Lungs Filled With Sputum . These tubes carry air to and from your lungs. Sometimes, problems arise that can change the thickness, amount, or color of. Phlegm is a specific type of mucus that originates in your lungs and throat. Bronchitis is an inflammation of the lining of your bronchial tubes. Pneumonia is an infection that. Another name for phlegm is. It’s slightly thicker than the mucus that’s produced in your nose and sinuses. Chronic obstructive pulmonary disease (copd) includes several lung diseases that can make it harder to breathe, like chronic bronchitis and emphysema. It’s typically thicker than normal mucus because. Mucus in the airways, known as phlegm or sputum, helps remove dust and debris and keep the lungs clear. Phlegm is a type of mucus that you usually cough up from your lower respiratory tract.
from www.animalia-life.club
It’s typically thicker than normal mucus because. Pneumonia is an infection that. Sometimes, problems arise that can change the thickness, amount, or color of. Phlegm is a specific type of mucus that originates in your lungs and throat. Phlegm is a type of mucus that you usually cough up from your lower respiratory tract. It’s slightly thicker than the mucus that’s produced in your nose and sinuses. These tubes carry air to and from your lungs. Chronic obstructive pulmonary disease (copd) includes several lung diseases that can make it harder to breathe, like chronic bronchitis and emphysema. Another name for phlegm is. Bronchitis is an inflammation of the lining of your bronchial tubes.
Mucus In Lungs X Ray
Lungs Filled With Sputum Sometimes, problems arise that can change the thickness, amount, or color of. It’s typically thicker than normal mucus because. Phlegm is a specific type of mucus that originates in your lungs and throat. Mucus in the airways, known as phlegm or sputum, helps remove dust and debris and keep the lungs clear. Bronchitis is an inflammation of the lining of your bronchial tubes. Another name for phlegm is. Phlegm is a type of mucus that you usually cough up from your lower respiratory tract. It’s slightly thicker than the mucus that’s produced in your nose and sinuses. Chronic obstructive pulmonary disease (copd) includes several lung diseases that can make it harder to breathe, like chronic bronchitis and emphysema. Sometimes, problems arise that can change the thickness, amount, or color of. Pneumonia is an infection that. These tubes carry air to and from your lungs.
From simp-link.com
Mucus filling up lungs Lungs Filled With Sputum These tubes carry air to and from your lungs. Sometimes, problems arise that can change the thickness, amount, or color of. Chronic obstructive pulmonary disease (copd) includes several lung diseases that can make it harder to breathe, like chronic bronchitis and emphysema. It’s typically thicker than normal mucus because. Another name for phlegm is. It’s slightly thicker than the mucus. Lungs Filled With Sputum.
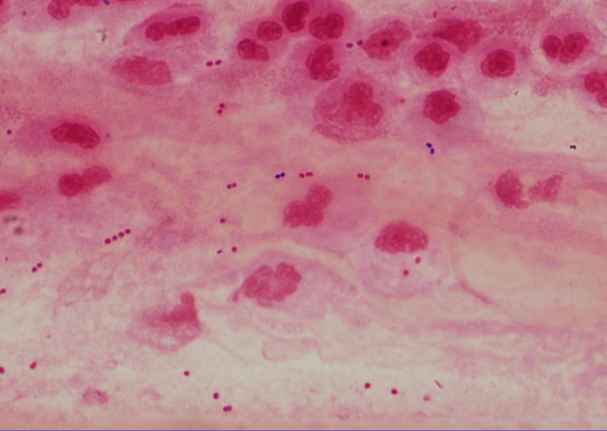
From www.mdlinx.com
Detect lung cancer sooner and predict prognosis with sputum sample MDLinx Lungs Filled With Sputum Chronic obstructive pulmonary disease (copd) includes several lung diseases that can make it harder to breathe, like chronic bronchitis and emphysema. Bronchitis is an inflammation of the lining of your bronchial tubes. These tubes carry air to and from your lungs. Mucus in the airways, known as phlegm or sputum, helps remove dust and debris and keep the lungs clear.. Lungs Filled With Sputum.
