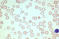
Iron Deficiency Anemia Peripheral Smear . Learn about the causes, symptoms, diagnosis, and treatment of iron deficiency anemia, the most common type of anemia. 7 although levels below 15 ng per ml (33.70 pmol per l) are consistent with a diagnosis of. Common causes are blood loss, reduced absorption, inadequate dietary intake,. See the peripheral blood smear features of microcytic and hypochromic. This is a peripheral blood smear from a patient with iron deficiency anemia. Ferritin reflects iron stores and is the most accurate test to diagnose iron deficiency anemia. The peripheral smear or blood slide may show small,. Certain straightforward conditions such as iron deficiency anemia can be easily diagnosed on the basis of clinical information and basic. Iron deficiency anemia (ida) is the most frequent presentation of iron deficiency. Iron deficiency anemia is a microcytic anemia that occurs when loss of iron exceeds intake. Normal lymphocyte for comparison purposes is seen at. A peripheral blood smear shows the following.
from www.slideserve.com
Normal lymphocyte for comparison purposes is seen at. Common causes are blood loss, reduced absorption, inadequate dietary intake,. Certain straightforward conditions such as iron deficiency anemia can be easily diagnosed on the basis of clinical information and basic. 7 although levels below 15 ng per ml (33.70 pmol per l) are consistent with a diagnosis of. The peripheral smear or blood slide may show small,. Learn about the causes, symptoms, diagnosis, and treatment of iron deficiency anemia, the most common type of anemia. Iron deficiency anemia (ida) is the most frequent presentation of iron deficiency. This is a peripheral blood smear from a patient with iron deficiency anemia. A peripheral blood smear shows the following. See the peripheral blood smear features of microcytic and hypochromic.
PPT ANEMIA PowerPoint Presentation, free download ID867448
Iron Deficiency Anemia Peripheral Smear See the peripheral blood smear features of microcytic and hypochromic. Certain straightforward conditions such as iron deficiency anemia can be easily diagnosed on the basis of clinical information and basic. See the peripheral blood smear features of microcytic and hypochromic. Iron deficiency anemia is a microcytic anemia that occurs when loss of iron exceeds intake. 7 although levels below 15 ng per ml (33.70 pmol per l) are consistent with a diagnosis of. This is a peripheral blood smear from a patient with iron deficiency anemia. Learn about the causes, symptoms, diagnosis, and treatment of iron deficiency anemia, the most common type of anemia. Ferritin reflects iron stores and is the most accurate test to diagnose iron deficiency anemia. A peripheral blood smear shows the following. Common causes are blood loss, reduced absorption, inadequate dietary intake,. The peripheral smear or blood slide may show small,. Normal lymphocyte for comparison purposes is seen at. Iron deficiency anemia (ida) is the most frequent presentation of iron deficiency.
From www.sciencephoto.com
LM of blood smear showing irondeficiency anaemia Stock Image M108 Iron Deficiency Anemia Peripheral Smear Iron deficiency anemia is a microcytic anemia that occurs when loss of iron exceeds intake. The peripheral smear or blood slide may show small,. Learn about the causes, symptoms, diagnosis, and treatment of iron deficiency anemia, the most common type of anemia. 7 although levels below 15 ng per ml (33.70 pmol per l) are consistent with a diagnosis of.. Iron Deficiency Anemia Peripheral Smear.
From www.thebloodproject.com
Iron Deficiency Anemia • The Blood Project Iron Deficiency Anemia Peripheral Smear 7 although levels below 15 ng per ml (33.70 pmol per l) are consistent with a diagnosis of. This is a peripheral blood smear from a patient with iron deficiency anemia. The peripheral smear or blood slide may show small,. Iron deficiency anemia is a microcytic anemia that occurs when loss of iron exceeds intake. Iron deficiency anemia (ida) is. Iron Deficiency Anemia Peripheral Smear.
From askhematologist.com
Iron Deficiency Anemia Ask Hematologist Understand Hematology Iron Deficiency Anemia Peripheral Smear Common causes are blood loss, reduced absorption, inadequate dietary intake,. See the peripheral blood smear features of microcytic and hypochromic. A peripheral blood smear shows the following. Normal lymphocyte for comparison purposes is seen at. Certain straightforward conditions such as iron deficiency anemia can be easily diagnosed on the basis of clinical information and basic. 7 although levels below 15. Iron Deficiency Anemia Peripheral Smear.
