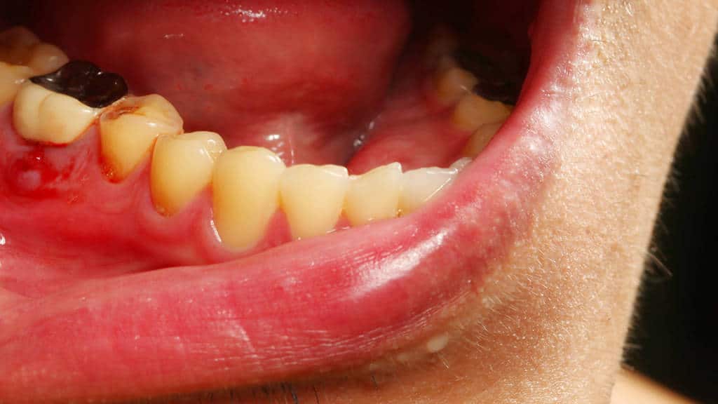
Failed Root Canal Swelling . Boil or pimple on the jaw; Traumatic dental injuries, a blockage, or salivary contamination are all possible causes of a botched root canal. A little swelling for a few days after a procedure is normal and expected while you heal. Any noticeable swelling around the gum or face may be a sign of infection due to a failed root canal. Swollen gums, jaw, or face: Minor irritation is expected, but significant swelling suggests a cyst or infection. If you notice persistent gum swelling, tenderness, or redness in the area, it could indicate an infection or an incomplete removal of the infected pulp during. Here are some common symptoms of root canal failure. A heightened response to hot or cold stimuli can sometimes be a symptom of. Seek immediate medical attention if swelling spreads or affects your airway. You may recognize the symptoms of infection, such as. A dentist, for example, could miss one of your canals or delay the implantation of a dental crown. Root canals can fail owing to a dentist's error, a structural anomaly, or an unforeseen development. It can take weeks, months or even years for a failed root canal to surface. However, if the swelling continues, it may be a.
from dxoaaremj.blob.core.windows.net
A heightened response to hot or cold stimuli can sometimes be a symptom of. If you notice persistent gum swelling, tenderness, or redness in the area, it could indicate an infection or an incomplete removal of the infected pulp during. Here are some common symptoms of root canal failure. Minor irritation is expected, but significant swelling suggests a cyst or infection. However, if the swelling continues, it may be a. A little swelling for a few days after a procedure is normal and expected while you heal. You may recognize the symptoms of infection, such as. Seek immediate medical attention if swelling spreads or affects your airway. Any noticeable swelling around the gum or face may be a sign of infection due to a failed root canal. Boil or pimple on the jaw;
Failed Root Canal Smell at Jennifer Luke blog
Failed Root Canal Swelling Here are some common symptoms of root canal failure. Swelling is often a sign of infection or inflammation. Minor irritation is expected, but significant swelling suggests a cyst or infection. Seek immediate medical attention if swelling spreads or affects your airway. Root canals can fail owing to a dentist's error, a structural anomaly, or an unforeseen development. A little swelling for a few days after a procedure is normal and expected while you heal. If you notice persistent gum swelling, tenderness, or redness in the area, it could indicate an infection or an incomplete removal of the infected pulp during. A heightened response to hot or cold stimuli can sometimes be a symptom of. It can take weeks, months or even years for a failed root canal to surface. A dentist, for example, could miss one of your canals or delay the implantation of a dental crown. Here are some common symptoms of root canal failure. However, if the swelling continues, it may be a. Any noticeable swelling around the gum or face may be a sign of infection due to a failed root canal. Traumatic dental injuries, a blockage, or salivary contamination are all possible causes of a botched root canal. You may recognize the symptoms of infection, such as. Swollen gums, jaw, or face:
From www.celeryandthecity.com
The Bad Side Of Root Canals Making An Informed Decision — Celery and Failed Root Canal Swelling It can take weeks, months or even years for a failed root canal to surface. A dentist, for example, could miss one of your canals or delay the implantation of a dental crown. Swelling is often a sign of infection or inflammation. If you notice persistent gum swelling, tenderness, or redness in the area, it could indicate an infection or. Failed Root Canal Swelling.
