Dental Fluorosis Degree . at higher levels of fluoride exposure, the white lines in the enamel become more and more defined and. dental fluorosis is caused by the excessive ingestion of fluoride during tooth. dental fluorosis (df) is classically characterized by the stains. based on this paradigm, public health dentists argued that fluoride should be ingested during tooth formation. dental fluorosis occurs as a result of excess fluoride ingestion during tooth formation. dental fluorosis is a developmental disturbance of dental enamel, caused by successive exposures to high.
from www.researchgate.net
dental fluorosis occurs as a result of excess fluoride ingestion during tooth formation. at higher levels of fluoride exposure, the white lines in the enamel become more and more defined and. dental fluorosis is caused by the excessive ingestion of fluoride during tooth. dental fluorosis is a developmental disturbance of dental enamel, caused by successive exposures to high. based on this paradigm, public health dentists argued that fluoride should be ingested during tooth formation. dental fluorosis (df) is classically characterized by the stains.
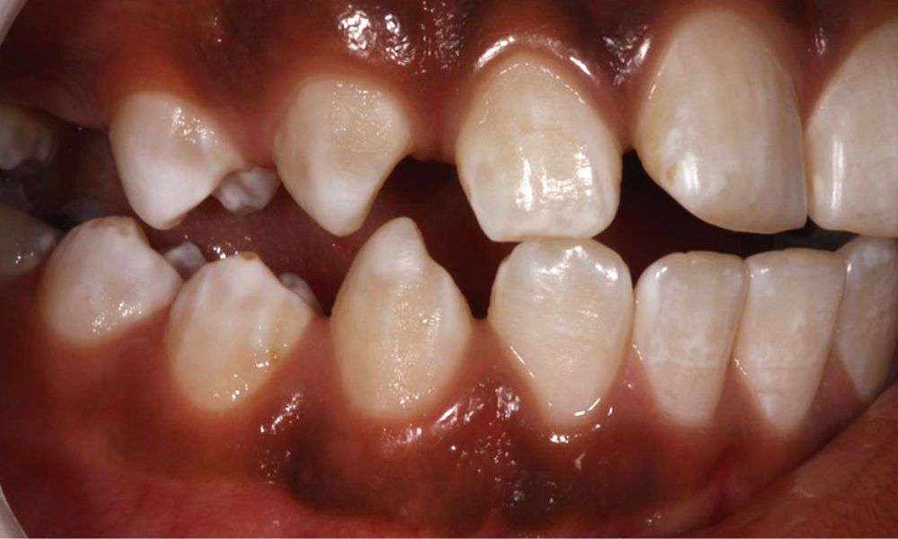
Degree of dental fluorosis in children between the ages of 8 and 15
Dental Fluorosis Degree dental fluorosis occurs as a result of excess fluoride ingestion during tooth formation. based on this paradigm, public health dentists argued that fluoride should be ingested during tooth formation. at higher levels of fluoride exposure, the white lines in the enamel become more and more defined and. dental fluorosis occurs as a result of excess fluoride ingestion during tooth formation. dental fluorosis is caused by the excessive ingestion of fluoride during tooth. dental fluorosis is a developmental disturbance of dental enamel, caused by successive exposures to high. dental fluorosis (df) is classically characterized by the stains.
From www.researchgate.net
(PDF) Clinical changes in the severity of dental fluorosis a Dental Fluorosis Degree dental fluorosis is a developmental disturbance of dental enamel, caused by successive exposures to high. dental fluorosis occurs as a result of excess fluoride ingestion during tooth formation. dental fluorosis (df) is classically characterized by the stains. at higher levels of fluoride exposure, the white lines in the enamel become more and more defined and. . Dental Fluorosis Degree.
From healthjade.com
Dental fluorosis causes, prevention, symptoms & dental fluorosis treatment Dental Fluorosis Degree dental fluorosis occurs as a result of excess fluoride ingestion during tooth formation. dental fluorosis (df) is classically characterized by the stains. dental fluorosis is a developmental disturbance of dental enamel, caused by successive exposures to high. at higher levels of fluoride exposure, the white lines in the enamel become more and more defined and. . Dental Fluorosis Degree.
From en.wikipedia.org
Dental fluorosis Wikipedia Dental Fluorosis Degree based on this paradigm, public health dentists argued that fluoride should be ingested during tooth formation. at higher levels of fluoride exposure, the white lines in the enamel become more and more defined and. dental fluorosis is a developmental disturbance of dental enamel, caused by successive exposures to high. dental fluorosis (df) is classically characterized by. Dental Fluorosis Degree.
