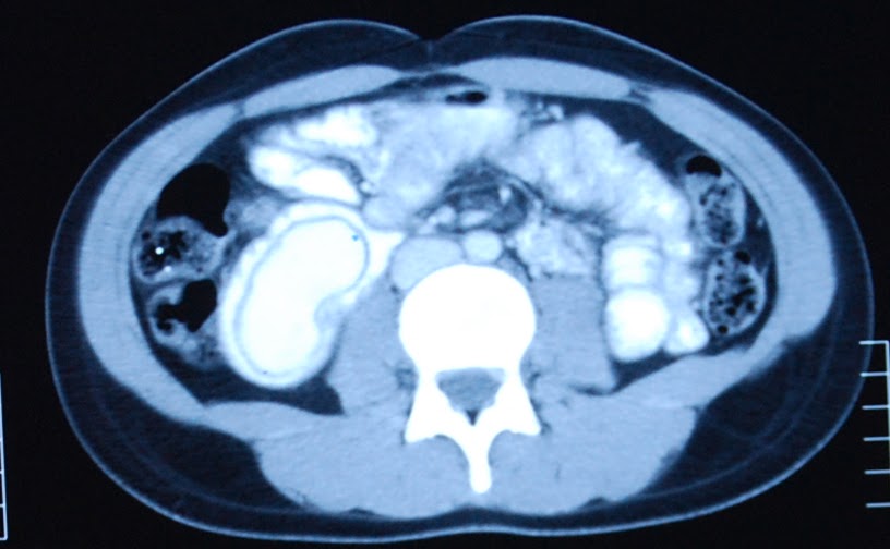
Windsock Deformity . Download original video (.6 mb) the “windsock sign” refers to the appearance of the intraluminal duodenal diverticulum on images from upper gastrointestinal barium series (1), but it is similar at abdominal ct and mri (2) when the diverticulum is distended. The “windsock” sign refers to the pathognomonic appearance of an intraluminal duodenal diverticulum, as seen on the upper. As in this case, a collapsed diverticulum can simulate an intraluminal mass at ct (3). The presence of a duodenal. The patient refused surgical excision of the diverticulum and elected for watchful waiting of his condition. The windsock sign is an important radiographic finding that can definitively diagnose the presence of an intraluminal duodenal web [2]. The “windsock sign” refers to the.
from www.semanticscholar.org
The windsock sign is an important radiographic finding that can definitively diagnose the presence of an intraluminal duodenal web [2]. The “windsock sign” refers to the. The patient refused surgical excision of the diverticulum and elected for watchful waiting of his condition. The “windsock” sign refers to the pathognomonic appearance of an intraluminal duodenal diverticulum, as seen on the upper. The presence of a duodenal. Download original video (.6 mb) the “windsock sign” refers to the appearance of the intraluminal duodenal diverticulum on images from upper gastrointestinal barium series (1), but it is similar at abdominal ct and mri (2) when the diverticulum is distended. As in this case, a collapsed diverticulum can simulate an intraluminal mass at ct (3).
Figure 1 from Intraluminal Duodenal Diverticulum A Pictorial Review of
Windsock Deformity Download original video (.6 mb) the “windsock sign” refers to the appearance of the intraluminal duodenal diverticulum on images from upper gastrointestinal barium series (1), but it is similar at abdominal ct and mri (2) when the diverticulum is distended. Download original video (.6 mb) the “windsock sign” refers to the appearance of the intraluminal duodenal diverticulum on images from upper gastrointestinal barium series (1), but it is similar at abdominal ct and mri (2) when the diverticulum is distended. The windsock sign is an important radiographic finding that can definitively diagnose the presence of an intraluminal duodenal web [2]. As in this case, a collapsed diverticulum can simulate an intraluminal mass at ct (3). The “windsock sign” refers to the. The patient refused surgical excision of the diverticulum and elected for watchful waiting of his condition. The “windsock” sign refers to the pathognomonic appearance of an intraluminal duodenal diverticulum, as seen on the upper. The presence of a duodenal.
