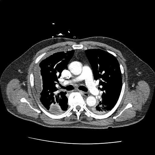
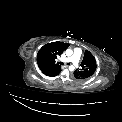
Radiology Pleural Tag . Juxtapleural lung nodules can be defined by their location within 15 mm of a pleural surface. Pleural tags were defined as linear strands that extended from the nodule surface to a pleural surface and were classified into three. Chest radiography and us help detect pneumothorax with various signs, and ct can also help assess the causes.
from www.researchgate.net
Juxtapleural lung nodules can be defined by their location within 15 mm of a pleural surface. Pleural tags were defined as linear strands that extended from the nodule surface to a pleural surface and were classified into three. Chest radiography and us help detect pneumothorax with various signs, and ct can also help assess the causes.
(PDF) The prognosis of different types of pleural tags based on radiologic pathologic comparison
Radiology Pleural Tag Chest radiography and us help detect pneumothorax with various signs, and ct can also help assess the causes. Chest radiography and us help detect pneumothorax with various signs, and ct can also help assess the causes. Pleural tags were defined as linear strands that extended from the nodule surface to a pleural surface and were classified into three. Juxtapleural lung nodules can be defined by their location within 15 mm of a pleural surface.
From pubs.rsna.org
CTdefined Visceral Pleural Invasion in T1 Lung Adenocarcinoma Lack of Relationship to Disease Radiology Pleural Tag Pleural tags were defined as linear strands that extended from the nodule surface to a pleural surface and were classified into three. Juxtapleural lung nodules can be defined by their location within 15 mm of a pleural surface. Chest radiography and us help detect pneumothorax with various signs, and ct can also help assess the causes. Radiology Pleural Tag.
From radiologykey.com
5 The Pleura Radiology Key Radiology Pleural Tag Chest radiography and us help detect pneumothorax with various signs, and ct can also help assess the causes. Pleural tags were defined as linear strands that extended from the nodule surface to a pleural surface and were classified into three. Juxtapleural lung nodules can be defined by their location within 15 mm of a pleural surface. Radiology Pleural Tag.
From radiologycases.my
Pleural based mass Radiology Cases Radiology Pleural Tag Chest radiography and us help detect pneumothorax with various signs, and ct can also help assess the causes. Pleural tags were defined as linear strands that extended from the nodule surface to a pleural surface and were classified into three. Juxtapleural lung nodules can be defined by their location within 15 mm of a pleural surface. Radiology Pleural Tag.
From radiologykey.com
5 The Pleura Radiology Key Radiology Pleural Tag Juxtapleural lung nodules can be defined by their location within 15 mm of a pleural surface. Pleural tags were defined as linear strands that extended from the nodule surface to a pleural surface and were classified into three. Chest radiography and us help detect pneumothorax with various signs, and ct can also help assess the causes. Radiology Pleural Tag.
From radiologycases.my
Pleural based mass Radiology Cases Radiology Pleural Tag Pleural tags were defined as linear strands that extended from the nodule surface to a pleural surface and were classified into three. Juxtapleural lung nodules can be defined by their location within 15 mm of a pleural surface. Chest radiography and us help detect pneumothorax with various signs, and ct can also help assess the causes. Radiology Pleural Tag.
From journal.chestnet.org
Air in the Pleural Cavity Enhances Detection of Pleural Abnormalities by CT Scan CHEST Radiology Pleural Tag Chest radiography and us help detect pneumothorax with various signs, and ct can also help assess the causes. Pleural tags were defined as linear strands that extended from the nodule surface to a pleural surface and were classified into three. Juxtapleural lung nodules can be defined by their location within 15 mm of a pleural surface. Radiology Pleural Tag.
From www.researchgate.net
CT scan at lung window setting shows subpleural nodule with pleural... Download Scientific Diagram Radiology Pleural Tag Pleural tags were defined as linear strands that extended from the nodule surface to a pleural surface and were classified into three. Chest radiography and us help detect pneumothorax with various signs, and ct can also help assess the causes. Juxtapleural lung nodules can be defined by their location within 15 mm of a pleural surface. Radiology Pleural Tag.
