Why Is My Nasal Spray Dripping Down My Throat . Postnasal drip feels like liquid dripping in the back of your throat. If you’re using your nasal spray correctly, the spray shouldn’t drip from your nose or go down your throat. As the mucus builds up, it can make you feel congested or. Drainage in your throat, or postnasal drip, is when the glands in your nose and throat continually produce mucus to filter out the nasal passage and provide lubrication. If you’re using a nasal spray the right way, the medication should not drip down your nose or the back of your throat. “you don’t want it dripping down the back of your throat,” dr. However, some nasal sprays may leave an unpleasant taste in your mouth. A drink of water or juice should help clear the aftertaste. If the pump spray is used correctly, the spray should not drip from your nose or down the back of your throat. If any spray does drip from your nose, just wipe the liquid away with a. If your nose hurts, if you. Most products can be applied while you’re in an upright position, so you don’t have to tilt your head back.
from tunersread.com
If your nose hurts, if you. Most products can be applied while you’re in an upright position, so you don’t have to tilt your head back. A drink of water or juice should help clear the aftertaste. “you don’t want it dripping down the back of your throat,” dr. If any spray does drip from your nose, just wipe the liquid away with a. If the pump spray is used correctly, the spray should not drip from your nose or down the back of your throat. If you’re using your nasal spray correctly, the spray shouldn’t drip from your nose or go down your throat. However, some nasal sprays may leave an unpleasant taste in your mouth. As the mucus builds up, it can make you feel congested or. If you’re using a nasal spray the right way, the medication should not drip down your nose or the back of your throat.
Nasal Drip In Throat
Why Is My Nasal Spray Dripping Down My Throat If you’re using a nasal spray the right way, the medication should not drip down your nose or the back of your throat. If your nose hurts, if you. “you don’t want it dripping down the back of your throat,” dr. If any spray does drip from your nose, just wipe the liquid away with a. Drainage in your throat, or postnasal drip, is when the glands in your nose and throat continually produce mucus to filter out the nasal passage and provide lubrication. A drink of water or juice should help clear the aftertaste. As the mucus builds up, it can make you feel congested or. If the pump spray is used correctly, the spray should not drip from your nose or down the back of your throat. However, some nasal sprays may leave an unpleasant taste in your mouth. Most products can be applied while you’re in an upright position, so you don’t have to tilt your head back. If you’re using a nasal spray the right way, the medication should not drip down your nose or the back of your throat. If you’re using your nasal spray correctly, the spray shouldn’t drip from your nose or go down your throat. Postnasal drip feels like liquid dripping in the back of your throat.
