Braces Incomplete Teeth . However, it’s crucial to consult with an orthodontist who can assess your specific. Very much depends on the specific case, but teeth alignment procedures can be attempted—and may even be recommended—when teeth are lacking. Orthodontic treatment can deal with a variety of things your mouth faces, including overbite problems, jaw alignment issues, crooked or crowded teeth, and more. In most cases, it doesn’t disqualify you from orthodontic treatment. Yes, it is usually possible to get braces with missing molars. Orthodontists will work on aligning your remaining teeth, improving your bite, and preparing the area for any future dental. Your orthodontist can recommend the. Can you get braces if you have one missing molar on the bottom teeth and another missing molar on the upper teeth? Lingual braces, ceramic braces, and invisalign are all viable options for individuals with missing teeth. Traditional braces can be used even if you have missing teeth. The treatment plan will be designed to accommodate the missing teeth. Can you get braces with missing teeth? In most cases, individuals with missing teeth can still get braces and achieve a beautifully aligned smile. As long as oral health issues like gum disease and tooth decay. You can get braces if you have missing teeth, and, in fact, braces may be necessary to line up teeth before you have a dental implant inserted.
from elineorthodontics.com
In most cases, individuals with missing teeth can still get braces and achieve a beautifully aligned smile. You can get braces if you have missing teeth, and, in fact, braces may be necessary to line up teeth before you have a dental implant inserted. Very much depends on the specific case, but teeth alignment procedures can be attempted—and may even be recommended—when teeth are lacking. Can you get braces with missing teeth? Lingual braces, ceramic braces, and invisalign are all viable options for individuals with missing teeth. Orthodontists will work on aligning your remaining teeth, improving your bite, and preparing the area for any future dental. However, it’s crucial to consult with an orthodontist who can assess your specific. The treatment plan will be designed to accommodate the missing teeth. Traditional braces can be used even if you have missing teeth. Orthodontic treatment can deal with a variety of things your mouth faces, including overbite problems, jaw alignment issues, crooked or crowded teeth, and more.
Orthodontics for Adults — eLINE Orthodontics
Braces Incomplete Teeth Lingual braces, ceramic braces, and invisalign are all viable options for individuals with missing teeth. Traditional braces can be used even if you have missing teeth. Can you get braces with missing teeth? Orthodontic treatment can deal with a variety of things your mouth faces, including overbite problems, jaw alignment issues, crooked or crowded teeth, and more. In most cases, individuals with missing teeth can still get braces and achieve a beautifully aligned smile. Yes, it is usually possible to get braces with missing molars. Your orthodontist can recommend the. However, it’s crucial to consult with an orthodontist who can assess your specific. The treatment plan will be designed to accommodate the missing teeth. You can get braces if you have missing teeth, and, in fact, braces may be necessary to line up teeth before you have a dental implant inserted. Lingual braces, ceramic braces, and invisalign are all viable options for individuals with missing teeth. Can you get braces if you have one missing molar on the bottom teeth and another missing molar on the upper teeth? Orthodontists will work on aligning your remaining teeth, improving your bite, and preparing the area for any future dental. As long as oral health issues like gum disease and tooth decay. Very much depends on the specific case, but teeth alignment procedures can be attempted—and may even be recommended—when teeth are lacking. In most cases, it doesn’t disqualify you from orthodontic treatment.
From www.citizen-times.com
Braces 101 All about orthodontia Braces Incomplete Teeth However, it’s crucial to consult with an orthodontist who can assess your specific. Can you get braces if you have one missing molar on the bottom teeth and another missing molar on the upper teeth? In most cases, it doesn’t disqualify you from orthodontic treatment. Lingual braces, ceramic braces, and invisalign are all viable options for individuals with missing teeth.. Braces Incomplete Teeth.
