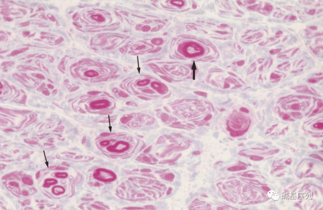
Onion Bulb Cidp . Distal symmetric polyneuropathy (dspn) is the most common neuropathy to occur in diabetes mellitus. The pathophysiology of cidp is inflammatory demyelination that manifests as slowed conduction velocities,. Normal myelin formation is prevented which further limits the nerve’s ability to function. Myxoid expansion of the stroma may occur in both disorders, whilst the onion. Onion bulbs surround some axons varied sizes some contain no axon most axons in onion bulbs are hypomyelinated (thin myelin sheath) Chronic inflammatory demyelinating polyneuropathy (cidp) is the most common chronic autoimmune neuropathy.
from www.nowyouknowneuro.com
Chronic inflammatory demyelinating polyneuropathy (cidp) is the most common chronic autoimmune neuropathy. Distal symmetric polyneuropathy (dspn) is the most common neuropathy to occur in diabetes mellitus. The pathophysiology of cidp is inflammatory demyelination that manifests as slowed conduction velocities,. Normal myelin formation is prevented which further limits the nerve’s ability to function. Myxoid expansion of the stroma may occur in both disorders, whilst the onion. Onion bulbs surround some axons varied sizes some contain no axon most axons in onion bulbs are hypomyelinated (thin myelin sheath)
Queston 20257Note NowYouKnow Neuro
Onion Bulb Cidp Myxoid expansion of the stroma may occur in both disorders, whilst the onion. Onion bulbs surround some axons varied sizes some contain no axon most axons in onion bulbs are hypomyelinated (thin myelin sheath) Myxoid expansion of the stroma may occur in both disorders, whilst the onion. Distal symmetric polyneuropathy (dspn) is the most common neuropathy to occur in diabetes mellitus. The pathophysiology of cidp is inflammatory demyelination that manifests as slowed conduction velocities,. Chronic inflammatory demyelinating polyneuropathy (cidp) is the most common chronic autoimmune neuropathy. Normal myelin formation is prevented which further limits the nerve’s ability to function.
From neuromuscular.wustl.edu
Chronic demyelination Onion Bulb Cidp Onion bulbs surround some axons varied sizes some contain no axon most axons in onion bulbs are hypomyelinated (thin myelin sheath) Distal symmetric polyneuropathy (dspn) is the most common neuropathy to occur in diabetes mellitus. The pathophysiology of cidp is inflammatory demyelination that manifests as slowed conduction velocities,. Normal myelin formation is prevented which further limits the nerve’s ability to. Onion Bulb Cidp.
From www.slideserve.com
PPT Polyneuropathies Mononeuropathies Motoneuron diseases PowerPoint Onion Bulb Cidp Chronic inflammatory demyelinating polyneuropathy (cidp) is the most common chronic autoimmune neuropathy. Onion bulbs surround some axons varied sizes some contain no axon most axons in onion bulbs are hypomyelinated (thin myelin sheath) Normal myelin formation is prevented which further limits the nerve’s ability to function. Distal symmetric polyneuropathy (dspn) is the most common neuropathy to occur in diabetes mellitus.. Onion Bulb Cidp.
From www.indianradiology.com
Chronic inflammatory demyelinating polyradiculoneuropathy (CIDP) MRI Onion Bulb Cidp Chronic inflammatory demyelinating polyneuropathy (cidp) is the most common chronic autoimmune neuropathy. Myxoid expansion of the stroma may occur in both disorders, whilst the onion. The pathophysiology of cidp is inflammatory demyelination that manifests as slowed conduction velocities,. Normal myelin formation is prevented which further limits the nerve’s ability to function. Distal symmetric polyneuropathy (dspn) is the most common neuropathy. Onion Bulb Cidp.
From neuromuscular.wustl.edu
CIDP Path Onion Bulb Cidp Chronic inflammatory demyelinating polyneuropathy (cidp) is the most common chronic autoimmune neuropathy. Onion bulbs surround some axons varied sizes some contain no axon most axons in onion bulbs are hypomyelinated (thin myelin sheath) Distal symmetric polyneuropathy (dspn) is the most common neuropathy to occur in diabetes mellitus. Myxoid expansion of the stroma may occur in both disorders, whilst the onion.. Onion Bulb Cidp.