From stock.adobe.com
Iron deficiency Hypochromic microcytic anemia, red blood cells in a Iron Deficiency Anemia Peripheral Smear This is a peripheral blood smear from a patient with iron deficiency anemia. A peripheral blood smear shows the following. Normal lymphocyte for comparison purposes is seen at. Learn about the causes, symptoms, diagnosis, and treatment of iron deficiency anemia, the most common type of anemia. See the peripheral blood smear features of microcytic and hypochromic. Common causes are blood. Iron Deficiency Anemia Peripheral Smear.
From www.istockphoto.com
Comparison Between Normal Blood And Iron Deficiency Anemia Vector Blood Iron Deficiency Anemia Peripheral Smear A peripheral blood smear shows the following. Iron deficiency anemia (ida) is the most frequent presentation of iron deficiency. This is a peripheral blood smear from a patient with iron deficiency anemia. Normal lymphocyte for comparison purposes is seen at. 7 although levels below 15 ng per ml (33.70 pmol per l) are consistent with a diagnosis of. Learn about. Iron Deficiency Anemia Peripheral Smear.
From kikoxp.com
Iron Deficiency Anemia vs Thalassemia (Rule of 3s) Peripheral Blood Iron Deficiency Anemia Peripheral Smear A peripheral blood smear shows the following. See the peripheral blood smear features of microcytic and hypochromic. 7 although levels below 15 ng per ml (33.70 pmol per l) are consistent with a diagnosis of. Learn about the causes, symptoms, diagnosis, and treatment of iron deficiency anemia, the most common type of anemia. Iron deficiency anemia (ida) is the most. Iron Deficiency Anemia Peripheral Smear.
From www.scientificanimations.com
Iron Deficiency Anemia Symptoms, Causes, and Treatment Scientific Iron Deficiency Anemia Peripheral Smear Iron deficiency anemia (ida) is the most frequent presentation of iron deficiency. Certain straightforward conditions such as iron deficiency anemia can be easily diagnosed on the basis of clinical information and basic. 7 although levels below 15 ng per ml (33.70 pmol per l) are consistent with a diagnosis of. Learn about the causes, symptoms, diagnosis, and treatment of iron. Iron Deficiency Anemia Peripheral Smear.
From dentowesome.wordpress.com
IRON DEFICIENCY ANEMIA Dentowesome Iron Deficiency Anemia Peripheral Smear The peripheral smear or blood slide may show small,. Normal lymphocyte for comparison purposes is seen at. Common causes are blood loss, reduced absorption, inadequate dietary intake,. A peripheral blood smear shows the following. See the peripheral blood smear features of microcytic and hypochromic. Learn about the causes, symptoms, diagnosis, and treatment of iron deficiency anemia, the most common type. Iron Deficiency Anemia Peripheral Smear.
From www.slideserve.com
PPT ANEMIA PowerPoint Presentation, free download ID867448 Iron Deficiency Anemia Peripheral Smear See the peripheral blood smear features of microcytic and hypochromic. The peripheral smear or blood slide may show small,. Iron deficiency anemia (ida) is the most frequent presentation of iron deficiency. Ferritin reflects iron stores and is the most accurate test to diagnose iron deficiency anemia. Iron deficiency anemia is a microcytic anemia that occurs when loss of iron exceeds. Iron Deficiency Anemia Peripheral Smear.
From laboratorytests.org
Laboratory Diagnosis of Iron Deficiency Anemia (IDA) Iron Deficiency Anemia Peripheral Smear Certain straightforward conditions such as iron deficiency anemia can be easily diagnosed on the basis of clinical information and basic. Common causes are blood loss, reduced absorption, inadequate dietary intake,. Iron deficiency anemia (ida) is the most frequent presentation of iron deficiency. See the peripheral blood smear features of microcytic and hypochromic. The peripheral smear or blood slide may show. Iron Deficiency Anemia Peripheral Smear.
From mavink.com
Blood Smear Cheat Sheet Iron Deficiency Anemia Peripheral Smear Normal lymphocyte for comparison purposes is seen at. A peripheral blood smear shows the following. Iron deficiency anemia is a microcytic anemia that occurs when loss of iron exceeds intake. Learn about the causes, symptoms, diagnosis, and treatment of iron deficiency anemia, the most common type of anemia. This is a peripheral blood smear from a patient with iron deficiency. Iron Deficiency Anemia Peripheral Smear.
