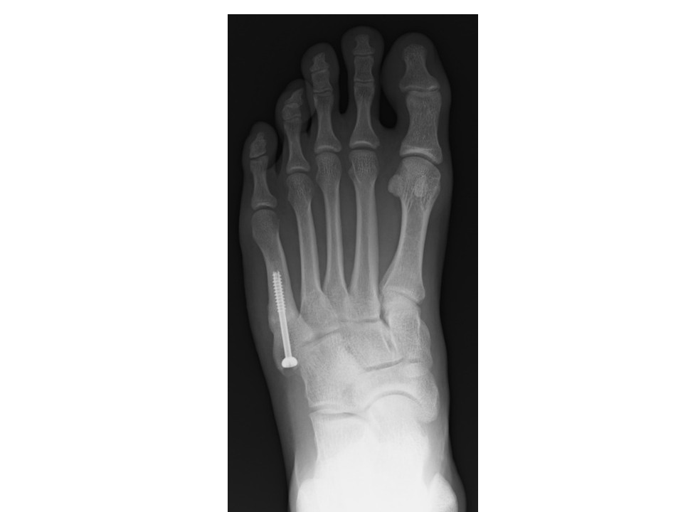
Screw Removal From 5Th Metatarsal . Detailed step by step desription of intramedullary screw or lag screw fixation for proximal extraarticular fractures of the 5th metatarsal (march fracture) located in our module on. Any one of the five metatarsal bones in the foot might sustain a fracture. I broke my right 5th metatarsal about 12 years ago. The collective findings regarding ims in proximal fifth metatarsal fractures (pfmf) indicate a 10% overall rate of metal removal,. In order to ensure adequate alignment, misplaced or unstable fractures are fixed with surgical screws. Intramedullary screw fixation was the most common method of fixation. Surgical interventions and adjunctive therapy. The past year i have been having severe pain in my foot right where the fracture.
from www.researchgate.net
In order to ensure adequate alignment, misplaced or unstable fractures are fixed with surgical screws. Surgical interventions and adjunctive therapy. Intramedullary screw fixation was the most common method of fixation. I broke my right 5th metatarsal about 12 years ago. Any one of the five metatarsal bones in the foot might sustain a fracture. The past year i have been having severe pain in my foot right where the fracture. Detailed step by step desription of intramedullary screw or lag screw fixation for proximal extraarticular fractures of the 5th metatarsal (march fracture) located in our module on. The collective findings regarding ims in proximal fifth metatarsal fractures (pfmf) indicate a 10% overall rate of metal removal,.
Plate and screw fixation of an angulated fifth metacarpal neck fracture
Screw Removal From 5Th Metatarsal Intramedullary screw fixation was the most common method of fixation. Any one of the five metatarsal bones in the foot might sustain a fracture. I broke my right 5th metatarsal about 12 years ago. In order to ensure adequate alignment, misplaced or unstable fractures are fixed with surgical screws. Detailed step by step desription of intramedullary screw or lag screw fixation for proximal extraarticular fractures of the 5th metatarsal (march fracture) located in our module on. The collective findings regarding ims in proximal fifth metatarsal fractures (pfmf) indicate a 10% overall rate of metal removal,. Intramedullary screw fixation was the most common method of fixation. The past year i have been having severe pain in my foot right where the fracture. Surgical interventions and adjunctive therapy.
From trimedortho.com
Jones Screw 5th Metatarsal Implant TriMed Inc. Screw Removal From 5Th Metatarsal The past year i have been having severe pain in my foot right where the fracture. In order to ensure adequate alignment, misplaced or unstable fractures are fixed with surgical screws. Intramedullary screw fixation was the most common method of fixation. The collective findings regarding ims in proximal fifth metatarsal fractures (pfmf) indicate a 10% overall rate of metal removal,.. Screw Removal From 5Th Metatarsal.
From gbu-presnenskij.ru
Open Reduction Internal Fixation Of Left Foot Metatarsal, 50 OFF Screw Removal From 5Th Metatarsal The collective findings regarding ims in proximal fifth metatarsal fractures (pfmf) indicate a 10% overall rate of metal removal,. Surgical interventions and adjunctive therapy. Detailed step by step desription of intramedullary screw or lag screw fixation for proximal extraarticular fractures of the 5th metatarsal (march fracture) located in our module on. Any one of the five metatarsal bones in the. Screw Removal From 5Th Metatarsal.