From www.researchgate.net
(PDF) Tuberculous pleural effusion diagnosis & management Radiology Pleural Tag Juxtapleural lung nodules can be defined by their location within 15 mm of a pleural surface. Chest radiography and us help detect pneumothorax with various signs, and ct can also help assess the causes. Pleural tags were defined as linear strands that extended from the nodule surface to a pleural surface and were classified into three. Radiology Pleural Tag.
From pubs.rsna.org
Pleural Tags on CT Scans to Predict Visceral Pleural Invasion of NonSmall Cell Lung Cancer That Radiology Pleural Tag Chest radiography and us help detect pneumothorax with various signs, and ct can also help assess the causes. Pleural tags were defined as linear strands that extended from the nodule surface to a pleural surface and were classified into three. Juxtapleural lung nodules can be defined by their location within 15 mm of a pleural surface. Radiology Pleural Tag.
From www.researchgate.net
Pleural tags (white arrowheads) in a patient with HER2mutant lung... Download Scientific Diagram Radiology Pleural Tag Chest radiography and us help detect pneumothorax with various signs, and ct can also help assess the causes. Juxtapleural lung nodules can be defined by their location within 15 mm of a pleural surface. Pleural tags were defined as linear strands that extended from the nodule surface to a pleural surface and were classified into three. Radiology Pleural Tag.
From www.researchgate.net
Pleural tags on CT Type 1 (A, F), Type 2 (B), Type 3 (C), Type 4 (D,... Download Scientific Radiology Pleural Tag Chest radiography and us help detect pneumothorax with various signs, and ct can also help assess the causes. Juxtapleural lung nodules can be defined by their location within 15 mm of a pleural surface. Pleural tags were defined as linear strands that extended from the nodule surface to a pleural surface and were classified into three. Radiology Pleural Tag.
From www.pinterest.com.mx
Pleural effusion massive with shift Radiology Case Radiology, Pleural Radiology Pleural Tag Pleural tags were defined as linear strands that extended from the nodule surface to a pleural surface and were classified into three. Chest radiography and us help detect pneumothorax with various signs, and ct can also help assess the causes. Juxtapleural lung nodules can be defined by their location within 15 mm of a pleural surface. Radiology Pleural Tag.
From www.studypool.com
SOLUTION Chest imaging chest imaging pleural lesion 2 Studypool Radiology Pleural Tag Chest radiography and us help detect pneumothorax with various signs, and ct can also help assess the causes. Juxtapleural lung nodules can be defined by their location within 15 mm of a pleural surface. Pleural tags were defined as linear strands that extended from the nodule surface to a pleural surface and were classified into three. Radiology Pleural Tag.
From pubs.rsna.org
Pleural Tags on CT Scans to Predict Visceral Pleural Invasion of NonSmall Cell Lung Cancer That Radiology Pleural Tag Pleural tags were defined as linear strands that extended from the nodule surface to a pleural surface and were classified into three. Chest radiography and us help detect pneumothorax with various signs, and ct can also help assess the causes. Juxtapleural lung nodules can be defined by their location within 15 mm of a pleural surface. Radiology Pleural Tag.
From pubs.rsna.org
Pleural Tags on CT Scans to Predict Visceral Pleural Invasion of NonSmall Cell Lung Cancer That Radiology Pleural Tag Juxtapleural lung nodules can be defined by their location within 15 mm of a pleural surface. Chest radiography and us help detect pneumothorax with various signs, and ct can also help assess the causes. Pleural tags were defined as linear strands that extended from the nodule surface to a pleural surface and were classified into three. Radiology Pleural Tag.
From radiologykey.com
Pleura, Chest Wall, and Diaphragm Radiology Key Radiology Pleural Tag Pleural tags were defined as linear strands that extended from the nodule surface to a pleural surface and were classified into three. Chest radiography and us help detect pneumothorax with various signs, and ct can also help assess the causes. Juxtapleural lung nodules can be defined by their location within 15 mm of a pleural surface. Radiology Pleural Tag.