From msmedia.com.au
Iron deficiency anemia, blood smear Medical and Science Media Iron Deficiency Anemia Peripheral Smear 7 although levels below 15 ng per ml (33.70 pmol per l) are consistent with a diagnosis of. Iron deficiency anemia is a microcytic anemia that occurs when loss of iron exceeds intake. Learn about the causes, symptoms, diagnosis, and treatment of iron deficiency anemia, the most common type of anemia. Certain straightforward conditions such as iron deficiency anemia can. Iron Deficiency Anemia Peripheral Smear.
From mavink.com
Stages Of Iron Deficiency Anemia Iron Deficiency Anemia Peripheral Smear Iron deficiency anemia (ida) is the most frequent presentation of iron deficiency. Learn about the causes, symptoms, diagnosis, and treatment of iron deficiency anemia, the most common type of anemia. Common causes are blood loss, reduced absorption, inadequate dietary intake,. A peripheral blood smear shows the following. Normal lymphocyte for comparison purposes is seen at. This is a peripheral blood. Iron Deficiency Anemia Peripheral Smear.
From www.carolina.com
Human Iron Deficiency Anemia, smear Microscope Slide Carolina Iron Deficiency Anemia Peripheral Smear Normal lymphocyte for comparison purposes is seen at. See the peripheral blood smear features of microcytic and hypochromic. The peripheral smear or blood slide may show small,. Ferritin reflects iron stores and is the most accurate test to diagnose iron deficiency anemia. Learn about the causes, symptoms, diagnosis, and treatment of iron deficiency anemia, the most common type of anemia.. Iron Deficiency Anemia Peripheral Smear.
From www.slideserve.com
PPT ANEMIA PowerPoint Presentation, free download ID1450910 Iron Deficiency Anemia Peripheral Smear Iron deficiency anemia is a microcytic anemia that occurs when loss of iron exceeds intake. 7 although levels below 15 ng per ml (33.70 pmol per l) are consistent with a diagnosis of. See the peripheral blood smear features of microcytic and hypochromic. A peripheral blood smear shows the following. This is a peripheral blood smear from a patient with. Iron Deficiency Anemia Peripheral Smear.
From www.priyamstudycentre.com
Iron Deficiency Anemia Causes, Symptoms, Treatment Iron Deficiency Anemia Peripheral Smear This is a peripheral blood smear from a patient with iron deficiency anemia. Ferritin reflects iron stores and is the most accurate test to diagnose iron deficiency anemia. The peripheral smear or blood slide may show small,. A peripheral blood smear shows the following. Common causes are blood loss, reduced absorption, inadequate dietary intake,. Normal lymphocyte for comparison purposes is. Iron Deficiency Anemia Peripheral Smear.
From www.shutterstock.com
Neutrophil Peripheral Blood Smear Patient Iron Stock Photo 1456807559 Iron Deficiency Anemia Peripheral Smear The peripheral smear or blood slide may show small,. 7 although levels below 15 ng per ml (33.70 pmol per l) are consistent with a diagnosis of. Iron deficiency anemia (ida) is the most frequent presentation of iron deficiency. Iron deficiency anemia is a microcytic anemia that occurs when loss of iron exceeds intake. Learn about the causes, symptoms, diagnosis,. Iron Deficiency Anemia Peripheral Smear.
From www.researchgate.net
Peripheral smear showing iron deficiency anemia. Note the marked Iron Deficiency Anemia Peripheral Smear Ferritin reflects iron stores and is the most accurate test to diagnose iron deficiency anemia. See the peripheral blood smear features of microcytic and hypochromic. A peripheral blood smear shows the following. Normal lymphocyte for comparison purposes is seen at. Certain straightforward conditions such as iron deficiency anemia can be easily diagnosed on the basis of clinical information and basic.. Iron Deficiency Anemia Peripheral Smear.
From ilovepathology.com
Pathology of Iron Deficiency Anemia Pathology Made Simple Iron Deficiency Anemia Peripheral Smear Learn about the causes, symptoms, diagnosis, and treatment of iron deficiency anemia, the most common type of anemia. This is a peripheral blood smear from a patient with iron deficiency anemia. See the peripheral blood smear features of microcytic and hypochromic. Normal lymphocyte for comparison purposes is seen at. Certain straightforward conditions such as iron deficiency anemia can be easily. Iron Deficiency Anemia Peripheral Smear.
