Congenital Hepatic Fibrosis Case Report And Review Of Literature . Congenital hepatic fibrosis (chf) is a fibrocystic disease affecting mainly the kidneys and liver. It is characterized by fusiform dilatations of the. Congenital hepatic fibrosis is a hereditary fibropolycystic disease caused by ductal plate malformation. Congenital hepatic fibrosis is a hereditary fibropolycystic disease caused by. Chf results from ductal plate. Congenital hepatic fibrosis (chf) is a rare, autosomal recessive disorder, clinically characterized by hepatic fibrosis and portal hypertension. Congenital hepatic fibrosis (chf) is a rare autosomal recessive disease derived from biliary dysgenesis secondary to ductal plate.
from www.researchgate.net
Congenital hepatic fibrosis (chf) is a rare autosomal recessive disease derived from biliary dysgenesis secondary to ductal plate. It is characterized by fusiform dilatations of the. Congenital hepatic fibrosis (chf) is a fibrocystic disease affecting mainly the kidneys and liver. Congenital hepatic fibrosis is a hereditary fibropolycystic disease caused by. Congenital hepatic fibrosis is a hereditary fibropolycystic disease caused by ductal plate malformation. Chf results from ductal plate. Congenital hepatic fibrosis (chf) is a rare, autosomal recessive disorder, clinically characterized by hepatic fibrosis and portal hypertension.
(PDF) Congenital hepatic fibrosis in a young boy with congenital
Congenital Hepatic Fibrosis Case Report And Review Of Literature Congenital hepatic fibrosis (chf) is a fibrocystic disease affecting mainly the kidneys and liver. It is characterized by fusiform dilatations of the. Congenital hepatic fibrosis (chf) is a fibrocystic disease affecting mainly the kidneys and liver. Chf results from ductal plate. Congenital hepatic fibrosis is a hereditary fibropolycystic disease caused by ductal plate malformation. Congenital hepatic fibrosis is a hereditary fibropolycystic disease caused by. Congenital hepatic fibrosis (chf) is a rare autosomal recessive disease derived from biliary dysgenesis secondary to ductal plate. Congenital hepatic fibrosis (chf) is a rare, autosomal recessive disorder, clinically characterized by hepatic fibrosis and portal hypertension.
From www.semanticscholar.org
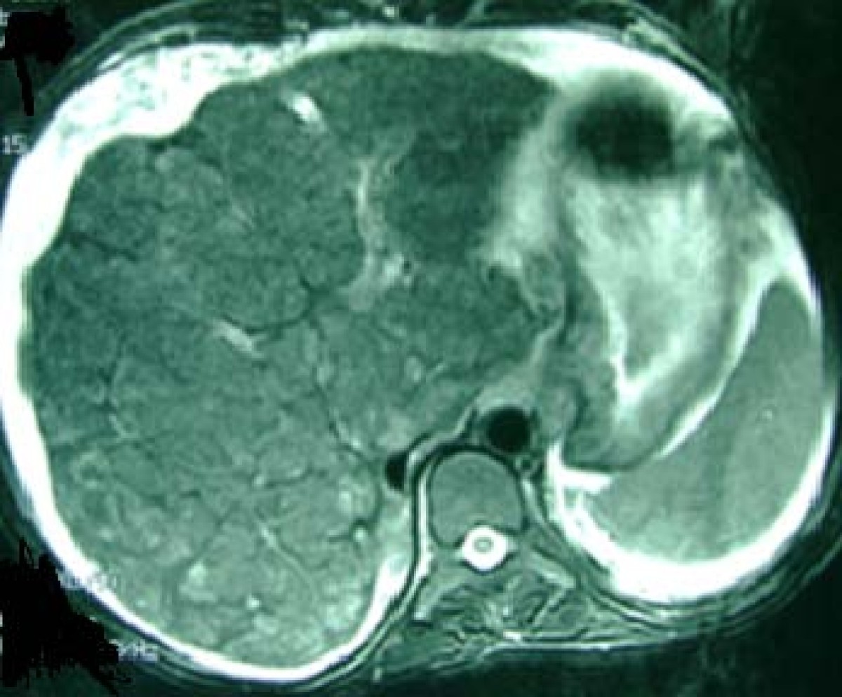
Figure 1 from Congenital hepatic fibrosis case report and review of Congenital Hepatic Fibrosis Case Report And Review Of Literature Congenital hepatic fibrosis (chf) is a rare, autosomal recessive disorder, clinically characterized by hepatic fibrosis and portal hypertension. Chf results from ductal plate. Congenital hepatic fibrosis (chf) is a rare autosomal recessive disease derived from biliary dysgenesis secondary to ductal plate. Congenital hepatic fibrosis is a hereditary fibropolycystic disease caused by ductal plate malformation. Congenital hepatic fibrosis is a hereditary. Congenital Hepatic Fibrosis Case Report And Review Of Literature.