From www.researchgate.net
A 48yearold man with a fifth metatarsal base fracture. a Preoperative Screw Removal From 5Th Metatarsal The past year i have been having severe pain in my foot right where the fracture. The collective findings regarding ims in proximal fifth metatarsal fractures (pfmf) indicate a 10% overall rate of metal removal,. Detailed step by step desription of intramedullary screw or lag screw fixation for proximal extraarticular fractures of the 5th metatarsal (march fracture) located in our. Screw Removal From 5Th Metatarsal.
From www.journaloforthopaedicscience.com
Treatment of severe thermal necrosis of the fifth metatarsal after Screw Removal From 5Th Metatarsal I broke my right 5th metatarsal about 12 years ago. Any one of the five metatarsal bones in the foot might sustain a fracture. Intramedullary screw fixation was the most common method of fixation. Detailed step by step desription of intramedullary screw or lag screw fixation for proximal extraarticular fractures of the 5th metatarsal (march fracture) located in our module. Screw Removal From 5Th Metatarsal.
From bmcsportsscimedrehabil.biomedcentral.com
Intramedullary screw fixation with bone autografting to treat proximal Screw Removal From 5Th Metatarsal The collective findings regarding ims in proximal fifth metatarsal fractures (pfmf) indicate a 10% overall rate of metal removal,. Detailed step by step desription of intramedullary screw or lag screw fixation for proximal extraarticular fractures of the 5th metatarsal (march fracture) located in our module on. Intramedullary screw fixation was the most common method of fixation. The past year i. Screw Removal From 5Th Metatarsal.
From irumikanzashi.blogspot.com
Fifth Metatarsal Fracture Treatment And Tips / Metatarsal Fractures Screw Removal From 5Th Metatarsal Intramedullary screw fixation was the most common method of fixation. The collective findings regarding ims in proximal fifth metatarsal fractures (pfmf) indicate a 10% overall rate of metal removal,. Any one of the five metatarsal bones in the foot might sustain a fracture. In order to ensure adequate alignment, misplaced or unstable fractures are fixed with surgical screws. Detailed step. Screw Removal From 5Th Metatarsal.
From faoj.org
Failed Intramedullary Screw Fixation of a Proximal Fifth Metatarsal Screw Removal From 5Th Metatarsal Intramedullary screw fixation was the most common method of fixation. In order to ensure adequate alignment, misplaced or unstable fractures are fixed with surgical screws. Detailed step by step desription of intramedullary screw or lag screw fixation for proximal extraarticular fractures of the 5th metatarsal (march fracture) located in our module on. The past year i have been having severe. Screw Removal From 5Th Metatarsal.
From www.jfas.org
Percutaneous Osteotomy of the Fifth Metatarsal for Symptomatic Screw Removal From 5Th Metatarsal Surgical interventions and adjunctive therapy. I broke my right 5th metatarsal about 12 years ago. Any one of the five metatarsal bones in the foot might sustain a fracture. Intramedullary screw fixation was the most common method of fixation. The past year i have been having severe pain in my foot right where the fracture. Detailed step by step desription. Screw Removal From 5Th Metatarsal.
From journals.sagepub.com
Biomechanical Comparison of Hook Plate vs Headless Compression Screw Screw Removal From 5Th Metatarsal Surgical interventions and adjunctive therapy. I broke my right 5th metatarsal about 12 years ago. In order to ensure adequate alignment, misplaced or unstable fractures are fixed with surgical screws. The collective findings regarding ims in proximal fifth metatarsal fractures (pfmf) indicate a 10% overall rate of metal removal,. Detailed step by step desription of intramedullary screw or lag screw. Screw Removal From 5Th Metatarsal.
From medizzy.com
5th metatarsal repair surgery, post op 4 months MEDizzy Screw Removal From 5Th Metatarsal The collective findings regarding ims in proximal fifth metatarsal fractures (pfmf) indicate a 10% overall rate of metal removal,. Intramedullary screw fixation was the most common method of fixation. In order to ensure adequate alignment, misplaced or unstable fractures are fixed with surgical screws. Surgical interventions and adjunctive therapy. I broke my right 5th metatarsal about 12 years ago. The. Screw Removal From 5Th Metatarsal.