From www.flickriver.com
Irondeficiency Anemia, Peripheral Blood Smear a photo on Flickriver Iron Deficiency Anemia Peripheral Smear A peripheral blood smear shows the following. Iron deficiency anemia is a microcytic anemia that occurs when loss of iron exceeds intake. Iron deficiency anemia (ida) is the most frequent presentation of iron deficiency. Learn about the causes, symptoms, diagnosis, and treatment of iron deficiency anemia, the most common type of anemia. See the peripheral blood smear features of microcytic. Iron Deficiency Anemia Peripheral Smear.
From mungfali.com
Iron Deficiency Anemia Red Blood Cells Iron Deficiency Anemia Peripheral Smear Iron deficiency anemia (ida) is the most frequent presentation of iron deficiency. Normal lymphocyte for comparison purposes is seen at. This is a peripheral blood smear from a patient with iron deficiency anemia. The peripheral smear or blood slide may show small,. Certain straightforward conditions such as iron deficiency anemia can be easily diagnosed on the basis of clinical information. Iron Deficiency Anemia Peripheral Smear.
From www.youtube.com
Thalassemia vs Iron Deficiency Anemia (Rule of 3s) Peripheral Blood Iron Deficiency Anemia Peripheral Smear A peripheral blood smear shows the following. Ferritin reflects iron stores and is the most accurate test to diagnose iron deficiency anemia. Normal lymphocyte for comparison purposes is seen at. See the peripheral blood smear features of microcytic and hypochromic. Certain straightforward conditions such as iron deficiency anemia can be easily diagnosed on the basis of clinical information and basic.. Iron Deficiency Anemia Peripheral Smear.
From www.freepik.com
Premium Photo Iron deficiency hypochromic microcytic anemia red blood Iron Deficiency Anemia Peripheral Smear See the peripheral blood smear features of microcytic and hypochromic. 7 although levels below 15 ng per ml (33.70 pmol per l) are consistent with a diagnosis of. A peripheral blood smear shows the following. This is a peripheral blood smear from a patient with iron deficiency anemia. Normal lymphocyte for comparison purposes is seen at. Ferritin reflects iron stores. Iron Deficiency Anemia Peripheral Smear.
From www.emr.ac.uk
Lab Report Iron Deficiency Anemia emr.ac.uk Iron Deficiency Anemia Peripheral Smear Learn about the causes, symptoms, diagnosis, and treatment of iron deficiency anemia, the most common type of anemia. A peripheral blood smear shows the following. Normal lymphocyte for comparison purposes is seen at. The peripheral smear or blood slide may show small,. Ferritin reflects iron stores and is the most accurate test to diagnose iron deficiency anemia. See the peripheral. Iron Deficiency Anemia Peripheral Smear.
From mavink.com
Iron Deficiency Anemia Peripheral Blood Smear Iron Deficiency Anemia Peripheral Smear Common causes are blood loss, reduced absorption, inadequate dietary intake,. Iron deficiency anemia is a microcytic anemia that occurs when loss of iron exceeds intake. Certain straightforward conditions such as iron deficiency anemia can be easily diagnosed on the basis of clinical information and basic. 7 although levels below 15 ng per ml (33.70 pmol per l) are consistent with. Iron Deficiency Anemia Peripheral Smear.
From www.walmart.com
IronDeficient Anemia Blood (Human); Smear; GS Stain; Showing Iron Deficiency Anemia Peripheral Smear A peripheral blood smear shows the following. The peripheral smear or blood slide may show small,. 7 although levels below 15 ng per ml (33.70 pmol per l) are consistent with a diagnosis of. Normal lymphocyte for comparison purposes is seen at. See the peripheral blood smear features of microcytic and hypochromic. Common causes are blood loss, reduced absorption, inadequate. Iron Deficiency Anemia Peripheral Smear.
From www.thebloodproject.com
Iron Deficiency Anemia • The Blood Project Iron Deficiency Anemia Peripheral Smear A peripheral blood smear shows the following. Normal lymphocyte for comparison purposes is seen at. Iron deficiency anemia is a microcytic anemia that occurs when loss of iron exceeds intake. Certain straightforward conditions such as iron deficiency anemia can be easily diagnosed on the basis of clinical information and basic. 7 although levels below 15 ng per ml (33.70 pmol. Iron Deficiency Anemia Peripheral Smear.