From dentistryweb.net
Swelling of the face after nerve filling and what is the difference Failed Root Canal Swelling However, if the swelling continues, it may be a. Any noticeable swelling around the gum or face may be a sign of infection due to a failed root canal. It can take weeks, months or even years for a failed root canal to surface. A little swelling for a few days after a procedure is normal and expected while you. Failed Root Canal Swelling.
From www.youtube.com
Root Canal Treatment Step by Step YouTube Failed Root Canal Swelling Root canals can fail owing to a dentist's error, a structural anomaly, or an unforeseen development. A little swelling for a few days after a procedure is normal and expected while you heal. Here are some common symptoms of root canal failure. Swelling is often a sign of infection or inflammation. A heightened response to hot or cold stimuli can. Failed Root Canal Swelling.
From dxoaaremj.blob.core.windows.net
Failed Root Canal Smell at Jennifer Luke blog Failed Root Canal Swelling You may recognize the symptoms of infection, such as. Minor irritation is expected, but significant swelling suggests a cyst or infection. Root canals can fail owing to a dentist's error, a structural anomaly, or an unforeseen development. A dentist, for example, could miss one of your canals or delay the implantation of a dental crown. It can take weeks, months. Failed Root Canal Swelling.
From digimonjazzeizzys.blogspot.com
After Root Canal Treatment Swelling Failed Root Canal Swelling Here are some common symptoms of root canal failure. You may recognize the symptoms of infection, such as. Swollen gums, jaw, or face: Boil or pimple on the jaw; A little swelling for a few days after a procedure is normal and expected while you heal. A heightened response to hot or cold stimuli can sometimes be a symptom of.. Failed Root Canal Swelling.
From www.functionalaestheticdentistry.com
Root Canal, Abscess Tooth Purpose, Procedures & Risk Dr. Suffoletta's Failed Root Canal Swelling A little swelling for a few days after a procedure is normal and expected while you heal. A dentist, for example, could miss one of your canals or delay the implantation of a dental crown. Seek immediate medical attention if swelling spreads or affects your airway. You may recognize the symptoms of infection, such as. However, if the swelling continues,. Failed Root Canal Swelling.
From dxoaaremj.blob.core.windows.net
Failed Root Canal Smell at Jennifer Luke blog Failed Root Canal Swelling Any noticeable swelling around the gum or face may be a sign of infection due to a failed root canal. A little swelling for a few days after a procedure is normal and expected while you heal. It can take weeks, months or even years for a failed root canal to surface. If you notice persistent gum swelling, tenderness, or. Failed Root Canal Swelling.
From www.youtube.com
Why do Root Canals Hurt SO MUCH??? Live Root Canal Procedure! YouTube Failed Root Canal Swelling Here are some common symptoms of root canal failure. Minor irritation is expected, but significant swelling suggests a cyst or infection. Any noticeable swelling around the gum or face may be a sign of infection due to a failed root canal. If you notice persistent gum swelling, tenderness, or redness in the area, it could indicate an infection or an. Failed Root Canal Swelling.
From ar.inspiredpencil.com
Root Canal Symptoms Of Failing Failed Root Canal Swelling Here are some common symptoms of root canal failure. Boil or pimple on the jaw; However, if the swelling continues, it may be a. You may recognize the symptoms of infection, such as. Traumatic dental injuries, a blockage, or salivary contamination are all possible causes of a botched root canal. A little swelling for a few days after a procedure. Failed Root Canal Swelling.