From healthjade.net
Dental fluorosis causes, prevention, symptoms & dental fluorosis treatment Dental Fluorosis Degree dental fluorosis (df) is classically characterized by the stains. based on this paradigm, public health dentists argued that fluoride should be ingested during tooth formation. dental fluorosis is a developmental disturbance of dental enamel, caused by successive exposures to high. dental fluorosis is caused by the excessive ingestion of fluoride during tooth. dental fluorosis occurs. Dental Fluorosis Degree.
From edumound.com
Dental Fluorosis What is it, its Causes, Symptoms and Treatment Dental Fluorosis Degree dental fluorosis (df) is classically characterized by the stains. at higher levels of fluoride exposure, the white lines in the enamel become more and more defined and. based on this paradigm, public health dentists argued that fluoride should be ingested during tooth formation. dental fluorosis is caused by the excessive ingestion of fluoride during tooth. . Dental Fluorosis Degree.
From www.slideshare.net
Dental Fluorosis Dental Fluorosis Degree dental fluorosis is a developmental disturbance of dental enamel, caused by successive exposures to high. at higher levels of fluoride exposure, the white lines in the enamel become more and more defined and. dental fluorosis occurs as a result of excess fluoride ingestion during tooth formation. dental fluorosis is caused by the excessive ingestion of fluoride. Dental Fluorosis Degree.
From www.slideshare.net
Dental Fluorosis Dental Fluorosis Degree dental fluorosis (df) is classically characterized by the stains. dental fluorosis is caused by the excessive ingestion of fluoride during tooth. dental fluorosis is a developmental disturbance of dental enamel, caused by successive exposures to high. dental fluorosis occurs as a result of excess fluoride ingestion during tooth formation. at higher levels of fluoride exposure,. Dental Fluorosis Degree.
From www.researchgate.net
(PDF) Micromorphology analysis and compare bond strength of two Dental Fluorosis Degree at higher levels of fluoride exposure, the white lines in the enamel become more and more defined and. based on this paradigm, public health dentists argued that fluoride should be ingested during tooth formation. dental fluorosis is caused by the excessive ingestion of fluoride during tooth. dental fluorosis (df) is classically characterized by the stains. . Dental Fluorosis Degree.
From www.researchgate.net
(PDF) EVALUATION OF CLINICAL EFFICACY OF CLASS I COMPOSITE RESTORATIONS Dental Fluorosis Degree at higher levels of fluoride exposure, the white lines in the enamel become more and more defined and. based on this paradigm, public health dentists argued that fluoride should be ingested during tooth formation. dental fluorosis occurs as a result of excess fluoride ingestion during tooth formation. dental fluorosis (df) is classically characterized by the stains.. Dental Fluorosis Degree.
From www.dentalclinic-knet.com
Dean's Fluorosis Index Dental Fluorosis Dental Clinic Dental Fluorosis Degree dental fluorosis (df) is classically characterized by the stains. dental fluorosis is a developmental disturbance of dental enamel, caused by successive exposures to high. dental fluorosis is caused by the excessive ingestion of fluoride during tooth. at higher levels of fluoride exposure, the white lines in the enamel become more and more defined and. based. Dental Fluorosis Degree.
From www.dentalnavarro.com
¿Qué es la fluorosis y por qué ocurre? Clínica Dental Navarro Dental Fluorosis Degree dental fluorosis (df) is classically characterized by the stains. at higher levels of fluoride exposure, the white lines in the enamel become more and more defined and. dental fluorosis is caused by the excessive ingestion of fluoride during tooth. based on this paradigm, public health dentists argued that fluoride should be ingested during tooth formation. . Dental Fluorosis Degree.
From pictures.doccheck.com
Dental fluorosis DocCheck Pictures Dental Fluorosis Degree dental fluorosis occurs as a result of excess fluoride ingestion during tooth formation. dental fluorosis (df) is classically characterized by the stains. at higher levels of fluoride exposure, the white lines in the enamel become more and more defined and. dental fluorosis is caused by the excessive ingestion of fluoride during tooth. based on this. Dental Fluorosis Degree.
From www.linkedin.com
Dental Fluorosis Dental Fluorosis Degree dental fluorosis is caused by the excessive ingestion of fluoride during tooth. dental fluorosis is a developmental disturbance of dental enamel, caused by successive exposures to high. based on this paradigm, public health dentists argued that fluoride should be ingested during tooth formation. dental fluorosis occurs as a result of excess fluoride ingestion during tooth formation.. Dental Fluorosis Degree.
From www.directorioodontologico.info
Clinical aspects of dental fluorosis Directorio Odontológico Dental Fluorosis Degree dental fluorosis occurs as a result of excess fluoride ingestion during tooth formation. at higher levels of fluoride exposure, the white lines in the enamel become more and more defined and. dental fluorosis (df) is classically characterized by the stains. based on this paradigm, public health dentists argued that fluoride should be ingested during tooth formation.. Dental Fluorosis Degree.
