Extrahepatic Disease In Dogs . The most common causes of ehbo include: Extrahepatic biliary tract surgery has been associated with high morbidity and mortality rates in humans and dogs, despite advances in surgical technique and supportive care. Obstruction of the common bile duct is associated with a number of diverse primary conditions. If ehbo is present in a sick dog. Diseases with complete extrahepatic biliary obstruction (ehbo) in dogs, the most common reasons for obstructive biliary tract diseases are. Extrahepatic biliary disease in dogs is commonly encountered in clinical practice worldwide. Portosystemic shunts are the most common congenital liver anomaly (see portosystemic vascular malformations in small animals). Pancreatitis is the most important cause of extrahepatic biliary tract obstruction (ehbo) in the dog. Development of ehbdo can lead to a critical. Diseases in this segment of the biliary tract are diverse and. Extrahepatic biliary tract obstruction (ehbo) is the blockage of the normal flow of bile from the liver to the intestinal tract. Cchs usually is associated with suppurative inflammation, implicating a disease causing bile flow stasis with potential for bacterial.
from www.vetpracticesupport.com
Obstruction of the common bile duct is associated with a number of diverse primary conditions. Diseases in this segment of the biliary tract are diverse and. Extrahepatic biliary tract obstruction (ehbo) is the blockage of the normal flow of bile from the liver to the intestinal tract. Cchs usually is associated with suppurative inflammation, implicating a disease causing bile flow stasis with potential for bacterial. Diseases with complete extrahepatic biliary obstruction (ehbo) in dogs, the most common reasons for obstructive biliary tract diseases are. If ehbo is present in a sick dog. Portosystemic shunts are the most common congenital liver anomaly (see portosystemic vascular malformations in small animals). Extrahepatic biliary tract surgery has been associated with high morbidity and mortality rates in humans and dogs, despite advances in surgical technique and supportive care. Development of ehbdo can lead to a critical. Extrahepatic biliary disease in dogs is commonly encountered in clinical practice worldwide.
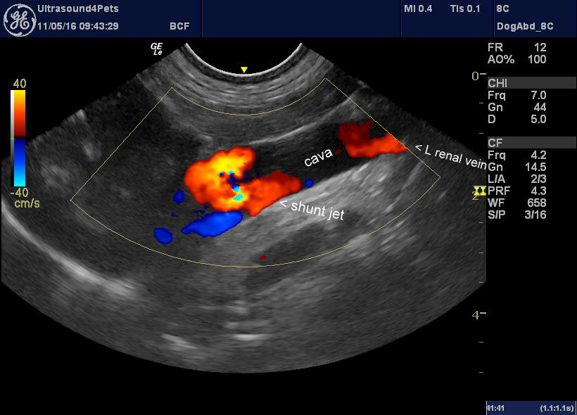
Another congenital extrahepatic portosystemic shunt via the right
Extrahepatic Disease In Dogs Extrahepatic biliary tract obstruction (ehbo) is the blockage of the normal flow of bile from the liver to the intestinal tract. Development of ehbdo can lead to a critical. Diseases with complete extrahepatic biliary obstruction (ehbo) in dogs, the most common reasons for obstructive biliary tract diseases are. Obstruction of the common bile duct is associated with a number of diverse primary conditions. Portosystemic shunts are the most common congenital liver anomaly (see portosystemic vascular malformations in small animals). Pancreatitis is the most important cause of extrahepatic biliary tract obstruction (ehbo) in the dog. Extrahepatic biliary tract surgery has been associated with high morbidity and mortality rates in humans and dogs, despite advances in surgical technique and supportive care. The most common causes of ehbo include: Cchs usually is associated with suppurative inflammation, implicating a disease causing bile flow stasis with potential for bacterial. Diseases in this segment of the biliary tract are diverse and. If ehbo is present in a sick dog. Extrahepatic biliary tract obstruction (ehbo) is the blockage of the normal flow of bile from the liver to the intestinal tract. Extrahepatic biliary disease in dogs is commonly encountered in clinical practice worldwide.
