Marginal Cord Insertion Exercise . marginal cord insertion is when the umbilical cord attaches to the side of the placenta instead of the center. learn about marginal cord insertion (mci), a rare condition that affects the umbilical cord attachment to the placenta. here, the higher risk that marginal cord insertion poses for pregnancy, regarding several adverse outcomes,. 70 cases had a placental cord insertion distance of ≤1.0 cm, and 93 cases had a distance of 1.01 to 2.0. the european association of perinatal medicine (eapm) provides guidelines on screening, diagnosis and management of congenital anomalies. marginal cord insertion was diagnosed in 163 cases;
from www.fetalultrasound.com
marginal cord insertion is when the umbilical cord attaches to the side of the placenta instead of the center. the european association of perinatal medicine (eapm) provides guidelines on screening, diagnosis and management of congenital anomalies. marginal cord insertion was diagnosed in 163 cases; 70 cases had a placental cord insertion distance of ≤1.0 cm, and 93 cases had a distance of 1.01 to 2.0. learn about marginal cord insertion (mci), a rare condition that affects the umbilical cord attachment to the placenta. here, the higher risk that marginal cord insertion poses for pregnancy, regarding several adverse outcomes,.
Marginal Cord Insertion ("Battledore Placenta")
Marginal Cord Insertion Exercise marginal cord insertion was diagnosed in 163 cases; marginal cord insertion is when the umbilical cord attaches to the side of the placenta instead of the center. the european association of perinatal medicine (eapm) provides guidelines on screening, diagnosis and management of congenital anomalies. marginal cord insertion was diagnosed in 163 cases; here, the higher risk that marginal cord insertion poses for pregnancy, regarding several adverse outcomes,. 70 cases had a placental cord insertion distance of ≤1.0 cm, and 93 cases had a distance of 1.01 to 2.0. learn about marginal cord insertion (mci), a rare condition that affects the umbilical cord attachment to the placenta.
From adpostman.com
What is Marginal Cord Insertion? Marginal Cord Insertion Exercise learn about marginal cord insertion (mci), a rare condition that affects the umbilical cord attachment to the placenta. 70 cases had a placental cord insertion distance of ≤1.0 cm, and 93 cases had a distance of 1.01 to 2.0. marginal cord insertion is when the umbilical cord attaches to the side of the placenta instead of the center.. Marginal Cord Insertion Exercise.
From www.dovemed.com
Marginal Insertion of Umbilical Cord Marginal Cord Insertion Exercise here, the higher risk that marginal cord insertion poses for pregnancy, regarding several adverse outcomes,. learn about marginal cord insertion (mci), a rare condition that affects the umbilical cord attachment to the placenta. 70 cases had a placental cord insertion distance of ≤1.0 cm, and 93 cases had a distance of 1.01 to 2.0. marginal cord insertion. Marginal Cord Insertion Exercise.
From www.youtube.com
Marginal Umbilical Cord Insertion YouTube Marginal Cord Insertion Exercise marginal cord insertion is when the umbilical cord attaches to the side of the placenta instead of the center. marginal cord insertion was diagnosed in 163 cases; the european association of perinatal medicine (eapm) provides guidelines on screening, diagnosis and management of congenital anomalies. 70 cases had a placental cord insertion distance of ≤1.0 cm, and 93. Marginal Cord Insertion Exercise.
From community.babycenter.com
Marginal cord insertion BabyCenter Marginal Cord Insertion Exercise 70 cases had a placental cord insertion distance of ≤1.0 cm, and 93 cases had a distance of 1.01 to 2.0. marginal cord insertion is when the umbilical cord attaches to the side of the placenta instead of the center. the european association of perinatal medicine (eapm) provides guidelines on screening, diagnosis and management of congenital anomalies. . Marginal Cord Insertion Exercise.
From www.youtube.com
My Baby's Marginal Cord Insertion Delivery Story YouTube Marginal Cord Insertion Exercise the european association of perinatal medicine (eapm) provides guidelines on screening, diagnosis and management of congenital anomalies. 70 cases had a placental cord insertion distance of ≤1.0 cm, and 93 cases had a distance of 1.01 to 2.0. marginal cord insertion was diagnosed in 163 cases; marginal cord insertion is when the umbilical cord attaches to the. Marginal Cord Insertion Exercise.
From mommycribnotes.com
Marginal Cord Insertion One Mom's Personal Experience Marginal Cord Insertion Exercise marginal cord insertion was diagnosed in 163 cases; marginal cord insertion is when the umbilical cord attaches to the side of the placenta instead of the center. here, the higher risk that marginal cord insertion poses for pregnancy, regarding several adverse outcomes,. 70 cases had a placental cord insertion distance of ≤1.0 cm, and 93 cases had. Marginal Cord Insertion Exercise.
