Nut Cancer What Is It . A further study points to the potential of a new treatment for nut carcinoma among one subgroup of patients. Nut carcinoma, also called midline nut carcinoma, is an aggressive cancer that typically starts in the lungs or sinuses. Nut carcinoma symptoms can vary widely, depending on the tumor's location and size. Nut carcinoma (nc), also known as nut midline carcinoma, is a type of rare cancer that can grow anywhere in the body. Nut carcinoma is a rare and aggressive solid tumor. A new study was able to develop a model categorizing the disease, and a treatment’s likelihood of success, based on the tumor’s site of origin and its molecular irregularity. Nut carcinoma is also called nut midline carcinoma. It is an extremely rare type of cancer. Ehab hanna, m.d., and yoko takahashi,.
from blog.subhashgoyal.in
Nut carcinoma, also called midline nut carcinoma, is an aggressive cancer that typically starts in the lungs or sinuses. A further study points to the potential of a new treatment for nut carcinoma among one subgroup of patients. A new study was able to develop a model categorizing the disease, and a treatment’s likelihood of success, based on the tumor’s site of origin and its molecular irregularity. Nut carcinoma (nc), also known as nut midline carcinoma, is a type of rare cancer that can grow anywhere in the body. Nut carcinoma is a rare and aggressive solid tumor. Nut carcinoma symptoms can vary widely, depending on the tumor's location and size. It is an extremely rare type of cancer. Ehab hanna, m.d., and yoko takahashi,. Nut carcinoma is also called nut midline carcinoma.
Betel Nut(Supari) types, benefits as per Ayurveda
Nut Cancer What Is It It is an extremely rare type of cancer. Nut carcinoma, also called midline nut carcinoma, is an aggressive cancer that typically starts in the lungs or sinuses. Ehab hanna, m.d., and yoko takahashi,. A new study was able to develop a model categorizing the disease, and a treatment’s likelihood of success, based on the tumor’s site of origin and its molecular irregularity. Nut carcinoma is a rare and aggressive solid tumor. Nut carcinoma (nc), also known as nut midline carcinoma, is a type of rare cancer that can grow anywhere in the body. A further study points to the potential of a new treatment for nut carcinoma among one subgroup of patients. Nut carcinoma is also called nut midline carcinoma. It is an extremely rare type of cancer. Nut carcinoma symptoms can vary widely, depending on the tumor's location and size.
From qz.com
Why India protects producers of the psychoactive betel nut Nut Cancer What Is It Nut carcinoma is a rare and aggressive solid tumor. Nut carcinoma is also called nut midline carcinoma. Nut carcinoma, also called midline nut carcinoma, is an aggressive cancer that typically starts in the lungs or sinuses. Nut carcinoma symptoms can vary widely, depending on the tumor's location and size. It is an extremely rare type of cancer. Nut carcinoma (nc),. Nut Cancer What Is It.
From www.dovemed.com
NUT Carcinoma of Lung Nut Cancer What Is It Nut carcinoma (nc), also known as nut midline carcinoma, is a type of rare cancer that can grow anywhere in the body. It is an extremely rare type of cancer. Nut carcinoma, also called midline nut carcinoma, is an aggressive cancer that typically starts in the lungs or sinuses. Nut carcinoma symptoms can vary widely, depending on the tumor's location. Nut Cancer What Is It.
