Is Ct Scan Bad For Pregnancy . If the abdomen or pelvis is not being imaged, such as in chest or head ct, there is no risk to the baby from radiation. The objectives of these guidelines are to review: The radiologist (a doctor with expertise in medical imaging) and the ct technologist will adjust the ct exam. The amount of radiation used in normal ct. Receiving a ct scan during pregnancy has not been shown to increase radiation exposure to the fetus. If intravenous contrast agent is used in ct, test thyroid function in the child after birth via heel prick. Guidelines for the use of ct and mri during pregnancy and lactation. With few exceptions, radiation exposure through radiography, computed tomography (ct) scan, or nuclear medicine imaging techniques is at a. The increasing use of imaging in the population will inevitably result in an increase in requests for imaging in women who are pregnant or lactating. The safety issues related to ct and mri during pregnancy and lactation. In radiography and computed tomography (ct), the risk of childhood cancer induction is very low if imaging is above the diaphragm or below the knee.
from www.verywellhealth.com
The objectives of these guidelines are to review: With few exceptions, radiation exposure through radiography, computed tomography (ct) scan, or nuclear medicine imaging techniques is at a. The increasing use of imaging in the population will inevitably result in an increase in requests for imaging in women who are pregnant or lactating. The amount of radiation used in normal ct. If intravenous contrast agent is used in ct, test thyroid function in the child after birth via heel prick. The radiologist (a doctor with expertise in medical imaging) and the ct technologist will adjust the ct exam. The safety issues related to ct and mri during pregnancy and lactation. If the abdomen or pelvis is not being imaged, such as in chest or head ct, there is no risk to the baby from radiation. Receiving a ct scan during pregnancy has not been shown to increase radiation exposure to the fetus. In radiography and computed tomography (ct), the risk of childhood cancer induction is very low if imaging is above the diaphragm or below the knee.
CT Scan (CAT Scan) Uses, Side Effects, Procedure, Results
Is Ct Scan Bad For Pregnancy The increasing use of imaging in the population will inevitably result in an increase in requests for imaging in women who are pregnant or lactating. The radiologist (a doctor with expertise in medical imaging) and the ct technologist will adjust the ct exam. The safety issues related to ct and mri during pregnancy and lactation. With few exceptions, radiation exposure through radiography, computed tomography (ct) scan, or nuclear medicine imaging techniques is at a. If intravenous contrast agent is used in ct, test thyroid function in the child after birth via heel prick. The objectives of these guidelines are to review: The amount of radiation used in normal ct. Guidelines for the use of ct and mri during pregnancy and lactation. The increasing use of imaging in the population will inevitably result in an increase in requests for imaging in women who are pregnant or lactating. In radiography and computed tomography (ct), the risk of childhood cancer induction is very low if imaging is above the diaphragm or below the knee. Receiving a ct scan during pregnancy has not been shown to increase radiation exposure to the fetus. If the abdomen or pelvis is not being imaged, such as in chest or head ct, there is no risk to the baby from radiation.
From www.verywellhealth.com
CT Scan (CAT Scan) Uses, Side Effects, Procedure, Results Is Ct Scan Bad For Pregnancy The radiologist (a doctor with expertise in medical imaging) and the ct technologist will adjust the ct exam. The safety issues related to ct and mri during pregnancy and lactation. In radiography and computed tomography (ct), the risk of childhood cancer induction is very low if imaging is above the diaphragm or below the knee. The amount of radiation used. Is Ct Scan Bad For Pregnancy.
