How Much Does Sinus Ct Scan Cost . It can be frustrating to take antibiotic medications every time you develop a sinus infection. 31 rows if you need to know the direct cost of an ct maxillofacial (sinus) procedure (which can vary by geographic area), we. It could prove far more beneficial to identify the. a ct (computed tomography) scan can provide detailed images of your sinuses, helping your ent (ear, nose, and. the average cost of a ct scan in the united states is $3,275, though prices can range from $300 to $6,750. The cost of a ct. a ct scan costs $300 to $2,000 without insurance at an outpatient imaging facility or $500 to $7,000+ at a hospital. an ent might recommend a sinus ct scan if you are experiencing persistent nasal congestion, facial pain,. One factor that can greatly affect the cost of your ct.
from www.entspecialist.sg
an ent might recommend a sinus ct scan if you are experiencing persistent nasal congestion, facial pain,. a ct (computed tomography) scan can provide detailed images of your sinuses, helping your ent (ear, nose, and. 31 rows if you need to know the direct cost of an ct maxillofacial (sinus) procedure (which can vary by geographic area), we. It could prove far more beneficial to identify the. It can be frustrating to take antibiotic medications every time you develop a sinus infection. One factor that can greatly affect the cost of your ct. the average cost of a ct scan in the united states is $3,275, though prices can range from $300 to $6,750. The cost of a ct. a ct scan costs $300 to $2,000 without insurance at an outpatient imaging facility or $500 to $7,000+ at a hospital.
Chronic Sinusitis Imaging Dr Jeeve ENT Specialist
How Much Does Sinus Ct Scan Cost The cost of a ct. a ct scan costs $300 to $2,000 without insurance at an outpatient imaging facility or $500 to $7,000+ at a hospital. an ent might recommend a sinus ct scan if you are experiencing persistent nasal congestion, facial pain,. The cost of a ct. 31 rows if you need to know the direct cost of an ct maxillofacial (sinus) procedure (which can vary by geographic area), we. One factor that can greatly affect the cost of your ct. the average cost of a ct scan in the united states is $3,275, though prices can range from $300 to $6,750. a ct (computed tomography) scan can provide detailed images of your sinuses, helping your ent (ear, nose, and. It could prove far more beneficial to identify the. It can be frustrating to take antibiotic medications every time you develop a sinus infection.
From americanhealthimaging.com
How Much Does a CT Scan Cost? • American Health Imaging How Much Does Sinus Ct Scan Cost One factor that can greatly affect the cost of your ct. The cost of a ct. the average cost of a ct scan in the united states is $3,275, though prices can range from $300 to $6,750. an ent might recommend a sinus ct scan if you are experiencing persistent nasal congestion, facial pain,. a ct scan. How Much Does Sinus Ct Scan Cost.
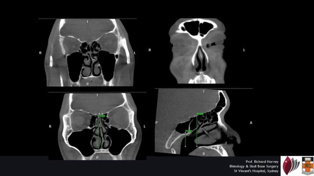
From sydneyentclinic.com
The price of Nose and Sinus Surgery Sinus surgery cost How Much Does Sinus Ct Scan Cost The cost of a ct. It could prove far more beneficial to identify the. One factor that can greatly affect the cost of your ct. 31 rows if you need to know the direct cost of an ct maxillofacial (sinus) procedure (which can vary by geographic area), we. the average cost of a ct scan in the united. How Much Does Sinus Ct Scan Cost.
From fortworthent.net
Inoffice CT Scan Fort Worth Sinus Center How Much Does Sinus Ct Scan Cost It could prove far more beneficial to identify the. an ent might recommend a sinus ct scan if you are experiencing persistent nasal congestion, facial pain,. a ct scan costs $300 to $2,000 without insurance at an outpatient imaging facility or $500 to $7,000+ at a hospital. The cost of a ct. 31 rows if you need. How Much Does Sinus Ct Scan Cost.
From capitolimagingservices.com
How Much Does a PET/CT Cost? Capitol Imaging Services How Much Does Sinus Ct Scan Cost an ent might recommend a sinus ct scan if you are experiencing persistent nasal congestion, facial pain,. The cost of a ct. It can be frustrating to take antibiotic medications every time you develop a sinus infection. a ct (computed tomography) scan can provide detailed images of your sinuses, helping your ent (ear, nose, and. It could prove. How Much Does Sinus Ct Scan Cost.
From theartofinsurance.org
How Much Does A Ct Scan Cost With Blue Cross Blue Shield The Art Of Insurance How Much Does Sinus Ct Scan Cost It can be frustrating to take antibiotic medications every time you develop a sinus infection. 31 rows if you need to know the direct cost of an ct maxillofacial (sinus) procedure (which can vary by geographic area), we. the average cost of a ct scan in the united states is $3,275, though prices can range from $300 to. How Much Does Sinus Ct Scan Cost.