From www.latinamericanpost.com
Gallery The 5 Most Common Dog Diseases and their Warning Symptoms Extrahepatic Disease In Dogs Extrahepatic biliary tract surgery has been associated with high morbidity and mortality rates in humans and dogs, despite advances in surgical technique and supportive care. Diseases with complete extrahepatic biliary obstruction (ehbo) in dogs, the most common reasons for obstructive biliary tract diseases are. Cchs usually is associated with suppurative inflammation, implicating a disease causing bile flow stasis with potential. Extrahepatic Disease In Dogs.
From mungfali.com
Extrahepatic Biliary Duct Extrahepatic Disease In Dogs Portosystemic shunts are the most common congenital liver anomaly (see portosystemic vascular malformations in small animals). If ehbo is present in a sick dog. Diseases in this segment of the biliary tract are diverse and. Pancreatitis is the most important cause of extrahepatic biliary tract obstruction (ehbo) in the dog. Obstruction of the common bile duct is associated with a. Extrahepatic Disease In Dogs.
From www.pinterest.com
Congenital Extrahepatic Shunt in a Puppy Small Animal Ultrasound Extrahepatic Disease In Dogs Pancreatitis is the most important cause of extrahepatic biliary tract obstruction (ehbo) in the dog. Extrahepatic biliary disease in dogs is commonly encountered in clinical practice worldwide. If ehbo is present in a sick dog. Obstruction of the common bile duct is associated with a number of diverse primary conditions. Development of ehbdo can lead to a critical. Cchs usually. Extrahepatic Disease In Dogs.
From dokumen.tips
(PDF) Canine Extrahepatic Biliary Tract Disease and Surgery (EHBO Extrahepatic Disease In Dogs Development of ehbdo can lead to a critical. Extrahepatic biliary tract surgery has been associated with high morbidity and mortality rates in humans and dogs, despite advances in surgical technique and supportive care. Extrahepatic biliary disease in dogs is commonly encountered in clinical practice worldwide. Pancreatitis is the most important cause of extrahepatic biliary tract obstruction (ehbo) in the dog.. Extrahepatic Disease In Dogs.
From www.veterinary33.com
Clinical presentation of mediumlarge dogs with extrahepatic Extrahepatic Disease In Dogs Diseases in this segment of the biliary tract are diverse and. Diseases with complete extrahepatic biliary obstruction (ehbo) in dogs, the most common reasons for obstructive biliary tract diseases are. Pancreatitis is the most important cause of extrahepatic biliary tract obstruction (ehbo) in the dog. Cchs usually is associated with suppurative inflammation, implicating a disease causing bile flow stasis with. Extrahepatic Disease In Dogs.
From vetbooks.ir
Infectious Diseases in Dogs Practical Guide VetBooks Extrahepatic Disease In Dogs If ehbo is present in a sick dog. Extrahepatic biliary tract obstruction (ehbo) is the blockage of the normal flow of bile from the liver to the intestinal tract. Development of ehbdo can lead to a critical. Extrahepatic biliary disease in dogs is commonly encountered in clinical practice worldwide. Pancreatitis is the most important cause of extrahepatic biliary tract obstruction. Extrahepatic Disease In Dogs.
From www.researchgate.net
Extrahepatic biliary obstruction and pancreatitis of a dog. A. The Extrahepatic Disease In Dogs The most common causes of ehbo include: Pancreatitis is the most important cause of extrahepatic biliary tract obstruction (ehbo) in the dog. If ehbo is present in a sick dog. Portosystemic shunts are the most common congenital liver anomaly (see portosystemic vascular malformations in small animals). Diseases with complete extrahepatic biliary obstruction (ehbo) in dogs, the most common reasons for. Extrahepatic Disease In Dogs.
