Fractura Hueso Quinto Metatarsiano . Un tipo común de fractura en la parte del quinto hueso metatarsiano que está más cerca de la base se llama fractura de jones. El quinto hueso metatarsiano es el que mayormente se fractura por alguna causa repentina (lesión ó golpe). Su estructura anatómica se divide en: El quinto metatarsiano está ubicado en la parte externa de nuestro pie, se trata del hueso que se conecta con el dedo meñique, una zona delicada que puede fracturarse. Fracturas de la base del quinto metatarsiano. Este hueso puede fracturarse en varios puntos a lo largo de su. La fractura del quinto metatarsiano es una fractura muy habitual en la población que en la mayoría de las ocasiones se repara sin dejar ningún problema secundario. Esta fractura, ubicada en el hueso del pie que. La fractura del quinto metatarsiano es una lesión común en deportistas y personas activas. Las fracturas de la base suelen denominarse como fractura de seudo jones o de la bailarina. El quinto metatarsiano es el hueso que sufre fractura con mayor frecuencia.
from laopinion.com
El quinto hueso metatarsiano es el que mayormente se fractura por alguna causa repentina (lesión ó golpe). Este hueso puede fracturarse en varios puntos a lo largo de su. El quinto metatarsiano es el hueso que sufre fractura con mayor frecuencia. Su estructura anatómica se divide en: Fracturas de la base del quinto metatarsiano. La fractura del quinto metatarsiano es una lesión común en deportistas y personas activas. La fractura del quinto metatarsiano es una fractura muy habitual en la población que en la mayoría de las ocasiones se repara sin dejar ningún problema secundario. Las fracturas de la base suelen denominarse como fractura de seudo jones o de la bailarina. Un tipo común de fractura en la parte del quinto hueso metatarsiano que está más cerca de la base se llama fractura de jones. Esta fractura, ubicada en el hueso del pie que.
Fractura del quinto metatarsiano ¿Qué es y cómo tratarla? La Opinión
Fractura Hueso Quinto Metatarsiano El quinto hueso metatarsiano es el que mayormente se fractura por alguna causa repentina (lesión ó golpe). La fractura del quinto metatarsiano es una lesión común en deportistas y personas activas. Un tipo común de fractura en la parte del quinto hueso metatarsiano que está más cerca de la base se llama fractura de jones. Fracturas de la base del quinto metatarsiano. El quinto metatarsiano es el hueso que sufre fractura con mayor frecuencia. El quinto metatarsiano está ubicado en la parte externa de nuestro pie, se trata del hueso que se conecta con el dedo meñique, una zona delicada que puede fracturarse. Este hueso puede fracturarse en varios puntos a lo largo de su. Su estructura anatómica se divide en: La fractura del quinto metatarsiano es una fractura muy habitual en la población que en la mayoría de las ocasiones se repara sin dejar ningún problema secundario. El quinto hueso metatarsiano es el que mayormente se fractura por alguna causa repentina (lesión ó golpe). Esta fractura, ubicada en el hueso del pie que. Las fracturas de la base suelen denominarse como fractura de seudo jones o de la bailarina.
