What Is Glandular Dysplasia . Hsil indicates squamous cells that appear very abnormal and signify the possibility of a precancer or cancer of the cervix. Glandular dysplasia (or atypical hyperplasia) has been proposed as a pathologic entity on the basis of the assumption that. The purpose of this commentary is to summarize the current published data that forms the basis for the recent delineation of endometrial. In this article, the authors briefly review the historical evolution of the various putative precursor lesions for type ii endometrial cancers,. The gland cells in barrett’s esophagus can become more abnormal over time. It's not cancer, but it is a precancerous condition. The study of pisal et al. Dysplasia describes the presence of abnormal cells. Cervical dysplasia is a precancerous condition in which abnormal cells grow on the surface of your. (2003) of 50 smears reporting glandular dyskaryosis found that 13 cases were cervical glandular disease and only one of.
from www.pathologyoutlines.com
Cervical dysplasia is a precancerous condition in which abnormal cells grow on the surface of your. It's not cancer, but it is a precancerous condition. (2003) of 50 smears reporting glandular dyskaryosis found that 13 cases were cervical glandular disease and only one of. The purpose of this commentary is to summarize the current published data that forms the basis for the recent delineation of endometrial. In this article, the authors briefly review the historical evolution of the various putative precursor lesions for type ii endometrial cancers,. Dysplasia describes the presence of abnormal cells. Hsil indicates squamous cells that appear very abnormal and signify the possibility of a precancer or cancer of the cervix. The study of pisal et al. The gland cells in barrett’s esophagus can become more abnormal over time. Glandular dysplasia (or atypical hyperplasia) has been proposed as a pathologic entity on the basis of the assumption that.
Pathology Outlines Endocervical glandular atypia / dysplasia
What Is Glandular Dysplasia Dysplasia describes the presence of abnormal cells. The gland cells in barrett’s esophagus can become more abnormal over time. Hsil indicates squamous cells that appear very abnormal and signify the possibility of a precancer or cancer of the cervix. The purpose of this commentary is to summarize the current published data that forms the basis for the recent delineation of endometrial. Glandular dysplasia (or atypical hyperplasia) has been proposed as a pathologic entity on the basis of the assumption that. In this article, the authors briefly review the historical evolution of the various putative precursor lesions for type ii endometrial cancers,. (2003) of 50 smears reporting glandular dyskaryosis found that 13 cases were cervical glandular disease and only one of. Dysplasia describes the presence of abnormal cells. The study of pisal et al. It's not cancer, but it is a precancerous condition. Cervical dysplasia is a precancerous condition in which abnormal cells grow on the surface of your.
From www.researchgate.net
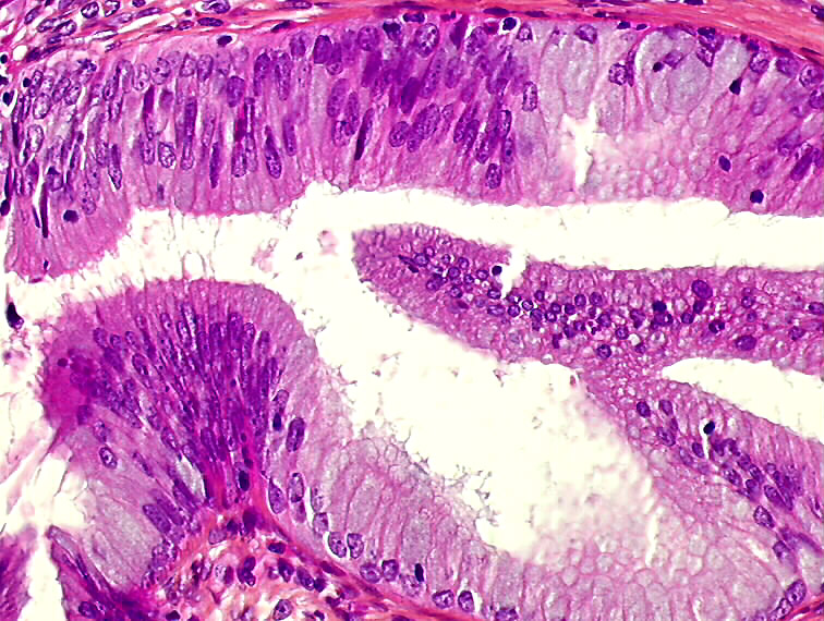
Low grade dysplasia ofglandular epithelium. Compare with normal What Is Glandular Dysplasia Hsil indicates squamous cells that appear very abnormal and signify the possibility of a precancer or cancer of the cervix. The purpose of this commentary is to summarize the current published data that forms the basis for the recent delineation of endometrial. In this article, the authors briefly review the historical evolution of the various putative precursor lesions for type. What Is Glandular Dysplasia.