From gastroenterologyonline.blogspot.com
Windsock deformity Unusual Cause of gastric Windsock Deformity The “windsock” sign refers to the pathognomonic appearance of an intraluminal duodenal diverticulum, as seen on the upper. As in this case, a collapsed diverticulum can simulate an intraluminal mass at ct (3). The “windsock sign” refers to the. Download original video (.6 mb) the “windsock sign” refers to the appearance of the intraluminal duodenal diverticulum on images from upper. Windsock Deformity.
From www.eurorad.org
Windsock sign in a case of duodenal web Eurorad Windsock Deformity The “windsock sign” refers to the. The presence of a duodenal. The windsock sign is an important radiographic finding that can definitively diagnose the presence of an intraluminal duodenal web [2]. The “windsock” sign refers to the pathognomonic appearance of an intraluminal duodenal diverticulum, as seen on the upper. Download original video (.6 mb) the “windsock sign” refers to the. Windsock Deformity.
From www.researchgate.net
(PDF) Duodenal obstruction due to windsock deformity in a 13 year old Windsock Deformity The “windsock” sign refers to the pathognomonic appearance of an intraluminal duodenal diverticulum, as seen on the upper. As in this case, a collapsed diverticulum can simulate an intraluminal mass at ct (3). The “windsock sign” refers to the. Download original video (.6 mb) the “windsock sign” refers to the appearance of the intraluminal duodenal diverticulum on images from upper. Windsock Deformity.
From www.semanticscholar.org
Figure 2 from The Diagnosis of Windsock Deformity for a Common Windsock Deformity Download original video (.6 mb) the “windsock sign” refers to the appearance of the intraluminal duodenal diverticulum on images from upper gastrointestinal barium series (1), but it is similar at abdominal ct and mri (2) when the diverticulum is distended. The “windsock” sign refers to the pathognomonic appearance of an intraluminal duodenal diverticulum, as seen on the upper. As in. Windsock Deformity.
From www.semanticscholar.org
Figure 5 from A Case of Mitral Regurgitation due to Windsock Deformity Windsock Deformity The patient refused surgical excision of the diverticulum and elected for watchful waiting of his condition. The presence of a duodenal. Download original video (.6 mb) the “windsock sign” refers to the appearance of the intraluminal duodenal diverticulum on images from upper gastrointestinal barium series (1), but it is similar at abdominal ct and mri (2) when the diverticulum is. Windsock Deformity.
From www.researchgate.net
(PDF) Windsock deformity of interatrial septum Windsock Deformity The windsock sign is an important radiographic finding that can definitively diagnose the presence of an intraluminal duodenal web [2]. The presence of a duodenal. The patient refused surgical excision of the diverticulum and elected for watchful waiting of his condition. The “windsock sign” refers to the. The “windsock” sign refers to the pathognomonic appearance of an intraluminal duodenal diverticulum,. Windsock Deformity.
From dokumen.tips
(PDF) Classical windsock deformity of ruptured sinus of Valsalva an Windsock Deformity The patient refused surgical excision of the diverticulum and elected for watchful waiting of his condition. The windsock sign is an important radiographic finding that can definitively diagnose the presence of an intraluminal duodenal web [2]. Download original video (.6 mb) the “windsock sign” refers to the appearance of the intraluminal duodenal diverticulum on images from upper gastrointestinal barium series. Windsock Deformity.
From www.semanticscholar.org
Figure 1 from A Case of Mitral Regurgitation due to Windsock Deformity Windsock Deformity The “windsock sign” refers to the. As in this case, a collapsed diverticulum can simulate an intraluminal mass at ct (3). The presence of a duodenal. The “windsock” sign refers to the pathognomonic appearance of an intraluminal duodenal diverticulum, as seen on the upper. The patient refused surgical excision of the diverticulum and elected for watchful waiting of his condition.. Windsock Deformity.
From www.researchgate.net
windsock sign aortic dissection of the intimal layer on chest computed Windsock Deformity The “windsock sign” refers to the. The “windsock” sign refers to the pathognomonic appearance of an intraluminal duodenal diverticulum, as seen on the upper. As in this case, a collapsed diverticulum can simulate an intraluminal mass at ct (3). The presence of a duodenal. The patient refused surgical excision of the diverticulum and elected for watchful waiting of his condition.. Windsock Deformity.
