Hamate Fracture X Ray . Described six radiographic signs that indicate hamate body fracture commonly seen on ap, lateral, and. Hamate fractures usually get subdivided into two broad groups: Radiopaedia.org provides a classification of hamate fractures into two types: Hook fractures and body fractures. Hook of hamate fractures are rare, often missed, injuries generally as a result of a direct blow to the hamate bone most commonly seen in athletes. Hamate body fractures are rare carpal fractures that can be associated with 4th or 5th metacarpal fractures. Diagnosis is generally made with radiographs of the.
        
         
         
        from healthjade.net 
     
        
        Hamate fractures usually get subdivided into two broad groups: Hamate body fractures are rare carpal fractures that can be associated with 4th or 5th metacarpal fractures. Hook of hamate fractures are rare, often missed, injuries generally as a result of a direct blow to the hamate bone most commonly seen in athletes. Hook fractures and body fractures. Diagnosis is generally made with radiographs of the. Radiopaedia.org provides a classification of hamate fractures into two types: Described six radiographic signs that indicate hamate body fracture commonly seen on ap, lateral, and.
    
    	
            
	
		 
	 
         
    Hamate fracture causes, types, symptoms, diagnosis, treatment & prognosis 
    Hamate Fracture X Ray  Described six radiographic signs that indicate hamate body fracture commonly seen on ap, lateral, and. Hook of hamate fractures are rare, often missed, injuries generally as a result of a direct blow to the hamate bone most commonly seen in athletes. Radiopaedia.org provides a classification of hamate fractures into two types: Hamate body fractures are rare carpal fractures that can be associated with 4th or 5th metacarpal fractures. Diagnosis is generally made with radiographs of the. Hamate fractures usually get subdivided into two broad groups: Hook fractures and body fractures. Described six radiographic signs that indicate hamate body fracture commonly seen on ap, lateral, and.
            
	
		 
	 
         
 
    
         
        From radiopaedia.org 
                    Hamate fracture subluxation Image Hamate Fracture X Ray  Hook of hamate fractures are rare, often missed, injuries generally as a result of a direct blow to the hamate bone most commonly seen in athletes. Diagnosis is generally made with radiographs of the. Hook fractures and body fractures. Hamate body fractures are rare carpal fractures that can be associated with 4th or 5th metacarpal fractures. Radiopaedia.org provides a classification. Hamate Fracture X Ray.
     
    
         
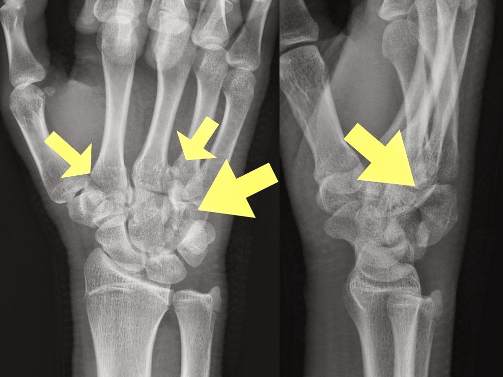
        From www.wikiradiography.net 
                    Imaging Hamate Fractures wikiRadiography Hamate Fracture X Ray  Diagnosis is generally made with radiographs of the. Described six radiographic signs that indicate hamate body fracture commonly seen on ap, lateral, and. Hook of hamate fractures are rare, often missed, injuries generally as a result of a direct blow to the hamate bone most commonly seen in athletes. Hook fractures and body fractures. Hamate body fractures are rare carpal. Hamate Fracture X Ray.
     
    
         
        From radiopaedia.org 
                    Hamate fracture (classification) Radiology Reference Article Hamate Fracture X Ray  Hamate body fractures are rare carpal fractures that can be associated with 4th or 5th metacarpal fractures. Hamate fractures usually get subdivided into two broad groups: Radiopaedia.org provides a classification of hamate fractures into two types: Hook of hamate fractures are rare, often missed, injuries generally as a result of a direct blow to the hamate bone most commonly seen. Hamate Fracture X Ray.
     
