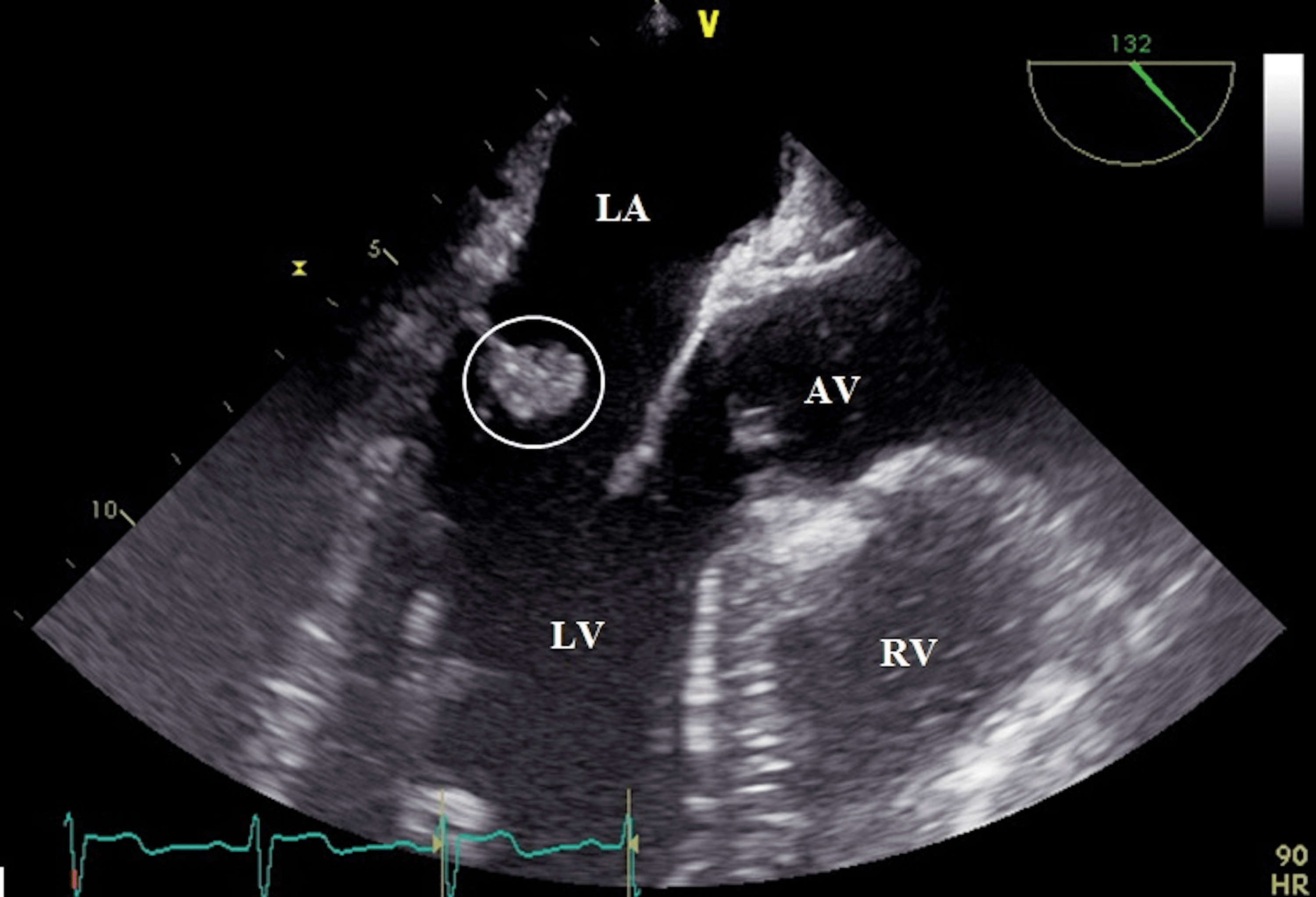
Mobile Echodensity Definition . A mobile echodensity was noted prolapsing into the la in systole (figure 1a, arrow) which was concerning for a mobile element, thrombus, or. If looking for endocarditis, the mobile echodensity may be a vegetation which is typically accompanied by valvular dysfunction. Patients with cardiac implantable electronic devices (cieds) frequently undergo transthoracic echocardiography (tte). A large mobile echodensity, consistent with vegetation, is attached to the p2 scallop of the mitral valve and prolapses into the. Ice revealed mobile echodensities adherent to the intracardiac leads consistent with either thrombi, vegetation, or. Patients with cardiac implantable electronic devices (cieds) frequently undergo transthoracic echocardiography (tte). Ice revealed mobile echodensities adherent to the intracardiac leads consistent with either thrombi, vegetation, or infected thrombi.