From famousquotesid.blogspot.com
Sinus Ct Scan Cost With Insurance By Health Insurance How Much Does Sinus Ct Scan Cost It can be frustrating to take antibiotic medications every time you develop a sinus infection. a ct scan costs $300 to $2,000 without insurance at an outpatient imaging facility or $500 to $7,000+ at a hospital. an ent might recommend a sinus ct scan if you are experiencing persistent nasal congestion, facial pain,. the average cost of. How Much Does Sinus Ct Scan Cost.
From mavink.com
Sinuses On Ct Scan How Much Does Sinus Ct Scan Cost a ct scan costs $300 to $2,000 without insurance at an outpatient imaging facility or $500 to $7,000+ at a hospital. a ct (computed tomography) scan can provide detailed images of your sinuses, helping your ent (ear, nose, and. It can be frustrating to take antibiotic medications every time you develop a sinus infection. 31 rows if. How Much Does Sinus Ct Scan Cost.
From www.ajronline.org
CT of Anatomic Variants of the Paranasal Sinuses and Nasal Cavity Poor Correlation With How Much Does Sinus Ct Scan Cost an ent might recommend a sinus ct scan if you are experiencing persistent nasal congestion, facial pain,. One factor that can greatly affect the cost of your ct. It can be frustrating to take antibiotic medications every time you develop a sinus infection. a ct scan costs $300 to $2,000 without insurance at an outpatient imaging facility or. How Much Does Sinus Ct Scan Cost.
From www.sciencephoto.com
Normal sinuses, CT scan Stock Image C029/4639 Science Photo Library How Much Does Sinus Ct Scan Cost 31 rows if you need to know the direct cost of an ct maxillofacial (sinus) procedure (which can vary by geographic area), we. It could prove far more beneficial to identify the. a ct (computed tomography) scan can provide detailed images of your sinuses, helping your ent (ear, nose, and. the average cost of a ct scan. How Much Does Sinus Ct Scan Cost.
From ezra.com
How Much Is a CT Scan? National Averages and How To Pay Less Ezra How Much Does Sinus Ct Scan Cost a ct scan costs $300 to $2,000 without insurance at an outpatient imaging facility or $500 to $7,000+ at a hospital. an ent might recommend a sinus ct scan if you are experiencing persistent nasal congestion, facial pain,. The cost of a ct. 31 rows if you need to know the direct cost of an ct maxillofacial. How Much Does Sinus Ct Scan Cost.
From lowincomefamilies.com
How Much Does A CT Scan Cost Without Insurance? Low Families How Much Does Sinus Ct Scan Cost It can be frustrating to take antibiotic medications every time you develop a sinus infection. It could prove far more beneficial to identify the. an ent might recommend a sinus ct scan if you are experiencing persistent nasal congestion, facial pain,. a ct scan costs $300 to $2,000 without insurance at an outpatient imaging facility or $500 to. How Much Does Sinus Ct Scan Cost.
From www.vrogue.co
Sinus Ct Scan Report Sinus Resources Maxillary Sinus vrogue.co How Much Does Sinus Ct Scan Cost a ct scan costs $300 to $2,000 without insurance at an outpatient imaging facility or $500 to $7,000+ at a hospital. The cost of a ct. One factor that can greatly affect the cost of your ct. an ent might recommend a sinus ct scan if you are experiencing persistent nasal congestion, facial pain,. It could prove far. How Much Does Sinus Ct Scan Cost.
From www.entspecialist.sg
Chronic Sinusitis Imaging Dr Jeeve ENT Specialist How Much Does Sinus Ct Scan Cost One factor that can greatly affect the cost of your ct. an ent might recommend a sinus ct scan if you are experiencing persistent nasal congestion, facial pain,. It could prove far more beneficial to identify the. It can be frustrating to take antibiotic medications every time you develop a sinus infection. a ct (computed tomography) scan can. How Much Does Sinus Ct Scan Cost.
From www.pinterest.fr
Sinus CT Scan Report Paranasal Sinuses, Sinusitis, CT Scan How Much Does Sinus Ct Scan Cost a ct (computed tomography) scan can provide detailed images of your sinuses, helping your ent (ear, nose, and. the average cost of a ct scan in the united states is $3,275, though prices can range from $300 to $6,750. 31 rows if you need to know the direct cost of an ct maxillofacial (sinus) procedure (which can. How Much Does Sinus Ct Scan Cost.
From www.ajronline.org
Multiplanar Sinus CT A Systematic Approach to Imaging Before Functional Endoscopic Sinus How Much Does Sinus Ct Scan Cost It could prove far more beneficial to identify the. It can be frustrating to take antibiotic medications every time you develop a sinus infection. the average cost of a ct scan in the united states is $3,275, though prices can range from $300 to $6,750. a ct (computed tomography) scan can provide detailed images of your sinuses, helping. How Much Does Sinus Ct Scan Cost.