From dentistwiki.blogspot.com
Dental fluorosis Dental Fluorosis Degree dental fluorosis is a developmental disturbance of dental enamel, caused by successive exposures to high. based on this paradigm, public health dentists argued that fluoride should be ingested during tooth formation. dental fluorosis is caused by the excessive ingestion of fluoride during tooth. at higher levels of fluoride exposure, the white lines in the enamel become. Dental Fluorosis Degree.
From www.researchgate.net
(PDF) Prevalence of Dental Fluorosis in Permanent teeth at varying Dental Fluorosis Degree at higher levels of fluoride exposure, the white lines in the enamel become more and more defined and. dental fluorosis occurs as a result of excess fluoride ingestion during tooth formation. based on this paradigm, public health dentists argued that fluoride should be ingested during tooth formation. dental fluorosis is a developmental disturbance of dental enamel,. Dental Fluorosis Degree.
From www.chiangmai-hospital.com
How to treat "Dental Fluorosis" to be confident as before? Chiangmai Dental Fluorosis Degree dental fluorosis (df) is classically characterized by the stains. dental fluorosis occurs as a result of excess fluoride ingestion during tooth formation. at higher levels of fluoride exposure, the white lines in the enamel become more and more defined and. dental fluorosis is a developmental disturbance of dental enamel, caused by successive exposures to high. . Dental Fluorosis Degree.
From healthjade.com
Dental fluorosis causes, prevention, symptoms & dental fluorosis treatment Dental Fluorosis Degree based on this paradigm, public health dentists argued that fluoride should be ingested during tooth formation. at higher levels of fluoride exposure, the white lines in the enamel become more and more defined and. dental fluorosis is a developmental disturbance of dental enamel, caused by successive exposures to high. dental fluorosis occurs as a result of. Dental Fluorosis Degree.
From gpnotebook.com
Dental fluorosis GPnotebook Dental Fluorosis Degree dental fluorosis occurs as a result of excess fluoride ingestion during tooth formation. dental fluorosis is caused by the excessive ingestion of fluoride during tooth. dental fluorosis (df) is classically characterized by the stains. at higher levels of fluoride exposure, the white lines in the enamel become more and more defined and. based on this. Dental Fluorosis Degree.
From www.slideshare.net
Overview on Dental fluorosis Dental Fluorosis Degree at higher levels of fluoride exposure, the white lines in the enamel become more and more defined and. dental fluorosis is caused by the excessive ingestion of fluoride during tooth. dental fluorosis occurs as a result of excess fluoride ingestion during tooth formation. based on this paradigm, public health dentists argued that fluoride should be ingested. Dental Fluorosis Degree.
From homepage.eircom.net
Dental fluorosis in Irish Children Dental Fluorosis Degree based on this paradigm, public health dentists argued that fluoride should be ingested during tooth formation. dental fluorosis is caused by the excessive ingestion of fluoride during tooth. at higher levels of fluoride exposure, the white lines in the enamel become more and more defined and. dental fluorosis (df) is classically characterized by the stains. . Dental Fluorosis Degree.
From www.studiodentaire.com
Fluorosis (dental) Studio Dentaire Dental Fluorosis Degree dental fluorosis (df) is classically characterized by the stains. dental fluorosis is caused by the excessive ingestion of fluoride during tooth. dental fluorosis is a developmental disturbance of dental enamel, caused by successive exposures to high. dental fluorosis occurs as a result of excess fluoride ingestion during tooth formation. based on this paradigm, public health. Dental Fluorosis Degree.
From allsmilesdentspa.com
Dental Fluorosis Symptoms, Causes, Treatments Dental Fluorosis Degree at higher levels of fluoride exposure, the white lines in the enamel become more and more defined and. dental fluorosis is a developmental disturbance of dental enamel, caused by successive exposures to high. based on this paradigm, public health dentists argued that fluoride should be ingested during tooth formation. dental fluorosis occurs as a result of. Dental Fluorosis Degree.
From www.dentalclinic-knet.com
DENTAL FLUOROSIS Classification Dean’s Index Dental Clinic Dental Fluorosis Degree dental fluorosis (df) is classically characterized by the stains. dental fluorosis is caused by the excessive ingestion of fluoride during tooth. dental fluorosis is a developmental disturbance of dental enamel, caused by successive exposures to high. based on this paradigm, public health dentists argued that fluoride should be ingested during tooth formation. at higher levels. Dental Fluorosis Degree.
From www.researchgate.net
(PDF) Clinical aspects of dental fluorosis according to histological Dental Fluorosis Degree dental fluorosis is a developmental disturbance of dental enamel, caused by successive exposures to high. dental fluorosis (df) is classically characterized by the stains. dental fluorosis occurs as a result of excess fluoride ingestion during tooth formation. at higher levels of fluoride exposure, the white lines in the enamel become more and more defined and. . Dental Fluorosis Degree.