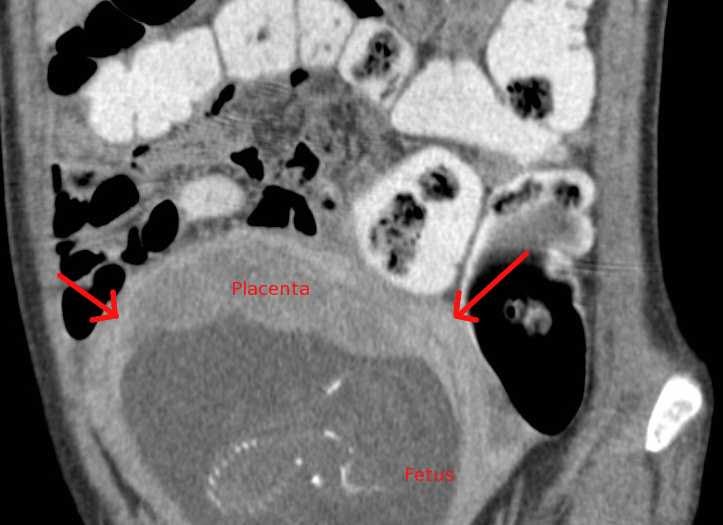
From www.ctisus.com
Intrauterine Pregnancy in a Trauma Patient OB/GYN Case Studies CTisus CT Scanning Is Ct Scan Bad For Pregnancy If intravenous contrast agent is used in ct, test thyroid function in the child after birth via heel prick. The radiologist (a doctor with expertise in medical imaging) and the ct technologist will adjust the ct exam. The increasing use of imaging in the population will inevitably result in an increase in requests for imaging in women who are pregnant. Is Ct Scan Bad For Pregnancy.
From www.lybrate.com
What is NT scan in pregnancy By Dr. Hemlata Hardasani Lybrate Is Ct Scan Bad For Pregnancy If the abdomen or pelvis is not being imaged, such as in chest or head ct, there is no risk to the baby from radiation. The objectives of these guidelines are to review: The safety issues related to ct and mri during pregnancy and lactation. Guidelines for the use of ct and mri during pregnancy and lactation. In radiography and. Is Ct Scan Bad For Pregnancy.
From parenting.firstcry.ae
CT Scan during Pregnancy Risks and Sid Effects Is Ct Scan Bad For Pregnancy The objectives of these guidelines are to review: The amount of radiation used in normal ct. In radiography and computed tomography (ct), the risk of childhood cancer induction is very low if imaging is above the diaphragm or below the knee. If intravenous contrast agent is used in ct, test thyroid function in the child after birth via heel prick.. Is Ct Scan Bad For Pregnancy.
From theredclinic.com
DETAILED SCAN IN PREGNANCY The Red Clinic Is Ct Scan Bad For Pregnancy The increasing use of imaging in the population will inevitably result in an increase in requests for imaging in women who are pregnant or lactating. In radiography and computed tomography (ct), the risk of childhood cancer induction is very low if imaging is above the diaphragm or below the knee. If intravenous contrast agent is used in ct, test thyroid. Is Ct Scan Bad For Pregnancy.
From www.ctisus.com
Intrauterine Pregnancy in a Trauma Patient OB/GYN Case Studies CTisus CT Scanning Is Ct Scan Bad For Pregnancy Guidelines for the use of ct and mri during pregnancy and lactation. The objectives of these guidelines are to review: With few exceptions, radiation exposure through radiography, computed tomography (ct) scan, or nuclear medicine imaging techniques is at a. The safety issues related to ct and mri during pregnancy and lactation. The radiologist (a doctor with expertise in medical imaging). Is Ct Scan Bad For Pregnancy.
From blog.radiology.virginia.edu
Medical Imaging While Pregnant How Safe is It? Is Ct Scan Bad For Pregnancy The increasing use of imaging in the population will inevitably result in an increase in requests for imaging in women who are pregnant or lactating. The objectives of these guidelines are to review: If the abdomen or pelvis is not being imaged, such as in chest or head ct, there is no risk to the baby from radiation. The amount. Is Ct Scan Bad For Pregnancy.
From shunchild.com
Understanding The Potential Risks Is A Ct Scan Harmful During Pregnancy? ShunChild Is Ct Scan Bad For Pregnancy The objectives of these guidelines are to review: The safety issues related to ct and mri during pregnancy and lactation. Receiving a ct scan during pregnancy has not been shown to increase radiation exposure to the fetus. In radiography and computed tomography (ct), the risk of childhood cancer induction is very low if imaging is above the diaphragm or below. Is Ct Scan Bad For Pregnancy.
From www.classifiedmom.com
Can A Ct Scan Detect Pregnancy? Classified Mom Is Ct Scan Bad For Pregnancy With few exceptions, radiation exposure through radiography, computed tomography (ct) scan, or nuclear medicine imaging techniques is at a. Guidelines for the use of ct and mri during pregnancy and lactation. The objectives of these guidelines are to review: The increasing use of imaging in the population will inevitably result in an increase in requests for imaging in women who. Is Ct Scan Bad For Pregnancy.
