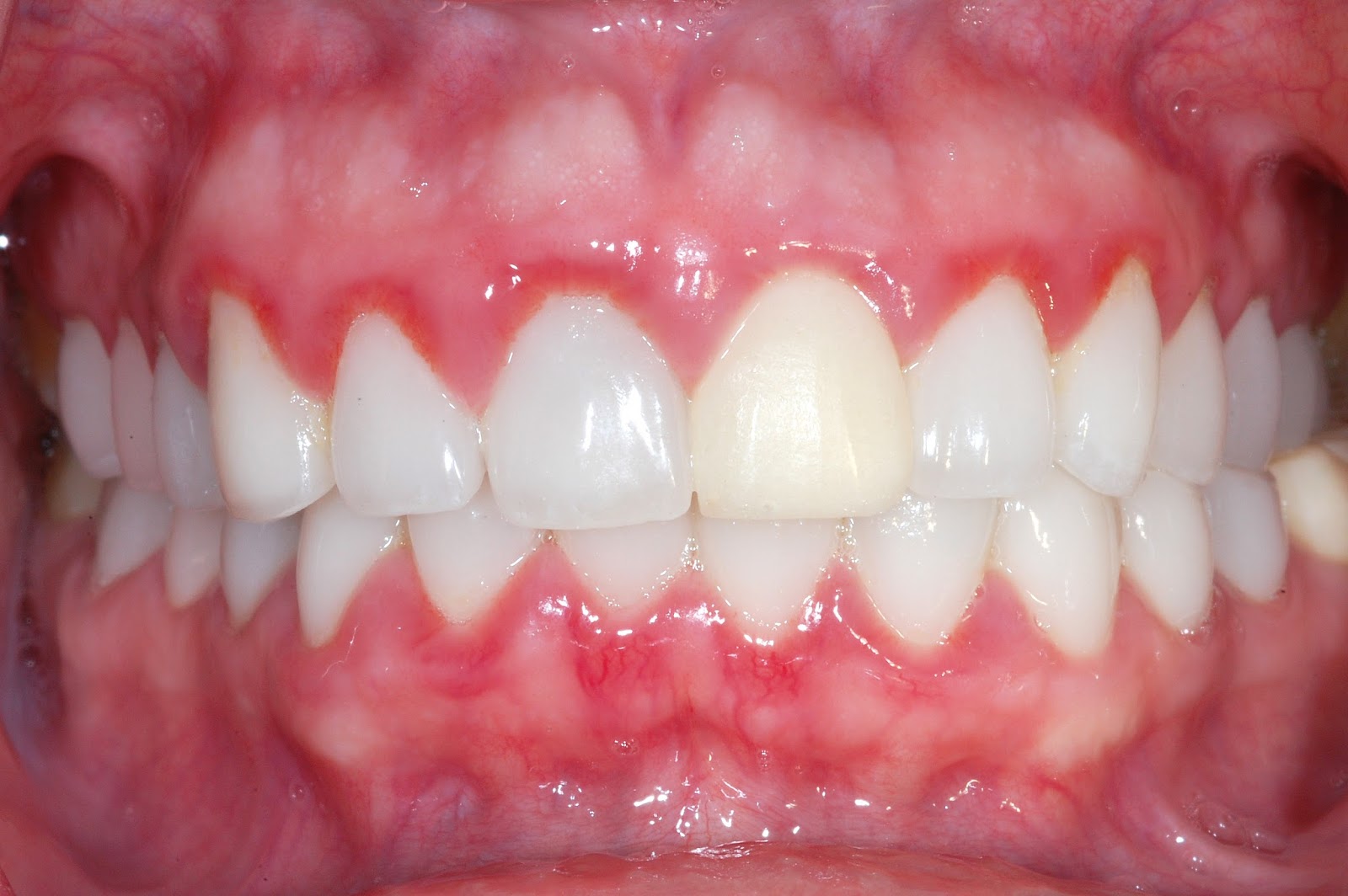
Gingivitis Xerostomia . Gingivitis is an inflammatory condition of the gingival tissue, most commonly caused by bacterial infection. The salivary glands in your. While gingivitis, the early stage of gum disease, and dry mouth (xerostomia) might seem like separate issues, there’s a surprising connection between them. Xerostomia (dry mouth) is the sensation you may feel when you don’t have enough saliva (spit). Unlike periodontitis, there is no attachment loss and therefore. Gingivitis is the earliest stage of gum disease. It happens when plaque and bacteria build up on your teeth and cause infection. Dry mouth, also known as xerostomia, occurs when salivary glands don't make sufficient saliva to prevent the drying of. Severity of xerostomia or dry mouth symptoms ranges from mild oral discomfort to significant oral disease that can compromise. This article will explore the world of gingivitis and dry mouth, exploring how they can be linked and how managing one can impact the other. Common symptoms include red, swollen, bleeding gums.
