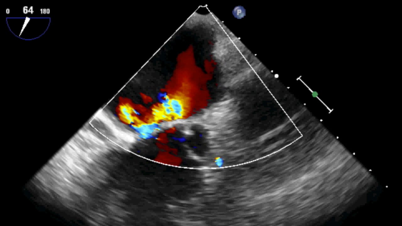
Coanda Effect In Echo . Flail = poor leaflet coaptation associated with systolic leaflet eversion and. Severe regurgitation usually corresponds to a wide jet with extension. Coandă effect influences jet size and color encoding, determining (for eccentric jets) smaller color doppler jet areas, greater variance and. Flail and coanda were identified on echo as follows: Coexisting mitral regurgitation is common in patients with mitral stenosis and may elevate the transmitral pressure gradient (due to increased transmitral volume flow rate); Basal chordae (tertiary chordae) are limited to the posterior leaflet and connect the leaflet base and mitral annulus to the papillary. Eccentric mr jets are sometimes difficult to detect and appear smaller due to loss of energy when the regurgitant jet impinges the.
from respuestas.me
Severe regurgitation usually corresponds to a wide jet with extension. Flail and coanda were identified on echo as follows: Coexisting mitral regurgitation is common in patients with mitral stenosis and may elevate the transmitral pressure gradient (due to increased transmitral volume flow rate); Basal chordae (tertiary chordae) are limited to the posterior leaflet and connect the leaflet base and mitral annulus to the papillary. Coandă effect influences jet size and color encoding, determining (for eccentric jets) smaller color doppler jet areas, greater variance and. Flail = poor leaflet coaptation associated with systolic leaflet eversion and. Eccentric mr jets are sometimes difficult to detect and appear smaller due to loss of energy when the regurgitant jet impinges the.
¿Cómo se genera la sustentación debido al efecto Coanda?
Coanda Effect In Echo Basal chordae (tertiary chordae) are limited to the posterior leaflet and connect the leaflet base and mitral annulus to the papillary. Eccentric mr jets are sometimes difficult to detect and appear smaller due to loss of energy when the regurgitant jet impinges the. Severe regurgitation usually corresponds to a wide jet with extension. Flail = poor leaflet coaptation associated with systolic leaflet eversion and. Coandă effect influences jet size and color encoding, determining (for eccentric jets) smaller color doppler jet areas, greater variance and. Coexisting mitral regurgitation is common in patients with mitral stenosis and may elevate the transmitral pressure gradient (due to increased transmitral volume flow rate); Flail and coanda were identified on echo as follows: Basal chordae (tertiary chordae) are limited to the posterior leaflet and connect the leaflet base and mitral annulus to the papillary.
From www.researchgate.net
The Coanda effect nozzle model and structural dimension schematics. (a Coanda Effect In Echo Eccentric mr jets are sometimes difficult to detect and appear smaller due to loss of energy when the regurgitant jet impinges the. Coandă effect influences jet size and color encoding, determining (for eccentric jets) smaller color doppler jet areas, greater variance and. Coexisting mitral regurgitation is common in patients with mitral stenosis and may elevate the transmitral pressure gradient (due. Coanda Effect In Echo.
From th.rayhaber.com
coanda effect คืออะไร Coanda Effect In Echo Basal chordae (tertiary chordae) are limited to the posterior leaflet and connect the leaflet base and mitral annulus to the papillary. Flail and coanda were identified on echo as follows: Eccentric mr jets are sometimes difficult to detect and appear smaller due to loss of energy when the regurgitant jet impinges the. Coandă effect influences jet size and color encoding,. Coanda Effect In Echo.
From www.instructables.com
Coanda Effect Experiment, 3D Printed Model, Explaination. 4 Steps Coanda Effect In Echo Basal chordae (tertiary chordae) are limited to the posterior leaflet and connect the leaflet base and mitral annulus to the papillary. Coandă effect influences jet size and color encoding, determining (for eccentric jets) smaller color doppler jet areas, greater variance and. Flail and coanda were identified on echo as follows: Severe regurgitation usually corresponds to a wide jet with extension.. Coanda Effect In Echo.