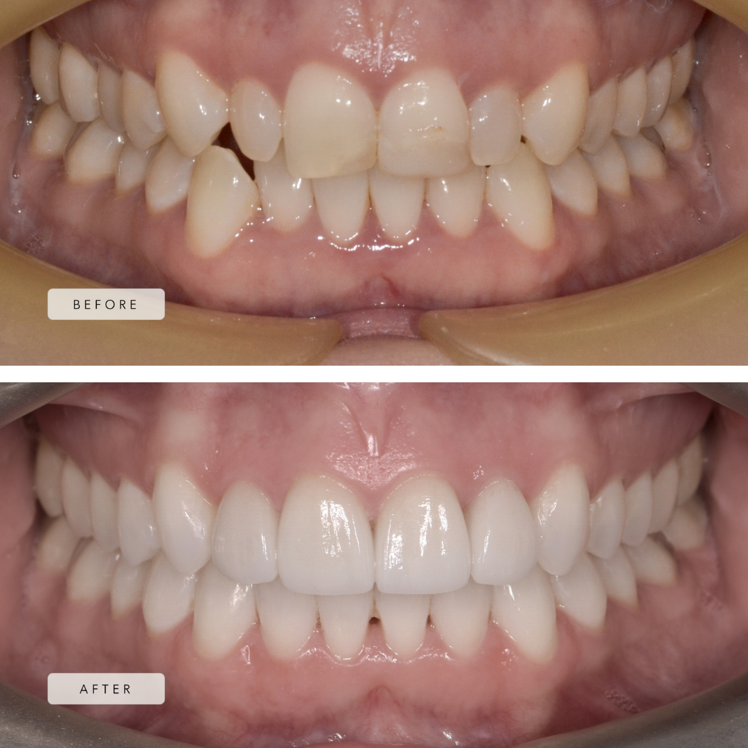
From www.linkedin.com
Orthodontic Treatment What to Expect When Getting Braces Braces Incomplete Teeth The treatment plan will be designed to accommodate the missing teeth. As long as oral health issues like gum disease and tooth decay. Orthodontic treatment can deal with a variety of things your mouth faces, including overbite problems, jaw alignment issues, crooked or crowded teeth, and more. Can you get braces with missing teeth? Yes, it is usually possible to. Braces Incomplete Teeth.
From portdental.com.au
Can I Get Braces with Missing Teeth? Port Macquarie Dental Centre Braces Incomplete Teeth Orthodontic treatment can deal with a variety of things your mouth faces, including overbite problems, jaw alignment issues, crooked or crowded teeth, and more. As long as oral health issues like gum disease and tooth decay. Traditional braces can be used even if you have missing teeth. Lingual braces, ceramic braces, and invisalign are all viable options for individuals with. Braces Incomplete Teeth.
From fryorthodontics.com
Can I Get Braces if I Have Missing Teeth or Crowns and Bridges? Braces Incomplete Teeth However, it’s crucial to consult with an orthodontist who can assess your specific. Can you get braces if you have one missing molar on the bottom teeth and another missing molar on the upper teeth? You can get braces if you have missing teeth, and, in fact, braces may be necessary to line up teeth before you have a dental. Braces Incomplete Teeth.
From www.dentalsolutions.ca
Can You Get Braces With Missing Teeth? Bisson Dentistry Braces Incomplete Teeth Traditional braces can be used even if you have missing teeth. The treatment plan will be designed to accommodate the missing teeth. You can get braces if you have missing teeth, and, in fact, braces may be necessary to line up teeth before you have a dental implant inserted. Very much depends on the specific case, but teeth alignment procedures. Braces Incomplete Teeth.
From elineorthodontics.com
Orthodontics for Adults — eLINE Orthodontics Braces Incomplete Teeth Orthodontic treatment can deal with a variety of things your mouth faces, including overbite problems, jaw alignment issues, crooked or crowded teeth, and more. You can get braces if you have missing teeth, and, in fact, braces may be necessary to line up teeth before you have a dental implant inserted. As long as oral health issues like gum disease. Braces Incomplete Teeth.
From www.ajodo.org
Interdisciplinary treatment of a nonsyndromic oligodontia patient with Braces Incomplete Teeth Can you get braces if you have one missing molar on the bottom teeth and another missing molar on the upper teeth? Traditional braces can be used even if you have missing teeth. As long as oral health issues like gum disease and tooth decay. The treatment plan will be designed to accommodate the missing teeth. Very much depends on. Braces Incomplete Teeth.