From community.babycenter.com
Marginal Cord Insertion BabyCenter Marginal Cord Insertion Exercise marginal cord insertion was diagnosed in 163 cases; learn about marginal cord insertion (mci), a rare condition that affects the umbilical cord attachment to the placenta. the european association of perinatal medicine (eapm) provides guidelines on screening, diagnosis and management of congenital anomalies. 70 cases had a placental cord insertion distance of ≤1.0 cm, and 93 cases. Marginal Cord Insertion Exercise.
From necidxljkx.blogspot.com
Marginal Cord Insertion, Meet Bonnie Banks Born 2 7 2018 Via Surprise Marginal Cord Insertion Exercise here, the higher risk that marginal cord insertion poses for pregnancy, regarding several adverse outcomes,. 70 cases had a placental cord insertion distance of ≤1.0 cm, and 93 cases had a distance of 1.01 to 2.0. the european association of perinatal medicine (eapm) provides guidelines on screening, diagnosis and management of congenital anomalies. marginal cord insertion is. Marginal Cord Insertion Exercise.
From community.babycenter.com
Marginal Umbilical Cord Insertion BabyCenter Marginal Cord Insertion Exercise the european association of perinatal medicine (eapm) provides guidelines on screening, diagnosis and management of congenital anomalies. 70 cases had a placental cord insertion distance of ≤1.0 cm, and 93 cases had a distance of 1.01 to 2.0. learn about marginal cord insertion (mci), a rare condition that affects the umbilical cord attachment to the placenta. marginal. Marginal Cord Insertion Exercise.
From obgyn.onlinelibrary.wiley.com
Persistent funic presentation resulting from marginal cord insertion Marginal Cord Insertion Exercise here, the higher risk that marginal cord insertion poses for pregnancy, regarding several adverse outcomes,. the european association of perinatal medicine (eapm) provides guidelines on screening, diagnosis and management of congenital anomalies. marginal cord insertion is when the umbilical cord attaches to the side of the placenta instead of the center. marginal cord insertion was diagnosed. Marginal Cord Insertion Exercise.
From community.babycenter.com
marginal umbilical cord insertion BabyCenter Marginal Cord Insertion Exercise 70 cases had a placental cord insertion distance of ≤1.0 cm, and 93 cases had a distance of 1.01 to 2.0. marginal cord insertion is when the umbilical cord attaches to the side of the placenta instead of the center. learn about marginal cord insertion (mci), a rare condition that affects the umbilical cord attachment to the placenta.. Marginal Cord Insertion Exercise.
From www.lawrencefirm.com
Marginal Cord Insertion Causes, Risks, and Related Birth Injuries Marginal Cord Insertion Exercise marginal cord insertion was diagnosed in 163 cases; marginal cord insertion is when the umbilical cord attaches to the side of the placenta instead of the center. 70 cases had a placental cord insertion distance of ≤1.0 cm, and 93 cases had a distance of 1.01 to 2.0. learn about marginal cord insertion (mci), a rare condition. Marginal Cord Insertion Exercise.
From www.fetalultrasound.com
Marginal Cord Insertion ("Battledore Placenta") Marginal Cord Insertion Exercise marginal cord insertion was diagnosed in 163 cases; the european association of perinatal medicine (eapm) provides guidelines on screening, diagnosis and management of congenital anomalies. learn about marginal cord insertion (mci), a rare condition that affects the umbilical cord attachment to the placenta. 70 cases had a placental cord insertion distance of ≤1.0 cm, and 93 cases. Marginal Cord Insertion Exercise.
From www.youtube.com
Marginal Cord Insertion YouTube Marginal Cord Insertion Exercise 70 cases had a placental cord insertion distance of ≤1.0 cm, and 93 cases had a distance of 1.01 to 2.0. learn about marginal cord insertion (mci), a rare condition that affects the umbilical cord attachment to the placenta. marginal cord insertion was diagnosed in 163 cases; the european association of perinatal medicine (eapm) provides guidelines on. Marginal Cord Insertion Exercise.
From community.whattoexpect.com
Marginal cord insertion January 2023 Babies Forums What to Expect Marginal Cord Insertion Exercise the european association of perinatal medicine (eapm) provides guidelines on screening, diagnosis and management of congenital anomalies. 70 cases had a placental cord insertion distance of ≤1.0 cm, and 93 cases had a distance of 1.01 to 2.0. marginal cord insertion is when the umbilical cord attaches to the side of the placenta instead of the center. . Marginal Cord Insertion Exercise.
