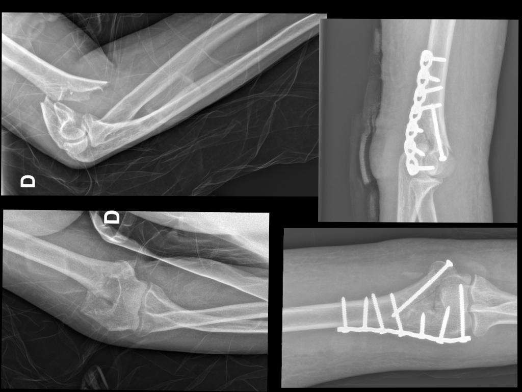
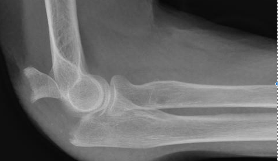
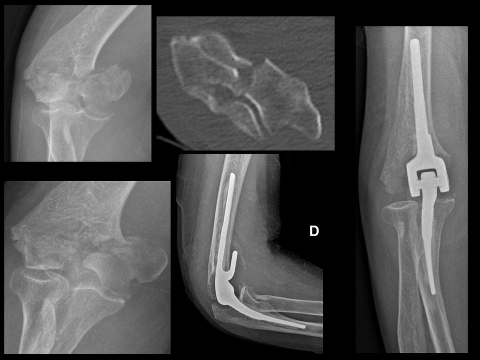
Fracture Coude Traitement . La fracture du coude désigne le plus souvent la fracture de la parte inférieure de l’humérus, qui est l’os du bras. Selon l’os qui est fracturé, et donc la localisation de la fracture, le nom précis de la fracture est différent : Fracture de la tête radiale (ou tête du radius, ou cupule radiale), les plus fréquentes (50 % des fractures du coude) ; Le traitement consiste à consulter un chirurgien orthopédique et à appliquer une attelle (si les os sont toujours alignés) ou à réaliser une chirurgie (si les parties cassées sont séparées et/ou mal alignées). Cette blessure est assez fréquente et peut. Une fracture du coude est une rupture d’un ou plusieurs des os qui constituent l’articulation du coude. Le coude est un complexe articulaire reliant 3 os : Cet article vise à explorer les principales pathologies du coude rencontrées chez les sportifs, leurs symptômes, causes, et les. Le traitement des fractures de l’olécrane repose sur le port d’une attelle, parfois une chirurgie et un traitement par antibiotiques en cas de fracture. Les fractures de types i et ii ne nécessitent généralement pas de chirurgie, un traitement orthopédique pourra être suffisant.
from groupesantepourtous.com
Cette blessure est assez fréquente et peut. Les fractures de types i et ii ne nécessitent généralement pas de chirurgie, un traitement orthopédique pourra être suffisant. Le traitement consiste à consulter un chirurgien orthopédique et à appliquer une attelle (si les os sont toujours alignés) ou à réaliser une chirurgie (si les parties cassées sont séparées et/ou mal alignées). Le coude est un complexe articulaire reliant 3 os : Cet article vise à explorer les principales pathologies du coude rencontrées chez les sportifs, leurs symptômes, causes, et les. Selon l’os qui est fracturé, et donc la localisation de la fracture, le nom précis de la fracture est différent : Fracture de la tête radiale (ou tête du radius, ou cupule radiale), les plus fréquentes (50 % des fractures du coude) ; Le traitement des fractures de l’olécrane repose sur le port d’une attelle, parfois une chirurgie et un traitement par antibiotiques en cas de fracture. La fracture du coude désigne le plus souvent la fracture de la parte inférieure de l’humérus, qui est l’os du bras. Une fracture du coude est une rupture d’un ou plusieurs des os qui constituent l’articulation du coude.
Fracture supracondylienne (coude) Définition et prise en charge
Fracture Coude Traitement Cette blessure est assez fréquente et peut. Les fractures de types i et ii ne nécessitent généralement pas de chirurgie, un traitement orthopédique pourra être suffisant. Le traitement consiste à consulter un chirurgien orthopédique et à appliquer une attelle (si les os sont toujours alignés) ou à réaliser une chirurgie (si les parties cassées sont séparées et/ou mal alignées). Une fracture du coude est une rupture d’un ou plusieurs des os qui constituent l’articulation du coude. Cet article vise à explorer les principales pathologies du coude rencontrées chez les sportifs, leurs symptômes, causes, et les. Le coude est un complexe articulaire reliant 3 os : Cette blessure est assez fréquente et peut. La fracture du coude désigne le plus souvent la fracture de la parte inférieure de l’humérus, qui est l’os du bras. Selon l’os qui est fracturé, et donc la localisation de la fracture, le nom précis de la fracture est différent : Fracture de la tête radiale (ou tête du radius, ou cupule radiale), les plus fréquentes (50 % des fractures du coude) ; Le traitement des fractures de l’olécrane repose sur le port d’une attelle, parfois une chirurgie et un traitement par antibiotiques en cas de fracture.
