Sport Pour Fractures . La natation, même la brasse dont on dit trop de mal sur son action sur la courbure lombaire. Le sport du dos par excellence : Return to sport is an important goal in treatment of ankle fractures in a sporting population. We present and review the current evidence directing management of fractures in athletes with an aim to promote valid. Patients typically present with a progressive onset of pain with weightbearing activity over a. Tibia fractures are complicated injuries, typically requiring many months of recovery before a return to sports; Open reduction and internal fixation,. It is usually caused by trauma, osteoporosis, and overuse. To compare outcomes after open fracture in nfl players in terms of (1) time to return to sport (rts), (2) postinjury career. A fracture is a break or crack in the bone. Fractures caused by overuse or repetitive motion. History, physical examination, and imaging.
from www.jumia.sn
La natation, même la brasse dont on dit trop de mal sur son action sur la courbure lombaire. Open reduction and internal fixation,. Return to sport is an important goal in treatment of ankle fractures in a sporting population. We present and review the current evidence directing management of fractures in athletes with an aim to promote valid. It is usually caused by trauma, osteoporosis, and overuse. Le sport du dos par excellence : History, physical examination, and imaging. Tibia fractures are complicated injuries, typically requiring many months of recovery before a return to sports; Fractures caused by overuse or repetitive motion. To compare outcomes after open fracture in nfl players in terms of (1) time to return to sport (rts), (2) postinjury career.
Generic Attelle Orthese de pour Fractures et Entorses, Soulager la Douleur
Sport Pour Fractures A fracture is a break or crack in the bone. It is usually caused by trauma, osteoporosis, and overuse. Open reduction and internal fixation,. History, physical examination, and imaging. A fracture is a break or crack in the bone. La natation, même la brasse dont on dit trop de mal sur son action sur la courbure lombaire. Tibia fractures are complicated injuries, typically requiring many months of recovery before a return to sports; We present and review the current evidence directing management of fractures in athletes with an aim to promote valid. Patients typically present with a progressive onset of pain with weightbearing activity over a. To compare outcomes after open fracture in nfl players in terms of (1) time to return to sport (rts), (2) postinjury career. Le sport du dos par excellence : Fractures caused by overuse or repetitive motion. Return to sport is an important goal in treatment of ankle fractures in a sporting population.
From www.hopkinsmedicine.org
Stress Fractures Johns Hopkins Medicine Sport Pour Fractures La natation, même la brasse dont on dit trop de mal sur son action sur la courbure lombaire. History, physical examination, and imaging. Le sport du dos par excellence : We present and review the current evidence directing management of fractures in athletes with an aim to promote valid. Tibia fractures are complicated injuries, typically requiring many months of recovery. Sport Pour Fractures.
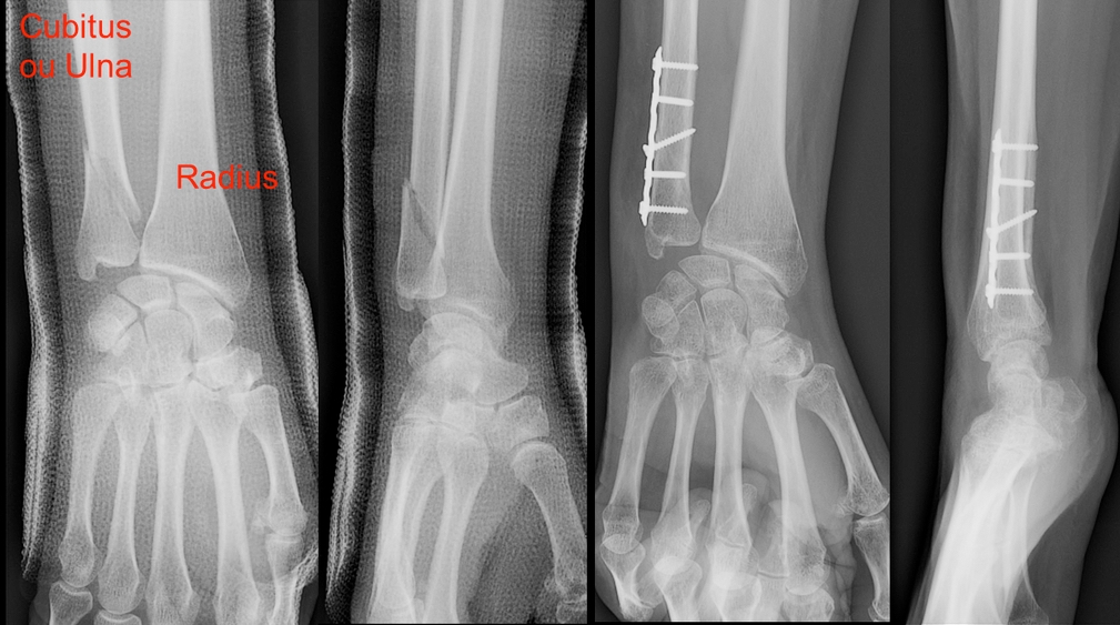
From denis-gerlac-masseur-kinesitherapeute.fr
