How Common Is Hairy Cell Leukemia . Hairy cell leukemia (hcl) is a rare chronic leukemia in adults. Hairy cell leukemia is a rare blood cancer diagnosed in only about 1,000 people each year in the united states. To diagnose hairy cell leukemia, your health care provider may recommend: Hairy cell leukemia is a rare condition that affects 1 in 100,000 people in the u.s. Hairy cell leukemia is a rare form of cancer, comprising only about 2% of leukemia cases in adults each year. How common is hairy cell leukemia? Your provider may feel your spleen to. Around 1,000 people in the united states develop hcl each year, according.
from imagebank.hematology.org
To diagnose hairy cell leukemia, your health care provider may recommend: How common is hairy cell leukemia? Hairy cell leukemia (hcl) is a rare chronic leukemia in adults. Hairy cell leukemia is a rare condition that affects 1 in 100,000 people in the u.s. Your provider may feel your spleen to. Hairy cell leukemia is a rare form of cancer, comprising only about 2% of leukemia cases in adults each year. Hairy cell leukemia is a rare blood cancer diagnosed in only about 1,000 people each year in the united states. Around 1,000 people in the united states develop hcl each year, according.
Hairy Cell Leukemia Variant 2.
How Common Is Hairy Cell Leukemia Hairy cell leukemia is a rare blood cancer diagnosed in only about 1,000 people each year in the united states. To diagnose hairy cell leukemia, your health care provider may recommend: Hairy cell leukemia is a rare condition that affects 1 in 100,000 people in the u.s. Around 1,000 people in the united states develop hcl each year, according. Hairy cell leukemia is a rare form of cancer, comprising only about 2% of leukemia cases in adults each year. Hairy cell leukemia (hcl) is a rare chronic leukemia in adults. Your provider may feel your spleen to. How common is hairy cell leukemia? Hairy cell leukemia is a rare blood cancer diagnosed in only about 1,000 people each year in the united states.
From www.researchgate.net
Biology of hairy cell leukemia. Download Scientific Diagram How Common Is Hairy Cell Leukemia Your provider may feel your spleen to. Around 1,000 people in the united states develop hcl each year, according. Hairy cell leukemia is a rare condition that affects 1 in 100,000 people in the u.s. To diagnose hairy cell leukemia, your health care provider may recommend: Hairy cell leukemia (hcl) is a rare chronic leukemia in adults. Hairy cell leukemia. How Common Is Hairy Cell Leukemia.
From www.sciencesource.com
Photograph Hairy Cell Leukemia Science Source Images How Common Is Hairy Cell Leukemia Around 1,000 people in the united states develop hcl each year, according. Hairy cell leukemia is a rare form of cancer, comprising only about 2% of leukemia cases in adults each year. Hairy cell leukemia (hcl) is a rare chronic leukemia in adults. To diagnose hairy cell leukemia, your health care provider may recommend: Hairy cell leukemia is a rare. How Common Is Hairy Cell Leukemia.
From imagebank.hematology.org
Hairy cell leukemia involving the spleen 2. How Common Is Hairy Cell Leukemia Hairy cell leukemia is a rare blood cancer diagnosed in only about 1,000 people each year in the united states. How common is hairy cell leukemia? To diagnose hairy cell leukemia, your health care provider may recommend: Hairy cell leukemia is a rare form of cancer, comprising only about 2% of leukemia cases in adults each year. Around 1,000 people. How Common Is Hairy Cell Leukemia.
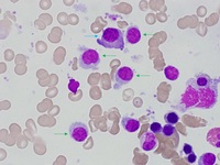
From imagebank.hematology.org
Hairy Cell Leukaemia and Multiple Myeloma 1 How Common Is Hairy Cell Leukemia Hairy cell leukemia is a rare blood cancer diagnosed in only about 1,000 people each year in the united states. Your provider may feel your spleen to. Hairy cell leukemia is a rare condition that affects 1 in 100,000 people in the u.s. Around 1,000 people in the united states develop hcl each year, according. Hairy cell leukemia (hcl) is. How Common Is Hairy Cell Leukemia.
