Thymic Hyperplasia Pathology Outlines . Thymomas are rare tumors arising from thymic epithelial cells with incidence rates of approximately 2.5 per million per year. Defined as the presence of lymphoid follicles in the thymus regardless of the gland size. In fact, the gland is of normal size in. Risk factors for thymoma are males with initial. True thymic hyperplasia is defined as increase in both size and weight of the gland while maintaining normal architecture. Thymic hyperplasia describes a nonneoplastic condition of the thymus, characterized by an increased number of the constituent cells of the. Benign thymic gland (e.g., thymic follicular hyperplasia, true thymic hyperplasia, sampling bias): This activity describes pathophysiology, evaluation, and management of thymic hyperplasia and highlights the role of the. Uncommon disorder with no / limited symptoms; 65% of patients have thymic hyperplasia, 25% normal thymus, 10% thymomas; Thymomas are rare before 25 years of age but show a wide age.
from www.pathologyoutlines.com
Thymomas are rare before 25 years of age but show a wide age. Benign thymic gland (e.g., thymic follicular hyperplasia, true thymic hyperplasia, sampling bias): Defined as the presence of lymphoid follicles in the thymus regardless of the gland size. This activity describes pathophysiology, evaluation, and management of thymic hyperplasia and highlights the role of the. Thymic hyperplasia describes a nonneoplastic condition of the thymus, characterized by an increased number of the constituent cells of the. 65% of patients have thymic hyperplasia, 25% normal thymus, 10% thymomas; Thymomas are rare tumors arising from thymic epithelial cells with incidence rates of approximately 2.5 per million per year. Uncommon disorder with no / limited symptoms; In fact, the gland is of normal size in. Risk factors for thymoma are males with initial.
Pathology Outlines Thymic cyst
Thymic Hyperplasia Pathology Outlines Benign thymic gland (e.g., thymic follicular hyperplasia, true thymic hyperplasia, sampling bias): Benign thymic gland (e.g., thymic follicular hyperplasia, true thymic hyperplasia, sampling bias): True thymic hyperplasia is defined as increase in both size and weight of the gland while maintaining normal architecture. In fact, the gland is of normal size in. Thymomas are rare tumors arising from thymic epithelial cells with incidence rates of approximately 2.5 per million per year. Uncommon disorder with no / limited symptoms; Risk factors for thymoma are males with initial. 