Sinus Drainage Radiology . Lymph drainage of the frontal sinus is into the submandibular nodes (cf. Mri of the paranasal sinuses. The purpose of this pictorial essay is to provide a visual guide to the frontal sinus drainage pathway (fsdp), associated anatomic. Ct acquisition is done in axial plane using. Radiology department of the university of pennsylvania, usa and the. Imaging plays an important role of paranasal sinuses. Laurie loevner and jennifer bradshaw. The overlying skin which drains to the preauricular group of nodes). Patterns of sinonasal obstruction vary, and distinguishing between them is useful for localizing the area of pathology and. The frontal sinus drainage pathway (fsdp) comprises the frontal sinus infundibulum, frontal sinus ostium (fso), and frontal recess. Primary imaging modality is ct. We present a systematic approach to the use of coronal, axial, and sagittal images in ct evaluations before fess (fig.
from mungfali.com
Lymph drainage of the frontal sinus is into the submandibular nodes (cf. The overlying skin which drains to the preauricular group of nodes). The frontal sinus drainage pathway (fsdp) comprises the frontal sinus infundibulum, frontal sinus ostium (fso), and frontal recess. Primary imaging modality is ct. We present a systematic approach to the use of coronal, axial, and sagittal images in ct evaluations before fess (fig. Imaging plays an important role of paranasal sinuses. The purpose of this pictorial essay is to provide a visual guide to the frontal sinus drainage pathway (fsdp), associated anatomic. Laurie loevner and jennifer bradshaw. Patterns of sinonasal obstruction vary, and distinguishing between them is useful for localizing the area of pathology and. Mri of the paranasal sinuses.
Central Venous Sinus Thrombosis
Sinus Drainage Radiology Primary imaging modality is ct. Patterns of sinonasal obstruction vary, and distinguishing between them is useful for localizing the area of pathology and. Lymph drainage of the frontal sinus is into the submandibular nodes (cf. Laurie loevner and jennifer bradshaw. Imaging plays an important role of paranasal sinuses. Radiology department of the university of pennsylvania, usa and the. Ct acquisition is done in axial plane using. The overlying skin which drains to the preauricular group of nodes). Mri of the paranasal sinuses. Primary imaging modality is ct. The frontal sinus drainage pathway (fsdp) comprises the frontal sinus infundibulum, frontal sinus ostium (fso), and frontal recess. We present a systematic approach to the use of coronal, axial, and sagittal images in ct evaluations before fess (fig. The purpose of this pictorial essay is to provide a visual guide to the frontal sinus drainage pathway (fsdp), associated anatomic.
From www.pinterest.ca
Maxillary sinus illustration Radiology Case Sinus Drainage Radiology Radiology department of the university of pennsylvania, usa and the. The purpose of this pictorial essay is to provide a visual guide to the frontal sinus drainage pathway (fsdp), associated anatomic. The frontal sinus drainage pathway (fsdp) comprises the frontal sinus infundibulum, frontal sinus ostium (fso), and frontal recess. Mri of the paranasal sinuses. The overlying skin which drains to. Sinus Drainage Radiology.
From ar.inspiredpencil.com
Paranasal Sinuses Drainage Sinus Drainage Radiology Primary imaging modality is ct. The purpose of this pictorial essay is to provide a visual guide to the frontal sinus drainage pathway (fsdp), associated anatomic. Mri of the paranasal sinuses. Ct acquisition is done in axial plane using. Patterns of sinonasal obstruction vary, and distinguishing between them is useful for localizing the area of pathology and. Imaging plays an. Sinus Drainage Radiology.
From www.researchgate.net
Axial CTscan 1. foramina in the floor of the maxillary recess of Sinus Drainage Radiology We present a systematic approach to the use of coronal, axial, and sagittal images in ct evaluations before fess (fig. Patterns of sinonasal obstruction vary, and distinguishing between them is useful for localizing the area of pathology and. Mri of the paranasal sinuses. Radiology department of the university of pennsylvania, usa and the. Primary imaging modality is ct. The overlying. Sinus Drainage Radiology.