from www.ausmed.com.au
Gingivitis is the earliest stage of gum disease. Xerostomia (dry mouth) is the sensation you may feel when you don’t have enough saliva (spit). This article will explore the world of gingivitis and dry mouth, exploring how they can be linked and how managing one can impact the other. It happens when plaque and bacteria build up on your teeth and cause infection. Dry mouth, also known as xerostomia, occurs when salivary glands don't make sufficient saliva to prevent the drying of. Unlike periodontitis, there is no attachment loss and therefore. Severity of xerostomia or dry mouth symptoms ranges from mild oral discomfort to significant oral disease that can compromise. The salivary glands in your. While gingivitis, the early stage of gum disease, and dry mouth (xerostomia) might seem like separate issues, there’s a surprising connection between them. Common symptoms include red, swollen, bleeding gums.
Gum Disease (Gingivitis and Periodontitis) Ausmed
Gingivitis Xerostomia Severity of xerostomia or dry mouth symptoms ranges from mild oral discomfort to significant oral disease that can compromise. It happens when plaque and bacteria build up on your teeth and cause infection. Gingivitis is an inflammatory condition of the gingival tissue, most commonly caused by bacterial infection. While gingivitis, the early stage of gum disease, and dry mouth (xerostomia) might seem like separate issues, there’s a surprising connection between them. Unlike periodontitis, there is no attachment loss and therefore. Dry mouth, also known as xerostomia, occurs when salivary glands don't make sufficient saliva to prevent the drying of. The salivary glands in your. Severity of xerostomia or dry mouth symptoms ranges from mild oral discomfort to significant oral disease that can compromise. Common symptoms include red, swollen, bleeding gums. Gingivitis is the earliest stage of gum disease. Xerostomia (dry mouth) is the sensation you may feel when you don’t have enough saliva (spit). This article will explore the world of gingivitis and dry mouth, exploring how they can be linked and how managing one can impact the other.
From www.prestige-dental-care.com.my
Gum disease Gingivitis « Prestige Dental Care Gingivitis Xerostomia The salivary glands in your. Severity of xerostomia or dry mouth symptoms ranges from mild oral discomfort to significant oral disease that can compromise. Xerostomia (dry mouth) is the sensation you may feel when you don’t have enough saliva (spit). It happens when plaque and bacteria build up on your teeth and cause infection. Gingivitis is the earliest stage of. Gingivitis Xerostomia.
From thehomedentist.org
Understanding and Treating Gingivitis Your Ultimate Guide The Home Gingivitis Xerostomia While gingivitis, the early stage of gum disease, and dry mouth (xerostomia) might seem like separate issues, there’s a surprising connection between them. It happens when plaque and bacteria build up on your teeth and cause infection. Gingivitis is an inflammatory condition of the gingival tissue, most commonly caused by bacterial infection. Gingivitis is the earliest stage of gum disease.. Gingivitis Xerostomia.
From onlinedentalcare.org
Gingivitis Online Dental Care Gingivitis Xerostomia Gingivitis is the earliest stage of gum disease. Severity of xerostomia or dry mouth symptoms ranges from mild oral discomfort to significant oral disease that can compromise. It happens when plaque and bacteria build up on your teeth and cause infection. While gingivitis, the early stage of gum disease, and dry mouth (xerostomia) might seem like separate issues, there’s a. Gingivitis Xerostomia.