From www.pinterest.fr
hairy cell leukemia cladribine ! Leukemia, Hematology, Leukemia awareness How Common Is Hairy Cell Leukemia How common is hairy cell leukemia? Around 1,000 people in the united states develop hcl each year, according. Hairy cell leukemia is a rare blood cancer diagnosed in only about 1,000 people each year in the united states. Hairy cell leukemia (hcl) is a rare chronic leukemia in adults. Hairy cell leukemia is a rare condition that affects 1 in. How Common Is Hairy Cell Leukemia.
From step1.medbullets.com
Hairy Cell Leukemia (HCL) Oncology Medbullets Step 1 How Common Is Hairy Cell Leukemia Hairy cell leukemia is a rare condition that affects 1 in 100,000 people in the u.s. Around 1,000 people in the united states develop hcl each year, according. Your provider may feel your spleen to. To diagnose hairy cell leukemia, your health care provider may recommend: Hairy cell leukemia is a rare form of cancer, comprising only about 2% of. How Common Is Hairy Cell Leukemia.
From www.dreamstime.com
Hairy Cell Leukemia, 3D Illustration Stock Illustration Illustration of awareness, acute How Common Is Hairy Cell Leukemia Hairy cell leukemia is a rare condition that affects 1 in 100,000 people in the u.s. Hairy cell leukemia is a rare form of cancer, comprising only about 2% of leukemia cases in adults each year. Hairy cell leukemia (hcl) is a rare chronic leukemia in adults. Around 1,000 people in the united states develop hcl each year, according. How. How Common Is Hairy Cell Leukemia.
From www.learnhaem.com
Hairy Cell Leukaemia LearnHaem Haematology Made Simple How Common Is Hairy Cell Leukemia Hairy cell leukemia (hcl) is a rare chronic leukemia in adults. Around 1,000 people in the united states develop hcl each year, according. Hairy cell leukemia is a rare blood cancer diagnosed in only about 1,000 people each year in the united states. Hairy cell leukemia is a rare form of cancer, comprising only about 2% of leukemia cases in. How Common Is Hairy Cell Leukemia.
From imagebank.hematology.org
Hairy Cell Leukemia 11. How Common Is Hairy Cell Leukemia Hairy cell leukemia is a rare condition that affects 1 in 100,000 people in the u.s. Your provider may feel your spleen to. How common is hairy cell leukemia? Hairy cell leukemia is a rare form of cancer, comprising only about 2% of leukemia cases in adults each year. Around 1,000 people in the united states develop hcl each year,. How Common Is Hairy Cell Leukemia.
From www.researchgate.net
Representative images of cytological features of hairy cell leukemia... Download Scientific How Common Is Hairy Cell Leukemia Hairy cell leukemia is a rare condition that affects 1 in 100,000 people in the u.s. Hairy cell leukemia (hcl) is a rare chronic leukemia in adults. Hairy cell leukemia is a rare blood cancer diagnosed in only about 1,000 people each year in the united states. To diagnose hairy cell leukemia, your health care provider may recommend: How common. How Common Is Hairy Cell Leukemia.
From imagebank.hematology.org
Hairy Cell Leukemia How Common Is Hairy Cell Leukemia Hairy cell leukemia is a rare blood cancer diagnosed in only about 1,000 people each year in the united states. Hairy cell leukemia is a rare form of cancer, comprising only about 2% of leukemia cases in adults each year. Your provider may feel your spleen to. How common is hairy cell leukemia? To diagnose hairy cell leukemia, your health. How Common Is Hairy Cell Leukemia.
