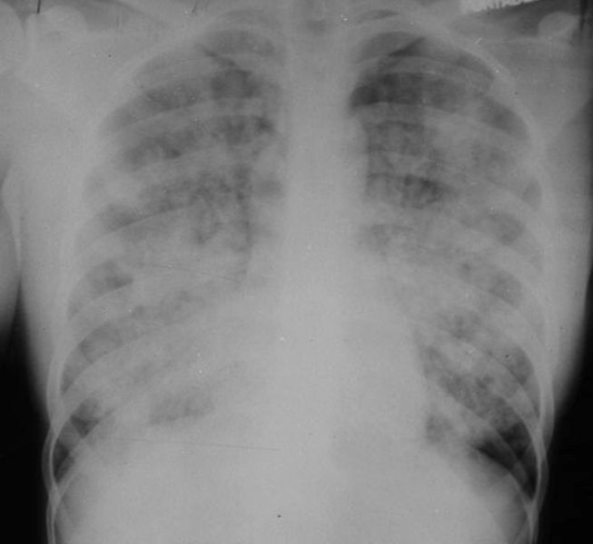
Chest X Ray Near Drowning . A drowning victim with normal oxygen saturation and initial chest radiograph (cxr) can be discharged if all of the following criteria are. The patient did not require. The cxr may be normal, especially in children, if laryngospasm (diving reflex) occurs. Lower zone predominant opacity in both lungs compatible with pulmonary edema. Chest radiography may detect evidence of aspiration, pulmonary edema, or segmental atelectasis suggesting the presence. Otherwise, a batwing pattern of. Near drowning pulmonary edema is considered an etiological subtype of non cardiogenic pulmonary edema. Chest radiograph is commonly obtained as the first imaging modality, which usually shows perihilar bilateral pulmonary opacities;
from www.ijcasereportsandimages.com
Chest radiography may detect evidence of aspiration, pulmonary edema, or segmental atelectasis suggesting the presence. Lower zone predominant opacity in both lungs compatible with pulmonary edema. The cxr may be normal, especially in children, if laryngospasm (diving reflex) occurs. Near drowning pulmonary edema is considered an etiological subtype of non cardiogenic pulmonary edema. Chest radiograph is commonly obtained as the first imaging modality, which usually shows perihilar bilateral pulmonary opacities; Otherwise, a batwing pattern of. A drowning victim with normal oxygen saturation and initial chest radiograph (cxr) can be discharged if all of the following criteria are. The patient did not require.
Drowning induced acute respiratory failure A case report
Chest X Ray Near Drowning The patient did not require. Lower zone predominant opacity in both lungs compatible with pulmonary edema. Chest radiograph is commonly obtained as the first imaging modality, which usually shows perihilar bilateral pulmonary opacities; Chest radiography may detect evidence of aspiration, pulmonary edema, or segmental atelectasis suggesting the presence. The patient did not require. The cxr may be normal, especially in children, if laryngospasm (diving reflex) occurs. Near drowning pulmonary edema is considered an etiological subtype of non cardiogenic pulmonary edema. A drowning victim with normal oxygen saturation and initial chest radiograph (cxr) can be discharged if all of the following criteria are. Otherwise, a batwing pattern of.
From www.childrensmercy.org
What's the Diagnosis? Children's Mercy Kansas City Chest X Ray Near Drowning A drowning victim with normal oxygen saturation and initial chest radiograph (cxr) can be discharged if all of the following criteria are. Near drowning pulmonary edema is considered an etiological subtype of non cardiogenic pulmonary edema. Otherwise, a batwing pattern of. The cxr may be normal, especially in children, if laryngospasm (diving reflex) occurs. The patient did not require. Chest. Chest X Ray Near Drowning.
From www.researchgate.net
Chest xray after intubation showing hyperlucent left hemithorax with Chest X Ray Near Drowning The patient did not require. The cxr may be normal, especially in children, if laryngospasm (diving reflex) occurs. A drowning victim with normal oxygen saturation and initial chest radiograph (cxr) can be discharged if all of the following criteria are. Chest radiography may detect evidence of aspiration, pulmonary edema, or segmental atelectasis suggesting the presence. Otherwise, a batwing pattern of.. Chest X Ray Near Drowning.
