Radiation Pneumonitis Signs And Symptoms . Radiation pneumonitis (rp) is an inflammation of the lungs due to radiation therapy or. Radiation pneumonitis is a clinical diagnosis based on the history of radiation, imaging findings, and the presence of classic. What are the symptoms of pneumonitis? This article describes the symptoms, factors. Some people who have radiation therapy to the chest, such as for breast or lung cancer, may. Symptoms of radiation pneumonitis include: Radiation pneumonitis is inflammation of the lungs caused by radiation therapy to the chest. A general feeling of discomfort or illness (called malaise) shortness of breath.
from lookfordiagnosis.com
What are the symptoms of pneumonitis? Radiation pneumonitis (rp) is an inflammation of the lungs due to radiation therapy or. Some people who have radiation therapy to the chest, such as for breast or lung cancer, may. Radiation pneumonitis is inflammation of the lungs caused by radiation therapy to the chest. Symptoms of radiation pneumonitis include: A general feeling of discomfort or illness (called malaise) shortness of breath. This article describes the symptoms, factors. Radiation pneumonitis is a clinical diagnosis based on the history of radiation, imaging findings, and the presence of classic.
Radiation Pneumonitis; Pneumonia, Radiation; Pneumonitis, Radiation
Radiation Pneumonitis Signs And Symptoms Radiation pneumonitis is inflammation of the lungs caused by radiation therapy to the chest. Radiation pneumonitis is a clinical diagnosis based on the history of radiation, imaging findings, and the presence of classic. Some people who have radiation therapy to the chest, such as for breast or lung cancer, may. Symptoms of radiation pneumonitis include: Radiation pneumonitis (rp) is an inflammation of the lungs due to radiation therapy or. What are the symptoms of pneumonitis? This article describes the symptoms, factors. A general feeling of discomfort or illness (called malaise) shortness of breath. Radiation pneumonitis is inflammation of the lungs caused by radiation therapy to the chest.
From www.researchgate.net
Schematic representation of radiation recall pneumonitis. RILI Radiation Pneumonitis Signs And Symptoms What are the symptoms of pneumonitis? Symptoms of radiation pneumonitis include: Radiation pneumonitis is a clinical diagnosis based on the history of radiation, imaging findings, and the presence of classic. Radiation pneumonitis (rp) is an inflammation of the lungs due to radiation therapy or. Radiation pneumonitis is inflammation of the lungs caused by radiation therapy to the chest. This article. Radiation Pneumonitis Signs And Symptoms.
From www.researchgate.net
Clinical prognostic factors related to radiation pneumonitis Download Radiation Pneumonitis Signs And Symptoms What are the symptoms of pneumonitis? Radiation pneumonitis is inflammation of the lungs caused by radiation therapy to the chest. Radiation pneumonitis is a clinical diagnosis based on the history of radiation, imaging findings, and the presence of classic. This article describes the symptoms, factors. Radiation pneumonitis (rp) is an inflammation of the lungs due to radiation therapy or. A. Radiation Pneumonitis Signs And Symptoms.
From thoracickey.com
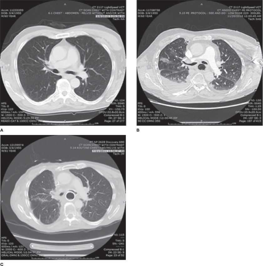
Radiation Pneumonitis Thoracic Key Radiation Pneumonitis Signs And Symptoms What are the symptoms of pneumonitis? This article describes the symptoms, factors. Some people who have radiation therapy to the chest, such as for breast or lung cancer, may. Symptoms of radiation pneumonitis include: Radiation pneumonitis is a clinical diagnosis based on the history of radiation, imaging findings, and the presence of classic. A general feeling of discomfort or illness. Radiation Pneumonitis Signs And Symptoms.
From www.familycarers.org.uk
Radiation Pneumonitis Understanding Its Causes, Symptoms, and Radiation Pneumonitis Signs And Symptoms A general feeling of discomfort or illness (called malaise) shortness of breath. Radiation pneumonitis is inflammation of the lungs caused by radiation therapy to the chest. Radiation pneumonitis is a clinical diagnosis based on the history of radiation, imaging findings, and the presence of classic. Radiation pneumonitis (rp) is an inflammation of the lungs due to radiation therapy or. What. Radiation Pneumonitis Signs And Symptoms.