From www.researchgate.net
(PDF) Congenital hepatic fibrosis in a young boy with congenital Congenital Hepatic Fibrosis Case Report And Review Of Literature Congenital hepatic fibrosis (chf) is a fibrocystic disease affecting mainly the kidneys and liver. Congenital hepatic fibrosis is a hereditary fibropolycystic disease caused by. Congenital hepatic fibrosis is a hereditary fibropolycystic disease caused by ductal plate malformation. Chf results from ductal plate. Congenital hepatic fibrosis (chf) is a rare, autosomal recessive disorder, clinically characterized by hepatic fibrosis and portal hypertension.. Congenital Hepatic Fibrosis Case Report And Review Of Literature.
From www.researchgate.net
(PDF) Familial congenital hepatic fibrosis Report of a family with Congenital Hepatic Fibrosis Case Report And Review Of Literature Congenital hepatic fibrosis (chf) is a rare autosomal recessive disease derived from biliary dysgenesis secondary to ductal plate. Congenital hepatic fibrosis is a hereditary fibropolycystic disease caused by ductal plate malformation. Congenital hepatic fibrosis (chf) is a rare, autosomal recessive disorder, clinically characterized by hepatic fibrosis and portal hypertension. Congenital hepatic fibrosis (chf) is a fibrocystic disease affecting mainly the. Congenital Hepatic Fibrosis Case Report And Review Of Literature.
From www.researchgate.net
(PDF) Congenital Hepatic Fibrosis in a 2YearOld Child Presenting with Congenital Hepatic Fibrosis Case Report And Review Of Literature Congenital hepatic fibrosis is a hereditary fibropolycystic disease caused by. Congenital hepatic fibrosis (chf) is a rare autosomal recessive disease derived from biliary dysgenesis secondary to ductal plate. Congenital hepatic fibrosis is a hereditary fibropolycystic disease caused by ductal plate malformation. Chf results from ductal plate. Congenital hepatic fibrosis (chf) is a fibrocystic disease affecting mainly the kidneys and liver.. Congenital Hepatic Fibrosis Case Report And Review Of Literature.
From jmedicalcasereports.biomedcentral.com
Congenital hepatic fibrosis leading to cirrhosis and hepatocellular Congenital Hepatic Fibrosis Case Report And Review Of Literature It is characterized by fusiform dilatations of the. Congenital hepatic fibrosis is a hereditary fibropolycystic disease caused by. Chf results from ductal plate. Congenital hepatic fibrosis (chf) is a fibrocystic disease affecting mainly the kidneys and liver. Congenital hepatic fibrosis is a hereditary fibropolycystic disease caused by ductal plate malformation. Congenital hepatic fibrosis (chf) is a rare, autosomal recessive disorder,. Congenital Hepatic Fibrosis Case Report And Review Of Literature.
From dokumen.tips
(PDF) Laparoscopic findings of congenital hepatic fibrosis A case Congenital Hepatic Fibrosis Case Report And Review Of Literature Congenital hepatic fibrosis (chf) is a fibrocystic disease affecting mainly the kidneys and liver. Congenital hepatic fibrosis is a hereditary fibropolycystic disease caused by ductal plate malformation. Congenital hepatic fibrosis (chf) is a rare autosomal recessive disease derived from biliary dysgenesis secondary to ductal plate. It is characterized by fusiform dilatations of the. Chf results from ductal plate. Congenital hepatic. Congenital Hepatic Fibrosis Case Report And Review Of Literature.
