Fixation In Arthroplasty . Over 100,000 total knee replacements (tkrs) are carried out in the uk. In revision total knee arthroplasty (rtka), one of the critical considerations is the method of stem fixation, which plays a major. This comprehensive review examines the primary fixation methods (cemented, cementless, and hybrid fixation),. The current literature indicates no major superiority of using a specific stem fixation method for revision total knee arthroplasty. Three fixation techniques are described in the literature for modular rtka; Achieving adequate implant fixation is critical to optimize survivorship and postoperative outcomes after revision total knee arthroplasty (rtka). Despite improved survivorship of uncemented fixation in total knee arthroplasty. Cementless fixation of all components and.
from www.semanticscholar.org
In revision total knee arthroplasty (rtka), one of the critical considerations is the method of stem fixation, which plays a major. Three fixation techniques are described in the literature for modular rtka; Despite improved survivorship of uncemented fixation in total knee arthroplasty. Over 100,000 total knee replacements (tkrs) are carried out in the uk. This comprehensive review examines the primary fixation methods (cemented, cementless, and hybrid fixation),. Cementless fixation of all components and. The current literature indicates no major superiority of using a specific stem fixation method for revision total knee arthroplasty. Achieving adequate implant fixation is critical to optimize survivorship and postoperative outcomes after revision total knee arthroplasty (rtka).
Figure 2 from Implant Arthroplasty for Proximal Interphalangeal
Fixation In Arthroplasty The current literature indicates no major superiority of using a specific stem fixation method for revision total knee arthroplasty. This comprehensive review examines the primary fixation methods (cemented, cementless, and hybrid fixation),. Three fixation techniques are described in the literature for modular rtka; In revision total knee arthroplasty (rtka), one of the critical considerations is the method of stem fixation, which plays a major. Over 100,000 total knee replacements (tkrs) are carried out in the uk. Despite improved survivorship of uncemented fixation in total knee arthroplasty. Cementless fixation of all components and. Achieving adequate implant fixation is critical to optimize survivorship and postoperative outcomes after revision total knee arthroplasty (rtka). The current literature indicates no major superiority of using a specific stem fixation method for revision total knee arthroplasty.