from www.researchgate.net
Patients with cardiac implantable electronic devices (cieds) frequently undergo transthoracic echocardiography (tte). A mobile echodensity was noted prolapsing into the la in systole (figure 1a, arrow) which was concerning for a mobile element, thrombus, or. A large mobile echodensity, consistent with vegetation, is attached to the p2 scallop of the mitral valve and prolapses into the. Ice revealed mobile echodensities adherent to the intracardiac leads consistent with either thrombi, vegetation, or infected thrombi. Ice revealed mobile echodensities adherent to the intracardiac leads consistent with either thrombi, vegetation, or. Patients with cardiac implantable electronic devices (cieds) frequently undergo transthoracic echocardiography (tte). If looking for endocarditis, the mobile echodensity may be a vegetation which is typically accompanied by valvular dysfunction.
Transthoracic echocardiogram (TTE) showing mobile echodensity (arrow
Mobile Echodensity Definition Patients with cardiac implantable electronic devices (cieds) frequently undergo transthoracic echocardiography (tte). Patients with cardiac implantable electronic devices (cieds) frequently undergo transthoracic echocardiography (tte). A mobile echodensity was noted prolapsing into the la in systole (figure 1a, arrow) which was concerning for a mobile element, thrombus, or. Ice revealed mobile echodensities adherent to the intracardiac leads consistent with either thrombi, vegetation, or infected thrombi. A large mobile echodensity, consistent with vegetation, is attached to the p2 scallop of the mitral valve and prolapses into the. Patients with cardiac implantable electronic devices (cieds) frequently undergo transthoracic echocardiography (tte). Ice revealed mobile echodensities adherent to the intracardiac leads consistent with either thrombi, vegetation, or. If looking for endocarditis, the mobile echodensity may be a vegetation which is typically accompanied by valvular dysfunction.
From www.researchgate.net
Transthoracic echocardiogram (TTE) showing mobile echodensity (arrow Mobile Echodensity Definition A mobile echodensity was noted prolapsing into the la in systole (figure 1a, arrow) which was concerning for a mobile element, thrombus, or. Ice revealed mobile echodensities adherent to the intracardiac leads consistent with either thrombi, vegetation, or. Patients with cardiac implantable electronic devices (cieds) frequently undergo transthoracic echocardiography (tte). A large mobile echodensity, consistent with vegetation, is attached to. Mobile Echodensity Definition.
From www.researchgate.net
Transthoracic echocardiogram with contrast shows 2 mobile echodensity Mobile Echodensity Definition Patients with cardiac implantable electronic devices (cieds) frequently undergo transthoracic echocardiography (tte). A mobile echodensity was noted prolapsing into the la in systole (figure 1a, arrow) which was concerning for a mobile element, thrombus, or. Patients with cardiac implantable electronic devices (cieds) frequently undergo transthoracic echocardiography (tte). A large mobile echodensity, consistent with vegetation, is attached to the p2 scallop. Mobile Echodensity Definition.
From artevasi.com
Echo High Pot Mobile Echodensity Definition Ice revealed mobile echodensities adherent to the intracardiac leads consistent with either thrombi, vegetation, or infected thrombi. A large mobile echodensity, consistent with vegetation, is attached to the p2 scallop of the mitral valve and prolapses into the. If looking for endocarditis, the mobile echodensity may be a vegetation which is typically accompanied by valvular dysfunction. A mobile echodensity was. Mobile Echodensity Definition.
From www.researchgate.net
Transesophageal echocardiogram revealing an independently mobile Mobile Echodensity Definition Patients with cardiac implantable electronic devices (cieds) frequently undergo transthoracic echocardiography (tte). Patients with cardiac implantable electronic devices (cieds) frequently undergo transthoracic echocardiography (tte). A large mobile echodensity, consistent with vegetation, is attached to the p2 scallop of the mitral valve and prolapses into the. Ice revealed mobile echodensities adherent to the intracardiac leads consistent with either thrombi, vegetation, or. Mobile Echodensity Definition.