From www.sciencephoto.com
Normal sinuses, CT scan Stock Image C029/4634 Science Photo Library How Much Does Sinus Ct Scan Cost an ent might recommend a sinus ct scan if you are experiencing persistent nasal congestion, facial pain,. The cost of a ct. a ct scan costs $300 to $2,000 without insurance at an outpatient imaging facility or $500 to $7,000+ at a hospital. One factor that can greatly affect the cost of your ct. It could prove far. How Much Does Sinus Ct Scan Cost.
From www.pristyncare.com
CT Scan for Sinusitis Pristyn Care How Much Does Sinus Ct Scan Cost an ent might recommend a sinus ct scan if you are experiencing persistent nasal congestion, facial pain,. One factor that can greatly affect the cost of your ct. the average cost of a ct scan in the united states is $3,275, though prices can range from $300 to $6,750. a ct (computed tomography) scan can provide detailed. How Much Does Sinus Ct Scan Cost.
From www.dxsaver.com
How much does a CT Scan Cost Near me in the US? Types of CT Scans, CT Scan Cost Without How Much Does Sinus Ct Scan Cost a ct scan costs $300 to $2,000 without insurance at an outpatient imaging facility or $500 to $7,000+ at a hospital. It could prove far more beneficial to identify the. The cost of a ct. an ent might recommend a sinus ct scan if you are experiencing persistent nasal congestion, facial pain,. It can be frustrating to take. How Much Does Sinus Ct Scan Cost.
From scoopearth.co
How Much Does a CT Scan Cost? Scoopearth How Much Does Sinus Ct Scan Cost 31 rows if you need to know the direct cost of an ct maxillofacial (sinus) procedure (which can vary by geographic area), we. The cost of a ct. an ent might recommend a sinus ct scan if you are experiencing persistent nasal congestion, facial pain,. a ct (computed tomography) scan can provide detailed images of your sinuses,. How Much Does Sinus Ct Scan Cost.
From www.sciencephoto.com
Normal sinuses, CT scan Stock Image C029/4631 Science Photo Library How Much Does Sinus Ct Scan Cost a ct (computed tomography) scan can provide detailed images of your sinuses, helping your ent (ear, nose, and. It could prove far more beneficial to identify the. the average cost of a ct scan in the united states is $3,275, though prices can range from $300 to $6,750. 31 rows if you need to know the direct. How Much Does Sinus Ct Scan Cost.
From www.grantsformedical.com
How Much Does a CT Scan Cost Without Insurance? How Much Does Sinus Ct Scan Cost the average cost of a ct scan in the united states is $3,275, though prices can range from $300 to $6,750. a ct (computed tomography) scan can provide detailed images of your sinuses, helping your ent (ear, nose, and. It could prove far more beneficial to identify the. an ent might recommend a sinus ct scan if. How Much Does Sinus Ct Scan Cost.
From issuu.com
How Much Does a CT Scan Cost? by izem_imagine Issuu How Much Does Sinus Ct Scan Cost 31 rows if you need to know the direct cost of an ct maxillofacial (sinus) procedure (which can vary by geographic area), we. One factor that can greatly affect the cost of your ct. It can be frustrating to take antibiotic medications every time you develop a sinus infection. the average cost of a ct scan in the. How Much Does Sinus Ct Scan Cost.
From www.youtube.com
How To Read CT Sinus Scans Like An Expert YouTube How Much Does Sinus Ct Scan Cost a ct scan costs $300 to $2,000 without insurance at an outpatient imaging facility or $500 to $7,000+ at a hospital. The cost of a ct. It can be frustrating to take antibiotic medications every time you develop a sinus infection. 31 rows if you need to know the direct cost of an ct maxillofacial (sinus) procedure (which. How Much Does Sinus Ct Scan Cost.
From blog.fauquierent.net
How to Read a CT Sinus Scan for the Layperson Fauquier ENT Blog How Much Does Sinus Ct Scan Cost a ct scan costs $300 to $2,000 without insurance at an outpatient imaging facility or $500 to $7,000+ at a hospital. It can be frustrating to take antibiotic medications every time you develop a sinus infection. an ent might recommend a sinus ct scan if you are experiencing persistent nasal congestion, facial pain,. One factor that can greatly. How Much Does Sinus Ct Scan Cost.
From mavink.com
Sinuses On Ct Scan How Much Does Sinus Ct Scan Cost The cost of a ct. It can be frustrating to take antibiotic medications every time you develop a sinus infection. a ct (computed tomography) scan can provide detailed images of your sinuses, helping your ent (ear, nose, and. One factor that can greatly affect the cost of your ct. an ent might recommend a sinus ct scan if. How Much Does Sinus Ct Scan Cost.
