Desensitizing Agent Dental Code . Resin for cervical and/or root surface, per tooth description: cdt code d1355, effective on january 1, 2021, enables documenting and reporting this preventive “per tooth” procedure. Sdf was applied as a desensitizing agent along the gumline with slight recession. the code for tooth sensitivity is d9910: dental code d9910 involves the meticulous application of a desensitizing medicament, providing effective relief from tooth. individuals suffering from tooth sensitivity not caused by decay or pulpitis, but rather due to exposed root areas, may opt for the. This cites the use of a desensitizing medicament applied to. These images and patient treatment options help explain how and when dental hygienists can use sdf to complement their dental provider’s diagnosis. Application of desensitizing medicament per visit.
from henryschein.com.au
the code for tooth sensitivity is d9910: Application of desensitizing medicament per visit. These images and patient treatment options help explain how and when dental hygienists can use sdf to complement their dental provider’s diagnosis. Sdf was applied as a desensitizing agent along the gumline with slight recession. This cites the use of a desensitizing medicament applied to. dental code d9910 involves the meticulous application of a desensitizing medicament, providing effective relief from tooth. cdt code d1355, effective on january 1, 2021, enables documenting and reporting this preventive “per tooth” procedure. individuals suffering from tooth sensitivity not caused by decay or pulpitis, but rather due to exposed root areas, may opt for the. Resin for cervical and/or root surface, per tooth description:
SD8800531 SDI Riva Star Aqua Tooth Desensitizing Agent Bottle
Desensitizing Agent Dental Code Sdf was applied as a desensitizing agent along the gumline with slight recession. This cites the use of a desensitizing medicament applied to. the code for tooth sensitivity is d9910: Sdf was applied as a desensitizing agent along the gumline with slight recession. Resin for cervical and/or root surface, per tooth description: dental code d9910 involves the meticulous application of a desensitizing medicament, providing effective relief from tooth. individuals suffering from tooth sensitivity not caused by decay or pulpitis, but rather due to exposed root areas, may opt for the. These images and patient treatment options help explain how and when dental hygienists can use sdf to complement their dental provider’s diagnosis. Application of desensitizing medicament per visit. cdt code d1355, effective on january 1, 2021, enables documenting and reporting this preventive “per tooth” procedure.
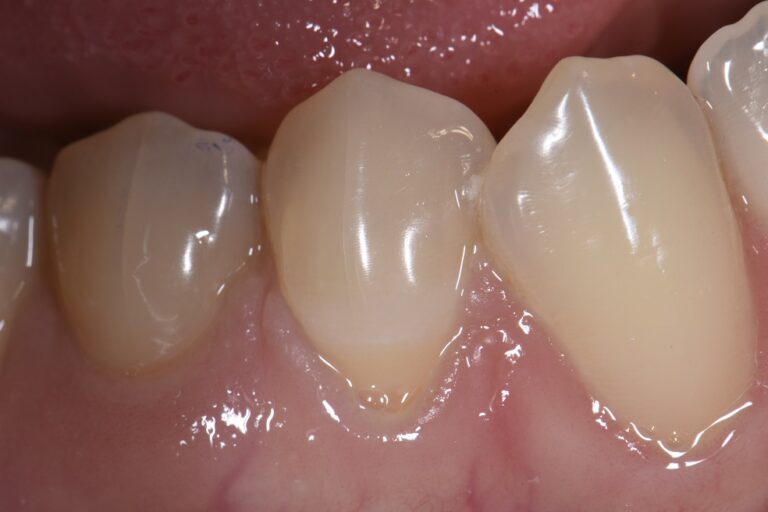
From www.dentaldevotee.com
Dentosphere World of Dentistry PGCEE MDS 2022 The dentin Desensitizing Agent Dental Code Resin for cervical and/or root surface, per tooth description: Application of desensitizing medicament per visit. dental code d9910 involves the meticulous application of a desensitizing medicament, providing effective relief from tooth. Sdf was applied as a desensitizing agent along the gumline with slight recession. individuals suffering from tooth sensitivity not caused by decay or pulpitis, but rather due. Desensitizing Agent Dental Code.