From www.researchgate.net
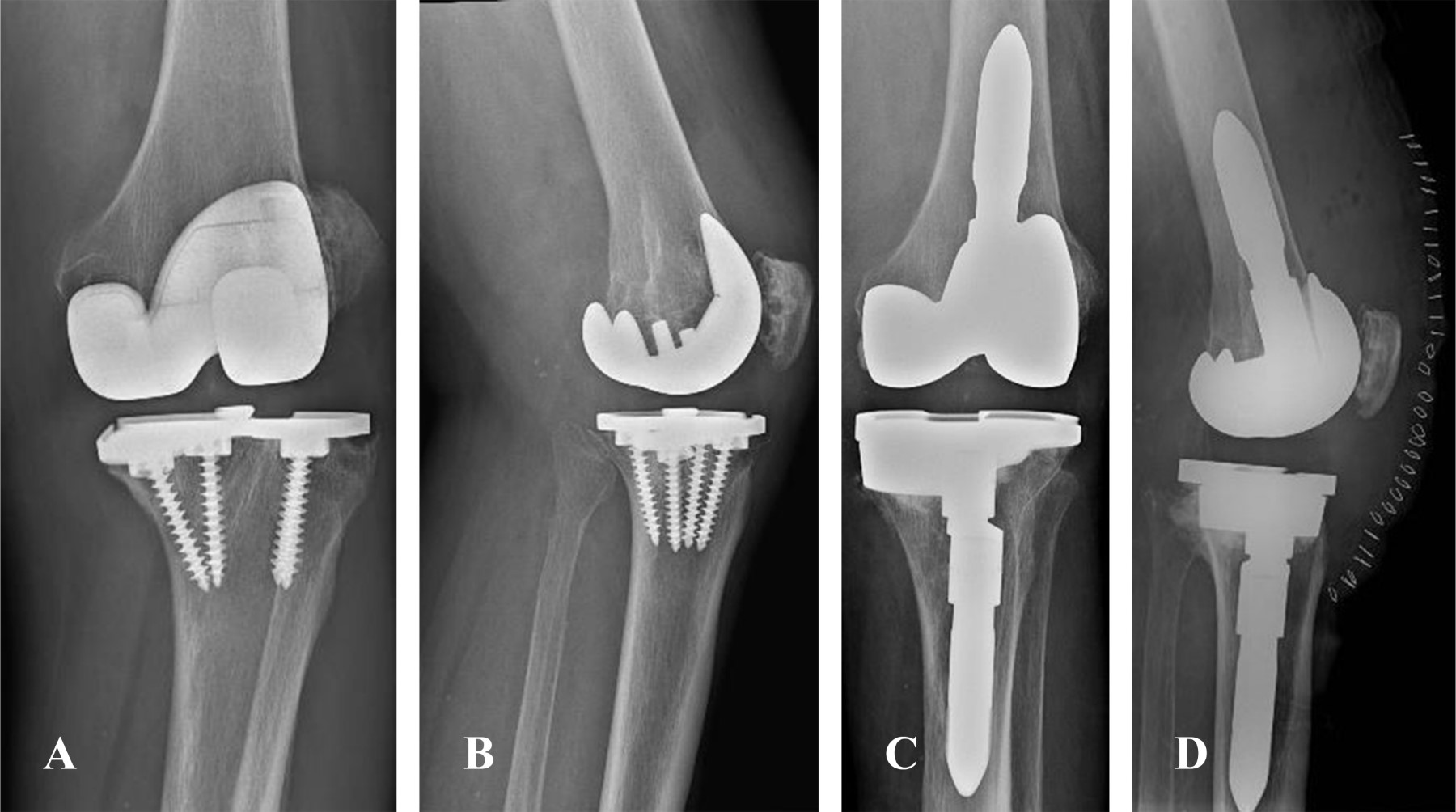
Different types of fixation in revision total knee arthroplasty Fixation In Arthroplasty Achieving adequate implant fixation is critical to optimize survivorship and postoperative outcomes after revision total knee arthroplasty (rtka). This comprehensive review examines the primary fixation methods (cemented, cementless, and hybrid fixation),. The current literature indicates no major superiority of using a specific stem fixation method for revision total knee arthroplasty. Despite improved survivorship of uncemented fixation in total knee arthroplasty.. Fixation In Arthroplasty.
From www.dreamstime.com
Process of Trauma Surgery Operation. Total Hip Arthroplasty with Cement Fixation In Arthroplasty Despite improved survivorship of uncemented fixation in total knee arthroplasty. Over 100,000 total knee replacements (tkrs) are carried out in the uk. Achieving adequate implant fixation is critical to optimize survivorship and postoperative outcomes after revision total knee arthroplasty (rtka). In revision total knee arthroplasty (rtka), one of the critical considerations is the method of stem fixation, which plays a. Fixation In Arthroplasty.
From jnjinstitute.com
Current Techniques & Fixation in Total Knee Arthroplasty Case Examples Fixation In Arthroplasty Over 100,000 total knee replacements (tkrs) are carried out in the uk. Achieving adequate implant fixation is critical to optimize survivorship and postoperative outcomes after revision total knee arthroplasty (rtka). In revision total knee arthroplasty (rtka), one of the critical considerations is the method of stem fixation, which plays a major. The current literature indicates no major superiority of using. Fixation In Arthroplasty.
From www.semanticscholar.org
Figure 7 from Optimal screw placement for base plate fixation in Fixation In Arthroplasty In revision total knee arthroplasty (rtka), one of the critical considerations is the method of stem fixation, which plays a major. Three fixation techniques are described in the literature for modular rtka; Despite improved survivorship of uncemented fixation in total knee arthroplasty. Cementless fixation of all components and. This comprehensive review examines the primary fixation methods (cemented, cementless, and hybrid. Fixation In Arthroplasty.