From www.redoxgrows.com
CALCIUM IS FOUNDATIONAL TO A STRONG ONION CROP Redox Bionutrients Onion Bulb Cidp Distal symmetric polyneuropathy (dspn) is the most common neuropathy to occur in diabetes mellitus. Normal myelin formation is prevented which further limits the nerve’s ability to function. Onion bulbs surround some axons varied sizes some contain no axon most axons in onion bulbs are hypomyelinated (thin myelin sheath) Myxoid expansion of the stroma may occur in both disorders, whilst the. Onion Bulb Cidp.
From www.researchgate.net
Sural nerve from patient 2 showing an onion bulb consisting of a small Onion Bulb Cidp Normal myelin formation is prevented which further limits the nerve’s ability to function. The pathophysiology of cidp is inflammatory demyelination that manifests as slowed conduction velocities,. Chronic inflammatory demyelinating polyneuropathy (cidp) is the most common chronic autoimmune neuropathy. Distal symmetric polyneuropathy (dspn) is the most common neuropathy to occur in diabetes mellitus. Myxoid expansion of the stroma may occur in. Onion Bulb Cidp.
From neuromuscular.wustl.edu
CIDP Path Onion Bulb Cidp Normal myelin formation is prevented which further limits the nerve’s ability to function. Myxoid expansion of the stroma may occur in both disorders, whilst the onion. Distal symmetric polyneuropathy (dspn) is the most common neuropathy to occur in diabetes mellitus. The pathophysiology of cidp is inflammatory demyelination that manifests as slowed conduction velocities,. Chronic inflammatory demyelinating polyneuropathy (cidp) is the. Onion Bulb Cidp.
From www.slideserve.com
PPT Polyneuropathies Mononeuropathies Motoneuron diseases PowerPoint Onion Bulb Cidp Normal myelin formation is prevented which further limits the nerve’s ability to function. Myxoid expansion of the stroma may occur in both disorders, whilst the onion. Chronic inflammatory demyelinating polyneuropathy (cidp) is the most common chronic autoimmune neuropathy. Distal symmetric polyneuropathy (dspn) is the most common neuropathy to occur in diabetes mellitus. The pathophysiology of cidp is inflammatory demyelination that. Onion Bulb Cidp.
From www.nowyouknowneuro.com
Queston 20257Note NowYouKnow Neuro Onion Bulb Cidp The pathophysiology of cidp is inflammatory demyelination that manifests as slowed conduction velocities,. Onion bulbs surround some axons varied sizes some contain no axon most axons in onion bulbs are hypomyelinated (thin myelin sheath) Distal symmetric polyneuropathy (dspn) is the most common neuropathy to occur in diabetes mellitus. Myxoid expansion of the stroma may occur in both disorders, whilst the. Onion Bulb Cidp.
From broadpick.com
How to Grow Onion Bulbs BroadPick Onion Bulb Cidp Myxoid expansion of the stroma may occur in both disorders, whilst the onion. Normal myelin formation is prevented which further limits the nerve’s ability to function. The pathophysiology of cidp is inflammatory demyelination that manifests as slowed conduction velocities,. Onion bulbs surround some axons varied sizes some contain no axon most axons in onion bulbs are hypomyelinated (thin myelin sheath). Onion Bulb Cidp.
From www.researchgate.net
A myelinated axon is surrounded by onion bulb formations in a patient Onion Bulb Cidp Distal symmetric polyneuropathy (dspn) is the most common neuropathy to occur in diabetes mellitus. Myxoid expansion of the stroma may occur in both disorders, whilst the onion. The pathophysiology of cidp is inflammatory demyelination that manifests as slowed conduction velocities,. Onion bulbs surround some axons varied sizes some contain no axon most axons in onion bulbs are hypomyelinated (thin myelin. Onion Bulb Cidp.
From www.walmart.com
All Natural Onion Extract 1000mg Dried Onion Bulb (Allium Cepa Onion Bulb Cidp Myxoid expansion of the stroma may occur in both disorders, whilst the onion. Onion bulbs surround some axons varied sizes some contain no axon most axons in onion bulbs are hypomyelinated (thin myelin sheath) Distal symmetric polyneuropathy (dspn) is the most common neuropathy to occur in diabetes mellitus. The pathophysiology of cidp is inflammatory demyelination that manifests as slowed conduction. Onion Bulb Cidp.
