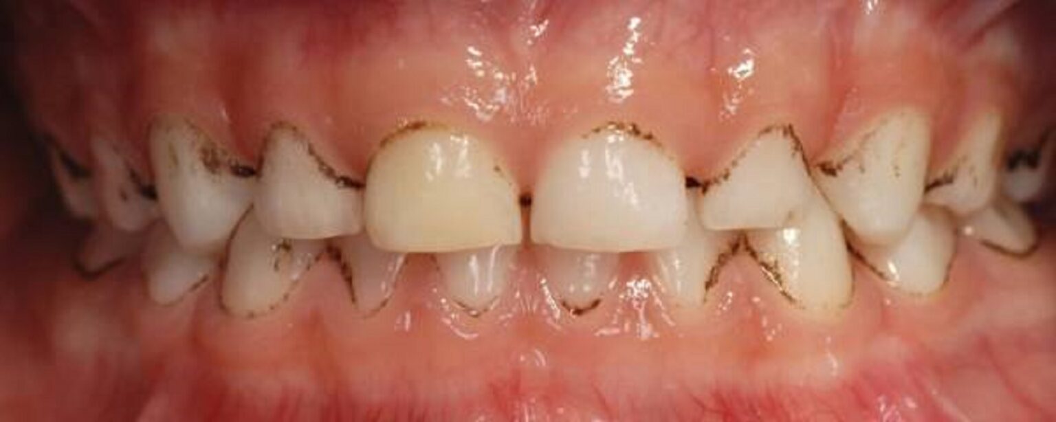
Dentist Remove Black Stains . Whitening toothpastes contains mild abrasives and chemicals that can help remove. A dentist can clean your teeth in a manner that you can’t do at. This is usually a process referred to as a deep cleaning. There are a few steps you can implement to remove dark stains on teeth. A professional dental cleaning can remove plaque and tartar buildup, which are often responsible for black. Sometimes a dentist will have to remove black teeth. At that point, you need a dentist to remove the tartar. The way in which you remove a black stain from your teeth will depend on its cause. Once plaque hardens into tartar, it gets a little more complicated to remove. Fillings and crowns that contain amalgam, particularly silver sulfide, can cause teeth to appear black in color. Can home remedies remove stains? If the decay is in one part of the tooth, the dentist might be able to remove the affected portion and close the hole with.
from instacare.pk
A dentist can clean your teeth in a manner that you can’t do at. Can home remedies remove stains? Once plaque hardens into tartar, it gets a little more complicated to remove. If the decay is in one part of the tooth, the dentist might be able to remove the affected portion and close the hole with. Fillings and crowns that contain amalgam, particularly silver sulfide, can cause teeth to appear black in color. Sometimes a dentist will have to remove black teeth. There are a few steps you can implement to remove dark stains on teeth. At that point, you need a dentist to remove the tartar. Whitening toothpastes contains mild abrasives and chemicals that can help remove. A professional dental cleaning can remove plaque and tartar buildup, which are often responsible for black.
How To Remove Black Lines On Teeth?
Dentist Remove Black Stains There are a few steps you can implement to remove dark stains on teeth. Whitening toothpastes contains mild abrasives and chemicals that can help remove. Sometimes a dentist will have to remove black teeth. The way in which you remove a black stain from your teeth will depend on its cause. There are a few steps you can implement to remove dark stains on teeth. If the decay is in one part of the tooth, the dentist might be able to remove the affected portion and close the hole with. A professional dental cleaning can remove plaque and tartar buildup, which are often responsible for black. Once plaque hardens into tartar, it gets a little more complicated to remove. Fillings and crowns that contain amalgam, particularly silver sulfide, can cause teeth to appear black in color. This is usually a process referred to as a deep cleaning. At that point, you need a dentist to remove the tartar. Can home remedies remove stains? A dentist can clean your teeth in a manner that you can’t do at.
From www.bradfordfamilydentist.ca
how to remove denture stains Bradford Dentist Bradford Family Dentistry Dentist Remove Black Stains Sometimes a dentist will have to remove black teeth. A professional dental cleaning can remove plaque and tartar buildup, which are often responsible for black. Once plaque hardens into tartar, it gets a little more complicated to remove. At that point, you need a dentist to remove the tartar. There are a few steps you can implement to remove dark. Dentist Remove Black Stains.
From www.dentaly.org
Black Stains on Teeth How To Get Rid of Black Spots on Teeth Dentist Remove Black Stains A dentist can clean your teeth in a manner that you can’t do at. If the decay is in one part of the tooth, the dentist might be able to remove the affected portion and close the hole with. A professional dental cleaning can remove plaque and tartar buildup, which are often responsible for black. This is usually a process. Dentist Remove Black Stains.