From www.researchgate.net
(PDF) Laparoscopic attenuation of a congenital extrahepatic Extrahepatic Disease In Dogs Cchs usually is associated with suppurative inflammation, implicating a disease causing bile flow stasis with potential for bacterial. Diseases in this segment of the biliary tract are diverse and. Extrahepatic biliary tract obstruction (ehbo) is the blockage of the normal flow of bile from the liver to the intestinal tract. Extrahepatic biliary tract surgery has been associated with high morbidity. Extrahepatic Disease In Dogs.
From www.dogsnaturallymagazine.com
Spot The Early Signs Of Liver Disease In Dogs Dogs Naturally Magazine Extrahepatic Disease In Dogs Diseases with complete extrahepatic biliary obstruction (ehbo) in dogs, the most common reasons for obstructive biliary tract diseases are. Obstruction of the common bile duct is associated with a number of diverse primary conditions. Cchs usually is associated with suppurative inflammation, implicating a disease causing bile flow stasis with potential for bacterial. Extrahepatic biliary tract obstruction (ehbo) is the blockage. Extrahepatic Disease In Dogs.
From www.semanticscholar.org
Figure 5 from Anatomy of extrahepatic portosystemic shunts in dogs as Extrahepatic Disease In Dogs Extrahepatic biliary tract obstruction (ehbo) is the blockage of the normal flow of bile from the liver to the intestinal tract. If ehbo is present in a sick dog. Pancreatitis is the most important cause of extrahepatic biliary tract obstruction (ehbo) in the dog. Diseases in this segment of the biliary tract are diverse and. The most common causes of. Extrahepatic Disease In Dogs.
From iloveveterinary.com
Portosystemic Shunt in Dogs What to Watch Out For I Love Veterinary Extrahepatic Disease In Dogs Cchs usually is associated with suppurative inflammation, implicating a disease causing bile flow stasis with potential for bacterial. Extrahepatic biliary disease in dogs is commonly encountered in clinical practice worldwide. Portosystemic shunts are the most common congenital liver anomaly (see portosystemic vascular malformations in small animals). Development of ehbdo can lead to a critical. Diseases with complete extrahepatic biliary obstruction. Extrahepatic Disease In Dogs.
From www.vetpracticesupport.com
Another congenital extrahepatic portosystemic shunt via the right Extrahepatic Disease In Dogs Cchs usually is associated with suppurative inflammation, implicating a disease causing bile flow stasis with potential for bacterial. Extrahepatic biliary tract obstruction (ehbo) is the blockage of the normal flow of bile from the liver to the intestinal tract. Diseases with complete extrahepatic biliary obstruction (ehbo) in dogs, the most common reasons for obstructive biliary tract diseases are. Diseases in. Extrahepatic Disease In Dogs.
From www.semanticscholar.org
Figure 3 from Anatomy of extrahepatic portosystemic shunts in dogs as Extrahepatic Disease In Dogs Obstruction of the common bile duct is associated with a number of diverse primary conditions. Diseases with complete extrahepatic biliary obstruction (ehbo) in dogs, the most common reasons for obstructive biliary tract diseases are. Cchs usually is associated with suppurative inflammation, implicating a disease causing bile flow stasis with potential for bacterial. Pancreatitis is the most important cause of extrahepatic. Extrahepatic Disease In Dogs.
From www.vetpracticesupport.com
extrahepatic Vet Practice Support Extrahepatic Disease In Dogs Extrahepatic biliary disease in dogs is commonly encountered in clinical practice worldwide. Extrahepatic biliary tract surgery has been associated with high morbidity and mortality rates in humans and dogs, despite advances in surgical technique and supportive care. Pancreatitis is the most important cause of extrahepatic biliary tract obstruction (ehbo) in the dog. Portosystemic shunts are the most common congenital liver. Extrahepatic Disease In Dogs.
From www.thesprucepets.com
Liver Disease in Dogs Extrahepatic Disease In Dogs Diseases in this segment of the biliary tract are diverse and. Diseases with complete extrahepatic biliary obstruction (ehbo) in dogs, the most common reasons for obstructive biliary tract diseases are. Obstruction of the common bile duct is associated with a number of diverse primary conditions. The most common causes of ehbo include: Pancreatitis is the most important cause of extrahepatic. Extrahepatic Disease In Dogs.