From www.researchgate.net
(PDF) The prognosis of different types of pleural tags based on radiologic pathologic comparison Radiology Pleural Tag Chest radiography and us help detect pneumothorax with various signs, and ct can also help assess the causes. Juxtapleural lung nodules can be defined by their location within 15 mm of a pleural surface. Pleural tags were defined as linear strands that extended from the nodule surface to a pleural surface and were classified into three. Radiology Pleural Tag.
From pubs.rsna.org
Pleural Tags on CT Scans to Predict Visceral Pleural Invasion of NonSmall Cell Lung Cancer That Radiology Pleural Tag Pleural tags were defined as linear strands that extended from the nodule surface to a pleural surface and were classified into three. Chest radiography and us help detect pneumothorax with various signs, and ct can also help assess the causes. Juxtapleural lung nodules can be defined by their location within 15 mm of a pleural surface. Radiology Pleural Tag.
From www.researchgate.net
CT images depicting pleural contact with ISP in lung window settings... Download Scientific Radiology Pleural Tag Chest radiography and us help detect pneumothorax with various signs, and ct can also help assess the causes. Juxtapleural lung nodules can be defined by their location within 15 mm of a pleural surface. Pleural tags were defined as linear strands that extended from the nodule surface to a pleural surface and were classified into three. Radiology Pleural Tag.
From radiologycases.my
Pleural based mass Radiology Cases Radiology Pleural Tag Juxtapleural lung nodules can be defined by their location within 15 mm of a pleural surface. Chest radiography and us help detect pneumothorax with various signs, and ct can also help assess the causes. Pleural tags were defined as linear strands that extended from the nodule surface to a pleural surface and were classified into three. Radiology Pleural Tag.
From www.academicradiology.org
Pleural Invasion by Peripheral Lung Cancer Academic Radiology Radiology Pleural Tag Juxtapleural lung nodules can be defined by their location within 15 mm of a pleural surface. Pleural tags were defined as linear strands that extended from the nodule surface to a pleural surface and were classified into three. Chest radiography and us help detect pneumothorax with various signs, and ct can also help assess the causes. Radiology Pleural Tag.
From pubs.rsna.org
CTdefined Visceral Pleural Invasion in T1 Lung Adenocarcinoma Lack of Relationship to Disease Radiology Pleural Tag Chest radiography and us help detect pneumothorax with various signs, and ct can also help assess the causes. Juxtapleural lung nodules can be defined by their location within 15 mm of a pleural surface. Pleural tags were defined as linear strands that extended from the nodule surface to a pleural surface and were classified into three. Radiology Pleural Tag.
From pubs.rsna.org
Pleural Tags on CT Scans to Predict Visceral Pleural Invasion of NonSmall Cell Lung Cancer That Radiology Pleural Tag Pleural tags were defined as linear strands that extended from the nodule surface to a pleural surface and were classified into three. Juxtapleural lung nodules can be defined by their location within 15 mm of a pleural surface. Chest radiography and us help detect pneumothorax with various signs, and ct can also help assess the causes. Radiology Pleural Tag.
From ddxof.com
Pleural Effusion Tags Differential Diagnosis of Radiology Pleural Tag Juxtapleural lung nodules can be defined by their location within 15 mm of a pleural surface. Pleural tags were defined as linear strands that extended from the nodule surface to a pleural surface and were classified into three. Chest radiography and us help detect pneumothorax with various signs, and ct can also help assess the causes. Radiology Pleural Tag.
From www.researchgate.net
(PDF) The prognosis of different types of pleural tags based on radiologicpathologic comparison Radiology Pleural Tag Pleural tags were defined as linear strands that extended from the nodule surface to a pleural surface and were classified into three. Juxtapleural lung nodules can be defined by their location within 15 mm of a pleural surface. Chest radiography and us help detect pneumothorax with various signs, and ct can also help assess the causes. Radiology Pleural Tag.
From www.researchgate.net
Pleural tags and corresponding hematoxylineosinstained or elastica... Download Scientific Radiology Pleural Tag Pleural tags were defined as linear strands that extended from the nodule surface to a pleural surface and were classified into three. Chest radiography and us help detect pneumothorax with various signs, and ct can also help assess the causes. Juxtapleural lung nodules can be defined by their location within 15 mm of a pleural surface. Radiology Pleural Tag.
