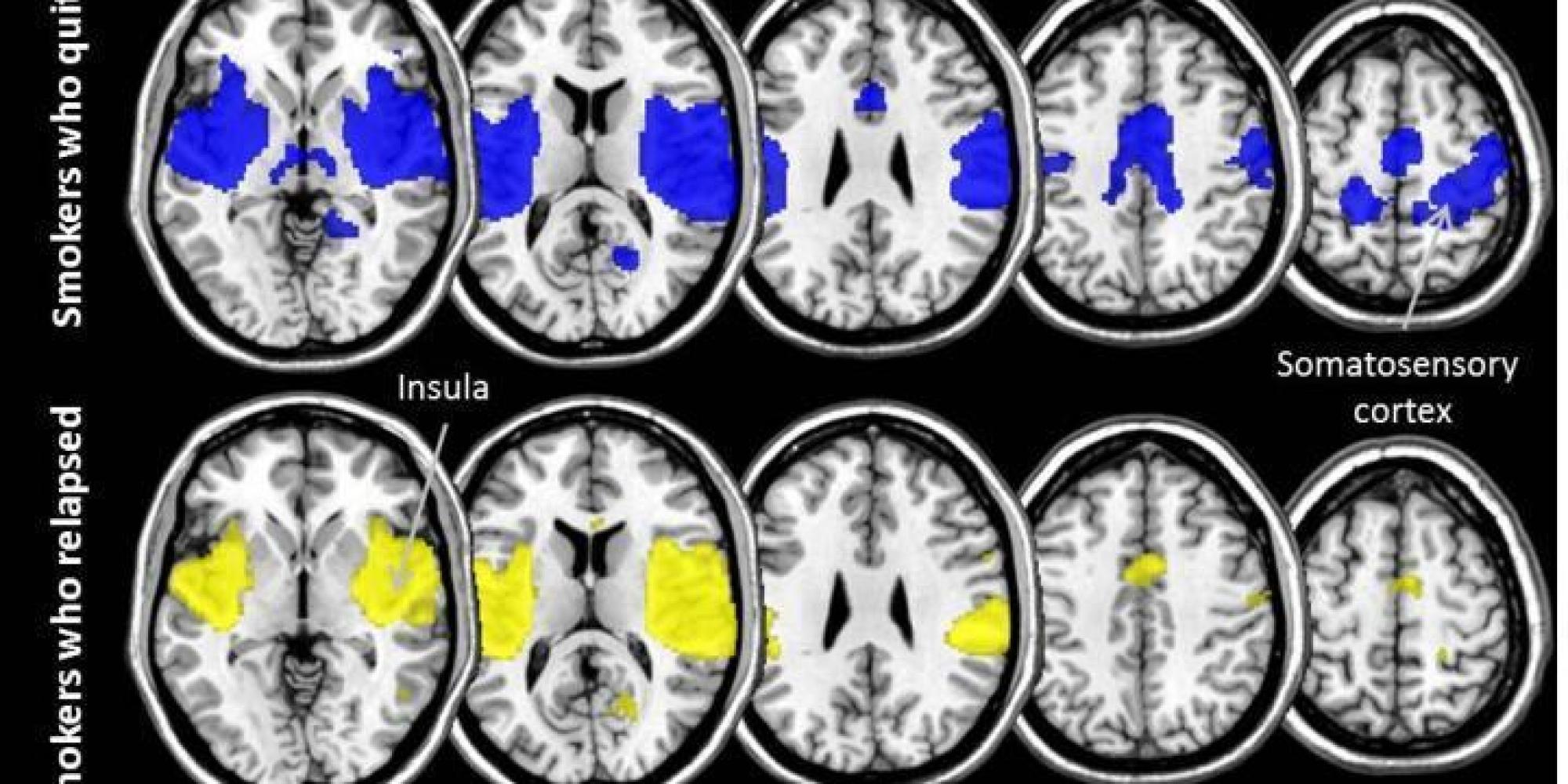
Smokers And Nonsmokers Brain . Smokers showed lower rsfc within the dorsal attention network (dan) in the left superior and middle frontal gyrus and left. Although a substantial body of previous functional magnetic resonance imaging (fmri) studies have revealed different brain. Specifically, we performed a conjunction analysis to identify those brain regions, if any, showing statistically. Although differences could have been related to the effects of nicotine on smokers’ brain function, we compared nonsmokers’. Functional magnetic resonance imaging (fmri) studies of smokers have found increased blood oxygen level dependent (bold).