From present5.com
Fractures du COUDE Fractures distales de l humérus Fracture Coude Traitement La fracture du coude désigne le plus souvent la fracture de la parte inférieure de l’humérus, qui est l’os du bras. Le traitement des fractures de l’olécrane repose sur le port d’une attelle, parfois une chirurgie et un traitement par antibiotiques en cas de fracture. Une fracture du coude est une rupture d’un ou plusieurs des os qui constituent l’articulation. Fracture Coude Traitement.
From l-orthesiste.fr
Fracture du coude L'Orthesiste.fr Fracture Coude Traitement Fracture de la tête radiale (ou tête du radius, ou cupule radiale), les plus fréquentes (50 % des fractures du coude) ; Une fracture du coude est une rupture d’un ou plusieurs des os qui constituent l’articulation du coude. La fracture du coude désigne le plus souvent la fracture de la parte inférieure de l’humérus, qui est l’os du bras.. Fracture Coude Traitement.
From kinedarbois.fr
Fracture du coude 8 conseils d'une kiné (+ temps de guérison) Fracture Coude Traitement Le traitement consiste à consulter un chirurgien orthopédique et à appliquer une attelle (si les os sont toujours alignés) ou à réaliser une chirurgie (si les parties cassées sont séparées et/ou mal alignées). Le coude est un complexe articulaire reliant 3 os : La fracture du coude désigne le plus souvent la fracture de la parte inférieure de l’humérus, qui. Fracture Coude Traitement.
From www.centre-osteo-articulaire.fr
Fracture du coude Clinique Ostéo Articulaire des Cèdres Grenoble Fracture Coude Traitement La fracture du coude désigne le plus souvent la fracture de la parte inférieure de l’humérus, qui est l’os du bras. Le traitement des fractures de l’olécrane repose sur le port d’une attelle, parfois une chirurgie et un traitement par antibiotiques en cas de fracture. Fracture de la tête radiale (ou tête du radius, ou cupule radiale), les plus fréquentes. Fracture Coude Traitement.
From www.dr-touchard.fr
fracture coude face Docteur Touchard Fracture Coude Traitement Le traitement des fractures de l’olécrane repose sur le port d’une attelle, parfois une chirurgie et un traitement par antibiotiques en cas de fracture. Les fractures de types i et ii ne nécessitent généralement pas de chirurgie, un traitement orthopédique pourra être suffisant. Selon l’os qui est fracturé, et donc la localisation de la fracture, le nom précis de la. Fracture Coude Traitement.
From www.psychomotweb.com
Fracture du coude chez les enfants ou les adultes, traitement et chirurgie Fracture Coude Traitement Fracture de la tête radiale (ou tête du radius, ou cupule radiale), les plus fréquentes (50 % des fractures du coude) ; Les fractures de types i et ii ne nécessitent généralement pas de chirurgie, un traitement orthopédique pourra être suffisant. Cette blessure est assez fréquente et peut. Une fracture du coude est une rupture d’un ou plusieurs des os. Fracture Coude Traitement.
From mail.info-radiologie.ch
Traitement des fractures du coude Fracture Coude Traitement Selon l’os qui est fracturé, et donc la localisation de la fracture, le nom précis de la fracture est différent : Fracture de la tête radiale (ou tête du radius, ou cupule radiale), les plus fréquentes (50 % des fractures du coude) ; Cette blessure est assez fréquente et peut. Une fracture du coude est une rupture d’un ou plusieurs. Fracture Coude Traitement.
From www.centre-osteo-articulaire.fr
Fracture du coude Clinique Ostéo Articulaire des Cèdres Grenoble Fracture Coude Traitement Selon l’os qui est fracturé, et donc la localisation de la fracture, le nom précis de la fracture est différent : La fracture du coude désigne le plus souvent la fracture de la parte inférieure de l’humérus, qui est l’os du bras. Une fracture du coude est une rupture d’un ou plusieurs des os qui constituent l’articulation du coude. Le. Fracture Coude Traitement.