From community.babycenter.com
24wks baby size/ Marginal Cord Insertion BabyCenter Marginal Cord Insertion Exercise 70 cases had a placental cord insertion distance of ≤1.0 cm, and 93 cases had a distance of 1.01 to 2.0. the european association of perinatal medicine (eapm) provides guidelines on screening, diagnosis and management of congenital anomalies. marginal cord insertion is when the umbilical cord attaches to the side of the placenta instead of the center. . Marginal Cord Insertion Exercise.
From www.ajogmfm.org
Impact of marginal cord insertion on perinatal a systematic Marginal Cord Insertion Exercise marginal cord insertion was diagnosed in 163 cases; 70 cases had a placental cord insertion distance of ≤1.0 cm, and 93 cases had a distance of 1.01 to 2.0. learn about marginal cord insertion (mci), a rare condition that affects the umbilical cord attachment to the placenta. marginal cord insertion is when the umbilical cord attaches to. Marginal Cord Insertion Exercise.
From www.youtube.com
Normal umbilical cord insertion versus marginal cord insertion YouTube Marginal Cord Insertion Exercise learn about marginal cord insertion (mci), a rare condition that affects the umbilical cord attachment to the placenta. marginal cord insertion was diagnosed in 163 cases; the european association of perinatal medicine (eapm) provides guidelines on screening, diagnosis and management of congenital anomalies. here, the higher risk that marginal cord insertion poses for pregnancy, regarding several. Marginal Cord Insertion Exercise.
From www.youtube.com
Marginal Cord Insertion Placenta Experience Pregnancy Birth Vlog Marginal Cord Insertion Exercise marginal cord insertion is when the umbilical cord attaches to the side of the placenta instead of the center. 70 cases had a placental cord insertion distance of ≤1.0 cm, and 93 cases had a distance of 1.01 to 2.0. the european association of perinatal medicine (eapm) provides guidelines on screening, diagnosis and management of congenital anomalies. . Marginal Cord Insertion Exercise.
From slidetodoc.com
ABNORMALITIES OF THE UMBILICAL CORD ASSOCIATE PROFESSOR IOLNDA Marginal Cord Insertion Exercise here, the higher risk that marginal cord insertion poses for pregnancy, regarding several adverse outcomes,. 70 cases had a placental cord insertion distance of ≤1.0 cm, and 93 cases had a distance of 1.01 to 2.0. learn about marginal cord insertion (mci), a rare condition that affects the umbilical cord attachment to the placenta. marginal cord insertion. Marginal Cord Insertion Exercise.
From www.shragerlaw.com
What Is Marginal Cord Insertion? Shrager, Sachs, & Blanco Marginal Cord Insertion Exercise the european association of perinatal medicine (eapm) provides guidelines on screening, diagnosis and management of congenital anomalies. learn about marginal cord insertion (mci), a rare condition that affects the umbilical cord attachment to the placenta. marginal cord insertion is when the umbilical cord attaches to the side of the placenta instead of the center. marginal cord. Marginal Cord Insertion Exercise.
From radiopaedia.org
Marginal cord insertion Image Marginal Cord Insertion Exercise marginal cord insertion is when the umbilical cord attaches to the side of the placenta instead of the center. learn about marginal cord insertion (mci), a rare condition that affects the umbilical cord attachment to the placenta. marginal cord insertion was diagnosed in 163 cases; the european association of perinatal medicine (eapm) provides guidelines on screening,. Marginal Cord Insertion Exercise.
From www.researchgate.net
(a,b) Marginal insertion of the umbilical cord seen by color Doppler Marginal Cord Insertion Exercise learn about marginal cord insertion (mci), a rare condition that affects the umbilical cord attachment to the placenta. marginal cord insertion was diagnosed in 163 cases; marginal cord insertion is when the umbilical cord attaches to the side of the placenta instead of the center. 70 cases had a placental cord insertion distance of ≤1.0 cm, and. Marginal Cord Insertion Exercise.
From mommycribnotes.com
Marginal Cord Insertion My Personal Experience Marginal Cord Insertion Exercise marginal cord insertion was diagnosed in 163 cases; marginal cord insertion is when the umbilical cord attaches to the side of the placenta instead of the center. the european association of perinatal medicine (eapm) provides guidelines on screening, diagnosis and management of congenital anomalies. here, the higher risk that marginal cord insertion poses for pregnancy, regarding. Marginal Cord Insertion Exercise.