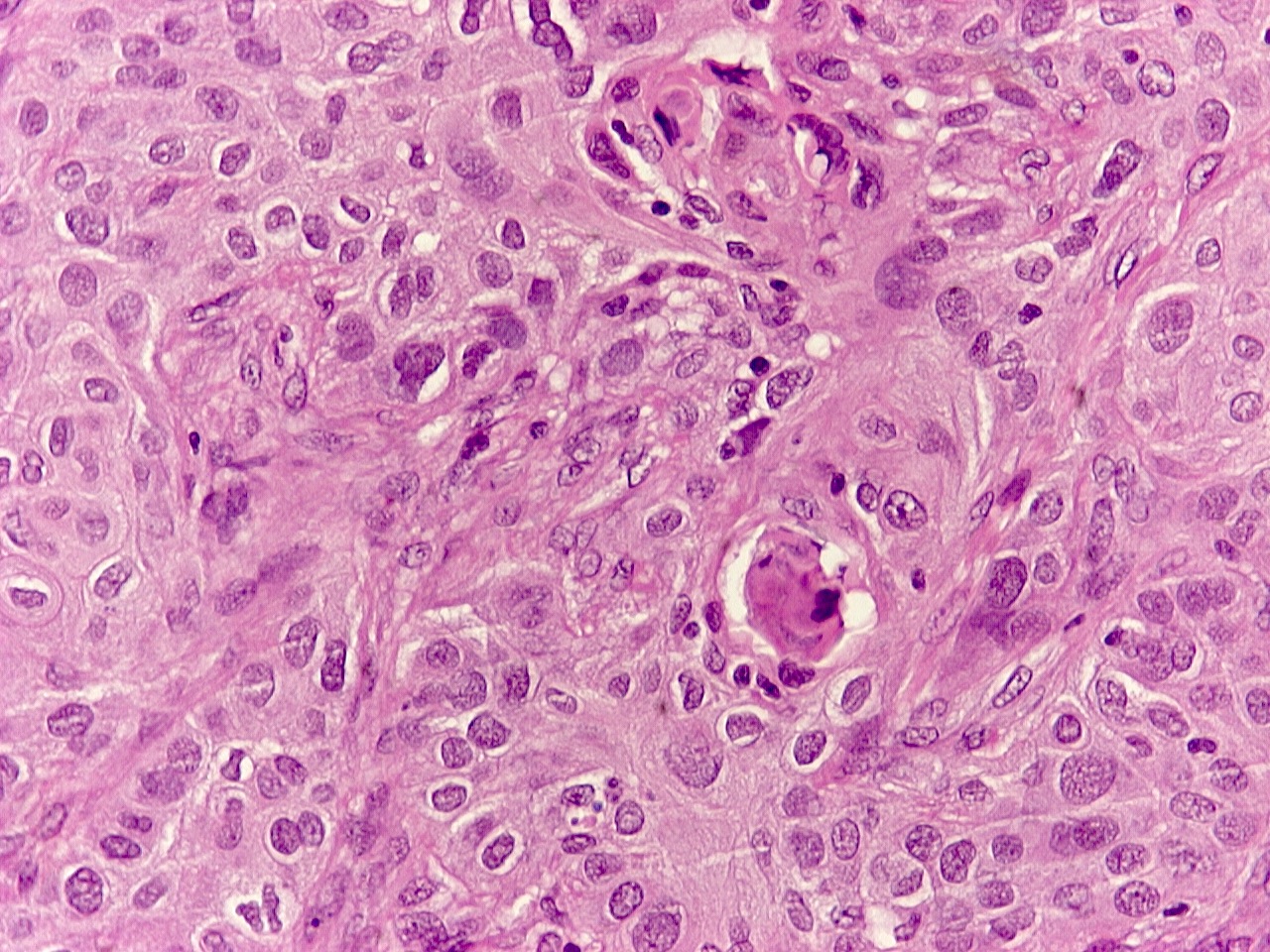
From www.pathologyoutlines.com
Pathology Outlines NUT carcinoma Nut Cancer What Is It Ehab hanna, m.d., and yoko takahashi,. Nut carcinoma symptoms can vary widely, depending on the tumor's location and size. Nut carcinoma (nc), also known as nut midline carcinoma, is a type of rare cancer that can grow anywhere in the body. A new study was able to develop a model categorizing the disease, and a treatment’s likelihood of success, based. Nut Cancer What Is It.