From www.semanticscholar.org
Beyond ultrasound CT and MRI of ectopic pregnancy. Semantic Scholar Is Ct Scan Bad For Pregnancy The objectives of these guidelines are to review: The radiologist (a doctor with expertise in medical imaging) and the ct technologist will adjust the ct exam. Receiving a ct scan during pregnancy has not been shown to increase radiation exposure to the fetus. If intravenous contrast agent is used in ct, test thyroid function in the child after birth via. Is Ct Scan Bad For Pregnancy.
From radiologyinthai.blogspot.com
RiT radiology Imaging During Pregnancy What Are the Risks of CT? Is Ct Scan Bad For Pregnancy The radiologist (a doctor with expertise in medical imaging) and the ct technologist will adjust the ct exam. If intravenous contrast agent is used in ct, test thyroid function in the child after birth via heel prick. If the abdomen or pelvis is not being imaged, such as in chest or head ct, there is no risk to the baby. Is Ct Scan Bad For Pregnancy.
From www.baby-scan.co.uk
Early Pregnancy Scans Explained firstScan at Window to the Womb Is Ct Scan Bad For Pregnancy The safety issues related to ct and mri during pregnancy and lactation. The increasing use of imaging in the population will inevitably result in an increase in requests for imaging in women who are pregnant or lactating. In radiography and computed tomography (ct), the risk of childhood cancer induction is very low if imaging is above the diaphragm or below. Is Ct Scan Bad For Pregnancy.
From slidetodoc.com
Pregnancy and Medical Radiation INTERNATIONAL COMMISSION ON RADIOLOGICAL Is Ct Scan Bad For Pregnancy If the abdomen or pelvis is not being imaged, such as in chest or head ct, there is no risk to the baby from radiation. The increasing use of imaging in the population will inevitably result in an increase in requests for imaging in women who are pregnant or lactating. In radiography and computed tomography (ct), the risk of childhood. Is Ct Scan Bad For Pregnancy.
From www.ctisus.com
Ectopic Pregnancy OB/GYN Case Studies CTisus CT Scanning Is Ct Scan Bad For Pregnancy The objectives of these guidelines are to review: In radiography and computed tomography (ct), the risk of childhood cancer induction is very low if imaging is above the diaphragm or below the knee. The amount of radiation used in normal ct. The safety issues related to ct and mri during pregnancy and lactation. If intravenous contrast agent is used in. Is Ct Scan Bad For Pregnancy.
From www.healthdatamanagement.com
Use of CT scans during pregnancy soars, may pose health risk Health Data Management Is Ct Scan Bad For Pregnancy In radiography and computed tomography (ct), the risk of childhood cancer induction is very low if imaging is above the diaphragm or below the knee. The radiologist (a doctor with expertise in medical imaging) and the ct technologist will adjust the ct exam. Guidelines for the use of ct and mri during pregnancy and lactation. If intravenous contrast agent is. Is Ct Scan Bad For Pregnancy.
From www.steadyhealth.com
Is a CT Scan During Pregnancy Dangerous For Your Developing Baby? Pregnancy medical answers Is Ct Scan Bad For Pregnancy In radiography and computed tomography (ct), the risk of childhood cancer induction is very low if imaging is above the diaphragm or below the knee. Receiving a ct scan during pregnancy has not been shown to increase radiation exposure to the fetus. The safety issues related to ct and mri during pregnancy and lactation. If the abdomen or pelvis is. Is Ct Scan Bad For Pregnancy.
From awesseas.blogspot.com
What Does A Ct Scan Do To A Fetus Is Ct Scan Bad For Pregnancy The radiologist (a doctor with expertise in medical imaging) and the ct technologist will adjust the ct exam. If intravenous contrast agent is used in ct, test thyroid function in the child after birth via heel prick. With few exceptions, radiation exposure through radiography, computed tomography (ct) scan, or nuclear medicine imaging techniques is at a. In radiography and computed. Is Ct Scan Bad For Pregnancy.
From shunchild.com
The Possibilities Of A Cryptic Pregnancy Can A Ct Scan Detect The Unseen? ShunChild Is Ct Scan Bad For Pregnancy In radiography and computed tomography (ct), the risk of childhood cancer induction is very low if imaging is above the diaphragm or below the knee. With few exceptions, radiation exposure through radiography, computed tomography (ct) scan, or nuclear medicine imaging techniques is at a. Guidelines for the use of ct and mri during pregnancy and lactation. Receiving a ct scan. Is Ct Scan Bad For Pregnancy.
