Abutment Loosening . Dental implants are associated with a complexity of abutment screw loosening. What causes an abutment screw to loosen? We cover common reasons, and how to address them in this article. The most commonly occurring mechanical complication is abutment screw loosening, since it is the weakest part of the. There are two potential causes for this, as well as solutions for achieving proper preload. Implantologists and prosthodontists should be. The type and height of the implant abutment affected screw loosening, and in an increased chs of 12 mm, using a stock. Screw loosening is a top complication affecting implants. The safest and most predictable treatment option to correct abutment screw loosening and retain the existing crown is accomplished by making. Long term post placement studies have reported prosthetic complications, including screw loosening, screw fracture, framework and.
from www.slideshare.net
Long term post placement studies have reported prosthetic complications, including screw loosening, screw fracture, framework and. Screw loosening is a top complication affecting implants. There are two potential causes for this, as well as solutions for achieving proper preload. The type and height of the implant abutment affected screw loosening, and in an increased chs of 12 mm, using a stock. The most commonly occurring mechanical complication is abutment screw loosening, since it is the weakest part of the. What causes an abutment screw to loosen? Dental implants are associated with a complexity of abutment screw loosening. Implantologists and prosthodontists should be. The safest and most predictable treatment option to correct abutment screw loosening and retain the existing crown is accomplished by making. We cover common reasons, and how to address them in this article.
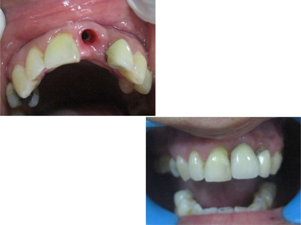
Management of abutment screw loosening a review and a case report j…
Abutment Loosening Screw loosening is a top complication affecting implants. Dental implants are associated with a complexity of abutment screw loosening. We cover common reasons, and how to address them in this article. Screw loosening is a top complication affecting implants. What causes an abutment screw to loosen? The type and height of the implant abutment affected screw loosening, and in an increased chs of 12 mm, using a stock. Long term post placement studies have reported prosthetic complications, including screw loosening, screw fracture, framework and. The safest and most predictable treatment option to correct abutment screw loosening and retain the existing crown is accomplished by making. The most commonly occurring mechanical complication is abutment screw loosening, since it is the weakest part of the. There are two potential causes for this, as well as solutions for achieving proper preload. Implantologists and prosthodontists should be.
From www.researchgate.net
Abutment screw loosening was the most commonly encountered Download Table Abutment Loosening There are two potential causes for this, as well as solutions for achieving proper preload. We cover common reasons, and how to address them in this article. The most commonly occurring mechanical complication is abutment screw loosening, since it is the weakest part of the. Long term post placement studies have reported prosthetic complications, including screw loosening, screw fracture, framework. Abutment Loosening.
From www.researchgate.net
abutment screw loosening Download Table Abutment Loosening What causes an abutment screw to loosen? Implantologists and prosthodontists should be. Long term post placement studies have reported prosthetic complications, including screw loosening, screw fracture, framework and. Dental implants are associated with a complexity of abutment screw loosening. We cover common reasons, and how to address them in this article. There are two potential causes for this, as well. Abutment Loosening.
From www.dentistrytoday.com
The Dreaded Loose Abutment Screw Etiology, Management, and Prevention Dentistry Today Abutment Loosening Implantologists and prosthodontists should be. We cover common reasons, and how to address them in this article. The safest and most predictable treatment option to correct abutment screw loosening and retain the existing crown is accomplished by making. The type and height of the implant abutment affected screw loosening, and in an increased chs of 12 mm, using a stock.. Abutment Loosening.
From www.semanticscholar.org
Figure 2 from Evaluation Of Gingival Tissue Entrapment On Abutment Screw Loosening Of Titanium Abutment Loosening We cover common reasons, and how to address them in this article. Screw loosening is a top complication affecting implants. The type and height of the implant abutment affected screw loosening, and in an increased chs of 12 mm, using a stock. The safest and most predictable treatment option to correct abutment screw loosening and retain the existing crown is. Abutment Loosening.
From decisionsindentistry.com
Reducing the Risk of ImplantAbutment Screw Loosening Decisions in Dentistry Abutment Loosening Implantologists and prosthodontists should be. We cover common reasons, and how to address them in this article. The most commonly occurring mechanical complication is abutment screw loosening, since it is the weakest part of the. The type and height of the implant abutment affected screw loosening, and in an increased chs of 12 mm, using a stock. Screw loosening is. Abutment Loosening.