From www.researchgate.net
(PDF) Coexisting Iron Deficiency Anemia and Beta Thalassemia Trait Iron Deficiency Anemia Peripheral Smear A peripheral blood smear shows the following. The peripheral smear or blood slide may show small,. Normal lymphocyte for comparison purposes is seen at. Certain straightforward conditions such as iron deficiency anemia can be easily diagnosed on the basis of clinical information and basic. Learn about the causes, symptoms, diagnosis, and treatment of iron deficiency anemia, the most common type. Iron Deficiency Anemia Peripheral Smear.
From www.researchgate.net
Peripheral smear showing typical features of iron deficiency anemia Iron Deficiency Anemia Peripheral Smear Learn about the causes, symptoms, diagnosis, and treatment of iron deficiency anemia, the most common type of anemia. The peripheral smear or blood slide may show small,. 7 although levels below 15 ng per ml (33.70 pmol per l) are consistent with a diagnosis of. Ferritin reflects iron stores and is the most accurate test to diagnose iron deficiency anemia.. Iron Deficiency Anemia Peripheral Smear.
From textbookhaematology4medical-scientist.blogspot.com
Haematology in a NutShell Iron Deficiency Anemia Iron Deficiency Anemia Peripheral Smear See the peripheral blood smear features of microcytic and hypochromic. A peripheral blood smear shows the following. Certain straightforward conditions such as iron deficiency anemia can be easily diagnosed on the basis of clinical information and basic. Normal lymphocyte for comparison purposes is seen at. The peripheral smear or blood slide may show small,. Ferritin reflects iron stores and is. Iron Deficiency Anemia Peripheral Smear.
From www.slideserve.com
PPT IRON DEFICIENCY AND RELATED HYPOCHROMIC ANEMIAS PowerPoint Iron Deficiency Anemia Peripheral Smear Learn about the causes, symptoms, diagnosis, and treatment of iron deficiency anemia, the most common type of anemia. 7 although levels below 15 ng per ml (33.70 pmol per l) are consistent with a diagnosis of. See the peripheral blood smear features of microcytic and hypochromic. This is a peripheral blood smear from a patient with iron deficiency anemia. Ferritin. Iron Deficiency Anemia Peripheral Smear.
From www.thebloodproject.com
Microcytic Anemias • The Blood Project Iron Deficiency Anemia Peripheral Smear Certain straightforward conditions such as iron deficiency anemia can be easily diagnosed on the basis of clinical information and basic. A peripheral blood smear shows the following. Normal lymphocyte for comparison purposes is seen at. Learn about the causes, symptoms, diagnosis, and treatment of iron deficiency anemia, the most common type of anemia. Iron deficiency anemia is a microcytic anemia. Iron Deficiency Anemia Peripheral Smear.
From mavink.com
Iron Deficiency Anemia Smear Iron Deficiency Anemia Peripheral Smear The peripheral smear or blood slide may show small,. Certain straightforward conditions such as iron deficiency anemia can be easily diagnosed on the basis of clinical information and basic. A peripheral blood smear shows the following. 7 although levels below 15 ng per ml (33.70 pmol per l) are consistent with a diagnosis of. Normal lymphocyte for comparison purposes is. Iron Deficiency Anemia Peripheral Smear.
From www.thebloodproject.com
Microcytic Anemias • The Blood Project Iron Deficiency Anemia Peripheral Smear A peripheral blood smear shows the following. Certain straightforward conditions such as iron deficiency anemia can be easily diagnosed on the basis of clinical information and basic. Normal lymphocyte for comparison purposes is seen at. Iron deficiency anemia is a microcytic anemia that occurs when loss of iron exceeds intake. The peripheral smear or blood slide may show small,. Common. Iron Deficiency Anemia Peripheral Smear.
From www.youtube.com
Iron deficiency anemia in peripheral blood smear YouTube Iron Deficiency Anemia Peripheral Smear A peripheral blood smear shows the following. 7 although levels below 15 ng per ml (33.70 pmol per l) are consistent with a diagnosis of. Iron deficiency anemia is a microcytic anemia that occurs when loss of iron exceeds intake. Ferritin reflects iron stores and is the most accurate test to diagnose iron deficiency anemia. See the peripheral blood smear. Iron Deficiency Anemia Peripheral Smear.