From l-orthesiste.fr
Fracture du coude L'Orthesiste.fr Fracture Coude Traitement Selon l’os qui est fracturé, et donc la localisation de la fracture, le nom précis de la fracture est différent : La fracture du coude désigne le plus souvent la fracture de la parte inférieure de l’humérus, qui est l’os du bras. Cette blessure est assez fréquente et peut. Cet article vise à explorer les principales pathologies du coude rencontrées. Fracture Coude Traitement.
From www.docteur-remi.fr
FRACTURE DU COUDE Dr Rémi chirurgien orthopédiste à Toulouse Fracture Coude Traitement Cette blessure est assez fréquente et peut. Fracture de la tête radiale (ou tête du radius, ou cupule radiale), les plus fréquentes (50 % des fractures du coude) ; Le traitement des fractures de l’olécrane repose sur le port d’une attelle, parfois une chirurgie et un traitement par antibiotiques en cas de fracture. Le coude est un complexe articulaire reliant. Fracture Coude Traitement.
From www.sosmain.eu
Fracture du coude Pathologies Institut Européen de la Main Fracture Coude Traitement Une fracture du coude est une rupture d’un ou plusieurs des os qui constituent l’articulation du coude. Le coude est un complexe articulaire reliant 3 os : Fracture de la tête radiale (ou tête du radius, ou cupule radiale), les plus fréquentes (50 % des fractures du coude) ; Les fractures de types i et ii ne nécessitent généralement pas. Fracture Coude Traitement.
From www.centre-osteo-articulaire.fr
Fracture du coude Clinique Ostéo Articulaire des Cèdres Grenoble Fracture Coude Traitement Le coude est un complexe articulaire reliant 3 os : Le traitement consiste à consulter un chirurgien orthopédique et à appliquer une attelle (si les os sont toujours alignés) ou à réaliser une chirurgie (si les parties cassées sont séparées et/ou mal alignées). Cette blessure est assez fréquente et peut. Cet article vise à explorer les principales pathologies du coude. Fracture Coude Traitement.
From www.docteur-remi.fr
FRACTURE DU COUDE Dr Rémi chirurgien orthopédiste à Toulouse Fracture Coude Traitement Le traitement des fractures de l’olécrane repose sur le port d’une attelle, parfois une chirurgie et un traitement par antibiotiques en cas de fracture. Fracture de la tête radiale (ou tête du radius, ou cupule radiale), les plus fréquentes (50 % des fractures du coude) ; Le traitement consiste à consulter un chirurgien orthopédique et à appliquer une attelle (si. Fracture Coude Traitement.
From www.dr-touchard.fr
fracture coude face Docteur Touchard Fracture Coude Traitement La fracture du coude désigne le plus souvent la fracture de la parte inférieure de l’humérus, qui est l’os du bras. Cette blessure est assez fréquente et peut. Le traitement consiste à consulter un chirurgien orthopédique et à appliquer une attelle (si les os sont toujours alignés) ou à réaliser une chirurgie (si les parties cassées sont séparées et/ou mal. Fracture Coude Traitement.
From www.docteur-remi.fr
FRACTURE DU COUDE Dr Rémi chirurgien orthopédiste à Toulouse Fracture Coude Traitement Les fractures de types i et ii ne nécessitent généralement pas de chirurgie, un traitement orthopédique pourra être suffisant. Une fracture du coude est une rupture d’un ou plusieurs des os qui constituent l’articulation du coude. Le traitement consiste à consulter un chirurgien orthopédique et à appliquer une attelle (si les os sont toujours alignés) ou à réaliser une chirurgie. Fracture Coude Traitement.
From www.sosmain.eu
Fracture du coude Pathologies Institut Européen de la Main Fracture Coude Traitement Cette blessure est assez fréquente et peut. Les fractures de types i et ii ne nécessitent généralement pas de chirurgie, un traitement orthopédique pourra être suffisant. La fracture du coude désigne le plus souvent la fracture de la parte inférieure de l’humérus, qui est l’os du bras. Le traitement des fractures de l’olécrane repose sur le port d’une attelle, parfois. Fracture Coude Traitement.
From www.chirurgien-orthopediste-lyon.fr
Traumatologie spécialisée Fractures du coude Fracture Coude Traitement Les fractures de types i et ii ne nécessitent généralement pas de chirurgie, un traitement orthopédique pourra être suffisant. Fracture de la tête radiale (ou tête du radius, ou cupule radiale), les plus fréquentes (50 % des fractures du coude) ; Le traitement consiste à consulter un chirurgien orthopédique et à appliquer une attelle (si les os sont toujours alignés). Fracture Coude Traitement.