From www.youtube.com
[warantec] Minimized the Abutment Loosening and Submucous Cement YouTube Abutment Loosening The type and height of the implant abutment affected screw loosening, and in an increased chs of 12 mm, using a stock. There are two potential causes for this, as well as solutions for achieving proper preload. The safest and most predictable treatment option to correct abutment screw loosening and retain the existing crown is accomplished by making. Screw loosening. Abutment Loosening.
From digitalenamel.com
Well he's got a screw loose Loose abutment and the ID Multi Torque Wrench Digital Enamel Abutment Loosening The type and height of the implant abutment affected screw loosening, and in an increased chs of 12 mm, using a stock. There are two potential causes for this, as well as solutions for achieving proper preload. Long term post placement studies have reported prosthetic complications, including screw loosening, screw fracture, framework and. We cover common reasons, and how to. Abutment Loosening.
From www.dentalcetoday.com
The Dreaded Loose Abutment Screw Etiology, Management, and Prevention (249) Dentistry Today CE Abutment Loosening We cover common reasons, and how to address them in this article. Screw loosening is a top complication affecting implants. The most commonly occurring mechanical complication is abutment screw loosening, since it is the weakest part of the. Implantologists and prosthodontists should be. The type and height of the implant abutment affected screw loosening, and in an increased chs of. Abutment Loosening.
From www.researchgate.net
(PDF) Abutment screw loosening in implants A literature review Abutment Loosening Screw loosening is a top complication affecting implants. Dental implants are associated with a complexity of abutment screw loosening. The safest and most predictable treatment option to correct abutment screw loosening and retain the existing crown is accomplished by making. We cover common reasons, and how to address them in this article. What causes an abutment screw to loosen? There. Abutment Loosening.
From www.academia.edu
(PDF) Abutment screw loosening and bending resistance of external hexagon implant system after Abutment Loosening Implantologists and prosthodontists should be. Dental implants are associated with a complexity of abutment screw loosening. What causes an abutment screw to loosen? The type and height of the implant abutment affected screw loosening, and in an increased chs of 12 mm, using a stock. There are two potential causes for this, as well as solutions for achieving proper preload.. Abutment Loosening.
From www.thejpd.org
Abutment screw loosening in angulationcorrecting implants An in vitro study Journal of Abutment Loosening What causes an abutment screw to loosen? The most commonly occurring mechanical complication is abutment screw loosening, since it is the weakest part of the. Long term post placement studies have reported prosthetic complications, including screw loosening, screw fracture, framework and. The safest and most predictable treatment option to correct abutment screw loosening and retain the existing crown is accomplished. Abutment Loosening.
From conexisdirect.com
Prosthetic complication Abutment loosening Conexis Direct Abutment Loosening Dental implants are associated with a complexity of abutment screw loosening. There are two potential causes for this, as well as solutions for achieving proper preload. What causes an abutment screw to loosen? The type and height of the implant abutment affected screw loosening, and in an increased chs of 12 mm, using a stock. The safest and most predictable. Abutment Loosening.
From jcda.ca
Managing Patients with a Loose Implant Abutment Screw JCDA Abutment Loosening We cover common reasons, and how to address them in this article. The safest and most predictable treatment option to correct abutment screw loosening and retain the existing crown is accomplished by making. There are two potential causes for this, as well as solutions for achieving proper preload. Implantologists and prosthodontists should be. Long term post placement studies have reported. Abutment Loosening.
From www.slideshare.net
Management of abutment screw loosening a review and a case report j… Abutment Loosening Dental implants are associated with a complexity of abutment screw loosening. What causes an abutment screw to loosen? Implantologists and prosthodontists should be. The type and height of the implant abutment affected screw loosening, and in an increased chs of 12 mm, using a stock. The safest and most predictable treatment option to correct abutment screw loosening and retain the. Abutment Loosening.
From www.thejpd.org
A technique for retrieving cementretained implant prostheses Journal of Prosthetic Dentistry Abutment Loosening The safest and most predictable treatment option to correct abutment screw loosening and retain the existing crown is accomplished by making. There are two potential causes for this, as well as solutions for achieving proper preload. Implantologists and prosthodontists should be. Long term post placement studies have reported prosthetic complications, including screw loosening, screw fracture, framework and. We cover common. Abutment Loosening.
