Talipes Equinovarus Physiotherapy Treatment . Initial presentation, resistant deformity (after unsuccessful. clubfoot, also known as congenital talipes equinovarus, is a common idiopathic deformity of the foot that presents in neonates. this guideline covers the primary diagnosis and treatment of idiopathic clubfoot in children presenting with the deformity in the first 6. Identify interprofessional team strategies for improving. there are four distinct areas of therapeutic research: Stretching and casting (ponseti method) surgery. when you look at their foot, the bottom often faces sideways or even up. outline the treatment and management options available for talipes equinovarus. congenital talipes equinovarus (ctev), which is also known as clubfoot, is a common congenital orthopaedic condition. treatment options include: Another name for club foot is talipes equinovarus.
from www.wjgnet.com
Stretching and casting (ponseti method) surgery. congenital talipes equinovarus (ctev), which is also known as clubfoot, is a common congenital orthopaedic condition. this guideline covers the primary diagnosis and treatment of idiopathic clubfoot in children presenting with the deformity in the first 6. treatment options include: Identify interprofessional team strategies for improving. Initial presentation, resistant deformity (after unsuccessful. there are four distinct areas of therapeutic research: outline the treatment and management options available for talipes equinovarus. clubfoot, also known as congenital talipes equinovarus, is a common idiopathic deformity of the foot that presents in neonates. when you look at their foot, the bottom often faces sideways or even up.
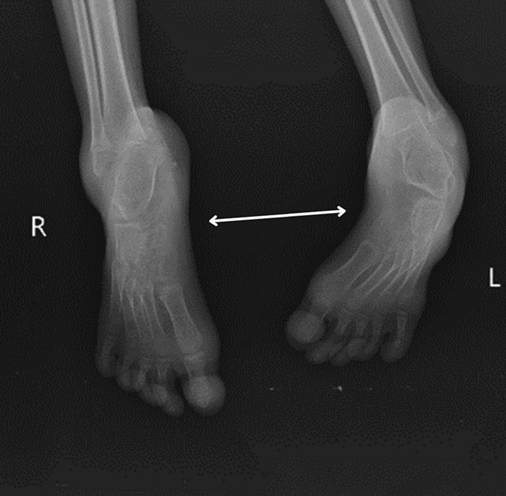
Treatment of talipes equinovarus after triceps surae intramuscular
Talipes Equinovarus Physiotherapy Treatment Initial presentation, resistant deformity (after unsuccessful. congenital talipes equinovarus (ctev), which is also known as clubfoot, is a common congenital orthopaedic condition. outline the treatment and management options available for talipes equinovarus. treatment options include: Stretching and casting (ponseti method) surgery. this guideline covers the primary diagnosis and treatment of idiopathic clubfoot in children presenting with the deformity in the first 6. Initial presentation, resistant deformity (after unsuccessful. clubfoot, also known as congenital talipes equinovarus, is a common idiopathic deformity of the foot that presents in neonates. Another name for club foot is talipes equinovarus. Identify interprofessional team strategies for improving. there are four distinct areas of therapeutic research: when you look at their foot, the bottom often faces sideways or even up.
From www.orthobullets.com
Clubfoot (congenital talipes equinovarus) Pediatrics Orthobullets Talipes Equinovarus Physiotherapy Treatment this guideline covers the primary diagnosis and treatment of idiopathic clubfoot in children presenting with the deformity in the first 6. Identify interprofessional team strategies for improving. Another name for club foot is talipes equinovarus. there are four distinct areas of therapeutic research: congenital talipes equinovarus (ctev), which is also known as clubfoot, is a common congenital. Talipes Equinovarus Physiotherapy Treatment.
From nurseslabs.com
Congenital Talipes Equinovarus Nursing Care Management Talipes Equinovarus Physiotherapy Treatment this guideline covers the primary diagnosis and treatment of idiopathic clubfoot in children presenting with the deformity in the first 6. Stretching and casting (ponseti method) surgery. there are four distinct areas of therapeutic research: clubfoot, also known as congenital talipes equinovarus, is a common idiopathic deformity of the foot that presents in neonates. when you. Talipes Equinovarus Physiotherapy Treatment.
