What Does The Back Of A Veneer Look Like . Dental veneers are permanent false surfaces for the teeth, used to cover teeth that are broken, chipped, stained, or crooked. Dental veneers, or thin layers of material placed over the front of the tooth, can improve the overall appearance of your teeth. Tejas patel is an experienced cosmetic. If you’ve ever considered veneers, keep reading to learn. They can be used to treat cosmetic concerns like chipped, broken,. Treatments & procedures / veneers. What do the back of porcelain veneers look like?
from www.thedentalguide.net
If you’ve ever considered veneers, keep reading to learn. Treatments & procedures / veneers. Dental veneers are permanent false surfaces for the teeth, used to cover teeth that are broken, chipped, stained, or crooked. Dental veneers, or thin layers of material placed over the front of the tooth, can improve the overall appearance of your teeth. They can be used to treat cosmetic concerns like chipped, broken,. Tejas patel is an experienced cosmetic. What do the back of porcelain veneers look like?
Do It Yourself Veneers Removable Veneers For Your Teeth
What Does The Back Of A Veneer Look Like Treatments & procedures / veneers. If you’ve ever considered veneers, keep reading to learn. What do the back of porcelain veneers look like? Dental veneers are permanent false surfaces for the teeth, used to cover teeth that are broken, chipped, stained, or crooked. Treatments & procedures / veneers. Dental veneers, or thin layers of material placed over the front of the tooth, can improve the overall appearance of your teeth. They can be used to treat cosmetic concerns like chipped, broken,. Tejas patel is an experienced cosmetic.
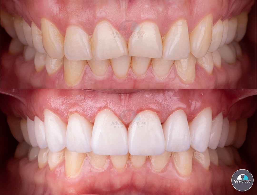
From klawdrjzn.blob.core.windows.net
What Are Teeth Veneers Made Of at Constance London blog What Does The Back Of A Veneer Look Like Treatments & procedures / veneers. What do the back of porcelain veneers look like? Tejas patel is an experienced cosmetic. They can be used to treat cosmetic concerns like chipped, broken,. If you’ve ever considered veneers, keep reading to learn. Dental veneers, or thin layers of material placed over the front of the tooth, can improve the overall appearance of. What Does The Back Of A Veneer Look Like.
From veneers2020.blogspot.com
Worst Veneers Ever veneers 2020 What Does The Back Of A Veneer Look Like Treatments & procedures / veneers. What do the back of porcelain veneers look like? Dental veneers are permanent false surfaces for the teeth, used to cover teeth that are broken, chipped, stained, or crooked. If you’ve ever considered veneers, keep reading to learn. They can be used to treat cosmetic concerns like chipped, broken,. Tejas patel is an experienced cosmetic.. What Does The Back Of A Veneer Look Like.
From exooydbmn.blob.core.windows.net
What Is Veneer Mean at Thomas Lamb blog What Does The Back Of A Veneer Look Like They can be used to treat cosmetic concerns like chipped, broken,. Dental veneers are permanent false surfaces for the teeth, used to cover teeth that are broken, chipped, stained, or crooked. Tejas patel is an experienced cosmetic. If you’ve ever considered veneers, keep reading to learn. Dental veneers, or thin layers of material placed over the front of the tooth,. What Does The Back Of A Veneer Look Like.
From www.thedentalguide.net
Do It Yourself Veneers Removable Veneers For Your Teeth What Does The Back Of A Veneer Look Like Dental veneers, or thin layers of material placed over the front of the tooth, can improve the overall appearance of your teeth. If you’ve ever considered veneers, keep reading to learn. They can be used to treat cosmetic concerns like chipped, broken,. What do the back of porcelain veneers look like? Dental veneers are permanent false surfaces for the teeth,. What Does The Back Of A Veneer Look Like.