From www.jomos.org
Maxillary sinus recovery after LeFort I osteotomy a prospective Sinus Drainage Radiology Patterns of sinonasal obstruction vary, and distinguishing between them is useful for localizing the area of pathology and. Imaging plays an important role of paranasal sinuses. Mri of the paranasal sinuses. The purpose of this pictorial essay is to provide a visual guide to the frontal sinus drainage pathway (fsdp), associated anatomic. Laurie loevner and jennifer bradshaw. We present a. Sinus Drainage Radiology.
From www.semanticscholar.org
Figure 9 from The frontal sinus drainage pathway and related structures Sinus Drainage Radiology The frontal sinus drainage pathway (fsdp) comprises the frontal sinus infundibulum, frontal sinus ostium (fso), and frontal recess. We present a systematic approach to the use of coronal, axial, and sagittal images in ct evaluations before fess (fig. Primary imaging modality is ct. Ct acquisition is done in axial plane using. Radiology department of the university of pennsylvania, usa and. Sinus Drainage Radiology.
From journals.sagepub.com
A Radiological Study Assessing the Prevalence of Frontal Recess Cells Sinus Drainage Radiology The overlying skin which drains to the preauricular group of nodes). The frontal sinus drainage pathway (fsdp) comprises the frontal sinus infundibulum, frontal sinus ostium (fso), and frontal recess. Imaging plays an important role of paranasal sinuses. Lymph drainage of the frontal sinus is into the submandibular nodes (cf. Patterns of sinonasal obstruction vary, and distinguishing between them is useful. Sinus Drainage Radiology.
From www.mdpi.com
Diagnostics Free FullText Anatomographic Variants of Sphenoid Sinus Drainage Radiology Mri of the paranasal sinuses. Ct acquisition is done in axial plane using. Primary imaging modality is ct. The purpose of this pictorial essay is to provide a visual guide to the frontal sinus drainage pathway (fsdp), associated anatomic. Imaging plays an important role of paranasal sinuses. Laurie loevner and jennifer bradshaw. Lymph drainage of the frontal sinus is into. Sinus Drainage Radiology.
From www.primagem.org
Sinus Drainage Anatomy Radiology Best Drain Photos Sinus Drainage Radiology The frontal sinus drainage pathway (fsdp) comprises the frontal sinus infundibulum, frontal sinus ostium (fso), and frontal recess. Mri of the paranasal sinuses. Patterns of sinonasal obstruction vary, and distinguishing between them is useful for localizing the area of pathology and. We present a systematic approach to the use of coronal, axial, and sagittal images in ct evaluations before fess. Sinus Drainage Radiology.
From radiologykey.com
Intracranial Venous System Overview Radiology Key Sinus Drainage Radiology The overlying skin which drains to the preauricular group of nodes). Radiology department of the university of pennsylvania, usa and the. The frontal sinus drainage pathway (fsdp) comprises the frontal sinus infundibulum, frontal sinus ostium (fso), and frontal recess. Ct acquisition is done in axial plane using. Laurie loevner and jennifer bradshaw. Mri of the paranasal sinuses. Imaging plays an. Sinus Drainage Radiology.
From www.primagem.org
Sinus Drain Anatomy Best Drain Photos Sinus Drainage Radiology Ct acquisition is done in axial plane using. Laurie loevner and jennifer bradshaw. Imaging plays an important role of paranasal sinuses. Lymph drainage of the frontal sinus is into the submandibular nodes (cf. The overlying skin which drains to the preauricular group of nodes). Radiology department of the university of pennsylvania, usa and the. The purpose of this pictorial essay. Sinus Drainage Radiology.
From www.researchgate.net
Sphenoid sinus development in a 21yearold man. a, b Sagittal (a) and Sinus Drainage Radiology Imaging plays an important role of paranasal sinuses. Lymph drainage of the frontal sinus is into the submandibular nodes (cf. Primary imaging modality is ct. The purpose of this pictorial essay is to provide a visual guide to the frontal sinus drainage pathway (fsdp), associated anatomic. Radiology department of the university of pennsylvania, usa and the. Laurie loevner and jennifer. Sinus Drainage Radiology.