From litfl.com
CXR Case 011 • LITFL • Chest Xray SelfAssessment Quiz Chest X Ray Near Drowning Chest radiograph is commonly obtained as the first imaging modality, which usually shows perihilar bilateral pulmonary opacities; A drowning victim with normal oxygen saturation and initial chest radiograph (cxr) can be discharged if all of the following criteria are. Near drowning pulmonary edema is considered an etiological subtype of non cardiogenic pulmonary edema. Chest radiography may detect evidence of aspiration,. Chest X Ray Near Drowning.
From www.nih.gov
NIH Clinical Center provides one of the largest publicly available Chest X Ray Near Drowning Chest radiograph is commonly obtained as the first imaging modality, which usually shows perihilar bilateral pulmonary opacities; Lower zone predominant opacity in both lungs compatible with pulmonary edema. Near drowning pulmonary edema is considered an etiological subtype of non cardiogenic pulmonary edema. A drowning victim with normal oxygen saturation and initial chest radiograph (cxr) can be discharged if all of. Chest X Ray Near Drowning.
From www.verywellhealth.com
Chest XRay for the Diagnosis of Lung Cancer Chest X Ray Near Drowning A drowning victim with normal oxygen saturation and initial chest radiograph (cxr) can be discharged if all of the following criteria are. Lower zone predominant opacity in both lungs compatible with pulmonary edema. The cxr may be normal, especially in children, if laryngospasm (diving reflex) occurs. The patient did not require. Otherwise, a batwing pattern of. Chest radiography may detect. Chest X Ray Near Drowning.
From www.researchgate.net
Posteroanterior view of Chest Xray after drainage. Download Chest X Ray Near Drowning Chest radiography may detect evidence of aspiration, pulmonary edema, or segmental atelectasis suggesting the presence. Chest radiograph is commonly obtained as the first imaging modality, which usually shows perihilar bilateral pulmonary opacities; A drowning victim with normal oxygen saturation and initial chest radiograph (cxr) can be discharged if all of the following criteria are. The cxr may be normal, especially. Chest X Ray Near Drowning.
From www.cureus.com
Cureus Portable Chest Radiograph A Boon for Critically Ill Patients Chest X Ray Near Drowning Chest radiography may detect evidence of aspiration, pulmonary edema, or segmental atelectasis suggesting the presence. Lower zone predominant opacity in both lungs compatible with pulmonary edema. Chest radiograph is commonly obtained as the first imaging modality, which usually shows perihilar bilateral pulmonary opacities; A drowning victim with normal oxygen saturation and initial chest radiograph (cxr) can be discharged if all. Chest X Ray Near Drowning.
From machprinciple.com
AI Accurately Identifies Normal and Abnormal Chest Xrays Chest X Ray Near Drowning Near drowning pulmonary edema is considered an etiological subtype of non cardiogenic pulmonary edema. The patient did not require. The cxr may be normal, especially in children, if laryngospasm (diving reflex) occurs. A drowning victim with normal oxygen saturation and initial chest radiograph (cxr) can be discharged if all of the following criteria are. Chest radiograph is commonly obtained as. Chest X Ray Near Drowning.
From www.amjtransplant.org
Lung transplantation from swimming pool drowning victims A case series Chest X Ray Near Drowning A drowning victim with normal oxygen saturation and initial chest radiograph (cxr) can be discharged if all of the following criteria are. Chest radiograph is commonly obtained as the first imaging modality, which usually shows perihilar bilateral pulmonary opacities; The cxr may be normal, especially in children, if laryngospasm (diving reflex) occurs. Lower zone predominant opacity in both lungs compatible. Chest X Ray Near Drowning.
From www.alamy.com
Paediatric chest Xray 01 Stock Photo Alamy Chest X Ray Near Drowning Near drowning pulmonary edema is considered an etiological subtype of non cardiogenic pulmonary edema. Chest radiograph is commonly obtained as the first imaging modality, which usually shows perihilar bilateral pulmonary opacities; A drowning victim with normal oxygen saturation and initial chest radiograph (cxr) can be discharged if all of the following criteria are. Lower zone predominant opacity in both lungs. Chest X Ray Near Drowning.
From www.frontiersin.org
Frontiers Performance Evaluation of the Deep Learning Based Chest X Ray Near Drowning Near drowning pulmonary edema is considered an etiological subtype of non cardiogenic pulmonary edema. Otherwise, a batwing pattern of. Chest radiography may detect evidence of aspiration, pulmonary edema, or segmental atelectasis suggesting the presence. A drowning victim with normal oxygen saturation and initial chest radiograph (cxr) can be discharged if all of the following criteria are. Lower zone predominant opacity. Chest X Ray Near Drowning.