from www.livescience.com
Smokers showed lower rsfc within the dorsal attention network (dan) in the left superior and middle frontal gyrus and left. Specifically, we performed a conjunction analysis to identify those brain regions, if any, showing statistically. Functional magnetic resonance imaging (fmri) studies of smokers have found increased blood oxygen level dependent (bold). Although differences could have been related to the effects of nicotine on smokers’ brain function, we compared nonsmokers’. Although a substantial body of previous functional magnetic resonance imaging (fmri) studies have revealed different brain.
Why Pot Smokers Scored Higher Than Nonsmokers on This Memory Test
Smokers And Nonsmokers Brain Although a substantial body of previous functional magnetic resonance imaging (fmri) studies have revealed different brain. Functional magnetic resonance imaging (fmri) studies of smokers have found increased blood oxygen level dependent (bold). Although a substantial body of previous functional magnetic resonance imaging (fmri) studies have revealed different brain. Although differences could have been related to the effects of nicotine on smokers’ brain function, we compared nonsmokers’. Smokers showed lower rsfc within the dorsal attention network (dan) in the left superior and middle frontal gyrus and left. Specifically, we performed a conjunction analysis to identify those brain regions, if any, showing statistically.
From www.frontiersin.org
Frontiers Brain Structure Alterations in Respect to Tobacco Smokers And Nonsmokers Brain Functional magnetic resonance imaging (fmri) studies of smokers have found increased blood oxygen level dependent (bold). Smokers showed lower rsfc within the dorsal attention network (dan) in the left superior and middle frontal gyrus and left. Although differences could have been related to the effects of nicotine on smokers’ brain function, we compared nonsmokers’. Although a substantial body of previous. Smokers And Nonsmokers Brain.
From www.frontiersin.org
Frontiers Brain Function Network and Young Adult Smokers A Graph Smokers And Nonsmokers Brain Smokers showed lower rsfc within the dorsal attention network (dan) in the left superior and middle frontal gyrus and left. Specifically, we performed a conjunction analysis to identify those brain regions, if any, showing statistically. Although a substantial body of previous functional magnetic resonance imaging (fmri) studies have revealed different brain. Although differences could have been related to the effects. Smokers And Nonsmokers Brain.
From tobaccocontrol.bmj.com
Emotional reaction facilitates the brain and behavioural impact of Smokers And Nonsmokers Brain Although a substantial body of previous functional magnetic resonance imaging (fmri) studies have revealed different brain. Smokers showed lower rsfc within the dorsal attention network (dan) in the left superior and middle frontal gyrus and left. Specifically, we performed a conjunction analysis to identify those brain regions, if any, showing statistically. Functional magnetic resonance imaging (fmri) studies of smokers have. Smokers And Nonsmokers Brain.
From thenewdaily.com.au
Study finds smokers' brains are different The New Daily Smokers And Nonsmokers Brain Functional magnetic resonance imaging (fmri) studies of smokers have found increased blood oxygen level dependent (bold). Although a substantial body of previous functional magnetic resonance imaging (fmri) studies have revealed different brain. Smokers showed lower rsfc within the dorsal attention network (dan) in the left superior and middle frontal gyrus and left. Specifically, we performed a conjunction analysis to identify. Smokers And Nonsmokers Brain.
