What Does A Flail Chest Look Like . Flail chest happens when multiple adjacent ribs are broken in multiple places, creating a segment of the chest wall that moves independently. Flail chest is when three or more adjacent ribs are fractured in at least two places, causing paradoxical motions in the chest. Flail chest is a particular kind of rib fracture that is defined as three (or more) ribs that are broken in two (or more) places. The primary cause of flail chest is blunt chest. Flail chest is a traumatic chest injury defined as segmental fractures of 3 or more consecutive ribs and is often associated with pulmonary injuries such as hemothorax. Flail chest is an injury that occurs typically following a blunt trauma to the chest. When three or more ribs. Instead of rigidly holding the normal shape of the chest, as the ribcage is meant to do, flail chest results in a segment of the chest wall.
from www.pinterest.com
Flail chest is a traumatic chest injury defined as segmental fractures of 3 or more consecutive ribs and is often associated with pulmonary injuries such as hemothorax. Instead of rigidly holding the normal shape of the chest, as the ribcage is meant to do, flail chest results in a segment of the chest wall. Flail chest happens when multiple adjacent ribs are broken in multiple places, creating a segment of the chest wall that moves independently. The primary cause of flail chest is blunt chest. Flail chest is an injury that occurs typically following a blunt trauma to the chest. Flail chest is when three or more adjacent ribs are fractured in at least two places, causing paradoxical motions in the chest. Flail chest is a particular kind of rib fracture that is defined as three (or more) ribs that are broken in two (or more) places. When three or more ribs.
Flail Chest Nursing School Notes Med Surg Pulmonary Basics Etsy in
What Does A Flail Chest Look Like The primary cause of flail chest is blunt chest. Instead of rigidly holding the normal shape of the chest, as the ribcage is meant to do, flail chest results in a segment of the chest wall. When three or more ribs. The primary cause of flail chest is blunt chest. Flail chest happens when multiple adjacent ribs are broken in multiple places, creating a segment of the chest wall that moves independently. Flail chest is an injury that occurs typically following a blunt trauma to the chest. Flail chest is a traumatic chest injury defined as segmental fractures of 3 or more consecutive ribs and is often associated with pulmonary injuries such as hemothorax. Flail chest is when three or more adjacent ribs are fractured in at least two places, causing paradoxical motions in the chest. Flail chest is a particular kind of rib fracture that is defined as three (or more) ribs that are broken in two (or more) places.
From www.pinterest.com
Flail Chest Nursing School Notes Med Surg Pulmonary Basics Etsy in What Does A Flail Chest Look Like Flail chest is a particular kind of rib fracture that is defined as three (or more) ribs that are broken in two (or more) places. Instead of rigidly holding the normal shape of the chest, as the ribcage is meant to do, flail chest results in a segment of the chest wall. Flail chest is when three or more adjacent. What Does A Flail Chest Look Like.
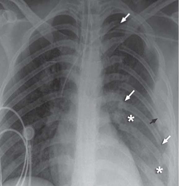
From www.slideserve.com
PPT FLAIL CHEST PowerPoint Presentation, free download ID9664213 What Does A Flail Chest Look Like Instead of rigidly holding the normal shape of the chest, as the ribcage is meant to do, flail chest results in a segment of the chest wall. Flail chest is an injury that occurs typically following a blunt trauma to the chest. When three or more ribs. Flail chest is when three or more adjacent ribs are fractured in at. What Does A Flail Chest Look Like.
From pinterest.com
to LearningRadiology flail, chest, trauma, rib, fracture What Does A Flail Chest Look Like Flail chest is when three or more adjacent ribs are fractured in at least two places, causing paradoxical motions in the chest. When three or more ribs. Flail chest is a particular kind of rib fracture that is defined as three (or more) ribs that are broken in two (or more) places. Flail chest is an injury that occurs typically. What Does A Flail Chest Look Like.
From www.slideserve.com
PPT FLAIL CHEST PowerPoint Presentation, free download ID9664213 What Does A Flail Chest Look Like The primary cause of flail chest is blunt chest. When three or more ribs. Flail chest is when three or more adjacent ribs are fractured in at least two places, causing paradoxical motions in the chest. Instead of rigidly holding the normal shape of the chest, as the ribcage is meant to do, flail chest results in a segment of. What Does A Flail Chest Look Like.