From dxoaaremj.blob.core.windows.net
Failed Root Canal Smell at Jennifer Luke blog Failed Root Canal Swelling A dentist, for example, could miss one of your canals or delay the implantation of a dental crown. Boil or pimple on the jaw; Seek immediate medical attention if swelling spreads or affects your airway. Root canals can fail owing to a dentist's error, a structural anomaly, or an unforeseen development. However, if the swelling continues, it may be a.. Failed Root Canal Swelling.
From www.dhamadison.com
Six Things to Know About Root Canals Dental Health Associates Failed Root Canal Swelling Seek immediate medical attention if swelling spreads or affects your airway. Boil or pimple on the jaw; A little swelling for a few days after a procedure is normal and expected while you heal. Minor irritation is expected, but significant swelling suggests a cyst or infection. Any noticeable swelling around the gum or face may be a sign of infection. Failed Root Canal Swelling.
From www.tooth-life.com
The telltale signs of failed root canal with Xray pictures Failed Root Canal Swelling It can take weeks, months or even years for a failed root canal to surface. Boil or pimple on the jaw; If you notice persistent gum swelling, tenderness, or redness in the area, it could indicate an infection or an incomplete removal of the infected pulp during. Seek immediate medical attention if swelling spreads or affects your airway. Traumatic dental. Failed Root Canal Swelling.
From www.linwellparkdentalcentre.ca
How Long Does a Root Canal Procedure Take? Failed Root Canal Swelling Any noticeable swelling around the gum or face may be a sign of infection due to a failed root canal. Minor irritation is expected, but significant swelling suggests a cyst or infection. Here are some common symptoms of root canal failure. Seek immediate medical attention if swelling spreads or affects your airway. Root canals can fail owing to a dentist's. Failed Root Canal Swelling.
From www.dentistlakewoodco.com
Root Canal Therapy Lakewood, CO Bear Creek Family Dental Failed Root Canal Swelling If you notice persistent gum swelling, tenderness, or redness in the area, it could indicate an infection or an incomplete removal of the infected pulp during. Boil or pimple on the jaw; A heightened response to hot or cold stimuli can sometimes be a symptom of. A dentist, for example, could miss one of your canals or delay the implantation. Failed Root Canal Swelling.
From sandiegoinvisaligndentist.org
What happens if root canal fails? Dental News Network Failed Root Canal Swelling Here are some common symptoms of root canal failure. Minor irritation is expected, but significant swelling suggests a cyst or infection. Swollen gums, jaw, or face: A dentist, for example, could miss one of your canals or delay the implantation of a dental crown. A heightened response to hot or cold stimuli can sometimes be a symptom of. You may. Failed Root Canal Swelling.
From www.riendental.com.au
Root canal retreatment fix failed root canal treatment. Failed Root Canal Swelling You may recognize the symptoms of infection, such as. Swelling is often a sign of infection or inflammation. Minor irritation is expected, but significant swelling suggests a cyst or infection. A heightened response to hot or cold stimuli can sometimes be a symptom of. A little swelling for a few days after a procedure is normal and expected while you. Failed Root Canal Swelling.
From www.pearldentalclinic.co.uk
Root canal treatment gallery before & after photos London Dentist Failed Root Canal Swelling Any noticeable swelling around the gum or face may be a sign of infection due to a failed root canal. Swollen gums, jaw, or face: Boil or pimple on the jaw; Seek immediate medical attention if swelling spreads or affects your airway. Here are some common symptoms of root canal failure. Root canals can fail owing to a dentist's error,. Failed Root Canal Swelling.
From www.r2dentistry.com
Does a Failed Root Canal Mean its Time for a Dental Implant? Failed Root Canal Swelling You may recognize the symptoms of infection, such as. Root canals can fail owing to a dentist's error, a structural anomaly, or an unforeseen development. It can take weeks, months or even years for a failed root canal to surface. Minor irritation is expected, but significant swelling suggests a cyst or infection. Seek immediate medical attention if swelling spreads or. Failed Root Canal Swelling.
