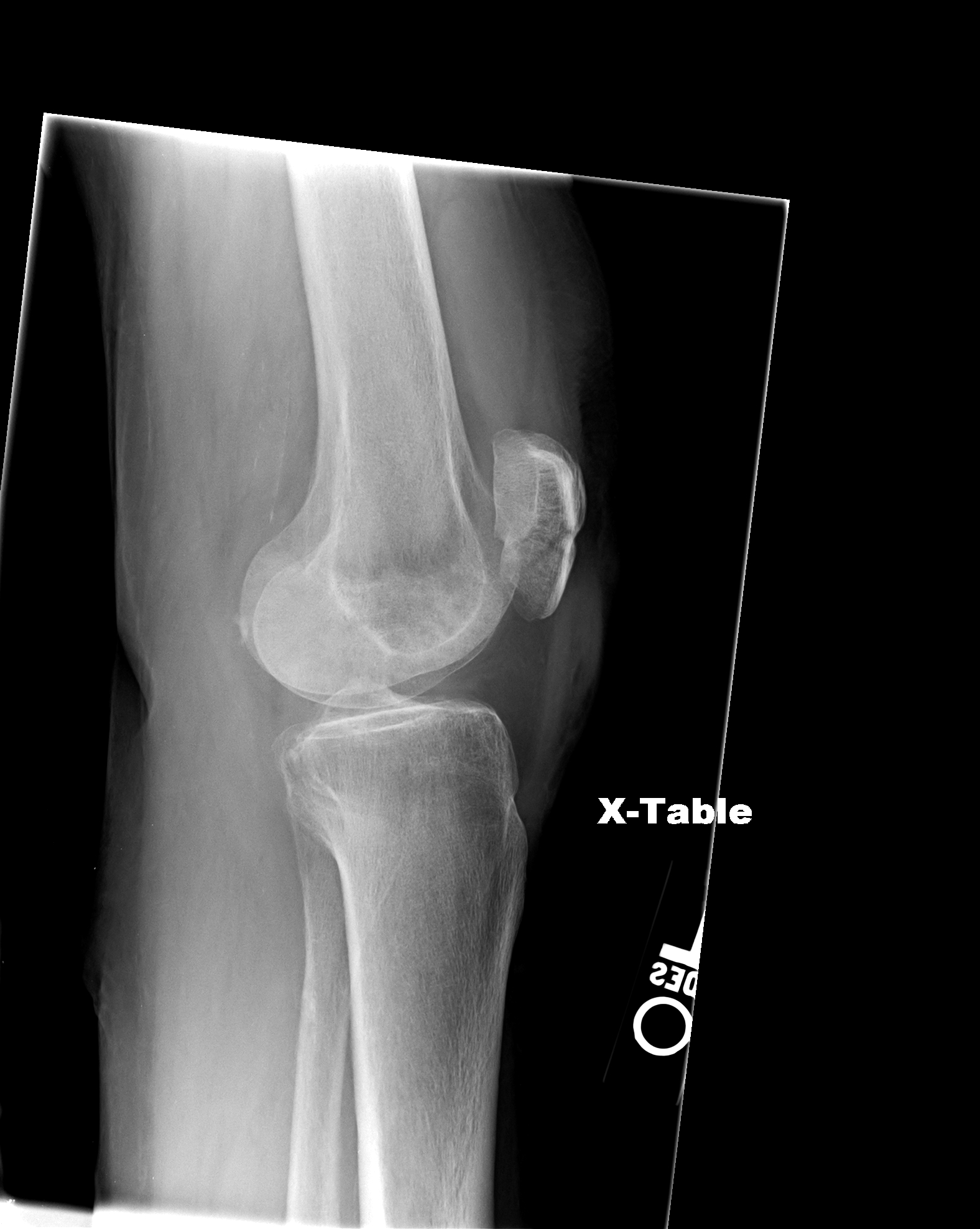
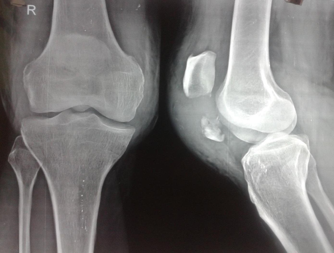
Broken Knee X-Ray . A patella fracture is a break in your kneecap — the small, flat bone that covers and protects your knee joint like a shield. It’s usually caused by direct. Patella fractures are traumatic knee injuries caused by direct trauma or rapid contracture of the quadriceps with a flexed knee that can lead to loss of the extensor mechanism. Symptoms of a knee fracture include pain, swelling, and bruising at the site of injury; And difficulty bearing weight to walk or stand. The doctor may put mild pressure on the kneecap, and may bend or straighten the leg to see if those actions cause or increase pain or reveal a deformity. Treatment for a fractured kneecap
from
The doctor may put mild pressure on the kneecap, and may bend or straighten the leg to see if those actions cause or increase pain or reveal a deformity. Symptoms of a knee fracture include pain, swelling, and bruising at the site of injury; Patella fractures are traumatic knee injuries caused by direct trauma or rapid contracture of the quadriceps with a flexed knee that can lead to loss of the extensor mechanism. And difficulty bearing weight to walk or stand. Treatment for a fractured kneecap A patella fracture is a break in your kneecap — the small, flat bone that covers and protects your knee joint like a shield. It’s usually caused by direct.