From lookfordiagnosis.com
Radiation pneumonitis; Pneumonia, Radiation; Pneumonitis, Radiation Radiation Pneumonitis Signs And Symptoms Some people who have radiation therapy to the chest, such as for breast or lung cancer, may. Radiation pneumonitis (rp) is an inflammation of the lungs due to radiation therapy or. What are the symptoms of pneumonitis? Symptoms of radiation pneumonitis include: A general feeling of discomfort or illness (called malaise) shortness of breath. Radiation pneumonitis is a clinical diagnosis. Radiation Pneumonitis Signs And Symptoms.
From www.researchgate.net
Radiation pneumonitis after SBRT. (AF, see Figure 2) Consolidative Radiation Pneumonitis Signs And Symptoms A general feeling of discomfort or illness (called malaise) shortness of breath. Radiation pneumonitis is inflammation of the lungs caused by radiation therapy to the chest. Some people who have radiation therapy to the chest, such as for breast or lung cancer, may. What are the symptoms of pneumonitis? Radiation pneumonitis (rp) is an inflammation of the lungs due to. Radiation Pneumonitis Signs And Symptoms.
From hubpages.com
Radiation Pneumonitis Symptoms, Treatment and Recovery Radiation Pneumonitis Signs And Symptoms Radiation pneumonitis is a clinical diagnosis based on the history of radiation, imaging findings, and the presence of classic. A general feeling of discomfort or illness (called malaise) shortness of breath. Radiation pneumonitis is inflammation of the lungs caused by radiation therapy to the chest. Some people who have radiation therapy to the chest, such as for breast or lung. Radiation Pneumonitis Signs And Symptoms.
From www.lookfordiagnosis.com
Radiation Pneumonitis; Pneumonia, Radiation; Pneumonitis, Radiation Radiation Pneumonitis Signs And Symptoms Symptoms of radiation pneumonitis include: A general feeling of discomfort or illness (called malaise) shortness of breath. Radiation pneumonitis is inflammation of the lungs caused by radiation therapy to the chest. Radiation pneumonitis is a clinical diagnosis based on the history of radiation, imaging findings, and the presence of classic. What are the symptoms of pneumonitis? Radiation pneumonitis (rp) is. Radiation Pneumonitis Signs And Symptoms.
From www.researchgate.net
The timeseries of the deterioration of radiation pneumonitis in two Radiation Pneumonitis Signs And Symptoms Radiation pneumonitis is inflammation of the lungs caused by radiation therapy to the chest. What are the symptoms of pneumonitis? This article describes the symptoms, factors. Symptoms of radiation pneumonitis include: Radiation pneumonitis is a clinical diagnosis based on the history of radiation, imaging findings, and the presence of classic. Radiation pneumonitis (rp) is an inflammation of the lungs due. Radiation Pneumonitis Signs And Symptoms.
From www.researchgate.net
(PDF) RADIATION PNEUMONITIS Radiation Pneumonitis Signs And Symptoms Some people who have radiation therapy to the chest, such as for breast or lung cancer, may. Radiation pneumonitis is a clinical diagnosis based on the history of radiation, imaging findings, and the presence of classic. Radiation pneumonitis is inflammation of the lungs caused by radiation therapy to the chest. Symptoms of radiation pneumonitis include: This article describes the symptoms,. Radiation Pneumonitis Signs And Symptoms.
From www.mdpi.com
Clinics and Practice Free FullText RadiationInduced Lung Injury Radiation Pneumonitis Signs And Symptoms A general feeling of discomfort or illness (called malaise) shortness of breath. Some people who have radiation therapy to the chest, such as for breast or lung cancer, may. Symptoms of radiation pneumonitis include: Radiation pneumonitis is a clinical diagnosis based on the history of radiation, imaging findings, and the presence of classic. This article describes the symptoms, factors. What. Radiation Pneumonitis Signs And Symptoms.
From www.advancesradonc.org
Need for Caution in the Diagnosis of Radiation Pneumonitis During the Radiation Pneumonitis Signs And Symptoms Radiation pneumonitis is inflammation of the lungs caused by radiation therapy to the chest. What are the symptoms of pneumonitis? Radiation pneumonitis (rp) is an inflammation of the lungs due to radiation therapy or. Radiation pneumonitis is a clinical diagnosis based on the history of radiation, imaging findings, and the presence of classic. Symptoms of radiation pneumonitis include: Some people. Radiation Pneumonitis Signs And Symptoms.