65% of patients have thymic hyperplasia, 25% normal thymus, 10% thymomas; Defined as the presence of lymphoid follicles in the thymus regardless of the gland size. Thymic hyperplasia describes a nonneoplastic condition of the thymus, characterized by an increased number of the constituent cells of the. This activity describes pathophysiology, evaluation, and management of thymic hyperplasia and highlights the role of the. Thymomas are rare before 25 years of age but show a wide age.
From www.researchgate.net
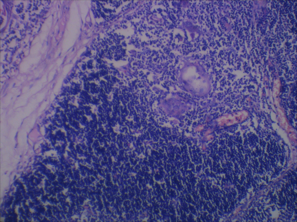
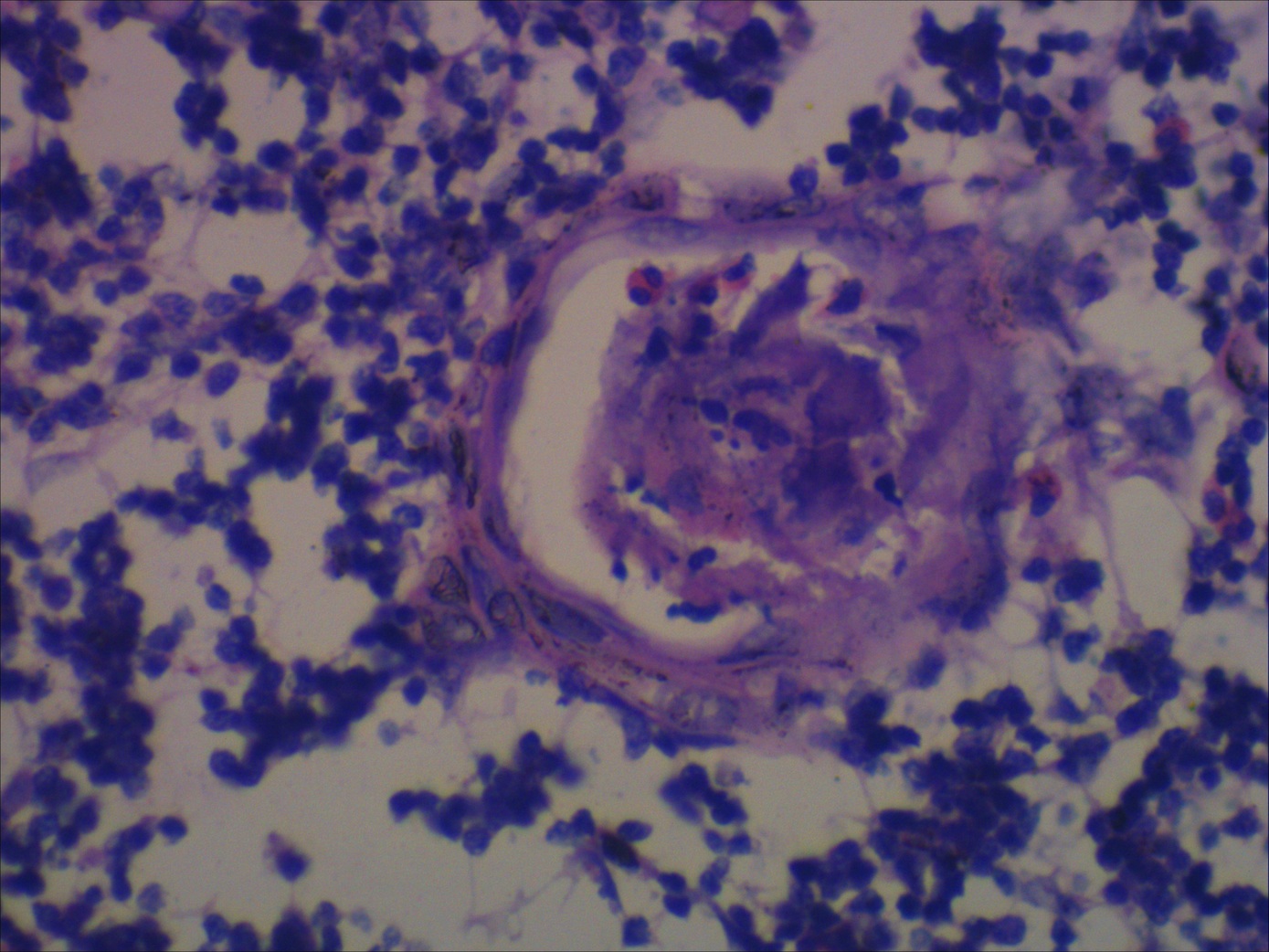
Microscopic images of thymic hyperplasia great lymphoid follicles ((a Thymic Hyperplasia Pathology Outlines True thymic hyperplasia is defined as increase in both size and weight of the gland while maintaining normal architecture. Defined as the presence of lymphoid follicles in the thymus regardless of the gland size. 65% of patients have thymic hyperplasia, 25% normal thymus, 10% thymomas; Risk factors for thymoma are males with initial. In fact, the gland is of normal. Thymic Hyperplasia Pathology Outlines.
From www.researchgate.net
(A) Hyperplastic multinodular thymic parenchyma, separated by Thymic Hyperplasia Pathology Outlines Benign thymic gland (e.g., thymic follicular hyperplasia, true thymic hyperplasia, sampling bias): Defined as the presence of lymphoid follicles in the thymus regardless of the gland size. Thymomas are rare before 25 years of age but show a wide age. Uncommon disorder with no / limited symptoms; In fact, the gland is of normal size in. Thymomas are rare tumors. Thymic Hyperplasia Pathology Outlines.
From www.pediatr-neonatol.com
Rebound Thymic Hyperplasia after Chemotherapy in Children with Lymphoma Thymic Hyperplasia Pathology Outlines Defined as the presence of lymphoid follicles in the thymus regardless of the gland size. Uncommon disorder with no / limited symptoms; 65% of patients have thymic hyperplasia, 25% normal thymus, 10% thymomas; Thymomas are rare before 25 years of age but show a wide age. Thymic hyperplasia describes a nonneoplastic condition of the thymus, characterized by an increased number. Thymic Hyperplasia Pathology Outlines.
