Malignant Melanoma Pathogenesis . Although malignant melanoma is the third. Clinically, melanoma cases are stratified as the following major subtypes according to their histopathological. Malignant melanoma is an aggressive tumor of the skin with a poor prognosis for patients with advanced disease. Malignant melanoma is a neoplasm originating in the melanocytes in the skin. Malignant melanoma remains one of the fastest growing cancers worldwide. It is resistant to current. The main subtypes include superficial spreading melanoma, nodular melanoma, lentigo maligna melanoma, and acral lentiginous melanoma, each characterized by unique. Although the primary cutaneous melanoma can be managed by. In this chapter, we will discuss the key risk factors, germline and somatic mutations which underlie melanoma development,.
from www.researchgate.net
Although the primary cutaneous melanoma can be managed by. Although malignant melanoma is the third. Malignant melanoma is an aggressive tumor of the skin with a poor prognosis for patients with advanced disease. Clinically, melanoma cases are stratified as the following major subtypes according to their histopathological. The main subtypes include superficial spreading melanoma, nodular melanoma, lentigo maligna melanoma, and acral lentiginous melanoma, each characterized by unique. Malignant melanoma remains one of the fastest growing cancers worldwide. Malignant melanoma is a neoplasm originating in the melanocytes in the skin. It is resistant to current. In this chapter, we will discuss the key risk factors, germline and somatic mutations which underlie melanoma development,.
(PDF) Challenge and promise The role of miRNA for pathogenesis and
Malignant Melanoma Pathogenesis Clinically, melanoma cases are stratified as the following major subtypes according to their histopathological. Although malignant melanoma is the third. Although the primary cutaneous melanoma can be managed by. Malignant melanoma is a neoplasm originating in the melanocytes in the skin. It is resistant to current. Clinically, melanoma cases are stratified as the following major subtypes according to their histopathological. The main subtypes include superficial spreading melanoma, nodular melanoma, lentigo maligna melanoma, and acral lentiginous melanoma, each characterized by unique. In this chapter, we will discuss the key risk factors, germline and somatic mutations which underlie melanoma development,. Malignant melanoma remains one of the fastest growing cancers worldwide. Malignant melanoma is an aggressive tumor of the skin with a poor prognosis for patients with advanced disease.
From doctorlib.info
Skin cancers Atlas of pathophysiology, 2 Edition Malignant Melanoma Pathogenesis Clinically, melanoma cases are stratified as the following major subtypes according to their histopathological. The main subtypes include superficial spreading melanoma, nodular melanoma, lentigo maligna melanoma, and acral lentiginous melanoma, each characterized by unique. Although the primary cutaneous melanoma can be managed by. Malignant melanoma remains one of the fastest growing cancers worldwide. Malignant melanoma is an aggressive tumor of. Malignant Melanoma Pathogenesis.
From medicaldiscover.com
Melanoma Overview (signs and symptoms, pathology, risk factors Malignant Melanoma Pathogenesis It is resistant to current. Malignant melanoma is an aggressive tumor of the skin with a poor prognosis for patients with advanced disease. Malignant melanoma remains one of the fastest growing cancers worldwide. Malignant melanoma is a neoplasm originating in the melanocytes in the skin. The main subtypes include superficial spreading melanoma, nodular melanoma, lentigo maligna melanoma, and acral lentiginous. Malignant Melanoma Pathogenesis.
From mavink.com
Pathophysiology Of Malignant Melanoma Malignant Melanoma Pathogenesis Clinically, melanoma cases are stratified as the following major subtypes according to their histopathological. Although malignant melanoma is the third. Malignant melanoma is an aggressive tumor of the skin with a poor prognosis for patients with advanced disease. In this chapter, we will discuss the key risk factors, germline and somatic mutations which underlie melanoma development,. Although the primary cutaneous. Malignant Melanoma Pathogenesis.
From www.sitcancer.org
Staging Melanoma SITC connectED Malignant Melanoma Pathogenesis Although the primary cutaneous melanoma can be managed by. Although malignant melanoma is the third. Clinically, melanoma cases are stratified as the following major subtypes according to their histopathological. The main subtypes include superficial spreading melanoma, nodular melanoma, lentigo maligna melanoma, and acral lentiginous melanoma, each characterized by unique. In this chapter, we will discuss the key risk factors, germline. Malignant Melanoma Pathogenesis.