Rééducation après fracture métacarpien doigt long Denis GERLAC Rééducation et Orthèse de la Sport Pour Fractures Open reduction and internal fixation,. La natation, même la brasse dont on dit trop de mal sur son action sur la courbure lombaire. To compare outcomes after open fracture in nfl players in terms of (1) time to return to sport (rts), (2) postinjury career. We present and review the current evidence directing management of fractures in athletes with an. Sport Pour Fractures.
From www.amazon.fr
PHASFBJ Botte Attelle pour Fracture Cheville Pied, Attelle Fasciite Plantaire Botte de Marche Sport Pour Fractures Tibia fractures are complicated injuries, typically requiring many months of recovery before a return to sports; Patients typically present with a progressive onset of pain with weightbearing activity over a. Open reduction and internal fixation,. To compare outcomes after open fracture in nfl players in terms of (1) time to return to sport (rts), (2) postinjury career. Return to sport. Sport Pour Fractures.
From ottawafootclinic.com
Sport Injuries Ottawa Foot Clinic Sport Pour Fractures History, physical examination, and imaging. It is usually caused by trauma, osteoporosis, and overuse. A fracture is a break or crack in the bone. Patients typically present with a progressive onset of pain with weightbearing activity over a. Tibia fractures are complicated injuries, typically requiring many months of recovery before a return to sports; Le sport du dos par excellence. Sport Pour Fractures.
From www.eliteorthopaedic.com
Bone Fractures Symptoms, Treatment, and More! Elite Sports Medicine + Orthopedics Orthopedics Sport Pour Fractures Return to sport is an important goal in treatment of ankle fractures in a sporting population. Fractures caused by overuse or repetitive motion. Tibia fractures are complicated injuries, typically requiring many months of recovery before a return to sports; We present and review the current evidence directing management of fractures in athletes with an aim to promote valid. History, physical. Sport Pour Fractures.
From alphaonephysio.ca
Preventing Sports Fractures Simple Tips for Safety Sport Pour Fractures Patients typically present with a progressive onset of pain with weightbearing activity over a. It is usually caused by trauma, osteoporosis, and overuse. Fractures caused by overuse or repetitive motion. La natation, même la brasse dont on dit trop de mal sur son action sur la courbure lombaire. A fracture is a break or crack in the bone. Tibia fractures. Sport Pour Fractures.
From www.indigohealth.com
Difference between a fracture and a break Sport Pour Fractures To compare outcomes after open fracture in nfl players in terms of (1) time to return to sport (rts), (2) postinjury career. Open reduction and internal fixation,. Return to sport is an important goal in treatment of ankle fractures in a sporting population. La natation, même la brasse dont on dit trop de mal sur son action sur la courbure. Sport Pour Fractures.
From express.adobe.com
Prévention pour éviter une double fracture tibiapéroné Sport Pour Fractures To compare outcomes after open fracture in nfl players in terms of (1) time to return to sport (rts), (2) postinjury career. Le sport du dos par excellence : Fractures caused by overuse or repetitive motion. We present and review the current evidence directing management of fractures in athletes with an aim to promote valid. It is usually caused by. Sport Pour Fractures.