From mydentaladvocate.com
What Does Gingivitis/Gum Disease Look Like? (20 Pictures) Gingivitis Xerostomia This article will explore the world of gingivitis and dry mouth, exploring how they can be linked and how managing one can impact the other. Gingivitis is an inflammatory condition of the gingival tissue, most commonly caused by bacterial infection. While gingivitis, the early stage of gum disease, and dry mouth (xerostomia) might seem like separate issues, there’s a surprising. Gingivitis Xerostomia.
From toothfeed.com
Gingivitis vs. Periodontitis What is the Difference? Gingivitis Xerostomia While gingivitis, the early stage of gum disease, and dry mouth (xerostomia) might seem like separate issues, there’s a surprising connection between them. Common symptoms include red, swollen, bleeding gums. Unlike periodontitis, there is no attachment loss and therefore. Dry mouth, also known as xerostomia, occurs when salivary glands don't make sufficient saliva to prevent the drying of. Gingivitis is. Gingivitis Xerostomia.
From www.kauveryhospital.com
What is Gingivitis? Infographic Kauvery Hospital Gingivitis Xerostomia While gingivitis, the early stage of gum disease, and dry mouth (xerostomia) might seem like separate issues, there’s a surprising connection between them. This article will explore the world of gingivitis and dry mouth, exploring how they can be linked and how managing one can impact the other. Gingivitis is the earliest stage of gum disease. The salivary glands in. Gingivitis Xerostomia.
From podemossonreir.blogspot.com
Manifestaciones orales en pacientes con diabetes. Gingivitis Xerostomia Gingivitis is the earliest stage of gum disease. Common symptoms include red, swollen, bleeding gums. This article will explore the world of gingivitis and dry mouth, exploring how they can be linked and how managing one can impact the other. Xerostomia (dry mouth) is the sensation you may feel when you don’t have enough saliva (spit). Unlike periodontitis, there is. Gingivitis Xerostomia.
From dimensionsofdentalhygiene.com
The Etiology of Xerostomia Dimensions of Dental Hygiene Gingivitis Xerostomia Gingivitis is the earliest stage of gum disease. Xerostomia (dry mouth) is the sensation you may feel when you don’t have enough saliva (spit). While gingivitis, the early stage of gum disease, and dry mouth (xerostomia) might seem like separate issues, there’s a surprising connection between them. It happens when plaque and bacteria build up on your teeth and cause. Gingivitis Xerostomia.
From www.manninghamdentist.com.au
What Is Xerostomia (Dry Mouth Syndrome)? Melbourne Gingivitis Xerostomia Dry mouth, also known as xerostomia, occurs when salivary glands don't make sufficient saliva to prevent the drying of. While gingivitis, the early stage of gum disease, and dry mouth (xerostomia) might seem like separate issues, there’s a surprising connection between them. Gingivitis is an inflammatory condition of the gingival tissue, most commonly caused by bacterial infection. Xerostomia (dry mouth). Gingivitis Xerostomia.
From www.edpdental.com
What is Gingivitis? Gingivitis Symptoms and Treatment Gingivitis Xerostomia Unlike periodontitis, there is no attachment loss and therefore. This article will explore the world of gingivitis and dry mouth, exploring how they can be linked and how managing one can impact the other. Common symptoms include red, swollen, bleeding gums. While gingivitis, the early stage of gum disease, and dry mouth (xerostomia) might seem like separate issues, there’s a. Gingivitis Xerostomia.
From community.bulksupplements.com
Gingivitis Symptoms, Causes & Treatment Gingivitis Xerostomia Xerostomia (dry mouth) is the sensation you may feel when you don’t have enough saliva (spit). Dry mouth, also known as xerostomia, occurs when salivary glands don't make sufficient saliva to prevent the drying of. While gingivitis, the early stage of gum disease, and dry mouth (xerostomia) might seem like separate issues, there’s a surprising connection between them. Severity of. Gingivitis Xerostomia.