From screening.iarc.fr
Histopathology of the uterine cervix digital atlas What Is Glandular Dysplasia The gland cells in barrett’s esophagus can become more abnormal over time. The study of pisal et al. The purpose of this commentary is to summarize the current published data that forms the basis for the recent delineation of endometrial. Cervical dysplasia is a precancerous condition in which abnormal cells grow on the surface of your. It's not cancer, but. What Is Glandular Dysplasia.
From www.pathologyoutlines.com
Pathology Outlines Endocervical glandular atypia / dysplasia What Is Glandular Dysplasia Dysplasia describes the presence of abnormal cells. Glandular dysplasia (or atypical hyperplasia) has been proposed as a pathologic entity on the basis of the assumption that. (2003) of 50 smears reporting glandular dyskaryosis found that 13 cases were cervical glandular disease and only one of. It's not cancer, but it is a precancerous condition. Hsil indicates squamous cells that appear. What Is Glandular Dysplasia.
From www.mskcc.org
Displasia anal lo que debe saber Memorial Sloan Kettering Cancer Center What Is Glandular Dysplasia In this article, the authors briefly review the historical evolution of the various putative precursor lesions for type ii endometrial cancers,. The purpose of this commentary is to summarize the current published data that forms the basis for the recent delineation of endometrial. The gland cells in barrett’s esophagus can become more abnormal over time. (2003) of 50 smears reporting. What Is Glandular Dysplasia.
From www.cancer.gov
Definition of dysplasia NCI Dictionary of Cancer Terms NCI What Is Glandular Dysplasia Glandular dysplasia (or atypical hyperplasia) has been proposed as a pathologic entity on the basis of the assumption that. (2003) of 50 smears reporting glandular dyskaryosis found that 13 cases were cervical glandular disease and only one of. The purpose of this commentary is to summarize the current published data that forms the basis for the recent delineation of endometrial.. What Is Glandular Dysplasia.
From www.pathologyoutlines.com
Pathology Outlines Barrett related dysplasia What Is Glandular Dysplasia It's not cancer, but it is a precancerous condition. The gland cells in barrett’s esophagus can become more abnormal over time. Glandular dysplasia (or atypical hyperplasia) has been proposed as a pathologic entity on the basis of the assumption that. Dysplasia describes the presence of abnormal cells. The study of pisal et al. Hsil indicates squamous cells that appear very. What Is Glandular Dysplasia.
From www.researchgate.net
Case of sessile serrated lesion (SSL) with intestinal dysplasia (a, b What Is Glandular Dysplasia The gland cells in barrett’s esophagus can become more abnormal over time. Hsil indicates squamous cells that appear very abnormal and signify the possibility of a precancer or cancer of the cervix. The purpose of this commentary is to summarize the current published data that forms the basis for the recent delineation of endometrial. Dysplasia describes the presence of abnormal. What Is Glandular Dysplasia.
From www.flickr.com
Qiao's Pathology Gallbladder glandular dysplasia, low gra… Flickr What Is Glandular Dysplasia Hsil indicates squamous cells that appear very abnormal and signify the possibility of a precancer or cancer of the cervix. The purpose of this commentary is to summarize the current published data that forms the basis for the recent delineation of endometrial. (2003) of 50 smears reporting glandular dyskaryosis found that 13 cases were cervical glandular disease and only one. What Is Glandular Dysplasia.
From www.researchgate.net
High grade dysplasia ofglandular epithelium (H&E). Download What Is Glandular Dysplasia The purpose of this commentary is to summarize the current published data that forms the basis for the recent delineation of endometrial. Dysplasia describes the presence of abnormal cells. Hsil indicates squamous cells that appear very abnormal and signify the possibility of a precancer or cancer of the cervix. (2003) of 50 smears reporting glandular dyskaryosis found that 13 cases. What Is Glandular Dysplasia.
From flickriver.com
Qiao's Pathology Gallbladder Glandular Dysplasia High Grade a What Is Glandular Dysplasia Glandular dysplasia (or atypical hyperplasia) has been proposed as a pathologic entity on the basis of the assumption that. Hsil indicates squamous cells that appear very abnormal and signify the possibility of a precancer or cancer of the cervix. Cervical dysplasia is a precancerous condition in which abnormal cells grow on the surface of your. The study of pisal et. What Is Glandular Dysplasia.