From www.researchgate.net
(PDF) CONGENITAL HEPATIC FIBROSIS IN A FOUR MONTH CHILD CASE REPORT Congenital Hepatic Fibrosis Case Report And Review Of Literature It is characterized by fusiform dilatations of the. Congenital hepatic fibrosis (chf) is a rare autosomal recessive disease derived from biliary dysgenesis secondary to ductal plate. Congenital hepatic fibrosis (chf) is a rare, autosomal recessive disorder, clinically characterized by hepatic fibrosis and portal hypertension. Congenital hepatic fibrosis (chf) is a fibrocystic disease affecting mainly the kidneys and liver. Congenital hepatic. Congenital Hepatic Fibrosis Case Report And Review Of Literature.
From www.researchgate.net
(PDF) Congenital hepatic fibrosis with novel mutations in PKD1 gene Congenital Hepatic Fibrosis Case Report And Review Of Literature Congenital hepatic fibrosis is a hereditary fibropolycystic disease caused by ductal plate malformation. Chf results from ductal plate. Congenital hepatic fibrosis (chf) is a rare autosomal recessive disease derived from biliary dysgenesis secondary to ductal plate. Congenital hepatic fibrosis (chf) is a rare, autosomal recessive disorder, clinically characterized by hepatic fibrosis and portal hypertension. Congenital hepatic fibrosis (chf) is a. Congenital Hepatic Fibrosis Case Report And Review Of Literature.
From www.researchgate.net
(PDF) Congenital hepatic fibrosis with polycystic kidney disease Two Congenital Hepatic Fibrosis Case Report And Review Of Literature It is characterized by fusiform dilatations of the. Congenital hepatic fibrosis is a hereditary fibropolycystic disease caused by ductal plate malformation. Congenital hepatic fibrosis (chf) is a fibrocystic disease affecting mainly the kidneys and liver. Chf results from ductal plate. Congenital hepatic fibrosis (chf) is a rare, autosomal recessive disorder, clinically characterized by hepatic fibrosis and portal hypertension. Congenital hepatic. Congenital Hepatic Fibrosis Case Report And Review Of Literature.
From www.researchgate.net
(PDF) Congenital hepatic fibrosis (a case report) Congenital Hepatic Fibrosis Case Report And Review Of Literature Congenital hepatic fibrosis (chf) is a rare, autosomal recessive disorder, clinically characterized by hepatic fibrosis and portal hypertension. It is characterized by fusiform dilatations of the. Chf results from ductal plate. Congenital hepatic fibrosis (chf) is a rare autosomal recessive disease derived from biliary dysgenesis secondary to ductal plate. Congenital hepatic fibrosis is a hereditary fibropolycystic disease caused by ductal. Congenital Hepatic Fibrosis Case Report And Review Of Literature.
From www.researchgate.net
(PDF) Unexplained cyanosis revealing hepatopulmonary syndrome in a Congenital Hepatic Fibrosis Case Report And Review Of Literature Chf results from ductal plate. Congenital hepatic fibrosis (chf) is a fibrocystic disease affecting mainly the kidneys and liver. Congenital hepatic fibrosis is a hereditary fibropolycystic disease caused by. Congenital hepatic fibrosis is a hereditary fibropolycystic disease caused by ductal plate malformation. It is characterized by fusiform dilatations of the. Congenital hepatic fibrosis (chf) is a rare autosomal recessive disease. Congenital Hepatic Fibrosis Case Report And Review Of Literature.