    
         
        From www.theinjurysource.com 
                    Hamate Fracture In Athletes Can Be Complex Hamate Fracture X Ray  Hamate fractures usually get subdivided into two broad groups: Diagnosis is generally made with radiographs of the. Described six radiographic signs that indicate hamate body fracture commonly seen on ap, lateral, and. Hook fractures and body fractures. Hamate body fractures are rare carpal fractures that can be associated with 4th or 5th metacarpal fractures. Hook of hamate fractures are rare,. Hamate Fracture X Ray.
     
    
         
        From www.derriforded.com 
                    Blog Archives THE ED PLYMOUTH Hamate Fracture X Ray  Hook of hamate fractures are rare, often missed, injuries generally as a result of a direct blow to the hamate bone most commonly seen in athletes. Diagnosis is generally made with radiographs of the. Hamate fractures usually get subdivided into two broad groups: Hook fractures and body fractures. Radiopaedia.org provides a classification of hamate fractures into two types: Hamate body. Hamate Fracture X Ray.
     
    
         
        From www.bmj.com 
                    A painful swollen hand The BMJ Hamate Fracture X Ray  Hook of hamate fractures are rare, often missed, injuries generally as a result of a direct blow to the hamate bone most commonly seen in athletes. Described six radiographic signs that indicate hamate body fracture commonly seen on ap, lateral, and. Radiopaedia.org provides a classification of hamate fractures into two types: Diagnosis is generally made with radiographs of the. Hamate. Hamate Fracture X Ray.
     
    
         
        From www.bmj.com 
                    The carpal bones on a lateral plain radiograph of the wrist The BMJ Hamate Fracture X Ray  Hamate body fractures are rare carpal fractures that can be associated with 4th or 5th metacarpal fractures. Hook fractures and body fractures. Hamate fractures usually get subdivided into two broad groups: Described six radiographic signs that indicate hamate body fracture commonly seen on ap, lateral, and. Radiopaedia.org provides a classification of hamate fractures into two types: Hook of hamate fractures. Hamate Fracture X Ray.
     
    
         
        From www.fishstripes.com 
                    Giancarlo Stanton injury Explaining the hamate bone fracture Fish Hamate Fracture X Ray  Described six radiographic signs that indicate hamate body fracture commonly seen on ap, lateral, and. Hook fractures and body fractures. Hamate body fractures are rare carpal fractures that can be associated with 4th or 5th metacarpal fractures. Diagnosis is generally made with radiographs of the. Hook of hamate fractures are rare, often missed, injuries generally as a result of a. Hamate Fracture X Ray.
     
    
         
        From www.mdpi.com 
                    Sensors Free FullText Fracture Detection in Wrist Xray Images Hamate Fracture X Ray  Described six radiographic signs that indicate hamate body fracture commonly seen on ap, lateral, and. Hook of hamate fractures are rare, often missed, injuries generally as a result of a direct blow to the hamate bone most commonly seen in athletes. Diagnosis is generally made with radiographs of the. Hamate fractures usually get subdivided into two broad groups: Hamate body. Hamate Fracture X Ray.
     
    
         
        From content.iospress.com 
                    Diagnosis of a hamate hook fracture with 3D reconstruction of computed Hamate Fracture X Ray  Hamate body fractures are rare carpal fractures that can be associated with 4th or 5th metacarpal fractures. Hamate fractures usually get subdivided into two broad groups: Hook of hamate fractures are rare, often missed, injuries generally as a result of a direct blow to the hamate bone most commonly seen in athletes. Diagnosis is generally made with radiographs of the.. Hamate Fracture X Ray.
     
    
         
        From radiopaedia.org 
                    Hamate fracture (classification) Radiology Reference Article Hamate Fracture X Ray  Radiopaedia.org provides a classification of hamate fractures into two types: Hamate fractures usually get subdivided into two broad groups: Hook of hamate fractures are rare, often missed, injuries generally as a result of a direct blow to the hamate bone most commonly seen in athletes. Hook fractures and body fractures. Diagnosis is generally made with radiographs of the. Described six. Hamate Fracture X Ray.
     