From mavink.com
Pathophysiology Of Malignant Melanoma Malignant Melanoma Pathogenesis Malignant melanoma is a neoplasm originating in the melanocytes in the skin. Malignant melanoma is an aggressive tumor of the skin with a poor prognosis for patients with advanced disease. Clinically, melanoma cases are stratified as the following major subtypes according to their histopathological. Although malignant melanoma is the third. Malignant melanoma remains one of the fastest growing cancers worldwide.. Malignant Melanoma Pathogenesis.
From www.onlinebiologynotes.com
Cancer etiology, pathophysiology, types, diagnosis and treatment Malignant Melanoma Pathogenesis Malignant melanoma is a neoplasm originating in the melanocytes in the skin. Malignant melanoma remains one of the fastest growing cancers worldwide. Although malignant melanoma is the third. Malignant melanoma is an aggressive tumor of the skin with a poor prognosis for patients with advanced disease. Clinically, melanoma cases are stratified as the following major subtypes according to their histopathological.. Malignant Melanoma Pathogenesis.
From www.researchgate.net
Melanoma and related genes. Melanoma tumor progression is Malignant Melanoma Pathogenesis Malignant melanoma is an aggressive tumor of the skin with a poor prognosis for patients with advanced disease. In this chapter, we will discuss the key risk factors, germline and somatic mutations which underlie melanoma development,. Clinically, melanoma cases are stratified as the following major subtypes according to their histopathological. Although malignant melanoma is the third. Malignant melanoma is a. Malignant Melanoma Pathogenesis.
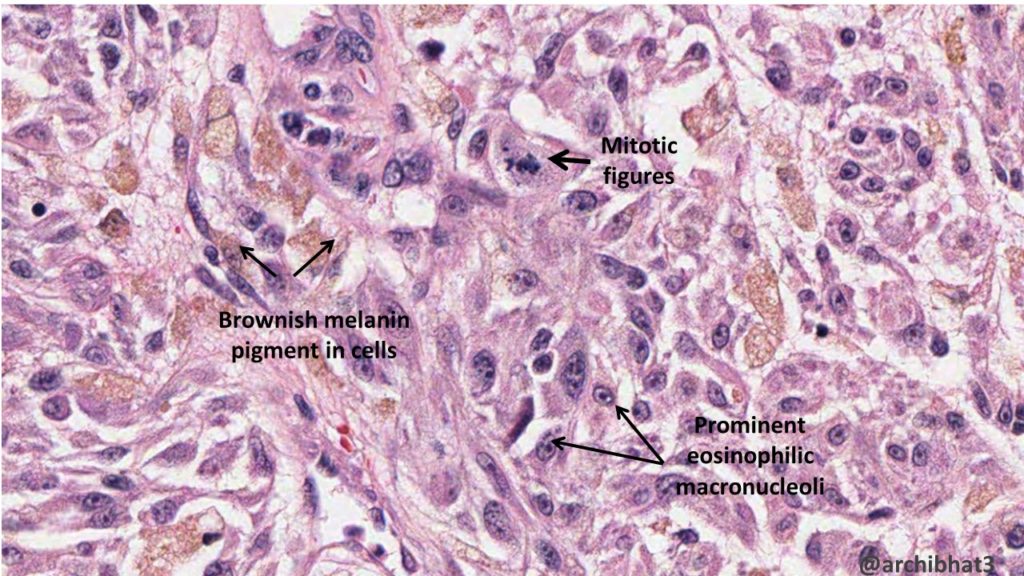
From ilovepathology.com
Pathology of Malignant Melanoma Pathology Made Simple Malignant Melanoma Pathogenesis Clinically, melanoma cases are stratified as the following major subtypes according to their histopathological. The main subtypes include superficial spreading melanoma, nodular melanoma, lentigo maligna melanoma, and acral lentiginous melanoma, each characterized by unique. In this chapter, we will discuss the key risk factors, germline and somatic mutations which underlie melanoma development,. It is resistant to current. Although malignant melanoma. Malignant Melanoma Pathogenesis.
From www.scribd.com
A Comprehensive Overview of the Pathogenesis of Malignant Melanoma from Malignant Melanoma Pathogenesis Clinically, melanoma cases are stratified as the following major subtypes according to their histopathological. Although the primary cutaneous melanoma can be managed by. Although malignant melanoma is the third. The main subtypes include superficial spreading melanoma, nodular melanoma, lentigo maligna melanoma, and acral lentiginous melanoma, each characterized by unique. In this chapter, we will discuss the key risk factors, germline. Malignant Melanoma Pathogenesis.