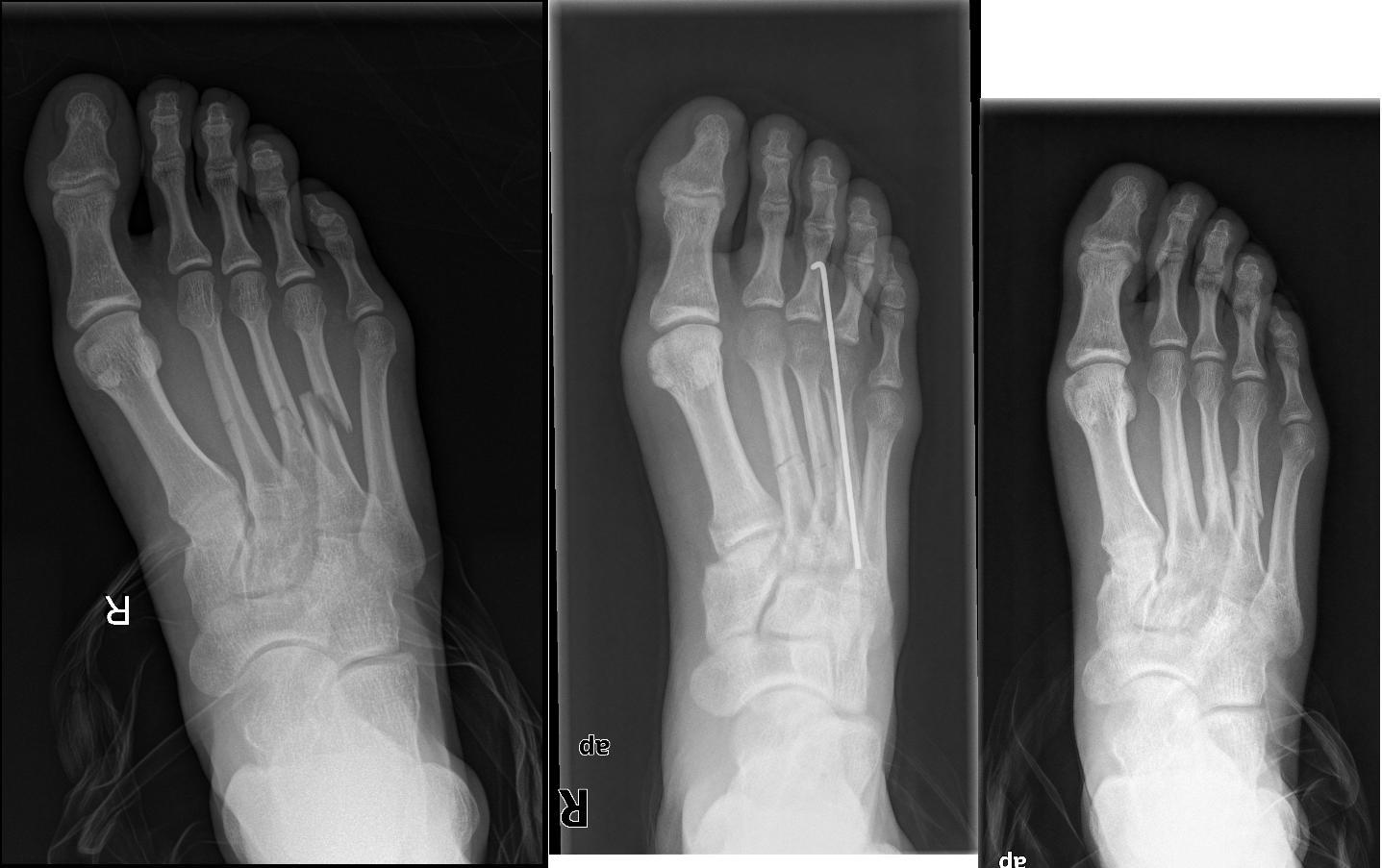
From enfoqueradiologico.blogspot.com
Enfoque Radiologico Fracturas del Quinto Metatarsiano Fractura Hueso Quinto Metatarsiano La fractura del quinto metatarsiano es una fractura muy habitual en la población que en la mayoría de las ocasiones se repara sin dejar ningún problema secundario. Esta fractura, ubicada en el hueso del pie que. El quinto metatarsiano está ubicado en la parte externa de nuestro pie, se trata del hueso que se conecta con el dedo meñique, una. Fractura Hueso Quinto Metatarsiano.
From blog.herbitas.com
FRACTURAS EN LOS METATARSIANOS POR SOBRECARGA Blog Laboratorios Herbitas Fractura Hueso Quinto Metatarsiano Un tipo común de fractura en la parte del quinto hueso metatarsiano que está más cerca de la base se llama fractura de jones. Esta fractura, ubicada en el hueso del pie que. Este hueso puede fracturarse en varios puntos a lo largo de su. El quinto metatarsiano está ubicado en la parte externa de nuestro pie, se trata del. Fractura Hueso Quinto Metatarsiano.
From es.dreamstime.com
Radiografía Del Pie Fractura Del 5to Hueso Metatarsiano Foto de archivo Fractura Hueso Quinto Metatarsiano Su estructura anatómica se divide en: El quinto metatarsiano es el hueso que sufre fractura con mayor frecuencia. Esta fractura, ubicada en el hueso del pie que. Fracturas de la base del quinto metatarsiano. La fractura del quinto metatarsiano es una fractura muy habitual en la población que en la mayoría de las ocasiones se repara sin dejar ningún problema. Fractura Hueso Quinto Metatarsiano.