    
         
        From www.researchgate.net 
                    Preoperative xray images Furthermore, CT scans revealed a displaced Hamate Fracture X Ray  Hook fractures and body fractures. Hamate body fractures are rare carpal fractures that can be associated with 4th or 5th metacarpal fractures. Described six radiographic signs that indicate hamate body fracture commonly seen on ap, lateral, and. Hook of hamate fractures are rare, often missed, injuries generally as a result of a direct blow to the hamate bone most commonly. Hamate Fracture X Ray.
     
    
         
        From radiopaedia.org 
                    Image Hamate Fracture X Ray  Radiopaedia.org provides a classification of hamate fractures into two types: Hook fractures and body fractures. Hamate body fractures are rare carpal fractures that can be associated with 4th or 5th metacarpal fractures. Hamate fractures usually get subdivided into two broad groups: Hook of hamate fractures are rare, often missed, injuries generally as a result of a direct blow to the. Hamate Fracture X Ray.
     
    
         
        From www.orthobullets.com 
                    Hamate Body Fracture Hand Orthobullets Hamate Fracture X Ray  Hamate fractures usually get subdivided into two broad groups: Diagnosis is generally made with radiographs of the. Hook of hamate fractures are rare, often missed, injuries generally as a result of a direct blow to the hamate bone most commonly seen in athletes. Hook fractures and body fractures. Radiopaedia.org provides a classification of hamate fractures into two types: Hamate body. Hamate Fracture X Ray.
     
    
         
        From cutemolin.blogspot.com 
                    ChiaWei Lin MD. 林佳緯 醫師 Hamate fracture(鎚狀骨骨折) 手腕尺側易被忽略的骨折 Hamate Fracture X Ray  Hook of hamate fractures are rare, often missed, injuries generally as a result of a direct blow to the hamate bone most commonly seen in athletes. Hook fractures and body fractures. Radiopaedia.org provides a classification of hamate fractures into two types: Diagnosis is generally made with radiographs of the. Hamate body fractures are rare carpal fractures that can be associated. Hamate Fracture X Ray.
     
    
         
        From www.researchgate.net 
                    (a, b) Xray right wrist PA and lateral views suggestive of a dual Hamate Fracture X Ray  Radiopaedia.org provides a classification of hamate fractures into two types: Hamate body fractures are rare carpal fractures that can be associated with 4th or 5th metacarpal fractures. Hook fractures and body fractures. Described six radiographic signs that indicate hamate body fracture commonly seen on ap, lateral, and. Diagnosis is generally made with radiographs of the. Hamate fractures usually get subdivided. Hamate Fracture X Ray.
     
    
         
        From www.orthobullets.com 
                    Hamate Body Fracture Hand Orthobullets Hamate Fracture X Ray  Radiopaedia.org provides a classification of hamate fractures into two types: Described six radiographic signs that indicate hamate body fracture commonly seen on ap, lateral, and. Diagnosis is generally made with radiographs of the. Hook fractures and body fractures. Hook of hamate fractures are rare, often missed, injuries generally as a result of a direct blow to the hamate bone most. Hamate Fracture X Ray.
     
    
         
        From www.slideshare.net 
                    Fracture Review New Format Hamate Fracture X Ray  Hamate fractures usually get subdivided into two broad groups: Radiopaedia.org provides a classification of hamate fractures into two types: Hamate body fractures are rare carpal fractures that can be associated with 4th or 5th metacarpal fractures. Hook fractures and body fractures. Described six radiographic signs that indicate hamate body fracture commonly seen on ap, lateral, and. Hook of hamate fractures. Hamate Fracture X Ray.
     
    
         
        From www.ajronline.org 
                    Hook of the Hamate The Spectrum of Often Missed Pathologic Findings AJR Hamate Fracture X Ray  Radiopaedia.org provides a classification of hamate fractures into two types: Hamate body fractures are rare carpal fractures that can be associated with 4th or 5th metacarpal fractures. Hook of hamate fractures are rare, often missed, injuries generally as a result of a direct blow to the hamate bone most commonly seen in athletes. Hook fractures and body fractures. Hamate fractures. Hamate Fracture X Ray.
     