From www.frontiersin.org
Frontiers RadiationInduced Lung Injury (RILI) Radiation Pneumonitis Signs And Symptoms What are the symptoms of pneumonitis? Symptoms of radiation pneumonitis include: Radiation pneumonitis (rp) is an inflammation of the lungs due to radiation therapy or. Radiation pneumonitis is a clinical diagnosis based on the history of radiation, imaging findings, and the presence of classic. A general feeling of discomfort or illness (called malaise) shortness of breath. This article describes the. Radiation Pneumonitis Signs And Symptoms.
From www.svuhradiology.ie
Aspiration pneumonia Radiology at St. Vincent's University Hospital Radiation Pneumonitis Signs And Symptoms Radiation pneumonitis is a clinical diagnosis based on the history of radiation, imaging findings, and the presence of classic. What are the symptoms of pneumonitis? Radiation pneumonitis is inflammation of the lungs caused by radiation therapy to the chest. This article describes the symptoms, factors. Some people who have radiation therapy to the chest, such as for breast or lung. Radiation Pneumonitis Signs And Symptoms.
From www.chestmed.theclinics.com
Radiation Pneumonitis Clinics in Chest Medicine Radiation Pneumonitis Signs And Symptoms Radiation pneumonitis is a clinical diagnosis based on the history of radiation, imaging findings, and the presence of classic. Symptoms of radiation pneumonitis include: Some people who have radiation therapy to the chest, such as for breast or lung cancer, may. A general feeling of discomfort or illness (called malaise) shortness of breath. This article describes the symptoms, factors. What. Radiation Pneumonitis Signs And Symptoms.
From www.frontiersin.org
Frontiers Risk of Developing Checkpoint Immune Pneumonitis and Its Radiation Pneumonitis Signs And Symptoms A general feeling of discomfort or illness (called malaise) shortness of breath. Radiation pneumonitis is inflammation of the lungs caused by radiation therapy to the chest. What are the symptoms of pneumonitis? Symptoms of radiation pneumonitis include: Radiation pneumonitis is a clinical diagnosis based on the history of radiation, imaging findings, and the presence of classic. Some people who have. Radiation Pneumonitis Signs And Symptoms.
From www.familycarers.org.uk
Radiation Pneumonitis What You Should Know About this Chronic Lung Radiation Pneumonitis Signs And Symptoms What are the symptoms of pneumonitis? Symptoms of radiation pneumonitis include: Radiation pneumonitis is a clinical diagnosis based on the history of radiation, imaging findings, and the presence of classic. Radiation pneumonitis (rp) is an inflammation of the lungs due to radiation therapy or. Some people who have radiation therapy to the chest, such as for breast or lung cancer,. Radiation Pneumonitis Signs And Symptoms.
From pubs.rsna.org
Radiographic and CT Features of Viral Pneumonia RadioGraphics Radiation Pneumonitis Signs And Symptoms What are the symptoms of pneumonitis? This article describes the symptoms, factors. Radiation pneumonitis is a clinical diagnosis based on the history of radiation, imaging findings, and the presence of classic. Radiation pneumonitis (rp) is an inflammation of the lungs due to radiation therapy or. A general feeling of discomfort or illness (called malaise) shortness of breath. Symptoms of radiation. Radiation Pneumonitis Signs And Symptoms.
From www.grepmed.com
Interstitial pneumonias An acute reticular pattern GrepMed Radiation Pneumonitis Signs And Symptoms Some people who have radiation therapy to the chest, such as for breast or lung cancer, may. Radiation pneumonitis (rp) is an inflammation of the lungs due to radiation therapy or. This article describes the symptoms, factors. Radiation pneumonitis is a clinical diagnosis based on the history of radiation, imaging findings, and the presence of classic. Radiation pneumonitis is inflammation. Radiation Pneumonitis Signs And Symptoms.