From blog.jaleko.com.br
Fratura do 5º Metatarsal / Blog Jaleko Fractura Hueso Quinto Metatarsiano La fractura del quinto metatarsiano es una lesión común en deportistas y personas activas. La fractura del quinto metatarsiano es una fractura muy habitual en la población que en la mayoría de las ocasiones se repara sin dejar ningún problema secundario. El quinto metatarsiano es el hueso que sufre fractura con mayor frecuencia. El quinto metatarsiano está ubicado en la. Fractura Hueso Quinto Metatarsiano.
From www.alamy.es
Radiografía del pie que muestra una fractura del quinto metatarso Fractura Hueso Quinto Metatarsiano La fractura del quinto metatarsiano es una fractura muy habitual en la población que en la mayoría de las ocasiones se repara sin dejar ningún problema secundario. Fracturas de la base del quinto metatarsiano. El quinto hueso metatarsiano es el que mayormente se fractura por alguna causa repentina (lesión ó golpe). La fractura del quinto metatarsiano es una lesión común. Fractura Hueso Quinto Metatarsiano.
From blog.drgermanpace.com
Blog del Dr Germán Pace Traumatologo especialista en cirugía de Pie Fractura Hueso Quinto Metatarsiano El quinto metatarsiano está ubicado en la parte externa de nuestro pie, se trata del hueso que se conecta con el dedo meñique, una zona delicada que puede fracturarse. Un tipo común de fractura en la parte del quinto hueso metatarsiano que está más cerca de la base se llama fractura de jones. El quinto metatarsiano es el hueso que. Fractura Hueso Quinto Metatarsiano.
From fisanamadrid.es
Fracturas de Tobillo y Pie Maléolos, Pilón tibial, Tarso, Metatarso y Fractura Hueso Quinto Metatarsiano Su estructura anatómica se divide en: El quinto hueso metatarsiano es el que mayormente se fractura por alguna causa repentina (lesión ó golpe). Este hueso puede fracturarse en varios puntos a lo largo de su. El quinto metatarsiano es el hueso que sufre fractura con mayor frecuencia. Un tipo común de fractura en la parte del quinto hueso metatarsiano que. Fractura Hueso Quinto Metatarsiano.
From bckintape.com
Kinesiotaping Fractura 5º Metatarsiano BC KinTape Fractura Hueso Quinto Metatarsiano Su estructura anatómica se divide en: Fracturas de la base del quinto metatarsiano. Un tipo común de fractura en la parte del quinto hueso metatarsiano que está más cerca de la base se llama fractura de jones. La fractura del quinto metatarsiano es una fractura muy habitual en la población que en la mayoría de las ocasiones se repara sin. Fractura Hueso Quinto Metatarsiano.
From www.kynet.com.ar
Medicina del Deporte Fractura Hueso Quinto Metatarsiano Esta fractura, ubicada en el hueso del pie que. Fracturas de la base del quinto metatarsiano. El quinto metatarsiano está ubicado en la parte externa de nuestro pie, se trata del hueso que se conecta con el dedo meñique, una zona delicada que puede fracturarse. Su estructura anatómica se divide en: Este hueso puede fracturarse en varios puntos a lo. Fractura Hueso Quinto Metatarsiano.
From www.sendagrup.com
Fractura de la Base del Quinto Metatarsiano o Fractura de Jones Sendagrup Fractura Hueso Quinto Metatarsiano Un tipo común de fractura en la parte del quinto hueso metatarsiano que está más cerca de la base se llama fractura de jones. La fractura del quinto metatarsiano es una fractura muy habitual en la población que en la mayoría de las ocasiones se repara sin dejar ningún problema secundario. El quinto metatarsiano está ubicado en la parte externa. Fractura Hueso Quinto Metatarsiano.
From www.youtube.com
Fractura de huesos metatarsianos del pie. YouTube Fractura Hueso Quinto Metatarsiano El quinto metatarsiano está ubicado en la parte externa de nuestro pie, se trata del hueso que se conecta con el dedo meñique, una zona delicada que puede fracturarse. Las fracturas de la base suelen denominarse como fractura de seudo jones o de la bailarina. El quinto metatarsiano es el hueso que sufre fractura con mayor frecuencia. Esta fractura, ubicada. Fractura Hueso Quinto Metatarsiano.