From www.faceliftdentistry.com
Dental Veneers to Widen the Smile What Does The Back Of A Veneer Look Like Dental veneers, or thin layers of material placed over the front of the tooth, can improve the overall appearance of your teeth. What do the back of porcelain veneers look like? If you’ve ever considered veneers, keep reading to learn. Dental veneers are permanent false surfaces for the teeth, used to cover teeth that are broken, chipped, stained, or crooked.. What Does The Back Of A Veneer Look Like.
From cesibejv.blob.core.windows.net
Porcelain Veneers Explained at Mary Glickman blog What Does The Back Of A Veneer Look Like Tejas patel is an experienced cosmetic. If you’ve ever considered veneers, keep reading to learn. What do the back of porcelain veneers look like? They can be used to treat cosmetic concerns like chipped, broken,. Dental veneers, or thin layers of material placed over the front of the tooth, can improve the overall appearance of your teeth. Dental veneers are. What Does The Back Of A Veneer Look Like.
From www.totalcaredental.com
What Are Veneers? Total Care Dental Holistic Dentistry What Does The Back Of A Veneer Look Like Treatments & procedures / veneers. Dental veneers are permanent false surfaces for the teeth, used to cover teeth that are broken, chipped, stained, or crooked. If you’ve ever considered veneers, keep reading to learn. Tejas patel is an experienced cosmetic. They can be used to treat cosmetic concerns like chipped, broken,. What do the back of porcelain veneers look like?. What Does The Back Of A Veneer Look Like.
From www.familyandchildrensdentistry.com
Porcelain Veneers Family and Children’s Dentistry Atlanta What Does The Back Of A Veneer Look Like They can be used to treat cosmetic concerns like chipped, broken,. If you’ve ever considered veneers, keep reading to learn. Treatments & procedures / veneers. Dental veneers are permanent false surfaces for the teeth, used to cover teeth that are broken, chipped, stained, or crooked. Tejas patel is an experienced cosmetic. What do the back of porcelain veneers look like?. What Does The Back Of A Veneer Look Like.
From exyakxoza.blob.core.windows.net
How Much Does It Cost For Teeth Veneers at Adriana Ott blog What Does The Back Of A Veneer Look Like If you’ve ever considered veneers, keep reading to learn. Dental veneers are permanent false surfaces for the teeth, used to cover teeth that are broken, chipped, stained, or crooked. Dental veneers, or thin layers of material placed over the front of the tooth, can improve the overall appearance of your teeth. What do the back of porcelain veneers look like?. What Does The Back Of A Veneer Look Like.
From dryazdan.com
The Difference Between A Crown & Veneer Center for Restorative What Does The Back Of A Veneer Look Like Treatments & procedures / veneers. Dental veneers, or thin layers of material placed over the front of the tooth, can improve the overall appearance of your teeth. If you’ve ever considered veneers, keep reading to learn. They can be used to treat cosmetic concerns like chipped, broken,. Tejas patel is an experienced cosmetic. Dental veneers are permanent false surfaces for. What Does The Back Of A Veneer Look Like.
From antalyadentsmile.com
Crowns x Veneers What Is the Difference? Antalya Dent Smile What Does The Back Of A Veneer Look Like Dental veneers, or thin layers of material placed over the front of the tooth, can improve the overall appearance of your teeth. Dental veneers are permanent false surfaces for the teeth, used to cover teeth that are broken, chipped, stained, or crooked. They can be used to treat cosmetic concerns like chipped, broken,. Treatments & procedures / veneers. What do. What Does The Back Of A Veneer Look Like.
From exygnugyb.blob.core.windows.net
What Does Veneer Mean Medically at Lorena Higgins blog What Does The Back Of A Veneer Look Like Dental veneers are permanent false surfaces for the teeth, used to cover teeth that are broken, chipped, stained, or crooked. Dental veneers, or thin layers of material placed over the front of the tooth, can improve the overall appearance of your teeth. If you’ve ever considered veneers, keep reading to learn. They can be used to treat cosmetic concerns like. What Does The Back Of A Veneer Look Like.