From advancedfamilydentistry.medium.com
Can Dentist Remove Yellow Stains. Yellow stains on teeth can be a Dentist Remove Black Stains This is usually a process referred to as a deep cleaning. If the decay is in one part of the tooth, the dentist might be able to remove the affected portion and close the hole with. At that point, you need a dentist to remove the tartar. Sometimes a dentist will have to remove black teeth. A dentist can clean. Dentist Remove Black Stains.
From kitchenerfamilydentist.com
5 Tips for Preventing Tooth Stains! ENAMEL REPUBLIC Family Dentist Dentist Remove Black Stains Can home remedies remove stains? This is usually a process referred to as a deep cleaning. There are a few steps you can implement to remove dark stains on teeth. Whitening toothpastes contains mild abrasives and chemicals that can help remove. The way in which you remove a black stain from your teeth will depend on its cause. Fillings and. Dentist Remove Black Stains.
From dentalhouse.com.au
What To Do About Black Teeth Stains Melbourne Dental House Dentist Remove Black Stains Once plaque hardens into tartar, it gets a little more complicated to remove. The way in which you remove a black stain from your teeth will depend on its cause. There are a few steps you can implement to remove dark stains on teeth. A dentist can clean your teeth in a manner that you can’t do at. Sometimes a. Dentist Remove Black Stains.
From www.slideserve.com
PPT Why You Need to Visit a Dentist to Remove Tooth Stains PowerPoint Dentist Remove Black Stains Once plaque hardens into tartar, it gets a little more complicated to remove. A professional dental cleaning can remove plaque and tartar buildup, which are often responsible for black. At that point, you need a dentist to remove the tartar. Whitening toothpastes contains mild abrasives and chemicals that can help remove. There are a few steps you can implement to. Dentist Remove Black Stains.
From www.jlcatj.gob.mx
How To Remove Black Stains On Teeth Clearance Cheap, Save 55 jlcatj Dentist Remove Black Stains Whitening toothpastes contains mild abrasives and chemicals that can help remove. Once plaque hardens into tartar, it gets a little more complicated to remove. A professional dental cleaning can remove plaque and tartar buildup, which are often responsible for black. The way in which you remove a black stain from your teeth will depend on its cause. Can home remedies. Dentist Remove Black Stains.
From homestet.blogspot.com
How To Remove Stains From Bonded Teeth At Home Dentist Remove Black Stains A professional dental cleaning can remove plaque and tartar buildup, which are often responsible for black. At that point, you need a dentist to remove the tartar. Fillings and crowns that contain amalgam, particularly silver sulfide, can cause teeth to appear black in color. This is usually a process referred to as a deep cleaning. If the decay is in. Dentist Remove Black Stains.
From forestbrookdental.com
How To Remove Black Stains From Teeth With Natural Solution Dentist Remove Black Stains Can home remedies remove stains? At that point, you need a dentist to remove the tartar. The way in which you remove a black stain from your teeth will depend on its cause. Whitening toothpastes contains mild abrasives and chemicals that can help remove. There are a few steps you can implement to remove dark stains on teeth. Sometimes a. Dentist Remove Black Stains.
From www.pvcompletedentistry.com
How Do You Get Rid of Teeth Stains and Discolorations? Ponte Vedra Dentist Remove Black Stains This is usually a process referred to as a deep cleaning. Sometimes a dentist will have to remove black teeth. At that point, you need a dentist to remove the tartar. Can home remedies remove stains? Whitening toothpastes contains mild abrasives and chemicals that can help remove. A professional dental cleaning can remove plaque and tartar buildup, which are often. Dentist Remove Black Stains.
From www.bepop.media
Black Stains, di cosa si tratta? Parola allo studio dentistico Dentist Remove Black Stains Sometimes a dentist will have to remove black teeth. Can home remedies remove stains? A professional dental cleaning can remove plaque and tartar buildup, which are often responsible for black. If the decay is in one part of the tooth, the dentist might be able to remove the affected portion and close the hole with. Whitening toothpastes contains mild abrasives. Dentist Remove Black Stains.
From voltineugenia.blogspot.com
get rid of black spots on teeth voltineugenia Dentist Remove Black Stains At that point, you need a dentist to remove the tartar. There are a few steps you can implement to remove dark stains on teeth. Fillings and crowns that contain amalgam, particularly silver sulfide, can cause teeth to appear black in color. Sometimes a dentist will have to remove black teeth. This is usually a process referred to as a. Dentist Remove Black Stains.
From casereports.bmj.com
Removal of black stains from teeth by photodynamic therapy clinical Dentist Remove Black Stains This is usually a process referred to as a deep cleaning. Sometimes a dentist will have to remove black teeth. The way in which you remove a black stain from your teeth will depend on its cause. A dentist can clean your teeth in a manner that you can’t do at. At that point, you need a dentist to remove. Dentist Remove Black Stains.