From www.researchgate.net
(PDF) Congenital hepatic fibrosis and its mimics a clinicopathologic Congenital Hepatic Fibrosis Case Report And Review Of Literature Congenital hepatic fibrosis (chf) is a rare autosomal recessive disease derived from biliary dysgenesis secondary to ductal plate. Congenital hepatic fibrosis is a hereditary fibropolycystic disease caused by. Chf results from ductal plate. Congenital hepatic fibrosis is a hereditary fibropolycystic disease caused by ductal plate malformation. Congenital hepatic fibrosis (chf) is a rare, autosomal recessive disorder, clinically characterized by hepatic. Congenital Hepatic Fibrosis Case Report And Review Of Literature.
From www.researchgate.net
(PDF) Congenital hepatic fibrosis Case report and review of literature Congenital Hepatic Fibrosis Case Report And Review Of Literature Congenital hepatic fibrosis (chf) is a fibrocystic disease affecting mainly the kidneys and liver. Congenital hepatic fibrosis is a hereditary fibropolycystic disease caused by. It is characterized by fusiform dilatations of the. Congenital hepatic fibrosis (chf) is a rare autosomal recessive disease derived from biliary dysgenesis secondary to ductal plate. Congenital hepatic fibrosis (chf) is a rare, autosomal recessive disorder,. Congenital Hepatic Fibrosis Case Report And Review Of Literature.
From www.wjgnet.com
Experience of a single center with congenital hepatic fibrosis A Congenital Hepatic Fibrosis Case Report And Review Of Literature Congenital hepatic fibrosis (chf) is a rare autosomal recessive disease derived from biliary dysgenesis secondary to ductal plate. Congenital hepatic fibrosis (chf) is a fibrocystic disease affecting mainly the kidneys and liver. Congenital hepatic fibrosis is a hereditary fibropolycystic disease caused by ductal plate malformation. Congenital hepatic fibrosis is a hereditary fibropolycystic disease caused by. It is characterized by fusiform. Congenital Hepatic Fibrosis Case Report And Review Of Literature.
From www.researchgate.net
(PDF) Congenital hepatic fibrosis and obliterative portal venopathy Congenital Hepatic Fibrosis Case Report And Review Of Literature Congenital hepatic fibrosis (chf) is a rare, autosomal recessive disorder, clinically characterized by hepatic fibrosis and portal hypertension. Congenital hepatic fibrosis (chf) is a rare autosomal recessive disease derived from biliary dysgenesis secondary to ductal plate. It is characterized by fusiform dilatations of the. Chf results from ductal plate. Congenital hepatic fibrosis is a hereditary fibropolycystic disease caused by ductal. Congenital Hepatic Fibrosis Case Report And Review Of Literature.
From www.researchgate.net
(PDF) Congenital Hepatic Fibrosis as a Cause of Recurrent Cholangitis Congenital Hepatic Fibrosis Case Report And Review Of Literature Congenital hepatic fibrosis (chf) is a fibrocystic disease affecting mainly the kidneys and liver. Congenital hepatic fibrosis (chf) is a rare, autosomal recessive disorder, clinically characterized by hepatic fibrosis and portal hypertension. It is characterized by fusiform dilatations of the. Congenital hepatic fibrosis (chf) is a rare autosomal recessive disease derived from biliary dysgenesis secondary to ductal plate. Congenital hepatic. Congenital Hepatic Fibrosis Case Report And Review Of Literature.
From www.researchgate.net
(PDF) Pediatric living donor liver transplantation for congenital Congenital Hepatic Fibrosis Case Report And Review Of Literature Congenital hepatic fibrosis (chf) is a rare, autosomal recessive disorder, clinically characterized by hepatic fibrosis and portal hypertension. Congenital hepatic fibrosis (chf) is a fibrocystic disease affecting mainly the kidneys and liver. Congenital hepatic fibrosis (chf) is a rare autosomal recessive disease derived from biliary dysgenesis secondary to ductal plate. It is characterized by fusiform dilatations of the. Congenital hepatic. Congenital Hepatic Fibrosis Case Report And Review Of Literature.