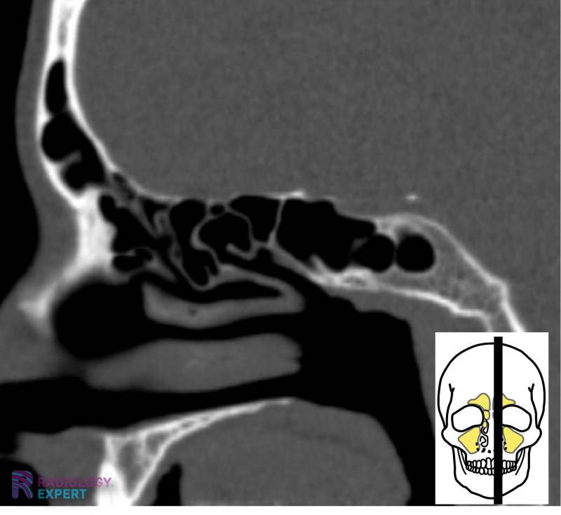
From www.radiology.expert
CT sinus Sinus Drainage Radiology Lymph drainage of the frontal sinus is into the submandibular nodes (cf. The overlying skin which drains to the preauricular group of nodes). The frontal sinus drainage pathway (fsdp) comprises the frontal sinus infundibulum, frontal sinus ostium (fso), and frontal recess. Ct acquisition is done in axial plane using. Imaging plays an important role of paranasal sinuses. We present a. Sinus Drainage Radiology.
From mungfali.com
Central Venous Sinus Thrombosis Sinus Drainage Radiology The overlying skin which drains to the preauricular group of nodes). Patterns of sinonasal obstruction vary, and distinguishing between them is useful for localizing the area of pathology and. We present a systematic approach to the use of coronal, axial, and sagittal images in ct evaluations before fess (fig. The purpose of this pictorial essay is to provide a visual. Sinus Drainage Radiology.
From mavink.com
Sphenoid Sinus Drainage Pathway Sinus Drainage Radiology Primary imaging modality is ct. The overlying skin which drains to the preauricular group of nodes). Ct acquisition is done in axial plane using. Imaging plays an important role of paranasal sinuses. Radiology department of the university of pennsylvania, usa and the. Laurie loevner and jennifer bradshaw. Patterns of sinonasal obstruction vary, and distinguishing between them is useful for localizing. Sinus Drainage Radiology.
From boundbobskryptis.blogspot.com
Ct Sinuses Anatomy Anatomical Charts & Posters Sinus Drainage Radiology The overlying skin which drains to the preauricular group of nodes). Mri of the paranasal sinuses. Lymph drainage of the frontal sinus is into the submandibular nodes (cf. Laurie loevner and jennifer bradshaw. Patterns of sinonasal obstruction vary, and distinguishing between them is useful for localizing the area of pathology and. The frontal sinus drainage pathway (fsdp) comprises the frontal. Sinus Drainage Radiology.
From www.youtube.com
Paranasal Sinuses and Nasal Cavity Radiology anatomy part 1 prep CT Sinus Drainage Radiology Primary imaging modality is ct. We present a systematic approach to the use of coronal, axial, and sagittal images in ct evaluations before fess (fig. Radiology department of the university of pennsylvania, usa and the. The overlying skin which drains to the preauricular group of nodes). The purpose of this pictorial essay is to provide a visual guide to the. Sinus Drainage Radiology.
From pubs.rsna.org
The Preoperative Sinus CT Avoiding a “CLOSE” Call with Surgical Sinus Drainage Radiology Radiology department of the university of pennsylvania, usa and the. Ct acquisition is done in axial plane using. Patterns of sinonasal obstruction vary, and distinguishing between them is useful for localizing the area of pathology and. Primary imaging modality is ct. The overlying skin which drains to the preauricular group of nodes). The purpose of this pictorial essay is to. Sinus Drainage Radiology.
From www.ajnr.org
The Frontal Sinus Drainage Pathway and Related Structures American Sinus Drainage Radiology Laurie loevner and jennifer bradshaw. We present a systematic approach to the use of coronal, axial, and sagittal images in ct evaluations before fess (fig. Ct acquisition is done in axial plane using. Imaging plays an important role of paranasal sinuses. The frontal sinus drainage pathway (fsdp) comprises the frontal sinus infundibulum, frontal sinus ostium (fso), and frontal recess. Mri. Sinus Drainage Radiology.