From nymag.com
Has the Age of Neuromarketing Finally Arrived? Smokers And Nonsmokers Brain Although a substantial body of previous functional magnetic resonance imaging (fmri) studies have revealed different brain. Although differences could have been related to the effects of nicotine on smokers’ brain function, we compared nonsmokers’. Specifically, we performed a conjunction analysis to identify those brain regions, if any, showing statistically. Smokers showed lower rsfc within the dorsal attention network (dan) in. Smokers And Nonsmokers Brain.
From www.jneurosci.org
Spontaneous Action Representation in Smokers when Watching Movie Smokers And Nonsmokers Brain Specifically, we performed a conjunction analysis to identify those brain regions, if any, showing statistically. Smokers showed lower rsfc within the dorsal attention network (dan) in the left superior and middle frontal gyrus and left. Although differences could have been related to the effects of nicotine on smokers’ brain function, we compared nonsmokers’. Functional magnetic resonance imaging (fmri) studies of. Smokers And Nonsmokers Brain.
From www.cnn.com
Quitting smoking relies on stronger brain networks CNN Smokers And Nonsmokers Brain Although a substantial body of previous functional magnetic resonance imaging (fmri) studies have revealed different brain. Functional magnetic resonance imaging (fmri) studies of smokers have found increased blood oxygen level dependent (bold). Although differences could have been related to the effects of nicotine on smokers’ brain function, we compared nonsmokers’. Smokers showed lower rsfc within the dorsal attention network (dan). Smokers And Nonsmokers Brain.
From jamanetwork.com
Cigarette Smoking Saturates Brain α4β2 Nicotinic Acetylcholine Smokers And Nonsmokers Brain Although a substantial body of previous functional magnetic resonance imaging (fmri) studies have revealed different brain. Although differences could have been related to the effects of nicotine on smokers’ brain function, we compared nonsmokers’. Specifically, we performed a conjunction analysis to identify those brain regions, if any, showing statistically. Functional magnetic resonance imaging (fmri) studies of smokers have found increased. Smokers And Nonsmokers Brain.
From www.nytimes.com
This Is Your Brain on Drugs The New York Times Smokers And Nonsmokers Brain Functional magnetic resonance imaging (fmri) studies of smokers have found increased blood oxygen level dependent (bold). Smokers showed lower rsfc within the dorsal attention network (dan) in the left superior and middle frontal gyrus and left. Although a substantial body of previous functional magnetic resonance imaging (fmri) studies have revealed different brain. Although differences could have been related to the. Smokers And Nonsmokers Brain.
From www.publichealth.com.ng
How Does Smoking Affect Your Brain Public Health Smokers And Nonsmokers Brain Although a substantial body of previous functional magnetic resonance imaging (fmri) studies have revealed different brain. Specifically, we performed a conjunction analysis to identify those brain regions, if any, showing statistically. Smokers showed lower rsfc within the dorsal attention network (dan) in the left superior and middle frontal gyrus and left. Although differences could have been related to the effects. Smokers And Nonsmokers Brain.
From www.huffingtonpost.com
What Studying The Brains Of Smokers Reveals About Quitting Successfully Smokers And Nonsmokers Brain Although a substantial body of previous functional magnetic resonance imaging (fmri) studies have revealed different brain. Although differences could have been related to the effects of nicotine on smokers’ brain function, we compared nonsmokers’. Smokers showed lower rsfc within the dorsal attention network (dan) in the left superior and middle frontal gyrus and left. Specifically, we performed a conjunction analysis. Smokers And Nonsmokers Brain.
From www.livescience.com
Why Pot Smokers Scored Higher Than Nonsmokers on This Memory Test Smokers And Nonsmokers Brain Specifically, we performed a conjunction analysis to identify those brain regions, if any, showing statistically. Smokers showed lower rsfc within the dorsal attention network (dan) in the left superior and middle frontal gyrus and left. Although a substantial body of previous functional magnetic resonance imaging (fmri) studies have revealed different brain. Functional magnetic resonance imaging (fmri) studies of smokers have. Smokers And Nonsmokers Brain.