From simp-link.com
Mucus filling up lungs Lungs Filled With Sputum These tubes carry air to and from your lungs. Another name for phlegm is. Mucus in the airways, known as phlegm or sputum, helps remove dust and debris and keep the lungs clear. It’s typically thicker than normal mucus because. Phlegm is a type of mucus that you usually cough up from your lower respiratory tract. Phlegm is a specific. Lungs Filled With Sputum.
From www.researchgate.net
Thin sections of a bronchus filled with sputum of an S. aureusinfected Lungs Filled With Sputum Another name for phlegm is. These tubes carry air to and from your lungs. It’s typically thicker than normal mucus because. Sometimes, problems arise that can change the thickness, amount, or color of. Bronchitis is an inflammation of the lining of your bronchial tubes. Phlegm is a specific type of mucus that originates in your lungs and throat. Pneumonia is. Lungs Filled With Sputum.
From my.clevelandclinic.org
Cystic Fibrosis (CF) Causes, Symptoms, Diagnosis & Treatment Lungs Filled With Sputum Sometimes, problems arise that can change the thickness, amount, or color of. Phlegm is a specific type of mucus that originates in your lungs and throat. It’s typically thicker than normal mucus because. Another name for phlegm is. These tubes carry air to and from your lungs. Chronic obstructive pulmonary disease (copd) includes several lung diseases that can make it. Lungs Filled With Sputum.
From www.scientificanimations.com
Asthma A Guide Towards Better Life Scientific Animations Lungs Filled With Sputum Phlegm is a specific type of mucus that originates in your lungs and throat. It’s slightly thicker than the mucus that’s produced in your nose and sinuses. Pneumonia is an infection that. Chronic obstructive pulmonary disease (copd) includes several lung diseases that can make it harder to breathe, like chronic bronchitis and emphysema. Bronchitis is an inflammation of the lining. Lungs Filled With Sputum.
From simp-link.com
Mucus filling up lungs Lungs Filled With Sputum It’s slightly thicker than the mucus that’s produced in your nose and sinuses. Phlegm is a specific type of mucus that originates in your lungs and throat. Another name for phlegm is. It’s typically thicker than normal mucus because. These tubes carry air to and from your lungs. Sometimes, problems arise that can change the thickness, amount, or color of.. Lungs Filled With Sputum.
From www.simp-link.com
Mucus filling up lungs Lungs Filled With Sputum It’s slightly thicker than the mucus that’s produced in your nose and sinuses. Bronchitis is an inflammation of the lining of your bronchial tubes. Chronic obstructive pulmonary disease (copd) includes several lung diseases that can make it harder to breathe, like chronic bronchitis and emphysema. Sometimes, problems arise that can change the thickness, amount, or color of. Pneumonia is an. Lungs Filled With Sputum.
From www.animalia-life.club
Mucus In Lungs X Ray Lungs Filled With Sputum It’s typically thicker than normal mucus because. Phlegm is a specific type of mucus that originates in your lungs and throat. These tubes carry air to and from your lungs. It’s slightly thicker than the mucus that’s produced in your nose and sinuses. Another name for phlegm is. Sometimes, problems arise that can change the thickness, amount, or color of.. Lungs Filled With Sputum.
From www.pedilung.com
Alveoliinlungdiseases Pediatric Pulmonologists Lungs Filled With Sputum These tubes carry air to and from your lungs. Mucus in the airways, known as phlegm or sputum, helps remove dust and debris and keep the lungs clear. Phlegm is a specific type of mucus that originates in your lungs and throat. Sometimes, problems arise that can change the thickness, amount, or color of. Bronchitis is an inflammation of the. Lungs Filled With Sputum.