From www.nofrillsdental.com
Managing Dental Pain All About Root Canal Treatments NoFrills Dental Failed Root Canal Swelling Any noticeable swelling around the gum or face may be a sign of infection due to a failed root canal. You may recognize the symptoms of infection, such as. It can take weeks, months or even years for a failed root canal to surface. Seek immediate medical attention if swelling spreads or affects your airway. Root canals can fail owing. Failed Root Canal Swelling.
From klaonmuvf.blob.core.windows.net
What Does Root Canal Infection Taste Like at Andrew Chevez blog Failed Root Canal Swelling Root canals can fail owing to a dentist's error, a structural anomaly, or an unforeseen development. A heightened response to hot or cold stimuli can sometimes be a symptom of. Seek immediate medical attention if swelling spreads or affects your airway. It can take weeks, months or even years for a failed root canal to surface. Swollen gums, jaw, or. Failed Root Canal Swelling.
From idealdentalcare.co.uk
Root Canal Treatment (Endodontic Therapy) Ideal Dental Care Failed Root Canal Swelling However, if the swelling continues, it may be a. It can take weeks, months or even years for a failed root canal to surface. Root canals can fail owing to a dentist's error, a structural anomaly, or an unforeseen development. Traumatic dental injuries, a blockage, or salivary contamination are all possible causes of a botched root canal. A heightened response. Failed Root Canal Swelling.
From exykrpjfb.blob.core.windows.net
Why Do Root Canals Fail Years Later at Lori Stockstill blog Failed Root Canal Swelling You may recognize the symptoms of infection, such as. A dentist, for example, could miss one of your canals or delay the implantation of a dental crown. If you notice persistent gum swelling, tenderness, or redness in the area, it could indicate an infection or an incomplete removal of the infected pulp during. It can take weeks, months or even. Failed Root Canal Swelling.
From localdentalclinics.com.au
What are the 3 Stages of Root Canal Treatment? Failed Root Canal Swelling A little swelling for a few days after a procedure is normal and expected while you heal. Root canals can fail owing to a dentist's error, a structural anomaly, or an unforeseen development. Boil or pimple on the jaw; Traumatic dental injuries, a blockage, or salivary contamination are all possible causes of a botched root canal. Any noticeable swelling around. Failed Root Canal Swelling.
From exonlvzdb.blob.core.windows.net
Failed Root Canal Health Problems at Mark Moody blog Failed Root Canal Swelling Any noticeable swelling around the gum or face may be a sign of infection due to a failed root canal. Swollen gums, jaw, or face: Swelling is often a sign of infection or inflammation. However, if the swelling continues, it may be a. You may recognize the symptoms of infection, such as. Traumatic dental injuries, a blockage, or salivary contamination. Failed Root Canal Swelling.
From www.langmoredental.com.au
Root Canal Treatment vs Tooth Extraction Langmore Dental Failed Root Canal Swelling A heightened response to hot or cold stimuli can sometimes be a symptom of. A dentist, for example, could miss one of your canals or delay the implantation of a dental crown. Root canals can fail owing to a dentist's error, a structural anomaly, or an unforeseen development. Boil or pimple on the jaw; Minor irritation is expected, but significant. Failed Root Canal Swelling.
From exoxwswkp.blob.core.windows.net
How Long Does A Root Canal Need To Heal at Gary Pitts blog Failed Root Canal Swelling It can take weeks, months or even years for a failed root canal to surface. Here are some common symptoms of root canal failure. If you notice persistent gum swelling, tenderness, or redness in the area, it could indicate an infection or an incomplete removal of the infected pulp during. Any noticeable swelling around the gum or face may be. Failed Root Canal Swelling.