From www.numerade.com
SOLVEDWhich is the correct explanation for "onion bulb" formation in Onion Bulb Cidp The pathophysiology of cidp is inflammatory demyelination that manifests as slowed conduction velocities,. Distal symmetric polyneuropathy (dspn) is the most common neuropathy to occur in diabetes mellitus. Normal myelin formation is prevented which further limits the nerve’s ability to function. Chronic inflammatory demyelinating polyneuropathy (cidp) is the most common chronic autoimmune neuropathy. Myxoid expansion of the stroma may occur in. Onion Bulb Cidp.
From shuncy.com
A StepByStep Guide To Planting Onion Bulbs In A Pot ShunCy Onion Bulb Cidp Normal myelin formation is prevented which further limits the nerve’s ability to function. Onion bulbs surround some axons varied sizes some contain no axon most axons in onion bulbs are hypomyelinated (thin myelin sheath) The pathophysiology of cidp is inflammatory demyelination that manifests as slowed conduction velocities,. Chronic inflammatory demyelinating polyneuropathy (cidp) is the most common chronic autoimmune neuropathy. Distal. Onion Bulb Cidp.
From herbsociety.org.uk
Herb Histories Onions The ABCs of Allium cepa The Herb Society Onion Bulb Cidp Chronic inflammatory demyelinating polyneuropathy (cidp) is the most common chronic autoimmune neuropathy. Normal myelin formation is prevented which further limits the nerve’s ability to function. Myxoid expansion of the stroma may occur in both disorders, whilst the onion. The pathophysiology of cidp is inflammatory demyelination that manifests as slowed conduction velocities,. Onion bulbs surround some axons varied sizes some contain. Onion Bulb Cidp.
From neuromuscular.wustl.edu
CIDP Path Onion Bulb Cidp Onion bulbs surround some axons varied sizes some contain no axon most axons in onion bulbs are hypomyelinated (thin myelin sheath) Myxoid expansion of the stroma may occur in both disorders, whilst the onion. Normal myelin formation is prevented which further limits the nerve’s ability to function. Chronic inflammatory demyelinating polyneuropathy (cidp) is the most common chronic autoimmune neuropathy. The. Onion Bulb Cidp.
From www.researchgate.net
The epidermises of onion scales. (A) Red onion bulb. B, Longitudinal Onion Bulb Cidp Chronic inflammatory demyelinating polyneuropathy (cidp) is the most common chronic autoimmune neuropathy. Normal myelin formation is prevented which further limits the nerve’s ability to function. The pathophysiology of cidp is inflammatory demyelination that manifests as slowed conduction velocities,. Myxoid expansion of the stroma may occur in both disorders, whilst the onion. Onion bulbs surround some axons varied sizes some contain. Onion Bulb Cidp.
From www.sohu.com
17号染色体及相关疾病(二)_基因_蛋白_遗传性 Onion Bulb Cidp Normal myelin formation is prevented which further limits the nerve’s ability to function. Myxoid expansion of the stroma may occur in both disorders, whilst the onion. Distal symmetric polyneuropathy (dspn) is the most common neuropathy to occur in diabetes mellitus. Onion bulbs surround some axons varied sizes some contain no axon most axons in onion bulbs are hypomyelinated (thin myelin. Onion Bulb Cidp.
From www.researchgate.net
Different pathological alterations in CIDP (ac) and normal agematched Onion Bulb Cidp Normal myelin formation is prevented which further limits the nerve’s ability to function. Chronic inflammatory demyelinating polyneuropathy (cidp) is the most common chronic autoimmune neuropathy. The pathophysiology of cidp is inflammatory demyelination that manifests as slowed conduction velocities,. Onion bulbs surround some axons varied sizes some contain no axon most axons in onion bulbs are hypomyelinated (thin myelin sheath) Distal. Onion Bulb Cidp.