Broken Knee X-Ray Treatment for a fractured kneecap A patella fracture is a break in your kneecap — the small, flat bone that covers and protects your knee joint like a shield. And difficulty bearing weight to walk or stand. Symptoms of a knee fracture include pain, swelling, and bruising at the site of injury; Patella fractures are traumatic knee injuries caused by direct trauma or rapid contracture of the quadriceps with a flexed knee that can lead to loss of the extensor mechanism. The doctor may put mild pressure on the kneecap, and may bend or straighten the leg to see if those actions cause or increase pain or reveal a deformity. It’s usually caused by direct. Treatment for a fractured kneecap
From
Broken Knee X-Ray Symptoms of a knee fracture include pain, swelling, and bruising at the site of injury; It’s usually caused by direct. And difficulty bearing weight to walk or stand. A patella fracture is a break in your kneecap — the small, flat bone that covers and protects your knee joint like a shield. Treatment for a fractured kneecap Patella fractures are. Broken Knee X-Ray.
From
Broken Knee X-Ray Treatment for a fractured kneecap And difficulty bearing weight to walk or stand. The doctor may put mild pressure on the kneecap, and may bend or straighten the leg to see if those actions cause or increase pain or reveal a deformity. Patella fractures are traumatic knee injuries caused by direct trauma or rapid contracture of the quadriceps with a. Broken Knee X-Ray.
From www.alamy.com
Xray images showing real fracture of broken leg bone under the knee Broken Knee X-Ray The doctor may put mild pressure on the kneecap, and may bend or straighten the leg to see if those actions cause or increase pain or reveal a deformity. Symptoms of a knee fracture include pain, swelling, and bruising at the site of injury; Patella fractures are traumatic knee injuries caused by direct trauma or rapid contracture of the quadriceps. Broken Knee X-Ray.
From
Broken Knee X-Ray The doctor may put mild pressure on the kneecap, and may bend or straighten the leg to see if those actions cause or increase pain or reveal a deformity. Treatment for a fractured kneecap A patella fracture is a break in your kneecap — the small, flat bone that covers and protects your knee joint like a shield. Symptoms of. Broken Knee X-Ray.
From www.cureus.com
Cureus Vertical Patella Fracture Fixed by Plate and Screws With Bone Broken Knee X-Ray Treatment for a fractured kneecap Patella fractures are traumatic knee injuries caused by direct trauma or rapid contracture of the quadriceps with a flexed knee that can lead to loss of the extensor mechanism. A patella fracture is a break in your kneecap — the small, flat bone that covers and protects your knee joint like a shield. Symptoms of. Broken Knee X-Ray.
From
Broken Knee X-Ray The doctor may put mild pressure on the kneecap, and may bend or straighten the leg to see if those actions cause or increase pain or reveal a deformity. A patella fracture is a break in your kneecap — the small, flat bone that covers and protects your knee joint like a shield. Treatment for a fractured kneecap Patella fractures. Broken Knee X-Ray.
From
Broken Knee X-Ray And difficulty bearing weight to walk or stand. Treatment for a fractured kneecap The doctor may put mild pressure on the kneecap, and may bend or straighten the leg to see if those actions cause or increase pain or reveal a deformity. It’s usually caused by direct. Patella fractures are traumatic knee injuries caused by direct trauma or rapid contracture. Broken Knee X-Ray.
From
Broken Knee X-Ray It’s usually caused by direct. A patella fracture is a break in your kneecap — the small, flat bone that covers and protects your knee joint like a shield. The doctor may put mild pressure on the kneecap, and may bend or straighten the leg to see if those actions cause or increase pain or reveal a deformity. Treatment for. Broken Knee X-Ray.
From
Broken Knee X-Ray Patella fractures are traumatic knee injuries caused by direct trauma or rapid contracture of the quadriceps with a flexed knee that can lead to loss of the extensor mechanism. It’s usually caused by direct. A patella fracture is a break in your kneecap — the small, flat bone that covers and protects your knee joint like a shield. The doctor. Broken Knee X-Ray.
From ar.inspiredpencil.com
Broken Knee X Ray Broken Knee X-Ray Patella fractures are traumatic knee injuries caused by direct trauma or rapid contracture of the quadriceps with a flexed knee that can lead to loss of the extensor mechanism. Symptoms of a knee fracture include pain, swelling, and bruising at the site of injury; And difficulty bearing weight to walk or stand. The doctor may put mild pressure on the. Broken Knee X-Ray.
