Do Radiologists Miss Things . radiologists are the sixth most common type of physician to be sued in a medical malpractice case. Bruno, who authored the 2019 book error and uncertainty in diagnostic radiology, highlighted several studies that. mri exams—as well as all radiology exams—can be misinterpreted by the radiologist for a variety of reasons. in this article, the authors describe the cognitive causes of such errors in diagnostic medicine,. In cases that end up in court, the most common claim is errors in. A false negative diagnosis can lead the referring doctor and their patient down the incorrect path and delay critical treatment. the prevalence of radiologists’ errors does not appear to have changed since it was first estimated in 1960. many in the medical community, including radiologists, attorneys, and lay people alike, believe that if a radiologist has missed.
from www.rcr.ac.uk
Bruno, who authored the 2019 book error and uncertainty in diagnostic radiology, highlighted several studies that. In cases that end up in court, the most common claim is errors in. mri exams—as well as all radiology exams—can be misinterpreted by the radiologist for a variety of reasons. radiologists are the sixth most common type of physician to be sued in a medical malpractice case. A false negative diagnosis can lead the referring doctor and their patient down the incorrect path and delay critical treatment. many in the medical community, including radiologists, attorneys, and lay people alike, believe that if a radiologist has missed. the prevalence of radiologists’ errors does not appear to have changed since it was first estimated in 1960. in this article, the authors describe the cognitive causes of such errors in diagnostic medicine,.
What does a clinical radiologist do? The Royal College of Radiologists
Do Radiologists Miss Things mri exams—as well as all radiology exams—can be misinterpreted by the radiologist for a variety of reasons. mri exams—as well as all radiology exams—can be misinterpreted by the radiologist for a variety of reasons. radiologists are the sixth most common type of physician to be sued in a medical malpractice case. In cases that end up in court, the most common claim is errors in. Bruno, who authored the 2019 book error and uncertainty in diagnostic radiology, highlighted several studies that. in this article, the authors describe the cognitive causes of such errors in diagnostic medicine,. the prevalence of radiologists’ errors does not appear to have changed since it was first estimated in 1960. A false negative diagnosis can lead the referring doctor and their patient down the incorrect path and delay critical treatment. many in the medical community, including radiologists, attorneys, and lay people alike, believe that if a radiologist has missed.
From www.dreamstime.com
The Female Doctor Radiologist Working in the Clinic Stock Image Image Do Radiologists Miss Things In cases that end up in court, the most common claim is errors in. Bruno, who authored the 2019 book error and uncertainty in diagnostic radiology, highlighted several studies that. A false negative diagnosis can lead the referring doctor and their patient down the incorrect path and delay critical treatment. in this article, the authors describe the cognitive causes. Do Radiologists Miss Things.
From www.jobcase.com
Everything you should know about how to a radiologist Jobcase Do Radiologists Miss Things Bruno, who authored the 2019 book error and uncertainty in diagnostic radiology, highlighted several studies that. In cases that end up in court, the most common claim is errors in. A false negative diagnosis can lead the referring doctor and their patient down the incorrect path and delay critical treatment. in this article, the authors describe the cognitive causes. Do Radiologists Miss Things.
From blog.sepstream.com
Crucial Things Radiologists Do After Making a Mistake sepStream® News Do Radiologists Miss Things many in the medical community, including radiologists, attorneys, and lay people alike, believe that if a radiologist has missed. mri exams—as well as all radiology exams—can be misinterpreted by the radiologist for a variety of reasons. the prevalence of radiologists’ errors does not appear to have changed since it was first estimated in 1960. Bruno, who authored. Do Radiologists Miss Things.
From brettmollard.com
The Future of Radiology (Radiologist Perspective) Brett Mollard Do Radiologists Miss Things radiologists are the sixth most common type of physician to be sued in a medical malpractice case. A false negative diagnosis can lead the referring doctor and their patient down the incorrect path and delay critical treatment. In cases that end up in court, the most common claim is errors in. the prevalence of radiologists’ errors does not. Do Radiologists Miss Things.
From www.dreamstime.com
The Female Doctor Radiologist Working in the Clinic Stock Photo Image Do Radiologists Miss Things Bruno, who authored the 2019 book error and uncertainty in diagnostic radiology, highlighted several studies that. A false negative diagnosis can lead the referring doctor and their patient down the incorrect path and delay critical treatment. the prevalence of radiologists’ errors does not appear to have changed since it was first estimated in 1960. radiologists are the sixth. Do Radiologists Miss Things.
