Can Dental Enamel Be Repaired . But when enamel erodes, it can't regrow itself. This happens through a process called remineralisation, which naturally occurs when. This serum goes to the root of tooth problems, like. Studies show that tooth enamel can repair itself after it wears down. However, you can strengthen and repair existing enamel. Dental restoration procedures cover weakened teeth, but can’t bring back enamel that has been lost. Fortunately, it's possible to restore These products cannot completely rebuild your. To a certain extent, tooth enamel can be remineralized by using the appropriate toothpastes and mouthwashes. Your body cannot make new enamel. However, certain foods, oral hygiene habits, and medical conditions can wear away your enamel faster than it can repair itself. In a significant scientific breakthrough, researchers recently discovered a way to regrow human tooth enamel. Our top remineralization treatment is the caripro enamel armour. Tooth enamel that has been damaged can’t be restored. But you can prevent erosion from getting worse with dental treatment and by taking care of your teeth.
from www.biomintoothpaste.com.au
But you can prevent erosion from getting worse with dental treatment and by taking care of your teeth. But when enamel erodes, it can't regrow itself. This happens through a process called remineralisation, which naturally occurs when. However, certain foods, oral hygiene habits, and medical conditions can wear away your enamel faster than it can repair itself. However, you can strengthen and repair existing enamel. Fortunately, it's possible to restore To a certain extent, tooth enamel can be remineralized by using the appropriate toothpastes and mouthwashes. This serum goes to the root of tooth problems, like. In a significant scientific breakthrough, researchers recently discovered a way to regrow human tooth enamel. These products cannot completely rebuild your.
How to repair tooth enamel BioMin Toothpaste
Can Dental Enamel Be Repaired Tooth enamel that has been damaged can’t be restored. But you can prevent erosion from getting worse with dental treatment and by taking care of your teeth. Dental restoration procedures cover weakened teeth, but can’t bring back enamel that has been lost. However, certain foods, oral hygiene habits, and medical conditions can wear away your enamel faster than it can repair itself. This serum goes to the root of tooth problems, like. This happens through a process called remineralisation, which naturally occurs when. These products cannot completely rebuild your. Studies show that tooth enamel can repair itself after it wears down. Tooth enamel that has been damaged can’t be restored. Your body cannot make new enamel. Tooth enamel can’t be regrown. In a significant scientific breakthrough, researchers recently discovered a way to regrow human tooth enamel. To a certain extent, tooth enamel can be remineralized by using the appropriate toothpastes and mouthwashes. However, you can strengthen and repair existing enamel. Fortunately, it's possible to restore But when enamel erodes, it can't regrow itself.
From www.glowdental.co.nz
Chipped Tooth Or Broken Tooth? Glow Dental Provide a Resolution For You Can Dental Enamel Be Repaired Studies show that tooth enamel can repair itself after it wears down. Your body cannot make new enamel. In a significant scientific breakthrough, researchers recently discovered a way to regrow human tooth enamel. But you can prevent erosion from getting worse with dental treatment and by taking care of your teeth. But when enamel erodes, it can't regrow itself. This. Can Dental Enamel Be Repaired.
From www.thesterlingdentist.com
Understanding the Difference Between Demineralization and Tooth Erosion Can Dental Enamel Be Repaired But you can prevent erosion from getting worse with dental treatment and by taking care of your teeth. Fortunately, it's possible to restore To a certain extent, tooth enamel can be remineralized by using the appropriate toothpastes and mouthwashes. This serum goes to the root of tooth problems, like. However, you can strengthen and repair existing enamel. These products cannot. Can Dental Enamel Be Repaired.