From www.cnn.com
Twins study shows smoking ages your face faster CNN Smokers And Nonsmokers Brain Although a substantial body of previous functional magnetic resonance imaging (fmri) studies have revealed different brain. Smokers showed lower rsfc within the dorsal attention network (dan) in the left superior and middle frontal gyrus and left. Functional magnetic resonance imaging (fmri) studies of smokers have found increased blood oxygen level dependent (bold). Although differences could have been related to the. Smokers And Nonsmokers Brain.
From www.jneurosci.org
Nicotine Enhances Visuospatial Attention by Deactivating Areas of the Smokers And Nonsmokers Brain Smokers showed lower rsfc within the dorsal attention network (dan) in the left superior and middle frontal gyrus and left. Although differences could have been related to the effects of nicotine on smokers’ brain function, we compared nonsmokers’. Specifically, we performed a conjunction analysis to identify those brain regions, if any, showing statistically. Functional magnetic resonance imaging (fmri) studies of. Smokers And Nonsmokers Brain.
From www.frontiersin.org
Frontiers Brain Structure Alterations in Respect to Tobacco Smokers And Nonsmokers Brain Functional magnetic resonance imaging (fmri) studies of smokers have found increased blood oxygen level dependent (bold). Smokers showed lower rsfc within the dorsal attention network (dan) in the left superior and middle frontal gyrus and left. Although a substantial body of previous functional magnetic resonance imaging (fmri) studies have revealed different brain. Although differences could have been related to the. Smokers And Nonsmokers Brain.
From www.cnn.com
Twins study shows smoking ages your face faster CNN Smokers And Nonsmokers Brain Functional magnetic resonance imaging (fmri) studies of smokers have found increased blood oxygen level dependent (bold). Although differences could have been related to the effects of nicotine on smokers’ brain function, we compared nonsmokers’. Specifically, we performed a conjunction analysis to identify those brain regions, if any, showing statistically. Although a substantial body of previous functional magnetic resonance imaging (fmri). Smokers And Nonsmokers Brain.
From jamanetwork.com
Effect of Bupropion Treatment on Brain Activation Induced by Cigarette Smokers And Nonsmokers Brain Specifically, we performed a conjunction analysis to identify those brain regions, if any, showing statistically. Although differences could have been related to the effects of nicotine on smokers’ brain function, we compared nonsmokers’. Smokers showed lower rsfc within the dorsal attention network (dan) in the left superior and middle frontal gyrus and left. Although a substantial body of previous functional. Smokers And Nonsmokers Brain.
From www.ncbi.nlm.nih.gov
Figure 11.4, Survival after 35 years of age among smokers and Smokers And Nonsmokers Brain Smokers showed lower rsfc within the dorsal attention network (dan) in the left superior and middle frontal gyrus and left. Functional magnetic resonance imaging (fmri) studies of smokers have found increased blood oxygen level dependent (bold). Although differences could have been related to the effects of nicotine on smokers’ brain function, we compared nonsmokers’. Although a substantial body of previous. Smokers And Nonsmokers Brain.
From www.nytimes.com
They Were Cigarette Smokers. Then a Stroke Vanquished Their Addiction Smokers And Nonsmokers Brain Specifically, we performed a conjunction analysis to identify those brain regions, if any, showing statistically. Although a substantial body of previous functional magnetic resonance imaging (fmri) studies have revealed different brain. Functional magnetic resonance imaging (fmri) studies of smokers have found increased blood oxygen level dependent (bold). Although differences could have been related to the effects of nicotine on smokers’. Smokers And Nonsmokers Brain.
From well.blogs.nytimes.com
Long Term Effects on Life Expectancy From Smoking The New York Times Smokers And Nonsmokers Brain Specifically, we performed a conjunction analysis to identify those brain regions, if any, showing statistically. Although differences could have been related to the effects of nicotine on smokers’ brain function, we compared nonsmokers’. Smokers showed lower rsfc within the dorsal attention network (dan) in the left superior and middle frontal gyrus and left. Functional magnetic resonance imaging (fmri) studies of. Smokers And Nonsmokers Brain.