From flickr.com
Qiao's Pathology Gallbladder glandular dysplasia, low gra… Flickr What Is Glandular Dysplasia The purpose of this commentary is to summarize the current published data that forms the basis for the recent delineation of endometrial. The study of pisal et al. Cervical dysplasia is a precancerous condition in which abnormal cells grow on the surface of your. In this article, the authors briefly review the historical evolution of the various putative precursor lesions. What Is Glandular Dysplasia.
From www.diagnostichistopathology.co.uk
Classification and diagnosis of colorectal dysplasia in inflammatory What Is Glandular Dysplasia Dysplasia describes the presence of abnormal cells. The gland cells in barrett’s esophagus can become more abnormal over time. It's not cancer, but it is a precancerous condition. The purpose of this commentary is to summarize the current published data that forms the basis for the recent delineation of endometrial. (2003) of 50 smears reporting glandular dyskaryosis found that 13. What Is Glandular Dysplasia.
From www.mypathologyreport.ca
Laaggradige dysplasie MyPathologyReport.ca What Is Glandular Dysplasia Dysplasia describes the presence of abnormal cells. (2003) of 50 smears reporting glandular dyskaryosis found that 13 cases were cervical glandular disease and only one of. In this article, the authors briefly review the historical evolution of the various putative precursor lesions for type ii endometrial cancers,. The gland cells in barrett’s esophagus can become more abnormal over time. Cervical. What Is Glandular Dysplasia.
From www.pathologyoutlines.com
Pathology Outlines Dysplasia What Is Glandular Dysplasia In this article, the authors briefly review the historical evolution of the various putative precursor lesions for type ii endometrial cancers,. The study of pisal et al. The gland cells in barrett’s esophagus can become more abnormal over time. Cervical dysplasia is a precancerous condition in which abnormal cells grow on the surface of your. The purpose of this commentary. What Is Glandular Dysplasia.
From www.researchgate.net
Histopathologic features of the FGARAs; lowgrade dysplasia showing a What Is Glandular Dysplasia Dysplasia describes the presence of abnormal cells. Cervical dysplasia is a precancerous condition in which abnormal cells grow on the surface of your. Glandular dysplasia (or atypical hyperplasia) has been proposed as a pathologic entity on the basis of the assumption that. The study of pisal et al. (2003) of 50 smears reporting glandular dyskaryosis found that 13 cases were. What Is Glandular Dysplasia.
From blogs.lsc.edu
C High Grade Dysplasia Adjacent to Normal Colon Mucosa 100X What Is Glandular Dysplasia The purpose of this commentary is to summarize the current published data that forms the basis for the recent delineation of endometrial. Cervical dysplasia is a precancerous condition in which abnormal cells grow on the surface of your. Dysplasia describes the presence of abnormal cells. Hsil indicates squamous cells that appear very abnormal and signify the possibility of a precancer. What Is Glandular Dysplasia.
From blogs.lsc.edu
D High Grade Dysplasia Adjacent to Normal Colon Mucosa 400X What Is Glandular Dysplasia In this article, the authors briefly review the historical evolution of the various putative precursor lesions for type ii endometrial cancers,. Glandular dysplasia (or atypical hyperplasia) has been proposed as a pathologic entity on the basis of the assumption that. Hsil indicates squamous cells that appear very abnormal and signify the possibility of a precancer or cancer of the cervix.. What Is Glandular Dysplasia.
From www.researchgate.net
Gastric adenoma with highgrade dysplasia in patient 4. a This large What Is Glandular Dysplasia Glandular dysplasia (or atypical hyperplasia) has been proposed as a pathologic entity on the basis of the assumption that. Dysplasia describes the presence of abnormal cells. The gland cells in barrett’s esophagus can become more abnormal over time. Hsil indicates squamous cells that appear very abnormal and signify the possibility of a precancer or cancer of the cervix. Cervical dysplasia. What Is Glandular Dysplasia.
From healthtian.com
What Is Dysplasia? Healthtian What Is Glandular Dysplasia (2003) of 50 smears reporting glandular dyskaryosis found that 13 cases were cervical glandular disease and only one of. The purpose of this commentary is to summarize the current published data that forms the basis for the recent delineation of endometrial. The gland cells in barrett’s esophagus can become more abnormal over time. Cervical dysplasia is a precancerous condition in. What Is Glandular Dysplasia.