From infinitydental.in
THE 5 STAGES OF TOOTH DECAY AND WHAT CAN BE DONE TO PREVENT Can Dental Enamel Be Repaired This serum goes to the root of tooth problems, like. Your body cannot make new enamel. To a certain extent, tooth enamel can be remineralized by using the appropriate toothpastes and mouthwashes. Our top remineralization treatment is the caripro enamel armour. These products cannot completely rebuild your. Tooth enamel that has been damaged can’t be restored. Dental restoration procedures cover. Can Dental Enamel Be Repaired.
From nhakhoaquocbinh.com
Can damaged tooth enamel be restored? Can Dental Enamel Be Repaired To a certain extent, tooth enamel can be remineralized by using the appropriate toothpastes and mouthwashes. However, certain foods, oral hygiene habits, and medical conditions can wear away your enamel faster than it can repair itself. Tooth enamel that has been damaged can’t be restored. Dental restoration procedures cover weakened teeth, but can’t bring back enamel that has been lost.. Can Dental Enamel Be Repaired.
From my.clevelandclinic.org
What Tooth Enamel Is, Function & Care Can Dental Enamel Be Repaired However, you can strengthen and repair existing enamel. But when enamel erodes, it can't regrow itself. However, certain foods, oral hygiene habits, and medical conditions can wear away your enamel faster than it can repair itself. But you can prevent erosion from getting worse with dental treatment and by taking care of your teeth. Our top remineralization treatment is the. Can Dental Enamel Be Repaired.
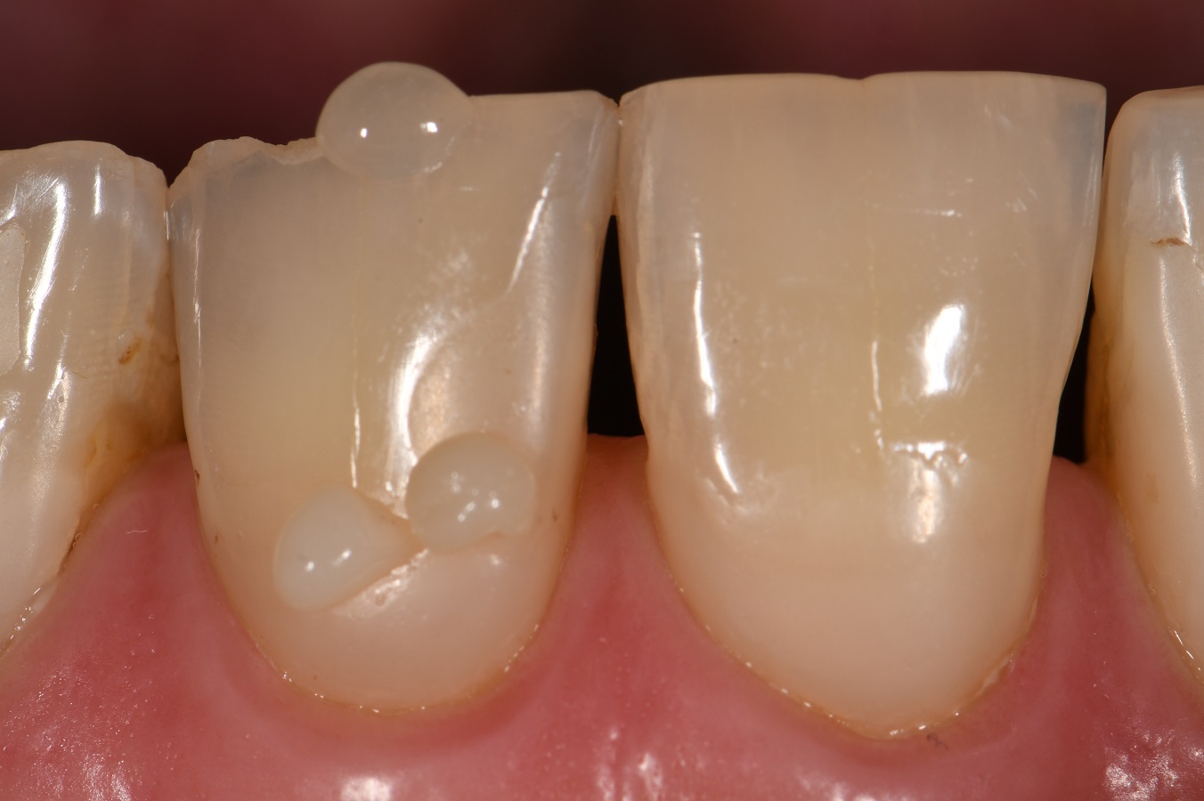
From www.clarencetam.co.nz
Enamel Fracture Repaired Voco Amaris Enamel Fracture Repaired Voco Amaris Can Dental Enamel Be Repaired Dental restoration procedures cover weakened teeth, but can’t bring back enamel that has been lost. Our top remineralization treatment is the caripro enamel armour. But when enamel erodes, it can't regrow itself. However, you can strengthen and repair existing enamel. In a significant scientific breakthrough, researchers recently discovered a way to regrow human tooth enamel. However, certain foods, oral hygiene. Can Dental Enamel Be Repaired.