From theperfectsmilekc.com
Smile Spotlight Amy Love Your Smile with Porcelain Veneers What Does The Back Of A Veneer Look Like Dental veneers, or thin layers of material placed over the front of the tooth, can improve the overall appearance of your teeth. Treatments & procedures / veneers. They can be used to treat cosmetic concerns like chipped, broken,. What do the back of porcelain veneers look like? If you’ve ever considered veneers, keep reading to learn. Tejas patel is an. What Does The Back Of A Veneer Look Like.
From www.faceliftdentistry.com
Bad Porcelain Veneers and a Bad Bite What Does The Back Of A Veneer Look Like What do the back of porcelain veneers look like? Treatments & procedures / veneers. Tejas patel is an experienced cosmetic. Dental veneers are permanent false surfaces for the teeth, used to cover teeth that are broken, chipped, stained, or crooked. If you’ve ever considered veneers, keep reading to learn. Dental veneers, or thin layers of material placed over the front. What Does The Back Of A Veneer Look Like.
From www.pinterest.com
Another beautiful smile makeover! The before photo is a great example What Does The Back Of A Veneer Look Like Dental veneers are permanent false surfaces for the teeth, used to cover teeth that are broken, chipped, stained, or crooked. Treatments & procedures / veneers. They can be used to treat cosmetic concerns like chipped, broken,. Tejas patel is an experienced cosmetic. If you’ve ever considered veneers, keep reading to learn. What do the back of porcelain veneers look like?. What Does The Back Of A Veneer Look Like.
From www.pinterest.com.mx
Dental Veneers Before and After Dr. Apa Veneers Results Dental What Does The Back Of A Veneer Look Like Dental veneers, or thin layers of material placed over the front of the tooth, can improve the overall appearance of your teeth. If you’ve ever considered veneers, keep reading to learn. Tejas patel is an experienced cosmetic. What do the back of porcelain veneers look like? Dental veneers are permanent false surfaces for the teeth, used to cover teeth that. What Does The Back Of A Veneer Look Like.
From dxoesthyk.blob.core.windows.net
How Are Veneers Attached To Teeth at Katherine Shuford blog What Does The Back Of A Veneer Look Like What do the back of porcelain veneers look like? Dental veneers are permanent false surfaces for the teeth, used to cover teeth that are broken, chipped, stained, or crooked. If you’ve ever considered veneers, keep reading to learn. Treatments & procedures / veneers. Tejas patel is an experienced cosmetic. Dental veneers, or thin layers of material placed over the front. What Does The Back Of A Veneer Look Like.
From sabkadentist.com
How long do teeth veneers last? What Does The Back Of A Veneer Look Like Dental veneers are permanent false surfaces for the teeth, used to cover teeth that are broken, chipped, stained, or crooked. Dental veneers, or thin layers of material placed over the front of the tooth, can improve the overall appearance of your teeth. They can be used to treat cosmetic concerns like chipped, broken,. Tejas patel is an experienced cosmetic. What. What Does The Back Of A Veneer Look Like.
From exoqaqvuf.blob.core.windows.net
What Does Veneer Mean In Geography at Jane White blog What Does The Back Of A Veneer Look Like They can be used to treat cosmetic concerns like chipped, broken,. What do the back of porcelain veneers look like? Tejas patel is an experienced cosmetic. Dental veneers are permanent false surfaces for the teeth, used to cover teeth that are broken, chipped, stained, or crooked. Treatments & procedures / veneers. Dental veneers, or thin layers of material placed over. What Does The Back Of A Veneer Look Like.
From www.glowmedicals.com
What Do Veneers Look Like After 10 Years Dentists In Dubai Find The What Does The Back Of A Veneer Look Like What do the back of porcelain veneers look like? Dental veneers are permanent false surfaces for the teeth, used to cover teeth that are broken, chipped, stained, or crooked. If you’ve ever considered veneers, keep reading to learn. Dental veneers, or thin layers of material placed over the front of the tooth, can improve the overall appearance of your teeth.. What Does The Back Of A Veneer Look Like.