From www.researchgate.net
Chest imaging chest Xray and chest CT of progression of diffuse Chest X Ray Near Drowning Chest radiography may detect evidence of aspiration, pulmonary edema, or segmental atelectasis suggesting the presence. The cxr may be normal, especially in children, if laryngospasm (diving reflex) occurs. Otherwise, a batwing pattern of. The patient did not require. Lower zone predominant opacity in both lungs compatible with pulmonary edema. Chest radiograph is commonly obtained as the first imaging modality, which. Chest X Ray Near Drowning.
From www.youtube.com
Chest XRay Lung Normal Vs Abnormal Image Appearances Part 1 TB Chest X Ray Near Drowning A drowning victim with normal oxygen saturation and initial chest radiograph (cxr) can be discharged if all of the following criteria are. The cxr may be normal, especially in children, if laryngospasm (diving reflex) occurs. Lower zone predominant opacity in both lungs compatible with pulmonary edema. Otherwise, a batwing pattern of. The patient did not require. Chest radiography may detect. Chest X Ray Near Drowning.
From klacscfhk.blob.core.windows.net
What Chest X Rays Can Detect at Samuel Green blog Chest X Ray Near Drowning The patient did not require. Chest radiograph is commonly obtained as the first imaging modality, which usually shows perihilar bilateral pulmonary opacities; Otherwise, a batwing pattern of. The cxr may be normal, especially in children, if laryngospasm (diving reflex) occurs. Chest radiography may detect evidence of aspiration, pulmonary edema, or segmental atelectasis suggesting the presence. A drowning victim with normal. Chest X Ray Near Drowning.
From www.reliasmedia.com
Pediatric Drowning 20210202 Relias Media Chest X Ray Near Drowning Otherwise, a batwing pattern of. Near drowning pulmonary edema is considered an etiological subtype of non cardiogenic pulmonary edema. The patient did not require. Lower zone predominant opacity in both lungs compatible with pulmonary edema. A drowning victim with normal oxygen saturation and initial chest radiograph (cxr) can be discharged if all of the following criteria are. The cxr may. Chest X Ray Near Drowning.
From www.researchgate.net
Chest Xray, anteroposterior view. Download Scientific Diagram Chest X Ray Near Drowning Otherwise, a batwing pattern of. Chest radiography may detect evidence of aspiration, pulmonary edema, or segmental atelectasis suggesting the presence. Lower zone predominant opacity in both lungs compatible with pulmonary edema. A drowning victim with normal oxygen saturation and initial chest radiograph (cxr) can be discharged if all of the following criteria are. The cxr may be normal, especially in. Chest X Ray Near Drowning.
From casereports.bmj.com
Utility of lung ultrasound in neardrowning victims BMJ Case Reports Chest X Ray Near Drowning Chest radiograph is commonly obtained as the first imaging modality, which usually shows perihilar bilateral pulmonary opacities; A drowning victim with normal oxygen saturation and initial chest radiograph (cxr) can be discharged if all of the following criteria are. The cxr may be normal, especially in children, if laryngospasm (diving reflex) occurs. The patient did not require. Near drowning pulmonary. Chest X Ray Near Drowning.
From journalmc.org
J Med Cases Chest X Ray Near Drowning A drowning victim with normal oxygen saturation and initial chest radiograph (cxr) can be discharged if all of the following criteria are. Otherwise, a batwing pattern of. Chest radiography may detect evidence of aspiration, pulmonary edema, or segmental atelectasis suggesting the presence. The cxr may be normal, especially in children, if laryngospasm (diving reflex) occurs. The patient did not require.. Chest X Ray Near Drowning.
From www.researchgate.net
Optimal and suboptimal chest Xrays. (A)Optimal quality chest Xray Chest X Ray Near Drowning Chest radiograph is commonly obtained as the first imaging modality, which usually shows perihilar bilateral pulmonary opacities; Chest radiography may detect evidence of aspiration, pulmonary edema, or segmental atelectasis suggesting the presence. A drowning victim with normal oxygen saturation and initial chest radiograph (cxr) can be discharged if all of the following criteria are. Otherwise, a batwing pattern of. The. Chest X Ray Near Drowning.