From www.researchgate.net
(PDF) Congenital hepatic fibrosis in a child with autosomal dominant Congenital Hepatic Fibrosis Case Report And Review Of Literature Congenital hepatic fibrosis (chf) is a rare autosomal recessive disease derived from biliary dysgenesis secondary to ductal plate. Congenital hepatic fibrosis (chf) is a fibrocystic disease affecting mainly the kidneys and liver. It is characterized by fusiform dilatations of the. Congenital hepatic fibrosis (chf) is a rare, autosomal recessive disorder, clinically characterized by hepatic fibrosis and portal hypertension. Congenital hepatic. Congenital Hepatic Fibrosis Case Report And Review Of Literature.
From www.semanticscholar.org
Figure 1 from Congenital Hepatic Fibrosis Report on Two Cases And its Congenital Hepatic Fibrosis Case Report And Review Of Literature It is characterized by fusiform dilatations of the. Congenital hepatic fibrosis (chf) is a fibrocystic disease affecting mainly the kidneys and liver. Congenital hepatic fibrosis is a hereditary fibropolycystic disease caused by. Chf results from ductal plate. Congenital hepatic fibrosis (chf) is a rare, autosomal recessive disorder, clinically characterized by hepatic fibrosis and portal hypertension. Congenital hepatic fibrosis is a. Congenital Hepatic Fibrosis Case Report And Review Of Literature.
From onlinelibrary.wiley.com
Isolated congenital hepatic fibrosis associated with TMEM67 mutations Congenital Hepatic Fibrosis Case Report And Review Of Literature Congenital hepatic fibrosis (chf) is a fibrocystic disease affecting mainly the kidneys and liver. Chf results from ductal plate. Congenital hepatic fibrosis (chf) is a rare autosomal recessive disease derived from biliary dysgenesis secondary to ductal plate. Congenital hepatic fibrosis (chf) is a rare, autosomal recessive disorder, clinically characterized by hepatic fibrosis and portal hypertension. Congenital hepatic fibrosis is a. Congenital Hepatic Fibrosis Case Report And Review Of Literature.
From www.researchgate.net
(PDF) Congenital Hepatic Fibrosis as an Early Sign of Presentation of ADPKD Congenital Hepatic Fibrosis Case Report And Review Of Literature Congenital hepatic fibrosis (chf) is a rare autosomal recessive disease derived from biliary dysgenesis secondary to ductal plate. Congenital hepatic fibrosis (chf) is a fibrocystic disease affecting mainly the kidneys and liver. It is characterized by fusiform dilatations of the. Congenital hepatic fibrosis is a hereditary fibropolycystic disease caused by. Congenital hepatic fibrosis is a hereditary fibropolycystic disease caused by. Congenital Hepatic Fibrosis Case Report And Review Of Literature.
From www.researchgate.net
(PDF) Severe hepatic fibrosis induced by chronic cholestasis of Congenital Hepatic Fibrosis Case Report And Review Of Literature Congenital hepatic fibrosis (chf) is a rare, autosomal recessive disorder, clinically characterized by hepatic fibrosis and portal hypertension. Chf results from ductal plate. Congenital hepatic fibrosis is a hereditary fibropolycystic disease caused by. Congenital hepatic fibrosis (chf) is a fibrocystic disease affecting mainly the kidneys and liver. Congenital hepatic fibrosis (chf) is a rare autosomal recessive disease derived from biliary. Congenital Hepatic Fibrosis Case Report And Review Of Literature.
From www.academia.edu
(PDF) Congenital Hepatic Fibrosis (CHF) A Report of Two Cases and an Congenital Hepatic Fibrosis Case Report And Review Of Literature Congenital hepatic fibrosis (chf) is a rare, autosomal recessive disorder, clinically characterized by hepatic fibrosis and portal hypertension. Congenital hepatic fibrosis is a hereditary fibropolycystic disease caused by. Congenital hepatic fibrosis (chf) is a rare autosomal recessive disease derived from biliary dysgenesis secondary to ductal plate. Chf results from ductal plate. Congenital hepatic fibrosis is a hereditary fibropolycystic disease caused. Congenital Hepatic Fibrosis Case Report And Review Of Literature.