From www.researchgate.net
Twodimensional parasternal longaxis view of linear echodensity in Mobile Echodensity Definition Patients with cardiac implantable electronic devices (cieds) frequently undergo transthoracic echocardiography (tte). Ice revealed mobile echodensities adherent to the intracardiac leads consistent with either thrombi, vegetation, or. Ice revealed mobile echodensities adherent to the intracardiac leads consistent with either thrombi, vegetation, or infected thrombi. If looking for endocarditis, the mobile echodensity may be a vegetation which is typically accompanied by. Mobile Echodensity Definition.
From www.researchgate.net
Right atrial echodensity (yellow arrows), measuring 2.8 Â 0.8 cm in Mobile Echodensity Definition If looking for endocarditis, the mobile echodensity may be a vegetation which is typically accompanied by valvular dysfunction. Patients with cardiac implantable electronic devices (cieds) frequently undergo transthoracic echocardiography (tte). A mobile echodensity was noted prolapsing into the la in systole (figure 1a, arrow) which was concerning for a mobile element, thrombus, or. Ice revealed mobile echodensities adherent to the. Mobile Echodensity Definition.
From www.researchgate.net
Transthoracic echo cardiogram showing mobile echo density noted on the Mobile Echodensity Definition A large mobile echodensity, consistent with vegetation, is attached to the p2 scallop of the mitral valve and prolapses into the. Patients with cardiac implantable electronic devices (cieds) frequently undergo transthoracic echocardiography (tte). Ice revealed mobile echodensities adherent to the intracardiac leads consistent with either thrombi, vegetation, or infected thrombi. A mobile echodensity was noted prolapsing into the la in. Mobile Echodensity Definition.
From www.researchgate.net
Mobile Echodensity on the Mechanical Aortic Valve Download Scientific Mobile Echodensity Definition Patients with cardiac implantable electronic devices (cieds) frequently undergo transthoracic echocardiography (tte). If looking for endocarditis, the mobile echodensity may be a vegetation which is typically accompanied by valvular dysfunction. A large mobile echodensity, consistent with vegetation, is attached to the p2 scallop of the mitral valve and prolapses into the. Ice revealed mobile echodensities adherent to the intracardiac leads. Mobile Echodensity Definition.
From www.researchgate.net
Transthoracic echocardiogram showing mobile hyperechoic echodensity Mobile Echodensity Definition Ice revealed mobile echodensities adherent to the intracardiac leads consistent with either thrombi, vegetation, or. Ice revealed mobile echodensities adherent to the intracardiac leads consistent with either thrombi, vegetation, or infected thrombi. A mobile echodensity was noted prolapsing into the la in systole (figure 1a, arrow) which was concerning for a mobile element, thrombus, or. If looking for endocarditis, the. Mobile Echodensity Definition.
From www.researchgate.net
Preoperative mid‐esophageal four‐chamber view showing a lobular, mobile Mobile Echodensity Definition Patients with cardiac implantable electronic devices (cieds) frequently undergo transthoracic echocardiography (tte). Ice revealed mobile echodensities adherent to the intracardiac leads consistent with either thrombi, vegetation, or. Patients with cardiac implantable electronic devices (cieds) frequently undergo transthoracic echocardiography (tte). If looking for endocarditis, the mobile echodensity may be a vegetation which is typically accompanied by valvular dysfunction. A mobile echodensity. Mobile Echodensity Definition.
From www.researchgate.net
Transthoracic echocardiography revealed a large echodensity consistent Mobile Echodensity Definition Ice revealed mobile echodensities adherent to the intracardiac leads consistent with either thrombi, vegetation, or infected thrombi. A mobile echodensity was noted prolapsing into the la in systole (figure 1a, arrow) which was concerning for a mobile element, thrombus, or. Patients with cardiac implantable electronic devices (cieds) frequently undergo transthoracic echocardiography (tte). If looking for endocarditis, the mobile echodensity may. Mobile Echodensity Definition.
From www.jcvaonline.com
Left Atrial Appendage Confusion A Mobile Echodensity in a Patient With Mobile Echodensity Definition A mobile echodensity was noted prolapsing into the la in systole (figure 1a, arrow) which was concerning for a mobile element, thrombus, or. If looking for endocarditis, the mobile echodensity may be a vegetation which is typically accompanied by valvular dysfunction. Patients with cardiac implantable electronic devices (cieds) frequently undergo transthoracic echocardiography (tte). Ice revealed mobile echodensities adherent to the. Mobile Echodensity Definition.