    
         
        From radiopaedia.org 
                    Hamate fracture Image Hamate Fracture X Ray  Hook of hamate fractures are rare, often missed, injuries generally as a result of a direct blow to the hamate bone most commonly seen in athletes. Hamate fractures usually get subdivided into two broad groups: Diagnosis is generally made with radiographs of the. Hook fractures and body fractures. Hamate body fractures are rare carpal fractures that can be associated with. Hamate Fracture X Ray.
     
    
         
        From content.iospress.com 
                    Diagnosis of a hamate hook fracture with 3D reconstruction of computed Hamate Fracture X Ray  Radiopaedia.org provides a classification of hamate fractures into two types: Hamate fractures usually get subdivided into two broad groups: Hamate body fractures are rare carpal fractures that can be associated with 4th or 5th metacarpal fractures. Diagnosis is generally made with radiographs of the. Described six radiographic signs that indicate hamate body fracture commonly seen on ap, lateral, and. Hook. Hamate Fracture X Ray.
     
    
         
        From www.wikiradiography.net 
                    Imaging Hamate Fractures wikiRadiography Hamate Fracture X Ray  Hamate fractures usually get subdivided into two broad groups: Diagnosis is generally made with radiographs of the. Hook fractures and body fractures. Hook of hamate fractures are rare, often missed, injuries generally as a result of a direct blow to the hamate bone most commonly seen in athletes. Hamate body fractures are rare carpal fractures that can be associated with. Hamate Fracture X Ray.
     
    
         
        From www.orthobullets.com 
                    Hamate Body Fracture Hand Orthobullets Hamate Fracture X Ray  Hook fractures and body fractures. Hamate body fractures are rare carpal fractures that can be associated with 4th or 5th metacarpal fractures. Hook of hamate fractures are rare, often missed, injuries generally as a result of a direct blow to the hamate bone most commonly seen in athletes. Radiopaedia.org provides a classification of hamate fractures into two types: Diagnosis is. Hamate Fracture X Ray.
     
    
         
        From ar.inspiredpencil.com 
                    Hamate Bone Hamate Fracture X Ray  Hook fractures and body fractures. Radiopaedia.org provides a classification of hamate fractures into two types: Diagnosis is generally made with radiographs of the. Hamate body fractures are rare carpal fractures that can be associated with 4th or 5th metacarpal fractures. Hamate fractures usually get subdivided into two broad groups: Hook of hamate fractures are rare, often missed, injuries generally as. Hamate Fracture X Ray.
     
    
         
        From www.wikiradiography.net 
                    Imaging Hamate Fractures wikiRadiography Hamate Fracture X Ray  Hook fractures and body fractures. Radiopaedia.org provides a classification of hamate fractures into two types: Described six radiographic signs that indicate hamate body fracture commonly seen on ap, lateral, and. Diagnosis is generally made with radiographs of the. Hamate body fractures are rare carpal fractures that can be associated with 4th or 5th metacarpal fractures. Hook of hamate fractures are. Hamate Fracture X Ray.
     
    
         
        From slideplayer.com 
                    Open Fracture of the Hook of the Left Hamate ppt download Hamate Fracture X Ray  Described six radiographic signs that indicate hamate body fracture commonly seen on ap, lateral, and. Diagnosis is generally made with radiographs of the. Hamate body fractures are rare carpal fractures that can be associated with 4th or 5th metacarpal fractures. Hook fractures and body fractures. Hook of hamate fractures are rare, often missed, injuries generally as a result of a. Hamate Fracture X Ray.
     
    
         
        From radiopaedia.org 
                    Hamate fracture Image Hamate Fracture X Ray  Hamate body fractures are rare carpal fractures that can be associated with 4th or 5th metacarpal fractures. Hamate fractures usually get subdivided into two broad groups: Hook fractures and body fractures. Diagnosis is generally made with radiographs of the. Described six radiographic signs that indicate hamate body fracture commonly seen on ap, lateral, and. Radiopaedia.org provides a classification of hamate. Hamate Fracture X Ray.
     