From exynakjby.blob.core.windows.net
Can A Root Canal Go Bad After Years at Marsha Nichols blog Failed Root Canal Swelling Any noticeable swelling around the gum or face may be a sign of infection due to a failed root canal. A little swelling for a few days after a procedure is normal and expected while you heal. You may recognize the symptoms of infection, such as. Traumatic dental injuries, a blockage, or salivary contamination are all possible causes of a. Failed Root Canal Swelling.
From www.mdpi.com
Bioengineering Free FullText The Assessment of Quality of the Root Failed Root Canal Swelling Seek immediate medical attention if swelling spreads or affects your airway. Swelling is often a sign of infection or inflammation. If you notice persistent gum swelling, tenderness, or redness in the area, it could indicate an infection or an incomplete removal of the infected pulp during. Any noticeable swelling around the gum or face may be a sign of infection. Failed Root Canal Swelling.
From exonuynin.blob.core.windows.net
Why Is My Root Canal Tooth Hurting After Months at Martin Nutter blog Failed Root Canal Swelling It can take weeks, months or even years for a failed root canal to surface. Root canals can fail owing to a dentist's error, a structural anomaly, or an unforeseen development. However, if the swelling continues, it may be a. Swollen gums, jaw, or face: Traumatic dental injuries, a blockage, or salivary contamination are all possible causes of a botched. Failed Root Canal Swelling.
From myholisticdentist.com
How to Resolve a Root Canal Infection A Pardigm Shift Integrative Failed Root Canal Swelling A dentist, for example, could miss one of your canals or delay the implantation of a dental crown. Boil or pimple on the jaw; Here are some common symptoms of root canal failure. Swollen gums, jaw, or face: You may recognize the symptoms of infection, such as. If you notice persistent gum swelling, tenderness, or redness in the area, it. Failed Root Canal Swelling.
From myholisticdentist.com
Infected Root Canals and What To Do About Them Integrative Dentistry Failed Root Canal Swelling A little swelling for a few days after a procedure is normal and expected while you heal. However, if the swelling continues, it may be a. It can take weeks, months or even years for a failed root canal to surface. Here are some common symptoms of root canal failure. If you notice persistent gum swelling, tenderness, or redness in. Failed Root Canal Swelling.
From www.blancdentaire.ca
Root Canal Treatment in Montreal Affordable Cost Blanc Dentaire Failed Root Canal Swelling Root canals can fail owing to a dentist's error, a structural anomaly, or an unforeseen development. A heightened response to hot or cold stimuli can sometimes be a symptom of. You may recognize the symptoms of infection, such as. Any noticeable swelling around the gum or face may be a sign of infection due to a failed root canal. Swelling. Failed Root Canal Swelling.
From www.functionalaestheticdentistry.com
Root Canal, Abscess Tooth Purpose, Procedures & Risk Dr. Suffoletta's Failed Root Canal Swelling Root canals can fail owing to a dentist's error, a structural anomaly, or an unforeseen development. Any noticeable swelling around the gum or face may be a sign of infection due to a failed root canal. A heightened response to hot or cold stimuli can sometimes be a symptom of. However, if the swelling continues, it may be a. A. Failed Root Canal Swelling.
From www.sachardental.com
Dentist NYC Root Canal Dentist NYC Sachar Dental NYC Failed Root Canal Swelling Any noticeable swelling around the gum or face may be a sign of infection due to a failed root canal. Traumatic dental injuries, a blockage, or salivary contamination are all possible causes of a botched root canal. A heightened response to hot or cold stimuli can sometimes be a symptom of. You may recognize the symptoms of infection, such as.. Failed Root Canal Swelling.
From chevychasedentalcare.com
Failed Root Canal Learn Symptoms Causes & Quick Treatments Failed Root Canal Swelling If you notice persistent gum swelling, tenderness, or redness in the area, it could indicate an infection or an incomplete removal of the infected pulp during. Traumatic dental injuries, a blockage, or salivary contamination are all possible causes of a botched root canal. However, if the swelling continues, it may be a. Any noticeable swelling around the gum or face. Failed Root Canal Swelling.