From www.youtube.com
3 unusual hacks to Dramatically Remove Tooth Stains 0 YouTube Dentist Remove Black Stains If the decay is in one part of the tooth, the dentist might be able to remove the affected portion and close the hole with. The way in which you remove a black stain from your teeth will depend on its cause. This is usually a process referred to as a deep cleaning. A dentist can clean your teeth in. Dentist Remove Black Stains.
From www.youtube.com
In 2 Minutes WHITEN YOUR TEETH Remove Stain & Odour YouTube Dentist Remove Black Stains A professional dental cleaning can remove plaque and tartar buildup, which are often responsible for black. Fillings and crowns that contain amalgam, particularly silver sulfide, can cause teeth to appear black in color. Once plaque hardens into tartar, it gets a little more complicated to remove. If the decay is in one part of the tooth, the dentist might be. Dentist Remove Black Stains.
From www.pinterest.ie
Smile Gallery Teeth cleaning, Cosmetic dentist, Dentist Dentist Remove Black Stains A professional dental cleaning can remove plaque and tartar buildup, which are often responsible for black. Whitening toothpastes contains mild abrasives and chemicals that can help remove. The way in which you remove a black stain from your teeth will depend on its cause. At that point, you need a dentist to remove the tartar. There are a few steps. Dentist Remove Black Stains.
From baristamerchant.com
How to Remove Coffee Stains From Teeth Barista Merchant Dentist Remove Black Stains Whitening toothpastes contains mild abrasives and chemicals that can help remove. The way in which you remove a black stain from your teeth will depend on its cause. Sometimes a dentist will have to remove black teeth. A professional dental cleaning can remove plaque and tartar buildup, which are often responsible for black. A dentist can clean your teeth in. Dentist Remove Black Stains.
From hosnerdental.com
Removal of Superficial Tooth Stains Gallery Dr. Jack M. Hosner, D.D.S. Dentist Remove Black Stains Can home remedies remove stains? Sometimes a dentist will have to remove black teeth. A dentist can clean your teeth in a manner that you can’t do at. There are a few steps you can implement to remove dark stains on teeth. Whitening toothpastes contains mild abrasives and chemicals that can help remove. A professional dental cleaning can remove plaque. Dentist Remove Black Stains.
From accessdentalclinics.com
How to Remove Plaque & Tartar From Teeth (Without Dentist) Dentist Remove Black Stains Fillings and crowns that contain amalgam, particularly silver sulfide, can cause teeth to appear black in color. The way in which you remove a black stain from your teeth will depend on its cause. Can home remedies remove stains? Once plaque hardens into tartar, it gets a little more complicated to remove. If the decay is in one part of. Dentist Remove Black Stains.
From forestbrookdental.com
How To Remove Black Stains From Teeth With Natural Solution Dentist Remove Black Stains At that point, you need a dentist to remove the tartar. A professional dental cleaning can remove plaque and tartar buildup, which are often responsible for black. If the decay is in one part of the tooth, the dentist might be able to remove the affected portion and close the hole with. Once plaque hardens into tartar, it gets a. Dentist Remove Black Stains.
From ar.inspiredpencil.com
Curry Stains Teeth Dentist Remove Black Stains At that point, you need a dentist to remove the tartar. Sometimes a dentist will have to remove black teeth. The way in which you remove a black stain from your teeth will depend on its cause. A dentist can clean your teeth in a manner that you can’t do at. A professional dental cleaning can remove plaque and tartar. Dentist Remove Black Stains.
From keepteethstrong.com
How to Remove Black Stains from Teeth? KeepTeethStrong Dentist Remove Black Stains A dentist can clean your teeth in a manner that you can’t do at. Sometimes a dentist will have to remove black teeth. A professional dental cleaning can remove plaque and tartar buildup, which are often responsible for black. There are a few steps you can implement to remove dark stains on teeth. Whitening toothpastes contains mild abrasives and chemicals. Dentist Remove Black Stains.
From www.jlcatj.gob.mx
How To Remove Black Stains On Teeth Deals Discount, Save 49 jlcatj Dentist Remove Black Stains At that point, you need a dentist to remove the tartar. Sometimes a dentist will have to remove black teeth. Fillings and crowns that contain amalgam, particularly silver sulfide, can cause teeth to appear black in color. This is usually a process referred to as a deep cleaning. The way in which you remove a black stain from your teeth. Dentist Remove Black Stains.
From dentakay.com
Teeth stains 4 natural products to remove them Dentakay Dentist Remove Black Stains Fillings and crowns that contain amalgam, particularly silver sulfide, can cause teeth to appear black in color. A professional dental cleaning can remove plaque and tartar buildup, which are often responsible for black. This is usually a process referred to as a deep cleaning. Whitening toothpastes contains mild abrasives and chemicals that can help remove. A dentist can clean your. Dentist Remove Black Stains.