From www.researchgate.net
(PDF) in dogs with congenital extrahepatic portosystemic Extrahepatic Disease In Dogs Obstruction of the common bile duct is associated with a number of diverse primary conditions. Diseases with complete extrahepatic biliary obstruction (ehbo) in dogs, the most common reasons for obstructive biliary tract diseases are. If ehbo is present in a sick dog. Development of ehbdo can lead to a critical. The most common causes of ehbo include: Extrahepatic biliary tract. Extrahepatic Disease In Dogs.
From es.scribd.com
Diseases in Dogs Health Sciences Medical Extrahepatic Disease In Dogs Pancreatitis is the most important cause of extrahepatic biliary tract obstruction (ehbo) in the dog. Diseases in this segment of the biliary tract are diverse and. Obstruction of the common bile duct is associated with a number of diverse primary conditions. Extrahepatic biliary tract obstruction (ehbo) is the blockage of the normal flow of bile from the liver to the. Extrahepatic Disease In Dogs.
From www.frontiersin.org
Frontiers Laparoscopic attenuation of a congenital extrahepatic Extrahepatic Disease In Dogs Diseases in this segment of the biliary tract are diverse and. Portosystemic shunts are the most common congenital liver anomaly (see portosystemic vascular malformations in small animals). Cchs usually is associated with suppurative inflammation, implicating a disease causing bile flow stasis with potential for bacterial. The most common causes of ehbo include: Extrahepatic biliary disease in dogs is commonly encountered. Extrahepatic Disease In Dogs.
From www.researchgate.net
after surgical attenuation of an extrahepatic shunt in dogs in Extrahepatic Disease In Dogs If ehbo is present in a sick dog. Extrahepatic biliary disease in dogs is commonly encountered in clinical practice worldwide. Extrahepatic biliary tract obstruction (ehbo) is the blockage of the normal flow of bile from the liver to the intestinal tract. Diseases in this segment of the biliary tract are diverse and. Cchs usually is associated with suppurative inflammation, implicating. Extrahepatic Disease In Dogs.
From www.semanticscholar.org
[PDF] Canine Extrahepatic Biliary Tract Disease and Surgery Steve Extrahepatic Disease In Dogs Obstruction of the common bile duct is associated with a number of diverse primary conditions. Extrahepatic biliary tract surgery has been associated with high morbidity and mortality rates in humans and dogs, despite advances in surgical technique and supportive care. Development of ehbdo can lead to a critical. Diseases in this segment of the biliary tract are diverse and. Portosystemic. Extrahepatic Disease In Dogs.
From www.vetpracticesupport.com
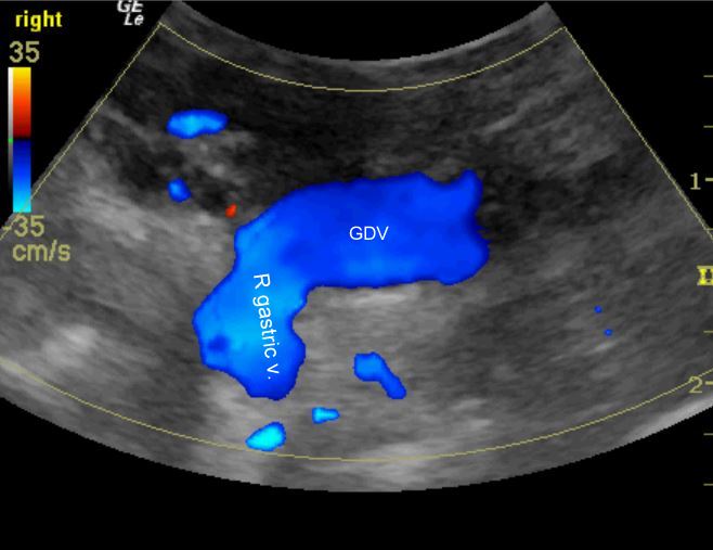
Congenital extrahepatic portosystemic shunt via the right gastric vein Extrahepatic Disease In Dogs Cchs usually is associated with suppurative inflammation, implicating a disease causing bile flow stasis with potential for bacterial. Portosystemic shunts are the most common congenital liver anomaly (see portosystemic vascular malformations in small animals). Obstruction of the common bile duct is associated with a number of diverse primary conditions. Extrahepatic biliary disease in dogs is commonly encountered in clinical practice. Extrahepatic Disease In Dogs.