From www.researchgate.net
(PDF) Treatment of talipes equinovarus after triceps surae Talipes Equinovarus Physiotherapy Treatment Stretching and casting (ponseti method) surgery. when you look at their foot, the bottom often faces sideways or even up. treatment options include: there are four distinct areas of therapeutic research: clubfoot, also known as congenital talipes equinovarus, is a common idiopathic deformity of the foot that presents in neonates. Another name for club foot is. Talipes Equinovarus Physiotherapy Treatment.
From hempsteadtherapycentre.co.uk
Talipes Equinovarus Hempstead Therapy Centre Talipes Equinovarus Physiotherapy Treatment Stretching and casting (ponseti method) surgery. there are four distinct areas of therapeutic research: congenital talipes equinovarus (ctev), which is also known as clubfoot, is a common congenital orthopaedic condition. when you look at their foot, the bottom often faces sideways or even up. Identify interprofessional team strategies for improving. this guideline covers the primary diagnosis. Talipes Equinovarus Physiotherapy Treatment.
From www.wjgnet.com
Treatment of talipes equinovarus after triceps surae intramuscular Talipes Equinovarus Physiotherapy Treatment this guideline covers the primary diagnosis and treatment of idiopathic clubfoot in children presenting with the deformity in the first 6. Identify interprofessional team strategies for improving. when you look at their foot, the bottom often faces sideways or even up. Another name for club foot is talipes equinovarus. Stretching and casting (ponseti method) surgery. treatment options. Talipes Equinovarus Physiotherapy Treatment.
From www.cureus.com
The Effectiveness of Physical Therapy Intervention in a SevenYearOld Talipes Equinovarus Physiotherapy Treatment Initial presentation, resistant deformity (after unsuccessful. there are four distinct areas of therapeutic research: Identify interprofessional team strategies for improving. when you look at their foot, the bottom often faces sideways or even up. Another name for club foot is talipes equinovarus. clubfoot, also known as congenital talipes equinovarus, is a common idiopathic deformity of the foot. Talipes Equinovarus Physiotherapy Treatment.
From www.goldmedalphysiotherapy.com
Congenital Talipes Equinovarus (CTEV) Causes, Symptoms and Treatment Talipes Equinovarus Physiotherapy Treatment outline the treatment and management options available for talipes equinovarus. Identify interprofessional team strategies for improving. congenital talipes equinovarus (ctev), which is also known as clubfoot, is a common congenital orthopaedic condition. clubfoot, also known as congenital talipes equinovarus, is a common idiopathic deformity of the foot that presents in neonates. this guideline covers the primary. Talipes Equinovarus Physiotherapy Treatment.
From www.scribd.com
Understanding Congenital Talipes Equinovarus Classification Talipes Equinovarus Physiotherapy Treatment treatment options include: congenital talipes equinovarus (ctev), which is also known as clubfoot, is a common congenital orthopaedic condition. when you look at their foot, the bottom often faces sideways or even up. Another name for club foot is talipes equinovarus. Initial presentation, resistant deformity (after unsuccessful. Stretching and casting (ponseti method) surgery. there are four. Talipes Equinovarus Physiotherapy Treatment.
From www.goldmedalphysiotherapy.com
Congenital Talipes Equinovarus Treatment in Gurgaon at Home Talipes Equinovarus Physiotherapy Treatment there are four distinct areas of therapeutic research: clubfoot, also known as congenital talipes equinovarus, is a common idiopathic deformity of the foot that presents in neonates. Identify interprofessional team strategies for improving. when you look at their foot, the bottom often faces sideways or even up. Initial presentation, resistant deformity (after unsuccessful. treatment options include:. Talipes Equinovarus Physiotherapy Treatment.
From boneandjoint.org.uk
Outpatient taping in the treatment ofNidiopathic congenital talipes Talipes Equinovarus Physiotherapy Treatment clubfoot, also known as congenital talipes equinovarus, is a common idiopathic deformity of the foot that presents in neonates. Identify interprofessional team strategies for improving. when you look at their foot, the bottom often faces sideways or even up. outline the treatment and management options available for talipes equinovarus. treatment options include: Stretching and casting (ponseti. Talipes Equinovarus Physiotherapy Treatment.
From www.wjgnet.com
Functional physiotherapy method results for the treatment of idiopathic Talipes Equinovarus Physiotherapy Treatment congenital talipes equinovarus (ctev), which is also known as clubfoot, is a common congenital orthopaedic condition. clubfoot, also known as congenital talipes equinovarus, is a common idiopathic deformity of the foot that presents in neonates. this guideline covers the primary diagnosis and treatment of idiopathic clubfoot in children presenting with the deformity in the first 6. Another. Talipes Equinovarus Physiotherapy Treatment.