From www.aspendental.com
A Comprehensive Guide to Gingivitis Gingivitis Xerostomia Dry mouth, also known as xerostomia, occurs when salivary glands don't make sufficient saliva to prevent the drying of. Unlike periodontitis, there is no attachment loss and therefore. The salivary glands in your. Xerostomia (dry mouth) is the sensation you may feel when you don’t have enough saliva (spit). This article will explore the world of gingivitis and dry mouth,. Gingivitis Xerostomia.
From www.101stadultdentistry.com
What Are the Stages of Gum Disease? Gingivitis Xerostomia Severity of xerostomia or dry mouth symptoms ranges from mild oral discomfort to significant oral disease that can compromise. While gingivitis, the early stage of gum disease, and dry mouth (xerostomia) might seem like separate issues, there’s a surprising connection between them. Common symptoms include red, swollen, bleeding gums. Unlike periodontitis, there is no attachment loss and therefore. Xerostomia (dry. Gingivitis Xerostomia.
From prestige-dental-care.com.my
Gum disease Gingivitis Gingivitis Xerostomia While gingivitis, the early stage of gum disease, and dry mouth (xerostomia) might seem like separate issues, there’s a surprising connection between them. Severity of xerostomia or dry mouth symptoms ranges from mild oral discomfort to significant oral disease that can compromise. Xerostomia (dry mouth) is the sensation you may feel when you don’t have enough saliva (spit). The salivary. Gingivitis Xerostomia.
From www.infosalus.com
Xerostomía, caries, candidiasis y periodontitis, patologías orales más Gingivitis Xerostomia Common symptoms include red, swollen, bleeding gums. Dry mouth, also known as xerostomia, occurs when salivary glands don't make sufficient saliva to prevent the drying of. Xerostomia (dry mouth) is the sensation you may feel when you don’t have enough saliva (spit). This article will explore the world of gingivitis and dry mouth, exploring how they can be linked and. Gingivitis Xerostomia.
From www.msdmanuals.com
Gingivitis Mouth and Dental Disorders MSD Manual Consumer Version Gingivitis Xerostomia Xerostomia (dry mouth) is the sensation you may feel when you don’t have enough saliva (spit). Severity of xerostomia or dry mouth symptoms ranges from mild oral discomfort to significant oral disease that can compromise. Gingivitis is the earliest stage of gum disease. The salivary glands in your. While gingivitis, the early stage of gum disease, and dry mouth (xerostomia). Gingivitis Xerostomia.
From www.vvdental.com
Understanding Gingivitis The Early Stage of Gum Disease Explained Gingivitis Xerostomia Dry mouth, also known as xerostomia, occurs when salivary glands don't make sufficient saliva to prevent the drying of. While gingivitis, the early stage of gum disease, and dry mouth (xerostomia) might seem like separate issues, there’s a surprising connection between them. Unlike periodontitis, there is no attachment loss and therefore. The salivary glands in your. It happens when plaque. Gingivitis Xerostomia.
From www.clinicadentalsalvadorgarcia.com
¿Qué es la gingivitis dental y cómo se cura? Síntomas y tratamientos Gingivitis Xerostomia The salivary glands in your. While gingivitis, the early stage of gum disease, and dry mouth (xerostomia) might seem like separate issues, there’s a surprising connection between them. Dry mouth, also known as xerostomia, occurs when salivary glands don't make sufficient saliva to prevent the drying of. Gingivitis is the earliest stage of gum disease. Unlike periodontitis, there is no. Gingivitis Xerostomia.
From ezzadentalcare.com
Xerostomia Causes, Symptoms and Treatment EZZA DENTAL CARE Gingivitis Xerostomia Severity of xerostomia or dry mouth symptoms ranges from mild oral discomfort to significant oral disease that can compromise. It happens when plaque and bacteria build up on your teeth and cause infection. Common symptoms include red, swollen, bleeding gums. Unlike periodontitis, there is no attachment loss and therefore. The salivary glands in your. Dry mouth, also known as xerostomia,. Gingivitis Xerostomia.