From www.adelaideankle.com.au
5th Metatarsal Fracture Dr Ben Beamond Adelaide Screw Removal From 5Th Metatarsal I broke my right 5th metatarsal about 12 years ago. Surgical interventions and adjunctive therapy. The collective findings regarding ims in proximal fifth metatarsal fractures (pfmf) indicate a 10% overall rate of metal removal,. The past year i have been having severe pain in my foot right where the fracture. Intramedullary screw fixation was the most common method of fixation.. Screw Removal From 5Th Metatarsal.
From www.jfas.org
Conservative Versus Surgical Management of Fifth Metatarsal Avulsion Screw Removal From 5Th Metatarsal Intramedullary screw fixation was the most common method of fixation. The collective findings regarding ims in proximal fifth metatarsal fractures (pfmf) indicate a 10% overall rate of metal removal,. Surgical interventions and adjunctive therapy. I broke my right 5th metatarsal about 12 years ago. Detailed step by step desription of intramedullary screw or lag screw fixation for proximal extraarticular fractures. Screw Removal From 5Th Metatarsal.
From footeducation.com
Metatarsal Shaft Fractures FootEducation Screw Removal From 5Th Metatarsal I broke my right 5th metatarsal about 12 years ago. Surgical interventions and adjunctive therapy. In order to ensure adequate alignment, misplaced or unstable fractures are fixed with surgical screws. Detailed step by step desription of intramedullary screw or lag screw fixation for proximal extraarticular fractures of the 5th metatarsal (march fracture) located in our module on. Intramedullary screw fixation. Screw Removal From 5Th Metatarsal.
From www.jfas.org
Use of a Percutaneous Pointed Reduction Clamp Before Screw Fixation to Screw Removal From 5Th Metatarsal Any one of the five metatarsal bones in the foot might sustain a fracture. Detailed step by step desription of intramedullary screw or lag screw fixation for proximal extraarticular fractures of the 5th metatarsal (march fracture) located in our module on. Surgical interventions and adjunctive therapy. The past year i have been having severe pain in my foot right where. Screw Removal From 5Th Metatarsal.
From www.researchgate.net
(a) The fifth metatarsal base avulsion fracture confirmed by Xray. (b Screw Removal From 5Th Metatarsal I broke my right 5th metatarsal about 12 years ago. Surgical interventions and adjunctive therapy. Intramedullary screw fixation was the most common method of fixation. The past year i have been having severe pain in my foot right where the fracture. Detailed step by step desription of intramedullary screw or lag screw fixation for proximal extraarticular fractures of the 5th. Screw Removal From 5Th Metatarsal.
From www.semanticscholar.org
Figure 4 from Intramedullary screw fixation of proximal fifth Screw Removal From 5Th Metatarsal Surgical interventions and adjunctive therapy. I broke my right 5th metatarsal about 12 years ago. Detailed step by step desription of intramedullary screw or lag screw fixation for proximal extraarticular fractures of the 5th metatarsal (march fracture) located in our module on. Any one of the five metatarsal bones in the foot might sustain a fracture. Intramedullary screw fixation was. Screw Removal From 5Th Metatarsal.
From www.researchgate.net
(PDF) Percutaneous Cannulated Screw Fixation of Fifth Proximal Screw Removal From 5Th Metatarsal The past year i have been having severe pain in my foot right where the fracture. Any one of the five metatarsal bones in the foot might sustain a fracture. Surgical interventions and adjunctive therapy. I broke my right 5th metatarsal about 12 years ago. Detailed step by step desription of intramedullary screw or lag screw fixation for proximal extraarticular. Screw Removal From 5Th Metatarsal.
From www.semanticscholar.org
Figure 2 from Plate Fixation of Proximal Fifth Metatarsal Fracture Screw Removal From 5Th Metatarsal In order to ensure adequate alignment, misplaced or unstable fractures are fixed with surgical screws. Any one of the five metatarsal bones in the foot might sustain a fracture. Surgical interventions and adjunctive therapy. The collective findings regarding ims in proximal fifth metatarsal fractures (pfmf) indicate a 10% overall rate of metal removal,. The past year i have been having. Screw Removal From 5Th Metatarsal.