From www.ajronline.org
Predictive CT Features of Visceral Pleural Invasion by T1Sized Peripheral Pulmonary Radiology Pleural Tag Pleural tags were defined as linear strands that extended from the nodule surface to a pleural surface and were classified into three. Chest radiography and us help detect pneumothorax with various signs, and ct can also help assess the causes. Juxtapleural lung nodules can be defined by their location within 15 mm of a pleural surface. Radiology Pleural Tag.
From www.researchgate.net
Pleural tags on CT Type 1 (A, F), Type 2 (B), Type 3 (C), Type 4 (D,... Download Scientific Radiology Pleural Tag Pleural tags were defined as linear strands that extended from the nodule surface to a pleural surface and were classified into three. Juxtapleural lung nodules can be defined by their location within 15 mm of a pleural surface. Chest radiography and us help detect pneumothorax with various signs, and ct can also help assess the causes. Radiology Pleural Tag.
From pubs.rsna.org
Pleural Tags on CT Scans to Predict Visceral Pleural Invasion of NonSmall Cell Lung Cancer That Radiology Pleural Tag Chest radiography and us help detect pneumothorax with various signs, and ct can also help assess the causes. Pleural tags were defined as linear strands that extended from the nodule surface to a pleural surface and were classified into three. Juxtapleural lung nodules can be defined by their location within 15 mm of a pleural surface. Radiology Pleural Tag.
From www.researchgate.net
Pleural retraction (black arrowhead) and air bronchograms (black... Download Scientific Diagram Radiology Pleural Tag Pleural tags were defined as linear strands that extended from the nodule surface to a pleural surface and were classified into three. Juxtapleural lung nodules can be defined by their location within 15 mm of a pleural surface. Chest radiography and us help detect pneumothorax with various signs, and ct can also help assess the causes. Radiology Pleural Tag.
From radiopaedia.org
Image Radiology Pleural Tag Chest radiography and us help detect pneumothorax with various signs, and ct can also help assess the causes. Pleural tags were defined as linear strands that extended from the nodule surface to a pleural surface and were classified into three. Juxtapleural lung nodules can be defined by their location within 15 mm of a pleural surface. Radiology Pleural Tag.
From ddxof.com
Pleural Effusion Tags Differential Diagnosis of Radiology Pleural Tag Pleural tags were defined as linear strands that extended from the nodule surface to a pleural surface and were classified into three. Chest radiography and us help detect pneumothorax with various signs, and ct can also help assess the causes. Juxtapleural lung nodules can be defined by their location within 15 mm of a pleural surface. Radiology Pleural Tag.
From pubs.rsna.org
Pleural Tags on CT Scans to Predict Visceral Pleural Invasion of NonSmall Cell Lung Cancer That Radiology Pleural Tag Chest radiography and us help detect pneumothorax with various signs, and ct can also help assess the causes. Pleural tags were defined as linear strands that extended from the nodule surface to a pleural surface and were classified into three. Juxtapleural lung nodules can be defined by their location within 15 mm of a pleural surface. Radiology Pleural Tag.
From www.researchgate.net
Pleural tags on CT Type 1 (A, F), Type 2 (B), Type 3 (C), Type 4 (D,... Download Scientific Radiology Pleural Tag Chest radiography and us help detect pneumothorax with various signs, and ct can also help assess the causes. Juxtapleural lung nodules can be defined by their location within 15 mm of a pleural surface. Pleural tags were defined as linear strands that extended from the nodule surface to a pleural surface and were classified into three. Radiology Pleural Tag.
From radiologykey.com
5 The Pleura Radiology Key Radiology Pleural Tag Pleural tags were defined as linear strands that extended from the nodule surface to a pleural surface and were classified into three. Juxtapleural lung nodules can be defined by their location within 15 mm of a pleural surface. Chest radiography and us help detect pneumothorax with various signs, and ct can also help assess the causes. Radiology Pleural Tag.