From www.wjgnet.com
Internal fixation and knee arthroplasty for an elderly Fixation In Arthroplasty Despite improved survivorship of uncemented fixation in total knee arthroplasty. The current literature indicates no major superiority of using a specific stem fixation method for revision total knee arthroplasty. In revision total knee arthroplasty (rtka), one of the critical considerations is the method of stem fixation, which plays a major. Over 100,000 total knee replacements (tkrs) are carried out in. Fixation In Arthroplasty.
From www.arthroscopytechniques.org
Arthroscopic 4Point Suture Fixation of Anterior Cruciate Ligament Fixation In Arthroplasty Achieving adequate implant fixation is critical to optimize survivorship and postoperative outcomes after revision total knee arthroplasty (rtka). Over 100,000 total knee replacements (tkrs) are carried out in the uk. Cementless fixation of all components and. This comprehensive review examines the primary fixation methods (cemented, cementless, and hybrid fixation),. Despite improved survivorship of uncemented fixation in total knee arthroplasty. The. Fixation In Arthroplasty.
From www.slideserve.com
PPT Total hip arthroplasty PowerPoint Presentation, free download Fixation In Arthroplasty Cementless fixation of all components and. Three fixation techniques are described in the literature for modular rtka; The current literature indicates no major superiority of using a specific stem fixation method for revision total knee arthroplasty. Over 100,000 total knee replacements (tkrs) are carried out in the uk. In revision total knee arthroplasty (rtka), one of the critical considerations is. Fixation In Arthroplasty.
From medapparatus.com
Joint Arthroplasty a gallery Fixation In Arthroplasty This comprehensive review examines the primary fixation methods (cemented, cementless, and hybrid fixation),. In revision total knee arthroplasty (rtka), one of the critical considerations is the method of stem fixation, which plays a major. The current literature indicates no major superiority of using a specific stem fixation method for revision total knee arthroplasty. Cementless fixation of all components and. Achieving. Fixation In Arthroplasty.
From www.scyon.ch
Scyon orthopaedics hip replacement, surgery, implants Fixation In Arthroplasty The current literature indicates no major superiority of using a specific stem fixation method for revision total knee arthroplasty. In revision total knee arthroplasty (rtka), one of the critical considerations is the method of stem fixation, which plays a major. Cementless fixation of all components and. Despite improved survivorship of uncemented fixation in total knee arthroplasty. Achieving adequate implant fixation. Fixation In Arthroplasty.
From www.researchgate.net
Different types of fixation in revision total knee arthroplasty Fixation In Arthroplasty Despite improved survivorship of uncemented fixation in total knee arthroplasty. In revision total knee arthroplasty (rtka), one of the critical considerations is the method of stem fixation, which plays a major. Achieving adequate implant fixation is critical to optimize survivorship and postoperative outcomes after revision total knee arthroplasty (rtka). Over 100,000 total knee replacements (tkrs) are carried out in the. Fixation In Arthroplasty.
From www.arthrex.com
Arthrex FxBridge™ Tuberosity Repair System Reverse Total Shoulder Fixation In Arthroplasty This comprehensive review examines the primary fixation methods (cemented, cementless, and hybrid fixation),. Three fixation techniques are described in the literature for modular rtka; Despite improved survivorship of uncemented fixation in total knee arthroplasty. In revision total knee arthroplasty (rtka), one of the critical considerations is the method of stem fixation, which plays a major. The current literature indicates no. Fixation In Arthroplasty.