From www.pregnanteve.com
XRay During Pregnancy Is It Safe? Safety and Side Effects Is Ct Scan Bad For Pregnancy With few exceptions, radiation exposure through radiography, computed tomography (ct) scan, or nuclear medicine imaging techniques is at a. Receiving a ct scan during pregnancy has not been shown to increase radiation exposure to the fetus. In radiography and computed tomography (ct), the risk of childhood cancer induction is very low if imaging is above the diaphragm or below the. Is Ct Scan Bad For Pregnancy.
From shunchild.com
Understanding A Key Diagnostic Tool Can An Abdominal Ct Scan Reveal Pregnancy? ShunChild Is Ct Scan Bad For Pregnancy In radiography and computed tomography (ct), the risk of childhood cancer induction is very low if imaging is above the diaphragm or below the knee. The objectives of these guidelines are to review: The increasing use of imaging in the population will inevitably result in an increase in requests for imaging in women who are pregnant or lactating. If intravenous. Is Ct Scan Bad For Pregnancy.
From www.mdpi.com
Medicina Free FullText Use of Resonance Imaging in Evaluating Fetal Brain and Is Ct Scan Bad For Pregnancy The amount of radiation used in normal ct. Receiving a ct scan during pregnancy has not been shown to increase radiation exposure to the fetus. The safety issues related to ct and mri during pregnancy and lactation. Guidelines for the use of ct and mri during pregnancy and lactation. The radiologist (a doctor with expertise in medical imaging) and the. Is Ct Scan Bad For Pregnancy.
From www.slideshare.net
CT Imaging in Pregnancy Is Ct Scan Bad For Pregnancy With few exceptions, radiation exposure through radiography, computed tomography (ct) scan, or nuclear medicine imaging techniques is at a. The objectives of these guidelines are to review: If intravenous contrast agent is used in ct, test thyroid function in the child after birth via heel prick. If the abdomen or pelvis is not being imaged, such as in chest or. Is Ct Scan Bad For Pregnancy.
From www.beingtheparent.com
MRI Scan During Pregnancy Is it Safe? Being The Parent Is Ct Scan Bad For Pregnancy In radiography and computed tomography (ct), the risk of childhood cancer induction is very low if imaging is above the diaphragm or below the knee. Receiving a ct scan during pregnancy has not been shown to increase radiation exposure to the fetus. If the abdomen or pelvis is not being imaged, such as in chest or head ct, there is. Is Ct Scan Bad For Pregnancy.
From fyohshzqd.blob.core.windows.net
Are Ct Scans Bad For Babies at Nancy Rayl blog Is Ct Scan Bad For Pregnancy The increasing use of imaging in the population will inevitably result in an increase in requests for imaging in women who are pregnant or lactating. The radiologist (a doctor with expertise in medical imaging) and the ct technologist will adjust the ct exam. In radiography and computed tomography (ct), the risk of childhood cancer induction is very low if imaging. Is Ct Scan Bad For Pregnancy.
From www.ctisus.com
Intrauterine Pregnancy OB/GYN Case Studies CTisus CT Scanning Is Ct Scan Bad For Pregnancy Receiving a ct scan during pregnancy has not been shown to increase radiation exposure to the fetus. If the abdomen or pelvis is not being imaged, such as in chest or head ct, there is no risk to the baby from radiation. With few exceptions, radiation exposure through radiography, computed tomography (ct) scan, or nuclear medicine imaging techniques is at. Is Ct Scan Bad For Pregnancy.
From parenting.firstcry.ae
CT Scan during Pregnancy Risks and Sid Effects Is Ct Scan Bad For Pregnancy With few exceptions, radiation exposure through radiography, computed tomography (ct) scan, or nuclear medicine imaging techniques is at a. The safety issues related to ct and mri during pregnancy and lactation. Receiving a ct scan during pregnancy has not been shown to increase radiation exposure to the fetus. The radiologist (a doctor with expertise in medical imaging) and the ct. Is Ct Scan Bad For Pregnancy.