From www.researchgate.net
Chest Xray showing a flail chest of the right haemithorax with two What Does A Flail Chest Look Like When three or more ribs. Flail chest happens when multiple adjacent ribs are broken in multiple places, creating a segment of the chest wall that moves independently. Flail chest is when three or more adjacent ribs are fractured in at least two places, causing paradoxical motions in the chest. Flail chest is a particular kind of rib fracture that is. What Does A Flail Chest Look Like.
From www.osmosis.org
Flail Chest What Is It, Causes, Symptoms, and More Osmosis What Does A Flail Chest Look Like Instead of rigidly holding the normal shape of the chest, as the ribcage is meant to do, flail chest results in a segment of the chest wall. Flail chest is a traumatic chest injury defined as segmental fractures of 3 or more consecutive ribs and is often associated with pulmonary injuries such as hemothorax. When three or more ribs. Flail. What Does A Flail Chest Look Like.
From www.lecturio.com
Flail Chest Concise Medical Knowledge What Does A Flail Chest Look Like Flail chest is an injury that occurs typically following a blunt trauma to the chest. Flail chest happens when multiple adjacent ribs are broken in multiple places, creating a segment of the chest wall that moves independently. Flail chest is when three or more adjacent ribs are fractured in at least two places, causing paradoxical motions in the chest. The. What Does A Flail Chest Look Like.
From www.osmosis.org
Flail Chest What Is It, Causes, Symptoms, and More Osmosis What Does A Flail Chest Look Like Flail chest is a traumatic chest injury defined as segmental fractures of 3 or more consecutive ribs and is often associated with pulmonary injuries such as hemothorax. Flail chest is a particular kind of rib fracture that is defined as three (or more) ribs that are broken in two (or more) places. The primary cause of flail chest is blunt. What Does A Flail Chest Look Like.
From medizzy.com
Flial chest causes MEDizzy What Does A Flail Chest Look Like The primary cause of flail chest is blunt chest. Flail chest is an injury that occurs typically following a blunt trauma to the chest. When three or more ribs. Flail chest happens when multiple adjacent ribs are broken in multiple places, creating a segment of the chest wall that moves independently. Flail chest is a traumatic chest injury defined as. What Does A Flail Chest Look Like.
From nurseinfo.in
FLAIL CHEST Nurse Info What Does A Flail Chest Look Like Flail chest is when three or more adjacent ribs are fractured in at least two places, causing paradoxical motions in the chest. Flail chest happens when multiple adjacent ribs are broken in multiple places, creating a segment of the chest wall that moves independently. When three or more ribs. Flail chest is a traumatic chest injury defined as segmental fractures. What Does A Flail Chest Look Like.
From www.osmosis.org
Anatomy clinical correlates Thoracic wall Video Osmosis What Does A Flail Chest Look Like Instead of rigidly holding the normal shape of the chest, as the ribcage is meant to do, flail chest results in a segment of the chest wall. Flail chest is an injury that occurs typically following a blunt trauma to the chest. Flail chest is a particular kind of rib fracture that is defined as three (or more) ribs that. What Does A Flail Chest Look Like.
From animalia-life.club
What Is Dogs Flail Chest What Does A Flail Chest Look Like Flail chest is a traumatic chest injury defined as segmental fractures of 3 or more consecutive ribs and is often associated with pulmonary injuries such as hemothorax. Instead of rigidly holding the normal shape of the chest, as the ribcage is meant to do, flail chest results in a segment of the chest wall. Flail chest is an injury that. What Does A Flail Chest Look Like.
From ar.inspiredpencil.com
Flail Chest X Ray What Does A Flail Chest Look Like Flail chest is an injury that occurs typically following a blunt trauma to the chest. When three or more ribs. Flail chest is a particular kind of rib fracture that is defined as three (or more) ribs that are broken in two (or more) places. Flail chest happens when multiple adjacent ribs are broken in multiple places, creating a segment. What Does A Flail Chest Look Like.
From www.spandidos-publications.com
Current status and research progress of minimally invasive surgery for What Does A Flail Chest Look Like Flail chest is when three or more adjacent ribs are fractured in at least two places, causing paradoxical motions in the chest. Flail chest is an injury that occurs typically following a blunt trauma to the chest. Flail chest happens when multiple adjacent ribs are broken in multiple places, creating a segment of the chest wall that moves independently. Flail. What Does A Flail Chest Look Like.