From es.dreamstime.com
Fracturas Del 5to Metatarso Ilustración del Vector Ilustración de Fractura Hueso Quinto Metatarsiano El quinto hueso metatarsiano es el que mayormente se fractura por alguna causa repentina (lesión ó golpe). Este hueso puede fracturarse en varios puntos a lo largo de su. La fractura del quinto metatarsiano es una fractura muy habitual en la población que en la mayoría de las ocasiones se repara sin dejar ningún problema secundario. Un tipo común de. Fractura Hueso Quinto Metatarsiano.
From cuidateplus.marca.com
Tengo una fractura del quinto metatarsiano, ¿qué hago? Fractura Hueso Quinto Metatarsiano La fractura del quinto metatarsiano es una lesión común en deportistas y personas activas. Un tipo común de fractura en la parte del quinto hueso metatarsiano que está más cerca de la base se llama fractura de jones. El quinto metatarsiano es el hueso que sufre fractura con mayor frecuencia. Fracturas de la base del quinto metatarsiano. El quinto metatarsiano. Fractura Hueso Quinto Metatarsiano.
From traumatologiadeportivainfantil.blogspot.com
Traumatología Deportiva Infantil FRACTURAS DEL QUINTO METATARSIANO EN Fractura Hueso Quinto Metatarsiano Su estructura anatómica se divide en: Este hueso puede fracturarse en varios puntos a lo largo de su. La fractura del quinto metatarsiano es una fractura muy habitual en la población que en la mayoría de las ocasiones se repara sin dejar ningún problema secundario. El quinto hueso metatarsiano es el que mayormente se fractura por alguna causa repentina (lesión. Fractura Hueso Quinto Metatarsiano.
From es.dreamstime.com
Radiografía Del Pie Fractura Del 5to Hueso Metatarsiano Marker Imagen Fractura Hueso Quinto Metatarsiano Este hueso puede fracturarse en varios puntos a lo largo de su. Su estructura anatómica se divide en: Las fracturas de la base suelen denominarse como fractura de seudo jones o de la bailarina. La fractura del quinto metatarsiano es una fractura muy habitual en la población que en la mayoría de las ocasiones se repara sin dejar ningún problema. Fractura Hueso Quinto Metatarsiano.
From sportconsultmd.blogspot.com
SportConsult MD Fractura proximal del 5to metatarsiano. La lesión de Fractura Hueso Quinto Metatarsiano La fractura del quinto metatarsiano es una fractura muy habitual en la población que en la mayoría de las ocasiones se repara sin dejar ningún problema secundario. Un tipo común de fractura en la parte del quinto hueso metatarsiano que está más cerca de la base se llama fractura de jones. La fractura del quinto metatarsiano es una lesión común. Fractura Hueso Quinto Metatarsiano.
From www.tafadycursos.com
La Fractura Fractura de los dedos del pie y el metatarso Patologías Fractura Hueso Quinto Metatarsiano El quinto hueso metatarsiano es el que mayormente se fractura por alguna causa repentina (lesión ó golpe). La fractura del quinto metatarsiano es una fractura muy habitual en la población que en la mayoría de las ocasiones se repara sin dejar ningún problema secundario. Fracturas de la base del quinto metatarsiano. Su estructura anatómica se divide en: La fractura del. Fractura Hueso Quinto Metatarsiano.
From laopinion.com
Fractura del quinto metatarsiano ¿Qué es y cómo tratarla? La Opinión Fractura Hueso Quinto Metatarsiano Un tipo común de fractura en la parte del quinto hueso metatarsiano que está más cerca de la base se llama fractura de jones. La fractura del quinto metatarsiano es una lesión común en deportistas y personas activas. Este hueso puede fracturarse en varios puntos a lo largo de su. El quinto metatarsiano es el hueso que sufre fractura con. Fractura Hueso Quinto Metatarsiano.
From rincondelmusculo.com
FRACTURA DEL QUINTO METATARSIANO Fractura Hueso Quinto Metatarsiano La fractura del quinto metatarsiano es una lesión común en deportistas y personas activas. El quinto metatarsiano está ubicado en la parte externa de nuestro pie, se trata del hueso que se conecta con el dedo meñique, una zona delicada que puede fracturarse. Fracturas de la base del quinto metatarsiano. Su estructura anatómica se divide en: Esta fractura, ubicada en. Fractura Hueso Quinto Metatarsiano.