From www.clarencetam.co.nz
Enamel Fracture Repaired Voco Amaris Enamel Fracture Repaired Voco Amaris Can Dental Enamel Be Repaired Studies show that tooth enamel can repair itself after it wears down. Our top remineralization treatment is the caripro enamel armour. In a significant scientific breakthrough, researchers recently discovered a way to regrow human tooth enamel. To a certain extent, tooth enamel can be remineralized by using the appropriate toothpastes and mouthwashes. Fortunately, it's possible to restore These products cannot. Can Dental Enamel Be Repaired.
From kickassdental.com.au
Can you restore tooth enamel? Can Dental Enamel Be Repaired Our top remineralization treatment is the caripro enamel armour. However, you can strengthen and repair existing enamel. However, certain foods, oral hygiene habits, and medical conditions can wear away your enamel faster than it can repair itself. Studies show that tooth enamel can repair itself after it wears down. But when enamel erodes, it can't regrow itself. This happens through. Can Dental Enamel Be Repaired.
From empiredental.ca
Why Can I See Through my Teeth? Empire Dental Can Dental Enamel Be Repaired Tooth enamel that has been damaged can’t be restored. In a significant scientific breakthrough, researchers recently discovered a way to regrow human tooth enamel. This serum goes to the root of tooth problems, like. Our top remineralization treatment is the caripro enamel armour. But you can prevent erosion from getting worse with dental treatment and by taking care of your. Can Dental Enamel Be Repaired.
From www.dhamadison.com
Prevent Tooth Decay Stop Teeth Damage Natural Treatments Can Dental Enamel Be Repaired But when enamel erodes, it can't regrow itself. Your body cannot make new enamel. However, certain foods, oral hygiene habits, and medical conditions can wear away your enamel faster than it can repair itself. To a certain extent, tooth enamel can be remineralized by using the appropriate toothpastes and mouthwashes. Dental restoration procedures cover weakened teeth, but can’t bring back. Can Dental Enamel Be Repaired.
From www.icpahealth.com
Fluoride Varnish A Simple Solution to a Big Problem Can Dental Enamel Be Repaired But you can prevent erosion from getting worse with dental treatment and by taking care of your teeth. Our top remineralization treatment is the caripro enamel armour. However, you can strengthen and repair existing enamel. Dental restoration procedures cover weakened teeth, but can’t bring back enamel that has been lost. But when enamel erodes, it can't regrow itself. Fortunately, it's. Can Dental Enamel Be Repaired.
From www.affinitydental.co.za
Can Damaged Tooth Enamel Be Repaired? Affinity Dental Can Dental Enamel Be Repaired To a certain extent, tooth enamel can be remineralized by using the appropriate toothpastes and mouthwashes. Fortunately, it's possible to restore Our top remineralization treatment is the caripro enamel armour. These products cannot completely rebuild your. Dental restoration procedures cover weakened teeth, but can’t bring back enamel that has been lost. Studies show that tooth enamel can repair itself after. Can Dental Enamel Be Repaired.