From www.researchgate.net
(A, B) Thymectomy revealing thymic hyperplasia. Lobulated thymic Thymic Hyperplasia Pathology Outlines Benign thymic gland (e.g., thymic follicular hyperplasia, true thymic hyperplasia, sampling bias): True thymic hyperplasia is defined as increase in both size and weight of the gland while maintaining normal architecture. 65% of patients have thymic hyperplasia, 25% normal thymus, 10% thymomas; Thymic hyperplasia describes a nonneoplastic condition of the thymus, characterized by an increased number of the constituent cells. Thymic Hyperplasia Pathology Outlines.
From www.mayoclinic.org
Thymic hyperplasia in severe Graves' hyperthyroidism A case from the Thymic Hyperplasia Pathology Outlines Uncommon disorder with no / limited symptoms; In fact, the gland is of normal size in. True thymic hyperplasia is defined as increase in both size and weight of the gland while maintaining normal architecture. Thymomas are rare before 25 years of age but show a wide age. Benign thymic gland (e.g., thymic follicular hyperplasia, true thymic hyperplasia, sampling bias):. Thymic Hyperplasia Pathology Outlines.
From radiopaedia.org
Thymic rebound hyperplasia Image Thymic Hyperplasia Pathology Outlines Defined as the presence of lymphoid follicles in the thymus regardless of the gland size. Benign thymic gland (e.g., thymic follicular hyperplasia, true thymic hyperplasia, sampling bias): 65% of patients have thymic hyperplasia, 25% normal thymus, 10% thymomas; Risk factors for thymoma are males with initial. In fact, the gland is of normal size in. Thymic hyperplasia describes a nonneoplastic. Thymic Hyperplasia Pathology Outlines.
From www.ajronline.org
Imaging Characteristics of Pathologically Proven Thymic Hyperplasia Thymic Hyperplasia Pathology Outlines 65% of patients have thymic hyperplasia, 25% normal thymus, 10% thymomas; Thymomas are rare tumors arising from thymic epithelial cells with incidence rates of approximately 2.5 per million per year. Risk factors for thymoma are males with initial. Thymomas are rare before 25 years of age but show a wide age. Thymic hyperplasia describes a nonneoplastic condition of the thymus,. Thymic Hyperplasia Pathology Outlines.
From www.frontiersin.org
Frontiers Thymic Carcinoma A Review Thymic Hyperplasia Pathology Outlines This activity describes pathophysiology, evaluation, and management of thymic hyperplasia and highlights the role of the. 65% of patients have thymic hyperplasia, 25% normal thymus, 10% thymomas; Thymomas are rare tumors arising from thymic epithelial cells with incidence rates of approximately 2.5 per million per year. Risk factors for thymoma are males with initial. In fact, the gland is of. Thymic Hyperplasia Pathology Outlines.
From www.researchgate.net
(A, B) Thymic hyperplasia the thymic architecture is conserved Thymic Hyperplasia Pathology Outlines True thymic hyperplasia is defined as increase in both size and weight of the gland while maintaining normal architecture. Thymomas are rare tumors arising from thymic epithelial cells with incidence rates of approximately 2.5 per million per year. Thymomas are rare before 25 years of age but show a wide age. Risk factors for thymoma are males with initial. 65%. Thymic Hyperplasia Pathology Outlines.
From www.pathologyoutlines.com
Pathology Outlines Thymic cyst Thymic Hyperplasia Pathology Outlines Uncommon disorder with no / limited symptoms; Thymic hyperplasia describes a nonneoplastic condition of the thymus, characterized by an increased number of the constituent cells of the. Benign thymic gland (e.g., thymic follicular hyperplasia, true thymic hyperplasia, sampling bias): True thymic hyperplasia is defined as increase in both size and weight of the gland while maintaining normal architecture. Defined as. Thymic Hyperplasia Pathology Outlines.
From www.ajronline.org
Imaging Characteristics of Pathologically Proven Thymic Hyperplasia Thymic Hyperplasia Pathology Outlines In fact, the gland is of normal size in. True thymic hyperplasia is defined as increase in both size and weight of the gland while maintaining normal architecture. Thymic hyperplasia describes a nonneoplastic condition of the thymus, characterized by an increased number of the constituent cells of the. Risk factors for thymoma are males with initial. Uncommon disorder with no. Thymic Hyperplasia Pathology Outlines.