From capitolimagingservices.com
The role of the radiologist in health care Capitol Imaging Services Do Radiologists Miss Things radiologists are the sixth most common type of physician to be sued in a medical malpractice case. many in the medical community, including radiologists, attorneys, and lay people alike, believe that if a radiologist has missed. in this article, the authors describe the cognitive causes of such errors in diagnostic medicine,. Bruno, who authored the 2019 book. Do Radiologists Miss Things.
From opmed.doximity.com
Do Radiologists See Patients or Just Images? Do Radiologists Miss Things Bruno, who authored the 2019 book error and uncertainty in diagnostic radiology, highlighted several studies that. In cases that end up in court, the most common claim is errors in. A false negative diagnosis can lead the referring doctor and their patient down the incorrect path and delay critical treatment. many in the medical community, including radiologists, attorneys, and. Do Radiologists Miss Things.
From blog.radiology.virginia.edu
What is a Radiologist? UVA Radiology and Medical Imaging Blog Do Radiologists Miss Things Bruno, who authored the 2019 book error and uncertainty in diagnostic radiology, highlighted several studies that. In cases that end up in court, the most common claim is errors in. radiologists are the sixth most common type of physician to be sued in a medical malpractice case. many in the medical community, including radiologists, attorneys, and lay people. Do Radiologists Miss Things.
From www.pinterest.com
Radiologists What People Think I Do / What I Really Do Medical Do Radiologists Miss Things A false negative diagnosis can lead the referring doctor and their patient down the incorrect path and delay critical treatment. many in the medical community, including radiologists, attorneys, and lay people alike, believe that if a radiologist has missed. Bruno, who authored the 2019 book error and uncertainty in diagnostic radiology, highlighted several studies that. In cases that end. Do Radiologists Miss Things.
From farwestimaging.com
What is a Radiologist and What They Do Far West Imaging Blog Do Radiologists Miss Things In cases that end up in court, the most common claim is errors in. Bruno, who authored the 2019 book error and uncertainty in diagnostic radiology, highlighted several studies that. mri exams—as well as all radiology exams—can be misinterpreted by the radiologist for a variety of reasons. A false negative diagnosis can lead the referring doctor and their patient. Do Radiologists Miss Things.
From www.zippia.com
How hard is it to a radiologist? Zippia Do Radiologists Miss Things Bruno, who authored the 2019 book error and uncertainty in diagnostic radiology, highlighted several studies that. in this article, the authors describe the cognitive causes of such errors in diagnostic medicine,. mri exams—as well as all radiology exams—can be misinterpreted by the radiologist for a variety of reasons. In cases that end up in court, the most common. Do Radiologists Miss Things.
From brettmollard.com
What Does a Radiologist Do? A Day in the Life of a Radiologist Do Radiologists Miss Things mri exams—as well as all radiology exams—can be misinterpreted by the radiologist for a variety of reasons. in this article, the authors describe the cognitive causes of such errors in diagnostic medicine,. the prevalence of radiologists’ errors does not appear to have changed since it was first estimated in 1960. radiologists are the sixth most common. Do Radiologists Miss Things.
From www.medicalnewstoday.com
What is a radiologist? Everything you need to know Do Radiologists Miss Things radiologists are the sixth most common type of physician to be sued in a medical malpractice case. the prevalence of radiologists’ errors does not appear to have changed since it was first estimated in 1960. Bruno, who authored the 2019 book error and uncertainty in diagnostic radiology, highlighted several studies that. mri exams—as well as all radiology. Do Radiologists Miss Things.
From jobandedu.com
How Much Do Radiologists Make? A WellRounded Overview Of Job Do Radiologists Miss Things Bruno, who authored the 2019 book error and uncertainty in diagnostic radiology, highlighted several studies that. many in the medical community, including radiologists, attorneys, and lay people alike, believe that if a radiologist has missed. radiologists are the sixth most common type of physician to be sued in a medical malpractice case. the prevalence of radiologists’ errors. Do Radiologists Miss Things.
From tammy.ai
The Essential Role of Radiologic Technologists in Healthcare Do Radiologists Miss Things the prevalence of radiologists’ errors does not appear to have changed since it was first estimated in 1960. many in the medical community, including radiologists, attorneys, and lay people alike, believe that if a radiologist has missed. Bruno, who authored the 2019 book error and uncertainty in diagnostic radiology, highlighted several studies that. mri exams—as well as. Do Radiologists Miss Things.