From marketplace.deep-hybrid-datacloud.eu
DEEP Open Catalog Model "Chest xray image classifier" Chest X Ray Near Drowning The cxr may be normal, especially in children, if laryngospasm (diving reflex) occurs. Chest radiograph is commonly obtained as the first imaging modality, which usually shows perihilar bilateral pulmonary opacities; Chest radiography may detect evidence of aspiration, pulmonary edema, or segmental atelectasis suggesting the presence. The patient did not require. A drowning victim with normal oxygen saturation and initial chest. Chest X Ray Near Drowning.
From www.youtube.com
Chest XRay Lung Normal Vs Abnormal Image Appearances Part 2 Pleural Chest X Ray Near Drowning A drowning victim with normal oxygen saturation and initial chest radiograph (cxr) can be discharged if all of the following criteria are. The patient did not require. Lower zone predominant opacity in both lungs compatible with pulmonary edema. Chest radiography may detect evidence of aspiration, pulmonary edema, or segmental atelectasis suggesting the presence. Otherwise, a batwing pattern of. Chest radiograph. Chest X Ray Near Drowning.
From www.ijcasereportsandimages.com
Drowning induced acute respiratory failure A case report Chest X Ray Near Drowning Chest radiography may detect evidence of aspiration, pulmonary edema, or segmental atelectasis suggesting the presence. The patient did not require. Near drowning pulmonary edema is considered an etiological subtype of non cardiogenic pulmonary edema. Lower zone predominant opacity in both lungs compatible with pulmonary edema. The cxr may be normal, especially in children, if laryngospasm (diving reflex) occurs. Chest radiograph. Chest X Ray Near Drowning.
From medizzy.com
Chest x ray of a patient MEDizzy Chest X Ray Near Drowning Otherwise, a batwing pattern of. Lower zone predominant opacity in both lungs compatible with pulmonary edema. Chest radiography may detect evidence of aspiration, pulmonary edema, or segmental atelectasis suggesting the presence. Chest radiograph is commonly obtained as the first imaging modality, which usually shows perihilar bilateral pulmonary opacities; The patient did not require. A drowning victim with normal oxygen saturation. Chest X Ray Near Drowning.
From criticalcarecollaborative.com
Acute respiratory distress syndrome Chest X Ray Near Drowning The cxr may be normal, especially in children, if laryngospasm (diving reflex) occurs. Otherwise, a batwing pattern of. The patient did not require. Lower zone predominant opacity in both lungs compatible with pulmonary edema. Chest radiograph is commonly obtained as the first imaging modality, which usually shows perihilar bilateral pulmonary opacities; Near drowning pulmonary edema is considered an etiological subtype. Chest X Ray Near Drowning.
From www.ebmconsult.com
Radiology Chest Xray Normal Chest X Ray Near Drowning Chest radiograph is commonly obtained as the first imaging modality, which usually shows perihilar bilateral pulmonary opacities; The cxr may be normal, especially in children, if laryngospasm (diving reflex) occurs. The patient did not require. Otherwise, a batwing pattern of. A drowning victim with normal oxygen saturation and initial chest radiograph (cxr) can be discharged if all of the following. Chest X Ray Near Drowning.
From radiology-information.blogspot.com
Chest X Ray Post Trauma Radiology Imaging Chest X Ray Near Drowning The patient did not require. Chest radiograph is commonly obtained as the first imaging modality, which usually shows perihilar bilateral pulmonary opacities; Near drowning pulmonary edema is considered an etiological subtype of non cardiogenic pulmonary edema. Lower zone predominant opacity in both lungs compatible with pulmonary edema. The cxr may be normal, especially in children, if laryngospasm (diving reflex) occurs.. Chest X Ray Near Drowning.
From www.lecturio.com
Drowning Concise Medical Knowledge Chest X Ray Near Drowning Chest radiograph is commonly obtained as the first imaging modality, which usually shows perihilar bilateral pulmonary opacities; The cxr may be normal, especially in children, if laryngospasm (diving reflex) occurs. Chest radiography may detect evidence of aspiration, pulmonary edema, or segmental atelectasis suggesting the presence. Lower zone predominant opacity in both lungs compatible with pulmonary edema. A drowning victim with. Chest X Ray Near Drowning.
