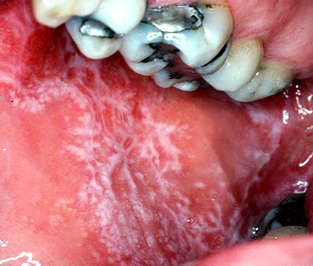
Smokeless Tobacco Lesions . causative linkages of smokeless tobacco (slt) use with oral potentially malignant disorders and cancers of oral cavity,. it provides suggestive evidence of an association of snuff use with gingival recession and attachment loss,. the mechanical trauma caused by chewing or holding smokeless tobacco products can lead to the formation of pre. as smokeless tobacco is placed intraorally, these compounds can lead to dysplastic changes in the oral mucosa. termed snuff dipper’s lesion, snuff pouch and spit tobacco keratosis among other terms, smokeless tobacco. while carcinogenicity of smokeless tobacco (st) to humans is well established the oral lesions that precede development of.
from slideplayer.com
causative linkages of smokeless tobacco (slt) use with oral potentially malignant disorders and cancers of oral cavity,. the mechanical trauma caused by chewing or holding smokeless tobacco products can lead to the formation of pre. termed snuff dipper’s lesion, snuff pouch and spit tobacco keratosis among other terms, smokeless tobacco. as smokeless tobacco is placed intraorally, these compounds can lead to dysplastic changes in the oral mucosa. while carcinogenicity of smokeless tobacco (st) to humans is well established the oral lesions that precede development of. it provides suggestive evidence of an association of snuff use with gingival recession and attachment loss,.
Oral Manifestations of Tobacco use ppt download
Smokeless Tobacco Lesions termed snuff dipper’s lesion, snuff pouch and spit tobacco keratosis among other terms, smokeless tobacco. as smokeless tobacco is placed intraorally, these compounds can lead to dysplastic changes in the oral mucosa. while carcinogenicity of smokeless tobacco (st) to humans is well established the oral lesions that precede development of. the mechanical trauma caused by chewing or holding smokeless tobacco products can lead to the formation of pre. causative linkages of smokeless tobacco (slt) use with oral potentially malignant disorders and cancers of oral cavity,. it provides suggestive evidence of an association of snuff use with gingival recession and attachment loss,. termed snuff dipper’s lesion, snuff pouch and spit tobacco keratosis among other terms, smokeless tobacco.
From www.directorioodontologico.info
Smokeless Tobacco Lesions Nicotinic Stomatitis Treatment Smokeless Tobacco Lesions while carcinogenicity of smokeless tobacco (st) to humans is well established the oral lesions that precede development of. termed snuff dipper’s lesion, snuff pouch and spit tobacco keratosis among other terms, smokeless tobacco. causative linkages of smokeless tobacco (slt) use with oral potentially malignant disorders and cancers of oral cavity,. as smokeless tobacco is placed intraorally,. Smokeless Tobacco Lesions.
From www.derm.theclinics.com
Chronic Oral Lesions Dermatologic Clinics Smokeless Tobacco Lesions causative linkages of smokeless tobacco (slt) use with oral potentially malignant disorders and cancers of oral cavity,. while carcinogenicity of smokeless tobacco (st) to humans is well established the oral lesions that precede development of. as smokeless tobacco is placed intraorally, these compounds can lead to dysplastic changes in the oral mucosa. it provides suggestive evidence. Smokeless Tobacco Lesions.
From www.researchgate.net
(PDF) The effect of a non‐tobacco‐based nicotine pouch on mucosal Smokeless Tobacco Lesions while carcinogenicity of smokeless tobacco (st) to humans is well established the oral lesions that precede development of. as smokeless tobacco is placed intraorally, these compounds can lead to dysplastic changes in the oral mucosa. causative linkages of smokeless tobacco (slt) use with oral potentially malignant disorders and cancers of oral cavity,. the mechanical trauma caused. Smokeless Tobacco Lesions.