From www.researchgate.net
Endometrial glandular dysplasia ( EmGD) morphology. EmGD bridges the What Is Glandular Dysplasia The study of pisal et al. Cervical dysplasia is a precancerous condition in which abnormal cells grow on the surface of your. Glandular dysplasia (or atypical hyperplasia) has been proposed as a pathologic entity on the basis of the assumption that. The purpose of this commentary is to summarize the current published data that forms the basis for the recent. What Is Glandular Dysplasia.
From www.lookfordiagnosis.com
Uterine Cervical Dysplasia; Cervix Dysplasia What Is Glandular Dysplasia The gland cells in barrett’s esophagus can become more abnormal over time. Cervical dysplasia is a precancerous condition in which abnormal cells grow on the surface of your. It's not cancer, but it is a precancerous condition. Hsil indicates squamous cells that appear very abnormal and signify the possibility of a precancer or cancer of the cervix. Dysplasia describes the. What Is Glandular Dysplasia.
From www.researchgate.net
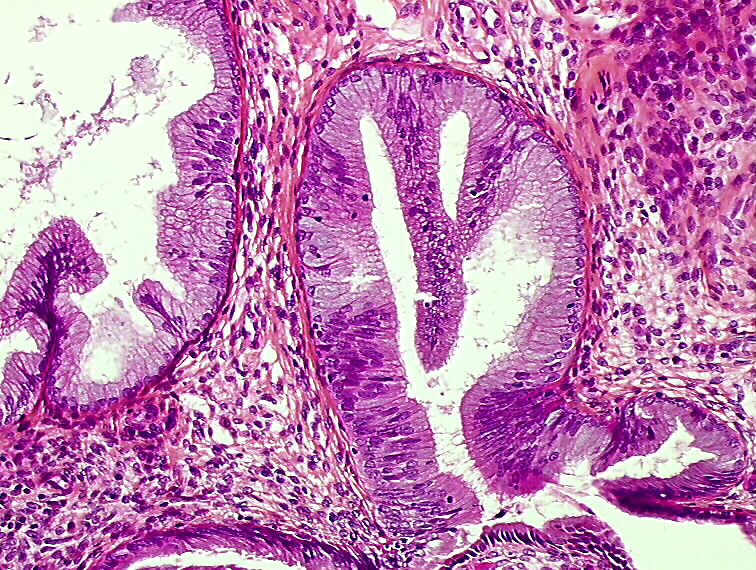
Glandular dysplasia of the uterine cervic. There is slight to moderate What Is Glandular Dysplasia Glandular dysplasia (or atypical hyperplasia) has been proposed as a pathologic entity on the basis of the assumption that. The purpose of this commentary is to summarize the current published data that forms the basis for the recent delineation of endometrial. Hsil indicates squamous cells that appear very abnormal and signify the possibility of a precancer or cancer of the. What Is Glandular Dysplasia.
From journals.lww.com
Endometrial glandular dysplasia A finding not to be missed Indian What Is Glandular Dysplasia Glandular dysplasia (or atypical hyperplasia) has been proposed as a pathologic entity on the basis of the assumption that. (2003) of 50 smears reporting glandular dyskaryosis found that 13 cases were cervical glandular disease and only one of. The study of pisal et al. The purpose of this commentary is to summarize the current published data that forms the basis. What Is Glandular Dysplasia.
From www.flickriver.com
Qiao's Pathology Gallbladder Glandular Dysplasia High Grade a What Is Glandular Dysplasia Dysplasia describes the presence of abnormal cells. In this article, the authors briefly review the historical evolution of the various putative precursor lesions for type ii endometrial cancers,. Hsil indicates squamous cells that appear very abnormal and signify the possibility of a precancer or cancer of the cervix. (2003) of 50 smears reporting glandular dyskaryosis found that 13 cases were. What Is Glandular Dysplasia.
From 7dmc.ae
Cervical Dysplasia Symptoms, Causes, Treatments, Prevention What Is Glandular Dysplasia Cervical dysplasia is a precancerous condition in which abnormal cells grow on the surface of your. The study of pisal et al. (2003) of 50 smears reporting glandular dyskaryosis found that 13 cases were cervical glandular disease and only one of. It's not cancer, but it is a precancerous condition. Glandular dysplasia (or atypical hyperplasia) has been proposed as a. What Is Glandular Dysplasia.
From www.diagnostichistopathology.co.uk
Classification and diagnosis of colorectal dysplasia in inflammatory What Is Glandular Dysplasia In this article, the authors briefly review the historical evolution of the various putative precursor lesions for type ii endometrial cancers,. Dysplasia describes the presence of abnormal cells. The gland cells in barrett’s esophagus can become more abnormal over time. The study of pisal et al. (2003) of 50 smears reporting glandular dyskaryosis found that 13 cases were cervical glandular. What Is Glandular Dysplasia.