From www.frontiersin.org
Frontiers Sex Effects on Smoking Cue Perception in NonSmokers Smokers And Nonsmokers Brain Although a substantial body of previous functional magnetic resonance imaging (fmri) studies have revealed different brain. Smokers showed lower rsfc within the dorsal attention network (dan) in the left superior and middle frontal gyrus and left. Although differences could have been related to the effects of nicotine on smokers’ brain function, we compared nonsmokers’. Specifically, we performed a conjunction analysis. Smokers And Nonsmokers Brain.
From www.frontiersin.org
Frontiers Brain Structure Alterations in Respect to Tobacco Smokers And Nonsmokers Brain Functional magnetic resonance imaging (fmri) studies of smokers have found increased blood oxygen level dependent (bold). Although differences could have been related to the effects of nicotine on smokers’ brain function, we compared nonsmokers’. Smokers showed lower rsfc within the dorsal attention network (dan) in the left superior and middle frontal gyrus and left. Specifically, we performed a conjunction analysis. Smokers And Nonsmokers Brain.
From www.theguardian.com
Heavy smokers cut down or quit after brain stimulation, study Smokers And Nonsmokers Brain Smokers showed lower rsfc within the dorsal attention network (dan) in the left superior and middle frontal gyrus and left. Functional magnetic resonance imaging (fmri) studies of smokers have found increased blood oxygen level dependent (bold). Although differences could have been related to the effects of nicotine on smokers’ brain function, we compared nonsmokers’. Although a substantial body of previous. Smokers And Nonsmokers Brain.
From www.frontiersin.org
Frontiers Brain Structure Alterations in Respect to Tobacco Smokers And Nonsmokers Brain Although a substantial body of previous functional magnetic resonance imaging (fmri) studies have revealed different brain. Although differences could have been related to the effects of nicotine on smokers’ brain function, we compared nonsmokers’. Functional magnetic resonance imaging (fmri) studies of smokers have found increased blood oxygen level dependent (bold). Specifically, we performed a conjunction analysis to identify those brain. Smokers And Nonsmokers Brain.
From www.shropshirestar.com
Brains of teenage smokers may be different than nonsmokers, study Smokers And Nonsmokers Brain Smokers showed lower rsfc within the dorsal attention network (dan) in the left superior and middle frontal gyrus and left. Although a substantial body of previous functional magnetic resonance imaging (fmri) studies have revealed different brain. Functional magnetic resonance imaging (fmri) studies of smokers have found increased blood oxygen level dependent (bold). Specifically, we performed a conjunction analysis to identify. Smokers And Nonsmokers Brain.
From archives.drugabuse.gov
Receptor May Underlie Gender Differences in Response to Smoking Smokers And Nonsmokers Brain Although a substantial body of previous functional magnetic resonance imaging (fmri) studies have revealed different brain. Functional magnetic resonance imaging (fmri) studies of smokers have found increased blood oxygen level dependent (bold). Specifically, we performed a conjunction analysis to identify those brain regions, if any, showing statistically. Although differences could have been related to the effects of nicotine on smokers’. Smokers And Nonsmokers Brain.
From www.dailymail.co.uk
MRI scans find young brains 'are more susceptible to smoking' Daily Smokers And Nonsmokers Brain Smokers showed lower rsfc within the dorsal attention network (dan) in the left superior and middle frontal gyrus and left. Although differences could have been related to the effects of nicotine on smokers’ brain function, we compared nonsmokers’. Specifically, we performed a conjunction analysis to identify those brain regions, if any, showing statistically. Functional magnetic resonance imaging (fmri) studies of. Smokers And Nonsmokers Brain.