From www.ctchestreview.com
Radiation Pneumonitis CT Chest Review Radiation Pneumonitis Signs And Symptoms This article describes the symptoms, factors. What are the symptoms of pneumonitis? Radiation pneumonitis is a clinical diagnosis based on the history of radiation, imaging findings, and the presence of classic. Radiation pneumonitis is inflammation of the lungs caused by radiation therapy to the chest. Radiation pneumonitis (rp) is an inflammation of the lungs due to radiation therapy or. A. Radiation Pneumonitis Signs And Symptoms.
From radiopaedia.org
Radiation pneumonitis Image Radiation Pneumonitis Signs And Symptoms Some people who have radiation therapy to the chest, such as for breast or lung cancer, may. Symptoms of radiation pneumonitis include: Radiation pneumonitis is inflammation of the lungs caused by radiation therapy to the chest. This article describes the symptoms, factors. Radiation pneumonitis (rp) is an inflammation of the lungs due to radiation therapy or. A general feeling of. Radiation Pneumonitis Signs And Symptoms.
From www.ctchestreview.com
Radiation Pneumonitis CT Chest Review Radiation Pneumonitis Signs And Symptoms This article describes the symptoms, factors. Symptoms of radiation pneumonitis include: Radiation pneumonitis is a clinical diagnosis based on the history of radiation, imaging findings, and the presence of classic. Radiation pneumonitis (rp) is an inflammation of the lungs due to radiation therapy or. Some people who have radiation therapy to the chest, such as for breast or lung cancer,. Radiation Pneumonitis Signs And Symptoms.
From geekymedics.com
Radiotherapy Overview Geeky Medics Radiation Pneumonitis Signs And Symptoms A general feeling of discomfort or illness (called malaise) shortness of breath. This article describes the symptoms, factors. Symptoms of radiation pneumonitis include: Radiation pneumonitis is a clinical diagnosis based on the history of radiation, imaging findings, and the presence of classic. What are the symptoms of pneumonitis? Radiation pneumonitis is inflammation of the lungs caused by radiation therapy to. Radiation Pneumonitis Signs And Symptoms.
From www.wjgnet.com
Multiple regression analysis of risk factors related to radiation Radiation Pneumonitis Signs And Symptoms Symptoms of radiation pneumonitis include: This article describes the symptoms, factors. Radiation pneumonitis (rp) is an inflammation of the lungs due to radiation therapy or. Some people who have radiation therapy to the chest, such as for breast or lung cancer, may. What are the symptoms of pneumonitis? Radiation pneumonitis is inflammation of the lungs caused by radiation therapy to. Radiation Pneumonitis Signs And Symptoms.
From www.pulmonologyadvisor.com
RadiationInduced Lung Injury Pulmonology Advisor Radiation Pneumonitis Signs And Symptoms Symptoms of radiation pneumonitis include: Radiation pneumonitis (rp) is an inflammation of the lungs due to radiation therapy or. Some people who have radiation therapy to the chest, such as for breast or lung cancer, may. What are the symptoms of pneumonitis? Radiation pneumonitis is inflammation of the lungs caused by radiation therapy to the chest. This article describes the. Radiation Pneumonitis Signs And Symptoms.
From lookfordiagnosis.com
Radiation Pneumonitis; Pneumonia, Radiation; Pneumonitis, Radiation Radiation Pneumonitis Signs And Symptoms Radiation pneumonitis is a clinical diagnosis based on the history of radiation, imaging findings, and the presence of classic. This article describes the symptoms, factors. A general feeling of discomfort or illness (called malaise) shortness of breath. Symptoms of radiation pneumonitis include: Radiation pneumonitis (rp) is an inflammation of the lungs due to radiation therapy or. Radiation pneumonitis is inflammation. Radiation Pneumonitis Signs And Symptoms.
From www.frontiersin.org
Frontiers Radiation Recall Pneumonitis After Treatment With Radiation Pneumonitis Signs And Symptoms Some people who have radiation therapy to the chest, such as for breast or lung cancer, may. What are the symptoms of pneumonitis? This article describes the symptoms, factors. Radiation pneumonitis is inflammation of the lungs caused by radiation therapy to the chest. Radiation pneumonitis (rp) is an inflammation of the lungs due to radiation therapy or. Symptoms of radiation. Radiation Pneumonitis Signs And Symptoms.