From ar.inspiredpencil.com
Chewing Tobacco Cancer Smokeless Tobacco Lesions termed snuff dipper’s lesion, snuff pouch and spit tobacco keratosis among other terms, smokeless tobacco. the mechanical trauma caused by chewing or holding smokeless tobacco products can lead to the formation of pre. it provides suggestive evidence of an association of snuff use with gingival recession and attachment loss,. while carcinogenicity of smokeless tobacco (st) to. Smokeless Tobacco Lesions.
From www.slideshare.net
Oral effects of_smokeless_tobacco Smokeless Tobacco Lesions it provides suggestive evidence of an association of snuff use with gingival recession and attachment loss,. while carcinogenicity of smokeless tobacco (st) to humans is well established the oral lesions that precede development of. causative linkages of smokeless tobacco (slt) use with oral potentially malignant disorders and cancers of oral cavity,. termed snuff dipper’s lesion, snuff. Smokeless Tobacco Lesions.
From onlinelibrary.wiley.com
The effect of a non‐tobacco‐based nicotine pouch on mucosal lesions Smokeless Tobacco Lesions while carcinogenicity of smokeless tobacco (st) to humans is well established the oral lesions that precede development of. termed snuff dipper’s lesion, snuff pouch and spit tobacco keratosis among other terms, smokeless tobacco. the mechanical trauma caused by chewing or holding smokeless tobacco products can lead to the formation of pre. it provides suggestive evidence of. Smokeless Tobacco Lesions.
From exyzstoui.blob.core.windows.net
Chewing Tobacco Lung Cancer Screening at Gertude Donovan blog Smokeless Tobacco Lesions while carcinogenicity of smokeless tobacco (st) to humans is well established the oral lesions that precede development of. causative linkages of smokeless tobacco (slt) use with oral potentially malignant disorders and cancers of oral cavity,. it provides suggestive evidence of an association of snuff use with gingival recession and attachment loss,. the mechanical trauma caused by. Smokeless Tobacco Lesions.
From healthtimes.co.zw
362 Million Adults Use Smokeless TobaccoWHO Report HealthTimes Smokeless Tobacco Lesions the mechanical trauma caused by chewing or holding smokeless tobacco products can lead to the formation of pre. termed snuff dipper’s lesion, snuff pouch and spit tobacco keratosis among other terms, smokeless tobacco. it provides suggestive evidence of an association of snuff use with gingival recession and attachment loss,. as smokeless tobacco is placed intraorally, these. Smokeless Tobacco Lesions.
From www.semanticscholar.org
Table 1 from Oral Mucosal Smokeless Tobacco Lesions among Adolescents Smokeless Tobacco Lesions it provides suggestive evidence of an association of snuff use with gingival recession and attachment loss,. termed snuff dipper’s lesion, snuff pouch and spit tobacco keratosis among other terms, smokeless tobacco. while carcinogenicity of smokeless tobacco (st) to humans is well established the oral lesions that precede development of. causative linkages of smokeless tobacco (slt) use. Smokeless Tobacco Lesions.
From www.semanticscholar.org
Table 5 from Oral Mucosal Smokeless Tobacco Lesions among Adolescents Smokeless Tobacco Lesions causative linkages of smokeless tobacco (slt) use with oral potentially malignant disorders and cancers of oral cavity,. termed snuff dipper’s lesion, snuff pouch and spit tobacco keratosis among other terms, smokeless tobacco. while carcinogenicity of smokeless tobacco (st) to humans is well established the oral lesions that precede development of. the mechanical trauma caused by chewing. Smokeless Tobacco Lesions.
From slidetodoc.com
Smokeless Tobacco Types Of Smokeless Tobacco Chewing Tobacco Smokeless Tobacco Lesions it provides suggestive evidence of an association of snuff use with gingival recession and attachment loss,. the mechanical trauma caused by chewing or holding smokeless tobacco products can lead to the formation of pre. as smokeless tobacco is placed intraorally, these compounds can lead to dysplastic changes in the oral mucosa. termed snuff dipper’s lesion, snuff. Smokeless Tobacco Lesions.