From www.survivornet.com
This Highly Addictive Nut Is Contributing to Spikes in Oral Cancer in Nut Cancer What Is It Nut carcinoma, also called midline nut carcinoma, is an aggressive cancer that typically starts in the lungs or sinuses. A new study was able to develop a model categorizing the disease, and a treatment’s likelihood of success, based on the tumor’s site of origin and its molecular irregularity. It is an extremely rare type of cancer. Nut carcinoma is also. Nut Cancer What Is It.
From richardniesenbaum.com
Raised on The Areca Nut An Asian Tradition with Unexpected Nut Cancer What Is It Nut carcinoma, also called midline nut carcinoma, is an aggressive cancer that typically starts in the lungs or sinuses. A further study points to the potential of a new treatment for nut carcinoma among one subgroup of patients. Ehab hanna, m.d., and yoko takahashi,. It is an extremely rare type of cancer. Nut carcinoma (nc), also known as nut midline. Nut Cancer What Is It.
From www.semanticscholar.org
Areca Nut or Betel Nut Control is Mandatory if India Wants to Reduce Nut Cancer What Is It Nut carcinoma (nc), also known as nut midline carcinoma, is a type of rare cancer that can grow anywhere in the body. Nut carcinoma is a rare and aggressive solid tumor. Ehab hanna, m.d., and yoko takahashi,. Nut carcinoma, also called midline nut carcinoma, is an aggressive cancer that typically starts in the lungs or sinuses. A new study was. Nut Cancer What Is It.
From www.youtube.com
వక్కపొడి తో క్యాన్సర్ వస్తుందా..? Betel Nut Causes Cancer Health Nut Cancer What Is It Nut carcinoma is also called nut midline carcinoma. A further study points to the potential of a new treatment for nut carcinoma among one subgroup of patients. It is an extremely rare type of cancer. Nut carcinoma, also called midline nut carcinoma, is an aggressive cancer that typically starts in the lungs or sinuses. Nut carcinoma (nc), also known as. Nut Cancer What Is It.
From dailyuknews.com
This addictive nut is driving record rates of cancer yet millions Nut Cancer What Is It Nut carcinoma is also called nut midline carcinoma. A new study was able to develop a model categorizing the disease, and a treatment’s likelihood of success, based on the tumor’s site of origin and its molecular irregularity. Nut carcinoma (nc), also known as nut midline carcinoma, is a type of rare cancer that can grow anywhere in the body. It. Nut Cancer What Is It.
From timesofindia.indiatimes.com
Brazil Nuts For Cancer Prevention Can having one Brazil Nut a day Nut Cancer What Is It Nut carcinoma, also called midline nut carcinoma, is an aggressive cancer that typically starts in the lungs or sinuses. Nut carcinoma is also called nut midline carcinoma. Nut carcinoma (nc), also known as nut midline carcinoma, is a type of rare cancer that can grow anywhere in the body. Nut carcinoma symptoms can vary widely, depending on the tumor's location. Nut Cancer What Is It.
From www.hindustantimes.com
Peanuts can reduce your risk of breast cancer. Here are 5 other things Nut Cancer What Is It Nut carcinoma symptoms can vary widely, depending on the tumor's location and size. Nut carcinoma (nc), also known as nut midline carcinoma, is a type of rare cancer that can grow anywhere in the body. A new study was able to develop a model categorizing the disease, and a treatment’s likelihood of success, based on the tumor’s site of origin. Nut Cancer What Is It.
From www.ctisus.com
Midline Nut Carcinoma Neuro MR Case Studies CTisus CT Scanning Nut Cancer What Is It Nut carcinoma, also called midline nut carcinoma, is an aggressive cancer that typically starts in the lungs or sinuses. Nut carcinoma is also called nut midline carcinoma. Ehab hanna, m.d., and yoko takahashi,. Nut carcinoma symptoms can vary widely, depending on the tumor's location and size. It is an extremely rare type of cancer. A new study was able to. Nut Cancer What Is It.