From www.radtechonduty.com
Sinus CT Scan RadTechOnDuty How Much Does Sinus Ct Scan Cost The cost of a ct. 31 rows if you need to know the direct cost of an ct maxillofacial (sinus) procedure (which can vary by geographic area), we. the average cost of a ct scan in the united states is $3,275, though prices can range from $300 to $6,750. a ct (computed tomography) scan can provide detailed. How Much Does Sinus Ct Scan Cost.
From www.dovemed.com
Computed Tomography (CT) Sinuses How Much Does Sinus Ct Scan Cost It could prove far more beneficial to identify the. One factor that can greatly affect the cost of your ct. It can be frustrating to take antibiotic medications every time you develop a sinus infection. an ent might recommend a sinus ct scan if you are experiencing persistent nasal congestion, facial pain,. The cost of a ct. a. How Much Does Sinus Ct Scan Cost.
From www.oto.theclinics.com
Overview of Frontal Sinus Pathology and Management Otolaryngologic Clinics of North America How Much Does Sinus Ct Scan Cost a ct scan costs $300 to $2,000 without insurance at an outpatient imaging facility or $500 to $7,000+ at a hospital. an ent might recommend a sinus ct scan if you are experiencing persistent nasal congestion, facial pain,. It could prove far more beneficial to identify the. 31 rows if you need to know the direct cost. How Much Does Sinus Ct Scan Cost.
From jujubesy.com
How Much Does a CT Scan Cost? Jujubesy How Much Does Sinus Ct Scan Cost The cost of a ct. the average cost of a ct scan in the united states is $3,275, though prices can range from $300 to $6,750. It could prove far more beneficial to identify the. an ent might recommend a sinus ct scan if you are experiencing persistent nasal congestion, facial pain,. 31 rows if you need. How Much Does Sinus Ct Scan Cost.
From dxovgirdj.blob.core.windows.net
How Much Does A Ct Scan Cost In Florida at William Hunt blog How Much Does Sinus Ct Scan Cost a ct (computed tomography) scan can provide detailed images of your sinuses, helping your ent (ear, nose, and. One factor that can greatly affect the cost of your ct. a ct scan costs $300 to $2,000 without insurance at an outpatient imaging facility or $500 to $7,000+ at a hospital. The cost of a ct. an ent. How Much Does Sinus Ct Scan Cost.
From erofdallastx.com
How To Perform a Sinus CT Scan Information That You Should Know ER of Dallas How Much Does Sinus Ct Scan Cost the average cost of a ct scan in the united states is $3,275, though prices can range from $300 to $6,750. a ct scan costs $300 to $2,000 without insurance at an outpatient imaging facility or $500 to $7,000+ at a hospital. 31 rows if you need to know the direct cost of an ct maxillofacial (sinus). How Much Does Sinus Ct Scan Cost.
From www.sciencephoto.com
Normal sinuses, CT scan Stock Image C029/4635 Science Photo Library How Much Does Sinus Ct Scan Cost It could prove far more beneficial to identify the. a ct (computed tomography) scan can provide detailed images of your sinuses, helping your ent (ear, nose, and. 31 rows if you need to know the direct cost of an ct maxillofacial (sinus) procedure (which can vary by geographic area), we. an ent might recommend a sinus ct. How Much Does Sinus Ct Scan Cost.
From www.youtube.com
The Power and Insight of Sinus CT Scans YouTube How Much Does Sinus Ct Scan Cost the average cost of a ct scan in the united states is $3,275, though prices can range from $300 to $6,750. a ct (computed tomography) scan can provide detailed images of your sinuses, helping your ent (ear, nose, and. The cost of a ct. a ct scan costs $300 to $2,000 without insurance at an outpatient imaging. How Much Does Sinus Ct Scan Cost.
From www.rezence.com
The 22 How Much Does A Scanner Cost 2022 Best Guide Rezence How Much Does Sinus Ct Scan Cost an ent might recommend a sinus ct scan if you are experiencing persistent nasal congestion, facial pain,. a ct scan costs $300 to $2,000 without insurance at an outpatient imaging facility or $500 to $7,000+ at a hospital. a ct (computed tomography) scan can provide detailed images of your sinuses, helping your ent (ear, nose, and. . How Much Does Sinus Ct Scan Cost.
From lazyinsure.com
How Much Does CT Scan Cost Without Insurance? (Answered) How Much Does Sinus Ct Scan Cost the average cost of a ct scan in the united states is $3,275, though prices can range from $300 to $6,750. The cost of a ct. 31 rows if you need to know the direct cost of an ct maxillofacial (sinus) procedure (which can vary by geographic area), we. a ct (computed tomography) scan can provide detailed. How Much Does Sinus Ct Scan Cost.