From healthjade.net
Flail chest definition, causes, symptoms, diagnosis, treatment & prognosis What Does A Flail Chest Look Like Flail chest is a particular kind of rib fracture that is defined as three (or more) ribs that are broken in two (or more) places. Instead of rigidly holding the normal shape of the chest, as the ribcage is meant to do, flail chest results in a segment of the chest wall. Flail chest happens when multiple adjacent ribs are. What Does A Flail Chest Look Like.
From ar.inspiredpencil.com
Flail Chest X Ray What Does A Flail Chest Look Like Flail chest is an injury that occurs typically following a blunt trauma to the chest. Flail chest is when three or more adjacent ribs are fractured in at least two places, causing paradoxical motions in the chest. The primary cause of flail chest is blunt chest. Flail chest is a traumatic chest injury defined as segmental fractures of 3 or. What Does A Flail Chest Look Like.
From www.slideserve.com
PPT CARE OF PATIENT WITH CHEST INJURIES PowerPoint Presentation, free What Does A Flail Chest Look Like When three or more ribs. Flail chest is an injury that occurs typically following a blunt trauma to the chest. Flail chest is when three or more adjacent ribs are fractured in at least two places, causing paradoxical motions in the chest. Instead of rigidly holding the normal shape of the chest, as the ribcage is meant to do, flail. What Does A Flail Chest Look Like.
From slideplayer.com
Chest trauma. ppt download What Does A Flail Chest Look Like The primary cause of flail chest is blunt chest. Flail chest is a particular kind of rib fracture that is defined as three (or more) ribs that are broken in two (or more) places. Instead of rigidly holding the normal shape of the chest, as the ribcage is meant to do, flail chest results in a segment of the chest. What Does A Flail Chest Look Like.
From animalia-life.club
Flail Chest Diagram What Does A Flail Chest Look Like Flail chest is when three or more adjacent ribs are fractured in at least two places, causing paradoxical motions in the chest. Flail chest is a particular kind of rib fracture that is defined as three (or more) ribs that are broken in two (or more) places. Flail chest happens when multiple adjacent ribs are broken in multiple places, creating. What Does A Flail Chest Look Like.
From www.pinterest.com
Rib Fractures causing Flail chest... Suspect this in patients with What Does A Flail Chest Look Like Flail chest is an injury that occurs typically following a blunt trauma to the chest. When three or more ribs. Flail chest is when three or more adjacent ribs are fractured in at least two places, causing paradoxical motions in the chest. Flail chest is a traumatic chest injury defined as segmental fractures of 3 or more consecutive ribs and. What Does A Flail Chest Look Like.
From www.studocu.com
Flail Chest Informational Flail Chest What is a Flail Chest? A What Does A Flail Chest Look Like The primary cause of flail chest is blunt chest. Flail chest is a particular kind of rib fracture that is defined as three (or more) ribs that are broken in two (or more) places. Flail chest is when three or more adjacent ribs are fractured in at least two places, causing paradoxical motions in the chest. Flail chest is an. What Does A Flail Chest Look Like.
From studymedicalphotos.blogspot.com
Study Medical Photos Flail Chest In A Child Following An Accidental What Does A Flail Chest Look Like Flail chest is a particular kind of rib fracture that is defined as three (or more) ribs that are broken in two (or more) places. Flail chest is a traumatic chest injury defined as segmental fractures of 3 or more consecutive ribs and is often associated with pulmonary injuries such as hemothorax. When three or more ribs. Flail chest happens. What Does A Flail Chest Look Like.
From animalia-life.club
What Is Dogs Flail Chest What Does A Flail Chest Look Like Flail chest is an injury that occurs typically following a blunt trauma to the chest. Flail chest is when three or more adjacent ribs are fractured in at least two places, causing paradoxical motions in the chest. When three or more ribs. Flail chest is a traumatic chest injury defined as segmental fractures of 3 or more consecutive ribs and. What Does A Flail Chest Look Like.
From www.youtube.com
Chest Trauma Flail Chest YouTube What Does A Flail Chest Look Like Flail chest is a particular kind of rib fracture that is defined as three (or more) ribs that are broken in two (or more) places. Flail chest is when three or more adjacent ribs are fractured in at least two places, causing paradoxical motions in the chest. Instead of rigidly holding the normal shape of the chest, as the ribcage. What Does A Flail Chest Look Like.
From alilamedicalimages.photoshelter.com
Flail chest Alila Medical Images What Does A Flail Chest Look Like Flail chest is when three or more adjacent ribs are fractured in at least two places, causing paradoxical motions in the chest. Flail chest is an injury that occurs typically following a blunt trauma to the chest. Instead of rigidly holding the normal shape of the chest, as the ribcage is meant to do, flail chest results in a segment. What Does A Flail Chest Look Like.