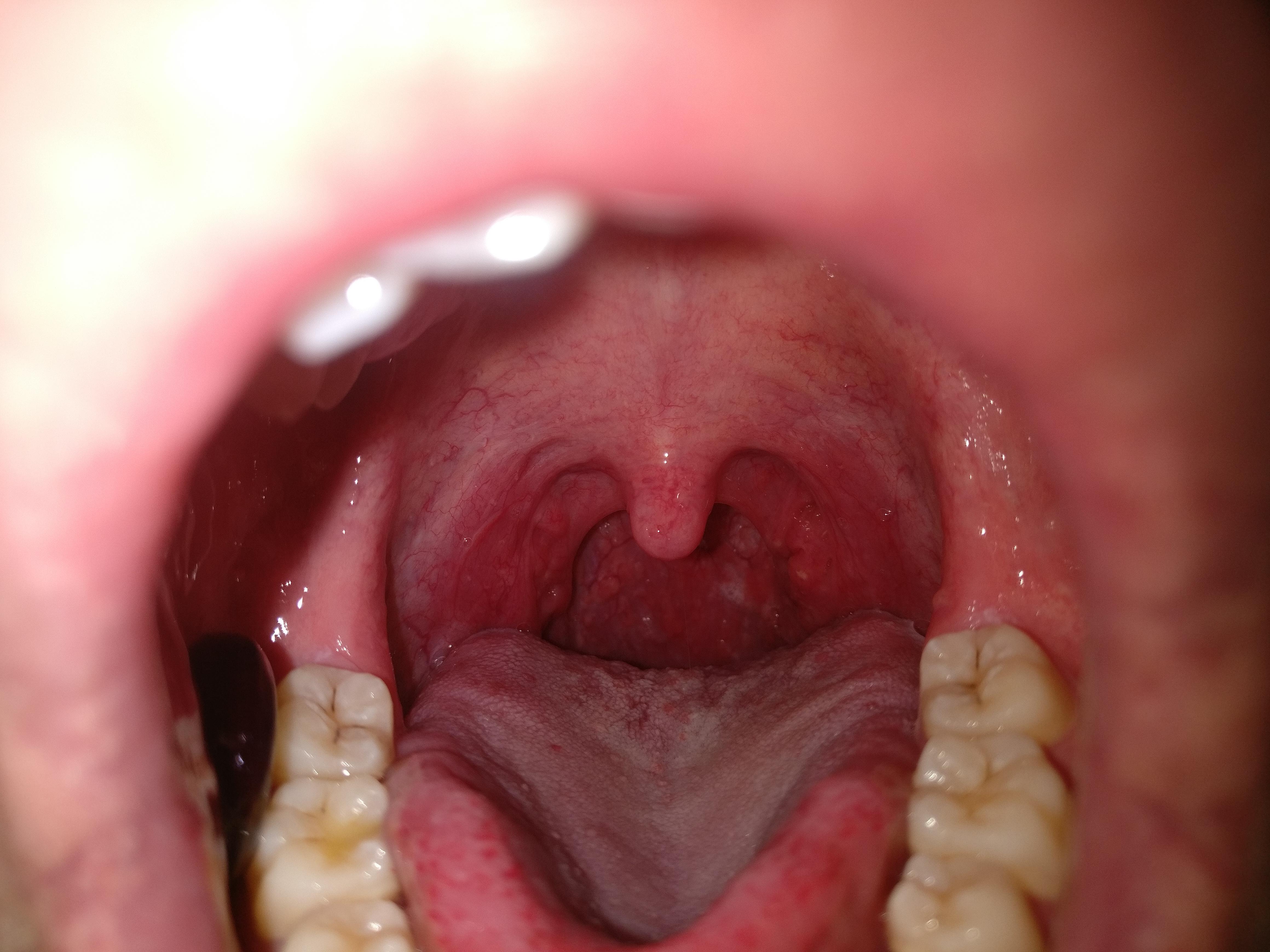
From www.bergerhenryent.com
Chronic Post Nasal Drip ENT Doctor Philadelphia Why Is My Nasal Spray Dripping Down My Throat Most products can be applied while you’re in an upright position, so you don’t have to tilt your head back. If any spray does drip from your nose, just wipe the liquid away with a. As the mucus builds up, it can make you feel congested or. A drink of water or juice should help clear the aftertaste. If your. Why Is My Nasal Spray Dripping Down My Throat.
From squidoo.com
Remedies for a Runny Nose HubPages Why Is My Nasal Spray Dripping Down My Throat If the pump spray is used correctly, the spray should not drip from your nose or down the back of your throat. If you’re using a nasal spray the right way, the medication should not drip down your nose or the back of your throat. Postnasal drip feels like liquid dripping in the back of your throat. Drainage in your. Why Is My Nasal Spray Dripping Down My Throat.
From oota.itigo.jp
Postnasal Drip Why It Happens And How To Get Relief, 57 OFF Why Is My Nasal Spray Dripping Down My Throat If you’re using a nasal spray the right way, the medication should not drip down your nose or the back of your throat. “you don’t want it dripping down the back of your throat,” dr. Most products can be applied while you’re in an upright position, so you don’t have to tilt your head back. A drink of water or. Why Is My Nasal Spray Dripping Down My Throat.
From www.medindia.net
PostNasal Drip Causes, Symptoms and Remedies Why Is My Nasal Spray Dripping Down My Throat “you don’t want it dripping down the back of your throat,” dr. Most products can be applied while you’re in an upright position, so you don’t have to tilt your head back. If the pump spray is used correctly, the spray should not drip from your nose or down the back of your throat. If your nose hurts, if you.. Why Is My Nasal Spray Dripping Down My Throat.
From my.clevelandclinic.org
Nasal Endoscopy Procedure & What It Is Why Is My Nasal Spray Dripping Down My Throat As the mucus builds up, it can make you feel congested or. Most products can be applied while you’re in an upright position, so you don’t have to tilt your head back. Drainage in your throat, or postnasal drip, is when the glands in your nose and throat continually produce mucus to filter out the nasal passage and provide lubrication.. Why Is My Nasal Spray Dripping Down My Throat.
From www.pedilung.com
postnasaldripcauses Pediatric Pulmonologists Why Is My Nasal Spray Dripping Down My Throat Most products can be applied while you’re in an upright position, so you don’t have to tilt your head back. If any spray does drip from your nose, just wipe the liquid away with a. Postnasal drip feels like liquid dripping in the back of your throat. However, some nasal sprays may leave an unpleasant taste in your mouth. As. Why Is My Nasal Spray Dripping Down My Throat.