    
         
        From www.researchgate.net 
                    A, hook of hamate fracture. Carpal tunnel view radiograph is Hamate Fracture X Ray  Radiopaedia.org provides a classification of hamate fractures into two types: Hamate body fractures are rare carpal fractures that can be associated with 4th or 5th metacarpal fractures. Hamate fractures usually get subdivided into two broad groups: Described six radiographic signs that indicate hamate body fracture commonly seen on ap, lateral, and. Diagnosis is generally made with radiographs of the. Hook. Hamate Fracture X Ray.
     
    
         
        From healthjade.net 
                    Hamate fracture causes, types, symptoms, diagnosis, treatment & prognosis Hamate Fracture X Ray  Hook fractures and body fractures. Hook of hamate fractures are rare, often missed, injuries generally as a result of a direct blow to the hamate bone most commonly seen in athletes. Diagnosis is generally made with radiographs of the. Hamate fractures usually get subdivided into two broad groups: Radiopaedia.org provides a classification of hamate fractures into two types: Described six. Hamate Fracture X Ray.
     
    
         
        From www.hmpgloballearningnetwork.com 
                    Reconstruction of a Distal Dorsal Thumb Defect Hamate Fracture X Ray  Hamate fractures usually get subdivided into two broad groups: Hook fractures and body fractures. Diagnosis is generally made with radiographs of the. Hook of hamate fractures are rare, often missed, injuries generally as a result of a direct blow to the hamate bone most commonly seen in athletes. Hamate body fractures are rare carpal fractures that can be associated with. Hamate Fracture X Ray.
     
    
         
        From www.vrogue.co 
                    Olecranon Fracture Lateral X Ray Fracture Dislocation vrogue.co Hamate Fracture X Ray  Hamate fractures usually get subdivided into two broad groups: Hook of hamate fractures are rare, often missed, injuries generally as a result of a direct blow to the hamate bone most commonly seen in athletes. Hamate body fractures are rare carpal fractures that can be associated with 4th or 5th metacarpal fractures. Hook fractures and body fractures. Diagnosis is generally. Hamate Fracture X Ray.
     
    
         
        From www.ajronline.org 
                    MDCT and Radiography of Wrist Fractures Radiographic Sensitivity and Hamate Fracture X Ray  Described six radiographic signs that indicate hamate body fracture commonly seen on ap, lateral, and. Hook of hamate fractures are rare, often missed, injuries generally as a result of a direct blow to the hamate bone most commonly seen in athletes. Hamate body fractures are rare carpal fractures that can be associated with 4th or 5th metacarpal fractures. Hamate fractures. Hamate Fracture X Ray.
     
    
         
        From www.researchgate.net 
                    Three patients with coronal hamate's fracture (A grid plate OS, B Hamate Fracture X Ray  Described six radiographic signs that indicate hamate body fracture commonly seen on ap, lateral, and. Radiopaedia.org provides a classification of hamate fractures into two types: Hamate body fractures are rare carpal fractures that can be associated with 4th or 5th metacarpal fractures. Hamate fractures usually get subdivided into two broad groups: Hook of hamate fractures are rare, often missed, injuries. Hamate Fracture X Ray.
     
    
         
        From www.imageinterpretation.co.uk 
                    The Wrist Hamate Fracture X Ray  Diagnosis is generally made with radiographs of the. Described six radiographic signs that indicate hamate body fracture commonly seen on ap, lateral, and. Hamate body fractures are rare carpal fractures that can be associated with 4th or 5th metacarpal fractures. Hamate fractures usually get subdivided into two broad groups: Radiopaedia.org provides a classification of hamate fractures into two types: Hook. Hamate Fracture X Ray.
     
    
         
        From www.wikiradiography.net 
                    Imaging Hamate Fractures wikiRadiography Hamate Fracture X Ray  Radiopaedia.org provides a classification of hamate fractures into two types: Hamate body fractures are rare carpal fractures that can be associated with 4th or 5th metacarpal fractures. Described six radiographic signs that indicate hamate body fracture commonly seen on ap, lateral, and. Hamate fractures usually get subdivided into two broad groups: Hook of hamate fractures are rare, often missed, injuries. Hamate Fracture X Ray.