From www.piazzadental.com.au
Effective Ways to Remove Stains Between Teeth at Home Dentist Remove Black Stains This is usually a process referred to as a deep cleaning. Fillings and crowns that contain amalgam, particularly silver sulfide, can cause teeth to appear black in color. A professional dental cleaning can remove plaque and tartar buildup, which are often responsible for black. Can home remedies remove stains? Whitening toothpastes contains mild abrasives and chemicals that can help remove.. Dentist Remove Black Stains.
From www.sarasotadentistry.com
How to Remove Tartar from Teeth Without a Dentist Sarasota Dentistry Dentist Remove Black Stains Once plaque hardens into tartar, it gets a little more complicated to remove. A professional dental cleaning can remove plaque and tartar buildup, which are often responsible for black. At that point, you need a dentist to remove the tartar. This is usually a process referred to as a deep cleaning. If the decay is in one part of the. Dentist Remove Black Stains.
From www.youtube.com
black spots on teeth how to remove home remedies दांतों की सफाई Dentist Remove Black Stains Fillings and crowns that contain amalgam, particularly silver sulfide, can cause teeth to appear black in color. Whitening toothpastes contains mild abrasives and chemicals that can help remove. There are a few steps you can implement to remove dark stains on teeth. Can home remedies remove stains? The way in which you remove a black stain from your teeth will. Dentist Remove Black Stains.
From downtowndentalgi.com
How Can I Remove Stains From Teeth? Treatments And Solutions Downtown Dentist Remove Black Stains If the decay is in one part of the tooth, the dentist might be able to remove the affected portion and close the hole with. The way in which you remove a black stain from your teeth will depend on its cause. A dentist can clean your teeth in a manner that you can’t do at. At that point, you. Dentist Remove Black Stains.
From brenhamfamilydental.com
Ask a dentist about how to get stains out of your teeth Dentist Remove Black Stains Sometimes a dentist will have to remove black teeth. There are a few steps you can implement to remove dark stains on teeth. At that point, you need a dentist to remove the tartar. Once plaque hardens into tartar, it gets a little more complicated to remove. Can home remedies remove stains? A professional dental cleaning can remove plaque and. Dentist Remove Black Stains.
From allenfamilydentist.com
Allen Dentist Explains How We Remove Teeth Stains Dentist Remove Black Stains Fillings and crowns that contain amalgam, particularly silver sulfide, can cause teeth to appear black in color. Once plaque hardens into tartar, it gets a little more complicated to remove. This is usually a process referred to as a deep cleaning. The way in which you remove a black stain from your teeth will depend on its cause. Can home. Dentist Remove Black Stains.
From avedentturkey.com
How to Get Rid of Stains? How to Remove Black Stains on Teeth? Dentist Remove Black Stains Whitening toothpastes contains mild abrasives and chemicals that can help remove. Fillings and crowns that contain amalgam, particularly silver sulfide, can cause teeth to appear black in color. A professional dental cleaning can remove plaque and tartar buildup, which are often responsible for black. Sometimes a dentist will have to remove black teeth. The way in which you remove a. Dentist Remove Black Stains.
From www.splendiddentistrywoodlands.com
Removing Stains From Your Teeth TX Teeth Whitening Dentist Remove Black Stains A dentist can clean your teeth in a manner that you can’t do at. This is usually a process referred to as a deep cleaning. Whitening toothpastes contains mild abrasives and chemicals that can help remove. Once plaque hardens into tartar, it gets a little more complicated to remove. If the decay is in one part of the tooth, the. Dentist Remove Black Stains.
From www.27fchileanway.cl
Can brown stains between teeth be removed? 27F Chilean Way Dentist Remove Black Stains Can home remedies remove stains? This is usually a process referred to as a deep cleaning. Fillings and crowns that contain amalgam, particularly silver sulfide, can cause teeth to appear black in color. Once plaque hardens into tartar, it gets a little more complicated to remove. If the decay is in one part of the tooth, the dentist might be. Dentist Remove Black Stains.
From www.tauntondental.ca
Can a dentist remove brown stains on teeth? Dentist Remove Black Stains Sometimes a dentist will have to remove black teeth. This is usually a process referred to as a deep cleaning. Fillings and crowns that contain amalgam, particularly silver sulfide, can cause teeth to appear black in color. The way in which you remove a black stain from your teeth will depend on its cause. A dentist can clean your teeth. Dentist Remove Black Stains.
From instacare.pk
How To Remove Black Lines On Teeth? Dentist Remove Black Stains At that point, you need a dentist to remove the tartar. There are a few steps you can implement to remove dark stains on teeth. If the decay is in one part of the tooth, the dentist might be able to remove the affected portion and close the hole with. This is usually a process referred to as a deep. Dentist Remove Black Stains.