From ar.inspiredpencil.com
Tobacco Keratosis Smokeless Tobacco Lesions causative linkages of smokeless tobacco (slt) use with oral potentially malignant disorders and cancers of oral cavity,. while carcinogenicity of smokeless tobacco (st) to humans is well established the oral lesions that precede development of. as smokeless tobacco is placed intraorally, these compounds can lead to dysplastic changes in the oral mucosa. the mechanical trauma caused. Smokeless Tobacco Lesions.
From slideplayer.com
Oral Manifestations of Tobacco use ppt download Smokeless Tobacco Lesions causative linkages of smokeless tobacco (slt) use with oral potentially malignant disorders and cancers of oral cavity,. termed snuff dipper’s lesion, snuff pouch and spit tobacco keratosis among other terms, smokeless tobacco. while carcinogenicity of smokeless tobacco (st) to humans is well established the oral lesions that precede development of. it provides suggestive evidence of an. Smokeless Tobacco Lesions.
From www.scribd.com
A Clinicopathological Evaluation of Oral Mucosal Lesions in Patients Smokeless Tobacco Lesions while carcinogenicity of smokeless tobacco (st) to humans is well established the oral lesions that precede development of. termed snuff dipper’s lesion, snuff pouch and spit tobacco keratosis among other terms, smokeless tobacco. as smokeless tobacco is placed intraorally, these compounds can lead to dysplastic changes in the oral mucosa. it provides suggestive evidence of an. Smokeless Tobacco Lesions.
From ar.inspiredpencil.com
Smokeless Tobacco Oral Lesions Smokeless Tobacco Lesions it provides suggestive evidence of an association of snuff use with gingival recession and attachment loss,. the mechanical trauma caused by chewing or holding smokeless tobacco products can lead to the formation of pre. while carcinogenicity of smokeless tobacco (st) to humans is well established the oral lesions that precede development of. termed snuff dipper’s lesion,. Smokeless Tobacco Lesions.
From directorioodontologico.blogspot.com
TobaccoAssociated Lesions of the Oral Cavity Part II. Malignant Lesions Smokeless Tobacco Lesions it provides suggestive evidence of an association of snuff use with gingival recession and attachment loss,. while carcinogenicity of smokeless tobacco (st) to humans is well established the oral lesions that precede development of. the mechanical trauma caused by chewing or holding smokeless tobacco products can lead to the formation of pre. termed snuff dipper’s lesion,. Smokeless Tobacco Lesions.
From www.semanticscholar.org
Table 1 from Oral lesions associated with smokeless tobacco users in Smokeless Tobacco Lesions while carcinogenicity of smokeless tobacco (st) to humans is well established the oral lesions that precede development of. the mechanical trauma caused by chewing or holding smokeless tobacco products can lead to the formation of pre. causative linkages of smokeless tobacco (slt) use with oral potentially malignant disorders and cancers of oral cavity,. termed snuff dipper’s. Smokeless Tobacco Lesions.
From www.semanticscholar.org
Figure 2 from Anterior abdominal wall intermuscular giant lipoma Smokeless Tobacco Lesions causative linkages of smokeless tobacco (slt) use with oral potentially malignant disorders and cancers of oral cavity,. as smokeless tobacco is placed intraorally, these compounds can lead to dysplastic changes in the oral mucosa. termed snuff dipper’s lesion, snuff pouch and spit tobacco keratosis among other terms, smokeless tobacco. the mechanical trauma caused by chewing or. Smokeless Tobacco Lesions.
From www.semanticscholar.org
A Case SeriesSmokeless Tobacco Induced Oral Premalignant Lesions Smokeless Tobacco Lesions the mechanical trauma caused by chewing or holding smokeless tobacco products can lead to the formation of pre. while carcinogenicity of smokeless tobacco (st) to humans is well established the oral lesions that precede development of. it provides suggestive evidence of an association of snuff use with gingival recession and attachment loss,. termed snuff dipper’s lesion,. Smokeless Tobacco Lesions.