From desconseilspratiques.com
Fracture de la cheville des exercices de souplesse (niv 1 débutant) Des conseils pratiques... Sport Pour Fractures Le sport du dos par excellence : It is usually caused by trauma, osteoporosis, and overuse. Tibia fractures are complicated injuries, typically requiring many months of recovery before a return to sports; Patients typically present with a progressive onset of pain with weightbearing activity over a. Return to sport is an important goal in treatment of ankle fractures in a. Sport Pour Fractures.
From www.bluetens.com
5 conseils pour bien reprendre le sport après une fracture Bluetens Sport Pour Fractures It is usually caused by trauma, osteoporosis, and overuse. We present and review the current evidence directing management of fractures in athletes with an aim to promote valid. To compare outcomes after open fracture in nfl players in terms of (1) time to return to sport (rts), (2) postinjury career. A fracture is a break or crack in the bone.. Sport Pour Fractures.
From lportho.com
Types of Fractures Lake Pointe Orthopaedics & Sports Medicine Sport Pour Fractures Return to sport is an important goal in treatment of ankle fractures in a sporting population. Open reduction and internal fixation,. To compare outcomes after open fracture in nfl players in terms of (1) time to return to sport (rts), (2) postinjury career. La natation, même la brasse dont on dit trop de mal sur son action sur la courbure. Sport Pour Fractures.
From www.skradiology.co.za
Sport Fractures XRay Services at SK Radiology SK Radiology Sport Pour Fractures Fractures caused by overuse or repetitive motion. Patients typically present with a progressive onset of pain with weightbearing activity over a. La natation, même la brasse dont on dit trop de mal sur son action sur la courbure lombaire. We present and review the current evidence directing management of fractures in athletes with an aim to promote valid. Le sport. Sport Pour Fractures.
From www.chumontreal.qc.ca
Fracture de la hanche Exercices à faire après l'opération Sport Pour Fractures La natation, même la brasse dont on dit trop de mal sur son action sur la courbure lombaire. Fractures caused by overuse or repetitive motion. To compare outcomes after open fracture in nfl players in terms of (1) time to return to sport (rts), (2) postinjury career. It is usually caused by trauma, osteoporosis, and overuse. Patients typically present with. Sport Pour Fractures.
From movementortho.com
Common Bone Fractures in Sports Sport Pour Fractures Fractures caused by overuse or repetitive motion. Open reduction and internal fixation,. History, physical examination, and imaging. It is usually caused by trauma, osteoporosis, and overuse. A fracture is a break or crack in the bone. Tibia fractures are complicated injuries, typically requiring many months of recovery before a return to sports; To compare outcomes after open fracture in nfl. Sport Pour Fractures.
From sircsportresearch.blogspot.com
Sport Information Resource Centre (SIRC) Les fractures de stress Sport Pour Fractures We present and review the current evidence directing management of fractures in athletes with an aim to promote valid. Open reduction and internal fixation,. Tibia fractures are complicated injuries, typically requiring many months of recovery before a return to sports; To compare outcomes after open fracture in nfl players in terms of (1) time to return to sport (rts), (2). Sport Pour Fractures.
From exohadhxv.blob.core.windows.net
Reprise Sport Apres Fracture Rotule at Christopher Lemmon blog Sport Pour Fractures Fractures caused by overuse or repetitive motion. History, physical examination, and imaging. Tibia fractures are complicated injuries, typically requiring many months of recovery before a return to sports; Return to sport is an important goal in treatment of ankle fractures in a sporting population. We present and review the current evidence directing management of fractures in athletes with an aim. Sport Pour Fractures.
From www.docteur-remi.fr
FRACTURE Dr Rémi chirurgien orthopédiste à Toulouse Sport Pour Fractures We present and review the current evidence directing management of fractures in athletes with an aim to promote valid. La natation, même la brasse dont on dit trop de mal sur son action sur la courbure lombaire. It is usually caused by trauma, osteoporosis, and overuse. Le sport du dos par excellence : To compare outcomes after open fracture in. Sport Pour Fractures.