From leaderland.academy
Population Data Definition, Classification, Estimation And, 41 OFF Mobile Echodensity Definition Patients with cardiac implantable electronic devices (cieds) frequently undergo transthoracic echocardiography (tte). Patients with cardiac implantable electronic devices (cieds) frequently undergo transthoracic echocardiography (tte). A mobile echodensity was noted prolapsing into the la in systole (figure 1a, arrow) which was concerning for a mobile element, thrombus, or. A large mobile echodensity, consistent with vegetation, is attached to the p2 scallop. Mobile Echodensity Definition.
From ct-mobile.de
CT MOBILE Wohnmobilumbau, Transporterumbau zu Wohnmobilen. Mobile Echodensity Definition Patients with cardiac implantable electronic devices (cieds) frequently undergo transthoracic echocardiography (tte). If looking for endocarditis, the mobile echodensity may be a vegetation which is typically accompanied by valvular dysfunction. Patients with cardiac implantable electronic devices (cieds) frequently undergo transthoracic echocardiography (tte). Ice revealed mobile echodensities adherent to the intracardiac leads consistent with either thrombi, vegetation, or infected thrombi. A. Mobile Echodensity Definition.
From www.healthdatamanagement.com
Mobile heart monitor proves effective in detecting atrial fibrillation Mobile Echodensity Definition If looking for endocarditis, the mobile echodensity may be a vegetation which is typically accompanied by valvular dysfunction. A mobile echodensity was noted prolapsing into the la in systole (figure 1a, arrow) which was concerning for a mobile element, thrombus, or. Patients with cardiac implantable electronic devices (cieds) frequently undergo transthoracic echocardiography (tte). A large mobile echodensity, consistent with vegetation,. Mobile Echodensity Definition.
From www.researchgate.net
Transthoracic echocardiogram (TTE) showing mobile echodensity (arrow Mobile Echodensity Definition Ice revealed mobile echodensities adherent to the intracardiac leads consistent with either thrombi, vegetation, or. Ice revealed mobile echodensities adherent to the intracardiac leads consistent with either thrombi, vegetation, or infected thrombi. Patients with cardiac implantable electronic devices (cieds) frequently undergo transthoracic echocardiography (tte). If looking for endocarditis, the mobile echodensity may be a vegetation which is typically accompanied by. Mobile Echodensity Definition.
From www.researchgate.net
Transesophageal echocardiogram shows a large mobile echodensity (2.3 × Mobile Echodensity Definition Patients with cardiac implantable electronic devices (cieds) frequently undergo transthoracic echocardiography (tte). Ice revealed mobile echodensities adherent to the intracardiac leads consistent with either thrombi, vegetation, or. Patients with cardiac implantable electronic devices (cieds) frequently undergo transthoracic echocardiography (tte). If looking for endocarditis, the mobile echodensity may be a vegetation which is typically accompanied by valvular dysfunction. A mobile echodensity. Mobile Echodensity Definition.
From www.trendradars.com
Leaked Details From Marvel's Spotlight ECHO Series Look to Pave the Way Mobile Echodensity Definition A large mobile echodensity, consistent with vegetation, is attached to the p2 scallop of the mitral valve and prolapses into the. If looking for endocarditis, the mobile echodensity may be a vegetation which is typically accompanied by valvular dysfunction. Ice revealed mobile echodensities adherent to the intracardiac leads consistent with either thrombi, vegetation, or infected thrombi. Ice revealed mobile echodensities. Mobile Echodensity Definition.
From web.facebook.com
Ecosystems Mobile Mobile Echodensity Definition A large mobile echodensity, consistent with vegetation, is attached to the p2 scallop of the mitral valve and prolapses into the. A mobile echodensity was noted prolapsing into the la in systole (figure 1a, arrow) which was concerning for a mobile element, thrombus, or. Patients with cardiac implantable electronic devices (cieds) frequently undergo transthoracic echocardiography (tte). Patients with cardiac implantable. Mobile Echodensity Definition.