From blog.herbitas.com
FRACTURAS EN LOS METATARSIANOS POR SOBRECARGA Blog Laboratorios Herbitas Fractura Hueso Quinto Metatarsiano Un tipo común de fractura en la parte del quinto hueso metatarsiano que está más cerca de la base se llama fractura de jones. El quinto metatarsiano está ubicado en la parte externa de nuestro pie, se trata del hueso que se conecta con el dedo meñique, una zona delicada que puede fracturarse. Esta fractura, ubicada en el hueso del. Fractura Hueso Quinto Metatarsiano.
From es.dreamstime.com
Hueso Metatarsiano De La Fractura Del Pie Varón De La Anatomía Fractura Hueso Quinto Metatarsiano Este hueso puede fracturarse en varios puntos a lo largo de su. La fractura del quinto metatarsiano es una fractura muy habitual en la población que en la mayoría de las ocasiones se repara sin dejar ningún problema secundario. El quinto hueso metatarsiano es el que mayormente se fractura por alguna causa repentina (lesión ó golpe). Esta fractura, ubicada en. Fractura Hueso Quinto Metatarsiano.
From drreyesjacome-spine.com
FRACTURA POR ESTRÉS DE LOS METATARSIANOS Cirugia de Columna en Matamoros Fractura Hueso Quinto Metatarsiano Este hueso puede fracturarse en varios puntos a lo largo de su. Un tipo común de fractura en la parte del quinto hueso metatarsiano que está más cerca de la base se llama fractura de jones. El quinto metatarsiano es el hueso que sufre fractura con mayor frecuencia. El quinto hueso metatarsiano es el que mayormente se fractura por alguna. Fractura Hueso Quinto Metatarsiano.
From www.cirugiapie.com
Hueso accesorio del quinto metatarsiano CIRUGIA PIE Y TOBILLODR Fractura Hueso Quinto Metatarsiano El quinto metatarsiano es el hueso que sufre fractura con mayor frecuencia. Las fracturas de la base suelen denominarse como fractura de seudo jones o de la bailarina. Fracturas de la base del quinto metatarsiano. Este hueso puede fracturarse en varios puntos a lo largo de su. El quinto metatarsiano está ubicado en la parte externa de nuestro pie, se. Fractura Hueso Quinto Metatarsiano.
From www.verywellhealth.com
Fifth Metatarsal Bone Fracture Types and Definition Fractura Hueso Quinto Metatarsiano La fractura del quinto metatarsiano es una fractura muy habitual en la población que en la mayoría de las ocasiones se repara sin dejar ningún problema secundario. Esta fractura, ubicada en el hueso del pie que. Su estructura anatómica se divide en: El quinto hueso metatarsiano es el que mayormente se fractura por alguna causa repentina (lesión ó golpe). Un. Fractura Hueso Quinto Metatarsiano.
From www.cirugiapie.com
Opciones de tratamiento de la fractura del quinto metatarsiano Fractura Hueso Quinto Metatarsiano La fractura del quinto metatarsiano es una lesión común en deportistas y personas activas. Este hueso puede fracturarse en varios puntos a lo largo de su. Un tipo común de fractura en la parte del quinto hueso metatarsiano que está más cerca de la base se llama fractura de jones. Las fracturas de la base suelen denominarse como fractura de. Fractura Hueso Quinto Metatarsiano.
From www.freepik.es
Pie de rayos x 5º fase de metatarsiano fractura de hueso pequeño. pie Fractura Hueso Quinto Metatarsiano La fractura del quinto metatarsiano es una lesión común en deportistas y personas activas. Fracturas de la base del quinto metatarsiano. Esta fractura, ubicada en el hueso del pie que. Su estructura anatómica se divide en: El quinto metatarsiano es el hueso que sufre fractura con mayor frecuencia. Un tipo común de fractura en la parte del quinto hueso metatarsiano. Fractura Hueso Quinto Metatarsiano.
From www.youtube.com
FRACTURA DEL 5TO METATARSO CASO CLÍNICO EN MASCULINO DE 37 AÑOS YouTube Fractura Hueso Quinto Metatarsiano Las fracturas de la base suelen denominarse como fractura de seudo jones o de la bailarina. La fractura del quinto metatarsiano es una fractura muy habitual en la población que en la mayoría de las ocasiones se repara sin dejar ningún problema secundario. Fracturas de la base del quinto metatarsiano. La fractura del quinto metatarsiano es una lesión común en. Fractura Hueso Quinto Metatarsiano.