From www.stalexiusnewstart.com
Can Tooth Enamel Be Repaired? (Best Tips To Strengthen Your Enamel) Can Dental Enamel Be Repaired Our top remineralization treatment is the caripro enamel armour. But when enamel erodes, it can't regrow itself. Tooth enamel that has been damaged can’t be restored. But you can prevent erosion from getting worse with dental treatment and by taking care of your teeth. Dental restoration procedures cover weakened teeth, but can’t bring back enamel that has been lost. Studies. Can Dental Enamel Be Repaired.
From theelitedental.com
CAUSES & PREVENTION OF ENAMEL EROSION Elite Dental Care Can Dental Enamel Be Repaired This happens through a process called remineralisation, which naturally occurs when. To a certain extent, tooth enamel can be remineralized by using the appropriate toothpastes and mouthwashes. Tooth enamel can’t be regrown. Dental restoration procedures cover weakened teeth, but can’t bring back enamel that has been lost. Tooth enamel that has been damaged can’t be restored. These products cannot completely. Can Dental Enamel Be Repaired.
From www.byte.com
Can Tooth Enamel Be Repaired Once It’s Damaged? Byte® Can Dental Enamel Be Repaired Fortunately, it's possible to restore These products cannot completely rebuild your. Our top remineralization treatment is the caripro enamel armour. This serum goes to the root of tooth problems, like. However, you can strengthen and repair existing enamel. But you can prevent erosion from getting worse with dental treatment and by taking care of your teeth. This happens through a. Can Dental Enamel Be Repaired.
From kickassdental.com.au
What is the enamel of the teeth? Can Dental Enamel Be Repaired This happens through a process called remineralisation, which naturally occurs when. Your body cannot make new enamel. But you can prevent erosion from getting worse with dental treatment and by taking care of your teeth. Studies show that tooth enamel can repair itself after it wears down. Fortunately, it's possible to restore Our top remineralization treatment is the caripro enamel. Can Dental Enamel Be Repaired.
From habs.uq.edu.au
Can we heal teeth? The quest to repair tooth enamel, nature's crystal Can Dental Enamel Be Repaired Fortunately, it's possible to restore Tooth enamel can’t be regrown. These products cannot completely rebuild your. But you can prevent erosion from getting worse with dental treatment and by taking care of your teeth. This serum goes to the root of tooth problems, like. In a significant scientific breakthrough, researchers recently discovered a way to regrow human tooth enamel. However,. Can Dental Enamel Be Repaired.
From dentalcareofchinohills.com
Can Tooth Enamel Be Repaired? Dental Care of Chino Hills Blog Can Dental Enamel Be Repaired This serum goes to the root of tooth problems, like. However, certain foods, oral hygiene habits, and medical conditions can wear away your enamel faster than it can repair itself. This happens through a process called remineralisation, which naturally occurs when. But you can prevent erosion from getting worse with dental treatment and by taking care of your teeth. Tooth. Can Dental Enamel Be Repaired.
From beyondthemagazine.com
Can Tooth Enamel Be Repaired? Can Dental Enamel Be Repaired However, you can strengthen and repair existing enamel. Studies show that tooth enamel can repair itself after it wears down. To a certain extent, tooth enamel can be remineralized by using the appropriate toothpastes and mouthwashes. These products cannot completely rebuild your. This happens through a process called remineralisation, which naturally occurs when. In a significant scientific breakthrough, researchers recently. Can Dental Enamel Be Repaired.