From westjem.com
Patellar Sleeve Fracture The Western Journal of Emergency Medicine Broken Knee X-Ray The doctor may put mild pressure on the kneecap, and may bend or straighten the leg to see if those actions cause or increase pain or reveal a deformity. Symptoms of a knee fracture include pain, swelling, and bruising at the site of injury; And difficulty bearing weight to walk or stand. A patella fracture is a break in your. Broken Knee X-Ray.
From
Broken Knee X-Ray The doctor may put mild pressure on the kneecap, and may bend or straighten the leg to see if those actions cause or increase pain or reveal a deformity. It’s usually caused by direct. Patella fractures are traumatic knee injuries caused by direct trauma or rapid contracture of the quadriceps with a flexed knee that can lead to loss of. Broken Knee X-Ray.
From
Broken Knee X-Ray Patella fractures are traumatic knee injuries caused by direct trauma or rapid contracture of the quadriceps with a flexed knee that can lead to loss of the extensor mechanism. The doctor may put mild pressure on the kneecap, and may bend or straighten the leg to see if those actions cause or increase pain or reveal a deformity. It’s usually. Broken Knee X-Ray.
From dontforgetthebubbles.com
Knee Xrays Broken Knee X-Ray It’s usually caused by direct. The doctor may put mild pressure on the kneecap, and may bend or straighten the leg to see if those actions cause or increase pain or reveal a deformity. Symptoms of a knee fracture include pain, swelling, and bruising at the site of injury; And difficulty bearing weight to walk or stand. Patella fractures are. Broken Knee X-Ray.
From
Broken Knee X-Ray A patella fracture is a break in your kneecap — the small, flat bone that covers and protects your knee joint like a shield. Treatment for a fractured kneecap Symptoms of a knee fracture include pain, swelling, and bruising at the site of injury; The doctor may put mild pressure on the kneecap, and may bend or straighten the leg. Broken Knee X-Ray.
From
Broken Knee X-Ray The doctor may put mild pressure on the kneecap, and may bend or straighten the leg to see if those actions cause or increase pain or reveal a deformity. Symptoms of a knee fracture include pain, swelling, and bruising at the site of injury; It’s usually caused by direct. Treatment for a fractured kneecap A patella fracture is a break. Broken Knee X-Ray.
From
Broken Knee X-Ray Symptoms of a knee fracture include pain, swelling, and bruising at the site of injury; Treatment for a fractured kneecap It’s usually caused by direct. And difficulty bearing weight to walk or stand. A patella fracture is a break in your kneecap — the small, flat bone that covers and protects your knee joint like a shield. The doctor may. Broken Knee X-Ray.
From
Broken Knee X-Ray A patella fracture is a break in your kneecap — the small, flat bone that covers and protects your knee joint like a shield. Treatment for a fractured kneecap Symptoms of a knee fracture include pain, swelling, and bruising at the site of injury; The doctor may put mild pressure on the kneecap, and may bend or straighten the leg. Broken Knee X-Ray.
From
Broken Knee X-Ray A patella fracture is a break in your kneecap — the small, flat bone that covers and protects your knee joint like a shield. And difficulty bearing weight to walk or stand. Symptoms of a knee fracture include pain, swelling, and bruising at the site of injury; It’s usually caused by direct. Treatment for a fractured kneecap Patella fractures are. Broken Knee X-Ray.
From
Broken Knee X-Ray Patella fractures are traumatic knee injuries caused by direct trauma or rapid contracture of the quadriceps with a flexed knee that can lead to loss of the extensor mechanism. It’s usually caused by direct. The doctor may put mild pressure on the kneecap, and may bend or straighten the leg to see if those actions cause or increase pain or. Broken Knee X-Ray.
From healthjade.net
Patella fracture causes, types, symptoms, diagnosis, treatment & recovery Broken Knee X-Ray Patella fractures are traumatic knee injuries caused by direct trauma or rapid contracture of the quadriceps with a flexed knee that can lead to loss of the extensor mechanism. Treatment for a fractured kneecap A patella fracture is a break in your kneecap — the small, flat bone that covers and protects your knee joint like a shield. It’s usually. Broken Knee X-Ray.
From
Broken Knee X-Ray Symptoms of a knee fracture include pain, swelling, and bruising at the site of injury; Treatment for a fractured kneecap It’s usually caused by direct. Patella fractures are traumatic knee injuries caused by direct trauma or rapid contracture of the quadriceps with a flexed knee that can lead to loss of the extensor mechanism. A patella fracture is a break. Broken Knee X-Ray.