From www.animalia-life.club
Causes Of Blood In Mucus Lungs Filled With Sputum Another name for phlegm is. Pneumonia is an infection that. It’s slightly thicker than the mucus that’s produced in your nose and sinuses. Chronic obstructive pulmonary disease (copd) includes several lung diseases that can make it harder to breathe, like chronic bronchitis and emphysema. Phlegm is a type of mucus that you usually cough up from your lower respiratory tract.. Lungs Filled With Sputum.
From askthenurseexpert.com
Understanding Bronchiectasis Causes, Symptoms, And Treatments Ask Lungs Filled With Sputum Pneumonia is an infection that. Another name for phlegm is. Phlegm is a type of mucus that you usually cough up from your lower respiratory tract. Phlegm is a specific type of mucus that originates in your lungs and throat. It’s slightly thicker than the mucus that’s produced in your nose and sinuses. Mucus in the airways, known as phlegm. Lungs Filled With Sputum.
From www.reddit.com
sputum from lungs. what does it signify? ashtma or COPD or bronchitis Lungs Filled With Sputum It’s slightly thicker than the mucus that’s produced in your nose and sinuses. These tubes carry air to and from your lungs. Phlegm is a specific type of mucus that originates in your lungs and throat. Chronic obstructive pulmonary disease (copd) includes several lung diseases that can make it harder to breathe, like chronic bronchitis and emphysema. Phlegm is a. Lungs Filled With Sputum.
From www.alamy.com
Illustration of the bronchial tubes of the lungs, comparing the Stock Lungs Filled With Sputum Phlegm is a specific type of mucus that originates in your lungs and throat. Pneumonia is an infection that. Sometimes, problems arise that can change the thickness, amount, or color of. It’s typically thicker than normal mucus because. Chronic obstructive pulmonary disease (copd) includes several lung diseases that can make it harder to breathe, like chronic bronchitis and emphysema. Another. Lungs Filled With Sputum.
From simp-link.com
Mucus filling up lungs Lungs Filled With Sputum Pneumonia is an infection that. It’s slightly thicker than the mucus that’s produced in your nose and sinuses. Chronic obstructive pulmonary disease (copd) includes several lung diseases that can make it harder to breathe, like chronic bronchitis and emphysema. Bronchitis is an inflammation of the lining of your bronchial tubes. Sometimes, problems arise that can change the thickness, amount, or. Lungs Filled With Sputum.
From www.dreamstime.com
3D Illustration of Trachea and Air Sacs in Human Lungs Highlighting Lungs Filled With Sputum Phlegm is a specific type of mucus that originates in your lungs and throat. Phlegm is a type of mucus that you usually cough up from your lower respiratory tract. These tubes carry air to and from your lungs. Mucus in the airways, known as phlegm or sputum, helps remove dust and debris and keep the lungs clear. Sometimes, problems. Lungs Filled With Sputum.
From stock.adobe.com
Grafika wektorowa Stock Pneumonia in lung of human. Inflammation lung Lungs Filled With Sputum Pneumonia is an infection that. Bronchitis is an inflammation of the lining of your bronchial tubes. Another name for phlegm is. Phlegm is a type of mucus that you usually cough up from your lower respiratory tract. Chronic obstructive pulmonary disease (copd) includes several lung diseases that can make it harder to breathe, like chronic bronchitis and emphysema. Phlegm is. Lungs Filled With Sputum.
From www.animalia-life.club
Mucus In Lungs X Ray Lungs Filled With Sputum Sometimes, problems arise that can change the thickness, amount, or color of. Phlegm is a type of mucus that you usually cough up from your lower respiratory tract. It’s slightly thicker than the mucus that’s produced in your nose and sinuses. Mucus in the airways, known as phlegm or sputum, helps remove dust and debris and keep the lungs clear.. Lungs Filled With Sputum.