From www.semanticscholar.org
Figure 2 from Implant Arthroplasty for Proximal Interphalangeal Fixation In Arthroplasty In revision total knee arthroplasty (rtka), one of the critical considerations is the method of stem fixation, which plays a major. Cementless fixation of all components and. Over 100,000 total knee replacements (tkrs) are carried out in the uk. Achieving adequate implant fixation is critical to optimize survivorship and postoperative outcomes after revision total knee arthroplasty (rtka). This comprehensive review. Fixation In Arthroplasty.
From dokumen.tips
(PDF) Cementless Femoral Fixation in Total Hip Arthroplasty DOKUMEN.TIPS Fixation In Arthroplasty In revision total knee arthroplasty (rtka), one of the critical considerations is the method of stem fixation, which plays a major. Despite improved survivorship of uncemented fixation in total knee arthroplasty. Three fixation techniques are described in the literature for modular rtka; The current literature indicates no major superiority of using a specific stem fixation method for revision total knee. Fixation In Arthroplasty.
From www.researchgate.net
Lateral Xray of TKA and tibial tuberosity fixation TKA total knee Fixation In Arthroplasty In revision total knee arthroplasty (rtka), one of the critical considerations is the method of stem fixation, which plays a major. Achieving adequate implant fixation is critical to optimize survivorship and postoperative outcomes after revision total knee arthroplasty (rtka). The current literature indicates no major superiority of using a specific stem fixation method for revision total knee arthroplasty. Over 100,000. Fixation In Arthroplasty.
From boneandjoint.org.uk
Zonal fixation in revision total knee arthroplasty Bone & Joint Fixation In Arthroplasty Despite improved survivorship of uncemented fixation in total knee arthroplasty. Over 100,000 total knee replacements (tkrs) are carried out in the uk. The current literature indicates no major superiority of using a specific stem fixation method for revision total knee arthroplasty. In revision total knee arthroplasty (rtka), one of the critical considerations is the method of stem fixation, which plays. Fixation In Arthroplasty.
From www.semanticscholar.org
Optimal screw placement for base plate fixation in reverse total Fixation In Arthroplasty The current literature indicates no major superiority of using a specific stem fixation method for revision total knee arthroplasty. In revision total knee arthroplasty (rtka), one of the critical considerations is the method of stem fixation, which plays a major. Over 100,000 total knee replacements (tkrs) are carried out in the uk. Three fixation techniques are described in the literature. Fixation In Arthroplasty.
From www.injuryjournal.com
and technical consideration of conversion total hip Fixation In Arthroplasty In revision total knee arthroplasty (rtka), one of the critical considerations is the method of stem fixation, which plays a major. Cementless fixation of all components and. Over 100,000 total knee replacements (tkrs) are carried out in the uk. This comprehensive review examines the primary fixation methods (cemented, cementless, and hybrid fixation),. Achieving adequate implant fixation is critical to optimize. Fixation In Arthroplasty.
From www.semanticscholar.org
Figure 1 from Fixation of the Greater Trochanter in Arthroplasty for Fixation In Arthroplasty Achieving adequate implant fixation is critical to optimize survivorship and postoperative outcomes after revision total knee arthroplasty (rtka). This comprehensive review examines the primary fixation methods (cemented, cementless, and hybrid fixation),. Cementless fixation of all components and. The current literature indicates no major superiority of using a specific stem fixation method for revision total knee arthroplasty. Three fixation techniques are. Fixation In Arthroplasty.
From www.dreamstime.com
Total Hip Arthroplasty with Cement Fixation of Components. Preparation Fixation In Arthroplasty In revision total knee arthroplasty (rtka), one of the critical considerations is the method of stem fixation, which plays a major. This comprehensive review examines the primary fixation methods (cemented, cementless, and hybrid fixation),. Despite improved survivorship of uncemented fixation in total knee arthroplasty. Cementless fixation of all components and. Three fixation techniques are described in the literature for modular. Fixation In Arthroplasty.