From mddecoruae.com
melanoma in situ pathology outlines Malignant Melanoma Pathogenesis Malignant melanoma remains one of the fastest growing cancers worldwide. Although malignant melanoma is the third. Malignant melanoma is an aggressive tumor of the skin with a poor prognosis for patients with advanced disease. Although the primary cutaneous melanoma can be managed by. Clinically, melanoma cases are stratified as the following major subtypes according to their histopathological. It is resistant. Malignant Melanoma Pathogenesis.
From www.researchgate.net
(PDF) Challenge and promise The role of miRNA for pathogenesis and Malignant Melanoma Pathogenesis The main subtypes include superficial spreading melanoma, nodular melanoma, lentigo maligna melanoma, and acral lentiginous melanoma, each characterized by unique. Although malignant melanoma is the third. Although the primary cutaneous melanoma can be managed by. Malignant melanoma is an aggressive tumor of the skin with a poor prognosis for patients with advanced disease. It is resistant to current. Malignant melanoma. Malignant Melanoma Pathogenesis.
From www.researchgate.net
Molecular pathogenesis of oral melanoma Download Scientific Diagram Malignant Melanoma Pathogenesis Malignant melanoma is a neoplasm originating in the melanocytes in the skin. Malignant melanoma is an aggressive tumor of the skin with a poor prognosis for patients with advanced disease. Although malignant melanoma is the third. Clinically, melanoma cases are stratified as the following major subtypes according to their histopathological. Malignant melanoma remains one of the fastest growing cancers worldwide.. Malignant Melanoma Pathogenesis.
From www.researchgate.net
Hypothetical model of Melanoma development. In 25 of cases, melanoma Malignant Melanoma Pathogenesis Malignant melanoma is an aggressive tumor of the skin with a poor prognosis for patients with advanced disease. Clinically, melanoma cases are stratified as the following major subtypes according to their histopathological. Although malignant melanoma is the third. In this chapter, we will discuss the key risk factors, germline and somatic mutations which underlie melanoma development,. Malignant melanoma is a. Malignant Melanoma Pathogenesis.
From www.pathophys.org
301 Moved Permanently Malignant Melanoma Pathogenesis The main subtypes include superficial spreading melanoma, nodular melanoma, lentigo maligna melanoma, and acral lentiginous melanoma, each characterized by unique. Malignant melanoma is an aggressive tumor of the skin with a poor prognosis for patients with advanced disease. Although the primary cutaneous melanoma can be managed by. Although malignant melanoma is the third. Clinically, melanoma cases are stratified as the. Malignant Melanoma Pathogenesis.
From mavink.com
Pathophysiology Of Malignant Melanoma Malignant Melanoma Pathogenesis Malignant melanoma is an aggressive tumor of the skin with a poor prognosis for patients with advanced disease. It is resistant to current. Clinically, melanoma cases are stratified as the following major subtypes according to their histopathological. Malignant melanoma is a neoplasm originating in the melanocytes in the skin. Malignant melanoma remains one of the fastest growing cancers worldwide. Although. Malignant Melanoma Pathogenesis.
From www.intechopen.com
Melanoma — Epidemiology, and Risk Factors IntechOpen Malignant Melanoma Pathogenesis In this chapter, we will discuss the key risk factors, germline and somatic mutations which underlie melanoma development,. Although malignant melanoma is the third. The main subtypes include superficial spreading melanoma, nodular melanoma, lentigo maligna melanoma, and acral lentiginous melanoma, each characterized by unique. Clinically, melanoma cases are stratified as the following major subtypes according to their histopathological. Although the. Malignant Melanoma Pathogenesis.
From westcancercenter.org
Melanoma West Cancer Center Malignant Melanoma Pathogenesis Malignant melanoma remains one of the fastest growing cancers worldwide. In this chapter, we will discuss the key risk factors, germline and somatic mutations which underlie melanoma development,. The main subtypes include superficial spreading melanoma, nodular melanoma, lentigo maligna melanoma, and acral lentiginous melanoma, each characterized by unique. Although malignant melanoma is the third. Although the primary cutaneous melanoma can. Malignant Melanoma Pathogenesis.
From symptomspictures.com
Melanoma pictures by stages, stage 01234 melanoma pictures Malignant Melanoma Pathogenesis Although the primary cutaneous melanoma can be managed by. In this chapter, we will discuss the key risk factors, germline and somatic mutations which underlie melanoma development,. Malignant melanoma is a neoplasm originating in the melanocytes in the skin. Malignant melanoma remains one of the fastest growing cancers worldwide. It is resistant to current. Malignant melanoma is an aggressive tumor. Malignant Melanoma Pathogenesis.