From thenepalidoctor.com
Dental Desensitizing Agent/ Obtundents The Nepali Doctor Desensitizing Agent Dental Code individuals suffering from tooth sensitivity not caused by decay or pulpitis, but rather due to exposed root areas, may opt for the. Application of desensitizing medicament per visit. Sdf was applied as a desensitizing agent along the gumline with slight recession. cdt code d1355, effective on january 1, 2021, enables documenting and reporting this preventive “per tooth” procedure.. Desensitizing Agent Dental Code.
From www.youtube.com
dental products dentifrice role of Flouride in treatment of dental Desensitizing Agent Dental Code individuals suffering from tooth sensitivity not caused by decay or pulpitis, but rather due to exposed root areas, may opt for the. Resin for cervical and/or root surface, per tooth description: Sdf was applied as a desensitizing agent along the gumline with slight recession. the code for tooth sensitivity is d9910: cdt code d1355, effective on january. Desensitizing Agent Dental Code.
From www.youtube.com
Dentifrice&Desensitizing agent, ChemistryI, Unit2(part10 Desensitizing Agent Dental Code Sdf was applied as a desensitizing agent along the gumline with slight recession. This cites the use of a desensitizing medicament applied to. the code for tooth sensitivity is d9910: dental code d9910 involves the meticulous application of a desensitizing medicament, providing effective relief from tooth. These images and patient treatment options help explain how and when dental. Desensitizing Agent Dental Code.
From www.scribd.com
Associative Protocol For Dentin Hypersensitivity Using NdYAG Laser and Desensitizing Agent Dental Code Resin for cervical and/or root surface, per tooth description: the code for tooth sensitivity is d9910: This cites the use of a desensitizing medicament applied to. cdt code d1355, effective on january 1, 2021, enables documenting and reporting this preventive “per tooth” procedure. individuals suffering from tooth sensitivity not caused by decay or pulpitis, but rather due. Desensitizing Agent Dental Code.
From primeradentalhub.com
Kovident Eugenol Desensitizing Agent Primera Dental Hub Desensitizing Agent Dental Code Application of desensitizing medicament per visit. the code for tooth sensitivity is d9910: Sdf was applied as a desensitizing agent along the gumline with slight recession. Resin for cervical and/or root surface, per tooth description: cdt code d1355, effective on january 1, 2021, enables documenting and reporting this preventive “per tooth” procedure. This cites the use of a. Desensitizing Agent Dental Code.
From www.etsy.com
Dental Hygiene Clinical Cheat Sheet DIGITAL DOWNLOAD, Primary and Desensitizing Agent Dental Code Application of desensitizing medicament per visit. These images and patient treatment options help explain how and when dental hygienists can use sdf to complement their dental provider’s diagnosis. the code for tooth sensitivity is d9910: Resin for cervical and/or root surface, per tooth description: dental code d9910 involves the meticulous application of a desensitizing medicament, providing effective relief. Desensitizing Agent Dental Code.
From www.researchgate.net
(PDF) Desensitizing dental system after nonsurgical periodontal therapy Desensitizing Agent Dental Code These images and patient treatment options help explain how and when dental hygienists can use sdf to complement their dental provider’s diagnosis. This cites the use of a desensitizing medicament applied to. Resin for cervical and/or root surface, per tooth description: dental code d9910 involves the meticulous application of a desensitizing medicament, providing effective relief from tooth. cdt. Desensitizing Agent Dental Code.
From henryschein.com.au
SD8800531 SDI Riva Star Aqua Tooth Desensitizing Agent Bottle Desensitizing Agent Dental Code cdt code d1355, effective on january 1, 2021, enables documenting and reporting this preventive “per tooth” procedure. dental code d9910 involves the meticulous application of a desensitizing medicament, providing effective relief from tooth. This cites the use of a desensitizing medicament applied to. the code for tooth sensitivity is d9910: These images and patient treatment options help. Desensitizing Agent Dental Code.