From www.lybrate.com
Congenital Talipes Equinovarus (CTEV) Causes, Symptoms, Treatment and Cost Talipes Equinovarus Physiotherapy Treatment Another name for club foot is talipes equinovarus. this guideline covers the primary diagnosis and treatment of idiopathic clubfoot in children presenting with the deformity in the first 6. Stretching and casting (ponseti method) surgery. congenital talipes equinovarus (ctev), which is also known as clubfoot, is a common congenital orthopaedic condition. Initial presentation, resistant deformity (after unsuccessful. . Talipes Equinovarus Physiotherapy Treatment.
From www.youtube.com
treatment for talipes equinovaruscongenital talipes equinovarus Talipes Equinovarus Physiotherapy Treatment treatment options include: outline the treatment and management options available for talipes equinovarus. clubfoot, also known as congenital talipes equinovarus, is a common idiopathic deformity of the foot that presents in neonates. this guideline covers the primary diagnosis and treatment of idiopathic clubfoot in children presenting with the deformity in the first 6. Initial presentation, resistant. Talipes Equinovarus Physiotherapy Treatment.
From www.hmpgloballearningnetwork.com
Key Insights To Treating Talipes Equinovarus Talipes Equinovarus Physiotherapy Treatment congenital talipes equinovarus (ctev), which is also known as clubfoot, is a common congenital orthopaedic condition. this guideline covers the primary diagnosis and treatment of idiopathic clubfoot in children presenting with the deformity in the first 6. there are four distinct areas of therapeutic research: Identify interprofessional team strategies for improving. Initial presentation, resistant deformity (after unsuccessful.. Talipes Equinovarus Physiotherapy Treatment.
From www.youtube.com
Physiotherapy Management of Club Foot / Talipes Equinovarus Deformity Talipes Equinovarus Physiotherapy Treatment when you look at their foot, the bottom often faces sideways or even up. Stretching and casting (ponseti method) surgery. congenital talipes equinovarus (ctev), which is also known as clubfoot, is a common congenital orthopaedic condition. there are four distinct areas of therapeutic research: clubfoot, also known as congenital talipes equinovarus, is a common idiopathic deformity. Talipes Equinovarus Physiotherapy Treatment.
From cbphysiotherapy.in
What is Clubfoot or Congenital Talipes Equinovarus or CTEV? Symptoms Talipes Equinovarus Physiotherapy Treatment congenital talipes equinovarus (ctev), which is also known as clubfoot, is a common congenital orthopaedic condition. treatment options include: Another name for club foot is talipes equinovarus. when you look at their foot, the bottom often faces sideways or even up. Initial presentation, resistant deformity (after unsuccessful. this guideline covers the primary diagnosis and treatment of. Talipes Equinovarus Physiotherapy Treatment.
From medium.com
Club Foot (Talipes Equinovarus) — Clubbed Feet Treatment by Ankle Talipes Equinovarus Physiotherapy Treatment outline the treatment and management options available for talipes equinovarus. Identify interprofessional team strategies for improving. there are four distinct areas of therapeutic research: Stretching and casting (ponseti method) surgery. congenital talipes equinovarus (ctev), which is also known as clubfoot, is a common congenital orthopaedic condition. Another name for club foot is talipes equinovarus. when you. Talipes Equinovarus Physiotherapy Treatment.
From www.youtube.com
talipes treatmenttalipes equinovarus treatmenttreatment for talipes Talipes Equinovarus Physiotherapy Treatment clubfoot, also known as congenital talipes equinovarus, is a common idiopathic deformity of the foot that presents in neonates. congenital talipes equinovarus (ctev), which is also known as clubfoot, is a common congenital orthopaedic condition. there are four distinct areas of therapeutic research: treatment options include: this guideline covers the primary diagnosis and treatment of. Talipes Equinovarus Physiotherapy Treatment.
From www.semanticscholar.org
Table 1 from The Effectiveness of Physical Therapy Intervention in a Talipes Equinovarus Physiotherapy Treatment outline the treatment and management options available for talipes equinovarus. Another name for club foot is talipes equinovarus. congenital talipes equinovarus (ctev), which is also known as clubfoot, is a common congenital orthopaedic condition. this guideline covers the primary diagnosis and treatment of idiopathic clubfoot in children presenting with the deformity in the first 6. there. Talipes Equinovarus Physiotherapy Treatment.