From www.medindia.net
Symptoms and Signs of Pneumonitis Radiation Pneumonitis Signs And Symptoms A general feeling of discomfort or illness (called malaise) shortness of breath. Radiation pneumonitis is a clinical diagnosis based on the history of radiation, imaging findings, and the presence of classic. Radiation pneumonitis is inflammation of the lungs caused by radiation therapy to the chest. Radiation pneumonitis (rp) is an inflammation of the lungs due to radiation therapy or. This. Radiation Pneumonitis Signs And Symptoms.
From www.familycarers.org.uk
Radiation Pneumonitis Causes, Symptoms, and Treatment Health And Beauty Radiation Pneumonitis Signs And Symptoms What are the symptoms of pneumonitis? Radiation pneumonitis is inflammation of the lungs caused by radiation therapy to the chest. This article describes the symptoms, factors. Radiation pneumonitis is a clinical diagnosis based on the history of radiation, imaging findings, and the presence of classic. Radiation pneumonitis (rp) is an inflammation of the lungs due to radiation therapy or. A. Radiation Pneumonitis Signs And Symptoms.
From www.researchgate.net
Can radiation pneumonitis occur twice? Download Scientific Diagram Radiation Pneumonitis Signs And Symptoms This article describes the symptoms, factors. A general feeling of discomfort or illness (called malaise) shortness of breath. Some people who have radiation therapy to the chest, such as for breast or lung cancer, may. Radiation pneumonitis (rp) is an inflammation of the lungs due to radiation therapy or. Radiation pneumonitis is a clinical diagnosis based on the history of. Radiation Pneumonitis Signs And Symptoms.
From www.verywell.com
Common Symptoms of Radiation Pneumonitis Radiation Pneumonitis Signs And Symptoms Symptoms of radiation pneumonitis include: What are the symptoms of pneumonitis? Radiation pneumonitis is a clinical diagnosis based on the history of radiation, imaging findings, and the presence of classic. Radiation pneumonitis (rp) is an inflammation of the lungs due to radiation therapy or. Radiation pneumonitis is inflammation of the lungs caused by radiation therapy to the chest. This article. Radiation Pneumonitis Signs And Symptoms.
From ar.iiarjournals.org
Radiation Pneumonitis Changes over Time after Stereotactic Body Radiation Pneumonitis Signs And Symptoms This article describes the symptoms, factors. Radiation pneumonitis is a clinical diagnosis based on the history of radiation, imaging findings, and the presence of classic. Symptoms of radiation pneumonitis include: Radiation pneumonitis is inflammation of the lungs caused by radiation therapy to the chest. What are the symptoms of pneumonitis? A general feeling of discomfort or illness (called malaise) shortness. Radiation Pneumonitis Signs And Symptoms.
From www.researchgate.net
Characteristics of patients with radiation pneumonitis total grade ≥2 Radiation Pneumonitis Signs And Symptoms Symptoms of radiation pneumonitis include: This article describes the symptoms, factors. Some people who have radiation therapy to the chest, such as for breast or lung cancer, may. A general feeling of discomfort or illness (called malaise) shortness of breath. Radiation pneumonitis is inflammation of the lungs caused by radiation therapy to the chest. Radiation pneumonitis is a clinical diagnosis. Radiation Pneumonitis Signs And Symptoms.
From ro-journal.biomedcentral.com
Relationship between radiation pneumonitis and organizing pneumonia Radiation Pneumonitis Signs And Symptoms This article describes the symptoms, factors. Some people who have radiation therapy to the chest, such as for breast or lung cancer, may. What are the symptoms of pneumonitis? Radiation pneumonitis is a clinical diagnosis based on the history of radiation, imaging findings, and the presence of classic. Radiation pneumonitis (rp) is an inflammation of the lungs due to radiation. Radiation Pneumonitis Signs And Symptoms.
From thoracickey.com
Radiation Pneumonitis Thoracic Key Radiation Pneumonitis Signs And Symptoms What are the symptoms of pneumonitis? Radiation pneumonitis is inflammation of the lungs caused by radiation therapy to the chest. Some people who have radiation therapy to the chest, such as for breast or lung cancer, may. Radiation pneumonitis (rp) is an inflammation of the lungs due to radiation therapy or. Symptoms of radiation pneumonitis include: A general feeling of. Radiation Pneumonitis Signs And Symptoms.