From www.allfordentist.com
Dentin Desensitizer 10ml Bottle Desensitizing Agent Dental Code cdt code d1355, effective on january 1, 2021, enables documenting and reporting this preventive “per tooth” procedure. This cites the use of a desensitizing medicament applied to. Application of desensitizing medicament per visit. These images and patient treatment options help explain how and when dental hygienists can use sdf to complement their dental provider’s diagnosis. Sdf was applied as. Desensitizing Agent Dental Code.
From clinicfeed.com
Dental CharmSensy Light Curing Desensitizing Agent, 5ml Bottle Desensitizing Agent Dental Code Sdf was applied as a desensitizing agent along the gumline with slight recession. These images and patient treatment options help explain how and when dental hygienists can use sdf to complement their dental provider’s diagnosis. This cites the use of a desensitizing medicament applied to. Application of desensitizing medicament per visit. dental code d9910 involves the meticulous application of. Desensitizing Agent Dental Code.
From kulzerus.com
Gluma® Desensitizer Desensitizing Agent Dental Code Sdf was applied as a desensitizing agent along the gumline with slight recession. These images and patient treatment options help explain how and when dental hygienists can use sdf to complement their dental provider’s diagnosis. dental code d9910 involves the meticulous application of a desensitizing medicament, providing effective relief from tooth. the code for tooth sensitivity is d9910:. Desensitizing Agent Dental Code.
From medsdental.com
MedsDental Decoding the dental code CDT D0140 what is its importance? Desensitizing Agent Dental Code cdt code d1355, effective on january 1, 2021, enables documenting and reporting this preventive “per tooth” procedure. This cites the use of a desensitizing medicament applied to. These images and patient treatment options help explain how and when dental hygienists can use sdf to complement their dental provider’s diagnosis. Sdf was applied as a desensitizing agent along the gumline. Desensitizing Agent Dental Code.
From www.researchgate.net
Classification of desensitizing agents by their mode of administration Desensitizing Agent Dental Code the code for tooth sensitivity is d9910: cdt code d1355, effective on january 1, 2021, enables documenting and reporting this preventive “per tooth” procedure. Resin for cervical and/or root surface, per tooth description: Sdf was applied as a desensitizing agent along the gumline with slight recession. dental code d9910 involves the meticulous application of a desensitizing medicament,. Desensitizing Agent Dental Code.
From icoi-ap.org
Understanding the D2391 Dental Code for ResinBased Composite Fillings Desensitizing Agent Dental Code the code for tooth sensitivity is d9910: cdt code d1355, effective on january 1, 2021, enables documenting and reporting this preventive “per tooth” procedure. individuals suffering from tooth sensitivity not caused by decay or pulpitis, but rather due to exposed root areas, may opt for the. Sdf was applied as a desensitizing agent along the gumline with. Desensitizing Agent Dental Code.
From aestheticimplantdentistry.ca
Dental Hygiene Desensitizing Varnish Treatment Desensitizing Agent Dental Code These images and patient treatment options help explain how and when dental hygienists can use sdf to complement their dental provider’s diagnosis. Resin for cervical and/or root surface, per tooth description: dental code d9910 involves the meticulous application of a desensitizing medicament, providing effective relief from tooth. the code for tooth sensitivity is d9910: This cites the use. Desensitizing Agent Dental Code.
From wasserman-medical.com
CDT 2023 Dental Procedure Codes Wasserman Medical & Dental Desensitizing Agent Dental Code Sdf was applied as a desensitizing agent along the gumline with slight recession. These images and patient treatment options help explain how and when dental hygienists can use sdf to complement their dental provider’s diagnosis. individuals suffering from tooth sensitivity not caused by decay or pulpitis, but rather due to exposed root areas, may opt for the. the. Desensitizing Agent Dental Code.
From www.dentaladvisor.com
Perfect Desensitizer The Dental Advisor Desensitizing Agent Dental Code This cites the use of a desensitizing medicament applied to. These images and patient treatment options help explain how and when dental hygienists can use sdf to complement their dental provider’s diagnosis. individuals suffering from tooth sensitivity not caused by decay or pulpitis, but rather due to exposed root areas, may opt for the. the code for tooth. Desensitizing Agent Dental Code.