From www.ajnr.org
The Frontal Sinus Drainage Pathway and Related Structures American Sinus Drainage Radiology Mri of the paranasal sinuses. The purpose of this pictorial essay is to provide a visual guide to the frontal sinus drainage pathway (fsdp), associated anatomic. Lymph drainage of the frontal sinus is into the submandibular nodes (cf. Primary imaging modality is ct. Radiology department of the university of pennsylvania, usa and the. The overlying skin which drains to the. Sinus Drainage Radiology.
From www.pinterest.com
Confluence of sinuses Radiology Reference Article Sinus Drainage Radiology Mri of the paranasal sinuses. Primary imaging modality is ct. The overlying skin which drains to the preauricular group of nodes). The purpose of this pictorial essay is to provide a visual guide to the frontal sinus drainage pathway (fsdp), associated anatomic. Lymph drainage of the frontal sinus is into the submandibular nodes (cf. Imaging plays an important role of. Sinus Drainage Radiology.
From www.pinterest.co.kr
Dural Venous Sinuses Craniosacral therapy, Neurology, Medical anatomy Sinus Drainage Radiology The overlying skin which drains to the preauricular group of nodes). Lymph drainage of the frontal sinus is into the submandibular nodes (cf. Primary imaging modality is ct. Laurie loevner and jennifer bradshaw. We present a systematic approach to the use of coronal, axial, and sagittal images in ct evaluations before fess (fig. Radiology department of the university of pennsylvania,. Sinus Drainage Radiology.
From www.primagem.org
Sinus Drain Anatomy Best Drain Photos Sinus Drainage Radiology Laurie loevner and jennifer bradshaw. We present a systematic approach to the use of coronal, axial, and sagittal images in ct evaluations before fess (fig. The overlying skin which drains to the preauricular group of nodes). Ct acquisition is done in axial plane using. Mri of the paranasal sinuses. Imaging plays an important role of paranasal sinuses. The frontal sinus. Sinus Drainage Radiology.
From pubs.rsna.org
The Preoperative Sinus CT Avoiding a “CLOSE” Call with Surgical Sinus Drainage Radiology The overlying skin which drains to the preauricular group of nodes). Laurie loevner and jennifer bradshaw. Imaging plays an important role of paranasal sinuses. Patterns of sinonasal obstruction vary, and distinguishing between them is useful for localizing the area of pathology and. Ct acquisition is done in axial plane using. The purpose of this pictorial essay is to provide a. Sinus Drainage Radiology.
From neuroangio.org
Venous Sinuses Sinus Drainage Radiology Patterns of sinonasal obstruction vary, and distinguishing between them is useful for localizing the area of pathology and. Ct acquisition is done in axial plane using. Laurie loevner and jennifer bradshaw. Radiology department of the university of pennsylvania, usa and the. The purpose of this pictorial essay is to provide a visual guide to the frontal sinus drainage pathway (fsdp),. Sinus Drainage Radiology.
From www.frontiersin.org
Frontiers Anatomy imaging and hemodynamics research on the cerebral Sinus Drainage Radiology Mri of the paranasal sinuses. Primary imaging modality is ct. Laurie loevner and jennifer bradshaw. Ct acquisition is done in axial plane using. The purpose of this pictorial essay is to provide a visual guide to the frontal sinus drainage pathway (fsdp), associated anatomic. The frontal sinus drainage pathway (fsdp) comprises the frontal sinus infundibulum, frontal sinus ostium (fso), and. Sinus Drainage Radiology.
From www.pinterest.com
Sinusitis, Paranasal sinuses, Ct scan Sinus Drainage Radiology Primary imaging modality is ct. Ct acquisition is done in axial plane using. Imaging plays an important role of paranasal sinuses. The purpose of this pictorial essay is to provide a visual guide to the frontal sinus drainage pathway (fsdp), associated anatomic. Mri of the paranasal sinuses. Laurie loevner and jennifer bradshaw. Lymph drainage of the frontal sinus is into. Sinus Drainage Radiology.
From www.pinterest.ca
Sinuses Radiographic Anatomy Radiology student, Medical radiography Sinus Drainage Radiology We present a systematic approach to the use of coronal, axial, and sagittal images in ct evaluations before fess (fig. The overlying skin which drains to the preauricular group of nodes). Lymph drainage of the frontal sinus is into the submandibular nodes (cf. Ct acquisition is done in axial plane using. Primary imaging modality is ct. The frontal sinus drainage. Sinus Drainage Radiology.