From www.biomintoothpaste.com.au
How to repair tooth enamel BioMin Toothpaste Can Dental Enamel Be Repaired Tooth enamel can’t be regrown. To a certain extent, tooth enamel can be remineralized by using the appropriate toothpastes and mouthwashes. Your body cannot make new enamel. In a significant scientific breakthrough, researchers recently discovered a way to regrow human tooth enamel. This serum goes to the root of tooth problems, like. Tooth enamel that has been damaged can’t be. Can Dental Enamel Be Repaired.
From martindentists.com
Damaged Enamel Repaired with Resin Bonding Can Dental Enamel Be Repaired This happens through a process called remineralisation, which naturally occurs when. Tooth enamel that has been damaged can’t be restored. Your body cannot make new enamel. Dental restoration procedures cover weakened teeth, but can’t bring back enamel that has been lost. However, certain foods, oral hygiene habits, and medical conditions can wear away your enamel faster than it can repair. Can Dental Enamel Be Repaired.
From mypenndentist.org
Restore Tooth Enamel Penn Dental Family Practice Can Dental Enamel Be Repaired This happens through a process called remineralisation, which naturally occurs when. Studies show that tooth enamel can repair itself after it wears down. To a certain extent, tooth enamel can be remineralized by using the appropriate toothpastes and mouthwashes. Our top remineralization treatment is the caripro enamel armour. These products cannot completely rebuild your. Fortunately, it's possible to restore Dental. Can Dental Enamel Be Repaired.
From immunizelabs.com
Ultimate Guide to Repairing Weak Tooth Enamel immunizeLABS Can Dental Enamel Be Repaired However, you can strengthen and repair existing enamel. This serum goes to the root of tooth problems, like. These products cannot completely rebuild your. Studies show that tooth enamel can repair itself after it wears down. Fortunately, it's possible to restore Tooth enamel that has been damaged can’t be restored. Your body cannot make new enamel. However, certain foods, oral. Can Dental Enamel Be Repaired.
From identdentalimplantcenter.com
ENAMEL Can Dental Enamel Be Repaired Tooth enamel can’t be regrown. Dental restoration procedures cover weakened teeth, but can’t bring back enamel that has been lost. To a certain extent, tooth enamel can be remineralized by using the appropriate toothpastes and mouthwashes. This happens through a process called remineralisation, which naturally occurs when. Fortunately, it's possible to restore Studies show that tooth enamel can repair itself. Can Dental Enamel Be Repaired.
From chiangmaiplaces.net
How Can I Rebuild My Enamel Naturally? The 11 Top Answers Can Dental Enamel Be Repaired Studies show that tooth enamel can repair itself after it wears down. This happens through a process called remineralisation, which naturally occurs when. In a significant scientific breakthrough, researchers recently discovered a way to regrow human tooth enamel. Dental restoration procedures cover weakened teeth, but can’t bring back enamel that has been lost. Tooth enamel that has been damaged can’t. Can Dental Enamel Be Repaired.
From www.intelligentliving.co
Scientists Develop Gel That Can Regrow Tooth Enamel Can Dental Enamel Be Repaired Our top remineralization treatment is the caripro enamel armour. Fortunately, it's possible to restore However, you can strengthen and repair existing enamel. This serum goes to the root of tooth problems, like. But when enamel erodes, it can't regrow itself. Your body cannot make new enamel. These products cannot completely rebuild your. Dental restoration procedures cover weakened teeth, but can’t. Can Dental Enamel Be Repaired.
From www.yourdowntowndentist.com
Dr. Ferullo Tooth Enamel Repair Best Ways to Repair Tooth Enamel Can Dental Enamel Be Repaired However, certain foods, oral hygiene habits, and medical conditions can wear away your enamel faster than it can repair itself. Our top remineralization treatment is the caripro enamel armour. Tooth enamel that has been damaged can’t be restored. This happens through a process called remineralisation, which naturally occurs when. However, you can strengthen and repair existing enamel. But when enamel. Can Dental Enamel Be Repaired.