From www.researchgate.net
(PDF) A rare case of a windsockshaped intraluminal duodenal Windsock Deformity As in this case, a collapsed diverticulum can simulate an intraluminal mass at ct (3). The windsock sign is an important radiographic finding that can definitively diagnose the presence of an intraluminal duodenal web [2]. The “windsock sign” refers to the. The “windsock” sign refers to the pathognomonic appearance of an intraluminal duodenal diverticulum, as seen on the upper. The. Windsock Deformity.
From www.semanticscholar.org
Figure 1 from Intraluminal Duodenal Diverticulum A Pictorial Review of Windsock Deformity The “windsock” sign refers to the pathognomonic appearance of an intraluminal duodenal diverticulum, as seen on the upper. Download original video (.6 mb) the “windsock sign” refers to the appearance of the intraluminal duodenal diverticulum on images from upper gastrointestinal barium series (1), but it is similar at abdominal ct and mri (2) when the diverticulum is distended. The windsock. Windsock Deformity.
From www.surgicalcore.org
SurgicalCORE Table/Figure Windsock Deformity The “windsock sign” refers to the. The patient refused surgical excision of the diverticulum and elected for watchful waiting of his condition. Download original video (.6 mb) the “windsock sign” refers to the appearance of the intraluminal duodenal diverticulum on images from upper gastrointestinal barium series (1), but it is similar at abdominal ct and mri (2) when the diverticulum. Windsock Deformity.
From casereports.bmj.com
Neonatal duodenoduodenostomy and missed duodenal stenosis with windsock Windsock Deformity The presence of a duodenal. The “windsock sign” refers to the. The windsock sign is an important radiographic finding that can definitively diagnose the presence of an intraluminal duodenal web [2]. The “windsock” sign refers to the pathognomonic appearance of an intraluminal duodenal diverticulum, as seen on the upper. The patient refused surgical excision of the diverticulum and elected for. Windsock Deformity.
From www.researchgate.net
(PDF) Neonatal duodenoduodenostomy and missed duodenal stenosis with Windsock Deformity The windsock sign is an important radiographic finding that can definitively diagnose the presence of an intraluminal duodenal web [2]. The presence of a duodenal. The patient refused surgical excision of the diverticulum and elected for watchful waiting of his condition. The “windsock sign” refers to the. Download original video (.6 mb) the “windsock sign” refers to the appearance of. Windsock Deformity.
From www.researchgate.net
(PDF) Windsock deformity of interatrial septum Windsock Deformity The “windsock” sign refers to the pathognomonic appearance of an intraluminal duodenal diverticulum, as seen on the upper. The presence of a duodenal. The “windsock sign” refers to the. As in this case, a collapsed diverticulum can simulate an intraluminal mass at ct (3). Download original video (.6 mb) the “windsock sign” refers to the appearance of the intraluminal duodenal. Windsock Deformity.
From www.semanticscholar.org
Figure 1 from Wind Sock Deformity in Rectal Atresia Semantic Scholar Windsock Deformity Download original video (.6 mb) the “windsock sign” refers to the appearance of the intraluminal duodenal diverticulum on images from upper gastrointestinal barium series (1), but it is similar at abdominal ct and mri (2) when the diverticulum is distended. The windsock sign is an important radiographic finding that can definitively diagnose the presence of an intraluminal duodenal web [2].. Windsock Deformity.
From casereports.bmj.com
Classical windsock deformity of ruptured sinus of Valsalva an unusual Windsock Deformity As in this case, a collapsed diverticulum can simulate an intraluminal mass at ct (3). Download original video (.6 mb) the “windsock sign” refers to the appearance of the intraluminal duodenal diverticulum on images from upper gastrointestinal barium series (1), but it is similar at abdominal ct and mri (2) when the diverticulum is distended. The “windsock sign” refers to. Windsock Deformity.
From www.wjgnet.com
Two cases of duodenal obstruction due to a congenital web Windsock Deformity The “windsock sign” refers to the. As in this case, a collapsed diverticulum can simulate an intraluminal mass at ct (3). The “windsock” sign refers to the pathognomonic appearance of an intraluminal duodenal diverticulum, as seen on the upper. The windsock sign is an important radiographic finding that can definitively diagnose the presence of an intraluminal duodenal web [2]. The. Windsock Deformity.