From www.researchgate.net
(PDF) Isolated congenital hepatic fibrosis associated with TMEM67 Congenital Hepatic Fibrosis Case Report And Review Of Literature Congenital hepatic fibrosis is a hereditary fibropolycystic disease caused by. Congenital hepatic fibrosis (chf) is a rare autosomal recessive disease derived from biliary dysgenesis secondary to ductal plate. Congenital hepatic fibrosis is a hereditary fibropolycystic disease caused by ductal plate malformation. Congenital hepatic fibrosis (chf) is a fibrocystic disease affecting mainly the kidneys and liver. It is characterized by fusiform. Congenital Hepatic Fibrosis Case Report And Review Of Literature.
From www.researchgate.net
(PDF) A Case of Congenital Hepatic Fibrosis Presented with Recurrent Congenital Hepatic Fibrosis Case Report And Review Of Literature Congenital hepatic fibrosis (chf) is a rare, autosomal recessive disorder, clinically characterized by hepatic fibrosis and portal hypertension. Chf results from ductal plate. Congenital hepatic fibrosis (chf) is a rare autosomal recessive disease derived from biliary dysgenesis secondary to ductal plate. Congenital hepatic fibrosis is a hereditary fibropolycystic disease caused by. Congenital hepatic fibrosis is a hereditary fibropolycystic disease caused. Congenital Hepatic Fibrosis Case Report And Review Of Literature.
From www.researchgate.net
(PDF) Congenital Hepatic Fibrosis and Need for Liver Transplantation Congenital Hepatic Fibrosis Case Report And Review Of Literature Chf results from ductal plate. Congenital hepatic fibrosis (chf) is a fibrocystic disease affecting mainly the kidneys and liver. Congenital hepatic fibrosis (chf) is a rare autosomal recessive disease derived from biliary dysgenesis secondary to ductal plate. Congenital hepatic fibrosis is a hereditary fibropolycystic disease caused by. Congenital hepatic fibrosis is a hereditary fibropolycystic disease caused by ductal plate malformation.. Congenital Hepatic Fibrosis Case Report And Review Of Literature.
From www.wjgnet.com
Experience of a single center with congenital hepatic fibrosis A Congenital Hepatic Fibrosis Case Report And Review Of Literature It is characterized by fusiform dilatations of the. Congenital hepatic fibrosis is a hereditary fibropolycystic disease caused by ductal plate malformation. Chf results from ductal plate. Congenital hepatic fibrosis (chf) is a fibrocystic disease affecting mainly the kidneys and liver. Congenital hepatic fibrosis (chf) is a rare autosomal recessive disease derived from biliary dysgenesis secondary to ductal plate. Congenital hepatic. Congenital Hepatic Fibrosis Case Report And Review Of Literature.
From www.researchgate.net
Carcinomas associated with congenital hepatic fibrosis. Case 11 (ab Congenital Hepatic Fibrosis Case Report And Review Of Literature Congenital hepatic fibrosis (chf) is a rare autosomal recessive disease derived from biliary dysgenesis secondary to ductal plate. Chf results from ductal plate. Congenital hepatic fibrosis (chf) is a rare, autosomal recessive disorder, clinically characterized by hepatic fibrosis and portal hypertension. Congenital hepatic fibrosis (chf) is a fibrocystic disease affecting mainly the kidneys and liver. It is characterized by fusiform. Congenital Hepatic Fibrosis Case Report And Review Of Literature.
From www.semanticscholar.org
Figure 2 from Congenital Hepatic Fibrosis Report on Two Cases And its Congenital Hepatic Fibrosis Case Report And Review Of Literature Congenital hepatic fibrosis (chf) is a rare autosomal recessive disease derived from biliary dysgenesis secondary to ductal plate. Congenital hepatic fibrosis is a hereditary fibropolycystic disease caused by. Congenital hepatic fibrosis (chf) is a rare, autosomal recessive disorder, clinically characterized by hepatic fibrosis and portal hypertension. Chf results from ductal plate. It is characterized by fusiform dilatations of the. Congenital. Congenital Hepatic Fibrosis Case Report And Review Of Literature.