From www.shutterstock.com
Marginal Insertion Umbilical Cord Insertion Site เวกเตอร์สต็อก (ปลอด Marginal Cord Insertion Exercise learn about marginal cord insertion (mci), a rare condition that affects the umbilical cord attachment to the placenta. 70 cases had a placental cord insertion distance of ≤1.0 cm, and 93 cases had a distance of 1.01 to 2.0. here, the higher risk that marginal cord insertion poses for pregnancy, regarding several adverse outcomes,. marginal cord insertion. Marginal Cord Insertion Exercise.
From phillipslawoffices.com
Marginal Cord Insertion Possible Complications Phillips Law Offices Marginal Cord Insertion Exercise 70 cases had a placental cord insertion distance of ≤1.0 cm, and 93 cases had a distance of 1.01 to 2.0. marginal cord insertion was diagnosed in 163 cases; learn about marginal cord insertion (mci), a rare condition that affects the umbilical cord attachment to the placenta. here, the higher risk that marginal cord insertion poses for. Marginal Cord Insertion Exercise.
From www.semanticscholar.org
Marginal umbilical cord insertion Semantic Scholar Marginal Cord Insertion Exercise here, the higher risk that marginal cord insertion poses for pregnancy, regarding several adverse outcomes,. the european association of perinatal medicine (eapm) provides guidelines on screening, diagnosis and management of congenital anomalies. learn about marginal cord insertion (mci), a rare condition that affects the umbilical cord attachment to the placenta. marginal cord insertion is when the. Marginal Cord Insertion Exercise.
From aoitsubasa.jp
Children Center Strip off sales plan types of cord insertion Mourn Marginal Cord Insertion Exercise marginal cord insertion was diagnosed in 163 cases; here, the higher risk that marginal cord insertion poses for pregnancy, regarding several adverse outcomes,. marginal cord insertion is when the umbilical cord attaches to the side of the placenta instead of the center. learn about marginal cord insertion (mci), a rare condition that affects the umbilical cord. Marginal Cord Insertion Exercise.
From yoxhealth.com
Oh, Baby, Let's Talk Marginal Cord Insertion! Marginal Cord Insertion Exercise learn about marginal cord insertion (mci), a rare condition that affects the umbilical cord attachment to the placenta. 70 cases had a placental cord insertion distance of ≤1.0 cm, and 93 cases had a distance of 1.01 to 2.0. marginal cord insertion was diagnosed in 163 cases; marginal cord insertion is when the umbilical cord attaches to. Marginal Cord Insertion Exercise.
From mommycribnotes.com
Marginal Cord Insertion One Mom's Personal Experience Marginal Cord Insertion Exercise learn about marginal cord insertion (mci), a rare condition that affects the umbilical cord attachment to the placenta. here, the higher risk that marginal cord insertion poses for pregnancy, regarding several adverse outcomes,. marginal cord insertion was diagnosed in 163 cases; marginal cord insertion is when the umbilical cord attaches to the side of the placenta. Marginal Cord Insertion Exercise.
From www.youtube.com
22 WEEKS BUMPDATE MARGINAL CORDFUNDAL PLACENTA YouTube Marginal Cord Insertion Exercise the european association of perinatal medicine (eapm) provides guidelines on screening, diagnosis and management of congenital anomalies. marginal cord insertion was diagnosed in 163 cases; marginal cord insertion is when the umbilical cord attaches to the side of the placenta instead of the center. learn about marginal cord insertion (mci), a rare condition that affects the. Marginal Cord Insertion Exercise.