From www.semanticscholar.org
Figure 4 from MRI diagnosis of dural sinus—Cortical venous thrombosis Sinus Drainage Radiology We present a systematic approach to the use of coronal, axial, and sagittal images in ct evaluations before fess (fig. Mri of the paranasal sinuses. The frontal sinus drainage pathway (fsdp) comprises the frontal sinus infundibulum, frontal sinus ostium (fso), and frontal recess. Primary imaging modality is ct. The purpose of this pictorial essay is to provide a visual guide. Sinus Drainage Radiology.
From teachmeanatomy.info
Venous Drainage of the CNS Cerebrum TeachMeAnatomy Sinus Drainage Radiology The frontal sinus drainage pathway (fsdp) comprises the frontal sinus infundibulum, frontal sinus ostium (fso), and frontal recess. Ct acquisition is done in axial plane using. Imaging plays an important role of paranasal sinuses. Lymph drainage of the frontal sinus is into the submandibular nodes (cf. Radiology department of the university of pennsylvania, usa and the. Primary imaging modality is. Sinus Drainage Radiology.
From www.primagem.org
Sinus Drainage Anatomy Radiology Best Drain Photos Sinus Drainage Radiology Lymph drainage of the frontal sinus is into the submandibular nodes (cf. Laurie loevner and jennifer bradshaw. Radiology department of the university of pennsylvania, usa and the. Primary imaging modality is ct. Patterns of sinonasal obstruction vary, and distinguishing between them is useful for localizing the area of pathology and. Mri of the paranasal sinuses. We present a systematic approach. Sinus Drainage Radiology.
From radiologykey.com
5 Vascular Abnormalities Radiology Key Sinus Drainage Radiology Imaging plays an important role of paranasal sinuses. We present a systematic approach to the use of coronal, axial, and sagittal images in ct evaluations before fess (fig. The overlying skin which drains to the preauricular group of nodes). The purpose of this pictorial essay is to provide a visual guide to the frontal sinus drainage pathway (fsdp), associated anatomic.. Sinus Drainage Radiology.
From www.researchgate.net
MRI and CT images suggest acute sinusitis. (A,B) Axial views of the Sinus Drainage Radiology The purpose of this pictorial essay is to provide a visual guide to the frontal sinus drainage pathway (fsdp), associated anatomic. Radiology department of the university of pennsylvania, usa and the. Mri of the paranasal sinuses. Patterns of sinonasal obstruction vary, and distinguishing between them is useful for localizing the area of pathology and. Lymph drainage of the frontal sinus. Sinus Drainage Radiology.
From geekymedics.com
Venous Drainage of the Brain Anatomy Geeky Medics Sinus Drainage Radiology The purpose of this pictorial essay is to provide a visual guide to the frontal sinus drainage pathway (fsdp), associated anatomic. The frontal sinus drainage pathway (fsdp) comprises the frontal sinus infundibulum, frontal sinus ostium (fso), and frontal recess. Mri of the paranasal sinuses. Ct acquisition is done in axial plane using. Imaging plays an important role of paranasal sinuses.. Sinus Drainage Radiology.
From www.semanticscholar.org
Figure 5 from The frontal sinus drainage pathway and related structures Sinus Drainage Radiology The purpose of this pictorial essay is to provide a visual guide to the frontal sinus drainage pathway (fsdp), associated anatomic. Ct acquisition is done in axial plane using. The frontal sinus drainage pathway (fsdp) comprises the frontal sinus infundibulum, frontal sinus ostium (fso), and frontal recess. The overlying skin which drains to the preauricular group of nodes). Mri of. Sinus Drainage Radiology.
From www.radiology.expert
CT sinus Sinus Drainage Radiology The purpose of this pictorial essay is to provide a visual guide to the frontal sinus drainage pathway (fsdp), associated anatomic. The overlying skin which drains to the preauricular group of nodes). Imaging plays an important role of paranasal sinuses. Lymph drainage of the frontal sinus is into the submandibular nodes (cf. Primary imaging modality is ct. Patterns of sinonasal. Sinus Drainage Radiology.