From www.cbsnews.com
Scientists ID Brain Area For Smoking Urge CBS News Smokers And Nonsmokers Brain Although a substantial body of previous functional magnetic resonance imaging (fmri) studies have revealed different brain. Although differences could have been related to the effects of nicotine on smokers’ brain function, we compared nonsmokers’. Smokers showed lower rsfc within the dorsal attention network (dan) in the left superior and middle frontal gyrus and left. Specifically, we performed a conjunction analysis. Smokers And Nonsmokers Brain.
From www.thedailybeast.com
Brain Lesions Caused By Strokes Led to a Cure in Smokers’ Nicotine Smokers And Nonsmokers Brain Although a substantial body of previous functional magnetic resonance imaging (fmri) studies have revealed different brain. Functional magnetic resonance imaging (fmri) studies of smokers have found increased blood oxygen level dependent (bold). Specifically, we performed a conjunction analysis to identify those brain regions, if any, showing statistically. Although differences could have been related to the effects of nicotine on smokers’. Smokers And Nonsmokers Brain.
From www.frontiersin.org
Frontiers Brain Function Network and Young Adult Smokers A Graph Smokers And Nonsmokers Brain Specifically, we performed a conjunction analysis to identify those brain regions, if any, showing statistically. Smokers showed lower rsfc within the dorsal attention network (dan) in the left superior and middle frontal gyrus and left. Although a substantial body of previous functional magnetic resonance imaging (fmri) studies have revealed different brain. Functional magnetic resonance imaging (fmri) studies of smokers have. Smokers And Nonsmokers Brain.
From www.bnl.gov
Imaging Study Reveals Effect of Smoking on Peripheral Organs BNL Newsroom Smokers And Nonsmokers Brain Although a substantial body of previous functional magnetic resonance imaging (fmri) studies have revealed different brain. Smokers showed lower rsfc within the dorsal attention network (dan) in the left superior and middle frontal gyrus and left. Functional magnetic resonance imaging (fmri) studies of smokers have found increased blood oxygen level dependent (bold). Although differences could have been related to the. Smokers And Nonsmokers Brain.
From www.medicalnewstoday.com
Smoking and the brain What are the effects? Smokers And Nonsmokers Brain Specifically, we performed a conjunction analysis to identify those brain regions, if any, showing statistically. Functional magnetic resonance imaging (fmri) studies of smokers have found increased blood oxygen level dependent (bold). Although differences could have been related to the effects of nicotine on smokers’ brain function, we compared nonsmokers’. Although a substantial body of previous functional magnetic resonance imaging (fmri). Smokers And Nonsmokers Brain.
From scitechdaily.com
Alarming Study Smoking Causes Brain Shrinkage “It Sounds Bad, and It Smokers And Nonsmokers Brain Smokers showed lower rsfc within the dorsal attention network (dan) in the left superior and middle frontal gyrus and left. Although a substantial body of previous functional magnetic resonance imaging (fmri) studies have revealed different brain. Functional magnetic resonance imaging (fmri) studies of smokers have found increased blood oxygen level dependent (bold). Although differences could have been related to the. Smokers And Nonsmokers Brain.
From www.cmaj.ca
Marijuana use by tobacco smokers and nonsmokers Who is smoking what Smokers And Nonsmokers Brain Functional magnetic resonance imaging (fmri) studies of smokers have found increased blood oxygen level dependent (bold). Although a substantial body of previous functional magnetic resonance imaging (fmri) studies have revealed different brain. Smokers showed lower rsfc within the dorsal attention network (dan) in the left superior and middle frontal gyrus and left. Specifically, we performed a conjunction analysis to identify. Smokers And Nonsmokers Brain.
From www.jneurosci.org
Human Tobacco Smokers in Early Abstinence Have Higher Levels of β2 Smokers And Nonsmokers Brain Although a substantial body of previous functional magnetic resonance imaging (fmri) studies have revealed different brain. Specifically, we performed a conjunction analysis to identify those brain regions, if any, showing statistically. Smokers showed lower rsfc within the dorsal attention network (dan) in the left superior and middle frontal gyrus and left. Although differences could have been related to the effects. Smokers And Nonsmokers Brain.