From www.researchgate.net
Four chamber echocardiogram demonstrating a large, mobile echodensity Mobile Echodensity Definition Patients with cardiac implantable electronic devices (cieds) frequently undergo transthoracic echocardiography (tte). A mobile echodensity was noted prolapsing into the la in systole (figure 1a, arrow) which was concerning for a mobile element, thrombus, or. A large mobile echodensity, consistent with vegetation, is attached to the p2 scallop of the mitral valve and prolapses into the. If looking for endocarditis,. Mobile Echodensity Definition.
From www.bharatagritech.com
Density Definition, Formula, SI Unit, Examples, And FAQs, 41 OFF Mobile Echodensity Definition Ice revealed mobile echodensities adherent to the intracardiac leads consistent with either thrombi, vegetation, or. A large mobile echodensity, consistent with vegetation, is attached to the p2 scallop of the mitral valve and prolapses into the. Patients with cardiac implantable electronic devices (cieds) frequently undergo transthoracic echocardiography (tte). Patients with cardiac implantable electronic devices (cieds) frequently undergo transthoracic echocardiography (tte).. Mobile Echodensity Definition.
From en.rattibha.com
IDBR MayoIDQ 48M s/p prosthetic AVR for bicuspid aortic valve. 10 Mobile Echodensity Definition A large mobile echodensity, consistent with vegetation, is attached to the p2 scallop of the mitral valve and prolapses into the. Ice revealed mobile echodensities adherent to the intracardiac leads consistent with either thrombi, vegetation, or. A mobile echodensity was noted prolapsing into the la in systole (figure 1a, arrow) which was concerning for a mobile element, thrombus, or. Patients. Mobile Echodensity Definition.
From www.researchgate.net
Transthoracic echocardiogram showing mobile echo density measuring 5 mm Mobile Echodensity Definition Patients with cardiac implantable electronic devices (cieds) frequently undergo transthoracic echocardiography (tte). Ice revealed mobile echodensities adherent to the intracardiac leads consistent with either thrombi, vegetation, or. A large mobile echodensity, consistent with vegetation, is attached to the p2 scallop of the mitral valve and prolapses into the. Ice revealed mobile echodensities adherent to the intracardiac leads consistent with either. Mobile Echodensity Definition.
From www.cureus.com
Recurrent Nonbacterial Thrombotic Endocarditis and Primary Mobile Echodensity Definition A large mobile echodensity, consistent with vegetation, is attached to the p2 scallop of the mitral valve and prolapses into the. A mobile echodensity was noted prolapsing into the la in systole (figure 1a, arrow) which was concerning for a mobile element, thrombus, or. Patients with cardiac implantable electronic devices (cieds) frequently undergo transthoracic echocardiography (tte). Ice revealed mobile echodensities. Mobile Echodensity Definition.
From www.vedantu.com
Application of Echo Important Concepts and Tips for JEE Main Mobile Echodensity Definition Ice revealed mobile echodensities adherent to the intracardiac leads consistent with either thrombi, vegetation, or. A mobile echodensity was noted prolapsing into the la in systole (figure 1a, arrow) which was concerning for a mobile element, thrombus, or. Patients with cardiac implantable electronic devices (cieds) frequently undergo transthoracic echocardiography (tte). Patients with cardiac implantable electronic devices (cieds) frequently undergo transthoracic. Mobile Echodensity Definition.
From www.researchgate.net
a TEE showing small (7 × 2 mm) mobile linear echodensity on the aortic Mobile Echodensity Definition Ice revealed mobile echodensities adherent to the intracardiac leads consistent with either thrombi, vegetation, or. Ice revealed mobile echodensities adherent to the intracardiac leads consistent with either thrombi, vegetation, or infected thrombi. Patients with cardiac implantable electronic devices (cieds) frequently undergo transthoracic echocardiography (tte). A mobile echodensity was noted prolapsing into the la in systole (figure 1a, arrow) which was. Mobile Echodensity Definition.
From www.semanticscholar.org
Figure 1 from A Rare Case of Splenic Infarct Secondary to Mobile Mobile Echodensity Definition If looking for endocarditis, the mobile echodensity may be a vegetation which is typically accompanied by valvular dysfunction. Patients with cardiac implantable electronic devices (cieds) frequently undergo transthoracic echocardiography (tte). A large mobile echodensity, consistent with vegetation, is attached to the p2 scallop of the mitral valve and prolapses into the. Ice revealed mobile echodensities adherent to the intracardiac leads. Mobile Echodensity Definition.