From www.researchgate.net
Challenges and opportunities in NUT carcinoma (NC) research. This Nut Cancer What Is It Nut carcinoma (nc), also known as nut midline carcinoma, is a type of rare cancer that can grow anywhere in the body. A new study was able to develop a model categorizing the disease, and a treatment’s likelihood of success, based on the tumor’s site of origin and its molecular irregularity. A further study points to the potential of a. Nut Cancer What Is It.
From dailyomgstories.com
This Nut is Driving Record Rates of Cancer, But People Continue to Chew Nut Cancer What Is It Nut carcinoma (nc), also known as nut midline carcinoma, is a type of rare cancer that can grow anywhere in the body. Nut carcinoma, also called midline nut carcinoma, is an aggressive cancer that typically starts in the lungs or sinuses. Ehab hanna, m.d., and yoko takahashi,. Nut carcinoma is also called nut midline carcinoma. It is an extremely rare. Nut Cancer What Is It.
From www.researchgate.net
This patient underwent excision of right buccal cancer, which extended Nut Cancer What Is It A further study points to the potential of a new treatment for nut carcinoma among one subgroup of patients. Ehab hanna, m.d., and yoko takahashi,. Nut carcinoma is also called nut midline carcinoma. Nut carcinoma symptoms can vary widely, depending on the tumor's location and size. Nut carcinoma (nc), also known as nut midline carcinoma, is a type of rare. Nut Cancer What Is It.
From easyhealthoptions.com
The cancerfighting nut that heals your gut Easy Health Options® Nut Cancer What Is It Ehab hanna, m.d., and yoko takahashi,. Nut carcinoma, also called midline nut carcinoma, is an aggressive cancer that typically starts in the lungs or sinuses. Nut carcinoma symptoms can vary widely, depending on the tumor's location and size. It is an extremely rare type of cancer. Nut carcinoma (nc), also known as nut midline carcinoma, is a type of rare. Nut Cancer What Is It.
From exoeyzcbr.blob.core.windows.net
Nut Cancer In Nasal Cavity at Jason Tompkins blog Nut Cancer What Is It A new study was able to develop a model categorizing the disease, and a treatment’s likelihood of success, based on the tumor’s site of origin and its molecular irregularity. A further study points to the potential of a new treatment for nut carcinoma among one subgroup of patients. Ehab hanna, m.d., and yoko takahashi,. Nut carcinoma is a rare and. Nut Cancer What Is It.
From easyhealthoptions.com
The cancerfighting nut that heals your gut Easy Health Options® Nut Cancer What Is It Nut carcinoma symptoms can vary widely, depending on the tumor's location and size. Nut carcinoma (nc), also known as nut midline carcinoma, is a type of rare cancer that can grow anywhere in the body. Ehab hanna, m.d., and yoko takahashi,. Nut carcinoma is a rare and aggressive solid tumor. Nut carcinoma, also called midline nut carcinoma, is an aggressive. Nut Cancer What Is It.
From blog.subhashgoyal.in
Betel Nut(Supari) types, benefits as per Ayurveda Nut Cancer What Is It Ehab hanna, m.d., and yoko takahashi,. Nut carcinoma, also called midline nut carcinoma, is an aggressive cancer that typically starts in the lungs or sinuses. Nut carcinoma (nc), also known as nut midline carcinoma, is a type of rare cancer that can grow anywhere in the body. A new study was able to develop a model categorizing the disease, and. Nut Cancer What Is It.
From www.indiatimes.com
Betel Nut Chewing With Lime & Tobacco Is Part Of Northeast India's Nut Cancer What Is It Nut carcinoma, also called midline nut carcinoma, is an aggressive cancer that typically starts in the lungs or sinuses. A new study was able to develop a model categorizing the disease, and a treatment’s likelihood of success, based on the tumor’s site of origin and its molecular irregularity. Ehab hanna, m.d., and yoko takahashi,. A further study points to the. Nut Cancer What Is It.