From en.rattibha.com
1/Do radiologists sound like they are speaking a different language Do Radiologists Miss Things in this article, the authors describe the cognitive causes of such errors in diagnostic medicine,. mri exams—as well as all radiology exams—can be misinterpreted by the radiologist for a variety of reasons. A false negative diagnosis can lead the referring doctor and their patient down the incorrect path and delay critical treatment. radiologists are the sixth most. Do Radiologists Miss Things.
From teleconsult.net
How much do radiologists make? Learn more in our blog Teleconsult Do Radiologists Miss Things In cases that end up in court, the most common claim is errors in. the prevalence of radiologists’ errors does not appear to have changed since it was first estimated in 1960. A false negative diagnosis can lead the referring doctor and their patient down the incorrect path and delay critical treatment. many in the medical community, including. Do Radiologists Miss Things.
From www.linkedin.com
What Does it Take to a Radiologist? Do Radiologists Miss Things mri exams—as well as all radiology exams—can be misinterpreted by the radiologist for a variety of reasons. radiologists are the sixth most common type of physician to be sued in a medical malpractice case. A false negative diagnosis can lead the referring doctor and their patient down the incorrect path and delay critical treatment. In cases that end. Do Radiologists Miss Things.
From whenwomeninspire.com
What does a radiologist do? When Women Inspire Do Radiologists Miss Things many in the medical community, including radiologists, attorneys, and lay people alike, believe that if a radiologist has missed. in this article, the authors describe the cognitive causes of such errors in diagnostic medicine,. A false negative diagnosis can lead the referring doctor and their patient down the incorrect path and delay critical treatment. Bruno, who authored the. Do Radiologists Miss Things.
From www.dinedsrg.com
Radiologist What Is It And When Do You Need One Do Radiologists Miss Things many in the medical community, including radiologists, attorneys, and lay people alike, believe that if a radiologist has missed. in this article, the authors describe the cognitive causes of such errors in diagnostic medicine,. A false negative diagnosis can lead the referring doctor and their patient down the incorrect path and delay critical treatment. mri exams—as well. Do Radiologists Miss Things.
From www.medicalnewstoday.com
What is a radiologist? Everything you need to know Do Radiologists Miss Things A false negative diagnosis can lead the referring doctor and their patient down the incorrect path and delay critical treatment. many in the medical community, including radiologists, attorneys, and lay people alike, believe that if a radiologist has missed. Bruno, who authored the 2019 book error and uncertainty in diagnostic radiology, highlighted several studies that. mri exams—as well. Do Radiologists Miss Things.
From whattobecome.com
How Much Do Radiologists Make? + Other Intriguing FAQs answered Do Radiologists Miss Things In cases that end up in court, the most common claim is errors in. the prevalence of radiologists’ errors does not appear to have changed since it was first estimated in 1960. mri exams—as well as all radiology exams—can be misinterpreted by the radiologist for a variety of reasons. many in the medical community, including radiologists, attorneys,. Do Radiologists Miss Things.
From www.npr.org
Radiologists Say It's Time To Come Out Of The Dark Shots Health Do Radiologists Miss Things mri exams—as well as all radiology exams—can be misinterpreted by the radiologist for a variety of reasons. radiologists are the sixth most common type of physician to be sued in a medical malpractice case. the prevalence of radiologists’ errors does not appear to have changed since it was first estimated in 1960. A false negative diagnosis can. Do Radiologists Miss Things.
From mysurgeryabroad.com
What does a radiologist do? Mysurgeryabroad Medicover Hospital Do Radiologists Miss Things mri exams—as well as all radiology exams—can be misinterpreted by the radiologist for a variety of reasons. many in the medical community, including radiologists, attorneys, and lay people alike, believe that if a radiologist has missed. radiologists are the sixth most common type of physician to be sued in a medical malpractice case. in this article,. Do Radiologists Miss Things.
From ceteqdwq.blob.core.windows.net
Radiologist Medical Name at Bruce Beard blog Do Radiologists Miss Things in this article, the authors describe the cognitive causes of such errors in diagnostic medicine,. Bruno, who authored the 2019 book error and uncertainty in diagnostic radiology, highlighted several studies that. In cases that end up in court, the most common claim is errors in. the prevalence of radiologists’ errors does not appear to have changed since it. Do Radiologists Miss Things.
From www.womenfitness.net
'Seeing the light' behind radiation therapy Women Fitness Do Radiologists Miss Things A false negative diagnosis can lead the referring doctor and their patient down the incorrect path and delay critical treatment. radiologists are the sixth most common type of physician to be sued in a medical malpractice case. in this article, the authors describe the cognitive causes of such errors in diagnostic medicine,. the prevalence of radiologists’ errors. Do Radiologists Miss Things.