From www.academia.edu
(PDF) The Diagnosis of Windsock Deformity for a Common Windsock Deformity The windsock sign is an important radiographic finding that can definitively diagnose the presence of an intraluminal duodenal web [2]. Download original video (.6 mb) the “windsock sign” refers to the appearance of the intraluminal duodenal diverticulum on images from upper gastrointestinal barium series (1), but it is similar at abdominal ct and mri (2) when the diverticulum is distended.. Windsock Deformity.
From www.giejournal.org
Duodenal obstruction caused by intraluminal duodenal diverticulum and Windsock Deformity The presence of a duodenal. As in this case, a collapsed diverticulum can simulate an intraluminal mass at ct (3). The “windsock sign” refers to the. The windsock sign is an important radiographic finding that can definitively diagnose the presence of an intraluminal duodenal web [2]. Download original video (.6 mb) the “windsock sign” refers to the appearance of the. Windsock Deformity.
From www.researchgate.net
Parasternal shortaxis view showing the classical windsock appearance Windsock Deformity As in this case, a collapsed diverticulum can simulate an intraluminal mass at ct (3). The patient refused surgical excision of the diverticulum and elected for watchful waiting of his condition. The presence of a duodenal. The “windsock sign” refers to the. The “windsock” sign refers to the pathognomonic appearance of an intraluminal duodenal diverticulum, as seen on the upper.. Windsock Deformity.
From www.researchgate.net
(PDF) Classical Windsock Deformity of Ruptured Sinus of Valsalva Seen Windsock Deformity The presence of a duodenal. The “windsock” sign refers to the pathognomonic appearance of an intraluminal duodenal diverticulum, as seen on the upper. The windsock sign is an important radiographic finding that can definitively diagnose the presence of an intraluminal duodenal web [2]. As in this case, a collapsed diverticulum can simulate an intraluminal mass at ct (3). Download original. Windsock Deformity.
From xraytechtips.blogspot.com
“Windsock sign” Duodenal web Windsock Deformity The windsock sign is an important radiographic finding that can definitively diagnose the presence of an intraluminal duodenal web [2]. Download original video (.6 mb) the “windsock sign” refers to the appearance of the intraluminal duodenal diverticulum on images from upper gastrointestinal barium series (1), but it is similar at abdominal ct and mri (2) when the diverticulum is distended.. Windsock Deformity.
From pubs.rsna.org
Intraluminal Duodenal Diverticulum The Windsock Sign Radiology Windsock Deformity The presence of a duodenal. The “windsock” sign refers to the pathognomonic appearance of an intraluminal duodenal diverticulum, as seen on the upper. As in this case, a collapsed diverticulum can simulate an intraluminal mass at ct (3). The windsock sign is an important radiographic finding that can definitively diagnose the presence of an intraluminal duodenal web [2]. Download original. Windsock Deformity.
From www.pinterest.com
The windsock sign is a typical appearance of a duodenal web Windsock Deformity The patient refused surgical excision of the diverticulum and elected for watchful waiting of his condition. The “windsock sign” refers to the. The presence of a duodenal. The windsock sign is an important radiographic finding that can definitively diagnose the presence of an intraluminal duodenal web [2]. As in this case, a collapsed diverticulum can simulate an intraluminal mass at. Windsock Deformity.
From www.researchgate.net
(PDF) Classical windsock deformity of ruptured sinus of Valsalva an Windsock Deformity The “windsock sign” refers to the. The patient refused surgical excision of the diverticulum and elected for watchful waiting of his condition. The windsock sign is an important radiographic finding that can definitively diagnose the presence of an intraluminal duodenal web [2]. The “windsock” sign refers to the pathognomonic appearance of an intraluminal duodenal diverticulum, as seen on the upper.. Windsock Deformity.