From us.movember.com
Know Thy Nuts Everything you need to know about testicular cancer Nut Cancer What Is It Nut carcinoma is a rare and aggressive solid tumor. Nut carcinoma (nc), also known as nut midline carcinoma, is a type of rare cancer that can grow anywhere in the body. Nut carcinoma symptoms can vary widely, depending on the tumor's location and size. A new study was able to develop a model categorizing the disease, and a treatment’s likelihood. Nut Cancer What Is It.
From www.thehealthsite.com
Betel Nut Health Benefits, Precautions And Side Effects Of Supari Nut Cancer What Is It Nut carcinoma symptoms can vary widely, depending on the tumor's location and size. Nut carcinoma (nc), also known as nut midline carcinoma, is a type of rare cancer that can grow anywhere in the body. A further study points to the potential of a new treatment for nut carcinoma among one subgroup of patients. It is an extremely rare type. Nut Cancer What Is It.
From www.youtube.com
ARE NUTS GOOD FOR CANCER PATIENTS? Dr. Farrah’s Natural Medicine Nut Cancer What Is It Nut carcinoma is a rare and aggressive solid tumor. Ehab hanna, m.d., and yoko takahashi,. Nut carcinoma (nc), also known as nut midline carcinoma, is a type of rare cancer that can grow anywhere in the body. Nut carcinoma is also called nut midline carcinoma. A further study points to the potential of a new treatment for nut carcinoma among. Nut Cancer What Is It.
From pwonlyias.com
India Cancer Capital Of The World, Sees Rise Of Cancer Cases In India Nut Cancer What Is It Nut carcinoma is a rare and aggressive solid tumor. Nut carcinoma (nc), also known as nut midline carcinoma, is a type of rare cancer that can grow anywhere in the body. A new study was able to develop a model categorizing the disease, and a treatment’s likelihood of success, based on the tumor’s site of origin and its molecular irregularity.. Nut Cancer What Is It.
From www.thenewhumanitarian.org
The New Humanitarian Papua New Guinea’s battle over betel nut Nut Cancer What Is It Nut carcinoma is a rare and aggressive solid tumor. Nut carcinoma symptoms can vary widely, depending on the tumor's location and size. It is an extremely rare type of cancer. A new study was able to develop a model categorizing the disease, and a treatment’s likelihood of success, based on the tumor’s site of origin and its molecular irregularity. Nut. Nut Cancer What Is It.
From giochuacg.blob.core.windows.net
Nut Gene Cancer at Robert Rector blog Nut Cancer What Is It Nut carcinoma, also called midline nut carcinoma, is an aggressive cancer that typically starts in the lungs or sinuses. A new study was able to develop a model categorizing the disease, and a treatment’s likelihood of success, based on the tumor’s site of origin and its molecular irregularity. Nut carcinoma is a rare and aggressive solid tumor. It is an. Nut Cancer What Is It.
From www.researchgate.net
These ingredients have been shown to have genotoxic, mutagenic and Nut Cancer What Is It Nut carcinoma is a rare and aggressive solid tumor. Ehab hanna, m.d., and yoko takahashi,. A further study points to the potential of a new treatment for nut carcinoma among one subgroup of patients. Nut carcinoma, also called midline nut carcinoma, is an aggressive cancer that typically starts in the lungs or sinuses. Nut carcinoma (nc), also known as nut. Nut Cancer What Is It.
From www.harveycliniccare.com
This Nut Prevents Cancer And Protects The Heart Healthy Lifestyle Nut Cancer What Is It A further study points to the potential of a new treatment for nut carcinoma among one subgroup of patients. Nut carcinoma, also called midline nut carcinoma, is an aggressive cancer that typically starts in the lungs or sinuses. Ehab hanna, m.d., and yoko takahashi,. Nut carcinoma is also called nut midline carcinoma. It is an extremely rare type of cancer.. Nut Cancer What Is It.