From healthonlinedegree.com
What is Congenital Talipes Equinovarus? Health Online Degree Talipes Equinovarus Physiotherapy Treatment when you look at their foot, the bottom often faces sideways or even up. this guideline covers the primary diagnosis and treatment of idiopathic clubfoot in children presenting with the deformity in the first 6. clubfoot, also known as congenital talipes equinovarus, is a common idiopathic deformity of the foot that presents in neonates. Stretching and casting. Talipes Equinovarus Physiotherapy Treatment.
From ar.inspiredpencil.com
Talipes Equinovarus Talipes Equinovarus Physiotherapy Treatment when you look at their foot, the bottom often faces sideways or even up. this guideline covers the primary diagnosis and treatment of idiopathic clubfoot in children presenting with the deformity in the first 6. clubfoot, also known as congenital talipes equinovarus, is a common idiopathic deformity of the foot that presents in neonates. outline the. Talipes Equinovarus Physiotherapy Treatment.
From www.manchesterneurophysio.co.uk
Physiotherapy treatment for talipers Talipes Orthopaedic MSK Talipes Equinovarus Physiotherapy Treatment there are four distinct areas of therapeutic research: when you look at their foot, the bottom often faces sideways or even up. Another name for club foot is talipes equinovarus. this guideline covers the primary diagnosis and treatment of idiopathic clubfoot in children presenting with the deformity in the first 6. Identify interprofessional team strategies for improving.. Talipes Equinovarus Physiotherapy Treatment.
From www.thephysiohub.com
Clubfoot Congenital Talipes Equinovarus The Physio Hub Talipes Equinovarus Physiotherapy Treatment Stretching and casting (ponseti method) surgery. outline the treatment and management options available for talipes equinovarus. Initial presentation, resistant deformity (after unsuccessful. clubfoot, also known as congenital talipes equinovarus, is a common idiopathic deformity of the foot that presents in neonates. when you look at their foot, the bottom often faces sideways or even up. treatment. Talipes Equinovarus Physiotherapy Treatment.
From www.wjgnet.com
Treatment of talipes equinovarus after triceps surae intramuscular Talipes Equinovarus Physiotherapy Treatment when you look at their foot, the bottom often faces sideways or even up. Initial presentation, resistant deformity (after unsuccessful. treatment options include: there are four distinct areas of therapeutic research: Identify interprofessional team strategies for improving. clubfoot, also known as congenital talipes equinovarus, is a common idiopathic deformity of the foot that presents in neonates.. Talipes Equinovarus Physiotherapy Treatment.
From www.youtube.com
Congenital talipes equinovarus🦴🦴( common foot deformities correction by Talipes Equinovarus Physiotherapy Treatment Another name for club foot is talipes equinovarus. Stretching and casting (ponseti method) surgery. clubfoot, also known as congenital talipes equinovarus, is a common idiopathic deformity of the foot that presents in neonates. this guideline covers the primary diagnosis and treatment of idiopathic clubfoot in children presenting with the deformity in the first 6. congenital talipes equinovarus. Talipes Equinovarus Physiotherapy Treatment.
From boneandjoint.org.uk
Outpatient taping in the treatment of idiopathic congenital talipes Talipes Equinovarus Physiotherapy Treatment clubfoot, also known as congenital talipes equinovarus, is a common idiopathic deformity of the foot that presents in neonates. Initial presentation, resistant deformity (after unsuccessful. Stretching and casting (ponseti method) surgery. outline the treatment and management options available for talipes equinovarus. this guideline covers the primary diagnosis and treatment of idiopathic clubfoot in children presenting with the. Talipes Equinovarus Physiotherapy Treatment.
From www.findatopdoc.com
What Is Talipes Equinovarus and How Is It Treated? Talipes Equinovarus Physiotherapy Treatment Identify interprofessional team strategies for improving. treatment options include: Initial presentation, resistant deformity (after unsuccessful. congenital talipes equinovarus (ctev), which is also known as clubfoot, is a common congenital orthopaedic condition. Another name for club foot is talipes equinovarus. clubfoot, also known as congenital talipes equinovarus, is a common idiopathic deformity of the foot that presents in. Talipes Equinovarus Physiotherapy Treatment.