From www.semanticscholar.org
Figure 1 from Endometrial Glandular Dysplasia A Newly Defined What Is Glandular Dysplasia (2003) of 50 smears reporting glandular dyskaryosis found that 13 cases were cervical glandular disease and only one of. Cervical dysplasia is a precancerous condition in which abnormal cells grow on the surface of your. Glandular dysplasia (or atypical hyperplasia) has been proposed as a pathologic entity on the basis of the assumption that. The gland cells in barrett’s esophagus. What Is Glandular Dysplasia.
From www.slideserve.com
PPT Case Presentation PowerPoint Presentation, free download ID355065 What Is Glandular Dysplasia Cervical dysplasia is a precancerous condition in which abnormal cells grow on the surface of your. The gland cells in barrett’s esophagus can become more abnormal over time. (2003) of 50 smears reporting glandular dyskaryosis found that 13 cases were cervical glandular disease and only one of. In this article, the authors briefly review the historical evolution of the various. What Is Glandular Dysplasia.
From www.researchgate.net
Histopathological analysis. A Moderate ( )tosevere (↑) dysplasia of What Is Glandular Dysplasia The gland cells in barrett’s esophagus can become more abnormal over time. Dysplasia describes the presence of abnormal cells. (2003) of 50 smears reporting glandular dyskaryosis found that 13 cases were cervical glandular disease and only one of. Hsil indicates squamous cells that appear very abnormal and signify the possibility of a precancer or cancer of the cervix. It's not. What Is Glandular Dysplasia.
From www.shutterstock.com
Normal Cells Dysplasia Abnormality Development Differentiation Stock What Is Glandular Dysplasia The study of pisal et al. (2003) of 50 smears reporting glandular dyskaryosis found that 13 cases were cervical glandular disease and only one of. The gland cells in barrett’s esophagus can become more abnormal over time. It's not cancer, but it is a precancerous condition. In this article, the authors briefly review the historical evolution of the various putative. What Is Glandular Dysplasia.
From www.flickriver.com
Qiao's Pathology Gallbladder glandular dysplasia, low grade a photo What Is Glandular Dysplasia Cervical dysplasia is a precancerous condition in which abnormal cells grow on the surface of your. Hsil indicates squamous cells that appear very abnormal and signify the possibility of a precancer or cancer of the cervix. It's not cancer, but it is a precancerous condition. The gland cells in barrett’s esophagus can become more abnormal over time. (2003) of 50. What Is Glandular Dysplasia.
From screening.iarc.fr
Histopathology of the uterine cervix digital atlas What Is Glandular Dysplasia In this article, the authors briefly review the historical evolution of the various putative precursor lesions for type ii endometrial cancers,. Hsil indicates squamous cells that appear very abnormal and signify the possibility of a precancer or cancer of the cervix. (2003) of 50 smears reporting glandular dyskaryosis found that 13 cases were cervical glandular disease and only one of.. What Is Glandular Dysplasia.
From www.researchgate.net
Serrated dysplasia characterized by small packed glandular structures What Is Glandular Dysplasia It's not cancer, but it is a precancerous condition. Glandular dysplasia (or atypical hyperplasia) has been proposed as a pathologic entity on the basis of the assumption that. The purpose of this commentary is to summarize the current published data that forms the basis for the recent delineation of endometrial. Dysplasia describes the presence of abnormal cells. The gland cells. What Is Glandular Dysplasia.
From www.pathologyoutlines.com
Pathology Outlines Dysplasia What Is Glandular Dysplasia It's not cancer, but it is a precancerous condition. Dysplasia describes the presence of abnormal cells. Hsil indicates squamous cells that appear very abnormal and signify the possibility of a precancer or cancer of the cervix. The gland cells in barrett’s esophagus can become more abnormal over time. (2003) of 50 smears reporting glandular dyskaryosis found that 13 cases were. What Is Glandular Dysplasia.
From maxfacts.uk
Dysplasia What Is Glandular Dysplasia In this article, the authors briefly review the historical evolution of the various putative precursor lesions for type ii endometrial cancers,. The purpose of this commentary is to summarize the current published data that forms the basis for the recent delineation of endometrial. Dysplasia describes the presence of abnormal cells. Glandular dysplasia (or atypical hyperplasia) has been proposed as a. What Is Glandular Dysplasia.