From www.armstrongmedical.net
Fluid Filled Lungs; Causes And Treatment Inspire Blog Lungs Filled With Sputum Pneumonia is an infection that. It’s typically thicker than normal mucus because. It’s slightly thicker than the mucus that’s produced in your nose and sinuses. Sometimes, problems arise that can change the thickness, amount, or color of. Phlegm is a specific type of mucus that originates in your lungs and throat. These tubes carry air to and from your lungs.. Lungs Filled With Sputum.
From www.pinterest.com
WANT TO CLEAR MUCUS FROM YOUR LUNGS AND GIVE AN INSTANT BOOST TO YOUR Lungs Filled With Sputum These tubes carry air to and from your lungs. Chronic obstructive pulmonary disease (copd) includes several lung diseases that can make it harder to breathe, like chronic bronchitis and emphysema. Bronchitis is an inflammation of the lining of your bronchial tubes. Phlegm is a specific type of mucus that originates in your lungs and throat. It’s typically thicker than normal. Lungs Filled With Sputum.
From simp-link.com
Mucus filling up lungs Lungs Filled With Sputum Phlegm is a type of mucus that you usually cough up from your lower respiratory tract. Another name for phlegm is. It’s typically thicker than normal mucus because. Bronchitis is an inflammation of the lining of your bronchial tubes. Mucus in the airways, known as phlegm or sputum, helps remove dust and debris and keep the lungs clear. These tubes. Lungs Filled With Sputum.
From simp-link.com
Mucus filling up lungs Lungs Filled With Sputum It’s slightly thicker than the mucus that’s produced in your nose and sinuses. Chronic obstructive pulmonary disease (copd) includes several lung diseases that can make it harder to breathe, like chronic bronchitis and emphysema. Pneumonia is an infection that. Sometimes, problems arise that can change the thickness, amount, or color of. Another name for phlegm is. Mucus in the airways,. Lungs Filled With Sputum.
From www.alamy.com
Coloured chest Xray (front view) showing mucus in the lungs in a 28 Lungs Filled With Sputum It’s typically thicker than normal mucus because. It’s slightly thicker than the mucus that’s produced in your nose and sinuses. Another name for phlegm is. Phlegm is a type of mucus that you usually cough up from your lower respiratory tract. Sometimes, problems arise that can change the thickness, amount, or color of. Phlegm is a specific type of mucus. Lungs Filled With Sputum.
From www.youtube.com
8 Foods That Flush Mucus From Your Body How To Get Rid Of Mucus In Lungs Filled With Sputum Another name for phlegm is. Phlegm is a type of mucus that you usually cough up from your lower respiratory tract. Chronic obstructive pulmonary disease (copd) includes several lung diseases that can make it harder to breathe, like chronic bronchitis and emphysema. Mucus in the airways, known as phlegm or sputum, helps remove dust and debris and keep the lungs. Lungs Filled With Sputum.
From blogs.bcm.edu
Understanding pneumonia Interview with Dr. Daniel M. Musher Lungs Filled With Sputum These tubes carry air to and from your lungs. Pneumonia is an infection that. It’s slightly thicker than the mucus that’s produced in your nose and sinuses. Phlegm is a specific type of mucus that originates in your lungs and throat. Bronchitis is an inflammation of the lining of your bronchial tubes. Sometimes, problems arise that can change the thickness,. Lungs Filled With Sputum.
From specialty.mims.com
Tezepelumab reduces mucus plugging in patients with asthma Latest Lungs Filled With Sputum Sometimes, problems arise that can change the thickness, amount, or color of. Mucus in the airways, known as phlegm or sputum, helps remove dust and debris and keep the lungs clear. Another name for phlegm is. Phlegm is a type of mucus that you usually cough up from your lower respiratory tract. Bronchitis is an inflammation of the lining of. Lungs Filled With Sputum.