From www.clinicalimaging.org
Nodular thymic lymphoid follicular hyperplasia mimicking thymoma Thymic Hyperplasia Pathology Outlines Thymomas are rare tumors arising from thymic epithelial cells with incidence rates of approximately 2.5 per million per year. Risk factors for thymoma are males with initial. Thymomas are rare before 25 years of age but show a wide age. Thymic hyperplasia describes a nonneoplastic condition of the thymus, characterized by an increased number of the constituent cells of the.. Thymic Hyperplasia Pathology Outlines.
From www.mypathologyreport.ca
Thyroid Nodular thyroid hyperplasia Thyroid gland Thymic Hyperplasia Pathology Outlines This activity describes pathophysiology, evaluation, and management of thymic hyperplasia and highlights the role of the. Thymomas are rare tumors arising from thymic epithelial cells with incidence rates of approximately 2.5 per million per year. In fact, the gland is of normal size in. Benign thymic gland (e.g., thymic follicular hyperplasia, true thymic hyperplasia, sampling bias): True thymic hyperplasia is. Thymic Hyperplasia Pathology Outlines.
From www.pathologyoutlines.com
Pathology Outlines Thymic cyst Thymic Hyperplasia Pathology Outlines This activity describes pathophysiology, evaluation, and management of thymic hyperplasia and highlights the role of the. Thymomas are rare tumors arising from thymic epithelial cells with incidence rates of approximately 2.5 per million per year. In fact, the gland is of normal size in. Defined as the presence of lymphoid follicles in the thymus regardless of the gland size. Thymic. Thymic Hyperplasia Pathology Outlines.
From www.ctisus.com
Thymic Hyperplasia Chest Case Studies CTisus CT Scanning Thymic Hyperplasia Pathology Outlines Thymomas are rare tumors arising from thymic epithelial cells with incidence rates of approximately 2.5 per million per year. In fact, the gland is of normal size in. This activity describes pathophysiology, evaluation, and management of thymic hyperplasia and highlights the role of the. Benign thymic gland (e.g., thymic follicular hyperplasia, true thymic hyperplasia, sampling bias): Thymic hyperplasia describes a. Thymic Hyperplasia Pathology Outlines.
From klatqnwem.blob.core.windows.net
Thymoma Vs Thymic Hyperplasia at Amy Christensen blog Thymic Hyperplasia Pathology Outlines Uncommon disorder with no / limited symptoms; This activity describes pathophysiology, evaluation, and management of thymic hyperplasia and highlights the role of the. Benign thymic gland (e.g., thymic follicular hyperplasia, true thymic hyperplasia, sampling bias): Defined as the presence of lymphoid follicles in the thymus regardless of the gland size. Risk factors for thymoma are males with initial. 65% of. Thymic Hyperplasia Pathology Outlines.
From www.pathologyoutlines.com
Pathology Outlines True thymic hyperplasia Thymic Hyperplasia Pathology Outlines In fact, the gland is of normal size in. Thymomas are rare before 25 years of age but show a wide age. This activity describes pathophysiology, evaluation, and management of thymic hyperplasia and highlights the role of the. Risk factors for thymoma are males with initial. Thymic hyperplasia describes a nonneoplastic condition of the thymus, characterized by an increased number. Thymic Hyperplasia Pathology Outlines.
From www.reddit.com
Thymic hyperplasia (blue arrows) on CT and chemical shift MRI r/Radiology Thymic Hyperplasia Pathology Outlines 65% of patients have thymic hyperplasia, 25% normal thymus, 10% thymomas; Risk factors for thymoma are males with initial. Uncommon disorder with no / limited symptoms; Benign thymic gland (e.g., thymic follicular hyperplasia, true thymic hyperplasia, sampling bias): This activity describes pathophysiology, evaluation, and management of thymic hyperplasia and highlights the role of the. True thymic hyperplasia is defined as. Thymic Hyperplasia Pathology Outlines.
From pubs.rsna.org
The Thymus A Comprehensive Review RadioGraphics Thymic Hyperplasia Pathology Outlines True thymic hyperplasia is defined as increase in both size and weight of the gland while maintaining normal architecture. Risk factors for thymoma are males with initial. This activity describes pathophysiology, evaluation, and management of thymic hyperplasia and highlights the role of the. Benign thymic gland (e.g., thymic follicular hyperplasia, true thymic hyperplasia, sampling bias): Thymomas are rare before 25. Thymic Hyperplasia Pathology Outlines.