From www.slideserve.com
PPT Fractures du COUDE PowerPoint Presentation, free download ID Fracture Coude Traitement Le traitement consiste à consulter un chirurgien orthopédique et à appliquer une attelle (si les os sont toujours alignés) ou à réaliser une chirurgie (si les parties cassées sont séparées et/ou mal alignées). Le coude est un complexe articulaire reliant 3 os : La fracture du coude désigne le plus souvent la fracture de la parte inférieure de l’humérus, qui. Fracture Coude Traitement.
From docteur-sebastien-elsair.fr
Fracture du coude Dr ElSair Fracture Coude Traitement Le traitement consiste à consulter un chirurgien orthopédique et à appliquer une attelle (si les os sont toujours alignés) ou à réaliser une chirurgie (si les parties cassées sont séparées et/ou mal alignées). Cette blessure est assez fréquente et peut. Cet article vise à explorer les principales pathologies du coude rencontrées chez les sportifs, leurs symptômes, causes, et les. Le. Fracture Coude Traitement.
From groupesantepourtous.com
Fracture supracondylienne (coude) Définition et prise en charge Fracture Coude Traitement Cet article vise à explorer les principales pathologies du coude rencontrées chez les sportifs, leurs symptômes, causes, et les. Fracture de la tête radiale (ou tête du radius, ou cupule radiale), les plus fréquentes (50 % des fractures du coude) ; Selon l’os qui est fracturé, et donc la localisation de la fracture, le nom précis de la fracture est. Fracture Coude Traitement.
From www.youtube.com
Rééducation de la Fracture du coude Exercices kiné YouTube Fracture Coude Traitement La fracture du coude désigne le plus souvent la fracture de la parte inférieure de l’humérus, qui est l’os du bras. Cet article vise à explorer les principales pathologies du coude rencontrées chez les sportifs, leurs symptômes, causes, et les. Cette blessure est assez fréquente et peut. Une fracture du coude est une rupture d’un ou plusieurs des os qui. Fracture Coude Traitement.
From www.centre-osteo-articulaire.fr
Fracture du coude Clinique Ostéo Articulaire des Cèdres Grenoble Fracture Coude Traitement Le coude est un complexe articulaire reliant 3 os : Le traitement consiste à consulter un chirurgien orthopédique et à appliquer une attelle (si les os sont toujours alignés) ou à réaliser une chirurgie (si les parties cassées sont séparées et/ou mal alignées). Le traitement des fractures de l’olécrane repose sur le port d’une attelle, parfois une chirurgie et un. Fracture Coude Traitement.
From mon-epaule.fr
Fracture du coude traumatisme à traiter en chirurgie Mon Épaule Fracture Coude Traitement Une fracture du coude est une rupture d’un ou plusieurs des os qui constituent l’articulation du coude. Fracture de la tête radiale (ou tête du radius, ou cupule radiale), les plus fréquentes (50 % des fractures du coude) ; Selon l’os qui est fracturé, et donc la localisation de la fracture, le nom précis de la fracture est différent :. Fracture Coude Traitement.
From www.centre-osteo-articulaire.fr
Fracture du coude Clinique Ostéo Articulaire des Cèdres Grenoble Fracture Coude Traitement Le coude est un complexe articulaire reliant 3 os : Le traitement des fractures de l’olécrane repose sur le port d’une attelle, parfois une chirurgie et un traitement par antibiotiques en cas de fracture. Cet article vise à explorer les principales pathologies du coude rencontrées chez les sportifs, leurs symptômes, causes, et les. Les fractures de types i et ii. Fracture Coude Traitement.
From www.docteur-remi.fr
FRACTURE DU COUDE Dr Rémi chirurgien orthopédiste à Toulouse Fracture Coude Traitement Le traitement consiste à consulter un chirurgien orthopédique et à appliquer une attelle (si les os sont toujours alignés) ou à réaliser une chirurgie (si les parties cassées sont séparées et/ou mal alignées). Une fracture du coude est une rupture d’un ou plusieurs des os qui constituent l’articulation du coude. Fracture de la tête radiale (ou tête du radius, ou. Fracture Coude Traitement.
From www.centre-osteo-articulaire.fr
Fracture du coude Clinique Ostéo Articulaire des Cèdres Grenoble Fracture Coude Traitement Selon l’os qui est fracturé, et donc la localisation de la fracture, le nom précis de la fracture est différent : Les fractures de types i et ii ne nécessitent généralement pas de chirurgie, un traitement orthopédique pourra être suffisant. La fracture du coude désigne le plus souvent la fracture de la parte inférieure de l’humérus, qui est l’os du. Fracture Coude Traitement.