From www.jem-journal.com
Near Drowning and Adult Respiratory Distress Syndrome Journal of Chest X Ray Near Drowning Chest radiograph is commonly obtained as the first imaging modality, which usually shows perihilar bilateral pulmonary opacities; The patient did not require. Near drowning pulmonary edema is considered an etiological subtype of non cardiogenic pulmonary edema. Chest radiography may detect evidence of aspiration, pulmonary edema, or segmental atelectasis suggesting the presence. A drowning victim with normal oxygen saturation and initial. Chest X Ray Near Drowning.
From exoyhfbxy.blob.core.windows.net
How Much Is A Chest X Ray Private at Sonya Morris blog Chest X Ray Near Drowning Chest radiograph is commonly obtained as the first imaging modality, which usually shows perihilar bilateral pulmonary opacities; Chest radiography may detect evidence of aspiration, pulmonary edema, or segmental atelectasis suggesting the presence. A drowning victim with normal oxygen saturation and initial chest radiograph (cxr) can be discharged if all of the following criteria are. Lower zone predominant opacity in both. Chest X Ray Near Drowning.
From www.mdpi.com
Diagnostics Free FullText Chest Xray Interpretation Detecting Chest X Ray Near Drowning Near drowning pulmonary edema is considered an etiological subtype of non cardiogenic pulmonary edema. A drowning victim with normal oxygen saturation and initial chest radiograph (cxr) can be discharged if all of the following criteria are. Chest radiograph is commonly obtained as the first imaging modality, which usually shows perihilar bilateral pulmonary opacities; Otherwise, a batwing pattern of. Lower zone. Chest X Ray Near Drowning.
From www.jem-journal.com
Near Drowning and Adult Respiratory Distress Syndrome Journal of Chest X Ray Near Drowning Chest radiograph is commonly obtained as the first imaging modality, which usually shows perihilar bilateral pulmonary opacities; Otherwise, a batwing pattern of. A drowning victim with normal oxygen saturation and initial chest radiograph (cxr) can be discharged if all of the following criteria are. The patient did not require. Chest radiography may detect evidence of aspiration, pulmonary edema, or segmental. Chest X Ray Near Drowning.
From www.researchgate.net
Appearance of cardiac shadow on chest Xray posteroanterior view in Chest X Ray Near Drowning Chest radiography may detect evidence of aspiration, pulmonary edema, or segmental atelectasis suggesting the presence. The patient did not require. Chest radiograph is commonly obtained as the first imaging modality, which usually shows perihilar bilateral pulmonary opacities; A drowning victim with normal oxygen saturation and initial chest radiograph (cxr) can be discharged if all of the following criteria are. Near. Chest X Ray Near Drowning.
From www.reliasmedia.com
Submersion and Drowning Injuries 20150410 AHC… Relias Media Chest X Ray Near Drowning Chest radiography may detect evidence of aspiration, pulmonary edema, or segmental atelectasis suggesting the presence. The patient did not require. The cxr may be normal, especially in children, if laryngospasm (diving reflex) occurs. Lower zone predominant opacity in both lungs compatible with pulmonary edema. A drowning victim with normal oxygen saturation and initial chest radiograph (cxr) can be discharged if. Chest X Ray Near Drowning.
From www.muhadharaty.com
Mediastinum and heart pptx د. زهراء Muhadharaty Chest X Ray Near Drowning Lower zone predominant opacity in both lungs compatible with pulmonary edema. The cxr may be normal, especially in children, if laryngospasm (diving reflex) occurs. The patient did not require. Chest radiography may detect evidence of aspiration, pulmonary edema, or segmental atelectasis suggesting the presence. Chest radiograph is commonly obtained as the first imaging modality, which usually shows perihilar bilateral pulmonary. Chest X Ray Near Drowning.
From www.reliasmedia.com
Submersion and Drowning Injuries 20150410 AHC… Relias Media Chest X Ray Near Drowning Near drowning pulmonary edema is considered an etiological subtype of non cardiogenic pulmonary edema. Chest radiography may detect evidence of aspiration, pulmonary edema, or segmental atelectasis suggesting the presence. Lower zone predominant opacity in both lungs compatible with pulmonary edema. The cxr may be normal, especially in children, if laryngospasm (diving reflex) occurs. Chest radiograph is commonly obtained as the. Chest X Ray Near Drowning.