From www.medboundtimes.com
Xerostomia Dry Mouth Causes, Symptoms And Treatment Gingivitis Xerostomia Common symptoms include red, swollen, bleeding gums. Gingivitis is the earliest stage of gum disease. Dry mouth, also known as xerostomia, occurs when salivary glands don't make sufficient saliva to prevent the drying of. While gingivitis, the early stage of gum disease, and dry mouth (xerostomia) might seem like separate issues, there’s a surprising connection between them. This article will. Gingivitis Xerostomia.
From www.alamy.com
GINGIVITIS Stock Photo Alamy Gingivitis Xerostomia The salivary glands in your. Gingivitis is the earliest stage of gum disease. Severity of xerostomia or dry mouth symptoms ranges from mild oral discomfort to significant oral disease that can compromise. While gingivitis, the early stage of gum disease, and dry mouth (xerostomia) might seem like separate issues, there’s a surprising connection between them. Gingivitis is an inflammatory condition. Gingivitis Xerostomia.
From theelitedental.com
Gingivitis Symptoms and Causes Elite Dental Care Gingivitis Xerostomia It happens when plaque and bacteria build up on your teeth and cause infection. Severity of xerostomia or dry mouth symptoms ranges from mild oral discomfort to significant oral disease that can compromise. Xerostomia (dry mouth) is the sensation you may feel when you don’t have enough saliva (spit). This article will explore the world of gingivitis and dry mouth,. Gingivitis Xerostomia.
From www.todaysrdh.com
Xerostomia and Periodontal Disease How to Customize Your Treatment Gingivitis Xerostomia Unlike periodontitis, there is no attachment loss and therefore. Gingivitis is an inflammatory condition of the gingival tissue, most commonly caused by bacterial infection. While gingivitis, the early stage of gum disease, and dry mouth (xerostomia) might seem like separate issues, there’s a surprising connection between them. Common symptoms include red, swollen, bleeding gums. This article will explore the world. Gingivitis Xerostomia.
From www.lovettdentistrykohrville.com
What Is Gingivitis? Your Guide To Your Gums General Dentistry Texas Gingivitis Xerostomia Gingivitis is the earliest stage of gum disease. It happens when plaque and bacteria build up on your teeth and cause infection. This article will explore the world of gingivitis and dry mouth, exploring how they can be linked and how managing one can impact the other. Severity of xerostomia or dry mouth symptoms ranges from mild oral discomfort to. Gingivitis Xerostomia.
From www.ausmed.com.au
Gum Disease (Gingivitis and Periodontitis) Ausmed Gingivitis Xerostomia While gingivitis, the early stage of gum disease, and dry mouth (xerostomia) might seem like separate issues, there’s a surprising connection between them. Common symptoms include red, swollen, bleeding gums. Dry mouth, also known as xerostomia, occurs when salivary glands don't make sufficient saliva to prevent the drying of. It happens when plaque and bacteria build up on your teeth. Gingivitis Xerostomia.
From www.dentalimplantcenter.com
GINGIVITIS AND PERIODONTAL DISEASE Dental Implant Center Gingivitis Xerostomia Gingivitis is the earliest stage of gum disease. Severity of xerostomia or dry mouth symptoms ranges from mild oral discomfort to significant oral disease that can compromise. The salivary glands in your. Xerostomia (dry mouth) is the sensation you may feel when you don’t have enough saliva (spit). Gingivitis is an inflammatory condition of the gingival tissue, most commonly caused. Gingivitis Xerostomia.
From www.riversidedentalnyc.com
The Different Stages of Gingivitis and Gum Disease Explained Gingivitis Xerostomia Unlike periodontitis, there is no attachment loss and therefore. Dry mouth, also known as xerostomia, occurs when salivary glands don't make sufficient saliva to prevent the drying of. Gingivitis is an inflammatory condition of the gingival tissue, most commonly caused by bacterial infection. This article will explore the world of gingivitis and dry mouth, exploring how they can be linked. Gingivitis Xerostomia.