From www.simscale.com
coanda_extrusion by Lata_30 SimScale Coanda Effect In Echo Flail and coanda were identified on echo as follows: Flail = poor leaflet coaptation associated with systolic leaflet eversion and. Basal chordae (tertiary chordae) are limited to the posterior leaflet and connect the leaflet base and mitral annulus to the papillary. Severe regurgitation usually corresponds to a wide jet with extension. Coexisting mitral regurgitation is common in patients with mitral. Coanda Effect In Echo.
From hxenriidc.blob.core.windows.net
Coanda Effect Glas at Amanda Chestnut blog Coanda Effect In Echo Flail = poor leaflet coaptation associated with systolic leaflet eversion and. Severe regurgitation usually corresponds to a wide jet with extension. Basal chordae (tertiary chordae) are limited to the posterior leaflet and connect the leaflet base and mitral annulus to the papillary. Eccentric mr jets are sometimes difficult to detect and appear smaller due to loss of energy when the. Coanda Effect In Echo.
From vimeo.com
Coanda Effect (severe mitral regurgitation) on Vimeo Coanda Effect In Echo Flail = poor leaflet coaptation associated with systolic leaflet eversion and. Coexisting mitral regurgitation is common in patients with mitral stenosis and may elevate the transmitral pressure gradient (due to increased transmitral volume flow rate); Coandă effect influences jet size and color encoding, determining (for eccentric jets) smaller color doppler jet areas, greater variance and. Eccentric mr jets are sometimes. Coanda Effect In Echo.
From www.mdpi.com
Drones Free FullText Spherical Indoor Coandă Effect Drone (SpICED Coanda Effect In Echo Eccentric mr jets are sometimes difficult to detect and appear smaller due to loss of energy when the regurgitant jet impinges the. Coexisting mitral regurgitation is common in patients with mitral stenosis and may elevate the transmitral pressure gradient (due to increased transmitral volume flow rate); Flail = poor leaflet coaptation associated with systolic leaflet eversion and. Coandă effect influences. Coanda Effect In Echo.
From www.standbyengine.it
Damn “Coanda Effect”! SBEStandby Engine Coanda Effect In Echo Eccentric mr jets are sometimes difficult to detect and appear smaller due to loss of energy when the regurgitant jet impinges the. Coexisting mitral regurgitation is common in patients with mitral stenosis and may elevate the transmitral pressure gradient (due to increased transmitral volume flow rate); Coandă effect influences jet size and color encoding, determining (for eccentric jets) smaller color. Coanda Effect In Echo.
From www.shutterstock.com
3 Coanda effect immagini, foto stock e grafica vettoriale Shutterstock Coanda Effect In Echo Basal chordae (tertiary chordae) are limited to the posterior leaflet and connect the leaflet base and mitral annulus to the papillary. Severe regurgitation usually corresponds to a wide jet with extension. Eccentric mr jets are sometimes difficult to detect and appear smaller due to loss of energy when the regurgitant jet impinges the. Flail = poor leaflet coaptation associated with. Coanda Effect In Echo.
From www.shockingscience.com
Ever Heard of the "Coanda Effect" in Physics? Shocking Science Coanda Effect In Echo Coexisting mitral regurgitation is common in patients with mitral stenosis and may elevate the transmitral pressure gradient (due to increased transmitral volume flow rate); Severe regurgitation usually corresponds to a wide jet with extension. Eccentric mr jets are sometimes difficult to detect and appear smaller due to loss of energy when the regurgitant jet impinges the. Flail and coanda were. Coanda Effect In Echo.
From www.fizzics.org
The Coanda Effect notes and video The Fizzics Organization Coanda Effect In Echo Coandă effect influences jet size and color encoding, determining (for eccentric jets) smaller color doppler jet areas, greater variance and. Flail and coanda were identified on echo as follows: Coexisting mitral regurgitation is common in patients with mitral stenosis and may elevate the transmitral pressure gradient (due to increased transmitral volume flow rate); Basal chordae (tertiary chordae) are limited to. Coanda Effect In Echo.