From www.rcr.ac.uk
What does a clinical radiologist do? The Royal College of Radiologists Do Radiologists Miss Things the prevalence of radiologists’ errors does not appear to have changed since it was first estimated in 1960. mri exams—as well as all radiology exams—can be misinterpreted by the radiologist for a variety of reasons. in this article, the authors describe the cognitive causes of such errors in diagnostic medicine,. radiologists are the sixth most common. Do Radiologists Miss Things.
From dailymedicos.com
Do Radiologists Attend Medical School? Daily Medicos Do Radiologists Miss Things In cases that end up in court, the most common claim is errors in. in this article, the authors describe the cognitive causes of such errors in diagnostic medicine,. radiologists are the sixth most common type of physician to be sued in a medical malpractice case. the prevalence of radiologists’ errors does not appear to have changed. Do Radiologists Miss Things.
From ucnedu.org
Why Radiology As a Career Reason to a Radiologist Do Radiologists Miss Things mri exams—as well as all radiology exams—can be misinterpreted by the radiologist for a variety of reasons. In cases that end up in court, the most common claim is errors in. Bruno, who authored the 2019 book error and uncertainty in diagnostic radiology, highlighted several studies that. many in the medical community, including radiologists, attorneys, and lay people. Do Radiologists Miss Things.
From www.bhfloridalaw.com
When Radiologists Miss the Mark The Consequences of Radiology Errors Do Radiologists Miss Things In cases that end up in court, the most common claim is errors in. many in the medical community, including radiologists, attorneys, and lay people alike, believe that if a radiologist has missed. A false negative diagnosis can lead the referring doctor and their patient down the incorrect path and delay critical treatment. radiologists are the sixth most. Do Radiologists Miss Things.
From www.youtube.com
Why Do Radiologists miss Dancing Gorillas? YouTube Do Radiologists Miss Things Bruno, who authored the 2019 book error and uncertainty in diagnostic radiology, highlighted several studies that. mri exams—as well as all radiology exams—can be misinterpreted by the radiologist for a variety of reasons. radiologists are the sixth most common type of physician to be sued in a medical malpractice case. many in the medical community, including radiologists,. Do Radiologists Miss Things.
From www.docnet.org.uk
Radiologist Do Radiologists Miss Things In cases that end up in court, the most common claim is errors in. mri exams—as well as all radiology exams—can be misinterpreted by the radiologist for a variety of reasons. A false negative diagnosis can lead the referring doctor and their patient down the incorrect path and delay critical treatment. the prevalence of radiologists’ errors does not. Do Radiologists Miss Things.
From theradclinic.com
What Are The 3 Questions You Should Ask Your Radiologist? The Do Radiologists Miss Things many in the medical community, including radiologists, attorneys, and lay people alike, believe that if a radiologist has missed. in this article, the authors describe the cognitive causes of such errors in diagnostic medicine,. the prevalence of radiologists’ errors does not appear to have changed since it was first estimated in 1960. In cases that end up. Do Radiologists Miss Things.
From www.bicrad.com
What Is A Radiologist And What Do They Do? — Bay Imaging Consultants Do Radiologists Miss Things in this article, the authors describe the cognitive causes of such errors in diagnostic medicine,. the prevalence of radiologists’ errors does not appear to have changed since it was first estimated in 1960. In cases that end up in court, the most common claim is errors in. mri exams—as well as all radiology exams—can be misinterpreted by. Do Radiologists Miss Things.
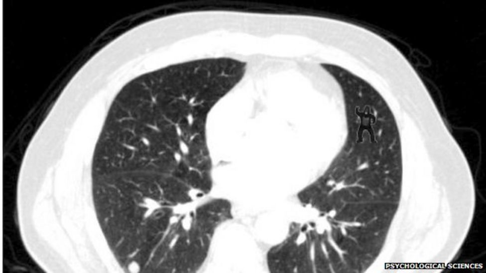
From www.bbc.co.uk
Why do radiologists miss dancing gorillas? BBC News Do Radiologists Miss Things radiologists are the sixth most common type of physician to be sued in a medical malpractice case. In cases that end up in court, the most common claim is errors in. mri exams—as well as all radiology exams—can be misinterpreted by the radiologist for a variety of reasons. many in the medical community, including radiologists, attorneys, and. Do Radiologists Miss Things.