From letytao.blogspot.com
La odontología y sus ramas Gingivitis, concepto y tipos Gingivitis Xerostomia Dry mouth, also known as xerostomia, occurs when salivary glands don't make sufficient saliva to prevent the drying of. The salivary glands in your. Common symptoms include red, swollen, bleeding gums. While gingivitis, the early stage of gum disease, and dry mouth (xerostomia) might seem like separate issues, there’s a surprising connection between them. Gingivitis is an inflammatory condition of. Gingivitis Xerostomia.
From pocketdentistry.com
Neurological Disorders and Strokes Pocket Dentistry Gingivitis Xerostomia Severity of xerostomia or dry mouth symptoms ranges from mild oral discomfort to significant oral disease that can compromise. Common symptoms include red, swollen, bleeding gums. Gingivitis is the earliest stage of gum disease. Xerostomia (dry mouth) is the sensation you may feel when you don’t have enough saliva (spit). This article will explore the world of gingivitis and dry. Gingivitis Xerostomia.
From www.johngoodmandds.net
Kansas City Gingivitis and Periodontal Gum Disease Treatment Gingivitis Xerostomia The salivary glands in your. Severity of xerostomia or dry mouth symptoms ranges from mild oral discomfort to significant oral disease that can compromise. Gingivitis is an inflammatory condition of the gingival tissue, most commonly caused by bacterial infection. Unlike periodontitis, there is no attachment loss and therefore. Gingivitis is the earliest stage of gum disease. This article will explore. Gingivitis Xerostomia.
From www.doccheck.com
Gingivitis DocCheck Gingivitis Xerostomia While gingivitis, the early stage of gum disease, and dry mouth (xerostomia) might seem like separate issues, there’s a surprising connection between them. Common symptoms include red, swollen, bleeding gums. Gingivitis is the earliest stage of gum disease. This article will explore the world of gingivitis and dry mouth, exploring how they can be linked and how managing one can. Gingivitis Xerostomia.
From www.millsriverdental.com
3+ Important Facts About Gingivitis Mills River Family Dental Gingivitis Xerostomia It happens when plaque and bacteria build up on your teeth and cause infection. Gingivitis is an inflammatory condition of the gingival tissue, most commonly caused by bacterial infection. Xerostomia (dry mouth) is the sensation you may feel when you don’t have enough saliva (spit). Dry mouth, also known as xerostomia, occurs when salivary glands don't make sufficient saliva to. Gingivitis Xerostomia.
From lubricityinnovations.com
Does Gingivitis Cause Dry Mouth? Lubricity Innovations Gingivitis Xerostomia Gingivitis is an inflammatory condition of the gingival tissue, most commonly caused by bacterial infection. It happens when plaque and bacteria build up on your teeth and cause infection. Unlike periodontitis, there is no attachment loss and therefore. Gingivitis is the earliest stage of gum disease. While gingivitis, the early stage of gum disease, and dry mouth (xerostomia) might seem. Gingivitis Xerostomia.
From jamanetwork.com
Recurrent Gingival and Oral Mucosal Lesions Cardiology JAMA JAMA Gingivitis Xerostomia Unlike periodontitis, there is no attachment loss and therefore. While gingivitis, the early stage of gum disease, and dry mouth (xerostomia) might seem like separate issues, there’s a surprising connection between them. Gingivitis is the earliest stage of gum disease. Gingivitis is an inflammatory condition of the gingival tissue, most commonly caused by bacterial infection. The salivary glands in your.. Gingivitis Xerostomia.
From www.livescience.com
Gingivitis & Periodontitis Symptoms & Treatment of Gum Disease Live Gingivitis Xerostomia Severity of xerostomia or dry mouth symptoms ranges from mild oral discomfort to significant oral disease that can compromise. Unlike periodontitis, there is no attachment loss and therefore. Dry mouth, also known as xerostomia, occurs when salivary glands don't make sufficient saliva to prevent the drying of. While gingivitis, the early stage of gum disease, and dry mouth (xerostomia) might. Gingivitis Xerostomia.