From www.reddit.com
Update on my soar throat and post nasal drip after 2weeks of Chinese medicine. Dry mouth problem Why Is My Nasal Spray Dripping Down My Throat If your nose hurts, if you. Most products can be applied while you’re in an upright position, so you don’t have to tilt your head back. If any spray does drip from your nose, just wipe the liquid away with a. “you don’t want it dripping down the back of your throat,” dr. If the pump spray is used correctly,. Why Is My Nasal Spray Dripping Down My Throat.
From www.thriftyfun.com
Remedies for Post Nasal Drip ThriftyFun Why Is My Nasal Spray Dripping Down My Throat Drainage in your throat, or postnasal drip, is when the glands in your nose and throat continually produce mucus to filter out the nasal passage and provide lubrication. If your nose hurts, if you. A drink of water or juice should help clear the aftertaste. If the pump spray is used correctly, the spray should not drip from your nose. Why Is My Nasal Spray Dripping Down My Throat.
From www.pinterest.com
3 Ways to Stop a Cough from Post Nasal Drip Cough, Saline nasal spray, Echinacea tea Why Is My Nasal Spray Dripping Down My Throat If your nose hurts, if you. Drainage in your throat, or postnasal drip, is when the glands in your nose and throat continually produce mucus to filter out the nasal passage and provide lubrication. A drink of water or juice should help clear the aftertaste. If any spray does drip from your nose, just wipe the liquid away with a.. Why Is My Nasal Spray Dripping Down My Throat.
From www.pinterest.com
17 Home Remedies To Stop Postnasal Drip Stop post nasal drip, Post nasal drip remedy, Mucus in Why Is My Nasal Spray Dripping Down My Throat If any spray does drip from your nose, just wipe the liquid away with a. If you’re using your nasal spray correctly, the spray shouldn’t drip from your nose or go down your throat. As the mucus builds up, it can make you feel congested or. If your nose hurts, if you. A drink of water or juice should help. Why Is My Nasal Spray Dripping Down My Throat.
From www.entlubbock.com
Ear Nose and Throat ClariFix and Postnasal Drip The Complete Guide Why Is My Nasal Spray Dripping Down My Throat However, some nasal sprays may leave an unpleasant taste in your mouth. If you’re using your nasal spray correctly, the spray shouldn’t drip from your nose or go down your throat. If you’re using a nasal spray the right way, the medication should not drip down your nose or the back of your throat. If any spray does drip from. Why Is My Nasal Spray Dripping Down My Throat.
From www.primagem.org
Is Drainage Down Throat A Symptom Of Covid Best Drain Photos Why Is My Nasal Spray Dripping Down My Throat If you’re using a nasal spray the right way, the medication should not drip down your nose or the back of your throat. Postnasal drip feels like liquid dripping in the back of your throat. If you’re using your nasal spray correctly, the spray shouldn’t drip from your nose or go down your throat. Most products can be applied while. Why Is My Nasal Spray Dripping Down My Throat.
From entabillings.com
Nasal Congestion ENT Associates Why Is My Nasal Spray Dripping Down My Throat Drainage in your throat, or postnasal drip, is when the glands in your nose and throat continually produce mucus to filter out the nasal passage and provide lubrication. However, some nasal sprays may leave an unpleasant taste in your mouth. If your nose hurts, if you. If you’re using a nasal spray the right way, the medication should not drip. Why Is My Nasal Spray Dripping Down My Throat.
From www.top10homeremedies.com
Home Remedies for a Sinus Infection Top 10 Home Remedies Why Is My Nasal Spray Dripping Down My Throat If your nose hurts, if you. If any spray does drip from your nose, just wipe the liquid away with a. Drainage in your throat, or postnasal drip, is when the glands in your nose and throat continually produce mucus to filter out the nasal passage and provide lubrication. “you don’t want it dripping down the back of your throat,”. Why Is My Nasal Spray Dripping Down My Throat.
From www.youtube.com
What is Postnasal Drip Syndrome? YouTube Why Is My Nasal Spray Dripping Down My Throat If the pump spray is used correctly, the spray should not drip from your nose or down the back of your throat. If you’re using a nasal spray the right way, the medication should not drip down your nose or the back of your throat. Postnasal drip feels like liquid dripping in the back of your throat. If any spray. Why Is My Nasal Spray Dripping Down My Throat.