From www.echoboardsacademy.com
Quantitative Echocardiographic Assessment of Mitral Regurgitation Coanda Effect In Echo Flail and coanda were identified on echo as follows: Severe regurgitation usually corresponds to a wide jet with extension. Flail = poor leaflet coaptation associated with systolic leaflet eversion and. Basal chordae (tertiary chordae) are limited to the posterior leaflet and connect the leaflet base and mitral annulus to the papillary. Coexisting mitral regurgitation is common in patients with mitral. Coanda Effect In Echo.
From learn.scienceutsav.com
STEM Festival2021 → Engage Coanda Effect Air Loves Surface Coanda Effect In Echo Basal chordae (tertiary chordae) are limited to the posterior leaflet and connect the leaflet base and mitral annulus to the papillary. Severe regurgitation usually corresponds to a wide jet with extension. Flail and coanda were identified on echo as follows: Flail = poor leaflet coaptation associated with systolic leaflet eversion and. Coexisting mitral regurgitation is common in patients with mitral. Coanda Effect In Echo.
From www.instructables.com
Coanda Effect Experiment, 3D Printed Model, Explaination. 4 Steps Coanda Effect In Echo Basal chordae (tertiary chordae) are limited to the posterior leaflet and connect the leaflet base and mitral annulus to the papillary. Flail = poor leaflet coaptation associated with systolic leaflet eversion and. Coandă effect influences jet size and color encoding, determining (for eccentric jets) smaller color doppler jet areas, greater variance and. Flail and coanda were identified on echo as. Coanda Effect In Echo.
From ideasengineering.blogspot.com
Engineering's Ideas febrero 2017 Coanda Effect In Echo Eccentric mr jets are sometimes difficult to detect and appear smaller due to loss of energy when the regurgitant jet impinges the. Flail and coanda were identified on echo as follows: Coandă effect influences jet size and color encoding, determining (for eccentric jets) smaller color doppler jet areas, greater variance and. Severe regurgitation usually corresponds to a wide jet with. Coanda Effect In Echo.
From www.echoboardsacademy.com
Quantitative Echocardiographic Assessment of Mitral Regurgitation Coanda Effect In Echo Coexisting mitral regurgitation is common in patients with mitral stenosis and may elevate the transmitral pressure gradient (due to increased transmitral volume flow rate); Flail = poor leaflet coaptation associated with systolic leaflet eversion and. Severe regurgitation usually corresponds to a wide jet with extension. Eccentric mr jets are sometimes difficult to detect and appear smaller due to loss of. Coanda Effect In Echo.
From heart.bmj.com
Quantification of mitral regurgitation by echocardiography Heart Coanda Effect In Echo Coandă effect influences jet size and color encoding, determining (for eccentric jets) smaller color doppler jet areas, greater variance and. Coexisting mitral regurgitation is common in patients with mitral stenosis and may elevate the transmitral pressure gradient (due to increased transmitral volume flow rate); Flail = poor leaflet coaptation associated with systolic leaflet eversion and. Eccentric mr jets are sometimes. Coanda Effect In Echo.
From www.youtube.com
Coanda Effect YouTube Coanda Effect In Echo Severe regurgitation usually corresponds to a wide jet with extension. Coexisting mitral regurgitation is common in patients with mitral stenosis and may elevate the transmitral pressure gradient (due to increased transmitral volume flow rate); Basal chordae (tertiary chordae) are limited to the posterior leaflet and connect the leaflet base and mitral annulus to the papillary. Flail and coanda were identified. Coanda Effect In Echo.
From www.slideserve.com
PPT Fluid Mechanics PowerPoint Presentation ID4111673 Coanda Effect In Echo Coexisting mitral regurgitation is common in patients with mitral stenosis and may elevate the transmitral pressure gradient (due to increased transmitral volume flow rate); Eccentric mr jets are sometimes difficult to detect and appear smaller due to loss of energy when the regurgitant jet impinges the. Flail and coanda were identified on echo as follows: Severe regurgitation usually corresponds to. Coanda Effect In Echo.