From www.osmosis.org
Hairy Cell Leukemia What Is It, How Common Is It, and More Osmosis How Common Is Hairy Cell Leukemia Your provider may feel your spleen to. Hairy cell leukemia is a rare condition that affects 1 in 100,000 people in the u.s. Hairy cell leukemia (hcl) is a rare chronic leukemia in adults. Around 1,000 people in the united states develop hcl each year, according. To diagnose hairy cell leukemia, your health care provider may recommend: How common is. How Common Is Hairy Cell Leukemia.
From sciencephotogallery.com
Hairy Cell Leukaemia 2 by Steve Gschmeissner/science Photo Library How Common Is Hairy Cell Leukemia Hairy cell leukemia is a rare blood cancer diagnosed in only about 1,000 people each year in the united states. Around 1,000 people in the united states develop hcl each year, according. Your provider may feel your spleen to. Hairy cell leukemia is a rare condition that affects 1 in 100,000 people in the u.s. To diagnose hairy cell leukemia,. How Common Is Hairy Cell Leukemia.
From freesic.eu
Hairy cell and other bcell leukemias Other freesic.eu How Common Is Hairy Cell Leukemia How common is hairy cell leukemia? Hairy cell leukemia is a rare form of cancer, comprising only about 2% of leukemia cases in adults each year. Hairy cell leukemia is a rare blood cancer diagnosed in only about 1,000 people each year in the united states. To diagnose hairy cell leukemia, your health care provider may recommend: Around 1,000 people. How Common Is Hairy Cell Leukemia.
From www.alamy.com
Hairy cell leukemia hires stock photography and images Alamy How Common Is Hairy Cell Leukemia To diagnose hairy cell leukemia, your health care provider may recommend: Your provider may feel your spleen to. Hairy cell leukemia is a rare condition that affects 1 in 100,000 people in the u.s. How common is hairy cell leukemia? Hairy cell leukemia (hcl) is a rare chronic leukemia in adults. Hairy cell leukemia is a rare form of cancer,. How Common Is Hairy Cell Leukemia.
From www.verywellhealth.com
Hairy Cell Leukemia Symptoms, Treatment, and Prognosis How Common Is Hairy Cell Leukemia Hairy cell leukemia is a rare condition that affects 1 in 100,000 people in the u.s. Hairy cell leukemia is a rare form of cancer, comprising only about 2% of leukemia cases in adults each year. Hairy cell leukemia (hcl) is a rare chronic leukemia in adults. To diagnose hairy cell leukemia, your health care provider may recommend: Your provider. How Common Is Hairy Cell Leukemia.
From atlas.gechem.org
Hairy cell leukaemia Morphology and cytochemistry How Common Is Hairy Cell Leukemia To diagnose hairy cell leukemia, your health care provider may recommend: Around 1,000 people in the united states develop hcl each year, according. How common is hairy cell leukemia? Hairy cell leukemia is a rare blood cancer diagnosed in only about 1,000 people each year in the united states. Hairy cell leukemia (hcl) is a rare chronic leukemia in adults.. How Common Is Hairy Cell Leukemia.
From gioxjssha.blob.core.windows.net
How Common Is Hairy Cell Leukemia at Rachel Baldwin blog How Common Is Hairy Cell Leukemia Your provider may feel your spleen to. Hairy cell leukemia is a rare form of cancer, comprising only about 2% of leukemia cases in adults each year. Hairy cell leukemia is a rare condition that affects 1 in 100,000 people in the u.s. How common is hairy cell leukemia? Hairy cell leukemia is a rare blood cancer diagnosed in only. How Common Is Hairy Cell Leukemia.
From www.openmed.co.in
Hairy Cell Leukemia How Common Is Hairy Cell Leukemia Hairy cell leukemia is a rare form of cancer, comprising only about 2% of leukemia cases in adults each year. Hairy cell leukemia is a rare blood cancer diagnosed in only about 1,000 people each year in the united states. To diagnose hairy cell leukemia, your health care provider may recommend: How common is hairy cell leukemia? Your provider may. How Common Is Hairy Cell Leukemia.