From www.researchgate.net
(PDF) Extrahepatic cholestasis in the dog and the differentiation of Extrahepatic Disease In Dogs Extrahepatic biliary tract obstruction (ehbo) is the blockage of the normal flow of bile from the liver to the intestinal tract. Portosystemic shunts are the most common congenital liver anomaly (see portosystemic vascular malformations in small animals). The most common causes of ehbo include: Pancreatitis is the most important cause of extrahepatic biliary tract obstruction (ehbo) in the dog. Diseases. Extrahepatic Disease In Dogs.
From www.researchgate.net
after surgical attenuation of an extrahepatic shunt in dogs in Extrahepatic Disease In Dogs Diseases with complete extrahepatic biliary obstruction (ehbo) in dogs, the most common reasons for obstructive biliary tract diseases are. Extrahepatic biliary tract obstruction (ehbo) is the blockage of the normal flow of bile from the liver to the intestinal tract. Pancreatitis is the most important cause of extrahepatic biliary tract obstruction (ehbo) in the dog. Development of ehbdo can lead. Extrahepatic Disease In Dogs.
From helpfulhintsforrvns.tumblr.com
A place to find hints, tips and ask questions. EXTRAHEPATIC BILIARY Extrahepatic Disease In Dogs Diseases in this segment of the biliary tract are diverse and. Portosystemic shunts are the most common congenital liver anomaly (see portosystemic vascular malformations in small animals). Extrahepatic biliary disease in dogs is commonly encountered in clinical practice worldwide. The most common causes of ehbo include: If ehbo is present in a sick dog. Cchs usually is associated with suppurative. Extrahepatic Disease In Dogs.
From www.semanticscholar.org
Figure 4 from Computed tomographic morphology and clinical features of Extrahepatic Disease In Dogs Pancreatitis is the most important cause of extrahepatic biliary tract obstruction (ehbo) in the dog. The most common causes of ehbo include: Cchs usually is associated with suppurative inflammation, implicating a disease causing bile flow stasis with potential for bacterial. If ehbo is present in a sick dog. Portosystemic shunts are the most common congenital liver anomaly (see portosystemic vascular. Extrahepatic Disease In Dogs.
From www.amtmindia.org
The Most Common Diseases & Infections in Dogs Animal Matter To Me Extrahepatic Disease In Dogs If ehbo is present in a sick dog. Pancreatitis is the most important cause of extrahepatic biliary tract obstruction (ehbo) in the dog. Diseases with complete extrahepatic biliary obstruction (ehbo) in dogs, the most common reasons for obstructive biliary tract diseases are. Extrahepatic biliary tract surgery has been associated with high morbidity and mortality rates in humans and dogs, despite. Extrahepatic Disease In Dogs.
From www.medrego.com
Liver disease in dogs and its symptoms Medrego Expert canine advice Extrahepatic Disease In Dogs Extrahepatic biliary disease in dogs is commonly encountered in clinical practice worldwide. Portosystemic shunts are the most common congenital liver anomaly (see portosystemic vascular malformations in small animals). Diseases in this segment of the biliary tract are diverse and. Extrahepatic biliary tract obstruction (ehbo) is the blockage of the normal flow of bile from the liver to the intestinal tract.. Extrahepatic Disease In Dogs.
From www.vetpracticesupport.com
Another congenital extrahepatic portosystemic shunt via the right Extrahepatic Disease In Dogs Portosystemic shunts are the most common congenital liver anomaly (see portosystemic vascular malformations in small animals). Pancreatitis is the most important cause of extrahepatic biliary tract obstruction (ehbo) in the dog. Diseases in this segment of the biliary tract are diverse and. Extrahepatic biliary tract obstruction (ehbo) is the blockage of the normal flow of bile from the liver to. Extrahepatic Disease In Dogs.