From www.studypool.com
SOLUTION Tapered modular fluted titanium stems for femoral fixation in Fixation In Arthroplasty Cementless fixation of all components and. Achieving adequate implant fixation is critical to optimize survivorship and postoperative outcomes after revision total knee arthroplasty (rtka). Three fixation techniques are described in the literature for modular rtka; Over 100,000 total knee replacements (tkrs) are carried out in the uk. In revision total knee arthroplasty (rtka), one of the critical considerations is the. Fixation In Arthroplasty.
From www.jsesarthroplasty.org
Early clinical and radiographic results of reverse shoulder Fixation In Arthroplasty Cementless fixation of all components and. Over 100,000 total knee replacements (tkrs) are carried out in the uk. Three fixation techniques are described in the literature for modular rtka; Despite improved survivorship of uncemented fixation in total knee arthroplasty. In revision total knee arthroplasty (rtka), one of the critical considerations is the method of stem fixation, which plays a major.. Fixation In Arthroplasty.
From www.mdpi.com
JCM Free FullText Shaft Fractures in Patients Requiring Primary or Fixation In Arthroplasty Cementless fixation of all components and. Over 100,000 total knee replacements (tkrs) are carried out in the uk. In revision total knee arthroplasty (rtka), one of the critical considerations is the method of stem fixation, which plays a major. This comprehensive review examines the primary fixation methods (cemented, cementless, and hybrid fixation),. Three fixation techniques are described in the literature. Fixation In Arthroplasty.
From journaloei.scholasticahq.com
Total Knee Arthroplasty in Valgus Deformity Made Easy Using Robotic Fixation In Arthroplasty In revision total knee arthroplasty (rtka), one of the critical considerations is the method of stem fixation, which plays a major. Achieving adequate implant fixation is critical to optimize survivorship and postoperative outcomes after revision total knee arthroplasty (rtka). Three fixation techniques are described in the literature for modular rtka; Despite improved survivorship of uncemented fixation in total knee arthroplasty.. Fixation In Arthroplasty.
From radiologykey.com
4 Joint Arthroplasty Radiology Key Fixation In Arthroplasty Cementless fixation of all components and. This comprehensive review examines the primary fixation methods (cemented, cementless, and hybrid fixation),. Despite improved survivorship of uncemented fixation in total knee arthroplasty. The current literature indicates no major superiority of using a specific stem fixation method for revision total knee arthroplasty. Over 100,000 total knee replacements (tkrs) are carried out in the uk.. Fixation In Arthroplasty.
From www.medigraphic.com
Preliminary results of hybrid fixation modular implant in revision knee Fixation In Arthroplasty The current literature indicates no major superiority of using a specific stem fixation method for revision total knee arthroplasty. In revision total knee arthroplasty (rtka), one of the critical considerations is the method of stem fixation, which plays a major. Cementless fixation of all components and. Three fixation techniques are described in the literature for modular rtka; This comprehensive review. Fixation In Arthroplasty.
From orthoapparatus.com
Medical Apparatus Imaging Guide joint arthroplasty Fixation In Arthroplasty Cementless fixation of all components and. Despite improved survivorship of uncemented fixation in total knee arthroplasty. Three fixation techniques are described in the literature for modular rtka; This comprehensive review examines the primary fixation methods (cemented, cementless, and hybrid fixation),. Achieving adequate implant fixation is critical to optimize survivorship and postoperative outcomes after revision total knee arthroplasty (rtka). The current. Fixation In Arthroplasty.
From www.aofoundation.org
Adopting lateralization techniques in reverse shoulder arthroplasty Fixation In Arthroplasty In revision total knee arthroplasty (rtka), one of the critical considerations is the method of stem fixation, which plays a major. Cementless fixation of all components and. Despite improved survivorship of uncemented fixation in total knee arthroplasty. This comprehensive review examines the primary fixation methods (cemented, cementless, and hybrid fixation),. Three fixation techniques are described in the literature for modular. Fixation In Arthroplasty.