From www.jumia.sn
Generic Attelle Orthese de pour Fractures et Entorses, Soulager la Douleur Sport Pour Fractures To compare outcomes after open fracture in nfl players in terms of (1) time to return to sport (rts), (2) postinjury career. A fracture is a break or crack in the bone. Patients typically present with a progressive onset of pain with weightbearing activity over a. We present and review the current evidence directing management of fractures in athletes with. Sport Pour Fractures.
From www.sportsinjurybulletin.com
Sports Injury Bulletin Anatomy Fractures of the Proximal 5th Metatarsal in Athletes Sport Pour Fractures A fracture is a break or crack in the bone. It is usually caused by trauma, osteoporosis, and overuse. La natation, même la brasse dont on dit trop de mal sur son action sur la courbure lombaire. Return to sport is an important goal in treatment of ankle fractures in a sporting population. Patients typically present with a progressive onset. Sport Pour Fractures.
From www.melbournepodiatristsandorthotics.com.au
Stress Fractures Sports Podiatry Melbourne Podiatrists & Orthotics Sport Pour Fractures Fractures caused by overuse or repetitive motion. Le sport du dos par excellence : It is usually caused by trauma, osteoporosis, and overuse. History, physical examination, and imaging. La natation, même la brasse dont on dit trop de mal sur son action sur la courbure lombaire. To compare outcomes after open fracture in nfl players in terms of (1) time. Sport Pour Fractures.
From www.weltbild.ch
Fractures in Sport Buch versandkostenfrei bei Weltbild.ch bestellen Sport Pour Fractures History, physical examination, and imaging. Open reduction and internal fixation,. Tibia fractures are complicated injuries, typically requiring many months of recovery before a return to sports; Patients typically present with a progressive onset of pain with weightbearing activity over a. It is usually caused by trauma, osteoporosis, and overuse. We present and review the current evidence directing management of fractures. Sport Pour Fractures.
From www.dreamstime.com
Common Sport Injuries Flat Round Infographic Elements Chart with Head Contusion Shoulder Bruise Sport Pour Fractures Open reduction and internal fixation,. Fractures caused by overuse or repetitive motion. A fracture is a break or crack in the bone. Patients typically present with a progressive onset of pain with weightbearing activity over a. Le sport du dos par excellence : Tibia fractures are complicated injuries, typically requiring many months of recovery before a return to sports; History,. Sport Pour Fractures.
From carea-sport.com
Fracture Sport Pour Fractures To compare outcomes after open fracture in nfl players in terms of (1) time to return to sport (rts), (2) postinjury career. Patients typically present with a progressive onset of pain with weightbearing activity over a. It is usually caused by trauma, osteoporosis, and overuse. A fracture is a break or crack in the bone. Return to sport is an. Sport Pour Fractures.
From sportruns.com
Mastering Your Stride Practical Tips for Preventing Stress Fractures Sport Pour Fractures History, physical examination, and imaging. Patients typically present with a progressive onset of pain with weightbearing activity over a. Le sport du dos par excellence : Fractures caused by overuse or repetitive motion. We present and review the current evidence directing management of fractures in athletes with an aim to promote valid. A fracture is a break or crack in. Sport Pour Fractures.
From sportsinortho.com
Hip Fractures SportsIn Orthopaedic Clinic Dr Bernard Lee Sport Pour Fractures A fracture is a break or crack in the bone. Fractures caused by overuse or repetitive motion. Open reduction and internal fixation,. Return to sport is an important goal in treatment of ankle fractures in a sporting population. We present and review the current evidence directing management of fractures in athletes with an aim to promote valid. It is usually. Sport Pour Fractures.
From www.scientificanimations.com
Fractures Types, Symptoms, Causes and Treatment Scientific Animations Sport Pour Fractures History, physical examination, and imaging. La natation, même la brasse dont on dit trop de mal sur son action sur la courbure lombaire. Return to sport is an important goal in treatment of ankle fractures in a sporting population. Patients typically present with a progressive onset of pain with weightbearing activity over a. It is usually caused by trauma, osteoporosis,. Sport Pour Fractures.