From www.arthrex.com
Arthrex 5th Metatarsal Fracture System Screw Removal From 5Th Metatarsal In order to ensure adequate alignment, misplaced or unstable fractures are fixed with surgical screws. Surgical interventions and adjunctive therapy. Any one of the five metatarsal bones in the foot might sustain a fracture. The collective findings regarding ims in proximal fifth metatarsal fractures (pfmf) indicate a 10% overall rate of metal removal,. Detailed step by step desription of intramedullary. Screw Removal From 5Th Metatarsal.
From www.semanticscholar.org
Figure 1 from The Effectiveness of Intramedullary Screw Fixation Using Screw Removal From 5Th Metatarsal The past year i have been having severe pain in my foot right where the fracture. Any one of the five metatarsal bones in the foot might sustain a fracture. Intramedullary screw fixation was the most common method of fixation. Surgical interventions and adjunctive therapy. I broke my right 5th metatarsal about 12 years ago. Detailed step by step desription. Screw Removal From 5Th Metatarsal.
From bellevuefoot.com
The syndesmosis bunionectomy — Bellevue Podiatric Physicians Screw Removal From 5Th Metatarsal I broke my right 5th metatarsal about 12 years ago. Surgical interventions and adjunctive therapy. Intramedullary screw fixation was the most common method of fixation. Any one of the five metatarsal bones in the foot might sustain a fracture. The collective findings regarding ims in proximal fifth metatarsal fractures (pfmf) indicate a 10% overall rate of metal removal,. The past. Screw Removal From 5Th Metatarsal.
From www.youtube.com
Metatarsal Fracture Repair with Arthrex® Hook Plate YouTube Screw Removal From 5Th Metatarsal The collective findings regarding ims in proximal fifth metatarsal fractures (pfmf) indicate a 10% overall rate of metal removal,. In order to ensure adequate alignment, misplaced or unstable fractures are fixed with surgical screws. Intramedullary screw fixation was the most common method of fixation. Detailed step by step desription of intramedullary screw or lag screw fixation for proximal extraarticular fractures. Screw Removal From 5Th Metatarsal.
From www.vrogue.co
Percutaneous Fixation Of Proximal Fifth Metatarsal Fr vrogue.co Screw Removal From 5Th Metatarsal I broke my right 5th metatarsal about 12 years ago. In order to ensure adequate alignment, misplaced or unstable fractures are fixed with surgical screws. Intramedullary screw fixation was the most common method of fixation. Any one of the five metatarsal bones in the foot might sustain a fracture. The past year i have been having severe pain in my. Screw Removal From 5Th Metatarsal.
From www.jfas.org
ShortTerm of JonesSpecific Implant Versus Intramedullary Screw Removal From 5Th Metatarsal Intramedullary screw fixation was the most common method of fixation. Detailed step by step desription of intramedullary screw or lag screw fixation for proximal extraarticular fractures of the 5th metatarsal (march fracture) located in our module on. In order to ensure adequate alignment, misplaced or unstable fractures are fixed with surgical screws. The collective findings regarding ims in proximal fifth. Screw Removal From 5Th Metatarsal.
From www.semanticscholar.org
Figure 1 from Guide wire placement for fifth metatarsal intramedullary Screw Removal From 5Th Metatarsal Any one of the five metatarsal bones in the foot might sustain a fracture. The collective findings regarding ims in proximal fifth metatarsal fractures (pfmf) indicate a 10% overall rate of metal removal,. Surgical interventions and adjunctive therapy. The past year i have been having severe pain in my foot right where the fracture. In order to ensure adequate alignment,. Screw Removal From 5Th Metatarsal.
From www.researchgate.net
Pre(a) and postoperative (b) radiographs of a fifth metatarsal base Screw Removal From 5Th Metatarsal I broke my right 5th metatarsal about 12 years ago. Detailed step by step desription of intramedullary screw or lag screw fixation for proximal extraarticular fractures of the 5th metatarsal (march fracture) located in our module on. Any one of the five metatarsal bones in the foot might sustain a fracture. Intramedullary screw fixation was the most common method of. Screw Removal From 5Th Metatarsal.
From www.youtube.com
Surgical Management of Fifth Metatarsal (Jones) Fractures Screw Removal From 5Th Metatarsal I broke my right 5th metatarsal about 12 years ago. Surgical interventions and adjunctive therapy. Any one of the five metatarsal bones in the foot might sustain a fracture. In order to ensure adequate alignment, misplaced or unstable fractures are fixed with surgical screws. The past year i have been having severe pain in my foot right where the fracture.. Screw Removal From 5Th Metatarsal.