From
Broken Knee X-Ray A patella fracture is a break in your kneecap — the small, flat bone that covers and protects your knee joint like a shield. Patella fractures are traumatic knee injuries caused by direct trauma or rapid contracture of the quadriceps with a flexed knee that can lead to loss of the extensor mechanism. Treatment for a fractured kneecap It’s usually. Broken Knee X-Ray.
From
Broken Knee X-Ray A patella fracture is a break in your kneecap — the small, flat bone that covers and protects your knee joint like a shield. Symptoms of a knee fracture include pain, swelling, and bruising at the site of injury; The doctor may put mild pressure on the kneecap, and may bend or straighten the leg to see if those actions. Broken Knee X-Ray.
From
Broken Knee X-Ray Treatment for a fractured kneecap Symptoms of a knee fracture include pain, swelling, and bruising at the site of injury; And difficulty bearing weight to walk or stand. A patella fracture is a break in your kneecap — the small, flat bone that covers and protects your knee joint like a shield. The doctor may put mild pressure on the. Broken Knee X-Ray.
From
Broken Knee X-Ray And difficulty bearing weight to walk or stand. A patella fracture is a break in your kneecap — the small, flat bone that covers and protects your knee joint like a shield. Symptoms of a knee fracture include pain, swelling, and bruising at the site of injury; The doctor may put mild pressure on the kneecap, and may bend or. Broken Knee X-Ray.
From
Broken Knee X-Ray Patella fractures are traumatic knee injuries caused by direct trauma or rapid contracture of the quadriceps with a flexed knee that can lead to loss of the extensor mechanism. A patella fracture is a break in your kneecap — the small, flat bone that covers and protects your knee joint like a shield. Symptoms of a knee fracture include pain,. Broken Knee X-Ray.
From emrems.com
Patella Fracture EM REMS Broken Knee X-Ray And difficulty bearing weight to walk or stand. It’s usually caused by direct. Patella fractures are traumatic knee injuries caused by direct trauma or rapid contracture of the quadriceps with a flexed knee that can lead to loss of the extensor mechanism. The doctor may put mild pressure on the kneecap, and may bend or straighten the leg to see. Broken Knee X-Ray.
From ar.inspiredpencil.com
Broken Knee X Ray Broken Knee X-Ray It’s usually caused by direct. The doctor may put mild pressure on the kneecap, and may bend or straighten the leg to see if those actions cause or increase pain or reveal a deformity. A patella fracture is a break in your kneecap — the small, flat bone that covers and protects your knee joint like a shield. Patella fractures. Broken Knee X-Ray.
From pixels.com
Pinned Broken Knee, Xray Photograph by Broken Knee X-Ray Treatment for a fractured kneecap Symptoms of a knee fracture include pain, swelling, and bruising at the site of injury; The doctor may put mild pressure on the kneecap, and may bend or straighten the leg to see if those actions cause or increase pain or reveal a deformity. Patella fractures are traumatic knee injuries caused by direct trauma or. Broken Knee X-Ray.
From zelengarden.ru
Вывих надколенника фото Broken Knee X-Ray Treatment for a fractured kneecap And difficulty bearing weight to walk or stand. Patella fractures are traumatic knee injuries caused by direct trauma or rapid contracture of the quadriceps with a flexed knee that can lead to loss of the extensor mechanism. It’s usually caused by direct. The doctor may put mild pressure on the kneecap, and may bend or. Broken Knee X-Ray.
From
Broken Knee X-Ray Patella fractures are traumatic knee injuries caused by direct trauma or rapid contracture of the quadriceps with a flexed knee that can lead to loss of the extensor mechanism. Treatment for a fractured kneecap And difficulty bearing weight to walk or stand. The doctor may put mild pressure on the kneecap, and may bend or straighten the leg to see. Broken Knee X-Ray.
From
Broken Knee X-Ray It’s usually caused by direct. The doctor may put mild pressure on the kneecap, and may bend or straighten the leg to see if those actions cause or increase pain or reveal a deformity. And difficulty bearing weight to walk or stand. Treatment for a fractured kneecap Patella fractures are traumatic knee injuries caused by direct trauma or rapid contracture. Broken Knee X-Ray.
From
Broken Knee X-Ray Symptoms of a knee fracture include pain, swelling, and bruising at the site of injury; Treatment for a fractured kneecap It’s usually caused by direct. A patella fracture is a break in your kneecap — the small, flat bone that covers and protects your knee joint like a shield. The doctor may put mild pressure on the kneecap, and may. Broken Knee X-Ray.
From
Broken Knee X-Ray Treatment for a fractured kneecap A patella fracture is a break in your kneecap — the small, flat bone that covers and protects your knee joint like a shield. It’s usually caused by direct. And difficulty bearing weight to walk or stand. Patella fractures are traumatic knee injuries caused by direct trauma or rapid contracture of the quadriceps with a. Broken Knee X-Ray.