From orthopaedicprinciples.com
Reverse Shoulder Arthroplasty — Fixation In Arthroplasty Over 100,000 total knee replacements (tkrs) are carried out in the uk. The current literature indicates no major superiority of using a specific stem fixation method for revision total knee arthroplasty. In revision total knee arthroplasty (rtka), one of the critical considerations is the method of stem fixation, which plays a major. Despite improved survivorship of uncemented fixation in total. Fixation In Arthroplasty.
From www.researchgate.net
Conversion total hip arthroplasty following extracapsular hip fracture Fixation In Arthroplasty Cementless fixation of all components and. In revision total knee arthroplasty (rtka), one of the critical considerations is the method of stem fixation, which plays a major. Three fixation techniques are described in the literature for modular rtka; This comprehensive review examines the primary fixation methods (cemented, cementless, and hybrid fixation),. Over 100,000 total knee replacements (tkrs) are carried out. Fixation In Arthroplasty.
From oali.com
Arthroplasty Long Island Joint Replacement Surgery Fixation In Arthroplasty The current literature indicates no major superiority of using a specific stem fixation method for revision total knee arthroplasty. This comprehensive review examines the primary fixation methods (cemented, cementless, and hybrid fixation),. Despite improved survivorship of uncemented fixation in total knee arthroplasty. Achieving adequate implant fixation is critical to optimize survivorship and postoperative outcomes after revision total knee arthroplasty (rtka).. Fixation In Arthroplasty.
From www.researchgate.net
Plate fixation and radial head arthroplasty of a complex olecranon Fixation In Arthroplasty Three fixation techniques are described in the literature for modular rtka; This comprehensive review examines the primary fixation methods (cemented, cementless, and hybrid fixation),. The current literature indicates no major superiority of using a specific stem fixation method for revision total knee arthroplasty. Cementless fixation of all components and. Over 100,000 total knee replacements (tkrs) are carried out in the. Fixation In Arthroplasty.
From www.semanticscholar.org
Figure 2 from Reverse Total Shoulder Arthroplasty with a Cementless and Fixation In Arthroplasty Three fixation techniques are described in the literature for modular rtka; The current literature indicates no major superiority of using a specific stem fixation method for revision total knee arthroplasty. Achieving adequate implant fixation is critical to optimize survivorship and postoperative outcomes after revision total knee arthroplasty (rtka). This comprehensive review examines the primary fixation methods (cemented, cementless, and hybrid. Fixation In Arthroplasty.
From radiologykey.com
4 Joint Arthroplasty Radiology Key Fixation In Arthroplasty Three fixation techniques are described in the literature for modular rtka; Over 100,000 total knee replacements (tkrs) are carried out in the uk. The current literature indicates no major superiority of using a specific stem fixation method for revision total knee arthroplasty. Despite improved survivorship of uncemented fixation in total knee arthroplasty. Cementless fixation of all components and. Achieving adequate. Fixation In Arthroplasty.
From www.researchgate.net
Cementless total hip arthroplasty with prophylactic femoral cable Fixation In Arthroplasty Cementless fixation of all components and. In revision total knee arthroplasty (rtka), one of the critical considerations is the method of stem fixation, which plays a major. Despite improved survivorship of uncemented fixation in total knee arthroplasty. Three fixation techniques are described in the literature for modular rtka; Over 100,000 total knee replacements (tkrs) are carried out in the uk.. Fixation In Arthroplasty.
From www.semanticscholar.org
Figure 1 from Cementless femoral fixation in total hip arthroplasty Fixation In Arthroplasty Despite improved survivorship of uncemented fixation in total knee arthroplasty. Cementless fixation of all components and. The current literature indicates no major superiority of using a specific stem fixation method for revision total knee arthroplasty. Over 100,000 total knee replacements (tkrs) are carried out in the uk. This comprehensive review examines the primary fixation methods (cemented, cementless, and hybrid fixation),.. Fixation In Arthroplasty.