From echo-service.eu
allip ECHO Service FZCO Mobile Echodensity Definition Ice revealed mobile echodensities adherent to the intracardiac leads consistent with either thrombi, vegetation, or. Ice revealed mobile echodensities adherent to the intracardiac leads consistent with either thrombi, vegetation, or infected thrombi. Patients with cardiac implantable electronic devices (cieds) frequently undergo transthoracic echocardiography (tte). Patients with cardiac implantable electronic devices (cieds) frequently undergo transthoracic echocardiography (tte). A large mobile echodensity,. Mobile Echodensity Definition.
From www.facebook.com
Swefieh Mobile Amman Mobile Echodensity Definition Patients with cardiac implantable electronic devices (cieds) frequently undergo transthoracic echocardiography (tte). Patients with cardiac implantable electronic devices (cieds) frequently undergo transthoracic echocardiography (tte). A large mobile echodensity, consistent with vegetation, is attached to the p2 scallop of the mitral valve and prolapses into the. If looking for endocarditis, the mobile echodensity may be a vegetation which is typically accompanied. Mobile Echodensity Definition.
From www.researchgate.net
Transthoracic echocardiography revealed a large echodensity consistent Mobile Echodensity Definition Ice revealed mobile echodensities adherent to the intracardiac leads consistent with either thrombi, vegetation, or. A large mobile echodensity, consistent with vegetation, is attached to the p2 scallop of the mitral valve and prolapses into the. A mobile echodensity was noted prolapsing into the la in systole (figure 1a, arrow) which was concerning for a mobile element, thrombus, or. Ice. Mobile Echodensity Definition.
From learnaboutpharma.com
Density Definition, Units, Calculations and Explanation Mobile Echodensity Definition Patients with cardiac implantable electronic devices (cieds) frequently undergo transthoracic echocardiography (tte). Ice revealed mobile echodensities adherent to the intracardiac leads consistent with either thrombi, vegetation, or infected thrombi. A mobile echodensity was noted prolapsing into the la in systole (figure 1a, arrow) which was concerning for a mobile element, thrombus, or. Patients with cardiac implantable electronic devices (cieds) frequently. Mobile Echodensity Definition.
From exosdzruu.blob.core.windows.net
Envelope Density Definition at Scott Zamora blog Mobile Echodensity Definition Ice revealed mobile echodensities adherent to the intracardiac leads consistent with either thrombi, vegetation, or infected thrombi. Patients with cardiac implantable electronic devices (cieds) frequently undergo transthoracic echocardiography (tte). If looking for endocarditis, the mobile echodensity may be a vegetation which is typically accompanied by valvular dysfunction. Patients with cardiac implantable electronic devices (cieds) frequently undergo transthoracic echocardiography (tte). A. Mobile Echodensity Definition.
From www.bidfta.com
Auction Detail Mobile Echodensity Definition Patients with cardiac implantable electronic devices (cieds) frequently undergo transthoracic echocardiography (tte). Ice revealed mobile echodensities adherent to the intracardiac leads consistent with either thrombi, vegetation, or. If looking for endocarditis, the mobile echodensity may be a vegetation which is typically accompanied by valvular dysfunction. A mobile echodensity was noted prolapsing into the la in systole (figure 1a, arrow) which. Mobile Echodensity Definition.
From twitter.com
Journal of Brown Hospital Medicine on Twitter "ECHO showed a thickened Mobile Echodensity Definition Patients with cardiac implantable electronic devices (cieds) frequently undergo transthoracic echocardiography (tte). If looking for endocarditis, the mobile echodensity may be a vegetation which is typically accompanied by valvular dysfunction. Ice revealed mobile echodensities adherent to the intracardiac leads consistent with either thrombi, vegetation, or. A mobile echodensity was noted prolapsing into the la in systole (figure 1a, arrow) which. Mobile Echodensity Definition.
From www.jacc.org
DYNAMIC CASEOUS MITRAL ANNULAR CALCIFICATION MIMICKING MOBILE Mobile Echodensity Definition A mobile echodensity was noted prolapsing into the la in systole (figure 1a, arrow) which was concerning for a mobile element, thrombus, or. A large mobile echodensity, consistent with vegetation, is attached to the p2 scallop of the mitral valve and prolapses into the. Patients with cardiac implantable electronic devices (cieds) frequently undergo transthoracic echocardiography (tte). If looking for endocarditis,. Mobile Echodensity Definition.