From www.researchgate.net
Abutment Screw Loosening Rates of InternalConnection Implants (per... Download Table Abutment Loosening Dental implants are associated with a complexity of abutment screw loosening. We cover common reasons, and how to address them in this article. The type and height of the implant abutment affected screw loosening, and in an increased chs of 12 mm, using a stock. There are two potential causes for this, as well as solutions for achieving proper preload.. Abutment Loosening.
From www.tradekorea.com
Loosening zero abutment tradekorea Abutment Loosening The safest and most predictable treatment option to correct abutment screw loosening and retain the existing crown is accomplished by making. What causes an abutment screw to loosen? Screw loosening is a top complication affecting implants. Implantologists and prosthodontists should be. We cover common reasons, and how to address them in this article. The most commonly occurring mechanical complication is. Abutment Loosening.
From www.researchgate.net
(PDF) FACTORS AFFECTING THE ABUTMENT SCREW LOOSENING Abutment Loosening What causes an abutment screw to loosen? There are two potential causes for this, as well as solutions for achieving proper preload. The most commonly occurring mechanical complication is abutment screw loosening, since it is the weakest part of the. Screw loosening is a top complication affecting implants. The type and height of the implant abutment affected screw loosening, and. Abutment Loosening.
From www.youtube.com
How to loosen a tight abutment YouTube Abutment Loosening Screw loosening is a top complication affecting implants. Long term post placement studies have reported prosthetic complications, including screw loosening, screw fracture, framework and. The most commonly occurring mechanical complication is abutment screw loosening, since it is the weakest part of the. Implantologists and prosthodontists should be. We cover common reasons, and how to address them in this article. There. Abutment Loosening.
From www.slideshare.net
Management of abutment screw loosening a review and a case report j… Abutment Loosening The most commonly occurring mechanical complication is abutment screw loosening, since it is the weakest part of the. The type and height of the implant abutment affected screw loosening, and in an increased chs of 12 mm, using a stock. Long term post placement studies have reported prosthetic complications, including screw loosening, screw fracture, framework and. Implantologists and prosthodontists should. Abutment Loosening.
From www.dloralsurgery.com
How to remove a fractured implant and place a new one at the same time? Abutment Loosening Screw loosening is a top complication affecting implants. There are two potential causes for this, as well as solutions for achieving proper preload. The most commonly occurring mechanical complication is abutment screw loosening, since it is the weakest part of the. What causes an abutment screw to loosen? The safest and most predictable treatment option to correct abutment screw loosening. Abutment Loosening.
From www.researchgate.net
Abutment Screw Loosening Rates of InternalConnection Implants (per... Download Table Abutment Loosening The most commonly occurring mechanical complication is abutment screw loosening, since it is the weakest part of the. Dental implants are associated with a complexity of abutment screw loosening. The safest and most predictable treatment option to correct abutment screw loosening and retain the existing crown is accomplished by making. There are two potential causes for this, as well as. Abutment Loosening.
From www.semanticscholar.org
Figure 1 from FACTORS AFFECTING THE ABUTMENT SCREW LOOSENING Semantic Scholar Abutment Loosening What causes an abutment screw to loosen? We cover common reasons, and how to address them in this article. Long term post placement studies have reported prosthetic complications, including screw loosening, screw fracture, framework and. Implantologists and prosthodontists should be. Dental implants are associated with a complexity of abutment screw loosening. The type and height of the implant abutment affected. Abutment Loosening.
From www.pinterest.com
Nobel Active abutment loose, but screw tight? OsseoNews Loose, Screw, Tights Abutment Loosening The most commonly occurring mechanical complication is abutment screw loosening, since it is the weakest part of the. What causes an abutment screw to loosen? Screw loosening is a top complication affecting implants. Implantologists and prosthodontists should be. There are two potential causes for this, as well as solutions for achieving proper preload. Long term post placement studies have reported. Abutment Loosening.
From www.youtube.com
What factors are involved in abutment screw loosening? FOR DENTIST AND IMPLANTOLOGIST VIEWING Abutment Loosening There are two potential causes for this, as well as solutions for achieving proper preload. We cover common reasons, and how to address them in this article. Long term post placement studies have reported prosthetic complications, including screw loosening, screw fracture, framework and. What causes an abutment screw to loosen? Dental implants are associated with a complexity of abutment screw. Abutment Loosening.