From www.verywellhealth.com
Nasal Spray Types and How to Use Them Why Is My Nasal Spray Dripping Down My Throat “you don’t want it dripping down the back of your throat,” dr. If your nose hurts, if you. If any spray does drip from your nose, just wipe the liquid away with a. Postnasal drip feels like liquid dripping in the back of your throat. A drink of water or juice should help clear the aftertaste. If you’re using a. Why Is My Nasal Spray Dripping Down My Throat.
From drganent.com
Mucous in your throat or back of your nose? You may have postnasal drip! Dr Gan Eng Cern Why Is My Nasal Spray Dripping Down My Throat If the pump spray is used correctly, the spray should not drip from your nose or down the back of your throat. If any spray does drip from your nose, just wipe the liquid away with a. If you’re using a nasal spray the right way, the medication should not drip down your nose or the back of your throat.. Why Is My Nasal Spray Dripping Down My Throat.
From www.pinterest.com
What Causes Smelly Mucus In Nose? Mucus, Mucus in throat, Mucus relief Why Is My Nasal Spray Dripping Down My Throat As the mucus builds up, it can make you feel congested or. If the pump spray is used correctly, the spray should not drip from your nose or down the back of your throat. A drink of water or juice should help clear the aftertaste. If you’re using your nasal spray correctly, the spray shouldn’t drip from your nose or. Why Is My Nasal Spray Dripping Down My Throat.
From doctoralexa.com
A Guide on How to Get Rid of Sinus Drainage in Throat Why Is My Nasal Spray Dripping Down My Throat As the mucus builds up, it can make you feel congested or. Postnasal drip feels like liquid dripping in the back of your throat. If any spray does drip from your nose, just wipe the liquid away with a. Most products can be applied while you’re in an upright position, so you don’t have to tilt your head back. If. Why Is My Nasal Spray Dripping Down My Throat.
From www.oceanfrontrecovery.com
Can You Get Addicted To Nose Spray Addiction Treatment CA Why Is My Nasal Spray Dripping Down My Throat As the mucus builds up, it can make you feel congested or. If you’re using a nasal spray the right way, the medication should not drip down your nose or the back of your throat. Drainage in your throat, or postnasal drip, is when the glands in your nose and throat continually produce mucus to filter out the nasal passage. Why Is My Nasal Spray Dripping Down My Throat.
From www.youtube.com
How to stop sinus drainage in throat naturally and immediately Home remedies for post nasal dri Why Is My Nasal Spray Dripping Down My Throat Most products can be applied while you’re in an upright position, so you don’t have to tilt your head back. Drainage in your throat, or postnasal drip, is when the glands in your nose and throat continually produce mucus to filter out the nasal passage and provide lubrication. However, some nasal sprays may leave an unpleasant taste in your mouth.. Why Is My Nasal Spray Dripping Down My Throat.
From hlives.com
Postnasal Drip (Sore Throat) Causes, Symptoms & Treatments Why Is My Nasal Spray Dripping Down My Throat Postnasal drip feels like liquid dripping in the back of your throat. “you don’t want it dripping down the back of your throat,” dr. However, some nasal sprays may leave an unpleasant taste in your mouth. If your nose hurts, if you. If any spray does drip from your nose, just wipe the liquid away with a. If the pump. Why Is My Nasal Spray Dripping Down My Throat.
From www.medindia.net
PostNasal Drip Causes, Symptoms and Remedies Why Is My Nasal Spray Dripping Down My Throat A drink of water or juice should help clear the aftertaste. As the mucus builds up, it can make you feel congested or. “you don’t want it dripping down the back of your throat,” dr. However, some nasal sprays may leave an unpleasant taste in your mouth. If you’re using a nasal spray the right way, the medication should not. Why Is My Nasal Spray Dripping Down My Throat.
From tunersread.com
Nasal Drip In Throat Why Is My Nasal Spray Dripping Down My Throat Most products can be applied while you’re in an upright position, so you don’t have to tilt your head back. Drainage in your throat, or postnasal drip, is when the glands in your nose and throat continually produce mucus to filter out the nasal passage and provide lubrication. If the pump spray is used correctly, the spray should not drip. Why Is My Nasal Spray Dripping Down My Throat.
From ar.inspiredpencil.com
How Does Nasal Irrigation Work Why Is My Nasal Spray Dripping Down My Throat If any spray does drip from your nose, just wipe the liquid away with a. If you’re using a nasal spray the right way, the medication should not drip down your nose or the back of your throat. Postnasal drip feels like liquid dripping in the back of your throat. As the mucus builds up, it can make you feel. Why Is My Nasal Spray Dripping Down My Throat.