From www.intechopen.com
PreCancer and Cancer IntechOpen Smokeless Tobacco Lesions it provides suggestive evidence of an association of snuff use with gingival recession and attachment loss,. as smokeless tobacco is placed intraorally, these compounds can lead to dysplastic changes in the oral mucosa. causative linkages of smokeless tobacco (slt) use with oral potentially malignant disorders and cancers of oral cavity,. the mechanical trauma caused by chewing. Smokeless Tobacco Lesions.
From slideplayer.com
Clifford E. Douglas, J.D. Director, University of Michigan Tobacco Smokeless Tobacco Lesions as smokeless tobacco is placed intraorally, these compounds can lead to dysplastic changes in the oral mucosa. while carcinogenicity of smokeless tobacco (st) to humans is well established the oral lesions that precede development of. causative linkages of smokeless tobacco (slt) use with oral potentially malignant disorders and cancers of oral cavity,. it provides suggestive evidence. Smokeless Tobacco Lesions.
From www.academia.edu
(PDF) Smokeless Tobaccoassociated Lesions A Mobile Health Approach Smokeless Tobacco Lesions as smokeless tobacco is placed intraorally, these compounds can lead to dysplastic changes in the oral mucosa. while carcinogenicity of smokeless tobacco (st) to humans is well established the oral lesions that precede development of. the mechanical trauma caused by chewing or holding smokeless tobacco products can lead to the formation of pre. causative linkages of. Smokeless Tobacco Lesions.
From dokumen.tips
(PDF) Increased of Langerhans Cells in Smokeless TobaccoAssociated Smokeless Tobacco Lesions termed snuff dipper’s lesion, snuff pouch and spit tobacco keratosis among other terms, smokeless tobacco. causative linkages of smokeless tobacco (slt) use with oral potentially malignant disorders and cancers of oral cavity,. the mechanical trauma caused by chewing or holding smokeless tobacco products can lead to the formation of pre. it provides suggestive evidence of an. Smokeless Tobacco Lesions.
From ar.inspiredpencil.com
Smokeless Tobacco Oral Lesions Smokeless Tobacco Lesions as smokeless tobacco is placed intraorally, these compounds can lead to dysplastic changes in the oral mucosa. causative linkages of smokeless tobacco (slt) use with oral potentially malignant disorders and cancers of oral cavity,. termed snuff dipper’s lesion, snuff pouch and spit tobacco keratosis among other terms, smokeless tobacco. it provides suggestive evidence of an association. Smokeless Tobacco Lesions.
From www.directorioodontologico.info
ORAL MEDICINE Smokeless Tobacco Lesions Directorio Odontológico Smokeless Tobacco Lesions as smokeless tobacco is placed intraorally, these compounds can lead to dysplastic changes in the oral mucosa. the mechanical trauma caused by chewing or holding smokeless tobacco products can lead to the formation of pre. it provides suggestive evidence of an association of snuff use with gingival recession and attachment loss,. while carcinogenicity of smokeless tobacco. Smokeless Tobacco Lesions.
From www.intechopen.com
PreCancer and Cancer IntechOpen Smokeless Tobacco Lesions it provides suggestive evidence of an association of snuff use with gingival recession and attachment loss,. the mechanical trauma caused by chewing or holding smokeless tobacco products can lead to the formation of pre. while carcinogenicity of smokeless tobacco (st) to humans is well established the oral lesions that precede development of. termed snuff dipper’s lesion,. Smokeless Tobacco Lesions.
From fyoruwknm.blob.core.windows.net
Smokeless Tobacco Is Associated With Quizlet Dental at Gloria Snyder blog Smokeless Tobacco Lesions it provides suggestive evidence of an association of snuff use with gingival recession and attachment loss,. the mechanical trauma caused by chewing or holding smokeless tobacco products can lead to the formation of pre. causative linkages of smokeless tobacco (slt) use with oral potentially malignant disorders and cancers of oral cavity,. while carcinogenicity of smokeless tobacco. Smokeless Tobacco Lesions.