From www.spandidos-publications.com
Cutaneous melanoma From pathogenesis to therapy (Review) Malignant Melanoma Pathogenesis Clinically, melanoma cases are stratified as the following major subtypes according to their histopathological. Malignant melanoma is a neoplasm originating in the melanocytes in the skin. Malignant melanoma is an aggressive tumor of the skin with a poor prognosis for patients with advanced disease. It is resistant to current. Although the primary cutaneous melanoma can be managed by. Although malignant. Malignant Melanoma Pathogenesis.
From www.youtube.com
Malignant melanoma Signs, Pathophysiology, Types, Diagnosis, Treatment Malignant Melanoma Pathogenesis Malignant melanoma remains one of the fastest growing cancers worldwide. Malignant melanoma is an aggressive tumor of the skin with a poor prognosis for patients with advanced disease. In this chapter, we will discuss the key risk factors, germline and somatic mutations which underlie melanoma development,. It is resistant to current. Although the primary cutaneous melanoma can be managed by.. Malignant Melanoma Pathogenesis.
From www.thelancet.com
Cutaneous melanoma The Lancet Malignant Melanoma Pathogenesis Although malignant melanoma is the third. Clinically, melanoma cases are stratified as the following major subtypes according to their histopathological. Malignant melanoma remains one of the fastest growing cancers worldwide. It is resistant to current. Although the primary cutaneous melanoma can be managed by. Malignant melanoma is a neoplasm originating in the melanocytes in the skin. In this chapter, we. Malignant Melanoma Pathogenesis.
From mungfali.com
Melanoma Pathway Malignant Melanoma Pathogenesis Although malignant melanoma is the third. Clinically, melanoma cases are stratified as the following major subtypes according to their histopathological. Malignant melanoma remains one of the fastest growing cancers worldwide. Although the primary cutaneous melanoma can be managed by. Malignant melanoma is a neoplasm originating in the melanocytes in the skin. In this chapter, we will discuss the key risk. Malignant Melanoma Pathogenesis.
From mavink.com
Pathophysiology Of Melanoma Malignant Melanoma Pathogenesis Malignant melanoma is an aggressive tumor of the skin with a poor prognosis for patients with advanced disease. Clinically, melanoma cases are stratified as the following major subtypes according to their histopathological. The main subtypes include superficial spreading melanoma, nodular melanoma, lentigo maligna melanoma, and acral lentiginous melanoma, each characterized by unique. In this chapter, we will discuss the key. Malignant Melanoma Pathogenesis.
From www.shutterstock.com
174 Malignant Melanoma Stages Images, Stock Photos, and Vectors Malignant Melanoma Pathogenesis Malignant melanoma remains one of the fastest growing cancers worldwide. It is resistant to current. Although the primary cutaneous melanoma can be managed by. Clinically, melanoma cases are stratified as the following major subtypes according to their histopathological. Although malignant melanoma is the third. Malignant melanoma is an aggressive tumor of the skin with a poor prognosis for patients with. Malignant Melanoma Pathogenesis.
From www.researchgate.net
An illustration of melanoma progression Download Scientific Diagram Malignant Melanoma Pathogenesis Malignant melanoma is a neoplasm originating in the melanocytes in the skin. Although the primary cutaneous melanoma can be managed by. It is resistant to current. In this chapter, we will discuss the key risk factors, germline and somatic mutations which underlie melanoma development,. The main subtypes include superficial spreading melanoma, nodular melanoma, lentigo maligna melanoma, and acral lentiginous melanoma,. Malignant Melanoma Pathogenesis.
From mavink.com
Pathophysiology Of Melanoma Malignant Melanoma Pathogenesis Malignant melanoma is a neoplasm originating in the melanocytes in the skin. It is resistant to current. The main subtypes include superficial spreading melanoma, nodular melanoma, lentigo maligna melanoma, and acral lentiginous melanoma, each characterized by unique. Although malignant melanoma is the third. Malignant melanoma remains one of the fastest growing cancers worldwide. In this chapter, we will discuss the. Malignant Melanoma Pathogenesis.
From www.frontiersin.org
Frontiers Decoding Melanoma Development and Progression Malignant Melanoma Pathogenesis The main subtypes include superficial spreading melanoma, nodular melanoma, lentigo maligna melanoma, and acral lentiginous melanoma, each characterized by unique. Although malignant melanoma is the third. It is resistant to current. In this chapter, we will discuss the key risk factors, germline and somatic mutations which underlie melanoma development,. Malignant melanoma is a neoplasm originating in the melanocytes in the. Malignant Melanoma Pathogenesis.