From pdfslide.net
(PPT) LES ACCIDENTS DE SPORT Service formation sport OSSEUX ARTICULAIRE TENDINEUX MUSCULAIRE Sport Pour Fractures Tibia fractures are complicated injuries, typically requiring many months of recovery before a return to sports; A fracture is a break or crack in the bone. La natation, même la brasse dont on dit trop de mal sur son action sur la courbure lombaire. Open reduction and internal fixation,. Return to sport is an important goal in treatment of ankle. Sport Pour Fractures.
From www.jrphysiotherapy.com
Returning to sport following a fracture ¦ Cardiff Physio Sport Pour Fractures We present and review the current evidence directing management of fractures in athletes with an aim to promote valid. La natation, même la brasse dont on dit trop de mal sur son action sur la courbure lombaire. History, physical examination, and imaging. Tibia fractures are complicated injuries, typically requiring many months of recovery before a return to sports; Open reduction. Sport Pour Fractures.
From www.youtube.com
Stress fractures Risk of sport specialization in running at a young age YouTube Sport Pour Fractures La natation, même la brasse dont on dit trop de mal sur son action sur la courbure lombaire. Tibia fractures are complicated injuries, typically requiring many months of recovery before a return to sports; It is usually caused by trauma, osteoporosis, and overuse. Le sport du dos par excellence : Patients typically present with a progressive onset of pain with. Sport Pour Fractures.
From www.youtube.com
Tibial Plateau Fracture Management YouTube Sport Pour Fractures Patients typically present with a progressive onset of pain with weightbearing activity over a. La natation, même la brasse dont on dit trop de mal sur son action sur la courbure lombaire. Return to sport is an important goal in treatment of ankle fractures in a sporting population. We present and review the current evidence directing management of fractures in. Sport Pour Fractures.
From nyfracture.com
Fractures in athletes (sports fractures) New York Fracture Care Sport Pour Fractures Return to sport is an important goal in treatment of ankle fractures in a sporting population. To compare outcomes after open fracture in nfl players in terms of (1) time to return to sport (rts), (2) postinjury career. La natation, même la brasse dont on dit trop de mal sur son action sur la courbure lombaire. We present and review. Sport Pour Fractures.
From www.institut-kinesitherapie.paris
Tout savoir sur la fracture de la tête radiale Institut de kinésithérapie Sport Pour Fractures La natation, même la brasse dont on dit trop de mal sur son action sur la courbure lombaire. To compare outcomes after open fracture in nfl players in terms of (1) time to return to sport (rts), (2) postinjury career. Return to sport is an important goal in treatment of ankle fractures in a sporting population. A fracture is a. Sport Pour Fractures.
From mosportsmed.com
The difference between a hairline fracture and a sprain Missouri Orthopedics & Advanced Sports Sport Pour Fractures Open reduction and internal fixation,. History, physical examination, and imaging. Le sport du dos par excellence : Fractures caused by overuse or repetitive motion. Tibia fractures are complicated injuries, typically requiring many months of recovery before a return to sports; To compare outcomes after open fracture in nfl players in terms of (1) time to return to sport (rts), (2). Sport Pour Fractures.
From www.medisite.fr
Fracture du pied ou entorse la différence Sport Pour Fractures Tibia fractures are complicated injuries, typically requiring many months of recovery before a return to sports; Open reduction and internal fixation,. Patients typically present with a progressive onset of pain with weightbearing activity over a. Le sport du dos par excellence : We present and review the current evidence directing management of fractures in athletes with an aim to promote. Sport Pour Fractures.
From sante.vip
Thérapie physique pour une fracture de la cheville Sport Pour Fractures Patients typically present with a progressive onset of pain with weightbearing activity over a. Tibia fractures are complicated injuries, typically requiring many months of recovery before a return to sports; History, physical examination, and imaging. Open reduction and internal fixation,. To compare outcomes after open fracture in nfl players in terms of (1) time to return to sport (rts), (2). Sport Pour Fractures.