From www.alamy.com
Areca nut, also known as Betel nut, has a bitter and tangy taste. It is Nut Cancer What Is It Nut carcinoma is also called nut midline carcinoma. Nut carcinoma symptoms can vary widely, depending on the tumor's location and size. Nut carcinoma, also called midline nut carcinoma, is an aggressive cancer that typically starts in the lungs or sinuses. Nut carcinoma is a rare and aggressive solid tumor. It is an extremely rare type of cancer. Nut carcinoma (nc),. Nut Cancer What Is It.
From www.youtube.com
The World's Most Addictive Drug (Betel Nut) YouTube Nut Cancer What Is It A further study points to the potential of a new treatment for nut carcinoma among one subgroup of patients. Nut carcinoma is also called nut midline carcinoma. Nut carcinoma symptoms can vary widely, depending on the tumor's location and size. It is an extremely rare type of cancer. Nut carcinoma is a rare and aggressive solid tumor. Nut carcinoma (nc),. Nut Cancer What Is It.
From www.youtube.com
EATING BETEL NUTS ADDICTIVE PLANT IN INDONESIA TRAVEL VLOG YouTube Nut Cancer What Is It It is an extremely rare type of cancer. Ehab hanna, m.d., and yoko takahashi,. Nut carcinoma (nc), also known as nut midline carcinoma, is a type of rare cancer that can grow anywhere in the body. Nut carcinoma symptoms can vary widely, depending on the tumor's location and size. Nut carcinoma is also called nut midline carcinoma. A new study. Nut Cancer What Is It.
From www.youtube.com
World's Most Addictive Drug Adverse Health Effects Of Chewing Betel Nut Cancer What Is It Nut carcinoma symptoms can vary widely, depending on the tumor's location and size. It is an extremely rare type of cancer. Nut carcinoma is a rare and aggressive solid tumor. A further study points to the potential of a new treatment for nut carcinoma among one subgroup of patients. Nut carcinoma, also called midline nut carcinoma, is an aggressive cancer. Nut Cancer What Is It.
From www.slideserve.com
PPT Betel Nut & Kava PowerPoint Presentation, free download ID3101608 Nut Cancer What Is It Nut carcinoma is a rare and aggressive solid tumor. Nut carcinoma is also called nut midline carcinoma. A new study was able to develop a model categorizing the disease, and a treatment’s likelihood of success, based on the tumor’s site of origin and its molecular irregularity. Nut carcinoma symptoms can vary widely, depending on the tumor's location and size. Nut. Nut Cancer What Is It.
From nutritionfacts.org
Which Nut Fights Cancer Better? Nut Cancer What Is It Ehab hanna, m.d., and yoko takahashi,. A new study was able to develop a model categorizing the disease, and a treatment’s likelihood of success, based on the tumor’s site of origin and its molecular irregularity. Nut carcinoma, also called midline nut carcinoma, is an aggressive cancer that typically starts in the lungs or sinuses. Nut carcinoma (nc), also known as. Nut Cancer What Is It.
From www.pinterest.com
6 Amazing Benefits of Kola Nut Nut benefits, Health benefits, Hair Nut Cancer What Is It Nut carcinoma is a rare and aggressive solid tumor. Ehab hanna, m.d., and yoko takahashi,. A new study was able to develop a model categorizing the disease, and a treatment’s likelihood of success, based on the tumor’s site of origin and its molecular irregularity. It is an extremely rare type of cancer. Nut carcinoma, also called midline nut carcinoma, is. Nut Cancer What Is It.
From www.slideserve.com
PPT CANCER Why? PowerPoint Presentation, free download ID2690020 Nut Cancer What Is It A further study points to the potential of a new treatment for nut carcinoma among one subgroup of patients. Ehab hanna, m.d., and yoko takahashi,. Nut carcinoma symptoms can vary widely, depending on the tumor's location and size. Nut carcinoma (nc), also known as nut midline carcinoma, is a type of rare cancer that can grow anywhere in the body.. Nut Cancer What Is It.