From informacionpublica.svet.gob.gt
Desensitizing Agents In Dental Products informacionpublica.svet.gob.gt Desensitizing Agent Dental Code Application of desensitizing medicament per visit. individuals suffering from tooth sensitivity not caused by decay or pulpitis, but rather due to exposed root areas, may opt for the. This cites the use of a desensitizing medicament applied to. the code for tooth sensitivity is d9910: Resin for cervical and/or root surface, per tooth description: cdt code d1355,. Desensitizing Agent Dental Code.
From henryschein.com.au
SD8800507 SDI Riva Star Tooth Desensitizing Agent Capsule kit Desensitizing Agent Dental Code the code for tooth sensitivity is d9910: This cites the use of a desensitizing medicament applied to. Resin for cervical and/or root surface, per tooth description: individuals suffering from tooth sensitivity not caused by decay or pulpitis, but rather due to exposed root areas, may opt for the. Sdf was applied as a desensitizing agent along the gumline. Desensitizing Agent Dental Code.
From www.outsourcestrategies.com
Podcast Billing for Dental Desensitizing Treatments Desensitizing Agent Dental Code Application of desensitizing medicament per visit. Sdf was applied as a desensitizing agent along the gumline with slight recession. This cites the use of a desensitizing medicament applied to. dental code d9910 involves the meticulous application of a desensitizing medicament, providing effective relief from tooth. These images and patient treatment options help explain how and when dental hygienists can. Desensitizing Agent Dental Code.
From www.clarencetam.co.nz
Sensitive Root desensitizing treatment Desensitizing Agent Dental Code This cites the use of a desensitizing medicament applied to. Resin for cervical and/or root surface, per tooth description: Application of desensitizing medicament per visit. These images and patient treatment options help explain how and when dental hygienists can use sdf to complement their dental provider’s diagnosis. cdt code d1355, effective on january 1, 2021, enables documenting and reporting. Desensitizing Agent Dental Code.
From www.slideserve.com
PPT General Principles of Periodontal Surgery PowerPoint Presentation Desensitizing Agent Dental Code cdt code d1355, effective on january 1, 2021, enables documenting and reporting this preventive “per tooth” procedure. the code for tooth sensitivity is d9910: dental code d9910 involves the meticulous application of a desensitizing medicament, providing effective relief from tooth. Application of desensitizing medicament per visit. These images and patient treatment options help explain how and when. Desensitizing Agent Dental Code.
From www.heydent.com
Heydent GmbH Desensitizing Desensitizing Agent Dental Code cdt code d1355, effective on january 1, 2021, enables documenting and reporting this preventive “per tooth” procedure. Sdf was applied as a desensitizing agent along the gumline with slight recession. This cites the use of a desensitizing medicament applied to. Resin for cervical and/or root surface, per tooth description: Application of desensitizing medicament per visit. the code for. Desensitizing Agent Dental Code.
From www.dentistryiq.com
Tokuyama introduces Shield Force desensitizing agent Dentistry IQ Desensitizing Agent Dental Code the code for tooth sensitivity is d9910: This cites the use of a desensitizing medicament applied to. individuals suffering from tooth sensitivity not caused by decay or pulpitis, but rather due to exposed root areas, may opt for the. dental code d9910 involves the meticulous application of a desensitizing medicament, providing effective relief from tooth. cdt. Desensitizing Agent Dental Code.
From www.researchgate.net
(PDF) Desensitizing Agent Reduces Dentin Hypersensitivity During Desensitizing Agent Dental Code Application of desensitizing medicament per visit. These images and patient treatment options help explain how and when dental hygienists can use sdf to complement their dental provider’s diagnosis. individuals suffering from tooth sensitivity not caused by decay or pulpitis, but rather due to exposed root areas, may opt for the. This cites the use of a desensitizing medicament applied. Desensitizing Agent Dental Code.