From www.alamy.com
Close up of an onion bulb growing in a raised bed on an allotment plot Onion Bulb Cidp The pathophysiology of cidp is inflammatory demyelination that manifests as slowed conduction velocities,. Myxoid expansion of the stroma may occur in both disorders, whilst the onion. Onion bulbs surround some axons varied sizes some contain no axon most axons in onion bulbs are hypomyelinated (thin myelin sheath) Chronic inflammatory demyelinating polyneuropathy (cidp) is the most common chronic autoimmune neuropathy. Distal. Onion Bulb Cidp.
From www.alamy.com
Sprouting Bulb Onions Stock Photo Alamy Onion Bulb Cidp Chronic inflammatory demyelinating polyneuropathy (cidp) is the most common chronic autoimmune neuropathy. Onion bulbs surround some axons varied sizes some contain no axon most axons in onion bulbs are hypomyelinated (thin myelin sheath) Normal myelin formation is prevented which further limits the nerve’s ability to function. Distal symmetric polyneuropathy (dspn) is the most common neuropathy to occur in diabetes mellitus.. Onion Bulb Cidp.
From www.gardeningchannel.com
How do you grow onions from bulbs? Gardening Channel Onion Bulb Cidp Myxoid expansion of the stroma may occur in both disorders, whilst the onion. Chronic inflammatory demyelinating polyneuropathy (cidp) is the most common chronic autoimmune neuropathy. Onion bulbs surround some axons varied sizes some contain no axon most axons in onion bulbs are hypomyelinated (thin myelin sheath) Normal myelin formation is prevented which further limits the nerve’s ability to function. The. Onion Bulb Cidp.
From www.youtube.com
Planting Onion Bulbs A Complete Guide From Start To Finish YouTube Onion Bulb Cidp Onion bulbs surround some axons varied sizes some contain no axon most axons in onion bulbs are hypomyelinated (thin myelin sheath) Distal symmetric polyneuropathy (dspn) is the most common neuropathy to occur in diabetes mellitus. Normal myelin formation is prevented which further limits the nerve’s ability to function. Myxoid expansion of the stroma may occur in both disorders, whilst the. Onion Bulb Cidp.
From ar.inspiredpencil.com
Bulb Of Onion Onion Bulb Cidp Chronic inflammatory demyelinating polyneuropathy (cidp) is the most common chronic autoimmune neuropathy. Onion bulbs surround some axons varied sizes some contain no axon most axons in onion bulbs are hypomyelinated (thin myelin sheath) Distal symmetric polyneuropathy (dspn) is the most common neuropathy to occur in diabetes mellitus. Normal myelin formation is prevented which further limits the nerve’s ability to function.. Onion Bulb Cidp.
From neuromuscular.wustl.edu
CIDP Path Onion Bulb Cidp Distal symmetric polyneuropathy (dspn) is the most common neuropathy to occur in diabetes mellitus. Myxoid expansion of the stroma may occur in both disorders, whilst the onion. The pathophysiology of cidp is inflammatory demyelination that manifests as slowed conduction velocities,. Normal myelin formation is prevented which further limits the nerve’s ability to function. Chronic inflammatory demyelinating polyneuropathy (cidp) is the. Onion Bulb Cidp.
From www.pinterest.com
How to Regrow Sprouted Onion Bulbs Empress of Dirt Onion bulbs Onion Bulb Cidp Onion bulbs surround some axons varied sizes some contain no axon most axons in onion bulbs are hypomyelinated (thin myelin sheath) Distal symmetric polyneuropathy (dspn) is the most common neuropathy to occur in diabetes mellitus. Myxoid expansion of the stroma may occur in both disorders, whilst the onion. Normal myelin formation is prevented which further limits the nerve’s ability to. Onion Bulb Cidp.
From www.semanticscholar.org
Figure 2.1 from Understanding the mechanisms behind onion bulb dormancy Onion Bulb Cidp Chronic inflammatory demyelinating polyneuropathy (cidp) is the most common chronic autoimmune neuropathy. The pathophysiology of cidp is inflammatory demyelination that manifests as slowed conduction velocities,. Distal symmetric polyneuropathy (dspn) is the most common neuropathy to occur in diabetes mellitus. Onion bulbs surround some axons varied sizes some contain no axon most axons in onion bulbs are hypomyelinated (thin myelin sheath). Onion Bulb Cidp.