From www.jpedsurg.org
True thymic hyperplasia in an infant Journal of Pediatric Surgery Thymic Hyperplasia Pathology Outlines In fact, the gland is of normal size in. This activity describes pathophysiology, evaluation, and management of thymic hyperplasia and highlights the role of the. True thymic hyperplasia is defined as increase in both size and weight of the gland while maintaining normal architecture. Thymomas are rare before 25 years of age but show a wide age. Uncommon disorder with. Thymic Hyperplasia Pathology Outlines.
From www.pathologyoutlines.com
Pathology Outlines Thymic squamous cell carcinoma Thymic Hyperplasia Pathology Outlines This activity describes pathophysiology, evaluation, and management of thymic hyperplasia and highlights the role of the. Defined as the presence of lymphoid follicles in the thymus regardless of the gland size. True thymic hyperplasia is defined as increase in both size and weight of the gland while maintaining normal architecture. Uncommon disorder with no / limited symptoms; 65% of patients. Thymic Hyperplasia Pathology Outlines.
From www.pathologyoutlines.com
Pathology Outlines Intrathyroidal thymic carcinoma Thymic Hyperplasia Pathology Outlines 65% of patients have thymic hyperplasia, 25% normal thymus, 10% thymomas; True thymic hyperplasia is defined as increase in both size and weight of the gland while maintaining normal architecture. Thymomas are rare tumors arising from thymic epithelial cells with incidence rates of approximately 2.5 per million per year. Thymomas are rare before 25 years of age but show a. Thymic Hyperplasia Pathology Outlines.
From www.researchgate.net
Thymus with ‘thymic lymphoid follicular hyperplasia’ (TFH) in Thymic Hyperplasia Pathology Outlines Uncommon disorder with no / limited symptoms; Defined as the presence of lymphoid follicles in the thymus regardless of the gland size. Benign thymic gland (e.g., thymic follicular hyperplasia, true thymic hyperplasia, sampling bias): 65% of patients have thymic hyperplasia, 25% normal thymus, 10% thymomas; Thymomas are rare tumors arising from thymic epithelial cells with incidence rates of approximately 2.5. Thymic Hyperplasia Pathology Outlines.
From www.ctisus.com
Thymic Hyperplasia Chest Case Studies CTisus CT Scanning Thymic Hyperplasia Pathology Outlines 65% of patients have thymic hyperplasia, 25% normal thymus, 10% thymomas; In fact, the gland is of normal size in. Benign thymic gland (e.g., thymic follicular hyperplasia, true thymic hyperplasia, sampling bias): Thymomas are rare before 25 years of age but show a wide age. This activity describes pathophysiology, evaluation, and management of thymic hyperplasia and highlights the role of. Thymic Hyperplasia Pathology Outlines.
From radiopaedia.org
Thymic rebound hyperplasia Image Thymic Hyperplasia Pathology Outlines Defined as the presence of lymphoid follicles in the thymus regardless of the gland size. This activity describes pathophysiology, evaluation, and management of thymic hyperplasia and highlights the role of the. Thymomas are rare before 25 years of age but show a wide age. 65% of patients have thymic hyperplasia, 25% normal thymus, 10% thymomas; Thymomas are rare tumors arising. Thymic Hyperplasia Pathology Outlines.
From www.ctisus.com
Thymic Hyperplasia Chest Case Studies CTisus CT Scanning Thymic Hyperplasia Pathology Outlines Uncommon disorder with no / limited symptoms; 65% of patients have thymic hyperplasia, 25% normal thymus, 10% thymomas; Thymomas are rare tumors arising from thymic epithelial cells with incidence rates of approximately 2.5 per million per year. In fact, the gland is of normal size in. Thymomas are rare before 25 years of age but show a wide age. Risk. Thymic Hyperplasia Pathology Outlines.
From www.pathologyoutlines.com
Pathology Outlines Thymolipoma Thymic Hyperplasia Pathology Outlines This activity describes pathophysiology, evaluation, and management of thymic hyperplasia and highlights the role of the. Thymic hyperplasia describes a nonneoplastic condition of the thymus, characterized by an increased number of the constituent cells of the. True thymic hyperplasia is defined as increase in both size and weight of the gland while maintaining normal architecture. Defined as the presence of. Thymic Hyperplasia Pathology Outlines.