From healthjade.net
Dental fluorosis causes, prevention, symptoms & dental fluorosis treatment Dental Fluorosis Degree dental fluorosis occurs as a result of excess fluoride ingestion during tooth formation. based on this paradigm, public health dentists argued that fluoride should be ingested during tooth formation. at higher levels of fluoride exposure, the white lines in the enamel become more and more defined and. dental fluorosis is caused by the excessive ingestion of. Dental Fluorosis Degree.
From www.slideshare.net
Overview on Dental fluorosis Dental Fluorosis Degree at higher levels of fluoride exposure, the white lines in the enamel become more and more defined and. dental fluorosis occurs as a result of excess fluoride ingestion during tooth formation. dental fluorosis (df) is classically characterized by the stains. based on this paradigm, public health dentists argued that fluoride should be ingested during tooth formation.. Dental Fluorosis Degree.
From www.vitaldent.com
¿Qué es la fluorosis dental? Causas y Tratamiento Vitaldent Dental Fluorosis Degree dental fluorosis is caused by the excessive ingestion of fluoride during tooth. dental fluorosis (df) is classically characterized by the stains. dental fluorosis occurs as a result of excess fluoride ingestion during tooth formation. dental fluorosis is a developmental disturbance of dental enamel, caused by successive exposures to high. at higher levels of fluoride exposure,. Dental Fluorosis Degree.
From www.researchgate.net
Degree of dental fluorosis in children between the ages of 8 and 15 Dental Fluorosis Degree dental fluorosis occurs as a result of excess fluoride ingestion during tooth formation. dental fluorosis is a developmental disturbance of dental enamel, caused by successive exposures to high. at higher levels of fluoride exposure, the white lines in the enamel become more and more defined and. dental fluorosis is caused by the excessive ingestion of fluoride. Dental Fluorosis Degree.
From www.researchgate.net
(PDF) Micromorphological analysis and bond strength comparison of two Dental Fluorosis Degree at higher levels of fluoride exposure, the white lines in the enamel become more and more defined and. dental fluorosis is caused by the excessive ingestion of fluoride during tooth. dental fluorosis is a developmental disturbance of dental enamel, caused by successive exposures to high. dental fluorosis occurs as a result of excess fluoride ingestion during. Dental Fluorosis Degree.
From www.odontologiavirtual.com
PDF Factors associated with Dental Fluorosis Dental Fluorosis Degree dental fluorosis is caused by the excessive ingestion of fluoride during tooth. at higher levels of fluoride exposure, the white lines in the enamel become more and more defined and. dental fluorosis occurs as a result of excess fluoride ingestion during tooth formation. dental fluorosis is a developmental disturbance of dental enamel, caused by successive exposures. Dental Fluorosis Degree.
From allsmilesdentspa.com
Dental Fluorosis Symptoms, Causes, Treatments Dental Fluorosis Degree dental fluorosis occurs as a result of excess fluoride ingestion during tooth formation. based on this paradigm, public health dentists argued that fluoride should be ingested during tooth formation. dental fluorosis (df) is classically characterized by the stains. at higher levels of fluoride exposure, the white lines in the enamel become more and more defined and.. Dental Fluorosis Degree.
From www.researchgate.net
(PDF) Differential diagnosis of dental fluorosis made by undergraduate Dental Fluorosis Degree dental fluorosis is caused by the excessive ingestion of fluoride during tooth. dental fluorosis (df) is classically characterized by the stains. dental fluorosis is a developmental disturbance of dental enamel, caused by successive exposures to high. based on this paradigm, public health dentists argued that fluoride should be ingested during tooth formation. dental fluorosis occurs. Dental Fluorosis Degree.
From www.researchgate.net
(PDF) An Innovative Investigation on the Clinical, Radiological, and Dental Fluorosis Degree dental fluorosis occurs as a result of excess fluoride ingestion during tooth formation. dental fluorosis (df) is classically characterized by the stains. dental fluorosis is a developmental disturbance of dental enamel, caused by successive exposures to high. at higher levels of fluoride exposure, the white lines in the enamel become more and more defined and. . Dental Fluorosis Degree.
From www.flickr.com
Three Stages of Dental Fluorosis Great pictures showing th… Flickr Dental Fluorosis Degree dental fluorosis is caused by the excessive ingestion of fluoride during tooth. dental fluorosis is a developmental disturbance of dental enamel, caused by successive exposures to high. dental fluorosis occurs as a result of excess fluoride ingestion during tooth formation. dental fluorosis (df) is classically characterized by the stains. based on this paradigm, public health. Dental Fluorosis Degree.