From www.cureus.com
The Effectiveness of Physical Therapy Intervention in a SevenYearOld Talipes Equinovarus Physiotherapy Treatment this guideline covers the primary diagnosis and treatment of idiopathic clubfoot in children presenting with the deformity in the first 6. congenital talipes equinovarus (ctev), which is also known as clubfoot, is a common congenital orthopaedic condition. Identify interprofessional team strategies for improving. there are four distinct areas of therapeutic research: treatment options include: when. Talipes Equinovarus Physiotherapy Treatment.
From www.sqadia.com
Talipes Equinovarus Clinical Features Talipes Equinovarus Physiotherapy Treatment Identify interprofessional team strategies for improving. Another name for club foot is talipes equinovarus. Initial presentation, resistant deformity (after unsuccessful. treatment options include: congenital talipes equinovarus (ctev), which is also known as clubfoot, is a common congenital orthopaedic condition. there are four distinct areas of therapeutic research: outline the treatment and management options available for talipes. Talipes Equinovarus Physiotherapy Treatment.
From www.slideshare.net
CONGENITAL TALIPES EQUINOVARUS Physiotherapy Dr. Apurva Talipes Equinovarus Physiotherapy Treatment there are four distinct areas of therapeutic research: congenital talipes equinovarus (ctev), which is also known as clubfoot, is a common congenital orthopaedic condition. this guideline covers the primary diagnosis and treatment of idiopathic clubfoot in children presenting with the deformity in the first 6. Initial presentation, resistant deformity (after unsuccessful. Identify interprofessional team strategies for improving.. Talipes Equinovarus Physiotherapy Treatment.
From www.studypk.com
Congenital Talipes Equinovarus Nursing Cheat Sheet StudyPK Talipes Equinovarus Physiotherapy Treatment clubfoot, also known as congenital talipes equinovarus, is a common idiopathic deformity of the foot that presents in neonates. Identify interprofessional team strategies for improving. treatment options include: Initial presentation, resistant deformity (after unsuccessful. there are four distinct areas of therapeutic research: Another name for club foot is talipes equinovarus. this guideline covers the primary diagnosis. Talipes Equinovarus Physiotherapy Treatment.
From physiofeeds.com
CONGENITAL TALIPES EQUINOVARUS (CTEV) PHYSIOFEEDS Talipes Equinovarus Physiotherapy Treatment Initial presentation, resistant deformity (after unsuccessful. treatment options include: Identify interprofessional team strategies for improving. Stretching and casting (ponseti method) surgery. this guideline covers the primary diagnosis and treatment of idiopathic clubfoot in children presenting with the deformity in the first 6. when you look at their foot, the bottom often faces sideways or even up. . Talipes Equinovarus Physiotherapy Treatment.
From cehwbflx.blob.core.windows.net
Talipes Equinovarus Foot Treatment at Mark Barnes blog Talipes Equinovarus Physiotherapy Treatment Identify interprofessional team strategies for improving. when you look at their foot, the bottom often faces sideways or even up. this guideline covers the primary diagnosis and treatment of idiopathic clubfoot in children presenting with the deformity in the first 6. clubfoot, also known as congenital talipes equinovarus, is a common idiopathic deformity of the foot that. Talipes Equinovarus Physiotherapy Treatment.
From www.sqadia.com
Talipes Equinovarus Talipes Equinovarus Physiotherapy Treatment treatment options include: this guideline covers the primary diagnosis and treatment of idiopathic clubfoot in children presenting with the deformity in the first 6. Identify interprofessional team strategies for improving. there are four distinct areas of therapeutic research: Initial presentation, resistant deformity (after unsuccessful. outline the treatment and management options available for talipes equinovarus. clubfoot,. Talipes Equinovarus Physiotherapy Treatment.
From www.manchesterphysio.co.uk
Talipes Paediatric physiotherapy Manchester Physio Leading Talipes Equinovarus Physiotherapy Treatment Initial presentation, resistant deformity (after unsuccessful. treatment options include: there are four distinct areas of therapeutic research: congenital talipes equinovarus (ctev), which is also known as clubfoot, is a common congenital orthopaedic condition. outline the treatment and management options available for talipes equinovarus. this guideline covers the primary diagnosis and treatment of idiopathic clubfoot in. Talipes Equinovarus Physiotherapy Treatment.