From www.semanticscholar.org
Figure 1 from Treatment of Fifth Metatarsal Base Fracture Using Tension Screw Removal From 5Th Metatarsal Intramedullary screw fixation was the most common method of fixation. I broke my right 5th metatarsal about 12 years ago. The collective findings regarding ims in proximal fifth metatarsal fractures (pfmf) indicate a 10% overall rate of metal removal,. In order to ensure adequate alignment, misplaced or unstable fractures are fixed with surgical screws. The past year i have been. Screw Removal From 5Th Metatarsal.
From www.lfaclinic.co.uk
5th Metatarsal Fracture Screw Removal From 5Th Metatarsal In order to ensure adequate alignment, misplaced or unstable fractures are fixed with surgical screws. I broke my right 5th metatarsal about 12 years ago. The past year i have been having severe pain in my foot right where the fracture. The collective findings regarding ims in proximal fifth metatarsal fractures (pfmf) indicate a 10% overall rate of metal removal,.. Screw Removal From 5Th Metatarsal.
From trimedortho.com
Jones Screw 5th Metatarsal Implant TriMed Inc. Screw Removal From 5Th Metatarsal I broke my right 5th metatarsal about 12 years ago. Surgical interventions and adjunctive therapy. In order to ensure adequate alignment, misplaced or unstable fractures are fixed with surgical screws. Any one of the five metatarsal bones in the foot might sustain a fracture. Intramedullary screw fixation was the most common method of fixation. Detailed step by step desription of. Screw Removal From 5Th Metatarsal.
From www.researchgate.net
Plate and screw fixation of an angulated fifth metacarpal neck fracture Screw Removal From 5Th Metatarsal The past year i have been having severe pain in my foot right where the fracture. Surgical interventions and adjunctive therapy. I broke my right 5th metatarsal about 12 years ago. Intramedullary screw fixation was the most common method of fixation. Any one of the five metatarsal bones in the foot might sustain a fracture. In order to ensure adequate. Screw Removal From 5Th Metatarsal.
From journals.sagepub.com
The Use of Percutaneous Screw Fixation without Fracture Site Screw Removal From 5Th Metatarsal Intramedullary screw fixation was the most common method of fixation. The past year i have been having severe pain in my foot right where the fracture. The collective findings regarding ims in proximal fifth metatarsal fractures (pfmf) indicate a 10% overall rate of metal removal,. In order to ensure adequate alignment, misplaced or unstable fractures are fixed with surgical screws.. Screw Removal From 5Th Metatarsal.
From www.jfas.org
Cannulated Screw Fixation of Jones Fifth Metatarsal Fractures A Screw Removal From 5Th Metatarsal I broke my right 5th metatarsal about 12 years ago. The collective findings regarding ims in proximal fifth metatarsal fractures (pfmf) indicate a 10% overall rate of metal removal,. Surgical interventions and adjunctive therapy. Detailed step by step desription of intramedullary screw or lag screw fixation for proximal extraarticular fractures of the 5th metatarsal (march fracture) located in our module. Screw Removal From 5Th Metatarsal.
From www.youtube.com
Open Reduction & Internal Fixation of a 5th Metatarsal Fracture YouTube Screw Removal From 5Th Metatarsal Any one of the five metatarsal bones in the foot might sustain a fracture. Detailed step by step desription of intramedullary screw or lag screw fixation for proximal extraarticular fractures of the 5th metatarsal (march fracture) located in our module on. In order to ensure adequate alignment, misplaced or unstable fractures are fixed with surgical screws. The past year i. Screw Removal From 5Th Metatarsal.
From www.youtube.com
Metatarsal Fracture Repair with Arthrex® Jones Screw YouTube Screw Removal From 5Th Metatarsal Intramedullary screw fixation was the most common method of fixation. Any one of the five metatarsal bones in the foot might sustain a fracture. In order to ensure adequate alignment, misplaced or unstable fractures are fixed with surgical screws. The past year i have been having severe pain in my foot right where the fracture. The collective findings regarding ims. Screw Removal From 5Th Metatarsal.