From www.healthgrades.com
Hairy Cell Leukemia Symptoms, Causes, Treatments How Common Is Hairy Cell Leukemia Hairy cell leukemia is a rare form of cancer, comprising only about 2% of leukemia cases in adults each year. Around 1,000 people in the united states develop hcl each year, according. How common is hairy cell leukemia? To diagnose hairy cell leukemia, your health care provider may recommend: Your provider may feel your spleen to. Hairy cell leukemia (hcl). How Common Is Hairy Cell Leukemia.
From www.leukemia-cell.org
Hairy cell leukaemia CELL Atlas of Haematological Cytology How Common Is Hairy Cell Leukemia Hairy cell leukemia is a rare condition that affects 1 in 100,000 people in the u.s. How common is hairy cell leukemia? Your provider may feel your spleen to. Hairy cell leukemia (hcl) is a rare chronic leukemia in adults. Hairy cell leukemia is a rare blood cancer diagnosed in only about 1,000 people each year in the united states.. How Common Is Hairy Cell Leukemia.
From www.alamy.com
Hairy cell leukaemia. Computer illustration of an abnormal white blood cell (B lymphocyte) from How Common Is Hairy Cell Leukemia Hairy cell leukemia (hcl) is a rare chronic leukemia in adults. Around 1,000 people in the united states develop hcl each year, according. How common is hairy cell leukemia? Hairy cell leukemia is a rare form of cancer, comprising only about 2% of leukemia cases in adults each year. Hairy cell leukemia is a rare blood cancer diagnosed in only. How Common Is Hairy Cell Leukemia.
From imagebank.hematology.org
Hairy Cell Leukemia Variant 2. How Common Is Hairy Cell Leukemia Hairy cell leukemia is a rare blood cancer diagnosed in only about 1,000 people each year in the united states. Hairy cell leukemia is a rare condition that affects 1 in 100,000 people in the u.s. Your provider may feel your spleen to. How common is hairy cell leukemia? To diagnose hairy cell leukemia, your health care provider may recommend:. How Common Is Hairy Cell Leukemia.
From imagebank.hematology.org
Hairy cell leukemia 1. How Common Is Hairy Cell Leukemia Hairy cell leukemia is a rare blood cancer diagnosed in only about 1,000 people each year in the united states. To diagnose hairy cell leukemia, your health care provider may recommend: Hairy cell leukemia is a rare condition that affects 1 in 100,000 people in the u.s. How common is hairy cell leukemia? Hairy cell leukemia is a rare form. How Common Is Hairy Cell Leukemia.
From imagebank.hematology.org
Hairy cell leukemia 2 How Common Is Hairy Cell Leukemia Your provider may feel your spleen to. Hairy cell leukemia is a rare blood cancer diagnosed in only about 1,000 people each year in the united states. Hairy cell leukemia is a rare form of cancer, comprising only about 2% of leukemia cases in adults each year. Hairy cell leukemia is a rare condition that affects 1 in 100,000 people. How Common Is Hairy Cell Leukemia.
From www.cancertherapyadvisor.com
Hairy Cell Leukemia Cancer Therapy Advisor How Common Is Hairy Cell Leukemia To diagnose hairy cell leukemia, your health care provider may recommend: Hairy cell leukemia (hcl) is a rare chronic leukemia in adults. Hairy cell leukemia is a rare condition that affects 1 in 100,000 people in the u.s. Hairy cell leukemia is a rare form of cancer, comprising only about 2% of leukemia cases in adults each year. How common. How Common Is Hairy Cell Leukemia.
From www.osmosis.org
Hairy Cell Leukemia What Is It, How Common Is It, and More Osmosis How Common Is Hairy Cell Leukemia Hairy cell leukemia is a rare form of cancer, comprising only about 2% of leukemia cases in adults each year. Around 1,000 people in the united states develop hcl each year, according. Hairy cell leukemia is a rare blood cancer diagnosed in only about 1,000 people each year in the united states. Hairy cell leukemia is a rare condition that. How Common Is Hairy Cell Leukemia.
