichen Sclerosus Histology Vs Normal Although the etiology of ls is still unclear, evidence suggests that ls is an autoimmune disorder with a genetic component. Vulvar lichen sclerosus (vls) is a chronic inflammatory disorder, which affects women of all ages. Familial studies indicate a positive. Histopathology of lichen sclerosus 50 variation in histopathologic manifestations of ls 52 limitations of the literature 56 conclusions and. Atypical. Lichen Sclerosus Histology Vs Normal.
From www.semanticscholar.org
Figure 6 from Atypical variant of lichen planus mimicking normal skin Lichen Sclerosus Histology Vs Normal Histopathology of lichen sclerosus 50 variation in histopathologic manifestations of ls 52 limitations of the literature 56 conclusions and. Vulvar lichen sclerosus (vls) is a chronic inflammatory disorder, which affects women of all ages. Lichen sclerosus is a chronic inflammatory skin disease. Although the etiology of ls is still unclear, evidence suggests that ls is an autoimmune disorder with a. Lichen Sclerosus Histology Vs Normal.