From www.tecc.org
Smokeless / Chew Social Media Message Library Tobacco Education Smokeless Tobacco Lesions termed snuff dipper’s lesion, snuff pouch and spit tobacco keratosis among other terms, smokeless tobacco. while carcinogenicity of smokeless tobacco (st) to humans is well established the oral lesions that precede development of. the mechanical trauma caused by chewing or holding smokeless tobacco products can lead to the formation of pre. as smokeless tobacco is placed. Smokeless Tobacco Lesions.
From ar.inspiredpencil.com
Smokeless Tobacco Oral Lesions Smokeless Tobacco Lesions termed snuff dipper’s lesion, snuff pouch and spit tobacco keratosis among other terms, smokeless tobacco. while carcinogenicity of smokeless tobacco (st) to humans is well established the oral lesions that precede development of. causative linkages of smokeless tobacco (slt) use with oral potentially malignant disorders and cancers of oral cavity,. it provides suggestive evidence of an. Smokeless Tobacco Lesions.
From drugfreelasvegas.org
Smokeless Tobacco Pact Coalition Smokeless Tobacco Lesions causative linkages of smokeless tobacco (slt) use with oral potentially malignant disorders and cancers of oral cavity,. while carcinogenicity of smokeless tobacco (st) to humans is well established the oral lesions that precede development of. it provides suggestive evidence of an association of snuff use with gingival recession and attachment loss,. termed snuff dipper’s lesion, snuff. Smokeless Tobacco Lesions.
From ar.inspiredpencil.com
Tobacco Keratosis Smokeless Tobacco Lesions while carcinogenicity of smokeless tobacco (st) to humans is well established the oral lesions that precede development of. termed snuff dipper’s lesion, snuff pouch and spit tobacco keratosis among other terms, smokeless tobacco. as smokeless tobacco is placed intraorally, these compounds can lead to dysplastic changes in the oral mucosa. causative linkages of smokeless tobacco (slt). Smokeless Tobacco Lesions.
From www.scribd.com
White Lesions Associated With Smokeless Tobacco PDF Immunology Smokeless Tobacco Lesions termed snuff dipper’s lesion, snuff pouch and spit tobacco keratosis among other terms, smokeless tobacco. while carcinogenicity of smokeless tobacco (st) to humans is well established the oral lesions that precede development of. the mechanical trauma caused by chewing or holding smokeless tobacco products can lead to the formation of pre. it provides suggestive evidence of. Smokeless Tobacco Lesions.
From slideplayer.com
Smokeless Tobacco 101 © Stanford University. ppt download Smokeless Tobacco Lesions it provides suggestive evidence of an association of snuff use with gingival recession and attachment loss,. as smokeless tobacco is placed intraorally, these compounds can lead to dysplastic changes in the oral mucosa. the mechanical trauma caused by chewing or holding smokeless tobacco products can lead to the formation of pre. termed snuff dipper’s lesion, snuff. Smokeless Tobacco Lesions.
From slidetodoc.com
Smokeless Tobacco Types Of Smokeless Tobacco Chewing Tobacco Smokeless Tobacco Lesions it provides suggestive evidence of an association of snuff use with gingival recession and attachment loss,. the mechanical trauma caused by chewing or holding smokeless tobacco products can lead to the formation of pre. termed snuff dipper’s lesion, snuff pouch and spit tobacco keratosis among other terms, smokeless tobacco. as smokeless tobacco is placed intraorally, these. Smokeless Tobacco Lesions.
From www.animalia-life.club
Tobacco Pouch Keratosis Smokeless Tobacco Lesions the mechanical trauma caused by chewing or holding smokeless tobacco products can lead to the formation of pre. causative linkages of smokeless tobacco (slt) use with oral potentially malignant disorders and cancers of oral cavity,. as smokeless tobacco is placed intraorally, these compounds can lead to dysplastic changes in the oral mucosa. it provides suggestive evidence. Smokeless Tobacco Lesions.