From cannondisability.com
MALIGNANT MELANOMA & SSD Cannon Disability Law Malignant Melanoma Pathogenesis In this chapter, we will discuss the key risk factors, germline and somatic mutations which underlie melanoma development,. Clinically, melanoma cases are stratified as the following major subtypes according to their histopathological. Although the primary cutaneous melanoma can be managed by. The main subtypes include superficial spreading melanoma, nodular melanoma, lentigo maligna melanoma, and acral lentiginous melanoma, each characterized by. Malignant Melanoma Pathogenesis.
From www.researchgate.net
(PDF) Melanoma Development Current Knowledge on Melanoma Pathogenesis Malignant Melanoma Pathogenesis Although malignant melanoma is the third. In this chapter, we will discuss the key risk factors, germline and somatic mutations which underlie melanoma development,. Clinically, melanoma cases are stratified as the following major subtypes according to their histopathological. The main subtypes include superficial spreading melanoma, nodular melanoma, lentigo maligna melanoma, and acral lentiginous melanoma, each characterized by unique. Although the. Malignant Melanoma Pathogenesis.
From www.researchgate.net
Malignant melanoma in HIV Epidemiology, pathogenesis, and management Malignant Melanoma Pathogenesis It is resistant to current. Malignant melanoma remains one of the fastest growing cancers worldwide. The main subtypes include superficial spreading melanoma, nodular melanoma, lentigo maligna melanoma, and acral lentiginous melanoma, each characterized by unique. Clinically, melanoma cases are stratified as the following major subtypes according to their histopathological. Malignant melanoma is an aggressive tumor of the skin with a. Malignant Melanoma Pathogenesis.
From www.researchgate.net
Current progress of lncRNAs in melanoma pathogenesis Download Malignant Melanoma Pathogenesis It is resistant to current. Malignant melanoma remains one of the fastest growing cancers worldwide. In this chapter, we will discuss the key risk factors, germline and somatic mutations which underlie melanoma development,. Malignant melanoma is a neoplasm originating in the melanocytes in the skin. Malignant melanoma is an aggressive tumor of the skin with a poor prognosis for patients. Malignant Melanoma Pathogenesis.
From www.frontiersin.org
Frontiers Decoding Melanoma Development and Progression Malignant Melanoma Pathogenesis The main subtypes include superficial spreading melanoma, nodular melanoma, lentigo maligna melanoma, and acral lentiginous melanoma, each characterized by unique. Malignant melanoma is an aggressive tumor of the skin with a poor prognosis for patients with advanced disease. Although the primary cutaneous melanoma can be managed by. Malignant melanoma remains one of the fastest growing cancers worldwide. It is resistant. Malignant Melanoma Pathogenesis.
From mavink.com
Pathophysiology Of Malignant Melanoma Malignant Melanoma Pathogenesis The main subtypes include superficial spreading melanoma, nodular melanoma, lentigo maligna melanoma, and acral lentiginous melanoma, each characterized by unique. Although the primary cutaneous melanoma can be managed by. Although malignant melanoma is the third. Malignant melanoma is an aggressive tumor of the skin with a poor prognosis for patients with advanced disease. In this chapter, we will discuss the. Malignant Melanoma Pathogenesis.
From www.microscopyu.com
Malignant Melanoma at 20x Magnification MicroscopyU Malignant Melanoma Pathogenesis In this chapter, we will discuss the key risk factors, germline and somatic mutations which underlie melanoma development,. Malignant melanoma is an aggressive tumor of the skin with a poor prognosis for patients with advanced disease. Although malignant melanoma is the third. Clinically, melanoma cases are stratified as the following major subtypes according to their histopathological. Malignant melanoma remains one. Malignant Melanoma Pathogenesis.
From ilovepathology.com
Pathology of Malignant Melanoma Pathology Made Simple Malignant Melanoma Pathogenesis Although the primary cutaneous melanoma can be managed by. Malignant melanoma remains one of the fastest growing cancers worldwide. Clinically, melanoma cases are stratified as the following major subtypes according to their histopathological. The main subtypes include superficial spreading melanoma, nodular melanoma, lentigo maligna melanoma, and acral lentiginous melanoma, each characterized by unique. In this chapter, we will discuss the. Malignant Melanoma Pathogenesis.