From www.docteur-remi.fr
FRACTURE DU COUDE Dr Rémi chirurgien orthopédiste à Toulouse Fracture Coude Traitement Le coude est un complexe articulaire reliant 3 os : Le traitement des fractures de l’olécrane repose sur le port d’une attelle, parfois une chirurgie et un traitement par antibiotiques en cas de fracture. Fracture de la tête radiale (ou tête du radius, ou cupule radiale), les plus fréquentes (50 % des fractures du coude) ; Cet article vise à. Fracture Coude Traitement.
From www.sport-orthese.com
Fracture Du Coude [Zoom Sur] Fracture Coude Traitement Le traitement consiste à consulter un chirurgien orthopédique et à appliquer une attelle (si les os sont toujours alignés) ou à réaliser une chirurgie (si les parties cassées sont séparées et/ou mal alignées). Cette blessure est assez fréquente et peut. Selon l’os qui est fracturé, et donc la localisation de la fracture, le nom précis de la fracture est différent. Fracture Coude Traitement.
From www.centre-osteo-articulaire.fr
Fracture du coude Clinique Ostéo Articulaire des Cèdres Grenoble Fracture Coude Traitement Cette blessure est assez fréquente et peut. Selon l’os qui est fracturé, et donc la localisation de la fracture, le nom précis de la fracture est différent : Fracture de la tête radiale (ou tête du radius, ou cupule radiale), les plus fréquentes (50 % des fractures du coude) ; Le traitement consiste à consulter un chirurgien orthopédique et à. Fracture Coude Traitement.
From mon-epaule.fr
Fracture du coude traumatisme à traiter en chirurgie Mon Épaule Fracture Coude Traitement Une fracture du coude est une rupture d’un ou plusieurs des os qui constituent l’articulation du coude. Selon l’os qui est fracturé, et donc la localisation de la fracture, le nom précis de la fracture est différent : Le coude est un complexe articulaire reliant 3 os : Cette blessure est assez fréquente et peut. La fracture du coude désigne. Fracture Coude Traitement.
From www.docteur-remi.fr
FRACTURE DU COUDE Dr Rémi chirurgien orthopédiste à Toulouse Fracture Coude Traitement Les fractures de types i et ii ne nécessitent généralement pas de chirurgie, un traitement orthopédique pourra être suffisant. Le traitement consiste à consulter un chirurgien orthopédique et à appliquer une attelle (si les os sont toujours alignés) ou à réaliser une chirurgie (si les parties cassées sont séparées et/ou mal alignées). Cet article vise à explorer les principales pathologies. Fracture Coude Traitement.
From l-orthesiste.fr
Fracture du coude L'Orthesiste.fr Fracture Coude Traitement Cet article vise à explorer les principales pathologies du coude rencontrées chez les sportifs, leurs symptômes, causes, et les. Le coude est un complexe articulaire reliant 3 os : Le traitement consiste à consulter un chirurgien orthopédique et à appliquer une attelle (si les os sont toujours alignés) ou à réaliser une chirurgie (si les parties cassées sont séparées et/ou. Fracture Coude Traitement.
From l-orthesiste.fr
Fracture du coude L'Orthesiste.fr Fracture Coude Traitement Les fractures de types i et ii ne nécessitent généralement pas de chirurgie, un traitement orthopédique pourra être suffisant. La fracture du coude désigne le plus souvent la fracture de la parte inférieure de l’humérus, qui est l’os du bras. Selon l’os qui est fracturé, et donc la localisation de la fracture, le nom précis de la fracture est différent. Fracture Coude Traitement.
From www.centre-osteo-articulaire.fr
Fracture du coude Clinique Ostéo Articulaire des Cèdres Grenoble Fracture Coude Traitement Le traitement des fractures de l’olécrane repose sur le port d’une attelle, parfois une chirurgie et un traitement par antibiotiques en cas de fracture. Le traitement consiste à consulter un chirurgien orthopédique et à appliquer une attelle (si les os sont toujours alignés) ou à réaliser une chirurgie (si les parties cassées sont séparées et/ou mal alignées). Selon l’os qui. Fracture Coude Traitement.
From mon-epaule.fr
Fracture du coude traumatisme à traiter en chirurgie Mon Épaule Fracture Coude Traitement Une fracture du coude est une rupture d’un ou plusieurs des os qui constituent l’articulation du coude. Cette blessure est assez fréquente et peut. Le traitement consiste à consulter un chirurgien orthopédique et à appliquer une attelle (si les os sont toujours alignés) ou à réaliser une chirurgie (si les parties cassées sont séparées et/ou mal alignées). Le coude est. Fracture Coude Traitement.