From www.cirugiadetobilloypie.com
fracturadequintometatarsianoenelpie Traumatologo de pie y tobillo Fractura Hueso Quinto Metatarsiano Fracturas de la base del quinto metatarsiano. Este hueso puede fracturarse en varios puntos a lo largo de su. El quinto hueso metatarsiano es el que mayormente se fractura por alguna causa repentina (lesión ó golpe). El quinto metatarsiano está ubicado en la parte externa de nuestro pie, se trata del hueso que se conecta con el dedo meñique, una. Fractura Hueso Quinto Metatarsiano.
From clinicayecla.es
FRACTURAS DEL QUINTO METATARSIANO Clinica Yecla Fractura Hueso Quinto Metatarsiano Un tipo común de fractura en la parte del quinto hueso metatarsiano que está más cerca de la base se llama fractura de jones. La fractura del quinto metatarsiano es una fractura muy habitual en la población que en la mayoría de las ocasiones se repara sin dejar ningún problema secundario. Este hueso puede fracturarse en varios puntos a lo. Fractura Hueso Quinto Metatarsiano.
From todopie.blogspot.com
Fanáticos del pie ATLAS DE PATOLOGÍA DEL PIE FRACTURA DE METATARSIANOS Fractura Hueso Quinto Metatarsiano Las fracturas de la base suelen denominarse como fractura de seudo jones o de la bailarina. La fractura del quinto metatarsiano es una lesión común en deportistas y personas activas. Su estructura anatómica se divide en: Esta fractura, ubicada en el hueso del pie que. El quinto metatarsiano está ubicado en la parte externa de nuestro pie, se trata del. Fractura Hueso Quinto Metatarsiano.
From www.fisioterapiaparatodos.com
Fractura del quinto metatarsiano del pie, tratamiento y recuperacion Fractura Hueso Quinto Metatarsiano La fractura del quinto metatarsiano es una lesión común en deportistas y personas activas. Un tipo común de fractura en la parte del quinto hueso metatarsiano que está más cerca de la base se llama fractura de jones. Las fracturas de la base suelen denominarse como fractura de seudo jones o de la bailarina. Fracturas de la base del quinto. Fractura Hueso Quinto Metatarsiano.
From medymel.blogspot.com
Medicina y Melodía Urgencias traumáticas (I) Traumatismos periféricos Fractura Hueso Quinto Metatarsiano Fracturas de la base del quinto metatarsiano. El quinto hueso metatarsiano es el que mayormente se fractura por alguna causa repentina (lesión ó golpe). El quinto metatarsiano está ubicado en la parte externa de nuestro pie, se trata del hueso que se conecta con el dedo meñique, una zona delicada que puede fracturarse. Este hueso puede fracturarse en varios puntos. Fractura Hueso Quinto Metatarsiano.
From todopie.blogspot.com
Fanáticos del pie Fractura quinto metatarsiano Fractura Hueso Quinto Metatarsiano Las fracturas de la base suelen denominarse como fractura de seudo jones o de la bailarina. La fractura del quinto metatarsiano es una fractura muy habitual en la población que en la mayoría de las ocasiones se repara sin dejar ningún problema secundario. El quinto metatarsiano está ubicado en la parte externa de nuestro pie, se trata del hueso que. Fractura Hueso Quinto Metatarsiano.
From www.verywellhealth.com
Fifth Metatarsal or Jones Fracture Fractura Hueso Quinto Metatarsiano El quinto metatarsiano está ubicado en la parte externa de nuestro pie, se trata del hueso que se conecta con el dedo meñique, una zona delicada que puede fracturarse. La fractura del quinto metatarsiano es una fractura muy habitual en la población que en la mayoría de las ocasiones se repara sin dejar ningún problema secundario. Fracturas de la base. Fractura Hueso Quinto Metatarsiano.
From www.newcastlephysioclinic.com
5th metatarsal fractures Newcastle Physiotherapy Fractura Hueso Quinto Metatarsiano Su estructura anatómica se divide en: Las fracturas de la base suelen denominarse como fractura de seudo jones o de la bailarina. Este hueso puede fracturarse en varios puntos a lo largo de su. La fractura del quinto metatarsiano es una lesión común en deportistas y personas activas. Esta fractura, ubicada en el hueso del pie que. El quinto metatarsiano. Fractura Hueso Quinto Metatarsiano.