From www.reddit.com
Braces at 26. First full day of braces, 5 days after having 6 teeth Braces Incomplete Teeth However, it’s crucial to consult with an orthodontist who can assess your specific. Very much depends on the specific case, but teeth alignment procedures can be attempted—and may even be recommended—when teeth are lacking. You can get braces if you have missing teeth, and, in fact, braces may be necessary to line up teeth before you have a dental implant. Braces Incomplete Teeth.
From dentistinbournemouth.com
Before & After Magic, Transformational Power of Braces on Teeth Braces Incomplete Teeth Traditional braces can be used even if you have missing teeth. Orthodontic treatment can deal with a variety of things your mouth faces, including overbite problems, jaw alignment issues, crooked or crowded teeth, and more. Can you get braces if you have one missing molar on the bottom teeth and another missing molar on the upper teeth? Orthodontists will work. Braces Incomplete Teeth.
From teethwalls.blogspot.com
How To Close A Gap In Your Teeth With Braces TeethWalls Braces Incomplete Teeth In most cases, individuals with missing teeth can still get braces and achieve a beautifully aligned smile. Can you get braces with missing teeth? You can get braces if you have missing teeth, and, in fact, braces may be necessary to line up teeth before you have a dental implant inserted. Lingual braces, ceramic braces, and invisalign are all viable. Braces Incomplete Teeth.
From orthodonticassoc.com
Stages of Change in Braces Orthodontic Associates Braces Incomplete Teeth As long as oral health issues like gum disease and tooth decay. However, it’s crucial to consult with an orthodontist who can assess your specific. Lingual braces, ceramic braces, and invisalign are all viable options for individuals with missing teeth. You can get braces if you have missing teeth, and, in fact, braces may be necessary to line up teeth. Braces Incomplete Teeth.
From www.youtube.com
Months 13 20 (gaps are almost closed and i'll be done) YouTube Braces Incomplete Teeth However, it’s crucial to consult with an orthodontist who can assess your specific. Can you get braces with missing teeth? Your orthodontist can recommend the. Orthodontic treatment can deal with a variety of things your mouth faces, including overbite problems, jaw alignment issues, crooked or crowded teeth, and more. In most cases, individuals with missing teeth can still get braces. Braces Incomplete Teeth.
From www.youtube.com
How Orthodontists deal with Missing Teeth Save yourself years of pain Braces Incomplete Teeth Very much depends on the specific case, but teeth alignment procedures can be attempted—and may even be recommended—when teeth are lacking. Lingual braces, ceramic braces, and invisalign are all viable options for individuals with missing teeth. The treatment plan will be designed to accommodate the missing teeth. In most cases, individuals with missing teeth can still get braces and achieve. Braces Incomplete Teeth.
From identista.org
Brackets transparentes Tipos, pros y contras, precio y alternativas Braces Incomplete Teeth The treatment plan will be designed to accommodate the missing teeth. Yes, it is usually possible to get braces with missing molars. In most cases, individuals with missing teeth can still get braces and achieve a beautifully aligned smile. As long as oral health issues like gum disease and tooth decay. However, it’s crucial to consult with an orthodontist who. Braces Incomplete Teeth.
From www.youtube.com
Dental Braces How they take braces off Tooth Time Family Dentistry Braces Incomplete Teeth Traditional braces can be used even if you have missing teeth. Your orthodontist can recommend the. In most cases, it doesn’t disqualify you from orthodontic treatment. Very much depends on the specific case, but teeth alignment procedures can be attempted—and may even be recommended—when teeth are lacking. The treatment plan will be designed to accommodate the missing teeth. Orthodontic treatment. Braces Incomplete Teeth.
From mborthodontics.ca
What Kinds of Misalignments Can Braces Fix? All of These! Braces Incomplete Teeth Can you get braces if you have one missing molar on the bottom teeth and another missing molar on the upper teeth? Lingual braces, ceramic braces, and invisalign are all viable options for individuals with missing teeth. Traditional braces can be used even if you have missing teeth. In most cases, individuals with missing teeth can still get braces and. Braces Incomplete Teeth.