From www.scribd.com
Flail Chest PDF What Does A Flail Chest Look Like Flail chest is an injury that occurs typically following a blunt trauma to the chest. Flail chest is a traumatic chest injury defined as segmental fractures of 3 or more consecutive ribs and is often associated with pulmonary injuries such as hemothorax. Instead of rigidly holding the normal shape of the chest, as the ribcage is meant to do, flail. What Does A Flail Chest Look Like.
From animalia-life.club
What Is Dogs Flail Chest What Does A Flail Chest Look Like Flail chest is a particular kind of rib fracture that is defined as three (or more) ribs that are broken in two (or more) places. Flail chest is an injury that occurs typically following a blunt trauma to the chest. When three or more ribs. Flail chest is a traumatic chest injury defined as segmental fractures of 3 or more. What Does A Flail Chest Look Like.
From www.slideserve.com
PPT chest trauma PowerPoint Presentation, free download ID2647266 What Does A Flail Chest Look Like Flail chest happens when multiple adjacent ribs are broken in multiple places, creating a segment of the chest wall that moves independently. Flail chest is an injury that occurs typically following a blunt trauma to the chest. Flail chest is when three or more adjacent ribs are fractured in at least two places, causing paradoxical motions in the chest. The. What Does A Flail Chest Look Like.
From www.youtube.com
How to find those rib fractures on a Chest XRay YouTube What Does A Flail Chest Look Like Flail chest is an injury that occurs typically following a blunt trauma to the chest. Instead of rigidly holding the normal shape of the chest, as the ribcage is meant to do, flail chest results in a segment of the chest wall. Flail chest is when three or more adjacent ribs are fractured in at least two places, causing paradoxical. What Does A Flail Chest Look Like.
From boredombash.com
He Quickly Drank 24 Cans Of Red Bull… Soon? THIS Starts Happening What Does A Flail Chest Look Like Instead of rigidly holding the normal shape of the chest, as the ribcage is meant to do, flail chest results in a segment of the chest wall. Flail chest is a particular kind of rib fracture that is defined as three (or more) ribs that are broken in two (or more) places. The primary cause of flail chest is blunt. What Does A Flail Chest Look Like.
From www.slideserve.com
PPT Chapter 21 Flail Chest PowerPoint Presentation, free download What Does A Flail Chest Look Like Flail chest is a particular kind of rib fracture that is defined as three (or more) ribs that are broken in two (or more) places. Flail chest is a traumatic chest injury defined as segmental fractures of 3 or more consecutive ribs and is often associated with pulmonary injuries such as hemothorax. The primary cause of flail chest is blunt. What Does A Flail Chest Look Like.
From orthopaedicprinciples.com
Flail Chest — What Does A Flail Chest Look Like Flail chest happens when multiple adjacent ribs are broken in multiple places, creating a segment of the chest wall that moves independently. Flail chest is a traumatic chest injury defined as segmental fractures of 3 or more consecutive ribs and is often associated with pulmonary injuries such as hemothorax. Flail chest is an injury that occurs typically following a blunt. What Does A Flail Chest Look Like.
From www.slideshare.net
Flail chest What Does A Flail Chest Look Like Instead of rigidly holding the normal shape of the chest, as the ribcage is meant to do, flail chest results in a segment of the chest wall. The primary cause of flail chest is blunt chest. Flail chest is a particular kind of rib fracture that is defined as three (or more) ribs that are broken in two (or more). What Does A Flail Chest Look Like.
From medschool.co
Loss of Lung Markings Chest XRay MedSchool What Does A Flail Chest Look Like When three or more ribs. The primary cause of flail chest is blunt chest. Flail chest is when three or more adjacent ribs are fractured in at least two places, causing paradoxical motions in the chest. Flail chest is a particular kind of rib fracture that is defined as three (or more) ribs that are broken in two (or more). What Does A Flail Chest Look Like.
From www.youtube.com
FLAIL CHEST IN A TRAUMA PATIENT YouTube What Does A Flail Chest Look Like Instead of rigidly holding the normal shape of the chest, as the ribcage is meant to do, flail chest results in a segment of the chest wall. When three or more ribs. Flail chest is a traumatic chest injury defined as segmental fractures of 3 or more consecutive ribs and is often associated with pulmonary injuries such as hemothorax. Flail. What Does A Flail Chest Look Like.