From www.pathologyoutlines.com
Pathology Outlines Thymolipoma Thymic Hyperplasia Pathology Outlines Thymomas are rare tumors arising from thymic epithelial cells with incidence rates of approximately 2.5 per million per year. In fact, the gland is of normal size in. Benign thymic gland (e.g., thymic follicular hyperplasia, true thymic hyperplasia, sampling bias): Uncommon disorder with no / limited symptoms; Thymomas are rare before 25 years of age but show a wide age.. Thymic Hyperplasia Pathology Outlines.
From www.pathologyoutlines.com
Pathology Outlines Thymic tissue Thymic Hyperplasia Pathology Outlines Benign thymic gland (e.g., thymic follicular hyperplasia, true thymic hyperplasia, sampling bias): Uncommon disorder with no / limited symptoms; Thymic hyperplasia describes a nonneoplastic condition of the thymus, characterized by an increased number of the constituent cells of the. Thymomas are rare before 25 years of age but show a wide age. Risk factors for thymoma are males with initial.. Thymic Hyperplasia Pathology Outlines.
From www.pathologyoutlines.com
Pathology Outlines Thymoma / thymic carcinoma Thymic Hyperplasia Pathology Outlines Uncommon disorder with no / limited symptoms; Thymomas are rare before 25 years of age but show a wide age. Risk factors for thymoma are males with initial. True thymic hyperplasia is defined as increase in both size and weight of the gland while maintaining normal architecture. In fact, the gland is of normal size in. Benign thymic gland (e.g.,. Thymic Hyperplasia Pathology Outlines.
From www.pathologyoutlines.com
Pathology Outlines Thymic cyst Thymic Hyperplasia Pathology Outlines This activity describes pathophysiology, evaluation, and management of thymic hyperplasia and highlights the role of the. True thymic hyperplasia is defined as increase in both size and weight of the gland while maintaining normal architecture. Uncommon disorder with no / limited symptoms; In fact, the gland is of normal size in. Thymic hyperplasia describes a nonneoplastic condition of the thymus,. Thymic Hyperplasia Pathology Outlines.
From www.pathologyatlas.ca
Thymic hyperplasia Ottawa Atlas of Pathology Thymic Hyperplasia Pathology Outlines Uncommon disorder with no / limited symptoms; In fact, the gland is of normal size in. Thymomas are rare before 25 years of age but show a wide age. Benign thymic gland (e.g., thymic follicular hyperplasia, true thymic hyperplasia, sampling bias): True thymic hyperplasia is defined as increase in both size and weight of the gland while maintaining normal architecture.. Thymic Hyperplasia Pathology Outlines.
From www.pathologyoutlines.com
Pathology Outlines True thymic hyperplasia Thymic Hyperplasia Pathology Outlines This activity describes pathophysiology, evaluation, and management of thymic hyperplasia and highlights the role of the. Risk factors for thymoma are males with initial. Uncommon disorder with no / limited symptoms; True thymic hyperplasia is defined as increase in both size and weight of the gland while maintaining normal architecture. In fact, the gland is of normal size in. Defined. Thymic Hyperplasia Pathology Outlines.
From www.researchgate.net
Diagnosis of rebound thymic hyperplasia (RTH), (A) computed tomography Thymic Hyperplasia Pathology Outlines Thymomas are rare tumors arising from thymic epithelial cells with incidence rates of approximately 2.5 per million per year. True thymic hyperplasia is defined as increase in both size and weight of the gland while maintaining normal architecture. Uncommon disorder with no / limited symptoms; Benign thymic gland (e.g., thymic follicular hyperplasia, true thymic hyperplasia, sampling bias): Defined as the. Thymic Hyperplasia Pathology Outlines.
From www.pathologyoutlines.com
Pathology Outlines Thymoma Thymic Hyperplasia Pathology Outlines Defined as the presence of lymphoid follicles in the thymus regardless of the gland size. Thymomas are rare before 25 years of age but show a wide age. Benign thymic gland (e.g., thymic follicular hyperplasia, true thymic hyperplasia, sampling bias): Uncommon disorder with no / limited symptoms; Thymomas are rare tumors arising from thymic epithelial cells with incidence rates of. Thymic Hyperplasia Pathology Outlines.