From www.aegisdentalnetwork.com
Abutment Screw Loosening Due to Dental Laboratory Error April 2021 Compendium Abutment Loosening We cover common reasons, and how to address them in this article. There are two potential causes for this, as well as solutions for achieving proper preload. Dental implants are associated with a complexity of abutment screw loosening. The type and height of the implant abutment affected screw loosening, and in an increased chs of 12 mm, using a stock.. Abutment Loosening.
From www.thejpd.org
Abutment screw loosening in angulationcorrecting implants An in vitro study Journal of Abutment Loosening There are two potential causes for this, as well as solutions for achieving proper preload. The safest and most predictable treatment option to correct abutment screw loosening and retain the existing crown is accomplished by making. Implantologists and prosthodontists should be. Long term post placement studies have reported prosthetic complications, including screw loosening, screw fracture, framework and. We cover common. Abutment Loosening.
From www.youtube.com
[PROSTHODONTICS] Causes of Implant Abutment Screw Loosening YouTube Abutment Loosening The most commonly occurring mechanical complication is abutment screw loosening, since it is the weakest part of the. The type and height of the implant abutment affected screw loosening, and in an increased chs of 12 mm, using a stock. There are two potential causes for this, as well as solutions for achieving proper preload. The safest and most predictable. Abutment Loosening.
From www.researchgate.net
Incidences of Abutment Screw Loosening Download Table Abutment Loosening Implantologists and prosthodontists should be. The most commonly occurring mechanical complication is abutment screw loosening, since it is the weakest part of the. Screw loosening is a top complication affecting implants. What causes an abutment screw to loosen? The safest and most predictable treatment option to correct abutment screw loosening and retain the existing crown is accomplished by making. There. Abutment Loosening.
From www.researchgate.net
Panoramic Xray of abutment screw loosening (arrow) Download Scientific Diagram Abutment Loosening The safest and most predictable treatment option to correct abutment screw loosening and retain the existing crown is accomplished by making. We cover common reasons, and how to address them in this article. Long term post placement studies have reported prosthetic complications, including screw loosening, screw fracture, framework and. The most commonly occurring mechanical complication is abutment screw loosening, since. Abutment Loosening.
From www.researchgate.net
(PDF) Bruxism and Abutmentscrew Loosening in Dental Implants Abutment Loosening The type and height of the implant abutment affected screw loosening, and in an increased chs of 12 mm, using a stock. The most commonly occurring mechanical complication is abutment screw loosening, since it is the weakest part of the. Implantologists and prosthodontists should be. We cover common reasons, and how to address them in this article. The safest and. Abutment Loosening.
From www.thejpd.org
An accessory technique for the intraoral removal of a fractured implant abutment screw Journal Abutment Loosening The type and height of the implant abutment affected screw loosening, and in an increased chs of 12 mm, using a stock. There are two potential causes for this, as well as solutions for achieving proper preload. We cover common reasons, and how to address them in this article. What causes an abutment screw to loosen? Screw loosening is a. Abutment Loosening.
From www.thejpd.org
Abutment screw loosening in angulationcorrecting implants An in vitro study Journal of Abutment Loosening Long term post placement studies have reported prosthetic complications, including screw loosening, screw fracture, framework and. Dental implants are associated with a complexity of abutment screw loosening. We cover common reasons, and how to address them in this article. Implantologists and prosthodontists should be. There are two potential causes for this, as well as solutions for achieving proper preload. What. Abutment Loosening.
From www.jcda.ca
Managing Patients with a Loose Implant Abutment Screw jcda Abutment Loosening We cover common reasons, and how to address them in this article. The safest and most predictable treatment option to correct abutment screw loosening and retain the existing crown is accomplished by making. Long term post placement studies have reported prosthetic complications, including screw loosening, screw fracture, framework and. Screw loosening is a top complication affecting implants. There are two. Abutment Loosening.
From firstchoicelab.com
Loose Abutment Screw? You're Not Alone. First Choice Dental Lab Abutment Loosening Long term post placement studies have reported prosthetic complications, including screw loosening, screw fracture, framework and. There are two potential causes for this, as well as solutions for achieving proper preload. Dental implants are associated with a complexity of abutment screw loosening. The type and height of the implant abutment affected screw loosening, and in an increased chs of 12. Abutment Loosening.