From www.researchgate.net
(PDF) Congenital hepatic fibrosis leading to cirrhosis and Congenital Hepatic Fibrosis Case Report And Review Of Literature Chf results from ductal plate. It is characterized by fusiform dilatations of the. Congenital hepatic fibrosis (chf) is a rare autosomal recessive disease derived from biliary dysgenesis secondary to ductal plate. Congenital hepatic fibrosis (chf) is a rare, autosomal recessive disorder, clinically characterized by hepatic fibrosis and portal hypertension. Congenital hepatic fibrosis is a hereditary fibropolycystic disease caused by. Congenital. Congenital Hepatic Fibrosis Case Report And Review Of Literature.
From www.researchgate.net
(PDF) 227 Congenital Hepatic Fibrosis in Adulthood Clinicopathologic Congenital Hepatic Fibrosis Case Report And Review Of Literature Congenital hepatic fibrosis (chf) is a rare autosomal recessive disease derived from biliary dysgenesis secondary to ductal plate. Congenital hepatic fibrosis is a hereditary fibropolycystic disease caused by. Congenital hepatic fibrosis (chf) is a fibrocystic disease affecting mainly the kidneys and liver. Congenital hepatic fibrosis is a hereditary fibropolycystic disease caused by ductal plate malformation. It is characterized by fusiform. Congenital Hepatic Fibrosis Case Report And Review Of Literature.
From www.researchgate.net
(PDF) Congenital Hepatic Fibrosis in Children and Adults Clinical Congenital Hepatic Fibrosis Case Report And Review Of Literature Congenital hepatic fibrosis (chf) is a rare, autosomal recessive disorder, clinically characterized by hepatic fibrosis and portal hypertension. Congenital hepatic fibrosis is a hereditary fibropolycystic disease caused by ductal plate malformation. It is characterized by fusiform dilatations of the. Chf results from ductal plate. Congenital hepatic fibrosis (chf) is a rare autosomal recessive disease derived from biliary dysgenesis secondary to. Congenital Hepatic Fibrosis Case Report And Review Of Literature.
From www.researchgate.net
(PDF) Congenital hepatic fibrosis and coexistent retinal macular Congenital Hepatic Fibrosis Case Report And Review Of Literature Chf results from ductal plate. Congenital hepatic fibrosis is a hereditary fibropolycystic disease caused by ductal plate malformation. Congenital hepatic fibrosis (chf) is a fibrocystic disease affecting mainly the kidneys and liver. It is characterized by fusiform dilatations of the. Congenital hepatic fibrosis (chf) is a rare autosomal recessive disease derived from biliary dysgenesis secondary to ductal plate. Congenital hepatic. Congenital Hepatic Fibrosis Case Report And Review Of Literature.
From www.researchgate.net
(PDF) Biliary sepsis complication with congenital hepatic fibrosis an Congenital Hepatic Fibrosis Case Report And Review Of Literature Chf results from ductal plate. It is characterized by fusiform dilatations of the. Congenital hepatic fibrosis (chf) is a fibrocystic disease affecting mainly the kidneys and liver. Congenital hepatic fibrosis (chf) is a rare autosomal recessive disease derived from biliary dysgenesis secondary to ductal plate. Congenital hepatic fibrosis is a hereditary fibropolycystic disease caused by. Congenital hepatic fibrosis (chf) is. Congenital Hepatic Fibrosis Case Report And Review Of Literature.
From www.researchgate.net
Carcinomas associated with congenital hepatic fibrosis. Case 11 (ab Congenital Hepatic Fibrosis Case Report And Review Of Literature Congenital hepatic fibrosis is a hereditary fibropolycystic disease caused by ductal plate malformation. Congenital hepatic fibrosis (chf) is a rare, autosomal recessive disorder, clinically characterized by hepatic fibrosis and portal hypertension. Chf results from ductal plate. It is characterized by fusiform dilatations of the. Congenital hepatic fibrosis (chf) is a fibrocystic disease affecting mainly the kidneys and liver. Congenital hepatic. Congenital Hepatic Fibrosis Case Report And Review Of Literature.