From harvesttotable.com
Onion Bulb Growth Is Affected by Dayight Hours and Temperature Onion Bulb Cidp Distal symmetric polyneuropathy (dspn) is the most common neuropathy to occur in diabetes mellitus. Normal myelin formation is prevented which further limits the nerve’s ability to function. The pathophysiology of cidp is inflammatory demyelination that manifests as slowed conduction velocities,. Onion bulbs surround some axons varied sizes some contain no axon most axons in onion bulbs are hypomyelinated (thin myelin. Onion Bulb Cidp.
From jnnp.bmj.com
Chronic inflammatory demyelinating polyradiculoneuropathy from Onion Bulb Cidp Distal symmetric polyneuropathy (dspn) is the most common neuropathy to occur in diabetes mellitus. Myxoid expansion of the stroma may occur in both disorders, whilst the onion. Chronic inflammatory demyelinating polyneuropathy (cidp) is the most common chronic autoimmune neuropathy. Onion bulbs surround some axons varied sizes some contain no axon most axons in onion bulbs are hypomyelinated (thin myelin sheath). Onion Bulb Cidp.
From www.vecteezy.com
Fresh red onion bulb with half isolated with clipping path in png file Onion Bulb Cidp Normal myelin formation is prevented which further limits the nerve’s ability to function. Myxoid expansion of the stroma may occur in both disorders, whilst the onion. Onion bulbs surround some axons varied sizes some contain no axon most axons in onion bulbs are hypomyelinated (thin myelin sheath) Chronic inflammatory demyelinating polyneuropathy (cidp) is the most common chronic autoimmune neuropathy. The. Onion Bulb Cidp.
From backgardener.com
How to Plant Onion Bulbs Back Gardener Onion Bulb Cidp Myxoid expansion of the stroma may occur in both disorders, whilst the onion. Chronic inflammatory demyelinating polyneuropathy (cidp) is the most common chronic autoimmune neuropathy. Onion bulbs surround some axons varied sizes some contain no axon most axons in onion bulbs are hypomyelinated (thin myelin sheath) Normal myelin formation is prevented which further limits the nerve’s ability to function. The. Onion Bulb Cidp.
From www.dreamstime.com
Whole and Cut Onion Bulbs Isolated on White Stock Image Image of Onion Bulb Cidp Distal symmetric polyneuropathy (dspn) is the most common neuropathy to occur in diabetes mellitus. Onion bulbs surround some axons varied sizes some contain no axon most axons in onion bulbs are hypomyelinated (thin myelin sheath) Myxoid expansion of the stroma may occur in both disorders, whilst the onion. Normal myelin formation is prevented which further limits the nerve’s ability to. Onion Bulb Cidp.
From plantscraze.com
What Part of The Plant Is Onion? [Confusion Solved!] Onion Bulb Cidp Distal symmetric polyneuropathy (dspn) is the most common neuropathy to occur in diabetes mellitus. Onion bulbs surround some axons varied sizes some contain no axon most axons in onion bulbs are hypomyelinated (thin myelin sheath) The pathophysiology of cidp is inflammatory demyelination that manifests as slowed conduction velocities,. Myxoid expansion of the stroma may occur in both disorders, whilst the. Onion Bulb Cidp.
From www.thespruce.com
How to Plant Onion Bulbs and Grow Another Onion Onion Bulb Cidp Chronic inflammatory demyelinating polyneuropathy (cidp) is the most common chronic autoimmune neuropathy. Myxoid expansion of the stroma may occur in both disorders, whilst the onion. Normal myelin formation is prevented which further limits the nerve’s ability to function. The pathophysiology of cidp is inflammatory demyelination that manifests as slowed conduction velocities,. Distal symmetric polyneuropathy (dspn) is the most common neuropathy. Onion Bulb Cidp.
From neuromuscular.wustl.edu
Chronic demyelination Onion Bulb Cidp Onion bulbs surround some axons varied sizes some contain no axon most axons in onion bulbs are hypomyelinated (thin myelin sheath) Distal symmetric polyneuropathy (dspn) is the most common neuropathy to occur in diabetes mellitus. Chronic inflammatory demyelinating polyneuropathy (cidp) is the most common chronic autoimmune neuropathy. The pathophysiology of cidp is inflammatory demyelination that manifests as slowed conduction velocities,.. Onion Bulb Cidp.