From www.houstonortho.com
Can You Get Braces With Missing Teeth? Houston Ortho Braces Incomplete Teeth Can you get braces if you have one missing molar on the bottom teeth and another missing molar on the upper teeth? Very much depends on the specific case, but teeth alignment procedures can be attempted—and may even be recommended—when teeth are lacking. Orthodontists will work on aligning your remaining teeth, improving your bite, and preparing the area for any. Braces Incomplete Teeth.
From www.drnirenblatt.com
Braces Braces Incomplete Teeth Can you get braces if you have one missing molar on the bottom teeth and another missing molar on the upper teeth? In most cases, it doesn’t disqualify you from orthodontic treatment. Very much depends on the specific case, but teeth alignment procedures can be attempted—and may even be recommended—when teeth are lacking. Your orthodontist can recommend the. Orthodontists will. Braces Incomplete Teeth.
From shawneedentistryandbraces.com
Closing Gaps in Teeth with Braces Shawnee Dentistry and Braces Braces Incomplete Teeth As long as oral health issues like gum disease and tooth decay. Very much depends on the specific case, but teeth alignment procedures can be attempted—and may even be recommended—when teeth are lacking. The treatment plan will be designed to accommodate the missing teeth. Traditional braces can be used even if you have missing teeth. Your orthodontist can recommend the.. Braces Incomplete Teeth.
From mborthodontics.ca
How Do Braces Fix Gaps Between Teeth? Braces Incomplete Teeth You can get braces if you have missing teeth, and, in fact, braces may be necessary to line up teeth before you have a dental implant inserted. Traditional braces can be used even if you have missing teeth. Can you get braces if you have one missing molar on the bottom teeth and another missing molar on the upper teeth?. Braces Incomplete Teeth.
From centralfloridasmiles.com
Can you get braces if you have missing teeth? Wiewiora & Dunn Braces Incomplete Teeth As long as oral health issues like gum disease and tooth decay. In most cases, it doesn’t disqualify you from orthodontic treatment. Lingual braces, ceramic braces, and invisalign are all viable options for individuals with missing teeth. Traditional braces can be used even if you have missing teeth. In most cases, individuals with missing teeth can still get braces and. Braces Incomplete Teeth.
From mintorthodonticstexas.com
Types of Braces Trusted Orthodontist in Texas Braces Incomplete Teeth However, it’s crucial to consult with an orthodontist who can assess your specific. Traditional braces can be used even if you have missing teeth. In most cases, it doesn’t disqualify you from orthodontic treatment. Lingual braces, ceramic braces, and invisalign are all viable options for individuals with missing teeth. Orthodontists will work on aligning your remaining teeth, improving your bite,. Braces Incomplete Teeth.
From www.sawgrassortho.com
How Do Braces Move The Teeth? Braces Incomplete Teeth You can get braces if you have missing teeth, and, in fact, braces may be necessary to line up teeth before you have a dental implant inserted. In most cases, it doesn’t disqualify you from orthodontic treatment. Orthodontic treatment can deal with a variety of things your mouth faces, including overbite problems, jaw alignment issues, crooked or crowded teeth, and. Braces Incomplete Teeth.
From www.youtube.com
How Do Braces Close Gaps Between Teeth 2018 YouTube Braces Incomplete Teeth Yes, it is usually possible to get braces with missing molars. Orthodontists will work on aligning your remaining teeth, improving your bite, and preparing the area for any future dental. You can get braces if you have missing teeth, and, in fact, braces may be necessary to line up teeth before you have a dental implant inserted. Traditional braces can. Braces Incomplete Teeth.
From www.orthomontreal.com
Braces with missing teeth before and after Braces Incomplete Teeth However, it’s crucial to consult with an orthodontist who can assess your specific. Very much depends on the specific case, but teeth alignment procedures can be attempted—and may even be recommended—when teeth are lacking. Can you get braces if you have one missing molar on the bottom teeth and another missing molar on the upper teeth? The treatment plan will. Braces Incomplete Teeth.
From orthodonticbracescare.com
Can Braces Really Close Missing Tooth Gap Orthodontic Braces Care Braces Incomplete Teeth Orthodontic treatment can deal with a variety of things your mouth faces, including overbite problems, jaw alignment issues, crooked or crowded teeth, and more. Can you get braces with missing teeth? You can get braces if you have missing teeth, and, in fact, braces may be necessary to line up teeth before you have a dental implant inserted. The treatment. Braces Incomplete Teeth.