From exygnugyb.blob.core.windows.net
What Does Veneer Mean Medically at Lorena Higgins blog What Does The Back Of A Veneer Look Like Dental veneers, or thin layers of material placed over the front of the tooth, can improve the overall appearance of your teeth. Treatments & procedures / veneers. Tejas patel is an experienced cosmetic. If you’ve ever considered veneers, keep reading to learn. What do the back of porcelain veneers look like? They can be used to treat cosmetic concerns like. What Does The Back Of A Veneer Look Like.
From hauteliving.com
Dr. Victoria Veytsman Porcelain Veneers Mimic A Natural Smile To What Does The Back Of A Veneer Look Like Dental veneers are permanent false surfaces for the teeth, used to cover teeth that are broken, chipped, stained, or crooked. If you’ve ever considered veneers, keep reading to learn. Tejas patel is an experienced cosmetic. They can be used to treat cosmetic concerns like chipped, broken,. What do the back of porcelain veneers look like? Treatments & procedures / veneers.. What Does The Back Of A Veneer Look Like.
From www.spiritbankeventcenter.com
Why Feldspathic Porcelain Is The Best Option For Your Next Crown Or What Does The Back Of A Veneer Look Like Dental veneers are permanent false surfaces for the teeth, used to cover teeth that are broken, chipped, stained, or crooked. Dental veneers, or thin layers of material placed over the front of the tooth, can improve the overall appearance of your teeth. They can be used to treat cosmetic concerns like chipped, broken,. Treatments & procedures / veneers. What do. What Does The Back Of A Veneer Look Like.
From dxoqzifjv.blob.core.windows.net
What Is A Tooth Veneer at Oliver Corral blog What Does The Back Of A Veneer Look Like What do the back of porcelain veneers look like? If you’ve ever considered veneers, keep reading to learn. They can be used to treat cosmetic concerns like chipped, broken,. Tejas patel is an experienced cosmetic. Treatments & procedures / veneers. Dental veneers, or thin layers of material placed over the front of the tooth, can improve the overall appearance of. What Does The Back Of A Veneer Look Like.
From favdentistry.com
How are Dental Veneers Applied? favourite dentistry What Does The Back Of A Veneer Look Like Treatments & procedures / veneers. What do the back of porcelain veneers look like? Dental veneers, or thin layers of material placed over the front of the tooth, can improve the overall appearance of your teeth. They can be used to treat cosmetic concerns like chipped, broken,. Tejas patel is an experienced cosmetic. Dental veneers are permanent false surfaces for. What Does The Back Of A Veneer Look Like.
From teethwalls.blogspot.com
What Happens To Real Teeth Under Veneers TeethWalls What Does The Back Of A Veneer Look Like Dental veneers are permanent false surfaces for the teeth, used to cover teeth that are broken, chipped, stained, or crooked. If you’ve ever considered veneers, keep reading to learn. Tejas patel is an experienced cosmetic. Treatments & procedures / veneers. They can be used to treat cosmetic concerns like chipped, broken,. Dental veneers, or thin layers of material placed over. What Does The Back Of A Veneer Look Like.
From www.pinterest.com
Check out this pictures just after the delivery of 10 beautiful veneers What Does The Back Of A Veneer Look Like Dental veneers are permanent false surfaces for the teeth, used to cover teeth that are broken, chipped, stained, or crooked. Treatments & procedures / veneers. What do the back of porcelain veneers look like? Dental veneers, or thin layers of material placed over the front of the tooth, can improve the overall appearance of your teeth. They can be used. What Does The Back Of A Veneer Look Like.