From www.semanticscholar.org
Figure 3 from Anatomy of extrahepatic portosystemic shunts in dogs as Extrahepatic Disease In Dogs If ehbo is present in a sick dog. Extrahepatic biliary disease in dogs is commonly encountered in clinical practice worldwide. Portosystemic shunts are the most common congenital liver anomaly (see portosystemic vascular malformations in small animals). Diseases in this segment of the biliary tract are diverse and. Development of ehbdo can lead to a critical. Extrahepatic biliary tract surgery has. Extrahepatic Disease In Dogs.
From www.semanticscholar.org
[PDF] Canine Extrahepatic Biliary Tract Disease and Surgery Steve Extrahepatic Disease In Dogs Cchs usually is associated with suppurative inflammation, implicating a disease causing bile flow stasis with potential for bacterial. Development of ehbdo can lead to a critical. Extrahepatic biliary tract surgery has been associated with high morbidity and mortality rates in humans and dogs, despite advances in surgical technique and supportive care. Extrahepatic biliary tract obstruction (ehbo) is the blockage of. Extrahepatic Disease In Dogs.
From www.vetpracticesupport.com
Congenital extrahepatic portosystemic shunt via the right gastric vein Extrahepatic Disease In Dogs Extrahepatic biliary tract surgery has been associated with high morbidity and mortality rates in humans and dogs, despite advances in surgical technique and supportive care. Diseases with complete extrahepatic biliary obstruction (ehbo) in dogs, the most common reasons for obstructive biliary tract diseases are. If ehbo is present in a sick dog. Diseases in this segment of the biliary tract. Extrahepatic Disease In Dogs.
From www.researchgate.net
(PDF) Treatment of congenital extrahepatic portosystemic shunts in dogs Extrahepatic Disease In Dogs Portosystemic shunts are the most common congenital liver anomaly (see portosystemic vascular malformations in small animals). Cchs usually is associated with suppurative inflammation, implicating a disease causing bile flow stasis with potential for bacterial. Extrahepatic biliary tract obstruction (ehbo) is the blockage of the normal flow of bile from the liver to the intestinal tract. Extrahepatic biliary disease in dogs. Extrahepatic Disease In Dogs.
From www.researchgate.net
Samples studied and overall prevalence of extrahepatic diseases in dogs Extrahepatic Disease In Dogs Obstruction of the common bile duct is associated with a number of diverse primary conditions. Pancreatitis is the most important cause of extrahepatic biliary tract obstruction (ehbo) in the dog. Portosystemic shunts are the most common congenital liver anomaly (see portosystemic vascular malformations in small animals). Extrahepatic biliary tract surgery has been associated with high morbidity and mortality rates in. Extrahepatic Disease In Dogs.
From www.vetpracticesupport.com
Congenital extrahepatic portosystemic shunt via the right gastric vein Extrahepatic Disease In Dogs Development of ehbdo can lead to a critical. Extrahepatic biliary disease in dogs is commonly encountered in clinical practice worldwide. If ehbo is present in a sick dog. The most common causes of ehbo include: Diseases in this segment of the biliary tract are diverse and. Portosystemic shunts are the most common congenital liver anomaly (see portosystemic vascular malformations in. Extrahepatic Disease In Dogs.
From www.semanticscholar.org
Figure 3 from Anatomy of extrahepatic portosystemic shunts in dogs as Extrahepatic Disease In Dogs Obstruction of the common bile duct is associated with a number of diverse primary conditions. Extrahepatic biliary disease in dogs is commonly encountered in clinical practice worldwide. Cchs usually is associated with suppurative inflammation, implicating a disease causing bile flow stasis with potential for bacterial. Portosystemic shunts are the most common congenital liver anomaly (see portosystemic vascular malformations in small. Extrahepatic Disease In Dogs.