From ic.steadyhealth.com
Mucus in lungs General center Lungs Filled With Sputum Sometimes, problems arise that can change the thickness, amount, or color of. It’s slightly thicker than the mucus that’s produced in your nose and sinuses. It’s typically thicker than normal mucus because. These tubes carry air to and from your lungs. Another name for phlegm is. Pneumonia is an infection that. Bronchitis is an inflammation of the lining of your. Lungs Filled With Sputum.
From simp-link.com
Mucus filling up lungs Lungs Filled With Sputum Phlegm is a specific type of mucus that originates in your lungs and throat. Bronchitis is an inflammation of the lining of your bronchial tubes. Mucus in the airways, known as phlegm or sputum, helps remove dust and debris and keep the lungs clear. Another name for phlegm is. These tubes carry air to and from your lungs. It’s slightly. Lungs Filled With Sputum.
From simp-link.com
Mucus filling up lungs Lungs Filled With Sputum It’s typically thicker than normal mucus because. Phlegm is a specific type of mucus that originates in your lungs and throat. These tubes carry air to and from your lungs. Bronchitis is an inflammation of the lining of your bronchial tubes. Sometimes, problems arise that can change the thickness, amount, or color of. Pneumonia is an infection that. Chronic obstructive. Lungs Filled With Sputum.
From www.vecteezy.com
Phlegm buildup in lungs RGB color icon. Chronic bronchitis symptom Lungs Filled With Sputum Pneumonia is an infection that. It’s slightly thicker than the mucus that’s produced in your nose and sinuses. These tubes carry air to and from your lungs. Phlegm is a type of mucus that you usually cough up from your lower respiratory tract. Mucus in the airways, known as phlegm or sputum, helps remove dust and debris and keep the. Lungs Filled With Sputum.
From simp-link.com
Mucus filling up lungs Lungs Filled With Sputum Sometimes, problems arise that can change the thickness, amount, or color of. These tubes carry air to and from your lungs. Mucus in the airways, known as phlegm or sputum, helps remove dust and debris and keep the lungs clear. Phlegm is a type of mucus that you usually cough up from your lower respiratory tract. It’s slightly thicker than. Lungs Filled With Sputum.
From copd.about.com
How to Clear Mucus From Your Lungs if You Have COPD Lungs Filled With Sputum Pneumonia is an infection that. Bronchitis is an inflammation of the lining of your bronchial tubes. These tubes carry air to and from your lungs. Mucus in the airways, known as phlegm or sputum, helps remove dust and debris and keep the lungs clear. Phlegm is a type of mucus that you usually cough up from your lower respiratory tract.. Lungs Filled With Sputum.
From www.cureus.com
Cureus Chest Physiotherapy in Acute Mucoobstructive Lung Disease Lungs Filled With Sputum It’s slightly thicker than the mucus that’s produced in your nose and sinuses. These tubes carry air to and from your lungs. Another name for phlegm is. Bronchitis is an inflammation of the lining of your bronchial tubes. Phlegm is a type of mucus that you usually cough up from your lower respiratory tract. Sometimes, problems arise that can change. Lungs Filled With Sputum.
From health-fts.blogspot.com
HEALTH FROM TRUSTED SOURCES Bronchiectasis Lungs Filled With Sputum Bronchitis is an inflammation of the lining of your bronchial tubes. Pneumonia is an infection that. It’s slightly thicker than the mucus that’s produced in your nose and sinuses. These tubes carry air to and from your lungs. Chronic obstructive pulmonary disease (copd) includes several lung diseases that can make it harder to breathe, like chronic bronchitis and emphysema. It’s. Lungs Filled With Sputum.
From simp-link.com
Mucus filling up lungs Lungs Filled With Sputum Mucus in the airways, known as phlegm or sputum, helps remove dust and debris and keep the lungs clear. Pneumonia is an infection that. Phlegm is a specific type of mucus that originates in your lungs and throat. Sometimes, problems arise that can change the thickness, amount, or color of. These tubes carry air to and from your lungs. It’s. Lungs Filled With Sputum.