From www.thedentalroom.com.au
How much do veneers cost? The Dental Room What Does The Back Of A Veneer Look Like If you’ve ever considered veneers, keep reading to learn. Dental veneers, or thin layers of material placed over the front of the tooth, can improve the overall appearance of your teeth. What do the back of porcelain veneers look like? Tejas patel is an experienced cosmetic. They can be used to treat cosmetic concerns like chipped, broken,. Dental veneers are. What Does The Back Of A Veneer Look Like.
From www.mermaidsmiles.com.au
Composite VS Porcelain Veneers You Need Everything What Does The Back Of A Veneer Look Like Tejas patel is an experienced cosmetic. Treatments & procedures / veneers. Dental veneers, or thin layers of material placed over the front of the tooth, can improve the overall appearance of your teeth. They can be used to treat cosmetic concerns like chipped, broken,. If you’ve ever considered veneers, keep reading to learn. What do the back of porcelain veneers. What Does The Back Of A Veneer Look Like.
From www.articleentry.com
What Do Teeth Look Like Under Veneers? What Does The Back Of A Veneer Look Like Tejas patel is an experienced cosmetic. Dental veneers, or thin layers of material placed over the front of the tooth, can improve the overall appearance of your teeth. What do the back of porcelain veneers look like? Dental veneers are permanent false surfaces for the teeth, used to cover teeth that are broken, chipped, stained, or crooked. Treatments & procedures. What Does The Back Of A Veneer Look Like.
From exygnugyb.blob.core.windows.net
What Does Veneer Mean Medically at Lorena Higgins blog What Does The Back Of A Veneer Look Like Tejas patel is an experienced cosmetic. Dental veneers are permanent false surfaces for the teeth, used to cover teeth that are broken, chipped, stained, or crooked. What do the back of porcelain veneers look like? They can be used to treat cosmetic concerns like chipped, broken,. Dental veneers, or thin layers of material placed over the front of the tooth,. What Does The Back Of A Veneer Look Like.
From exomilcil.blob.core.windows.net
How To Tell Real Veneer at Joanne Mattes blog What Does The Back Of A Veneer Look Like Dental veneers, or thin layers of material placed over the front of the tooth, can improve the overall appearance of your teeth. Treatments & procedures / veneers. Dental veneers are permanent false surfaces for the teeth, used to cover teeth that are broken, chipped, stained, or crooked. Tejas patel is an experienced cosmetic. What do the back of porcelain veneers. What Does The Back Of A Veneer Look Like.
From safarmedical.com
Dental veneers Types, Uses & Process Safar Medical What Does The Back Of A Veneer Look Like What do the back of porcelain veneers look like? They can be used to treat cosmetic concerns like chipped, broken,. Dental veneers are permanent false surfaces for the teeth, used to cover teeth that are broken, chipped, stained, or crooked. Tejas patel is an experienced cosmetic. Treatments & procedures / veneers. Dental veneers, or thin layers of material placed over. What Does The Back Of A Veneer Look Like.
From www.youtube.com
Replacing a Cracked Veneer & Crown YouTube What Does The Back Of A Veneer Look Like If you’ve ever considered veneers, keep reading to learn. They can be used to treat cosmetic concerns like chipped, broken,. What do the back of porcelain veneers look like? Dental veneers are permanent false surfaces for the teeth, used to cover teeth that are broken, chipped, stained, or crooked. Treatments & procedures / veneers. Tejas patel is an experienced cosmetic.. What Does The Back Of A Veneer Look Like.
From glveneer.com
Benefits of Using Wood Veneer GL Veneer What Does The Back Of A Veneer Look Like Dental veneers are permanent false surfaces for the teeth, used to cover teeth that are broken, chipped, stained, or crooked. What do the back of porcelain veneers look like? Dental veneers, or thin layers of material placed over the front of the tooth, can improve the overall appearance of your teeth. If you’ve ever considered veneers, keep reading to learn.. What Does The Back Of A Veneer Look Like.