From elysaajusshi.blogspot.com
MY BRACES JOURNEY [PART 1] Braces Incomplete Teeth Yes, it is usually possible to get braces with missing molars. As long as oral health issues like gum disease and tooth decay. However, it’s crucial to consult with an orthodontist who can assess your specific. In most cases, individuals with missing teeth can still get braces and achieve a beautifully aligned smile. Very much depends on the specific case,. Braces Incomplete Teeth.
From bankheadortho.com
Braces for All Ages O'Fallon, Wentzville, Warrenton, Alton Braces Incomplete Teeth As long as oral health issues like gum disease and tooth decay. Can you get braces with missing teeth? In most cases, individuals with missing teeth can still get braces and achieve a beautifully aligned smile. You can get braces if you have missing teeth, and, in fact, braces may be necessary to line up teeth before you have a. Braces Incomplete Teeth.
From www.orthomontreal.com
Braces with missing teeth before and after Braces Incomplete Teeth Can you get braces if you have one missing molar on the bottom teeth and another missing molar on the upper teeth? The treatment plan will be designed to accommodate the missing teeth. Can you get braces with missing teeth? Lingual braces, ceramic braces, and invisalign are all viable options for individuals with missing teeth. In most cases, it doesn’t. Braces Incomplete Teeth.
From www.youtube.com
Missing Teeth and Braces YouTube Braces Incomplete Teeth Orthodontic treatment can deal with a variety of things your mouth faces, including overbite problems, jaw alignment issues, crooked or crowded teeth, and more. You can get braces if you have missing teeth, and, in fact, braces may be necessary to line up teeth before you have a dental implant inserted. Lingual braces, ceramic braces, and invisalign are all viable. Braces Incomplete Teeth.
From www.lyliarose.com
Life with orthodontic braces as an adult What happened at my latest Braces Incomplete Teeth You can get braces if you have missing teeth, and, in fact, braces may be necessary to line up teeth before you have a dental implant inserted. Can you get braces with missing teeth? Very much depends on the specific case, but teeth alignment procedures can be attempted—and may even be recommended—when teeth are lacking. Can you get braces if. Braces Incomplete Teeth.
From www.youtube.com
Braces with a missing tooth video 3 Tooth Time Family Dentistry New Braces Incomplete Teeth In most cases, individuals with missing teeth can still get braces and achieve a beautifully aligned smile. As long as oral health issues like gum disease and tooth decay. Traditional braces can be used even if you have missing teeth. Orthodontic treatment can deal with a variety of things your mouth faces, including overbite problems, jaw alignment issues, crooked or. Braces Incomplete Teeth.
From www.bracesinfo.com
Is it possible to have braces for teeth? Braces Incomplete Teeth Can you get braces with missing teeth? Lingual braces, ceramic braces, and invisalign are all viable options for individuals with missing teeth. In most cases, individuals with missing teeth can still get braces and achieve a beautifully aligned smile. However, it’s crucial to consult with an orthodontist who can assess your specific. Very much depends on the specific case, but. Braces Incomplete Teeth.
From www.theparkbraceclinic.co.uk
Braces Derby Invisalign Invisible Clear Braces, Damon, Incognito Braces Incomplete Teeth As long as oral health issues like gum disease and tooth decay. Lingual braces, ceramic braces, and invisalign are all viable options for individuals with missing teeth. Your orthodontist can recommend the. Can you get braces with missing teeth? Orthodontic treatment can deal with a variety of things your mouth faces, including overbite problems, jaw alignment issues, crooked or crowded. Braces Incomplete Teeth.
From www.yourdentistryguide.com
Dental Braces Treatment Details Removal & Recovery Braces Incomplete Teeth Traditional braces can be used even if you have missing teeth. Orthodontic treatment can deal with a variety of things your mouth faces, including overbite problems, jaw alignment issues, crooked or crowded teeth, and more. Can you get braces with missing teeth? Your orthodontist can recommend the. You can get braces if you have missing teeth, and, in fact, braces. Braces Incomplete Teeth.