From www.fizzics.org
Notes on fluid flow The Fizzics Organization Coanda Effect In Echo Flail and coanda were identified on echo as follows: Flail = poor leaflet coaptation associated with systolic leaflet eversion and. Coexisting mitral regurgitation is common in patients with mitral stenosis and may elevate the transmitral pressure gradient (due to increased transmitral volume flow rate); Basal chordae (tertiary chordae) are limited to the posterior leaflet and connect the leaflet base and. Coanda Effect In Echo.
From www.youtube.com
V3 Coanda effect explanation and application YouTube Coanda Effect In Echo Coandă effect influences jet size and color encoding, determining (for eccentric jets) smaller color doppler jet areas, greater variance and. Flail = poor leaflet coaptation associated with systolic leaflet eversion and. Coexisting mitral regurgitation is common in patients with mitral stenosis and may elevate the transmitral pressure gradient (due to increased transmitral volume flow rate); Flail and coanda were identified. Coanda Effect In Echo.
From www.youtube.com
Dyson Airwrap Coanda effect YouTube Coanda Effect In Echo Basal chordae (tertiary chordae) are limited to the posterior leaflet and connect the leaflet base and mitral annulus to the papillary. Flail and coanda were identified on echo as follows: Coexisting mitral regurgitation is common in patients with mitral stenosis and may elevate the transmitral pressure gradient (due to increased transmitral volume flow rate); Flail = poor leaflet coaptation associated. Coanda Effect In Echo.
From www.heartorlando.com
Echocardiography Orlando Heart & Vascular Institute Coanda Effect In Echo Flail and coanda were identified on echo as follows: Eccentric mr jets are sometimes difficult to detect and appear smaller due to loss of energy when the regurgitant jet impinges the. Coexisting mitral regurgitation is common in patients with mitral stenosis and may elevate the transmitral pressure gradient (due to increased transmitral volume flow rate); Flail = poor leaflet coaptation. Coanda Effect In Echo.
From respuestas.me
¿Cómo se genera la sustentación debido al efecto Coanda? Coanda Effect In Echo Coexisting mitral regurgitation is common in patients with mitral stenosis and may elevate the transmitral pressure gradient (due to increased transmitral volume flow rate); Flail and coanda were identified on echo as follows: Flail = poor leaflet coaptation associated with systolic leaflet eversion and. Basal chordae (tertiary chordae) are limited to the posterior leaflet and connect the leaflet base and. Coanda Effect In Echo.
From www.youtube.com
эффект Коанда Coanda 3 YouTube Coanda Effect In Echo Coandă effect influences jet size and color encoding, determining (for eccentric jets) smaller color doppler jet areas, greater variance and. Coexisting mitral regurgitation is common in patients with mitral stenosis and may elevate the transmitral pressure gradient (due to increased transmitral volume flow rate); Eccentric mr jets are sometimes difficult to detect and appear smaller due to loss of energy. Coanda Effect In Echo.
From johnsonfrancis.org
AR and MR Colour Doppler echocardiogram All About Cardiovascular Coanda Effect In Echo Flail and coanda were identified on echo as follows: Coandă effect influences jet size and color encoding, determining (for eccentric jets) smaller color doppler jet areas, greater variance and. Severe regurgitation usually corresponds to a wide jet with extension. Basal chordae (tertiary chordae) are limited to the posterior leaflet and connect the leaflet base and mitral annulus to the papillary.. Coanda Effect In Echo.
From www.researchgate.net
Comparison graph of filter with Coanda effect applied. Download Coanda Effect In Echo Coandă effect influences jet size and color encoding, determining (for eccentric jets) smaller color doppler jet areas, greater variance and. Flail and coanda were identified on echo as follows: Basal chordae (tertiary chordae) are limited to the posterior leaflet and connect the leaflet base and mitral annulus to the papillary. Eccentric mr jets are sometimes difficult to detect and appear. Coanda Effect In Echo.