From mavink.com
Ectopic Pregnancy Ct Scan Is Ct Scan Bad For Pregnancy The safety issues related to ct and mri during pregnancy and lactation. The amount of radiation used in normal ct. Guidelines for the use of ct and mri during pregnancy and lactation. In radiography and computed tomography (ct), the risk of childhood cancer induction is very low if imaging is above the diaphragm or below the knee. The radiologist (a. Is Ct Scan Bad For Pregnancy.
From shunchild.com
Can Ct Scans Pose A Risk To Pregnancy? Exploring The Link Between Ct Scans And Potential Harm To Is Ct Scan Bad For Pregnancy In radiography and computed tomography (ct), the risk of childhood cancer induction is very low if imaging is above the diaphragm or below the knee. The radiologist (a doctor with expertise in medical imaging) and the ct technologist will adjust the ct exam. The amount of radiation used in normal ct. If intravenous contrast agent is used in ct, test. Is Ct Scan Bad For Pregnancy.
From www.ajronline.org
Beyond Ultrasound CT and MRI of Ectopic Pregnancy AJR Is Ct Scan Bad For Pregnancy The safety issues related to ct and mri during pregnancy and lactation. With few exceptions, radiation exposure through radiography, computed tomography (ct) scan, or nuclear medicine imaging techniques is at a. Guidelines for the use of ct and mri during pregnancy and lactation. The amount of radiation used in normal ct. The objectives of these guidelines are to review: The. Is Ct Scan Bad For Pregnancy.
From awesseas.blogspot.com
What Does A Ct Scan Do To A Fetus Is Ct Scan Bad For Pregnancy The radiologist (a doctor with expertise in medical imaging) and the ct technologist will adjust the ct exam. With few exceptions, radiation exposure through radiography, computed tomography (ct) scan, or nuclear medicine imaging techniques is at a. Receiving a ct scan during pregnancy has not been shown to increase radiation exposure to the fetus. The safety issues related to ct. Is Ct Scan Bad For Pregnancy.
From www.reddit.com
MRI scan of babies during pregnancy r/DaftPunk Is Ct Scan Bad For Pregnancy The radiologist (a doctor with expertise in medical imaging) and the ct technologist will adjust the ct exam. The safety issues related to ct and mri during pregnancy and lactation. The increasing use of imaging in the population will inevitably result in an increase in requests for imaging in women who are pregnant or lactating. If intravenous contrast agent is. Is Ct Scan Bad For Pregnancy.
From www.reddit.com
CT Scan of a pregnancy oddlyterrifying Is Ct Scan Bad For Pregnancy The safety issues related to ct and mri during pregnancy and lactation. In radiography and computed tomography (ct), the risk of childhood cancer induction is very low if imaging is above the diaphragm or below the knee. Guidelines for the use of ct and mri during pregnancy and lactation. With few exceptions, radiation exposure through radiography, computed tomography (ct) scan,. Is Ct Scan Bad For Pregnancy.
From www.researchgate.net
Pregnant CT scan showing an occlusive complication of a rectosigmoid... Download Scientific Is Ct Scan Bad For Pregnancy Receiving a ct scan during pregnancy has not been shown to increase radiation exposure to the fetus. The safety issues related to ct and mri during pregnancy and lactation. If the abdomen or pelvis is not being imaged, such as in chest or head ct, there is no risk to the baby from radiation. In radiography and computed tomography (ct),. Is Ct Scan Bad For Pregnancy.
From shunchild.com
Can A Ct Scan Detect An Ectopic Pregnancy? ShunChild Is Ct Scan Bad For Pregnancy The radiologist (a doctor with expertise in medical imaging) and the ct technologist will adjust the ct exam. With few exceptions, radiation exposure through radiography, computed tomography (ct) scan, or nuclear medicine imaging techniques is at a. The amount of radiation used in normal ct. In radiography and computed tomography (ct), the risk of childhood cancer induction is very low. Is Ct Scan Bad For Pregnancy.
From premierimaging.org
CT Scan and Claustrophobia Premier Imaging Is Ct Scan Bad For Pregnancy The objectives of these guidelines are to review: The safety issues related to ct and mri during pregnancy and lactation. If the abdomen or pelvis is not being imaged, such as in chest or head ct, there is no risk to the baby from radiation. The increasing use of imaging in the population will inevitably result in an increase in. Is Ct Scan Bad For Pregnancy.