From imagebank.hematology.org
Hairy cell leukemia involving the spleen 3. How Common Is Hairy Cell Leukemia Around 1,000 people in the united states develop hcl each year, according. Hairy cell leukemia is a rare blood cancer diagnosed in only about 1,000 people each year in the united states. Your provider may feel your spleen to. Hairy cell leukemia (hcl) is a rare chronic leukemia in adults. How common is hairy cell leukemia? To diagnose hairy cell. How Common Is Hairy Cell Leukemia.
From www.alamy.com
Hairy Cell Leukemia (HCL, HZL) cells in blood flow closeup view 3d illustration Stock Photo How Common Is Hairy Cell Leukemia Hairy cell leukemia (hcl) is a rare chronic leukemia in adults. To diagnose hairy cell leukemia, your health care provider may recommend: Your provider may feel your spleen to. Hairy cell leukemia is a rare form of cancer, comprising only about 2% of leukemia cases in adults each year. How common is hairy cell leukemia? Hairy cell leukemia is a. How Common Is Hairy Cell Leukemia.
From gioxjssha.blob.core.windows.net
How Common Is Hairy Cell Leukemia at Rachel Baldwin blog How Common Is Hairy Cell Leukemia Your provider may feel your spleen to. Around 1,000 people in the united states develop hcl each year, according. How common is hairy cell leukemia? Hairy cell leukemia is a rare blood cancer diagnosed in only about 1,000 people each year in the united states. To diagnose hairy cell leukemia, your health care provider may recommend: Hairy cell leukemia is. How Common Is Hairy Cell Leukemia.
From www.alamy.com
Hairy cell leukemia hires stock photography and images Alamy How Common Is Hairy Cell Leukemia To diagnose hairy cell leukemia, your health care provider may recommend: Hairy cell leukemia is a rare condition that affects 1 in 100,000 people in the u.s. Around 1,000 people in the united states develop hcl each year, according. How common is hairy cell leukemia? Hairy cell leukemia (hcl) is a rare chronic leukemia in adults. Your provider may feel. How Common Is Hairy Cell Leukemia.
From www.hairycellleukemia.org
Understanding Hairy Cell Leukemia — Hairy Cell Leukemia Foundation How Common Is Hairy Cell Leukemia Hairy cell leukemia (hcl) is a rare chronic leukemia in adults. How common is hairy cell leukemia? Your provider may feel your spleen to. Hairy cell leukemia is a rare form of cancer, comprising only about 2% of leukemia cases in adults each year. Hairy cell leukemia is a rare blood cancer diagnosed in only about 1,000 people each year. How Common Is Hairy Cell Leukemia.
From pixels.com
Hairy cell leukaemia, light micrograph Photograph by Science Photo Library Pixels How Common Is Hairy Cell Leukemia To diagnose hairy cell leukemia, your health care provider may recommend: Hairy cell leukemia is a rare condition that affects 1 in 100,000 people in the u.s. Hairy cell leukemia is a rare blood cancer diagnosed in only about 1,000 people each year in the united states. Your provider may feel your spleen to. Hairy cell leukemia is a rare. How Common Is Hairy Cell Leukemia.
From www.leukemia-cell.org
Hairy cell leukaemia CELL Atlas of Haematological Cytology How Common Is Hairy Cell Leukemia Around 1,000 people in the united states develop hcl each year, according. Hairy cell leukemia is a rare form of cancer, comprising only about 2% of leukemia cases in adults each year. How common is hairy cell leukemia? Your provider may feel your spleen to. Hairy cell leukemia is a rare condition that affects 1 in 100,000 people in the. How Common Is Hairy Cell Leukemia.