From www.mydr.com.au
Postnasal drip symptoms, causes and treatment Why Is My Nasal Spray Dripping Down My Throat If your nose hurts, if you. If you’re using a nasal spray the right way, the medication should not drip down your nose or the back of your throat. Drainage in your throat, or postnasal drip, is when the glands in your nose and throat continually produce mucus to filter out the nasal passage and provide lubrication. Postnasal drip feels. Why Is My Nasal Spray Dripping Down My Throat.
From greatlakesent.com
Post Nasal Drip Great Lakes ENT Specialists Why Is My Nasal Spray Dripping Down My Throat A drink of water or juice should help clear the aftertaste. However, some nasal sprays may leave an unpleasant taste in your mouth. Most products can be applied while you’re in an upright position, so you don’t have to tilt your head back. Postnasal drip feels like liquid dripping in the back of your throat. If you’re using a nasal. Why Is My Nasal Spray Dripping Down My Throat.
From tunersread.com
Nasal Drip In Throat Why Is My Nasal Spray Dripping Down My Throat If you’re using your nasal spray correctly, the spray shouldn’t drip from your nose or go down your throat. Postnasal drip feels like liquid dripping in the back of your throat. If the pump spray is used correctly, the spray should not drip from your nose or down the back of your throat. As the mucus builds up, it can. Why Is My Nasal Spray Dripping Down My Throat.
From now.nvspca.org
Covid Post Nasal Drip And Sore Throat Kindergatenform Why Is My Nasal Spray Dripping Down My Throat Most products can be applied while you’re in an upright position, so you don’t have to tilt your head back. Postnasal drip feels like liquid dripping in the back of your throat. However, some nasal sprays may leave an unpleasant taste in your mouth. If any spray does drip from your nose, just wipe the liquid away with a. If. Why Is My Nasal Spray Dripping Down My Throat.
From www.technologious.com
What Causes Post Nasal Drip? Symptoms and Treatment Why Is My Nasal Spray Dripping Down My Throat If any spray does drip from your nose, just wipe the liquid away with a. Postnasal drip feels like liquid dripping in the back of your throat. However, some nasal sprays may leave an unpleasant taste in your mouth. Most products can be applied while you’re in an upright position, so you don’t have to tilt your head back. If. Why Is My Nasal Spray Dripping Down My Throat.
From apartmentairline8.bitbucket.io
How To Cure A Post Nasal Drip Apartmentairline8 Why Is My Nasal Spray Dripping Down My Throat If any spray does drip from your nose, just wipe the liquid away with a. Most products can be applied while you’re in an upright position, so you don’t have to tilt your head back. Postnasal drip feels like liquid dripping in the back of your throat. “you don’t want it dripping down the back of your throat,” dr. If. Why Is My Nasal Spray Dripping Down My Throat.
From joigtzcyl.blob.core.windows.net
Post Nasal Drip And Sore Throat Swollen Glands at Thomas Hunter blog Why Is My Nasal Spray Dripping Down My Throat “you don’t want it dripping down the back of your throat,” dr. Most products can be applied while you’re in an upright position, so you don’t have to tilt your head back. If you’re using a nasal spray the right way, the medication should not drip down your nose or the back of your throat. Drainage in your throat, or. Why Is My Nasal Spray Dripping Down My Throat.
From klaomstxh.blob.core.windows.net
Nose Spray And Throat at John Kirkpatrick blog Why Is My Nasal Spray Dripping Down My Throat Most products can be applied while you’re in an upright position, so you don’t have to tilt your head back. Drainage in your throat, or postnasal drip, is when the glands in your nose and throat continually produce mucus to filter out the nasal passage and provide lubrication. As the mucus builds up, it can make you feel congested or.. Why Is My Nasal Spray Dripping Down My Throat.
From charlestonallergy.com
Nasal Sprays How They Work and How To Use Them Allergy and Asthma Consultants, LLP DBA Why Is My Nasal Spray Dripping Down My Throat If your nose hurts, if you. If the pump spray is used correctly, the spray should not drip from your nose or down the back of your throat. As the mucus builds up, it can make you feel congested or. A drink of water or juice should help clear the aftertaste. Most products can be applied while you’re in an. Why Is My Nasal Spray Dripping Down My Throat.
From www.pedilung.com
Postnasal Drip in Children Pediatric Pulmonologists Why Is My Nasal Spray Dripping Down My Throat If the pump spray is used correctly, the spray should not drip from your nose or down the back of your throat. As the mucus builds up, it can make you feel congested or. If you’re using a nasal spray the right way, the medication should not drip down your nose or the back of your throat. A drink of. Why Is My Nasal Spray Dripping Down My Throat.