From www.dailynutritionnews.com
Tooth Enamel Restoration All You Need to Know Daily Nutrition News Can Dental Enamel Be Repaired Tooth enamel that has been damaged can’t be restored. In a significant scientific breakthrough, researchers recently discovered a way to regrow human tooth enamel. However, you can strengthen and repair existing enamel. Our top remineralization treatment is the caripro enamel armour. This serum goes to the root of tooth problems, like. This happens through a process called remineralisation, which naturally. Can Dental Enamel Be Repaired.
From herbs-1.blogspot.com
Home Remedy For An Enamel Repair Can Dental Enamel Be Repaired Studies show that tooth enamel can repair itself after it wears down. Tooth enamel can’t be regrown. Our top remineralization treatment is the caripro enamel armour. Fortunately, it's possible to restore However, you can strengthen and repair existing enamel. Dental restoration procedures cover weakened teeth, but can’t bring back enamel that has been lost. This serum goes to the root. Can Dental Enamel Be Repaired.
From myntdental.ca
Worn Enamel Repaired MYNT Dental Winnipeg Can Dental Enamel Be Repaired However, you can strengthen and repair existing enamel. These products cannot completely rebuild your. Dental restoration procedures cover weakened teeth, but can’t bring back enamel that has been lost. This happens through a process called remineralisation, which naturally occurs when. Your body cannot make new enamel. Tooth enamel can’t be regrown. Studies show that tooth enamel can repair itself after. Can Dental Enamel Be Repaired.
From www.onlymyhealth.com
How Damaged Tooth Enamel Be Repaired, Explains Expert OnlyMyHealth Can Dental Enamel Be Repaired Your body cannot make new enamel. This serum goes to the root of tooth problems, like. Studies show that tooth enamel can repair itself after it wears down. Fortunately, it's possible to restore However, you can strengthen and repair existing enamel. This happens through a process called remineralisation, which naturally occurs when. In a significant scientific breakthrough, researchers recently discovered. Can Dental Enamel Be Repaired.
From plancichdental.com
Can Tooth Enamel Be Repaired? Plancich Dental Can Dental Enamel Be Repaired This happens through a process called remineralisation, which naturally occurs when. Our top remineralization treatment is the caripro enamel armour. To a certain extent, tooth enamel can be remineralized by using the appropriate toothpastes and mouthwashes. Dental restoration procedures cover weakened teeth, but can’t bring back enamel that has been lost. Tooth enamel can’t be regrown. In a significant scientific. Can Dental Enamel Be Repaired.
From farnalero.weebly.com
tooth enamel restoration price Can Dental Enamel Be Repaired These products cannot completely rebuild your. Fortunately, it's possible to restore Dental restoration procedures cover weakened teeth, but can’t bring back enamel that has been lost. This happens through a process called remineralisation, which naturally occurs when. Tooth enamel that has been damaged can’t be restored. This serum goes to the root of tooth problems, like. Our top remineralization treatment. Can Dental Enamel Be Repaired.
From www.verywellhealth.com
Tooth Decay Stages, Complications, and Treatment Can Dental Enamel Be Repaired To a certain extent, tooth enamel can be remineralized by using the appropriate toothpastes and mouthwashes. This serum goes to the root of tooth problems, like. But when enamel erodes, it can't regrow itself. These products cannot completely rebuild your. Tooth enamel that has been damaged can’t be restored. This happens through a process called remineralisation, which naturally occurs when.. Can Dental Enamel Be Repaired.
From aspendds.com
Can Dental Crowns be Repaired? Aspen Dental of Cache Valley Can Dental Enamel Be Repaired However, certain foods, oral hygiene habits, and medical conditions can wear away your enamel faster than it can repair itself. Dental restoration procedures cover weakened teeth, but can’t bring back enamel that has been lost. But you can prevent erosion from getting worse with dental treatment and by taking care of your teeth. Tooth enamel that has been damaged can’t. Can Dental Enamel Be Repaired.