From www.kzndental.co.za
Desensitizers CharmSensy. Nano Light Curing Desensitizing Agent. 1x5ml Desensitizing Agent Dental Code cdt code d1355, effective on january 1, 2021, enables documenting and reporting this preventive “per tooth” procedure. Sdf was applied as a desensitizing agent along the gumline with slight recession. This cites the use of a desensitizing medicament applied to. dental code d9910 involves the meticulous application of a desensitizing medicament, providing effective relief from tooth. the. Desensitizing Agent Dental Code.
From igropar.com
DESENSITIZING AGENT HEMA GLUTABENZ 7ml Desensitizing Agent Dental Code This cites the use of a desensitizing medicament applied to. Resin for cervical and/or root surface, per tooth description: cdt code d1355, effective on january 1, 2021, enables documenting and reporting this preventive “per tooth” procedure. Sdf was applied as a desensitizing agent along the gumline with slight recession. individuals suffering from tooth sensitivity not caused by decay. Desensitizing Agent Dental Code.
From www.semanticscholar.org
Figure 1 from Effectiveness of desensitizing agents in relieving the Desensitizing Agent Dental Code Application of desensitizing medicament per visit. This cites the use of a desensitizing medicament applied to. cdt code d1355, effective on january 1, 2021, enables documenting and reporting this preventive “per tooth” procedure. dental code d9910 involves the meticulous application of a desensitizing medicament, providing effective relief from tooth. individuals suffering from tooth sensitivity not caused by. Desensitizing Agent Dental Code.
From www.tokuyama-us.com
Shield Force Plus Dental Desensitizer Tokuyama Densensitizer Desensitizing Agent Dental Code individuals suffering from tooth sensitivity not caused by decay or pulpitis, but rather due to exposed root areas, may opt for the. These images and patient treatment options help explain how and when dental hygienists can use sdf to complement their dental provider’s diagnosis. dental code d9910 involves the meticulous application of a desensitizing medicament, providing effective relief. Desensitizing Agent Dental Code.
From www.dentaldevotee.com
Dentosphere World of Dentistry Dentin Desensitizing Agent Desensitizing Agent Dental Code dental code d9910 involves the meticulous application of a desensitizing medicament, providing effective relief from tooth. individuals suffering from tooth sensitivity not caused by decay or pulpitis, but rather due to exposed root areas, may opt for the. Sdf was applied as a desensitizing agent along the gumline with slight recession. This cites the use of a desensitizing. Desensitizing Agent Dental Code.
From www.youtube.com
Billing for Dental Desensitizing Treatments YouTube Desensitizing Agent Dental Code These images and patient treatment options help explain how and when dental hygienists can use sdf to complement their dental provider’s diagnosis. the code for tooth sensitivity is d9910: Application of desensitizing medicament per visit. Sdf was applied as a desensitizing agent along the gumline with slight recession. This cites the use of a desensitizing medicament applied to. . Desensitizing Agent Dental Code.
From pac-dent.com
SensiGuard™ HEMAbased Desensitizing Agent PacDent Desensitizing Agent Dental Code Resin for cervical and/or root surface, per tooth description: Sdf was applied as a desensitizing agent along the gumline with slight recession. the code for tooth sensitivity is d9910: These images and patient treatment options help explain how and when dental hygienists can use sdf to complement their dental provider’s diagnosis. cdt code d1355, effective on january 1,. Desensitizing Agent Dental Code.
From www.checkurinsurance.com
Comprehensive Guide to Dental Code Bone Graft Procedures Desensitizing Agent Dental Code cdt code d1355, effective on january 1, 2021, enables documenting and reporting this preventive “per tooth” procedure. the code for tooth sensitivity is d9910: individuals suffering from tooth sensitivity not caused by decay or pulpitis, but rather due to exposed root areas, may opt for the. These images and patient treatment options help explain how and when. Desensitizing Agent Dental Code.
From www.afdentalcenter.com
Teeth desensitizing American Fork Dental Center Desensitizing Agent Dental Code Resin for cervical and/or root surface, per tooth description: These images and patient treatment options help explain how and when dental hygienists can use sdf to complement their dental provider’s diagnosis. Sdf was applied as a desensitizing agent along the gumline with slight recession. Application of desensitizing medicament per visit. the code for tooth sensitivity is d9910: dental. Desensitizing Agent Dental Code.