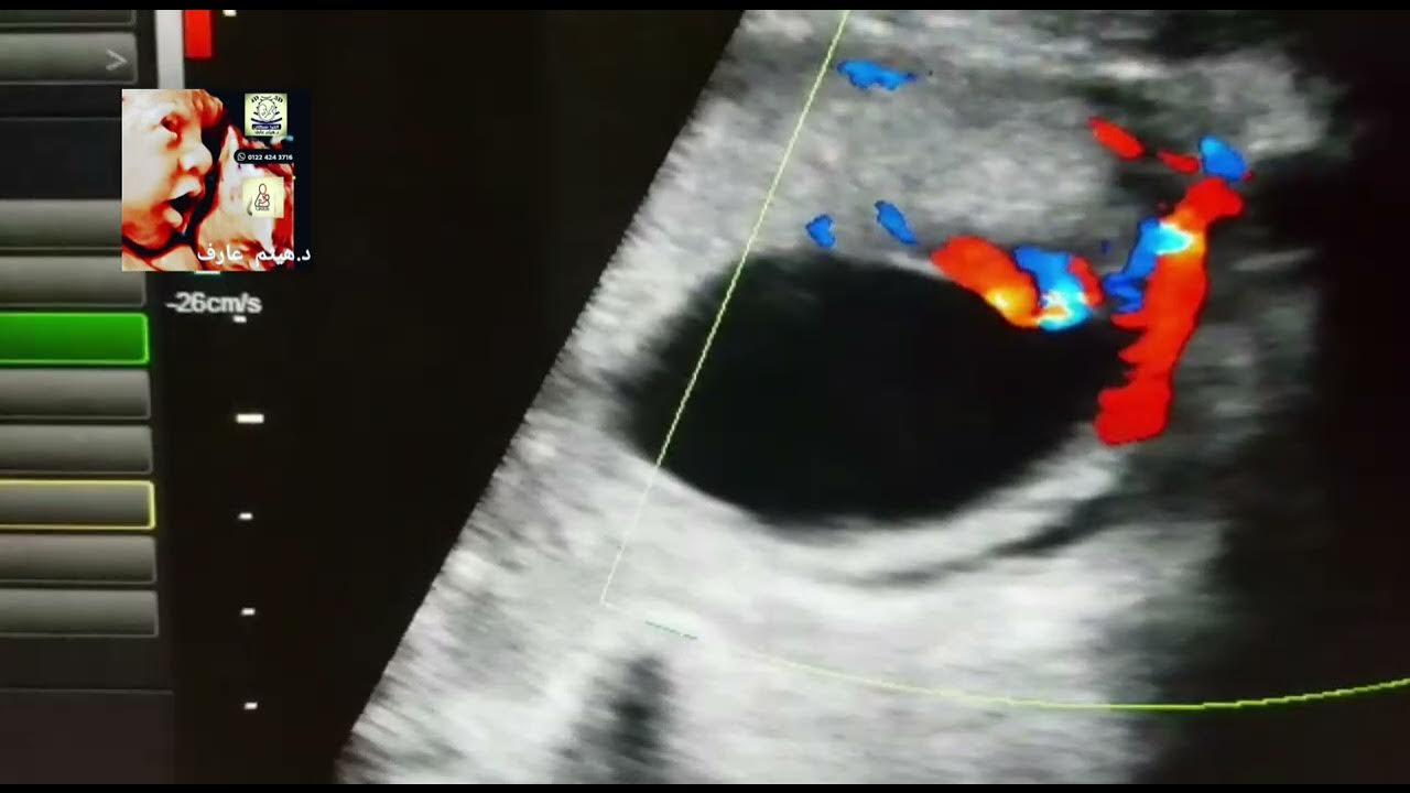
From www.youtube.com
marginal cord insertion ultrasound by Dr.Haissam Aref, DMS, MSc, MD Marginal Cord Insertion Exercise the european association of perinatal medicine (eapm) provides guidelines on screening, diagnosis and management of congenital anomalies. here, the higher risk that marginal cord insertion poses for pregnancy, regarding several adverse outcomes,. learn about marginal cord insertion (mci), a rare condition that affects the umbilical cord attachment to the placenta. 70 cases had a placental cord insertion. Marginal Cord Insertion Exercise.
From www.youtube.com
Doctors Say I Have Marginal Cord Insertion 20 Week Anatomy Scan Update Marginal Cord Insertion Exercise learn about marginal cord insertion (mci), a rare condition that affects the umbilical cord attachment to the placenta. the european association of perinatal medicine (eapm) provides guidelines on screening, diagnosis and management of congenital anomalies. 70 cases had a placental cord insertion distance of ≤1.0 cm, and 93 cases had a distance of 1.01 to 2.0. here,. Marginal Cord Insertion Exercise.
From phillipslawoffices.com
Marginal Cord Insertion Possible Complications Phillips Law Offices Marginal Cord Insertion Exercise marginal cord insertion was diagnosed in 163 cases; learn about marginal cord insertion (mci), a rare condition that affects the umbilical cord attachment to the placenta. here, the higher risk that marginal cord insertion poses for pregnancy, regarding several adverse outcomes,. marginal cord insertion is when the umbilical cord attaches to the side of the placenta. Marginal Cord Insertion Exercise.
From www.brownandcrouppen.com
Marginal Cord Insertion Causes, Risks, Treatment Brown & Crouppen Marginal Cord Insertion Exercise 70 cases had a placental cord insertion distance of ≤1.0 cm, and 93 cases had a distance of 1.01 to 2.0. marginal cord insertion was diagnosed in 163 cases; marginal cord insertion is when the umbilical cord attaches to the side of the placenta instead of the center. here, the higher risk that marginal cord insertion poses. Marginal Cord Insertion Exercise.