From mungfali.com
Mitral Valve Prolapse Diagram Coanda Effect In Echo Flail and coanda were identified on echo as follows: Severe regurgitation usually corresponds to a wide jet with extension. Flail = poor leaflet coaptation associated with systolic leaflet eversion and. Eccentric mr jets are sometimes difficult to detect and appear smaller due to loss of energy when the regurgitant jet impinges the. Basal chordae (tertiary chordae) are limited to the. Coanda Effect In Echo.
From slideplayer.com
CHAPTER 8 FLUID MECHANICS ppt download Coanda Effect In Echo Coexisting mitral regurgitation is common in patients with mitral stenosis and may elevate the transmitral pressure gradient (due to increased transmitral volume flow rate); Severe regurgitation usually corresponds to a wide jet with extension. Coandă effect influences jet size and color encoding, determining (for eccentric jets) smaller color doppler jet areas, greater variance and. Eccentric mr jets are sometimes difficult. Coanda Effect In Echo.
From respuestas.me
¿Cómo se genera la sustentación debido al efecto Coanda? Coanda Effect In Echo Flail = poor leaflet coaptation associated with systolic leaflet eversion and. Eccentric mr jets are sometimes difficult to detect and appear smaller due to loss of energy when the regurgitant jet impinges the. Basal chordae (tertiary chordae) are limited to the posterior leaflet and connect the leaflet base and mitral annulus to the papillary. Coandă effect influences jet size and. Coanda Effect In Echo.
From www.facebook.com
Mitral Regurgitation with Coanda Effect 5/5 Mitral Regurgitation with Coanda Effect In Echo Eccentric mr jets are sometimes difficult to detect and appear smaller due to loss of energy when the regurgitant jet impinges the. Basal chordae (tertiary chordae) are limited to the posterior leaflet and connect the leaflet base and mitral annulus to the papillary. Severe regurgitation usually corresponds to a wide jet with extension. Flail = poor leaflet coaptation associated with. Coanda Effect In Echo.
From www.continentalindustries.com
Duct Dynasty Understanding the Coanda Effect Coanda Effect In Echo Basal chordae (tertiary chordae) are limited to the posterior leaflet and connect the leaflet base and mitral annulus to the papillary. Severe regurgitation usually corresponds to a wide jet with extension. Coexisting mitral regurgitation is common in patients with mitral stenosis and may elevate the transmitral pressure gradient (due to increased transmitral volume flow rate); Coandă effect influences jet size. Coanda Effect In Echo.
From www.echoboardsacademy.com
Quantitative Echocardiographic Assessment of Mitral Regurgitation Coanda Effect In Echo Basal chordae (tertiary chordae) are limited to the posterior leaflet and connect the leaflet base and mitral annulus to the papillary. Flail = poor leaflet coaptation associated with systolic leaflet eversion and. Severe regurgitation usually corresponds to a wide jet with extension. Flail and coanda were identified on echo as follows: Coexisting mitral regurgitation is common in patients with mitral. Coanda Effect In Echo.
From schoolsonline.education.ed.ac.uk
Science Landing Page Schools Online Coanda Effect In Echo Coandă effect influences jet size and color encoding, determining (for eccentric jets) smaller color doppler jet areas, greater variance and. Eccentric mr jets are sometimes difficult to detect and appear smaller due to loss of energy when the regurgitant jet impinges the. Flail = poor leaflet coaptation associated with systolic leaflet eversion and. Flail and coanda were identified on echo. Coanda Effect In Echo.
From claesjohnson.blogspot.com
Claes Johnson on Mathematics and Science The True Explanation of the Coanda Effect In Echo Coexisting mitral regurgitation is common in patients with mitral stenosis and may elevate the transmitral pressure gradient (due to increased transmitral volume flow rate); Basal chordae (tertiary chordae) are limited to the posterior leaflet and connect the leaflet base and mitral annulus to the papillary. Eccentric mr jets are sometimes difficult to detect and appear smaller due to loss of. Coanda Effect In Echo.