From gastroenterologyonline.blogspot.com
Windsock deformity Unusual Cause of gastric Windsock Deformity The “windsock sign” refers to the. Download original video (.6 mb) the “windsock sign” refers to the appearance of the intraluminal duodenal diverticulum on images from upper gastrointestinal barium series (1), but it is similar at abdominal ct and mri (2) when the diverticulum is distended. The presence of a duodenal. As in this case, a collapsed diverticulum can simulate. Windsock Deformity.
From www.wjgnet.com
Two cases of duodenal obstruction due to a congenital web Windsock Deformity As in this case, a collapsed diverticulum can simulate an intraluminal mass at ct (3). The “windsock” sign refers to the pathognomonic appearance of an intraluminal duodenal diverticulum, as seen on the upper. The presence of a duodenal. Download original video (.6 mb) the “windsock sign” refers to the appearance of the intraluminal duodenal diverticulum on images from upper gastrointestinal. Windsock Deformity.
From www.researchgate.net
Obstruction at the 2nd part of the duodenum with windsock deformity Windsock Deformity The “windsock sign” refers to the. The windsock sign is an important radiographic finding that can definitively diagnose the presence of an intraluminal duodenal web [2]. The patient refused surgical excision of the diverticulum and elected for watchful waiting of his condition. The “windsock” sign refers to the pathognomonic appearance of an intraluminal duodenal diverticulum, as seen on the upper.. Windsock Deformity.
From www.semanticscholar.org
Figure 2 from A Case of Mitral Regurgitation due to Windsock Deformity Windsock Deformity The “windsock” sign refers to the pathognomonic appearance of an intraluminal duodenal diverticulum, as seen on the upper. As in this case, a collapsed diverticulum can simulate an intraluminal mass at ct (3). The windsock sign is an important radiographic finding that can definitively diagnose the presence of an intraluminal duodenal web [2]. The “windsock sign” refers to the. The. Windsock Deformity.
From exovovukz.blob.core.windows.net
Windsock Deformity Echo at Anne Jessup blog Windsock Deformity The windsock sign is an important radiographic finding that can definitively diagnose the presence of an intraluminal duodenal web [2]. The presence of a duodenal. Download original video (.6 mb) the “windsock sign” refers to the appearance of the intraluminal duodenal diverticulum on images from upper gastrointestinal barium series (1), but it is similar at abdominal ct and mri (2). Windsock Deformity.
From www.semanticscholar.org
Figure 1 from Distal duodenal stenosis in Down's syndrome a rare Windsock Deformity As in this case, a collapsed diverticulum can simulate an intraluminal mass at ct (3). The windsock sign is an important radiographic finding that can definitively diagnose the presence of an intraluminal duodenal web [2]. The presence of a duodenal. The “windsock” sign refers to the pathognomonic appearance of an intraluminal duodenal diverticulum, as seen on the upper. The “windsock. Windsock Deformity.
From www.semanticscholar.org
Figure 1 from Windsock deformity of submitral left ventricular aneurysm Windsock Deformity Download original video (.6 mb) the “windsock sign” refers to the appearance of the intraluminal duodenal diverticulum on images from upper gastrointestinal barium series (1), but it is similar at abdominal ct and mri (2) when the diverticulum is distended. The presence of a duodenal. As in this case, a collapsed diverticulum can simulate an intraluminal mass at ct (3).. Windsock Deformity.
From casereports.bmj.com
Classical windsock deformity of ruptured sinus of Valsalva an unusual Windsock Deformity Download original video (.6 mb) the “windsock sign” refers to the appearance of the intraluminal duodenal diverticulum on images from upper gastrointestinal barium series (1), but it is similar at abdominal ct and mri (2) when the diverticulum is distended. The presence of a duodenal. The “windsock sign” refers to the. The windsock sign is an important radiographic finding that. Windsock Deformity.
From www.semanticscholar.org
Figure 2 from Distal duodenal stenosis in Down's syndrome a rare Windsock Deformity As in this case, a collapsed diverticulum can simulate an intraluminal mass at ct (3). The presence of a duodenal. Download original video (.6 mb) the “windsock sign” refers to the appearance of the intraluminal duodenal diverticulum on images from upper gastrointestinal barium series (1), but it is similar at abdominal ct and mri (2) when the diverticulum is distended.. Windsock Deformity.